First Report of Skunk Amdoparvovirus (Species Carnivore amdoparvovirus 4) in Europe in a Captive Striped Skunk (Mephitis mephitis)
Abstract
1. Introduction
2. Materials and Methods
2.1. Gross Pathology and Histopathology
2.2. Genome Sequencing and Analysis
2.3. Phylogenetic Analysis
2.4. Statistics
3. Results
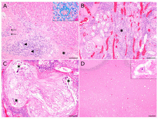
3.1. Macro- and Histopathology Findings
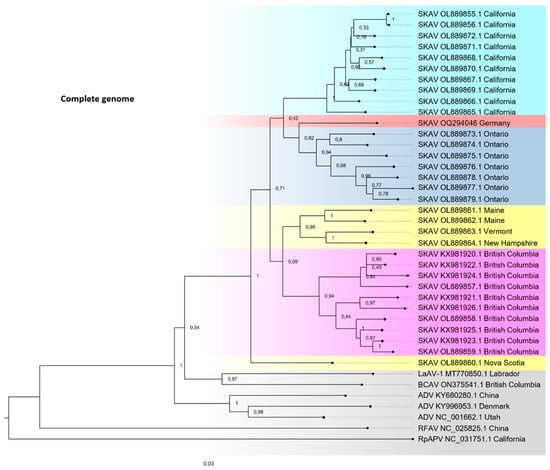
3.2. Virus Detection and Phylogenetic Analysis
4. Discussion
Author Contributions
Funding
Institutional Review Board Statement
Informed Consent Statement
Data Availability Statement
Acknowledgments
Conflicts of Interest
References
- Penzes, J.J.; Soderlund-Venermo, M.; Canuti, M.; Eis-Hubinger, A.M.; Hughes, J.; Cotmore, S.F.; Harrach, B. Reorganizing the family Parvoviridae: A revised taxonomy independent of the canonical approach based on host association. Arch. Virol. 2020, 165, 2133–2146. [Google Scholar] [CrossRef] [PubMed]
- Cotmore, S.F.; Agbandje-McKenna, M.; Canuti, M.; Chiorini, J.A.; Eis-Hubinger, A.M.; Hughes, J.; Mietzsch, M.; Modha, S.; Ogliastro, M.; Penzes, J.J.; et al. ICTV Virus Taxonomy Profile: Parvoviridae. J. Gen. Virol. 2019, 100, 367–368. [Google Scholar] [CrossRef] [PubMed]
- Schuierer, S.; Bloom, M.E.; Kaaden, O.R.; Truyen, U. Sequence analysis of the lymphotropic Aleutian disease parvovirus ADV-SL3. Arch. Virol. 1997, 142, 157–166. [Google Scholar] [CrossRef] [PubMed]
- Bloom, M.E.; Alexandersen, S.; Perryman, S.; Lechner, D.; Wolfinbarger, J.B. Nucleotide sequence and genomic organization of Aleutian mink disease parvovirus (ADV): Sequence comparisons between a nonpathogenic and a pathogenic strain of ADV. J. Virol. 1988, 62, 2903–2915. [Google Scholar] [CrossRef] [PubMed]
- Canuti, M.; Whitney, H.G.; Lang, A.S. Amdoparvoviruses in small mammals: Expanding our understanding of parvovirus diversity, distribution, and pathology. Front. Microbiol. 2015, 6, 1119. [Google Scholar] [CrossRef] [PubMed]
- Franzo, G.; Legnardi, M.; Grassi, L.; Dotto, G.; Drigo, M.; Cecchinato, M.; Tucciarone, C.M. Impact of viral features, host jumps and phylogeography on the rapid evolution of Aleutian mink disease virus (AMDV). Sci. Rep. 2021, 11, 16464. [Google Scholar] [CrossRef]
- Canuti, M.; McDonald, E.; Graham, S.M.; Rodrigues, B.; Bouchard, E.; Neville, R.; Pitcher, M.; Whitney, H.G.; Marshall, H.D.; Lang, A.S. Multi-host dispersal of known and novel carnivore amdoparvoviruses. Virus Evol. 2020, 6, veaa072. [Google Scholar] [CrossRef]
- Li, L.; Pesavento, P.A.; Woods, L.; Clifford, D.L.; Luff, J.; Wang, C.; Delwart, E. Novel amdovirus in gray foxes. Emerg. Infect. Dis. 2011, 17, 1876–1878. [Google Scholar] [CrossRef]
- Shao, X.Q.; Wen, Y.J.; Ba, H.X.; Zhang, X.T.; Yue, Z.G.; Wang, K.J.; Li, C.Y.; Qiu, J.; Yang, F.H. Novel amdoparvovirus infecting farmed raccoon dogs and arctic foxes. Emerg. Infect. Dis. 2014, 20, 2085–2088. [Google Scholar] [CrossRef]
- Alex, C.E.; Kubiski, S.V.; Li, L.; Sadeghi, M.; Wack, R.F.; McCarthy, M.A.; Pesavento, J.B.; Delwart, E.; Pesavento, P.A. Amdoparvovirus Infection in Red Pandas (Ailurus fulgens). Vet. Pathol. 2018, 55, 552–561. [Google Scholar] [CrossRef]
