Pulmonary Thrombosis despite Therapeutic Anticoagulation in COVID-19 Pneumonia: A Case Report and Literature Review
Abstract
1. Introduction
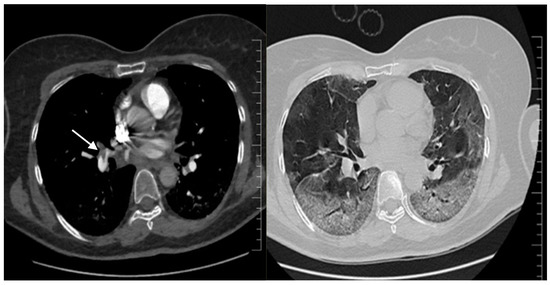
2. Case Report
3. Discussions and Literature Review
4. Conclusions
Author Contributions
Funding
Institutional Review Board Statement
Informed Consent Statement
Data Availability Statement
Conflicts of Interest
References
- Loo, J.; Spittle, D.A.; Newnham, M. COVID-19, immunothrombosis and venous thromboembolism: Biological mechanisms. Thorax 2021, 76, 412–420. [Google Scholar] [CrossRef] [PubMed]
- Manolis, A.S.; Manolis, T.A.; Papatheou, D.; Melita, H. COVID-19 Infection: Viral Macro- and Micro-Vascular Coagulopathy and Thromboembolism/Prophylactic and Therapeutic Management. J. Cardiovasc. Pharmacol. Ther. 2021, 26, 12–24. [Google Scholar] [CrossRef] [PubMed]
- Tang, N.; Li, D.; Wang, X.; Sun, Z. Abnormal coagulation parameters are associated with poor prognosis in patients with novel coronavirus pneumonia. J. Thromb. Haemost. 2020, 18, 844–847. [Google Scholar] [CrossRef] [PubMed]
- Lim, M.S.; Mcrae, S. COVID-19 and immunothrombosis: Pathophysiology and therapeutic implications. Crit. Rev. Oncol. Hematol. 2021, 168, 103529. [Google Scholar] [CrossRef]
- Mueller-Peltzer, K.; Krauss, T.; Benndorf, M.; Lang, C.N.; Bamberg, F.; Bode, C.; Duerschmied, D.; Staudacher, D.L.; Zotzmann, V. Pulmonary artery thrombi are co-located with opacifications in SARS-CoV-2 induced ARDS. Respir. Med. 2020, 172, 106135. [Google Scholar] [CrossRef]
- Scialpi, M.; Sielaszuk, E.B.; Vitale, M.E.; Scalera, G.B.; Nicola, R.; Mancioli, F.A. Pulmonary embolism in COVID-19: Ancillary findings on chest CT angiography. Lung India 2021, 38 (Suppl. 1), S123–S125. [Google Scholar] [CrossRef]
- Cau, R.; Pacielli, A.; Fatemeh, H.; Vaudano, P.; Arru, C.; Crivelli, P.; Stranieri, G.; Suri, J.S.; Mannelli, L.; Conti, M.; et al. Complications in COVID-19 patients: Characteristics of pulmonary embolism. Clin. Imaging 2021, 77, 244–249. [Google Scholar] [CrossRef]
- De Cobelli, F.; Palumbo, D.; Ciceri, F.; Landoni, G.; Ruggeri, A.; Rovere-Querini, P.; D’Angelo, A.; Steidler, S.; Galli, L.; Poli, A.; et al. Pulmonary Vascular Thrombosis in COVID-19 Pneumonia. J. Cardiothorac. Vasc. Anesth 2021, 35, 3631–3641. [Google Scholar] [CrossRef]
- Quartuccio, L.; Sonaglia, A.; Casarotto, L.; McGonagle, D.; Di Loreto, C.; Pegolo, E. Clinical, laboratory and immunohistochemical characterization of in situ pulmonary arterial thrombosis in fatal COVID-19. Thromb. Res. 2022, 219, 95–101. [Google Scholar] [CrossRef]
- Khismatullin, R.R.; Ponomareva, A.A.; Nagaswami, C.; Ivaeva, R.A.; Montone, K.T.; Weisel, J.W.; Litvinov, R.I. Pathology of lung-specific thrombosis and inflammation in COVID-19. J. Thromb. Haemost. 2021, 19, 3062–3072. [Google Scholar] [CrossRef]
