The Potential Role of SARS-CoV-2 Infection and Vaccines in Multiple Sclerosis Onset and Reactivation: A Case Series and Literature Review
Abstract
1. Introduction
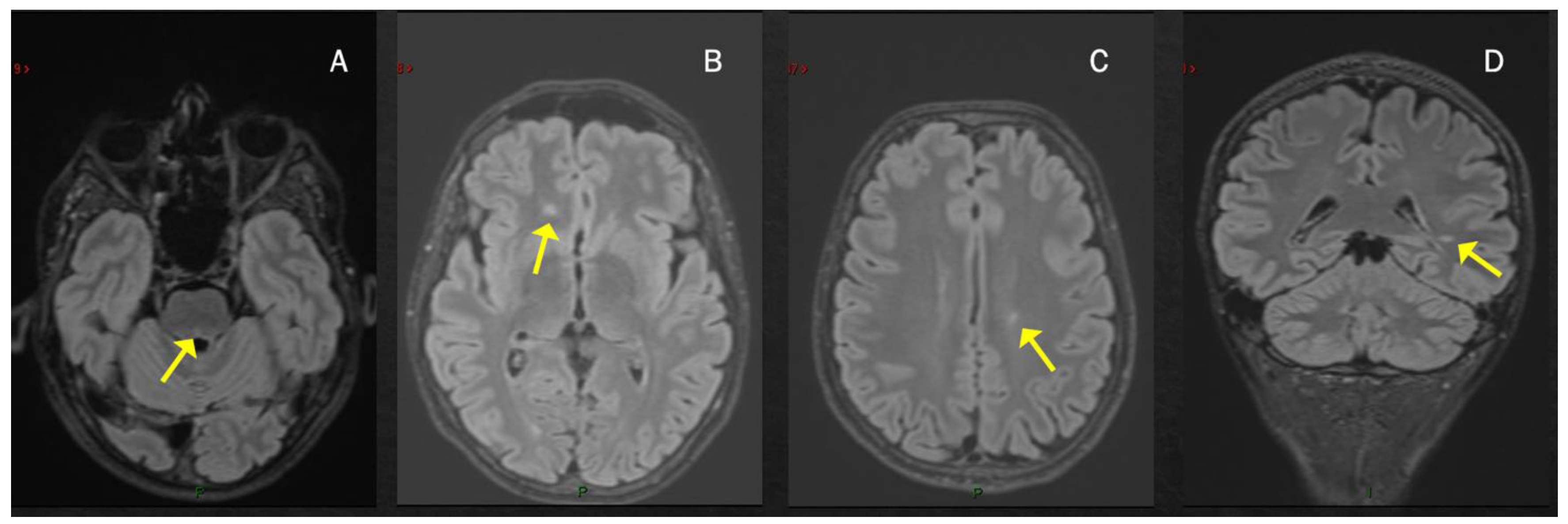
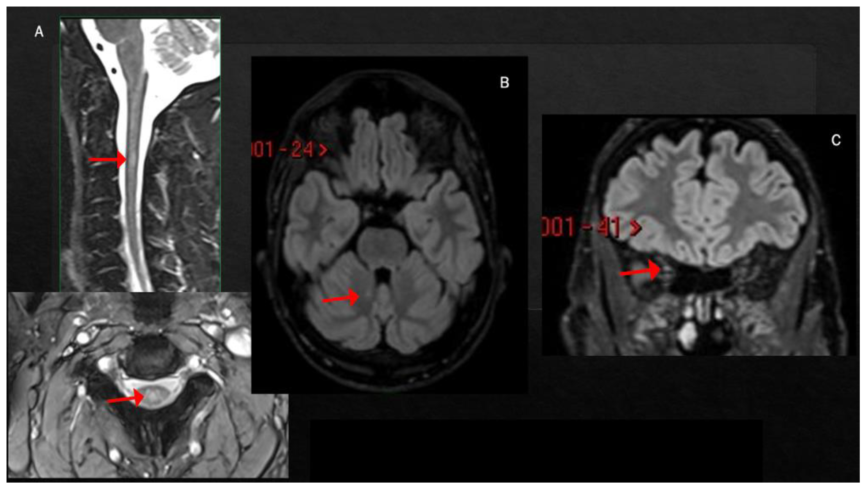
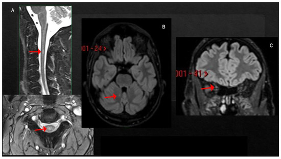
2. MS Onset after SARS-CoV-2 Exposure
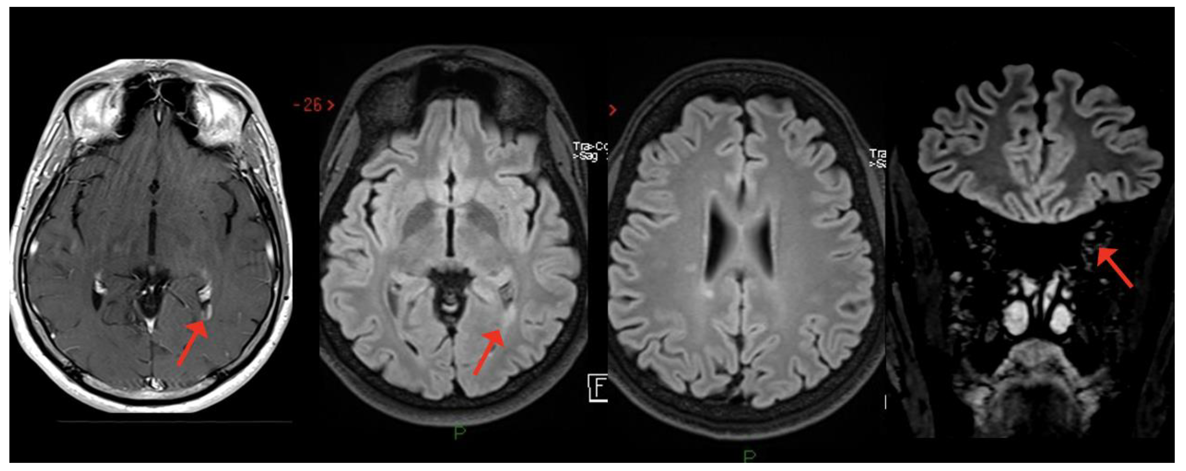
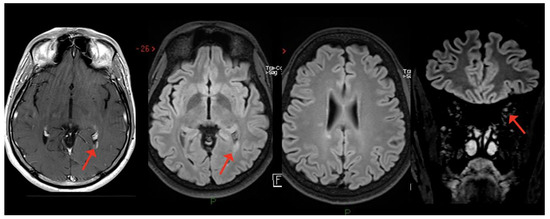
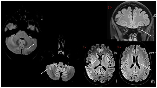
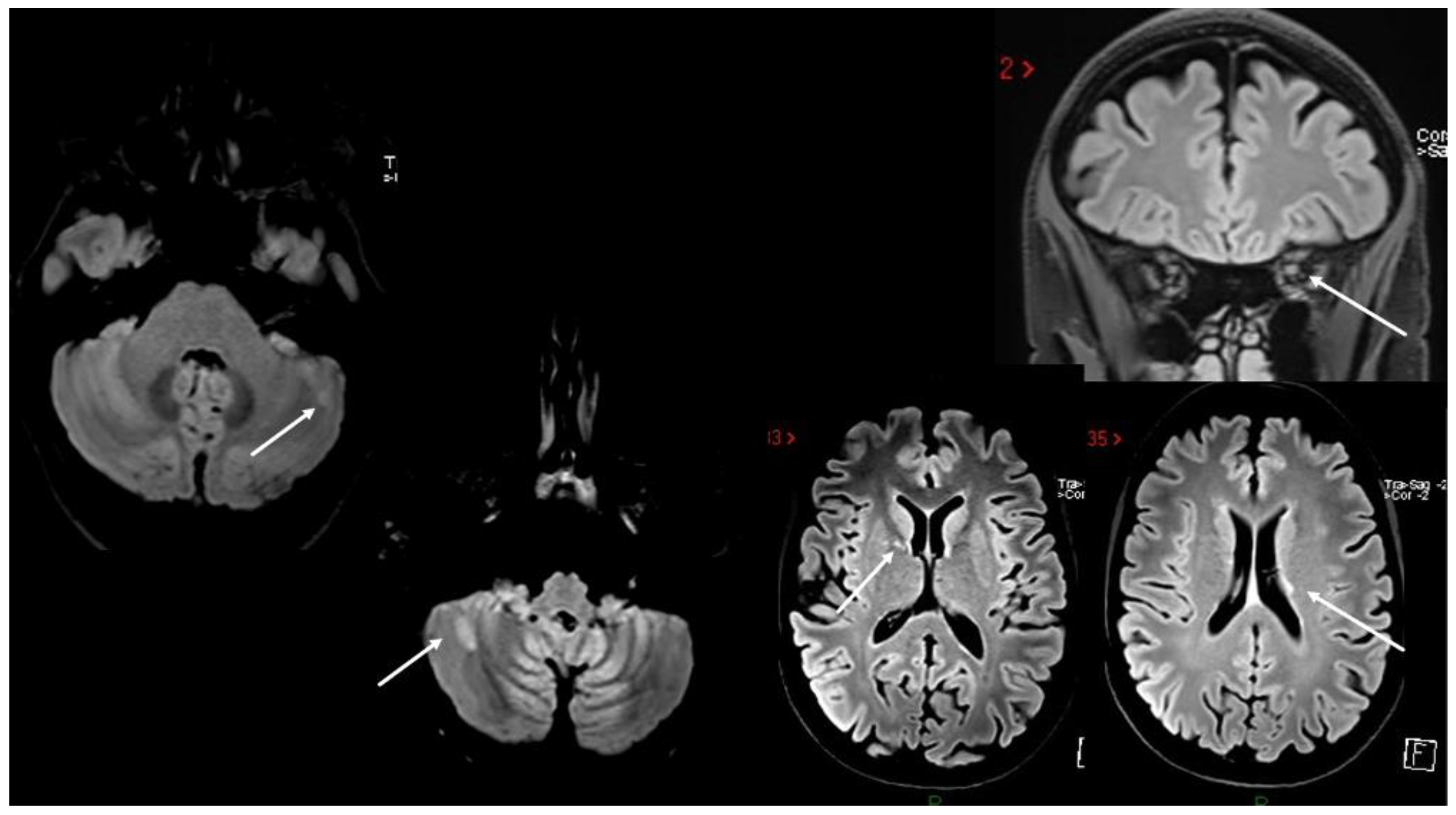
3. MS Relapses after COVID-19 Infection
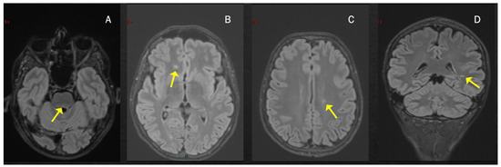
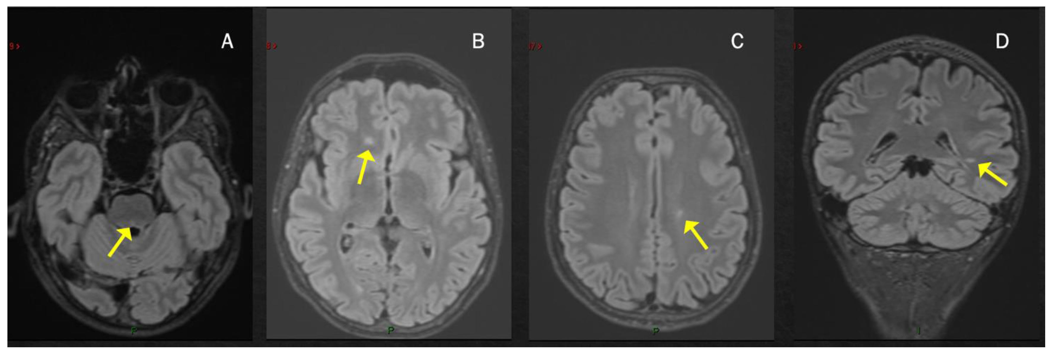
4. MS Onset after Vaccine Exposure
5. MS Relapses after Vaccine Exposure
6. MS Diagnosis after COVID-19, with Probable Onset after SARS-CoV-2 Vaccines
7. Discussion
| Authors | Vaccine Type/Dose | Time Interval | Symptoms | CE Lesions | Non-CE Lesions | OB | DMTs | §§ Anti-MOG/AQP4 Titration |
|---|---|---|---|---|---|---|---|---|
| MS ONSET | ||||||||
| Case 6 | BNT/2nd | 2 weeks | Multisymptomatic (gait/trunk ataxia, sphincter) | (MRI not in acute phase) | + | + | -/- | |
| Case 7 | ChAdOx1/1st | 1 week | SC | + | - | + | -/- | |
| Case 11 | BNT/1st | 1 week | SC | SC | + | + | NA | |
| Case 12 | BNT/1st | 2 weeks | SC | SC | + | + | +/+ | |
| Lee et al. [51] * | Various | 0–55 days | Mainly SC | Various sites | variable | various | +/+ | |
| Czarnowksa et al. [62] | JJ/1st | 2 weeks | SC | Brain, SC | + | + | +/+ | |
| Havla et al. [95] | BNT/1st | 1 week | SC | SC | + | + | +/+ | |
| Khayat-Khoei et al. [64] 3 cases | mRNA vaccines/ 2nd (2) | 2–3 weeks | ON (2) SC (1) | Brain (1) SC (2) | + | NA | -/+ | |
| Kaulen et al. [65] | BNT (4) | 2 weeks | ON (4) SC (2) ST (2) | ON (4) SC (2) ST (2) | + | +/+ | ||
| Mele et al. [66] | Mod/1st | 2 days | Cerebellum | ST | + | + | −/+ | |
| Rinaldi et al. [68] 2 cases | BNT/1st (1) 2nd (1) | 1 week | BS+SC (1) ST (1) | BS+SC (1) ST+ SC non-ce (1) | + | + | +/+ | |
| Gernert et al. [63] 5 cases | BNT (4, 3 cases 1st, 1 case 2nd), 1 ChadoOx/2nd | 1–2 weeks | ON (2) BS (1) SC (1) BS+SC (1) | SC (2) BS/cerebellum (3) | + | +/+ | ||
| $ Watad et al. [69] 4 cases | BNT/1st (2) Mod/2nd (2) | 1 day–1 month | ST (1); cerebellum, SC (1) SC (2) | + | + | + | +/+ | |
| $ Nistri et al. [67] 2 cases | ChadOx/1st | 1 week | ON (2) IT (1) | + supratentorial | + | + | -/- | |
| Toljan et al. [70] 4 cases | BNT/1st (2) | Uncertain | + | + | + | -/- | ||
| MS RELAPSE | ||||||||
| Rinaldi et al. [68] | BNT/1st | 2 weeks | Cerebellum/BS | ST | + | + | IFNb | NA |
| $ Al-Midfai et al. [71] | JJ/2nd | 2 weeks | Uncertain (unilateral motor deficit) | - | + | NA | - | NA |
| $ Maniscalco et al. [72] | BNT/1st | 2 days | Unilateral SM deficit | ST | + | NA | FTY | NA |
| Kataria et al. [73] | BNT/2nd | 3 weeks | ON + SC | ST | + | - | IFNß | NA |
| Seyed Ahadi et al. [74] | Sinopharm/1st | 2 days | Paraparesis and ataxia | BS | + | NA | - | NA |
| Kayat-Khoei et al. [64] 4 cases | mRNA vaccines 1st (1) and 2nd (3) | 1–3 weeks | ON (2) BS+SC (1) Possibly SC (1) | Brain (3) | + (new SC in 2 cases) | NA | NTZ (1) FTY (1) None (2) | NA |
| $ Nistri et al. [67] 14 cases | ChadOx/1st (2) mRNA/1st (7), 2nd (5) | 2 days–3 weeks | BS/cerebellum (4) SC (6) Possibly SC (6) | Brain (13) | + | + | + (9) - (5) | NA |
| D’apolito et al. [75] | BNT/2nd | 4 days | BS/cerebellum | + | - | + | FTY | NA |
| $ Fragoso et al. [49] 8 cases | BNT/1st | BS | Various | Some | NA | NA | Various DMT (7) | NA |
8. Conclusions
Author Contributions
Funding
Institutional Review Board Statement
Informed Consent Statement
Data Availability Statement
Conflicts of Interest
References
- Zhang, J.-Y.; Wang, X.-M.; Xing, X.; Xu, Z.; Zhang, C.; Song, J.-W.; Fan, X.; Xia, P.; Fu, J.-L.; Wang, S.-Y.; et al. Single-cell landscape of immunological responses in patients with COVID-19. Nat. Immunol. 2020, 21, 1107–1118. [Google Scholar] [CrossRef] [PubMed]
- Montalvan, V.; Lee, J.; Bueso, T.; De Toledo, J.; Rivas, K. Neurological manifestations of COVID-19 and other coronavirus infections: A systematic review. Clin. Neurol. Neurosurg. 2020, 194, 105921. [Google Scholar] [CrossRef] [PubMed]
