Ischaemic Stroke Occurring in a Patient Treated with Monoclonal Antibodies for COVID-19
Abstract
1. Background
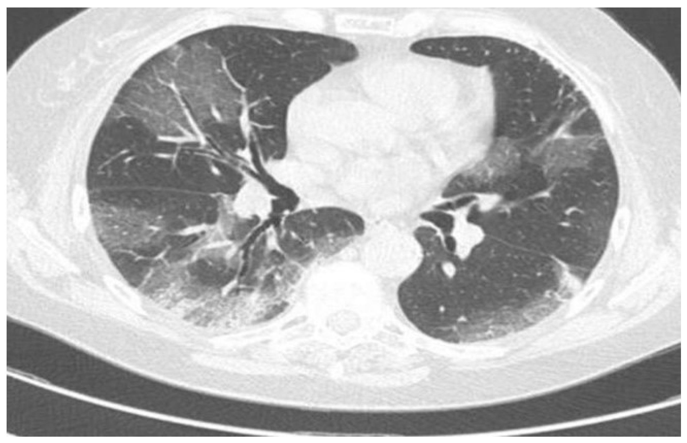
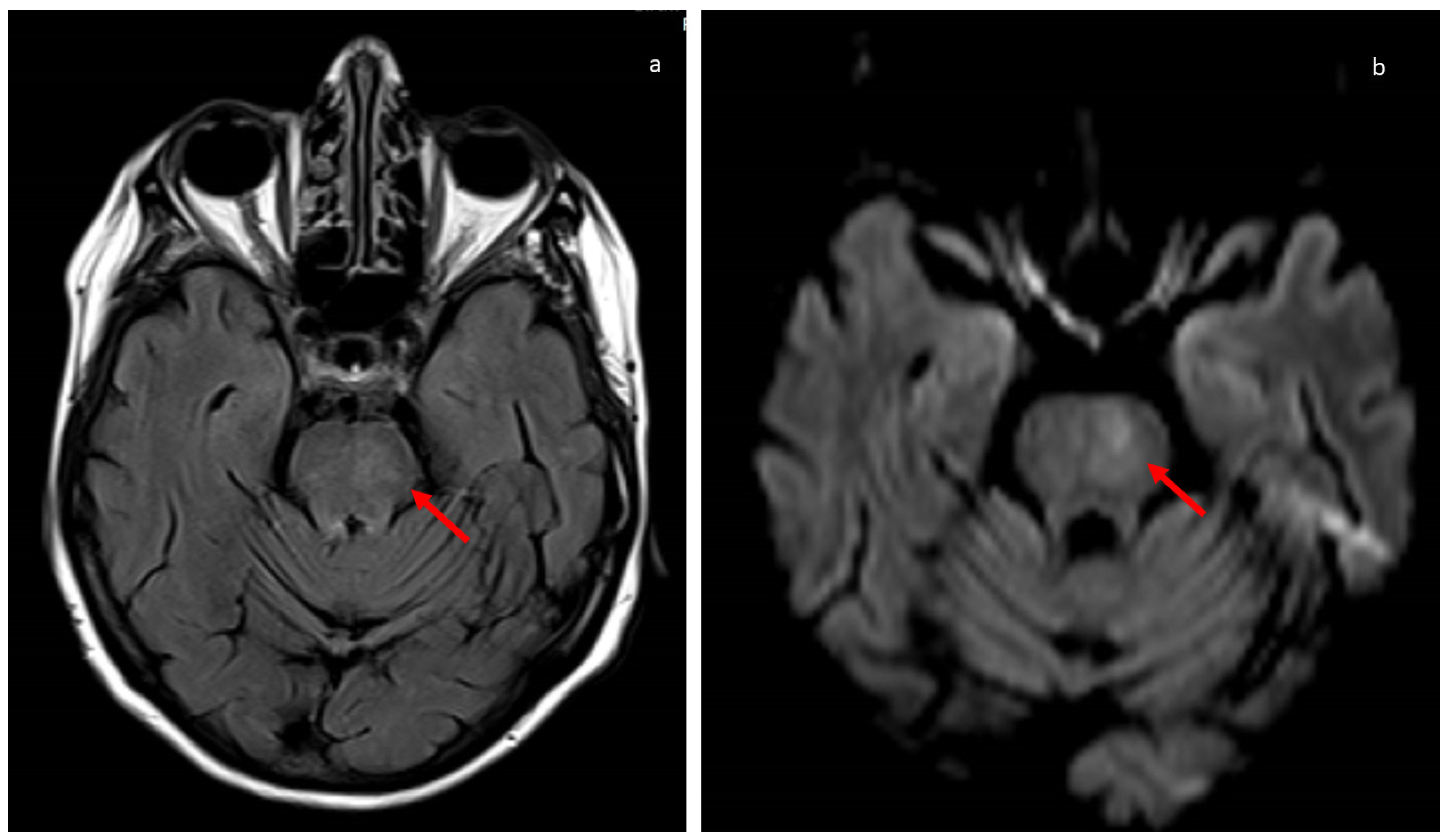
2. Case History
3. Discussion
Author Contributions
Funding
Institutional Review Board Statement
Informed Consent Statement
Data Availability Statement
Conflicts of Interest
References
- Kollias, A.; Kyriakoulis, K.G.; Lagou, S.; Kontopantelis, E.; Stergiou, G.S.; Syrigos, K. Venous thromboembolism in COVID-19: A systematic review and meta-analysis. Vasc. Med. 2021, 26, 415–425. [Google Scholar] [CrossRef] [PubMed]
- Tan, Y.K.; Goh, C.; Leow, A.S.T.; Tambyah, P.A.; Ang, A.; Yap, E.S.; Tu, T.M.; Sharma, V.K.; Yeo, L.L.L.; Chan, B.P.L.; et al. COVID-19 and ischemic stroke: A systematic review and meta-summary of the literature. J. Thromb. Thrombolysis 2020, 50, 587–595. [Google Scholar] [CrossRef] [PubMed]
- Asakura, H.; Ogawa, H. COVID-19-associated coagulopathy and disseminated intravascular coagulation. Int. J. Hematol. 2021, 113, 45–57. [Google Scholar] [CrossRef] [PubMed]
- Orlando, L.; Bagnato, G.; Ioppolo, C.; Franzè, M.S.; Perticone, M.; Versace, A.G.; Sciacqua, A.; Russo, V.; Cicero, A.F.G.; De Gaetano, A.; et al. Natural Course of COVID-19 and Independent Predictors of Mortality. Biomedicines 2023, 11, 939. [Google Scholar] [CrossRef]
- Qureshi, A.I.; Baskett, W.I.; Huang, W.; Shyu, D.; Myers, D.; Raju, M.; Lobanova, I.; Suri, M.F.K.; Naqvi, S.H.; French, B.R.; et al. Acute Ischemic Stroke and COVID-19: An Analysis of 27,676 Patients. Stroke 2021, 52, 905–912. [Google Scholar] [CrossRef] [PubMed]
- Di Micco, P.; Annunziata, A.; Fiorentino, G. Editorial Comment on Special Issue-COVID-19 after One Year of Clinical Experience: Unexpected Clinical Presentations or Complications and Post-COVID-19 Clinical Features. Healthcare 2022, 10, 1715. [Google Scholar] [CrossRef]
- ACTIV-3/Therapeutics for Inpatients with COVID-19 (TICO) Study Group. Efficacy and safety of two neutralising monoclonal antibody therapies, sotrovimab and BRII-196 plus BRII-198, for adults hospitalised with COVID-19 (TICO): A randomised controlled trial. Lancet Infect. Dis. 2022, 22, 622–635. [Google Scholar] [CrossRef]