- Di Minno, A.; Ambrosino, P.; Calcaterra, I.; Di Minno, M.N.D. COVID-19 and Venous Thromboembolism: A Meta-analysis of Literature Studies. Semin. Thromb. Hemost. 2020, 46, 763–771. [Google Scholar] [CrossRef] [PubMed]
- Chandra, A.; Chakraborty, U.; Ghosh, S.; Dasgupta, S. Anticoagulation in COVID-19: Current concepts and controversies. Postgrad. Med. J. 2022, 98, 395–402. [Google Scholar] [CrossRef] [PubMed]
- Stals, M.A.M.; Kaptein, F.; Kroft, L.; Klok, F.; Huisman, M.V. Challenges in the diagnostic approach of suspected pulmonary embolism in COVID-19 patients. Postgrad. Med. 2021, 133 (Suppl. 1), 36–41. [Google Scholar] [CrossRef] [PubMed]
- Horne, M.K., III. The dark side of deep venous thrombosis: The failure of anticoagulation. Am. J. Med. 2001, 110, 589–590. [Google Scholar] [CrossRef]
- Mosarla, R.C.; Vaduganathan, M.; Qamar, A.; Moslehi, J.; Piazza, G.; Giugliano, R.P. Anticoagulation Strategies in Patients With Cancer: JACC Review Topic of the Week. J. Am. Coll. Cardiol. 2019, 73, 1336–1349. [Google Scholar] [CrossRef]
- Janes, F.; Gigli, G.L.; Kuris, F.; Morassi, M.; Costa, P.; Nesi, L.; Giacomello, R.; Mazzacane, F.; Leuci, E.; Cavallini, A.; et al. Failure of Therapeutic Anticoagulation in COVID-19 Patients With Acute Ischemic Stroke. A Retrospective Multicenter Study. Front. Neurol. 2022, 13, 834469. [Google Scholar] [CrossRef]
- McIlroy, G.; Smith, N.; Lokare, A.; Beale, K.; Kartsios, C. Treatment Failure in Patients Receiving Direct Oral Anticoagulants: Clinical Management and Outcomes from a Single-Center Review of 59 Consecutive Patients. Blood 2018, 132 (Suppl. 1), 5058. [Google Scholar] [CrossRef]
- El-Qutob, D.; Alvarez-Arroyo, L.; Barreda, I.; Nieto, M.; Pin, M.; Poveda-Andrés, J.L.; Carrera-Hueso, F.J. High incidence of pulmonary thromboembolism in hospitalized SARS-CoV-2 infected patients despite thrombo-prophylaxis. Heart Lung 2022, 53, 77–82. [Google Scholar] [CrossRef]
- Kutsogiannis, D.J.; Alharthy, A.; Balhamar, A.; Faqihi, F.; Papanikolaou, J.; Alqahtani, S.A.; Memish, Z.A.; Brindley, P.G.; Brochard, L.; Karakitsos, D. Mortality and Pulmonary Embolism in Acute Respiratory Distress Syndrome From COVID-19 vs. Non-COVID-19. Front. Med. 2022, 9, 800241. [Google Scholar] [CrossRef]
- Mazloomzadeh, S.; Khaleghparast, S.; Ghadrdoost, B.; Mousavizadeh, M.; Baay, M.R.; Noohi, F.; Sharifnia, H.; Ahmadi, A.; Tavan, S.; Alamdari, N.M.; et al. Effect of Intermediate-Dose vs Standard-Dose Prophylactic Anticoagulation on Thrombotic Events, Extracorporeal Membrane Oxygenation Treatment, or Mortality Among Patients With COVID-19 Admitted to the Intensive Care Unit: The INSPIRATION Randomized Clinical Trial. JAMA 2021, 325, 1620–1630. [Google Scholar]
- Klok, F.A.; Kruip, M.J.H.A.; van der Meer, N.J.M.; Arbous, M.S.; Gommers, D.A.M.P.J.; Kant, K.M.; Kaptein, F.H.J.; van Paassen, J.; Stals, M.A.M.; Huisman, M.V.; et al. Incidence of thrombotic complications in critically ill ICU patients with COVID-19. Thromb. Res. 2020, 191, 145–147. [Google Scholar] [CrossRef] [PubMed]