- Koralnik, I.J.; Tyler, K.L. COVID-19: A Global Threat to the Nervous System. Ann. Neurol. 2020, 88, 1–11. [Google Scholar] [CrossRef] [PubMed]
- Romoli, M.; Jelcic, I.; Bernard-Valnet, R.; Garcia Azorin, D.; Mancinelli, L.; Akhvlediani, T.; Monaco, S.; Taba, P.; Sellner, J. Infectious Disease Panel of the European Academy of N: A systematic review of neurological manifestations of SARS-CoV-2 infection: The devil is hidden in the details. Eur. J. Neurol. 2020, 27, 1712–1726. [Google Scholar] [CrossRef] [PubMed]
- Day, C.; Studders, C.; Arklie, K.; Kaur, A.; Teetzen, K.; Kirsch, R.; Abelseth, L.; Fraser, I.; Abelseth, E.; Willerth, S.M. The effect of SARS-CoV-2 on the nervous system: A review of neurological impacts caused by human coronaviruses. Rev. Neurosci. 2022, 33, 257–268. [Google Scholar] [CrossRef]
- Wang, J.Y.; Zhang, W.; Roehrl, V.B.; Roehrl, M.W.; Roehrl, M.H. An Autoantigen Atlas From Human Lung HFL1 Cells Offers Clues to Neurological and Diverse Autoimmune Manifestations of COVID-19. Front. Immunol. 2022, 13, 831849. [Google Scholar] [CrossRef]
- Lima, M.; Aloizou, A.M.; Siokas, V.; Bakirtzis, C.; Liampas, I.; Tsouris, Z.; Bogdanos, D.P.; Baloyannis, S.J.; Dardiotis, E. Coronaviruses and their relationship with multiple sclerosis: Is the prevalence of multiple sclerosis going to increase after the COVID-19 pandemia? Rev. Neurosci. 2022, 33, 703–720. [Google Scholar] [CrossRef]
- Russell, W.C. Paramyxovirus and morbillivirus infections and their relationship to neurological disease. Prog. Brain Res. 1983, 59, 113–132. [Google Scholar]
- Haahr, S.; Munch, M. The association between multiple sclerosis and infection with Epstein-Barr virus and retrovirus. J. Neurovirol. 2000, 6 (Suppl. 2), S76–S79. [Google Scholar]
- Maslinska, M.; Kostyra-Grabczak, K. The role of virus infections in Sjogren’s syndrome. Front. Immunol. 2022, 13, 823659. [Google Scholar] [CrossRef]
- Lanz, T.V.; Brewer, R.C.; Ho, P.P.; Moon, J.-S.; Jude, K.M.; Fernandez, D.; Fernandes, R.A.; Gomez, A.M.; Nadj, G.-S.; Bartley, C.M.; et al. Clonally expanded B cells in multiple sclerosis bind EBV EBNA1 and GlialCAM. Nature 2022, 603, 321–327. [Google Scholar] [CrossRef] [PubMed]
- Bjornevik, K.; Cortese, M.; Healy, B.C.; Kuhle, J.; Mina, M.J.; Leng, Y.; Elledge, S.J.; Niebuhr, D.W.; Scher, A.I.; Munger, K.L.; et al. Longitudinal analysis reveals high prevalence of Epstein-Barr virus associated with multiple sclerosis. Science 2022, 375, 296–301. [Google Scholar] [CrossRef] [PubMed]
- Angelini, D.F.; Serafini, B.; Piras, E.; Severa, M.; Coccia, E.M.; Rosicarelli, B.; Ruggieri, S.; Gasperini, C.; Buttari, F.; Centonze, D.; et al. Increased CD8+ T cell response to Epstein-Barr virus lytic antigens in the active phase of multiple sclerosis. PLoS Pathog. 2013, 9, e1003220. [Google Scholar] [CrossRef]
- Yea, C.; Tellier, R.; Chong, P.; Westmacott, G.; Marrie, R.A.; Bar-Or, A.; Banwell, B. Canadian Pediatric Demyelinating Disease N: Epstein-Barr virus in oral shedding of children with multiple sclerosis. Neurology 2013, 81, 1392–1399. [Google Scholar] [CrossRef]
- Zanin, L.; Saraceno, G.; Panciani, P.P.; Renisi, G.; Signorini, L.; Migliorati, K.; Fontanella, M.M. SARS-CoV-2 can induce brain and spine demyelinating lesions. Acta Neurochir. 2020, 162, 1491–1494. [Google Scholar] [CrossRef]
- Shabani, Z. Demyelination as a result of an immune response in patients with COVID-19. Acta Neurol. Belg. 2021, 121, 859–866. [Google Scholar] [CrossRef]
- Bellucci, G.; Rinaldi, V.; Buscarinu, M.C.; Renie, R.; Bigi, R.; Pellicciari, G.; Morena, E.; Romano, C.; Marrone, A.; Mechelli, R.; et al. Multiple Sclerosis and SARS-CoV-2: Has the Interplay Started? Front. Immunol. 2021, 12, 755333. [Google Scholar] [CrossRef] [PubMed]
- Polack, F.P.; Thomas, S.J.; Kitchin, N.; Absalon, J.; Gurtman, A.; Lockhart, S.; Perez, J.L.; Perez Marc, G.; Moreira, E.D.; Zerbini, C.; et al. Safety and Efficacy of the BNT162b2 mRNA Covid-19 Vaccine. N. Engl. J. Med. 2020, 383, 2603–2615. [Google Scholar] [CrossRef] [PubMed]
