Increased Susceptibility of Rousettus aegyptiacus Bats to Respiratory SARS-CoV-2 Challenge Despite Its Distinct Tropism for Gut Epithelia in Bats
Abstract
1. Introduction
2. Materials and Methods
2.1. Cells, Viruses and Data Availability
2.2. Virus Titration
2.3. R. aegyptiacus Challenge Experiments
2.4. Inoculation Routes and Sampling
2.5. Determination of Physiological Parameters
2.5.1. Body Core Temperature and Locomotor Activity
2.5.2. Daily Energy Expenditure (DEE)
2.6. Virological and Pathohistological Analysis
2.6.1. RNA Extraction and qRT-PCR for the Quantification of SARS-CoV-2 Viral RNA
2.6.2. Histopathology, Immunohistochemistry, RNA In Situ Hybridization
2.7. Analysis of Early and Late Immune Response
qRT-PCR for the Quantification of Immune Gene Expression and for the Expression of Cellular Receptor ACE2 as Well as the Protease TMPRSS2
2.8. Serological Analyses
2.8.1. Microsphere-Based Assay
2.8.2. Indirect SARS-CoV-2 RBD ELISA
2.9. SARS-CoV-2 Sensitivity to pH and Pepsin
2.9.1. pH Measurement of Different Sections of the GIT
2.9.2. Stability of SARS-CoV-2 Proteins Under Acidic Conditions and in Homogenates from Stomach and Small Intestine Samples
2.9.3. Sensitivity of SARS-CoV-2 Proteins to Pepsin Proteolysis
2.9.4. Western Blot Analysis for Quantification of Pepsin Sensitivity of SARS-CoV-2
2.10. Statistical Analysis
2.11. Exclusion of One Animal
3. Results
3.1. SARS-CoV-2 Cellular Receptor ACE2 as Well as the Protease TMPRSS2 Are Expressed in Analyzed Tissues
3.2. SARS-CoV-2 Challenge Induces Minimal Changes in Physiological Parameters
3.2.1. No Infection-Related Change in Body Weight upon SARS-CoV-2 Challenge
3.2.2. Minor Changes in Locomotor Activity and Body Core Temperature upon SARS-CoV-2 Challenge
3.2.3. Unaltered Daily Energy Expenditure in Challenged Bats
3.3. Virus Shedding and Tissue Distribution Following SARS-CoV-2 Challenge
3.3.1. Virus Shedding Following Oral Infection Is Lower than After Intranasal or Orotracheal Challenge
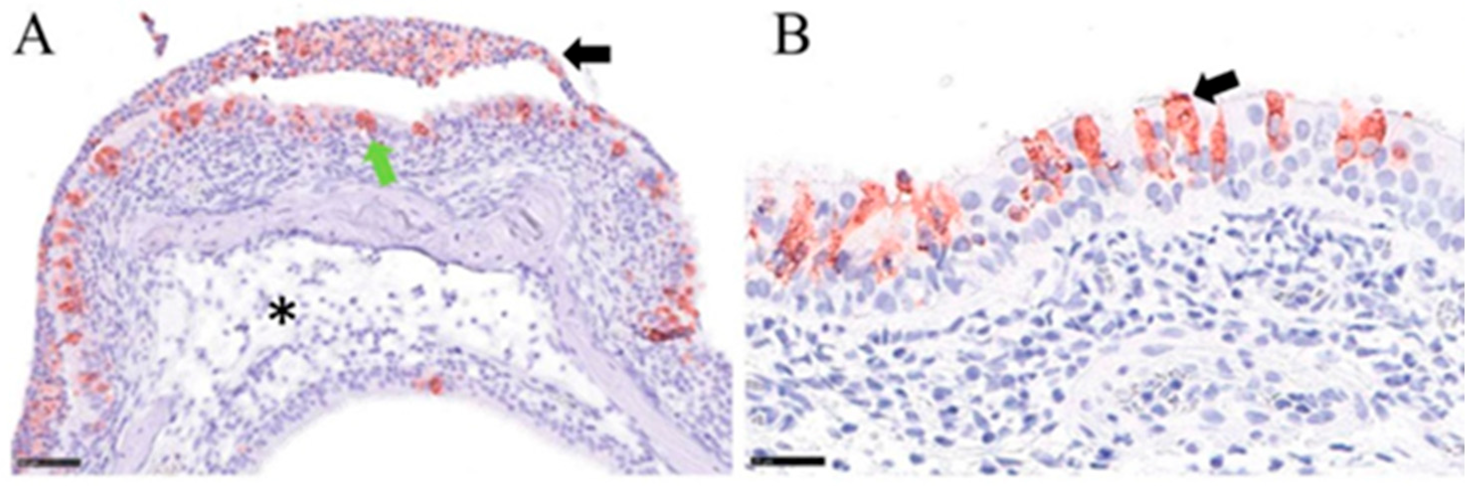
3.3.2. Markedly Decreased Tissue Involvement upon Oral Challenge
3.4. Weak Interferon and Antibody Response
3.4.1. Immune Gene Expression After SARS-CoV-2 Challenge Using Different Infection Routes
3.4.2. Serum Antibodies Against SARS-CoV-2 Only Detectable in Intranasally and Orotracheally Challenged Bats
3.5. SARS-CoV-2 Virions Are Unstable After Oral Ingestion
3.5.1. Varying pH in Compartments of the R. aegyptiacus GIT
3.5.2. SARS-CoV-2 Is Sensitive to Pepsin Digestion in R. aegyptiacus Stomach
3.5.3. Sensitivity of SARS-CoV-2 to Pepsin Digestion
3.5.4. SARS-CoV-2 Sensitivity to HCl in R. aegyptiacus Stomach
4. Discussion
5. Conclusions
Supplementary Materials
Author Contributions
Funding
Institutional Review Board Statement
Informed Consent Statement
Data Availability Statement
Acknowledgments
Conflicts of Interest
References
- Dong, Z.Y.; Xiang, B.J.; Jiang, M.; Sun, M.J.; Dai, C. The Prevalence of Gastrointestinal Symptoms, Abnormal Liver Function, Digestive System Disease and Liver Disease in COVID-19 Infection a Systematic Review and Meta-Analysis. J. Clin. Gastroenterol. 2021, 55, 67–76. [Google Scholar] [CrossRef] [PubMed]
- Cheung, K.S.; Hung, I.F.N.; Chan, P.P.Y.; Lung, K.C.; Tso, E.; Liu, R.; Ng, Y.Y.; Chu, M.Y.; Chung, T.W.H.; Tam, A.R.; et al. Gastrointestinal Manifestations of SARS-CoV-2 Infection and Virus Load in Fecal Samples from a Hong Kong Cohort: Systematic Review and Meta-Analysis. Gastroenterology 2020, 159, 81–95. [Google Scholar] [CrossRef] [PubMed]
- Hunt, R.H.; East, J.E.; Lanas, A.; Malfertheiner, P.; Satsangi, J.; Scarpignato, C.; Webb, G.J. COVID-19 and Gastrointestinal Disease: Implications for the Gastroenterologist. Dig. Dis. 2021, 39, 119–139. [Google Scholar] [CrossRef]