- de Roquetaillade, C.; Chousterman, B.; Tomasoni, D.; Zeitouni, M.; Houdart, E.; Guedon, A.; Reiner, P.; Bordier, R.; Gayat, E.; Montalescot, G.; et al. Unusual arterial thrombotic events in COVID-19 patients. Int. J. Cardiol. 2021, 323, 281–284. [Google Scholar] [CrossRef] [PubMed]
- Konstantinides, S.V.; Meyer, G.; Becattini, C.; Bueno, H.; Geersing, G.J.; Harjola, V.P.; Huisman, M.V.; Humbert, M.; Jennings, C.S.; Jiménez, D.; et al. 2019 ESC Guidelines for the diagnosis and management of acute pulmonary embolism developed in collaboration with the European Respiratory Society (ERS): The Task Force for the diagnosis and management of acute pulmonary embolism of the European Society of Cardiology (ESC). Eur. Heart J. 2019, 41, 543–603. [Google Scholar]
- Barbar, S.; Noventa, F.; Rossetto, V.; Ferrari, A.; Brandolin, B.; Perlati, M.; DE Bon, E.; Tormene, D.; Pagnan, A.; Prandoni, P. A risk assessment model for the identification of hospitalized medical patients at risk for venous thromboembolism: The Padua Prediction Score. J. Thromb. Haemost. 2010, 8, 2450–2457. [Google Scholar] [CrossRef] [PubMed]
- Niculae, C.M.; Anghel, A.M.J.; Militaru, E.D.; Tîrlescu, L.G.; Lazar, M.; Hristea, A. Acute Pulmonary Artery Thrombosis despite Anticoagulation in Patients with COVID-19 Pneumonia: A Single-Center Retrospective Cohort Study. J. Clin. Med. 2022, 11, 2633. [Google Scholar] [CrossRef]
- Baccellieri, D.; Bertoglio, L.; Apruzzi, L.; Ardita, V.; D’angelo, A.; Bossi, M.; Rinaldi, E.; Bilman, V.; Calvisi, S.; Castagna, A.; et al. Incidence of deep venous thrombosis in COVID-19 hospitalized patients during the first peak of the Italian outbreak. Phlebology 2021, 36, 375–383. [Google Scholar] [CrossRef]
- Bellmunt-Montoya, S.; Riera, C.; Gil, D.; Rodríguez, M.; García-Reyes, M.; Martínez-Carnovale, L.; Marrero, C.; Gil, M.; Ruiz-Rodríguez, J.C.; Ferrer, R.; et al. COVID-19 Infection in Critically Ill Patients Carries a High Risk of Venous Thrombo-embolism. Eur. J. Vasc. Endovasc. Surg. 2021, 61, 628–634. [Google Scholar] [CrossRef]
- Di Micco, P.; Tufano, A.; Cardillo, G.; Imbalzano, E.; Amitrano, M.; Lodigiani, C.; Bellizzi, A.; Camporese, G.; Cavalli, A.; De Stefano, C.; et al. The Impact of Risk-Adjusted Heparin Regimens on the Outcome of Patients with COVID-19 Infection. A Prospective Cohort Study. Viruses 2021, 13, 1720. [Google Scholar] [CrossRef]
- Jalde, F.C.; Beckman, M.O.; Svensson, A.M.; Bell, M.; Sköld, M.; Strand, F.; Nyren, S.; Kistner, A. Widespread Parenchymal Abnormalities and Pulmonary Embolism on Contrast-Enhanced CT Predict Disease Severity and Mortality in Hospitalized COVID-19 Patients. Front. Med. 2021, 8, 666723. [Google Scholar] [CrossRef]
- Muñoz-Rivas, N.; Abad-Motos, A.; Mestre-Gómez, B.; Sierra-Hidalgo, F.; Cortina-Camarero, C.; Lorente-Ramos, R.M.; Torres-Rubio, P.; Arranz-García, P.; Franco-Moreno, A.I.; Gómez-Mariscal, E.; et al. Systemic thrombosis in a large cohort of COVID-19 patients despite thromboprophylaxis: A retrospective study. Thromb. Res. 2021, 199, 132–142. [Google Scholar] [CrossRef]