- Bodewes, R.; van der Giessen, J.; Haagmans, B.L.; Osterhaus, A.D.; Smits, S.L. Identification of multiple novel viruses, including a parvovirus and a hepevirus, in feces of red foxes. J. Virol. 2013, 87, 7758–7764. [Google Scholar] [CrossRef] [PubMed]
- Leimann, A.; Knuuttila, A.; Maran, T.; Vapalahti, O.; Saarma, U. Molecular epidemiology of Aleutian mink disease virus (AMDV) in Estonia, and a global phylogeny of AMDV. Virus Res. 2015, 199, 56–61. [Google Scholar] [CrossRef] [PubMed]
- Christensen, L.S.; Gram-Hansen, L.; Chriel, M.; Jensen, T.H. Diversity and stability of Aleutian mink disease virus during bottleneck transitions resulting from eradication in domestic mink in Denmark. Vet. Microbiol. 2011, 149, 64–71. [Google Scholar] [CrossRef] [PubMed]
- Jepsen, J.R.; d’Amore, F.; Baandrup, U.; Clausen, M.R.; Gottschalck, E.; Aasted, B. Aleutian mink disease virus and humans. Emerg Infect Dis 2009, 15, 2040–2042. [Google Scholar] [CrossRef] [PubMed]
- Chapman, I.; Jimenez, F.A. Aleutian-Mink Disease in Man. N. Engl. J. Med. 1963, 269, 1171–1174. [Google Scholar] [CrossRef]
- Nituch, L.A.; Bowman, J.; Wilson, P.J.; Schulte-Hostedde, A.I. Aleutian mink disease virus in striped skunks (Mephitis mephitis): Evidence for cross-species spillover. J. Wildl. Dis. 2015, 51, 389–400. [Google Scholar] [CrossRef]
- Macdonald, D.W.; Harrington, L.A. The American mink: The triumph and tragedy of adaptation out of context. N. Z. J. Zool. 2003, 30, 421–441. [Google Scholar] [CrossRef]
- Nituch, L.A.; Bowman, J.; Wilson, P.; Schulte-Hostedde, A.I. Molecular epidemiology of Aleutian disease virus in free-ranging domestic, hybrid, and wild mink. Evol. Appl. 2012, 5, 330–340. [Google Scholar] [CrossRef]
- Virtanen, J.; Zalewski, A.; Kolodziej-Sobocinska, M.; Brzezinski, M.; Smura, T.; Sironen, T. Diversity and transmission of Aleutian mink disease virus in feral and farmed American mink and native mustelids. Virus Evol. 2021, 7, veab075. [Google Scholar] [CrossRef]
- Gorham, J.R.; Leader, R.W.; Henson, J.B. The Experimental Transmission of a Virus Causing Hypergammaglobulinemia in Mink: Sources and Modes of Infection. J. Infect. Dis. 1964, 114, 341–345. [Google Scholar] [CrossRef]
- Canuti, M.; Doyle, H.E.; Britton, P.A.; Lang, A.S. Full genetic characterization and epidemiology of a novel amdoparvovirus in striped skunk (Mephitis mephitis). Emerg. Microbes Infect. 2017, 6, e30. [Google Scholar] [CrossRef] [PubMed]
- Britton, A.P.; Redford, T.; Bidulka, J.J.; Scouras, A.P.; Sojonky, K.R.; Zabek, E.; Schwantje, H.; Joseph, T. Beyond Rabies: Are Free-Ranging Skunks (Mephitis mephitis) in British Columbia Reservoirs of Emerging Infection? Transbound. Emerg. Dis. 2017, 64, 603–612. [Google Scholar] [CrossRef]
- Glueckert, E.; Clifford, D.L.; Brenn-White, M.; Ochoa, J.; Gabriel, M.; Wengert, G.; Foley, J. Endemic Skunk amdoparvovirus in free-ranging striped skunks (Mephitis mephitis) in California. Transbound. Emerg. Dis. 2019, 66, 2252–2263. [Google Scholar] [CrossRef]
- Allender, M.C.; Schumacher, J.; Thomas, K.V.; McCain, S.L.; Ramsay, E.C.; James, E.W.; Wise, A.G.; Maes, R.K.; Reel, D. Infection with Aleutian disease virus-like virus in a captive striped skunk. J. Am. Vet. Med. Assoc. 2008, 232, 742–746. [Google Scholar] [CrossRef] [PubMed]