- van Helden, J.; Butler, C.D.; Achaz, G.; Canard, B.; Casane, D.; Claverie, J.M.; Colombo, F.; Courtier, V.; Ebright, R.H.; Graner, F.; et al. An Appeal for an Objective, Open, and Transparent Scientific Debate About the Origin of SARS-CoV-2. Lancet 2021, 398, 1402–1404. [Google Scholar] [CrossRef] [PubMed]
- Holmes, E.C.; Goldstein, S.A.; Rasmussen, A.L.; Robertson, D.L.; Crits-Christoph, A.; Wertheim, J.O.; Anthony, S.J.; Barclay, W.S.; Boni, M.F.; Doherty, P.C.; et al. The Origins of SARS-CoV-2: A Critical Review. Cell 2021, 184, 4848–4856. [Google Scholar] [CrossRef] [PubMed]
- Alwine, J.; Goodrum, F.; Banfield, B.; Bloom, D.; Britt, W.J.; Broadbent, A.J.; Campos, S.K.; Casadevall, A.; Chan, G.C.; Cliffe, A.R.; et al. The Harms of Promoting the Lab Leak Hypothesis for SARS-CoV-2 Origins without Evidence. J. Virol. 2024, 98, e0124024. [Google Scholar] [CrossRef]
- Zhou, P.; Yang, X.L.; Wang, X.G.; Hu, B.; Zhang, L.; Zhang, W.; Si, H.R.; Zhu, Y.; Li, B.; Huang, C.L.; et al. A Pneumonia Outbreak Associated with a New Coronavirus of Probable Bat Origin. Nature 2020, 579, 270–273. [Google Scholar] [CrossRef]
- Wu, F.; Zhao, S.; Yu, B.; Chen, Y.M.; Wang, W.; Song, Z.G.; Hu, Y.; Tao, Z.W.; Tian, J.H.; Pei, Y.Y.; et al. A New Coronavirus Associated with Human Respiratory Disease in China. Nature 2020, 579, 265–269. [Google Scholar] [CrossRef]
- Calisher, C.H.; Childs, J.E.; Field, H.E.; Holmes, K.V.; Schountz, T. Bats: Important Reservoir Hosts of Emerging Viruses. Clin. Microbiol. Rev. 2006, 19, 531–545. [Google Scholar] [CrossRef]
- Badrane, H.; Tordo, N. Host Switching in Lyssavirus History from the Chiroptera to the Carnivora Orders. J. Virol. 2001, 75, 8096–8104. [Google Scholar] [CrossRef]
- Pawęska, J.T.; Storm, N.; Markotter, W.; Di Paola, N.; Wiley, M.R.; Palacios, G.; van Vuren, P.J. Shedding of Marburg Virus in Naturally Infected Egyptian Rousette Bats, South Africa, 2017. Emerg. Infect. Dis. 2020, 26, 3051–3055. [Google Scholar] [CrossRef] [PubMed]
- Yob, J.M.; Field, H.; Rashdi, A.M.; Morrissy, C.; van der Heide, B.; Rota, P.; Adzhar, A.B.; White, J.; Daniels, P.; Jamaluddin, A.; et al. Nipah Virus Infection in Bats (Order Chiroptera) in Peninsular Malaysia. Emerg. Infect. Dis. 2001, 7, 439–441. [Google Scholar] [CrossRef] [PubMed]
- Poon, L.L.M.; Chu, D.K.W.; Chan, K.H.; Wong, O.K.; Ellis, T.M.; Leung, Y.H.C.; Lau, S.K.P.; Woo, P.C.Y.; Suen, K.Y.; Yuen, K.Y.; et al. Identification of a Novel Coronavirus in Bats. J. Virol. 2005, 79, 2001–2009. [Google Scholar] [CrossRef] [PubMed]
- Wang, L.F.; Shi, Z.L.; Zhang, S.Y.; Field, H.; Daszak, P.; Eaton, B.T. Review of Bats and Sars. Emerg. Infect. Dis. 2006, 12, 1834–1840. [Google Scholar] [CrossRef]
- Bokelmann, M.; Balkema-Buschmann, A. Coronaviruses in Bats. Berl. Munch. Tierarztl. Wochenschr. 2021, 134, 1–16. [Google Scholar]
- Hernandez-Aguilar, I.; Lorenzo, C.; Santos-Moreno, A.; Naranjo, E.J.; Navarrete-Gutierrez, D. Coronaviruses in Bats: A Review for the Americas. Viruses 2021, 13, 1226. [Google Scholar] [CrossRef]
- Pfefferle, S.; Oppong, S.; Drexler, J.F.; Gloza-Rausch, F.; Ipsen, A.; Seebens, A.; Muller, M.A.; Annan, A.; Vallo, P.; Adu-Sarkodie, Y.; et al. Distant Relatives of Severe Acute Respiratory Syndrome Coronavirus and Close Relatives of Human Coronavirus 229e in Bats, Ghana. Emerg. Infect. Dis. 2009, 15, 1377–1384. [Google Scholar] [CrossRef]
- Tang, X.C.; Zhang, J.X.; Zhang, S.Y.; Wang, P.; Fan, X.H.; Li, L.F.; Li, G.; Dong, B.Q.; Liu, W.; Cheung, C.L.; et al. Prevalence and Genetic Diversity of Coronaviruses in Bats from China. J. Virol. 2006, 80, 7481–7490. [Google Scholar] [CrossRef]
- Ch’ng, L.; Tsang, S.M.; Ong, Z.A.; Low, D.H.W.; Wiantoro, S.; Smith, I.L.; Simmons, N.B.; Su, Y.C.F.; Lohman, D.J.; Smith, G.J.D.; et al. Co-Circulation of Alpha- and Beta-Coronaviruses in Pteropus Vampyrus Flying Foxes from Indonesia. Transbound. Emerg. Dis. 2022, 69, 3917–3925. [Google Scholar] [CrossRef]