- Schiaffino, S.; Giacomazzi, F.; Esseridou, A.; Cozzi, A.; Carriero, S.; Mazzaccaro, D.P.; Nano, G.; Di Leo, G.; Spagnolo, P.; Sardanelli, F. Pulmonary thromboembolism in coronavirus disease 2019 patients undergoing thromboprophylaxis. Medicine 2021, 100, e24002. [Google Scholar] [CrossRef] [PubMed]
- Fauvel, C.; Weizman, O.; Trimaille, A.; Mika, D.; Pommier, T.; Pace, N.; Douair, A.; Barbin, E.; Fraix, A.; Bouchot, O.; et al. Pulmonary embolism in COVID-19 patients: A French multicentre cohort study. Eur. Heart J. 2020, 41, 3058–3068. [Google Scholar] [CrossRef] [PubMed]
- Llitjos, J.-F.; Leclerc, M.; Chochois, C.; Monsallier, J.-M.; Ramakers, M.; Auvray, M.; Merouani, K. High incidence of venous thromboembolic events in anticoagulated severe COVID-19 patients. J. Thromb. Haemost. 2020, 18, 1743–1746. [Google Scholar] [CrossRef]
- Lodigiani, C.; Iapichino, G.; Carenzo, L.; Cecconi, M.; Ferrazzi, P.; Sebastian, T.; Kucher, N.; Studt, J.-D.; Sacco, C.; Bertuzzi, A.; et al. Venous and arterial thromboembolic complications in COVID-19 patients admitted to an academic hospital in Milan, Italy. Thromb. Res. 2020, 191, 9–14. [Google Scholar] [CrossRef] [PubMed]
- Middeldorp, S.; Coppens, M.; van Haaps, T.F.; Foppen, M.; Vlaar, A.P.; Müller, M.C.; Bouman, C.C.; Beenen, L.F.; Kootte, R.S.; Heijmans, J.; et al. Incidence of venous thromboembolism in hospitalized patients with COVID-19. J. Thromb. Haemost. 2020, 18, 1995–2002. [Google Scholar] [CrossRef] [PubMed]
- Poissy, J.; Goutay, J.; Caplan, M.; Parmentier, E.; Duburcq, T.; Lassalle, F.; Jeanpierre, E.; Rauch, A.; Labreuche, J.; Susen, S. Pulmonary Embolism in Patients With COVID-19: Awareness of an Increased Prevalence. Circulation 2020, 142, 184–186. [Google Scholar] [CrossRef]
- Belarbi, Z.; Brem, F.L.; El Ouafi, N. Upper-extremity deep venous thrombosis and bilateral pulmonary embolism in a patient with COVID-19 under prophylactic anticoagulation: A case report. Ann. Med. Surg. 2022, 77, 103485. [Google Scholar] [CrossRef]
- Di Tano, G.; Dede, M.; Pellicelli, I.; Martinelli, E.; Moschini, L.; Calvaruso, E.; Danzi, G.B. Pulmonary embolism in patients with COVID-19 pneumonia on adequate oral anticoagulation. J. Thromb. Thrombolysis 2022, 53, 576–580. [Google Scholar] [CrossRef]
- Aribawa, I.G.N.M.; Hidayat, L.; Dewi, P.U.; Ryalino, C. Progressive COVID-19-Associated Coagulopathy Despite Treatment with Therapeutic Anticoagulation and Thrombolysis. Am. J. Case Rep. 2021, 22, e930667. [Google Scholar] [CrossRef]
- Brem, F.L.; Missaoui, Z.; Arghal, M.; Rasras, H.; Aichouni, N.; Skiker, I.; El Ouafi, N.; Zakaria, B. Late-onset of pulmonary embolism following hospitalization for COVID-19 despite thromboprophylaxis: A report of two cases. Pan. Afr. Med. J. 2021, 38, 226. [Google Scholar] [CrossRef]