- Thomas, S.J.; Moreira, E.D., Jr.; Kitchin, N.; Absalon, J.; Gurtman, A.; Lockhart, S.; Perez, J.L.; Perez Marc, G.; Polack, F.P.; Zerbini, C.; et al. Safety and Efficacy of the BNT162b2 mRNA Covid-19 Vaccine through 6 Months. N. Engl. J. Med. 2021, 385, 1761–1773. [Google Scholar] [CrossRef]
- Baden, L.R.; El Sahly, H.M.; Essink, B.; Kotloff, K.; Frey, S.; Novak, R.; Diemert, D.; Spector, S.A.; Rouphael, N.; Creech, C.B.; et al. Efficacy and Safety of the mRNA-1273 SARS-CoV-2 Vaccine. N. Engl. J. Med. 2021, 384, 403–416. [Google Scholar] [CrossRef]
- Sadoff, J.; Gray, G.; Vandebosch, A.; Cardenas, V.; Shukarev, G.; Grinsztejn, B.; Goepfert, P.A.; Truyers, C.; Fennema, H.; Spiessens, B.; et al. Safety and Efficacy of Single-Dose Ad26.COV2.S Vaccine against Covid-19. N. Engl. J. Med. 2021, 384, 2187–2201. [Google Scholar] [CrossRef] [PubMed]
- Dotan, A.; Muller, S.; Kanduc, D.; David, P.; Halpert, G.; Shoenfeld, Y. The SARS-CoV-2 as an instrumental trigger of autoimmunity. Autoimmun. Rev. 2021, 20, 102792. [Google Scholar] [CrossRef] [PubMed]
- Barzegar, M.; Mirmosayyeb, O.; Gajarzadeh, M.; Afshari-Safavi, A.; Nehzat, N.; Vaheb, S.; Shaygannejad, V.; Maghzi, A.H. COVID-19 Among Patients With Multiple Sclerosis: A Systematic Review. Neurol. Neuroimmunol. Neuroinflamm. 2021, 8, e1001. [Google Scholar] [CrossRef] [PubMed]
- Mantero, V.; Abate, L.; Balgera, R.; Basilico, P.; Salmaggi, A.; Cordano, C. Assessing the susceptibility to acute respiratory illness COVID-19-related in a cohort of multiple sclerosis patients. Mult. Scler. Relat. Disord. 2020, 46, 102453. [Google Scholar] [CrossRef]
- Adamczyk-Sowa, M.; Mado, H.; Kubicka-Baczyk, K.; Jaroszewicz, J.; Sobala-Szczygiel, B.; Bartman, W.; Sowa, P. SARS-CoV-2/COVID-19 in multiple sclerosis patients receiving disease-modifying therapy. Clin. Neurol. Neurosurg. 2021, 201, 106451. [Google Scholar] [CrossRef]
- Sormani, M.P.; Schiavetti, I.; Carmisciano, L.; Cordioli, C.; Filippi, M.; Radaelli, M.; Immovilli, P.; Capobianco, M.; De Rossi, N.; Brichetto, G.; et al. COVID-19 Severity in Multiple Sclerosis: Putting Data Into Context. Neurol. Neuroimmunol. Neuroinflamm. 2022, 9, e1105. [Google Scholar] [CrossRef]
- Sormani, M.P.; De Rossi, N.; Schiavetti, I.; Carmisciano, L.; Cordioli, C.; Moiola, L.; Radaelli, M.; Immovilli, P.; Capobianco, M.; Trojano, M.; et al. Disease-Modifying Therapies and Coronavirus Disease 2019 Severity in Multiple Sclerosis. Ann. Neurol. 2021, 89, 780–789. [Google Scholar] [CrossRef]
- Louapre, C.; Collongues, N.; Stankoff, B.; Giannesini, C.; Papeix, C.; Bensa, C.; Deschamps, R.; Creange, A.; Wahab, A.; Pelletier, J.; et al. Clinical Characteristics and Outcomes in Patients With Coronavirus Disease 2019 and Multiple Sclerosis. JAMA Neurol. 2020, 77, 1079–1088. [Google Scholar] [CrossRef]
- Axisa, P.P.; Hafler, D.A. Multiple sclerosis: Genetics, biomarkers, treatments. Curr. Opin. Neurol. 2016, 29, 345–353. [Google Scholar] [CrossRef]
- Jakubecz, C.; Zhang, X.S.; Woodson, S.; Serra, A.; Abboud, H. The humoral response to SARS-COV-2 vaccines in MS patients: A case series exploring the impact of DMT, lymphocyte count, immunoglobulins, and vaccine type. Mult. Scler. Relat. Disord. 2022, 61, 103785. [Google Scholar] [CrossRef]
- Habek, M.; Željko, C.; Mlakar, A.S.; Bendelja, K.; Rogić, D.; Adamec, I.; Barun, B.; Gabelić, T.; Skorić, M.K. Humoral and cellular immunity in convalescent and vaccinated COVID-19 people with multiple sclerosis: Effects of disease modifying therapies. Mult. Scler. Relat. Disord. 2022, 59, 103682. [Google Scholar] [CrossRef] [PubMed]
- Sabatino, J.J., Jr.; Mittl, K.; Rowles, W.; Zamecnik, C.R.; Loudermilk, R.P.; Gerungan, C.; Spencer, C.M.; Sagan, S.A.; Alexander, J.; McPolin, K.; et al. Longitudinal adaptive immune responses following sequential SARS-CoV-2 vaccinations in MS patients on anti-CD20 therapies and sphingosine-1-phosphate receptor modulators. Mult. Scler. Relat. Disord. 2023, 70, 104484. [Google Scholar] [CrossRef]