- Van Brussel, K.; Mahar, J.E.; Ortiz-Baez, A.S.; Carrai, M.; Spielman, D.; Boardman, W.S.J.; Baker, M.L.; Beatty, J.A.; Geoghegan, J.L.; Barrs, V.R.; et al. Faecal Virome of the Australian Grey-Headed Flying Fox from Urban/Suburban Environments Contains Novel Coronaviruses, Retroviruses and Sapoviruses. Virology 2022, 576, 42–51. [Google Scholar] [CrossRef]
- Tan, C.C.S.; Trew, J.; Peacock, T.P.; Mok, K.Y.; Hart, C.; Lau, K.; Ni, D.; Orme, C.D.L.; Ransome, E.; Pearse, W.D.; et al. Genomic Screening of 16 Uk Native Bat Species through Conservationist Networks Uncovers Coronaviruses with Zoonotic Potential. Nat. Commun. 2023, 14, 3322. [Google Scholar] [CrossRef] [PubMed]
- Wong, A.C.P.; Li, X.; Lau, S.K.P.; Woo, P.C.Y. Global Epidemiology of Bat Coronaviruses. Viruses 2019, 11, 174. [Google Scholar] [CrossRef] [PubMed]
- Fischer, K.; Zeus, V.; Kwasnitschka, L.; Kerth, G.; Haase, M.; Groschup, M.H.; Balkema-Buschmann, A. Insectivorous Bats Carry Host Specific Astroviruses and Coronaviruses across Different Regions in Germany. Infect. Genet. Evol. 2016, 37, 108–116. [Google Scholar] [CrossRef] [PubMed]
- Mendenhall, I.H.; Wen, D.L.H.; Jayakumar, J.; Gunalan, V.; Wang, L.F.; Mauer-Stroh, S.; Su, Y.C.F.; Smith, G.J.D. Diversity and Evolution of Viral Pathogen Community in Cave Nectar Bats (Eonycteris spelaea). Viruses 2019, 11, 250. [Google Scholar] [CrossRef]
- Han, Y.; Xu, P.; Wang, Y.; Zhao, W.; Zhang, J.; Zhang, S.; Wang, J.; Jin, Q.; Wu, Z. Panoramic Analysis of Coronaviruses Carried by Representative Bat Species in Southern China to Better Understand the Coronavirus Sphere. Nat. Commun. 2023, 14, 5537. [Google Scholar] [CrossRef]
- Razanajatovo, N.H.; Nomenjanahary, L.A.; Wilkinson, D.A.; Razafimanahaka, J.H.; Goodman, S.M.; Jenkins, R.K.; Jones, J.P.; Heraud, J.M. Detection of New Genetic Variants of Betacoronaviruses in Endemic Frugivorous Bats of Madagascar. Virol. J. 2015, 12, 42. [Google Scholar] [CrossRef]
- Lucero Arteaga, F.; Miragaya, M.; Molina, N.; Mondino, M.; Bracamonte, C.; Capitelli, G.; Mundo, S.; Torres, C.; Bratanich, A. Identification of Coronaviruses in Bats and Rodents in Northern and Central Argentina. Arch. Virol. 2023, 168, 78. [Google Scholar] [CrossRef]
- Alkhovsky, S.; Lenshin, S.; Romashin, A.; Vishnevskaya, T.; Vyshemirsky, O.; Bulycheva, Y.; Lvov, D.; Gitelman, A. Sars-Like Coronaviruses in Horseshoe Bats (Rhinolophus Spp.) in Russia, 2020. Viruses 2022, 14, 113. [Google Scholar] [CrossRef]
- Zhou, H.; Ji, J.; Chen, X.; Bi, Y.; Li, J.; Wang, Q.; Hu, T.; Song, H.; Zhao, R.; Chen, Y.; et al. Identification of Novel Bat Coronaviruses Sheds Light on the Evolutionary Origins of SARS-CoV-2 and Related Viruses. Cell 2021, 184, 4380–4391.e14. [Google Scholar] [CrossRef]
- Mols, V.C.; Lamers, M.M.; Leijten, L.M.; Breugem, T.I.; van de Bildt, M.W.; van den Doel, P.B.; Lina, P.H.; Koopmans, M.P.; Haagmans, B.L.; Kuiken, T.; et al. Intestinal Tropism of a Betacoronavirus (Merbecovirus) in Nathusius’s Pipistrelle Bat (Pipistrellus nathusii), Its Natural Host. J. Virol. 2023, 97, e0009923. [Google Scholar] [CrossRef]
- Lau, S.K.P.; Woo, P.C.Y.; Li, K.S.M.; Huang, Y.; Tsoi, H.W.; Wong, B.H.L.; Wong, S.S.Y.; Leung, S.Y.; Chan, K.H.; Yuen, K.Y. Severe Acute Respiratory Syndrome Coronavirus-Like Virus in Chinese Horseshoe Bats. Proc. Natl. Acad. Sci. USA 2005, 102, 14040–14045. [Google Scholar] [CrossRef] [PubMed]
- Lau, S.K.; Li, K.S.; Huang, Y.; Shek, C.T.; Tse, H.; Wang, M.; Choi, G.K.; Xu, H.; Lam, C.S.; Guo, R.; et al. Ecoepidemiology and Complete Genome Comparison of Different Strains of Severe Acute Respiratory Syndrome-Related Rhinolophus Bat Coronavirus in China Reveal Bats as a Reservoir for Acute, Self-Limiting Infection That Allows Recombination Events. J. Virol. 2010, 84, 2808–2819. [Google Scholar] [CrossRef] [PubMed]
- Schuh, A.J.; Amman, B.R.; Towner, J.S. Filoviruses and Bats. Microbiol. Aust. 2017, 38, 12–16. [Google Scholar] [CrossRef] [PubMed]