- Gupta, A.; Gonzalez-Rojas, Y.; Juarez, E.; Casal, M.C.; Moya, J.; Falci, D.R.; Sarkis, E.; Solis, J.; Zheng, H.; Scott, N.; et al. COMET-ICE Investigators. Early Treatment for COVID-19 with SARS-CoV-2 Neutralizing Antibody Sotrovimab. N. Engl. J. Med. 2021, 385, 1941–1950. [Google Scholar] [CrossRef]
- Khazei, A.; Harrisson, D.; Abu-Laban, R.; Mitra, A. Potential missed cerebral arterial gas embolism in patients with in-hospital ischaemic stroke. Diving Hyperb. Med. 2007, 37, 58–64. [Google Scholar]
- Guzik, A.; Bushnell, C. Stroke Epidemiology and Risk Factor Management. Contin. Minneap. Minn. 2017, 23, 15–39. [Google Scholar] [CrossRef]
- Omran, S.S.; Hartman, A.; Zakai, N.A.; Navi, B.B. Thrombophilia Testing After Ischemic Stroke: Why, When, and What? Stroke 2021, 52, 1874–1884. [Google Scholar] [CrossRef] [PubMed]
- Anrather, J.; Iadecola, C. Inflammation and Stroke: An Overview. Neurotherapeutics 2016, 13, 661–670. [Google Scholar] [CrossRef]
- Scheitz, J.F.; Sposato, L.A.; Schulz-Menger, J.; Nolte, C.H.; Backs, J.; Endres, M. Stroke-Heart Syndrome: Recent Advances and Challenges. J. Am. Heart Assoc. 2022, 11, e026528. [Google Scholar] [CrossRef] [PubMed]
- Levy, J.H.; Iba, T.; Olson, L.B.; Corey, K.M.; Ghadimi, K.; Connors, J.M. COVID-19: Thrombosis, thromboinflammation, and anticoagulation considerations. Int. J. Lab. Hematol. 2021, 43 (Suppl. 1), 29–35. [Google Scholar] [CrossRef] [PubMed]
- Stein, L.K.; Mayman, N.A.; Dhamoon, M.S.; Fifi, J.T. The emerging association between COVID-19 and acute stroke. Trends Neurosci. 2021, 44, 527–537. [Google Scholar] [CrossRef] [PubMed]
- Frank, B.; Grotta, J.C.; Alexandrov, A.V.; Bluhmki, E.; Lyden, P.; Meretoja, A.; Mishra, N.K.; Shuaib, A.; Wahlgren, N.G.; Weimar, C.; et al. VISTA Collaborators. Thrombolysis in stroke despite contraindications or warnings? Stroke 2013, 44, 727–733. [Google Scholar] [CrossRef] [PubMed]