- Kripalani, Y.; Parulekar, L. Pulmonary Embolism in a COVID-19-Positive Primigravida After Caesarean Section Despite Prophylaxis. Eur. J. Case Rep. Intern. Med. 2021, 8, 002684. [Google Scholar] [CrossRef] [PubMed]
- Terrigno, V.R.; Ricketti, D.A.; Patel, P.; Roy, S. Recurrent chronic thromboembolic disease despite optimal anticoagulation in setting of recent COVID-19 infection. BMJ Case Rep. 2021, 14, e238733. [Google Scholar] [CrossRef]
- Geerdes-Fenge, H.F.; Reisinger, E.C.; Arndt, H. Pulmonary Artery Embolism in COVID-19 Despite Thrombosis Prophylaxis. Dtsch. Arztebl. Int. 2020, 117, 297. [Google Scholar] [CrossRef] [PubMed]
- Rout, A.; Chan, A. A Case of COVID-19 Complicated by Venous Thromboembolism Despite Being on Prophylactic Anticoagulation. J. Med. Cases 2020, 11, 189–191. [Google Scholar] [CrossRef] [PubMed]
- Salam, S.; Mallat, J.; Elkambergy, H. Acute high-risk pulmonary embolism requiring thrombolytic therapy in a COVID-19 pneumonia patient despite intermediate dosing deep vein thromboprophylaxis. Respir. Med. Case Rep. 2020, 31, 101263. [Google Scholar] [CrossRef]
- Griffin, D.O.; Jensen, A.; Khan, M.; Chin, J.; Chin, K.; Parnell, R.; Awwad, C.; Patel, D. Arterial thromboembolic complications in COVID-19 in low-risk patients despite prophylaxis. Br. J. Haematol. 2020, 190, e11–e13. [Google Scholar] [CrossRef]
- Kihira, S.; Schefflein, J.; Mahmoudi, K.; Rigney, B.; Delman, B.N.; Mocco, J.; Doshi, A.; Belani, P. Association of Coronavirus Disease (COVID-19) With Large Vessel Occlusion Strokes: A Case-Control Study. AJR Am. J. Roentgenol. 2021, 216, 150–156. [Google Scholar] [CrossRef]
- Stoneham, S.M.; Milne, K.M.; Nuttall, E.; Frew, G.H.; Sturrock, B.R.; Sivaloganathan, H.; Ladikou, E.E.; Drage, S.; Phillips, B.; Chevassut, T.J.; et al. Thrombotic risk in COVID-19: A case series and case-control study. Clin. Med. 2020, 20, e76–e81. [Google Scholar] [CrossRef]
- Cui, L.-Y.; Cheng, W.-W.; Mou, Z.-W.; Xiao, D.; Li, Y.-Y.; Li, Y.-J.; Li, W.-T.; Chen, Z.-M. Risk factors for pulmonary embolism in patients with COVID-19: A systemic review and meta-analysis. Int. J. Infect. Dis. 2021, 111, 154–163. [Google Scholar] [CrossRef]
- Niculae, C.-M.; Hristea, A.; Moroti, R. Mechanisms of COVID-19 Associated Pulmonary Thrombosis: A Narrative Review. Biomedicines 2023, 11, 929. [Google Scholar] [CrossRef]
- Ribes, A.; Vardon-Bounes, F.; Mémier, V.; Poette, M.; Au-Duong, J.; Garcia, C.; Minville, V.; Sié, P.; Bura-Rivière, A.; Voisin, S.; et al. Thromboembolic events and Covid-19. Adv. Biol. Regul. 2020, 77, 100735. [Google Scholar] [CrossRef] [PubMed]
- Soma, P.; Bester, J. Pathophysiological Changes in Erythrocytes Contributing to Complications of Inflammation and Coagulation in COVID-19. Front. Physiol. 2022, 13, 899629. [Google Scholar] [CrossRef] [PubMed]