- Schlottau, K.; Rissmann, M.; Graaf, A.; Schon, J.; Sehl, J.; Wylezich, C.; Hoper, D.; Mettenleiter, T.C.; Balkema-Buschmann, A.; Harder, T.; et al. SARS-CoV-2 in Fruit Bats, Ferrets, Pigs, and Chickens: An Experimental Transmission Study. Lancet Microbe 2020, 1, e218–e225. [Google Scholar] [CrossRef]
- Fischer, R.J.; Bushmaker, T.; Williamson, B.N.; Pérez-Pérez, L.; Feldmann, F.; Lovaglio, J.; Scott, D.; Saturday, G.; Feldmann, H.; Munster, V.J.; et al. Compartmentalized SARS-CoV-2 Replication in the Upper vs. Lower Respiratory Tract after Intranasal Inoculation or Aerosol Exposure. J. Infect. Dis. 2024, 230, jiae018. [Google Scholar] [CrossRef]
- Zhou, J.; Li, C.; Liu, X.; Chiu, M.C.; Zhao, X.; Wang, D.; Wei, Y.; Lee, A.; Zhang, A.J.; Chu, H.; et al. Infection of Bat and Human Intestinal Organoids by SARS-CoV-2. Nat. Med. 2020, 26, 1077–1083. [Google Scholar] [CrossRef]
- Baggen, J.; Vanstreels, E.; Jansen, S.; Daelemans, D. Cellular Host Factors for SARS-CoV-2 Infection. Nat. Microbiol. 2021, 6, 1219–1232. [Google Scholar] [CrossRef]
- Yan, H.; Jiao, H.W.; Liu, Q.Y.; Zhang, Z.; Xiong, Q.; Wang, B.J.; Wang, X.; Guo, M.; Wang, L.F.; Lan, K.; et al. Ace2 Receptor Usage Reveals Variation in Susceptibility to SARS-CoV and SARS-CoV-2 Infection among Bat Species. Nat. Ecol. Evolut. 2021, 5, 600–608. [Google Scholar] [CrossRef]
- Elbadawy, M.; Kato, Y.; Saito, N.; Hayashi, K.; Abugomaa, A.; Kobayashi, M.; Yoshida, T.; Shibutani, M.; Kaneda, M.; Yamawaki, H.; et al. Establishment of Intestinal Organoid from Rousettus Leschenaultii and the Susceptibility to Bat-Associated Viruses, SARS-CoV-2 and Pteropine Orthoreovirus. Int. J. Mol. Sci. 2021, 22, 10763. [Google Scholar] [CrossRef]
- Hashimi, M.; Sebrell, T.A.; Hedges, J.F.; Snyder, D.; Lyon, K.N.; Byrum, S.D.; Mackintosh, S.G.; Crowley, D.; Cherne, M.D.; Skwarchuk, D.; et al. Antiviral Responses in a Jamaican Fruit Bat Intestinal Organoid Model of SARS-CoV-2 Infection. Nat. Commun. 2023, 14, 6882. [Google Scholar] [CrossRef]
- Forman, G.L. Comparative Morphological and Histochemical Studies of Stomachs of Selected North American Bats. Univ. Kans. Sci. Bull. 1972, 49, 591–729. [Google Scholar]
- Okon, E.E. Functional Anatomy of the Alimentary Canal in the Fruit Bat, Eidolon Helvum, and the Insect Bat, Tadarida Nigeriae. Acta Zool. 1977, 58, 83–93. [Google Scholar] [CrossRef]
- Platanias, L.C. Mechanisms of Type-I- and Type-Ii-Interferon-Mediated Signalling. Nat. Rev. Immunol. 2005, 5, 375–386. [Google Scholar] [CrossRef]
- Wack, A.; Terczynska-Dyla, E.; Hartmann, R. Guarding the Frontiers: The Biology of Type Iii Interferons. Nat. Immunol. 2015, 16, 802–809. [Google Scholar] [CrossRef]
- Zhou, P.; Tachedjian, M.; Wynne, J.W.; Boyd, V.; Cui, J.; Smith, I.; Cowled, C.; Ng, J.H.; Mok, L.; Michalski, W.P.; et al. Contraction of the Type I Ifn Locus and Unusual Constitutive Expression of Ifn-Alpha in Bats. Proc. Natl. Acad. Sci. USA 2016, 113, 2696–2701. [Google Scholar] [CrossRef]
- Vanderheiden, A.; Ralfs, P.; Chirkova, T.; Upadhyay, A.A.; Zimmerman, M.G.; Bedoya, S.; Aoued, H.; Tharp, G.M.; Pellegrini, K.L.; Manfredi, C.; et al. Type I and Type Iii Interferons Restrict SARS-CoV-2 Infection of Human Airway Epithelial Cultures. J. Virol. 2020, 94, e00985-20. [Google Scholar] [CrossRef]
- Broggi, A.; Ghosh, S.; Sposito, B.; Spreafico, R.; Balzarini, F.; Cascio, A.L.; Clementi, N.; De Santis, M.; Mancini, N.; Granucci, F.; et al. Type Iii Interferons Disrupt the Lung Epithelial Barrier Upon Viral Recognition. Science 2020, 369, 706–712. [Google Scholar] [CrossRef]
- Riek, A.; Petow, S.; Speakman, J.R.; Schrader, L. Daily Energy Expenditure and Water Turnover in Two Breeds of Laying Hens Kept in Floor Housing. Animal 2021, 15, 100047. [Google Scholar] [CrossRef]
- Mohl, B.P.; Blaurock, C.; Riek, A.; Hambly, C.; Speakman, J.R.; Balkema-Buschmann, A. Evidence for SARS-CoV-2 Infected Golden Syrian Hamsters (Mesocricetus auratus) Reducing Daily Energy Expenditure and Body Core Temperature. Sci. Rep. 2024, 14, 23263. [Google Scholar] [CrossRef]