- Desai, J.A.; Abuzinadah, A.R.; Imoukhuede, O.; Bernbaum, M.L.; Modi, J.; Demchuk, A.M.; Coutts, S.B. Etiologic classification of TIA and minor stroke by A-S-C-O and causative classification system as compared to TOAST reduces the proportion of patients categorized as cause undetermined. Cerebrovasc. Dis. 2014, 38, 121–126. [Google Scholar] [CrossRef]
- Helms, J.; Kremer, S.; Merdji, H.; Clere-Jehl, R.; Schenck, M.; Kummerlen, C.; Collange, O.; Boulay, C.; Fafi-Kremer, S.; Ohana, M.; et al. Neurologic Features in Severe SARS-CoV-2 Infection. N. Engl. J. Med. 2020, 382, 2268–2270. [Google Scholar] [CrossRef]
- Brandi, N.; Ciccarese, F.; Rimondi, M.R.; Balacchi, C.; Modolon, C.; Sportoletti, C.; Renzulli, M.; Coppola, F.; Golfieri, R. An Imaging Overview of COVID-19 ARDS in ICU Patients and Its Complications: A Pictorial Review. Diagnostics 2022, 12, 846. [Google Scholar] [CrossRef]
- Giles, J.T.; Sattar, N.; Gabriel, S.; Ridker, P.M.; Gay, S.; Warne, C.; Musselman, D.; Brockwell, L.; Shittu, E.; Klearman, M.; et al. Cardiovascular Safety of Tocilizumab versus Etanercept in Rheumatoid Arthritis: A Randomized Controlled Trial. Arthritis Rheumatol. 2020, 72, 31–40. [Google Scholar] [CrossRef]
- Abdel-Qadir, H.; Sabrie, N.; Leong, D.; Pang, A.; Austin, P.C.; Prica, A.; Nanthakumar, K.; Calvillo-Argüelles, O.; Lee, D.S.; Thavendiranathan, P. Cardiovascular Risk Associated with Ibrutinib Use in Chronic Lymphocytic Leukemia: A Population-Based Cohort Study. J. Clin. Oncol. 2021, 39, 3453–3462. [Google Scholar] [CrossRef] [PubMed]


| Test | Results | Normal Values |
|---|---|---|
| WBC (mmcube) | 65,000 | 4000–10,000 |
| RBC (mmcube) | 2,950,000 | 4,000,000–6,000,000 |
| Hb (g\dL) | 8.9 | 12–16 |
| HcT (%) | 27 | 36–48 |
| PLT (mmcube) | 65,000 | 140,000–400,000 |
| PCR SARS-CoV-2 | positive | Negative |
| Urea (mg/dL) | 51 | 10–50 |
| Creatinine (mg/dL) | 1.1 | 0.5–1.1 |
| Prothrombin time (%) | 97 | 80–120 |
| Activated partial thromboplastin time (s) | 29 | 25–36 |
| Factor V Leiden polymorphism | Wild type | Wild type |
| Prothrombin A20210G polymorphism | Wild type | Wild type |
| Protein S levels (%) | 83% | 50–120 |
| Protein C levels (%) | 91% | 50–120 |
| AT III levels (%) | 101 (%) | 60–120 |
| d-dimer (ng/dL) | 905 | <500 |