- Conway, E.M.; Mackman, N.; Warren, R.Q.; Wolberg, A.S.; Mosnier, L.O.; Campbell, R.A.; Gralinski, L.E.; Rondina, M.T.; van de Veerdonk, F.L.; Hoffmeister, K.M.; et al. Understanding COVID-19-associated coagulopathy. Nat. Rev. Immunol. 2022, 22, 639–649. [Google Scholar] [CrossRef]
- Vargas, J.P.; González, V.; Robaglia, D.; Piris, M.; Alén, J.F.; Gorgolas, M.; Llamas, P.; Calvo, C.P.; Flandes, J.; Prieto-Pérez, L. Anticoagulation, Bleeding, and Immunothrombosis in Critically Ill Patients with COVID-19. Chest 2021, 160, A994–A995. [Google Scholar] [CrossRef]
- Zhou, Y.; Tao, W.; Shen, F.; Du, W.; Xu, Z.; Liu, Z. The Emerging Role of Neutrophil Extracellular Traps in Arterial, Venous and Cancer-Associated Thrombosis. Front. Cardiovasc. Med. 2021, 8, 786387. [Google Scholar] [CrossRef] [PubMed]
- Hamad, M.A.; Dasuqi, S.A.; Aleem, A.; Omran, R.A.; AlQahtani, R.M.; Alhammad, F.A.; Alzeer, A.H. Assessment of anti-factor Xa activity in critically ill COVID-19 patients receiving three different anticoagulation regimens. SAGE Open Med. 2021, 9, 20503121211049931. [Google Scholar] [CrossRef]
- Novelli, C.; Borotto, E.; Beverina, I.; Punzi, V.; Radrizzani, D.; Brando, B. Heparin dosage, level, and resistance in SARS-CoV2 infected patients in intensive care unit. Int. J. Lab. Hematol. 2021, 43, 1284–1290. [Google Scholar] [CrossRef]
- Kreuziger, L.B.; Streiff, M. Anti-Xa monitoring of low-molecular-weight heparin in adult patients with cancer. Hematol. Am. Soc. Hematol. Educ. Program. 2016, 2016, 206–207. [Google Scholar] [CrossRef]
- Adie, S.K.; Farina, N. Impact of COVID-19 on monitoring of therapeutic unfractionated heparin. J. Thromb. Thrombolysis 2021, 51, 827–829. [Google Scholar] [CrossRef]


| First Author, Reference | Study Type, Patients with PT/Cohort, N | Anticoagulant | Anticoagulation Regimen | Pulmonary Thrombosis Localisation |
|---|---|---|---|---|
| Niculae, 2022 [25] | Cohort study, 30/30 | LMWH | Prophylactic, intermediate, therapeutic | Main/lobar arteries, segmental/subsegmental arteries |
| Baccellieri, 2021 [26] | Cohort study, 35/200 | LMWH | Prophylactic, therapeutic | NA |
| Bellmunt-Montoya, 2021 [27] | Cohort study, 16/230 | LMWH | Prophylactic, intermediate, therapeutic | NA |
| Di Micco, 2021 [28] | Cohort study, 8/154 | LMWH | Prophylactic, intermediate | NA |
| Jalde, 2021 [29] | C0ohort study, 34/130 | LMWH | Prophylactic, intermediate, therapeutic | Segmental/subsegmental thrombosis |
| Muñoz-Rivas, 2021 [30] | Cohort study, 24/1127 | LMWH | Prophylactic | NA |
| Schiaffino, 2021 [31] | Cohort study, 27/45 | LMWH | Prophylactic | Bilateral thrombosis |
| Fauvel, 2020 [32] | Cohort study, 103/1240 | LMWH | Prophylactic, intermediate, therapeutic, | NA |
| Klok, 2020 [21] | Cohort study, 25/184 | LMWH | Prophylactic | Segmental/subsegmental thrombosis |
| Liitjos, 2020 [33] | Cohort study, 6/18 | LMWH | Therapeutic | NA |
| Lodigiani, 2020 [34] | Cohort study, 3/388 | LMWH | Prophylactic | Segmental/subsegmental thrombosis |