- Wolfel, R.; Corman, V.M.; Guggemos, W.; Seilmaier, M.; Zange, S.; Muller, M.A.; Niemeyer, D.; Jones, T.C.; Vollmar, P.; Rothe, C.; et al. Virological Assessment of Hospitalized Patients with COVID-2019. Nature 2020, 581, 465–469. [Google Scholar] [CrossRef]
- Wylezich, C.; Papa, A.; Beer, M.; Hoper, D. A Versatile Sample Processing Workflow for Metagenomic Pathogen Detection. Sci. Rep. 2018, 8, 13108. [Google Scholar] [CrossRef] [PubMed]
- Blaurock, C.; Breithaupt, A.; Weber, S.; Wylezich, C.; Keller, M.; Mohl, B.P.; Gorlich, D.; Groschup, M.H.; Sadeghi, B.; Hoper, D.; et al. Compellingly High SARS-CoV-2 Susceptibility of Golden Syrian Hamsters Suggests Multiple Zoonotic Infections of Pet Hamsters During the COVID-19 Pandemic. Sci. Rep. 2022, 12, 15069. [Google Scholar] [CrossRef] [PubMed]
- Atkinson, G.F. The Spearman-Karber Method of Estimating 50% Endpoints. In Biometrics Unit Technical Reports; Number BU-141-M; Academia: San Francisco, CA, USA, 1961; p. 5. [Google Scholar]
- Mohl, B.-P.; Diederich, S.; Fischer, K.; Balkema-Buschmann, A. Rousettus Aegyptiacus Fruit Bats Do Not Support Productive Replication of Cedar Virus Upon Experimental Challenge. Viruses 2024, 16, 1359. [Google Scholar] [CrossRef]
- Lifson, N. Theory of Use of the Turnover Rates of Body Water for Measuring Energy and Material Balance. J. Theor. Biol. 1966, 12, 46–74. [Google Scholar] [CrossRef]
- Speakman, J.R. Doubly Labelled Water: Theory and Practice; Chapman & HAll: New York, NY, USA, 1997. [Google Scholar]
- Speakman, J.R.; Racey, P.A. The Equilibrium Concentration of Oxygen-18 in Body Water: Implications for the Accuracy of the Doubly-Labelled Water Technique and a Potential New Method of Measuring Rq in Free-Living Animals. J. Theor. Biol. 1987, 127, 79–95. [Google Scholar] [CrossRef]
- Berman, E.S.F.; Fortson, S.L.; Snaith, S.P.; Gupta, M.; Baer, D.S.; Chery, I.; Blanc, S.; Melanson, E.L.; Thomson, P.J.; Speakman, J.R. Direct Analysis of Δ2h and Δ18o in Natural and Enriched Human Urine Using Laser-Based, Off-Axis Integrated Cavity Output Spectroscopy. Anal. Chem. 2012, 84, 9768–9773. [Google Scholar] [CrossRef][Green Version]
- Speakman, J.R. How Should We Calculate Co2 Production in Doubly Labeled Water Studies of Animals. Funct. Ecol. 1993, 7, 746–750. [Google Scholar]
- Corman, V.M.; Landt, O.; Kaiser, M.; Molenkamp, R.; Meijer, A.; Chu, D.K.; Bleicker, T.; Brunink, S.; Schneider, J.; Schmidt, M.L.; et al. Detection of 2019 Novel Coronavirus (2019-Ncov) by Real-Time Rt-Pcr. Euro Surveill 2020, 25, 2000045. [Google Scholar] [CrossRef]
- Hoffmann, D.; Corleis, B.; Rauch, S.; Roth, N.; Muhe, J.; Halwe, N.J.; Ulrich, L.; Fricke, C.; Schon, J.; Kraft, A.; et al. Cvncov and Cv2cov Protect Human Ace2 Transgenic Mice from Ancestral B Bavpat1 and Emerging B.1.351 SARS-CoV-2. Nat. Commun. 2021, 12, 4048. [Google Scholar] [CrossRef]
- Alexandersen, S.; Chamings, A.; Bhatta, T.R. SARS-CoV-2 Genomic and Subgenomic Rnas in Diagnostic Samples Are Not an Indicator of Active Replication. Nat. Commun. 2020, 11, 6059. [Google Scholar] [CrossRef]
- Bussmann, B.M.; Reiche, S.; Jacob, L.H.; Braun, J.M.; Jassoy, C. Antigenic and Cellular Localisation Analysis of the Severe Acute Respiratory Syndrome Coronavirus Nucleocapsid Protein Using Monoclonal Antibodies. Virus Res. 2006, 122, 119–126. [Google Scholar] [CrossRef] [PubMed]
- Friedrichs, V.; Balkema-Buschmann, A.; Dorhoi, A.; Pei, G. Selection and Stability Validation of Reference Gene Candidates for Transcriptional Analysis in Rousettus Aegyptiacus. Sci. Rep. 2021, 11, 21662. [Google Scholar] [CrossRef] [PubMed]