- Simpson-Yap, S.; De Brouwer, E.; Kalincik, T.; Rijke, N.; Hillert, J.A.; Walton, C.; Edan, G.; Moreau, Y.; Spelman, T.; Geys, L.; et al. Associations of Disease-Modifying Therapies With COVID-19 Severity in Multiple Sclerosis. Neurology 2021, 97, e1870–e1885. [Google Scholar] [CrossRef]
- Madelon, N.; Lauper, K.; Breville, G.; Sabater Royo, I.; Goldstein, R.; Andrey, D.O.; Grifoni, A.; Sette, A.; Kaiser, L.; Siegrist, C.A.; et al. Robust T-Cell Responses in Anti-CD20-Treated Patients Following COVID-19 Vaccination: A Prospective Cohort Study. Clin. Infect. Dis. 2022, 75, e1037–e1045. [Google Scholar] [CrossRef] [PubMed]
- Magdy, R.; Hussein, M. Could SARS-CoV-2 Infection Be a Novel Risk Factor for Multiple Sclerosis? Neuroimmunomodulation 2022, 29, 251–254. [Google Scholar] [CrossRef]
- Proietti, F.; Landi, D.; Ponzano, M.; Cola, G.; Di Mauro, G.; Mataluni, G.; Nicoletti, C.G.; Curcio, G.; Marfia, G.A. COVID-19 vaccine hesitancy among Italian people with multiple sclerosis. Neurol. Sci. 2023, 44, 803–808. [Google Scholar] [CrossRef]
- Troiano, G.; Nardi, A. Vaccine hesitancy in the era of COVID-19. Public Health 2021, 194, 245–251. [Google Scholar] [CrossRef] [PubMed]
- Vegezzi, E.; Ravaglia, S.; Buongarzone, G.; Bini, P.; Diamanti, L.; Gastaldi, M.; Prunetti, P.; Rognone, E.; Marchioni, E. Acute myelitis and ChAdOx1 nCoV-19 vaccine: Casual or causal association? J. Neuroimmunol. 2021, 359, 577686. [Google Scholar] [CrossRef] [PubMed]
- Rahmani, M.; Moghadasi, A.N.; Shahi, S.; Eskandarieh, S.; Azizi, H.; Hasanzadeh, A.; Ahmadzade, A.; Dehnavi, A.Z.; Farahani, R.H.; Aminianfar, M.; et al. COVID-19 and its implications on the clinico-radiological course of multiple sclerosis: A case-control study. Med. Clin. 2023, 160, 187–192. [Google Scholar] [CrossRef]
- Michelena, G.; Casas, M.; Eizaguirre, M.B.; Pita, M.C.; Cohen, L.; Alonso, R.; Garcea, O.; Silva, B.A. inverted question mark Can COVID-19 exacerbate multiple sclerosis symptoms? A case series analysis. Mult. Scler. Relat. Disord. 2022, 57, 103368. [Google Scholar] [CrossRef]
- Barzegar, M.; Vaheb, S.; Mirmosayyeb, O.; Afshari-Safavi, A.; Nehzat, N.; Shaygannejad, V. Can coronavirus disease 2019 (COVID-19) trigger exacerbation of multiple sclerosis? A retrospective study. Mult. Scler. Relat. Disord. 2021, 52, 102947. [Google Scholar] [CrossRef] [PubMed]
- Conway, S.E.; Healy, B.C.; Zurawski, J.; Severson, C.; Kaplan, T.; Stazzone, L.; Galetta, K.; Chitnis, T.; Houtchens, M.K. COVID-19 severity is associated with worsened neurological outcomes in multiple sclerosis and related disorders. Mult. Scler. Relat. Disord. 2022, 63, 103946. [Google Scholar] [CrossRef] [PubMed]
- Etemadifar, M.; Sedaghat, N.; Aghababaee, A.; Kargaran, P.K.; Maracy, M.R.; Ganjalikhani-Hakemi, M.; Rayani, M.; Abhari, A.P.; Khorvash, R.; Salari, M.; et al. COVID-19 and the Risk of Relapse in Multiple Sclerosis Patients: A Fight with No Bystander Effect? Mult. Scler. Relat. Disord. 2021, 51, 102915. [Google Scholar] [CrossRef]
- Bsteh, G.; Assar, H.; Gradl, C.; Heschl, B.; Hiller, M.S.; Krajnc, N.; Di Pauli, F.; Hegen, H.; Traxler, G.; Leutmezer, F.; et al. Long-term outcome after COVID-19 infection in multiple sclerosis: A nation-wide multicenter matched-control study. Eur. J. Neurol. 2022, 29, 3050–3060. [Google Scholar] [CrossRef]
- Brunn, J.A.; Dunietz, G.L.; Romeo, A.R.; Braley, T.J. SARS-CoV-2 Infection and Vaccination Outcomes in Multiple Sclerosis. Neurol. Clin. Pract. 2022, 12, e14–e21. [Google Scholar] [CrossRef]
- Di Filippo, M.; Cordioli, C.; Malucchi, S.; Annovazzi, P.; Cavalla, P.; Torri Clerici, V.; Ragonese, P.; Nociti, V.; Radaelli, M.; Laroni, A.; et al. mRNA COVID-19 vaccines do not increase the short-term risk of clinical relapses in multiple sclerosis. J. Neurol. Neurosurg. Psychiatry 2022, 93, 448–450. [Google Scholar] [CrossRef]
- Achiron, A.; Dolev, M.; Menascu, S.; Zohar, D.-N.; Dreyer-Alster, S.; Miron, S.; Shirbint, E.; Magalashvili, D.; Flechter, S.; Givon, U.; et al. COVID-19 vaccination in patients with multiple sclerosis: What we have learnt by February 2021. Mult. Scler. J. 2021, 27, 864–870. [Google Scholar] [CrossRef] [PubMed]