| Fibrinogen (mg/dL) | 396 | 200–400 |
| LAC ratio | 0.96 | <1.2 |
| Anticardiolipin antibodies IgG (U/GPL) | 7 | <20 |
| Anticardiolipin antibodies IgM (U/MPL) | 6 | <20 |
| antiβ2GPI IgM isotype (U/mL) | 5 | <40 |
| antiβ2GPI IgG isotype (U/mL) | 11 | <40 |
| antiβ2GPI IgA isotype (U/mL) | 9 | <40 |
| Homocysteine (mMol/L) | 8 | <15 |
Disclaimer/Publisher’s Note: The statements, opinions and data contained in all publications are solely those of the individual author(s) and contributor(s) and not of MDPI and/or the editor(s). MDPI and/or the editor(s) disclaim responsibility for any injury to people or property resulting from any ideas, methods, instructions or products referred to in the content. |
© 2023 by the authors. Licensee MDPI, Basel, Switzerland. This article is an open access article distributed under the terms and conditions of the Creative Commons Attribution (CC BY) license (https://creativecommons.org/licenses/by/4.0/).
Share and Cite
Lobasso, A.; di Gennaro, C.; Poggiano, M.R.; Vasta, A.; Ranucci, R.A.N.; Lobianco, R.; Tucci, A.G.; Cavaglià, E.; Di Micco, P. Ischaemic Stroke Occurring in a Patient Treated with Monoclonal Antibodies for COVID-19. Viruses 2023, 15, 1235. https://doi.org/10.3390/v15061235
Lobasso A, di Gennaro C, Poggiano MR, Vasta A, Ranucci RAN, Lobianco R, Tucci AG, Cavaglià E, Di Micco P. Ischaemic Stroke Occurring in a Patient Treated with Monoclonal Antibodies for COVID-19. Viruses. 2023; 15(6):1235. https://doi.org/10.3390/v15061235
Chicago/Turabian StyleLobasso, Antonio, Ciro di Gennaro, Maria Rita Poggiano, Antonio Vasta, Raffaele Angelo Nicola Ranucci, Roberto Lobianco, Anna Giacoma Tucci, Enrico Cavaglià, and Pierpaolo Di Micco. 2023. "Ischaemic Stroke Occurring in a Patient Treated with Monoclonal Antibodies for COVID-19" Viruses 15, no. 6: 1235. https://doi.org/10.3390/v15061235
APA StyleLobasso, A., di Gennaro, C., Poggiano, M. R., Vasta, A., Ranucci, R. A. N., Lobianco, R., Tucci, A. G., Cavaglià, E., & Di Micco, P. (2023). Ischaemic Stroke Occurring in a Patient Treated with Monoclonal Antibodies for COVID-19. Viruses, 15(6), 1235. https://doi.org/10.3390/v15061235