- Wernike, K.; Aebischer, A.; Michelitsch, A.; Hoffmann, D.; Freuling, C.; Balkema-Buschmann, A.; Graaf, A.; Muller, T.; Osterrieder, N.; Rissmann, M.; et al. Multi-Species Elisa for the Detection of Antibodies against SARS-CoV-2 in Animals. Transbound Emerg. Dis. 2021, 68, 1779–1785. [Google Scholar] [CrossRef] [PubMed]
- Schneider, C.A.; Rasband, W.S.; Eliceiri, K.W. Nih Image to Imagej: 25 Years of Image Analysis. Nat. Methods 2012, 9, 671–675. [Google Scholar] [CrossRef] [PubMed]
- R Studio Team. Rstudio: Integrated Development Environment for R; RStudio, PBC: Boston, MA, USA, 2021. [Google Scholar]
- Felsenstein, J. Phylogenies and the Comparative Method. Am. Nat. 1985, 125, 1–15. [Google Scholar] [CrossRef]
- Garland, T.; Harvey, P.H.; Ives, A.R. Procedures for the Analysis of Comparative Data Using Phylogenetically Independent Contrasts. Syst. Biol. 1992, 41, 18–32. [Google Scholar] [CrossRef]
- Garland, T., Jr.; Anthony, R.I. Using the Past to Predict the Present: Confidence Intervals for Regression Equations in Phylogenetic Comparative Methods. Am. Nat. 2000, 155, 346–364. [Google Scholar] [CrossRef]
- Freckleton, R.P.; Harvey, P.H.; Pagel, M. Phylogenetic Analysis and Comparative Data: A Test and Review of Evidence. Am. Nat. 2002, 160, 712–726. [Google Scholar] [CrossRef]
- Fritz, S.A.; Bininda-Emonds, O.R.; Purvis, A. Geographical Variation in Predictors of Mammalian Extinction Risk: Big Is Bad, but Only in the Tropics. Ecol. Lett. 2009, 12, 538–549. [Google Scholar] [CrossRef]
- Paradis, E.; Claude, J.; Strimmer, K. Ape: Analyses of Phylogenetics and Evolution in R Language. Bioinformatics 2004, 20, 289–290. [Google Scholar] [CrossRef]
- Harmon, L.J.; Weir, J.T.; Brock, C.D.; Glor, R.E.; Challenger, W. Geiger: Investigating Evolutionary Radiations. Bioinformatics 2008, 24, 129–131. [Google Scholar] [CrossRef]
- Orme, D.; Freckleton, R.; Thomas, G.; Petzoldt, T.; Fritz, S.; Isaac, N.; Pearse, W. Caper: Comparative Analyses of Phylogenetics and Evolution in R. Methody Ecol. Evolut. 2012, 3, 145–151. [Google Scholar]
- Pagel, M.D. “A Method for the Analysis of Comparative Data. J. Theor. Biol. 1992, 156, 431–442. [Google Scholar] [CrossRef]
- Fountoulakis, M.; Lahm, H.-W. Hydrolysis and Amino Acid Composition Analysis of Proteins. J. Chromatogr. A 1998, 826, 109–134. [Google Scholar] [CrossRef]
- van Doremalen, N.; Schafer, A.; Menachery, V.D.; Letko, M.; Bushmaker, T.; Fischer, R.J.; Figueroa, D.M.; Hanley, P.W.; Saturday, G.; Baric, R.S.; et al. Sars-Like Coronavirus Wiv1-Cov Does Not Replicate in Egyptian Fruit Bats (Rousettus aegyptiacus). Viruses 2018, 10, 727. [Google Scholar] [CrossRef]
- Carossino, M.; Izadmehr, S.; Trujillo, J.D.; Gaudreault, N.N.; Dittmar, W.; Morozov, I.; Balasuriya, U.B.R.; Cordon-Cardo, C.; Garcia-Sastre, A.; Richt, J.A. Ace2 and Tmprss2 Distribution in the Respiratory Tract of Different Animal Species and Its Correlation with SARS-CoV-2 Tissue Tropism. Microbiol. Spectr. 2024, 12, e0327023. [Google Scholar] [CrossRef]
- Rissmann, M.; Friedrichs, V.; Kley, N.; Straube, M.; Sadeghi, B.; Balkema-Buschmann, A. Baseline of Physiological Body Temperature and Hematological Parameters in Captive Rousettus Aegyptiacus and Eidolon Helvum Fruit Bats. Front. Physiol. 2022, 13, 910157. [Google Scholar] [CrossRef]
- Butler, P.J.; Green, J.A.; Boyd, I.L.; Speakman, J.R. Measuring Metabolic Rate in the Field: The Pros and Cons of the Doubly Labelled Water and Heart Rate Methods. Fuct. Ecol. 2004, 18, 168–183. [Google Scholar] [CrossRef]
- Stegmann, K.M.; Dickmanns, A.; Heinen, N.; Blaurock, C.; Karrasch, T.; Breithaupt, A.; Klopfleisch, R.; Uhlig, N.; Eberlein, V.; Issmail, L.; et al. Inhibitors of Dihydroorotate Dehydrogenase Cooperate with Molnupiravir and N4-Hydroxycytidine to Suppress SARS-CoV-2 Replication. iScience 2022, 25, 104293. [Google Scholar] [CrossRef]