- Stefanou, M.-I.; Palaiodimou, L.; Theodorou, A.; Christodoulou, M.V.; Tzartos, J.S.; Tzanetakos, D.; Kitsos, D.; Chondrogianni, M.; Zouvelou, V.; Dardiotis, E.; et al. Safety of COVID-19 vaccines in multiple sclerosis: A systematic review and meta-analysis. Mult. Scler. J. 2023, 29, 585–594. [Google Scholar] [CrossRef]
- Fragoso, Y.D.; Gomes, S.; Gonçalves, M.V.M.; Junior, E.M.; de Oliveira, B.E.S.; Rocha, C.F.; Santos, G.A.C.d.; Tauil, C.B.; Araujo, R.V.; Peron, J.P.S. New relapse of multiple sclerosis and neuromyelitis optica as a potential adverse event of AstraZeneca AZD1222 vaccination for COVID-19. Mult. Scler. Relat. Disord. 2022, 57, 103321. [Google Scholar] [CrossRef]
- Stastna, D.; Menkyova, I.; Drahota, J.; Hrnciarova, T.; Kubala Havrdova, E.; Vachova, M.; Andelova, M.; Kleinova, P.; Kovarova, I.; Krasulova, E.; et al. To be or not to be vaccinated: The risk of MS or NMOSD relapse after COVID-19 vaccination and infection. Mult. Scler. Relat. Disord. 2022, 65, 104014. [Google Scholar] [CrossRef]
- Lee, S.; Muccilli, A.; Schneider, R.; Selchen, D.; Krysko, K.M. Acute central nervous system inflammation following COVID-19 vaccination: An observational cohort study. Mult. Scler. J. 2023, 29, 595–605. [Google Scholar] [CrossRef]
- Moore, L.; Ghannam, M.; Manousakis, G. A first presentation of multiple sclerosis with concurrent COVID-19 infection. eNeurologicalSci 2021, 22, 100299. [Google Scholar] [CrossRef]
- Yavari, F.; Raji, S.; Moradi, F.; Saeidi, M. Demyelinating Changes Alike to Multiple Sclerosis: A Case Report of Rare Manifestations of COVID-19. Case Rep. Neurol. Med. 2020, 2020, 6682251. [Google Scholar] [CrossRef] [PubMed]
- Carta, A.; Bellucci, C.; Tagliavini, V.; Turco, E.C.; Farci, R.; Cerasti, D.; Bozzetti, F.; Mora, P. Atypical presentation of juvenile multiple sclerosis in a patient with COVID-19. Eur. J. Ophthalmol. 2022, 33, NP125–NP128. [Google Scholar] [CrossRef] [PubMed]
- Pignolo, A.; Aprile, M.; Gagliardo, C.; Giammanco, G.M.; D’Amelio, M.; Aridon, P.; La Tona, G.; Salemi, G.; Ragonese, P. Clinical Onset and Multiple Sclerosis Relapse after SARS-CoV-2 Infection. Neurol. Int. 2021, 13, 695–700. [Google Scholar] [CrossRef] [PubMed]
- Palao, M.; Fernandez-Diaz, E.; Gracia-Gil, J.; Romero-Sanchez, C.M.; Diaz-Maroto, I.; Segura, T. Multiple sclerosis following SARS-CoV-2 infection. Mult. Scler. Relat. Disord. 2020, 45, 102377. [Google Scholar] [CrossRef]
- Sarwar, S.; Rogers, S.; Mohamed, A.S.; Ogula, E.; Ayantayo, R.A.; Ahmed, A.; Shahzadi, I.; Kataria, S.; Singh, R. Multiple Sclerosis Following SARS-CoV-2 Infection: A Case Report and Literature Review. Cureus 2021, 13, e19036. [Google Scholar] [CrossRef]
- Fragoso, Y.D.; Pacheco, F.A.S.; Silveira, G.L.; Oliveira, R.A.; Carvalho, V.M.; Martimbianco, A.L.C. COVID-19 in a temporal relation to the onset of multiple sclerosis. Mult. Scler. Relat. Disord. 2021, 50, 102863. [Google Scholar] [CrossRef]
- Avila, M.; Tan, Y.; Hernandez, R.; Zuberi, H.; Rivera, V.M. Multiple Sclerosis and Neuromyelitis Optica Spectrum Disorder: Onset Following Acute COVID-19 Infection, a Case Series. Neurol. Ther. 2023, 12, 319–327. [Google Scholar] [CrossRef]
- Feizi, P.; Sharma, K.; Pasham, S.R.; Nirwan, L.; Joseph, J.; Jaiswal, S.; Sriwastava, S. Central nervous system (CNS) inflammatory demyelinating diseases (IDDs) associated with COVID-19: A case series and review. J. Neuroimmunol. 2022, 371, 577939. [Google Scholar] [CrossRef]
- Finsterer, J. SARS-CoV-2 triggered relapse of multiple sclerosis. Clin. Neurol. Neurosurg. 2022, 215, 107210. [Google Scholar] [CrossRef] [PubMed]
- Czarnowska, A.; Tarasiuk, J.; Zajkowska, O.; Wnuk, M.; Marona, M.; Nowak, K.; Słowik, A.; Jamroz-Wiśniewska, A.; Rejdak, K.; Lech, B.; et al. Analysis of Side Effects Following Vaccination Against COVID-19 Among Individuals With Multiple Sclerosis Treated With DMTs in Poland. Front. Neurol. 2022, 13, 913283. [Google Scholar] [CrossRef]