| Middeldorp, 2020 [35] | Cohort study, 13/198 | LMWH | Prophylactic, intermediate | Segmental/subsegmental thrombosis, main pulmonary arteries |
| Poissy, 2020 [36] | Cohort study, 22/106 | LMWH | Prophylactic, therapeutic | Bilateral thrombosis, proximal, segmental thrombosis |
| Belbarbi, 2022 [37] | Case report | LMWH | Prophylactic | Bilateral pulmonary arteries |
| Di Tano, 2022 [38] | Case series, 5/5 | Oral anticoagulation | Prophylactic, therapeutic | Segmental/subsegmental thrombosis |
| Aribawa, 2021 [39] | Case report | Heparin | Therapeutic | Multiple thrombosis on pulmonary arteries |
| Brem, 2021 [40] | Case report, 2/2 | LMWH | Prophylactic | Main pulmonary arteries |
| Kripalani, 2021 [41] | Case report | LMWH | Prophylactic | Lobar inferior artery, segmental/subsegmental thrombosis |
| Terrigno, 2021 [42] | Case report | Oral anticoagulation | Therapeutic | Right main pulmonary artery |
| Geerdes-Fenge, 2020 [43] | Case report | LMWH | Prophylactic | Bilateral lobar inferior arteries |
| Rout, 2020 [44] | Case report | LMWH | Prophylactic | NA |
| Salam, 2020 [45] | Case report | LMWH | Intermediate | Bilateral thrombosis, main pulmonary arteries |
| Article | Niculae, 2022 [25] n = 30 | Jalde, 2021 [29] n = 130 | Schiaffino, 2021 [31] n = 45 | Fauvel, 2020 [32] n = 1240 | Total n = 1445 | p-Value | OR (95% CI) | |||||
|---|---|---|---|---|---|---|---|---|---|---|---|---|
| PT n (%) | Non-PT n (%) | PT N (%) | Non-PT n (%) | PT n (%) | Non-PT n (%) | PT n (%) | Non-PT n (%) | PT N (%) | Non-PT n (%) | |||
| 30 (100) | 0 | 34 (26.2) | 96 (73.8) | 27 (60) | 18 (40) | 103 (8.3) | 1137 (91.7) | 194 (13.4) | 1251 (86.6) | |||
| Cardiovascular risk factors | ||||||||||||
| Age, (median/mean) | 62 (54–74) | NA | 58 (51–64) | 58 (50–65) | 70 | 62 | 63 ± 16 | 64 ± 17 | NA | NA | - | - |
| Male sex, n = 1445 | 25 (83.3) | NA | 27 (79.4) | 68 (70.8) | 20 (74) | 14 (77.7) | 73 (70.9) | 648 (57) | 145 (74.7) | 730 (58.3) | <0.001 | 2.1 (1.4, 2.9) |
| Hypertension, n = 1445 | 15 (50) | NA | 14 (44) | 34 (36) | 13 (48.1) | 10 (55.5) | 44 (42.7) | 515 (45.7) | 86 (44.32) | 559 (44.68) | 0.92 | 0.98 (0.7, 1.3) |
| Dyslipidemia, n = 1400 | 7 (23.3) | NA | 6 (18) | 10 (11) | NA | NA | 22 (21.4) | 294 (26) | 35 (20.95) | 304 (24.65) | 0.29 | 0.81 (0.5, 1.2) |
| Diabetes mellitus, n = 1400 | 9 (30) | NA | 4 (12) | 18 (19) | NA | NA | 19 (18.4) | 249 (22) | 32 (19.16) | 267 (21.65) | 0.46 | 0.85 (0.5, 1.2) |
| Prior stroke, n = 1270 | 1 (3.3) | NA | NA | NA | NA | NA | 2 (1.9) | 92 (8.2) | 3 (2.25) | 92 (8.09) | <0.01 | 0.26 (0.08, 0.8) |
| IHD, n = 1400 | 2 (6.6) | NA | 2 (6) | 7 (8) | NA | NA | 9 (8.7) | 124 (10.9) | 13 (7.78) | 131 (10.62) | 0.25 | 0.71 (0.3, 1.2) |
| Smoking, n = 1240 | NA | NA | NA | NA | NA | NA | 9 (8.9) | 172 (15.4) | 9 (8.73) | 172 (15.12) | 0.06 | 0.53 (0.2, 1) |
| CHF, n = 1400 | 2 (6.6) | NA | 0 | 7 (7.2) | NA | NA | 12 (11.8) | 105 (9.3) | 14 (8.38) | 112 (9.08) | 0.78 | 0.91 (0.5, 1.6) |