- Halwe, N.J.; Gorka, M.; Hoffmann, B.; Rissmann, M.; Breithaupt, A.; Schwemmle, M.; Beer, M.; Kandeil, A.; Ali, M.A.; Kayali, G.; et al. Egyptian Fruit Bats (Rousettus aegyptiacus) Were Resistant to Experimental Inoculation with Avian-Origin Influenza a Virus of Subtype H9n2, but Are Susceptible to Experimental Infection with Bat-Borne H9n2 Virus. Viruses 2021, 13, 672. [Google Scholar] [CrossRef]
- Anderson, K.J.; Jetz, W. The Broad-Scale Ecology of Energy Expenditure of Endotherms. Ecol. Lett. 2005, 8, 310–318. [Google Scholar] [CrossRef]
- Geiser, F.; Coburn, D.K. Field Metabolic Rates and Water Uptake in the Blossom-Bat (Megachiroptera). J. Comp. Physiol. B 1999, 169, 133–138. [Google Scholar] [CrossRef]
- Voigt, C.C.; Kelm, D.H.; Visser, G.H. Field Metabolic Rates of Phytophagous Bats: Do Pollination Strategies of Plants Make Life of Nectar-Feeders Spin Faster? J. Comparat. Physiol. B-Biochem. Syst. Environ. Physiol. 2006, 176, 213–222. [Google Scholar] [CrossRef]
- Nagy, K.A.; Girard, I.A.; Brown, T.K. Energetics of Free-Ranging Mammals, Reptiles, and Birds. Ann. Rev. Nutr. 1999, 19, 247–277. [Google Scholar] [CrossRef]
- Luo, J.H.; Greif, S.; Ye, H.; Bumrungsri, S.; Eitan, O.; Yovel, Y. Flight Rapidly Modulates Body Temperature in Freely Behaving Bats. Anim. Biotelem. 2021, 9, 45. [Google Scholar] [CrossRef]
- Moreno, K.R.; Weinberg, M.; Harten, L.; Ramos, V.B.S.; Herrera, M.L.; Czirják, G.; Yovel, Y. Sick Bats Stay Home Alone: Fruit Bats Practice Social Distancing When Faced with an Immunological Challenge. Ann. N. Y. Acad. Sci. 2021, 1505, 178–190. [Google Scholar] [CrossRef]
- Plowright, R.K.; Field, H.E.; Smith, C.; Divljan, A.; Palmer, C.; Tabor, G.; Daszak, P.; Foley, J.E. Reproduction and Nutritional Stress Are Risk Factors for Hendra Virus Infection in Little Red Flying Foxes (Pteropus scapulatus). Proc. Biol. Sci. 2008, 275, 861–869. [Google Scholar] [CrossRef]
- Rahman, S.A.; Hassan, L.; Epstein, J.H.; Mamat, Z.C.; Yatim, A.M.; Hassan, S.S.; Field, H.E.; Hughes, T.; Westrum, J.; Naim, M.S.; et al. Risk Factors for Nipah Virus Infection among Pteropid Bats, Peninsular Malaysia. Emerg. Infect. Dis. 2013, 19, 51–60. [Google Scholar] [CrossRef]
- Pourrut, X.; Delicat, A.; Rollin, P.E.; Ksiazek, T.G.; Gonzalez, J.P.; Leroy, E.M. Spatial and Temporal Patterns of Zaire Ebolavirus Antibody Prevalence in the Possible Reservoir Bat Species. J. Infect. Dis. 2007, 196 (Suppl. S2), S176–S183. [Google Scholar] [CrossRef]
- Amman, B.R.; Carroll, S.A.; Reed, Z.D.; Sealy, T.K.; Balinandi, S.; Swanepoel, R.; Kemp, A.; Erickson, B.R.; Comer, J.A.; Campbell, S.; et al. Seasonal Pulses of Marburg Virus Circulation in Juvenile Rousettus Aegyptiacus Bats Coincide with Periods of Increased Risk of Human Infection. PLoS Pathog. 2012, 8, e1002877. [Google Scholar] [CrossRef]
- Abu-Raya, B.; Michalski, C.; Sadarangani, M.; Lavoie, P.M. Maternal Immunological Adaptation During Normal Pregnancy. Front. Immunol. 2020, 11, 575197. [Google Scholar] [CrossRef]
- de Melo, G.D.; Perraud, V.; Alvarez, F.; Vieites-Prado, A.; Kim, S.; Kergoat, L.; Coleon, A.; Trüeb, B.S.; Tichit, M.; Piazza, A.; et al. Neuroinvasion and Anosmia Are Independent Phenomena Upon Infection with SARS-CoV-2 and Its Variants. Nat. Commun. 2023, 14, 4485. [Google Scholar] [CrossRef]
- Qiao, H.; Deng, X.; Qiu, L.; Qu, Y.; Chiu, Y.; Chen, F.; Xia, S.; Muenzel, C.; Ge, T.; Zhang, Z.; et al. SARS-CoV-2 Induces Blood-Brain Barrier and Choroid Plexus Barrier Impairments and Vascular Inflammation in Mice. J. Med. Virol. 2024, 96, e29671. [Google Scholar] [CrossRef]
- Burke, B.; Rocha, S.M.; Zhan, S.; Eckley, M.; Reasoner, C.; Addetia, A.; Lewis, J.; Fagre, A.; Charley, P.A.; Richt, J.A.; et al. Regulatory T Cell-Like Response to SARS-CoV-2 in Jamaican Fruit Bats (Artibeus jamaicensis) Transduced with Human Ace2. PLoS Pathog. 2023, 19, e1011728. [Google Scholar] [CrossRef]
- Mou, H.; Quinlan, B.D.; Peng, H.; Liu, G.; Guo, Y.; Peng, S.; Zhang, L.; Davis-Gardner, M.E.; Gardner, M.R.; Crynen, G.; et al. Mutations Derived from Horseshoe Bat Ace2 Orthologs Enhance Ace2-Fc Neutralization of SARS-CoV-2. PLoS Pathog. 2021, 17, e1009501. [Google Scholar] [CrossRef]