- Gernert, J.A.; Zimmermann, H.; Oswald, E.; Christmann, T.; Kumpfel, T.; Havla, J. Clinical onset of CNS demyelinating disease after COVID-19 vaccination: Denovo disease? Mult. Scler. Relat. Disord. 2022, 67, 104175. [Google Scholar] [CrossRef] [PubMed]
- Khayat-Khoei, M.; Bhattacharyya, S.; Katz, J.; Harrison, D.; Tauhid, S.; Bruso, P.; Houtchens, M.K.; Edwards, K.R.; Bakshi, R. COVID-19 mRNA vaccination leading to CNS inflammation: A case series. J. Neurol. 2022, 269, 1093–1106. [Google Scholar] [CrossRef]
- Kaulen, L.D.; Doubrovinskaia, S.; Mooshage, C.; Jordan, B.; Purrucker, J.; Haubner, C.; Seliger, C.; Lorenz, H.M.; Nagel, S.; Wildemann, B.; et al. Neurological autoimmune diseases following vaccinations against SARS-CoV-2: A case series. Eur. J. Neurol. 2022, 29, 555–563. [Google Scholar] [CrossRef]
- Ahoussougbemey Mele, A.; Ogbuagu, H.; Parag, S.; Pierce, B. A Case of Multiple Sclerosis Uncovered Following Moderna SARS-CoV-2 Vaccination. Cureus 2022, 14, e32799. [Google Scholar] [CrossRef]
- Nistri, R.; Barbuti, E.; Rinaldi, V.; Tufano, L.; Pozzilli, V.; Ianniello, A.; Marinelli, F.; De Luca, G.; Prosperini, L.; Tomassini, V.; et al. Case Report: Multiple Sclerosis Relapses After Vaccination Against SARS-CoV2: A Series of Clinical Cases. Front. Neurol. 2021, 12, 765954. [Google Scholar] [CrossRef]
- Rinaldi, V.; Bellucci, G.; Buscarinu, M.C.; Reniè, R.; Marrone, A.; Nasello, M.; Zancan, V.; Nistri, R.; Palumbo, R.; Salerno, A.; et al. CNS inflammatory demyelinating events after COVID-19 vaccines: A case series and systematic review. Front. Neurol. 2022, 13, 1018785. [Google Scholar] [CrossRef]
- Watad, A.; De Marco, G.; Mahajna, H.; Druyan, A.; Eltity, M.; Hijazi, N.; Haddad, A.; Elias, M.; Zisman, D.; Naffaa, M.E.; et al. Immune-Mediated Disease Flares or New-Onset Disease in 27 Subjects Following mRNA/DNA SARS-CoV-2 Vaccination. Vaccines 2021, 9, 435. [Google Scholar] [CrossRef] [PubMed]
- Toljan, K.; Amin, M.; Kunchok, A.; Ontaneda, D. New diagnosis of multiple sclerosis in the setting of mRNA COVID-19 vaccine exposure. J. Neuroimmunol. 2022, 362, 577785. [Google Scholar] [CrossRef]
- Al-Midfai, Y.; Kujundzic, W.; Uppal, S.; Oakes, D.; Giezy, S. Acute Multiple Sclerosis Exacerbation After Vaccination With the Johnson & Johnson COVID-19 Vaccine: Novel Presentation and First Documented Case Report. Cureus 2022, 14, e24017. [Google Scholar]
- Maniscalco, G.T.; Manzo, V.; Di Battista, M.E.; Salvatore, S.; Moreggia, O.; Scavone, C.; Capuano, A. Severe Multiple Sclerosis Relapse After COVID-19 Vaccination: A Case Report. Front. Neurol. 2021, 12, 721502. [Google Scholar] [CrossRef] [PubMed]
- Kataria, S.; Rogers, S.; Bilal, U.; Baktashi, H.; Singh, R. Multiple Sclerosis Relapse Following COVID-19 Vaccination: A Case Report and Literature Review. Cureus 2022, 14, e21374. [Google Scholar] [CrossRef] [PubMed]
- Seyed Ahadi, M.; Ghadiri, F.; Ahraian, M.A.; Naser Moghadasi, A. Acute attack in a patient with multiple sclerosis 2 days after COVID vaccination: A case report. Acta Neurol. Belg. 2023, 123, 253–254. [Google Scholar] [CrossRef] [PubMed]
- D’Apolito, M.; Rispoli, M.G.; Ajdinaj, P.; Digiovanni, A.; Tomassini, V.; Gentile, L.; De Luca, G. Progressive multifocal leukoencephalopathy or severe multiple sclerosis relapse following COVID-19 vaccine: A diagnostic challenge. Neurol. Sci. 2023, 44, 1141–1146. [Google Scholar] [CrossRef]
- Ismail, I.I.; Al-Hashel, J.; Alroughani, R.; Ahmed, S.F. A case report of multiple sclerosis after COVID-19 infection: Causality or coincidence? Neuroimmunol. Rep. 2021, 1, 100008. [Google Scholar] [CrossRef]
- World Health Organization. Causality assessment of adverse events following immunization. Wkly. Epidemiol. Rec. 2001, 76, 85–89. [Google Scholar]
- Krasemann, S.; Haferkamp, U.; Pfefferle, S.; Woo, M.S.; Heinrich, F.; Schweizer, M.; Appelt-Menzel, A.; Cubukova, A.; Barenberg, J.; Leu, J.; et al. The blood-brain barrier is dysregulated in COVID-19 and serves as a CNS entry route for SARS-CoV-2. Stem Cell Rep. 2022, 17, 307–320. [Google Scholar] [CrossRef]
- Lam, S.M.; Huang, X.; Shui, G. Neurological aspects of SARS-CoV-2 infection: Lipoproteins and exosomes as Trojan horses. Trends Endocrinol. Metab. 2022, 33, 554–568. [Google Scholar] [CrossRef]