| Other classical risk factors for thrombosis | ||||||||||||
| BMI/Obesity, (median/mean) | 8 (26.6) | NA | 27 (23–29) | 28 (24–31) | 26 | 28 | 27.3 ± 5.6 | 28.2 ± 6.3 | NA | NA | - | - |
| Active malignancy, n = 1445 | 1 (3.3) | NA | 4 (12) | 14 (15) | 2 (7.4) | 2 (11.1) | 8 (7.8) | 159 (14) | 15 (7.73) | 175 (13.98) | 0.01 | 0.51 (0.2, 0.8) |
| Prior VTE, n = 1370 | NA | NA | 0 | 1 (1) | NA | NA | 10 (9.7) | 88 (7.4) | 10 (7.29) | 89 (7.21) | 0.94 | 1.01 (0.5, 1.9) |
| Biological characteristics | ||||||||||||
| CRP, mg/L (median/mean) | 40.4 ±41.4 | NA | 295 (250–341) | 214 (187–241) | 42 | 2 | 114 ± 95 | 89 ± 75 | NA | NA | - | - |
| D-dimers, mg/L (median/mean) | 7.4 ± 6.9 | NA | 8.2 (5.8–11.8) | 2.1 (1.6–2.7) | 0.7 | 0.5 | 3.5 ± 4.3 | 1.3 ± 4.1 | NA | NA | - | - |
| COVID-19 severity and in-hospital mortality | ||||||||||||
| Severe COVID-19 disease *, n = 1445 | 22 (73.3) | 0 | 22 (64.7) | 53 (55.2) | NA | NA | 26 (25.2) | 185 (16.2) | 70 (41.9) | 238 (19.3) | <0.001 | 3.01 (2.1, 4.2) |
| Deceased, n = 1445 | 9 (30) | 0 | 8 (23.5) | 14 (15) | 2 (7.5) | 1 (5.5) | 9 (8.7) | 142 (12.5) | 28 (14.4) | 157 (12.5) | 0.46 | 1.17 (0.7, 1.7) |
Disclaimer/Publisher’s Note: The statements, opinions and data contained in all publications are solely those of the individual author(s) and contributor(s) and not of MDPI and/or the editor(s). MDPI and/or the editor(s) disclaim responsibility for any injury to people or property resulting from any ideas, methods, instructions or products referred to in the content. |
© 2023 by the authors. Licensee MDPI, Basel, Switzerland. This article is an open access article distributed under the terms and conditions of the Creative Commons Attribution (CC BY) license (https://creativecommons.org/licenses/by/4.0/).
Share and Cite
Niculae, C.-M.; Gorea, M.-E.; Tirlescu, L.-G.; Constantin, R.-A.; Moroti, R.; Hristea, A. Pulmonary Thrombosis despite Therapeutic Anticoagulation in COVID-19 Pneumonia: A Case Report and Literature Review. Viruses 2023, 15, 1535. https://doi.org/10.3390/v15071535
Niculae C-M, Gorea M-E, Tirlescu L-G, Constantin R-A, Moroti R, Hristea A. Pulmonary Thrombosis despite Therapeutic Anticoagulation in COVID-19 Pneumonia: A Case Report and Literature Review. Viruses. 2023; 15(7):1535. https://doi.org/10.3390/v15071535
Chicago/Turabian StyleNiculae, Cristian-Mihail, Maria-Evelina Gorea, Laura-Georgiana Tirlescu, Rares-Alexandru Constantin, Ruxandra Moroti, and Adriana Hristea. 2023. "Pulmonary Thrombosis despite Therapeutic Anticoagulation in COVID-19 Pneumonia: A Case Report and Literature Review" Viruses 15, no. 7: 1535. https://doi.org/10.3390/v15071535
APA StyleNiculae, C.-M., Gorea, M.-E., Tirlescu, L.-G., Constantin, R.-A., Moroti, R., & Hristea, A. (2023). Pulmonary Thrombosis despite Therapeutic Anticoagulation in COVID-19 Pneumonia: A Case Report and Literature Review. Viruses, 15(7), 1535. https://doi.org/10.3390/v15071535