- Malik, U.R.; Makower, D.F.; Wadler, S. Interferon-Mediated Fatigue. Cancer 2001, 92, 1664–1668. [Google Scholar] [CrossRef]
- Banerjee, A.; Baker, M.L.; Kulcsar, K.; Misra, V.; Plowright, R.; Mossman, K. Novel Insights into Immune Systems of Bats. Front. Immunol. 2020, 11, 26. [Google Scholar] [CrossRef]
- Fruton, J.S. A History of Pepsin and Related Enzymes. Q. Rev. Biol. 2002, 77, 127–147. [Google Scholar] [CrossRef]
- Richter, C.; Tanaka, T.; Yada, R.Y. Mechanism of Activation of the Gastric Aspartic Proteinases: Pepsinogen, Progastricsin and Prochymosin. Biochem. J. 1998, 335 Pt 3, 481–490. [Google Scholar] [CrossRef]
- Piper, D.W.; Fenton, B.H. Ph Stability and Activity Curves of Pepsin with Special Reference to Their Clinical Importance. Gut 1965, 6, 506–508. [Google Scholar] [CrossRef]
- Klite, P.D. Intestinal Bacterial Flora and Transit Time of Three Neotropical Bat Species. J. Bacteriol. 1965, 90, 375–379. [Google Scholar] [CrossRef] [PubMed]











| Target | Primer Identification | Sequence |
|---|---|---|
| EEF1A1 | EEF1A1 F | 5′-GTATGCCTGGGTCTTGGATAAA-3′ |
| EEF1A1 R | 5′-GCCTGTGATGTGCCTGTAA-3′ | |
| IFNβ | IFNβ F | 5′-CAGAAGGAGGACGCAGTATT-3′ |
| IFNβ R | 5′-GGCTGTATCCAGAAGGTCTATC-3′ | |
| IFNγ | IFNγ F | 5′-GGTTTGGGTGATTTTGGGTTCTTC-3′ |
| IFNγ R | 5′-CACTGCTTTGAATGGTCGGGTTAT-3′ | |
| IFNλ3 | IFNλ3 F | 5′-GGCTTTGGAGGCTGAACT-3′ |
| IFNλ3 R | 5′-AGGCGGAAGAGGTTGAATG-3 | |
| CXCL10 | CXCL10 F | 5′-CTTTAGAACTACACGCTGTGTCTGC-3′ |
| CXCL10 R | 5′-ACCTTTCCTTGCTAATTGCTTTCAGT-3′ | |
| ACE2 | ACE2 F | 5′-TATTGAGCCAACACTGGGAAC-3′ |
| ACE2 R | 5′-CGACAAAGATGAGCAGGACAA-3′ | |
| TMPRSS2 | TMPRSS2 F | 5′-GGTCACTTTGAAGAACAGCATC-3′ |
| TMPRSS2 R | 5′-TCATTTGTCGGTAGATCCAGTC-3′ |
Disclaimer/Publisher’s Note: The statements, opinions and data contained in all publications are solely those of the individual author(s) and contributor(s) and not of MDPI and/or the editor(s). MDPI and/or the editor(s) disclaim responsibility for any injury to people or property resulting from any ideas, methods, instructions or products referred to in the content. |
© 2024 by the authors. Licensee MDPI, Basel, Switzerland. This article is an open access article distributed under the terms and conditions of the Creative Commons Attribution (CC BY) license (https://creativecommons.org/licenses/by/4.0/).
Share and Cite
Mohl, B.-P.; Blaurock, C.; Breithaupt, A.; Riek, A.; Speakman, J.R.; Hambly, C.; Bokelmann, M.; Pei, G.; Sadeghi, B.; Dorhoi, A.; et al. Increased Susceptibility of Rousettus aegyptiacus Bats to Respiratory SARS-CoV-2 Challenge Despite Its Distinct Tropism for Gut Epithelia in Bats. Viruses 2024, 16, 1717. https://doi.org/10.3390/v16111717
Mohl B-P, Blaurock C, Breithaupt A, Riek A, Speakman JR, Hambly C, Bokelmann M, Pei G, Sadeghi B, Dorhoi A, et al. Increased Susceptibility of Rousettus aegyptiacus Bats to Respiratory SARS-CoV-2 Challenge Despite Its Distinct Tropism for Gut Epithelia in Bats. Viruses. 2024; 16(11):1717. https://doi.org/10.3390/v16111717
Chicago/Turabian StyleMohl, Björn-Patrick, Claudia Blaurock, Angele Breithaupt, Alexander Riek, John R. Speakman, Catherine Hambly, Marcel Bokelmann, Gang Pei, Balal Sadeghi, Anca Dorhoi, and et al. 2024. "Increased Susceptibility of Rousettus aegyptiacus Bats to Respiratory SARS-CoV-2 Challenge Despite Its Distinct Tropism for Gut Epithelia in Bats" Viruses 16, no. 11: 1717. https://doi.org/10.3390/v16111717
APA StyleMohl, B.-P., Blaurock, C., Breithaupt, A., Riek, A., Speakman, J. R., Hambly, C., Bokelmann, M., Pei, G., Sadeghi, B., Dorhoi, A., & Balkema-Buschmann, A. (2024). Increased Susceptibility of Rousettus aegyptiacus Bats to Respiratory SARS-CoV-2 Challenge Despite Its Distinct Tropism for Gut Epithelia in Bats. Viruses, 16(11), 1717. https://doi.org/10.3390/v16111717