- Meinhardt, J.; Radke, J.; Dittmayer, C.; Franz, J.; Thomas, C.; Mothes, R.; Laue, M.; Schneider, J.; Brunink, S.; Greuel, S.; et al. Olfactory transmucosal SARS-CoV-2 invasion as a port of central nervous system entry in individuals with COVID-19. Nat. Neurosci. 2021, 24, 168–175. [Google Scholar] [CrossRef]
- Matschke, J.; Lutgehetmann, M.; Hagel, C.; Sperhake, J.P.; Schroder, A.S.; Edler, C.; Mushumba, H.; Fitzek, A.; Allweiss, L.; Dandri, M.; et al. Neuropathology of patients with COVID-19 in Germany: A post-mortem case series. Lancet Neurol. 2020, 19, 919–929. [Google Scholar] [CrossRef]
- Liu, J.-M.; Tan, B.-H.; Wu, S.; Gui, Y.; Suo, J.-L.; Li, Y.-C. Evidence of central nervous system infection and neuroinvasive routes, as well as neurological involvement, in the lethality of SARS-CoV-2 infection. J. Med. Virol. 2021, 93, 1304–1313. [Google Scholar] [CrossRef]
- Esposito, G.; Pesce, M.; Seguella, L.; Sanseverino, W.; Lu, J.; Sarnelli, G. Can the enteric nervous system be an alternative entrance door in SARS-CoV2 neuroinvasion? Brain Behav. Immun. 2020, 87, 93–94. [Google Scholar] [CrossRef]
- Sun, N.; Perlman, S. Spread of a neurotropic coronavirus to spinal cord white matter via neurons and astrocytes. J. Virol. 1995, 69, 633–641. [Google Scholar] [CrossRef] [PubMed]
- Zheng, J.; Wong, L.-Y.R.; Li, K.; Verma, A.K.; Ortiz, M.E.; Wohlford-Lenane, C.; Leidinger, M.R.; Knudson, C.M.; Meyerholz, D.K.; McCray, P.B., Jr.; et al. COVID-19 treatments and pathogenesis including anosmia in K18-hACE2 mice. Nature 2021, 589, 603–607. [Google Scholar] [CrossRef] [PubMed]
- MacDougall, M.; El-Hajj Sleiman, J.; Beauchemin, P.; Rangachari, M. SARS-CoV-2 and Multiple Sclerosis: Potential for Disease Exacerbation. Front. Immunol. 2022, 13, 871276. [Google Scholar] [CrossRef]
- Fernandes de Souza, W.D.; Fonseca, D.M.d.; Sartori, A. COVID-19 and Multiple Sclerosis: A Complex Relationship Possibly Aggravated by Low Vitamin D Levels. Cells 2023, 12, 684. [Google Scholar] [CrossRef] [PubMed]
- Mohammadi, S.; Moosaie, F.; Aarabi, M.H. Understanding the Immunologic Characteristics of Neurologic Manifestations of SARS-CoV-2 and Potential Immunological Mechanisms. Mol. Neurobiol. 2020, 57, 5263–5275. [Google Scholar] [CrossRef]
- Severa, M.; Farina, C.; Salvetti, M.; Coccia, E.M. Three Decades of Interferon-beta in Multiple Sclerosis: Can We Repurpose This Information for the Management of SARS-CoV2 Infection? Front. Immunol. 2020, 11, 1459. [Google Scholar] [CrossRef] [PubMed]
- Acharya, D.; Liu, G.; Gack, M.U. Dysregulation of type I interferon responses in COVID-19. Nat. Rev. Immunol. 2020, 20, 397–398. [Google Scholar] [CrossRef] [PubMed]
- Pollard, A.J.; Bijker, E.M. A guide to vaccinology: From basic principles to new developments. Nat. Rev. Immunol. 2021, 21, 83–100. [Google Scholar] [CrossRef] [PubMed]
- Folegatti, P.M.; Ewer, K.J.; Aley, P.K.; Angus, B.; Becker, S.; Belij-Rammerstorfer, S.; Bellamy, D.; Bibi, S.; Bittaye, M.; Clutterbuck, E.A.; et al. Safety and immunogenicity of the ChAdOx1 nCoV-19 vaccine against SARS-CoV-2: A preliminary report of a phase 1/2, single-blind, randomised controlled trial. Lancet 2020, 396, 467–478. [Google Scholar] [CrossRef]
- De Martino, M.; Chiappini, E.; Galli, L. Vaccines and autoimmunity. Int. J. Immunopathol. Pharmacol. 2013, 26, 283–290. [Google Scholar] [CrossRef] [PubMed]
- Ismail, I.I.; Salama, S. Association of CNS demyelination and COVID-19 infection: An updated systematic review. J. Neurol. 2022, 269, 541–576. [Google Scholar] [CrossRef]
- Havla, J.; Schultz, Y.; Zimmermann, H.; Hohlfeld, R.; Danek, A.; Kumpfel, T. First manifestation of multiple sclerosis after immunization with the Pfizer-BioNTech COVID-19 vaccine. J. Neurol. 2022, 269, 55–58. [Google Scholar] [CrossRef] [PubMed]
- Canavero, I.; Valentino, F.; Colombo, E.; Franciotta, D.; Ferrandi, D.; Mussa, M.; Schizzi, R.; Marinou, K.; Zanferrari, C.; Businaro, P.; et al. Acute myelopathies associated to SARS-CoV-2 infection: Viral or immune-mediated damage? Travel. Med. Infect. Dis. 2021, 40, 102000. [Google Scholar] [CrossRef]
- Mondal, R.; Deb, S.; Shome, G.; Ganguly, U.; Lahiri, D.; Benito-León, J. COVID-19 and emerging spinal cord complications: A systematic review. Mult. Scler. Relat. Disord. 2021, 51, 102917. [Google Scholar] [CrossRef]
- Ismail, I.I.; Salama, S. A systematic review of cases of CNS demyelination following COVID-19 vaccination. J. Neuroimmunol. 2022, 362, 577765. [Google Scholar] [CrossRef]








| Authors | Time Interval | Anatomical Location Related to Clinical Symptoms | CE Lesions | Non-CE Lesions | OB | Previous Vaccine | §§ Anti-MOG/AQP4 Titration |
|---|---|---|---|---|---|---|---|
| MS ONSET | |||||||
| Case 1 | 2 weeks | BS (dyplopia) | - | + | + | - | +/+ |
| Moore et al. [52] | 2 weeks | BS (dyplopia) | BS, ST | + | + | NA | +/+ |
| Yavari et al. [53] | 3 weeks | BS (dyplopia) | ST | + | NA | NA | -/- |
| Carta et al. [54] | concomitant | BS (dyplopia) | ST ^ | + | NA | -/- | |
| Pignolo et al. [55] 1st case | 8 weeks | BS (facial palsy) | - | + | + | - | +/+ |
| Ismail et al. [76]. | 8 weeks | Cerebellum | - | + | + | - | -/- |
| Case 2 | 2 weeks | ON | - SC | + | - | - | +/+ |
| $ Case 3 | 2 weeks | ON | - | + | + | - | +/+ |
| Palao et al. [56] | 2 weeks | ON | ST | + | + | - | +/+ |
| Sarwar et al. [57] | 3 weeks | ON and unilateral motor deficit | ST | + | NA | NA | -/- |
| Case 4 | 4 weeks | SC | SC | + | + | + | +/+ |
| Fragoso et al. [58] | 6 months | SC | ST, SC | + | + | - | +/+ |
| Avila et al. [59] * | 2–6 weeks | 40% SC 40% ON 20% BS | NA | NA | + | 80% - 20% + | NA/+ |
| Feizi et al. [60] | 1 week | SC | SC | + | + | NA | +/+ |
| MS RELAPSE | |||||||
| Pignolo et al. [55] 2nd case | 2 months | Uncertain (unilateral motor symptoms) | ST | + | + | - | NA |
| $ Case 5 | 3 weeks | Cerebellum (trunk/gait ataxia, dysmetria) | NA | NA | NA | + | NA |
| Finsterer [61] | 2 weeks | SC (sensory symptoms both inferior limbs and trunk level) | SC | + | + | - | NA |
Disclaimer/Publisher’s Note: The statements, opinions and data contained in all publications are solely those of the individual author(s) and contributor(s) and not of MDPI and/or the editor(s). MDPI and/or the editor(s) disclaim responsibility for any injury to people or property resulting from any ideas, methods, instructions or products referred to in the content. |
© 2023 by the authors. Licensee MDPI, Basel, Switzerland. This article is an open access article distributed under the terms and conditions of the Creative Commons Attribution (CC BY) license (https://creativecommons.org/licenses/by/4.0/).
Share and Cite
Tavazzi, E.; Pichiecchio, A.; Colombo, E.; Rigoni, E.; Asteggiano, C.; Vegezzi, E.; Masi, F.; Greco, G.; Bastianello, S.; Bergamaschi, R. The Potential Role of SARS-CoV-2 Infection and Vaccines in Multiple Sclerosis Onset and Reactivation: A Case Series and Literature Review. Viruses 2023, 15, 1569. https://doi.org/10.3390/v15071569
Tavazzi E, Pichiecchio A, Colombo E, Rigoni E, Asteggiano C, Vegezzi E, Masi F, Greco G, Bastianello S, Bergamaschi R. The Potential Role of SARS-CoV-2 Infection and Vaccines in Multiple Sclerosis Onset and Reactivation: A Case Series and Literature Review. Viruses. 2023; 15(7):1569. https://doi.org/10.3390/v15071569
Chicago/Turabian StyleTavazzi, Eleonora, Anna Pichiecchio, Elena Colombo, Eleonora Rigoni, Carlo Asteggiano, Elisa Vegezzi, Francesco Masi, Giacomo Greco, Stefano Bastianello, and Roberto Bergamaschi. 2023. "The Potential Role of SARS-CoV-2 Infection and Vaccines in Multiple Sclerosis Onset and Reactivation: A Case Series and Literature Review" Viruses 15, no. 7: 1569. https://doi.org/10.3390/v15071569
APA StyleTavazzi, E., Pichiecchio, A., Colombo, E., Rigoni, E., Asteggiano, C., Vegezzi, E., Masi, F., Greco, G., Bastianello, S., & Bergamaschi, R. (2023). The Potential Role of SARS-CoV-2 Infection and Vaccines in Multiple Sclerosis Onset and Reactivation: A Case Series and Literature Review. Viruses, 15(7), 1569. https://doi.org/10.3390/v15071569