- Alex, C.E.; Canuti, M.; Schlesinger, M.S.; Jackson, K.A.; Needle, D.; Jardine, C.; Nituch, L.; Bourque, L.; Lang, A.S.; Pesavento, P.A. Natural disease and evolution of an Amdoparvovirus endemic in striped skunks (Mephitis mephitis). Transbound. Emerg. Dis. 2022, 69, e1758–e1767. [Google Scholar] [CrossRef] [PubMed]
- LaDouceur, E.E.; Anderson, M.; Ritchie, B.W.; Ciembor, P.; Rimoldi, G.; Piazza, M.; Pesti, D.; Clifford, D.L.; Giannitti, F. Aleutian Disease: An Emerging Disease in Free-Ranging Striped Skunks (Mephitis mephitis) From California. Vet. Pathol. 2015, 52, 1250–1253. [Google Scholar] [CrossRef] [PubMed]
- Pennick, K.E.; Latimer, K.S.; Brown, C.A.; Hayes, J.R.; Sarver, C.F. Aleutian disease in two domestic striped skunks (Mephitis mephitis). Vet. Pathol. 2007, 44, 687–690. [Google Scholar] [CrossRef]
- Allander, T.; Emerson, S.U.; Engle, R.E.; Purcell, R.H.; Bukh, J. A virus discovery method incorporating DNase treatment and its application to the identification of two bovine parvovirus species. Proc. Natl. Acad. Sci. USA 2001, 98, 11609–11614. [Google Scholar] [CrossRef]
- Endoh, D.; Mizutani, T.; Kirisawa, R.; Maki, Y.; Saito, H.; Kon, Y.; Morikawa, S.; Hayashi, M. Species-independent detection of RNA virus by representational difference analysis using non-ribosomal hexanucleotides for reverse transcription. Nucleic Acids Res. 2005, 33, e65. [Google Scholar] [CrossRef]
- Katoh, K.; Rozewicki, J.; Yamada, K.D. MAFFT online service: Multiple sequence alignment, interactive sequence choice and visualization. Brief Bioinform. 2019, 20, 1160–1166. [Google Scholar] [CrossRef]
- Nei, M.; Kumar, S. Molecular Evolution and Phylogenetics; Oxford University Press: Oxford, UK, 2000. [Google Scholar]
- Kumar, S.; Stecher, G.; Li, M.; Knyaz, C.; Tamura, K. MEGA X: Molecular Evolutionary Genetics Analysis across Computing Platforms. Mol. Biol. Evol. 2018, 35, 1547–1549. [Google Scholar] [CrossRef] [PubMed]
- Martin, D.P.; Murrell, B.; Golden, M.; Khoosal, A.; Muhire, B. RDP4: Detection and analysis of recombination patterns in virus genomes. Virus Evol. 2015, 1, vev003. [Google Scholar] [CrossRef] [PubMed]
- Heidt, G.A.; Hargraves, J. Blood chemistry and hematology of the spotted skunk, Spilogale putorius. J. Mammal. 1974, 55, 206–208. [Google Scholar] [CrossRef] [PubMed]
- Zaleska-Wawro, M.; Szczerba-Turek, A.; Szweda, W.; Siemionek, J. Seroprevalence and Molecular Epidemiology of Aleutian Disease in Various Countries during 1972–2021: A Review and Meta-Analysis. Animals 2021, 11, 2975. [Google Scholar] [CrossRef]
- Fournier-Chambrillon, C.; Aasted, B.; Perrot, A.; Pontier, D.; Sauvage, F.; Artois, M.; Cassiede, J.M.; Chauby, X.; Dal Molin, A.; Simon, C.; et al. Antibodies to Aleutian mink disease parvovirus in free-ranging European mink (Mustela lutreola) and other small carnivores from southwestern France. J. Wildl. Dis. 2004, 40, 394–402. [Google Scholar] [CrossRef] [PubMed]
- Manas, S.; Cena, J.C.; Ruiz-Olmo, J.; Palazon, S.; Domingo, M.; Wolfinbarger, J.B.; Bloom, M.E. Aleutian mink disease parvovirus in wild riparian carnivores in Spain. J. Wildl. Dis. 2001, 37, 138–144. [Google Scholar] [CrossRef] [PubMed]
- Canuti, M.; Penzes, J.J.; Lang, A.S. A new perspective on the evolution and diversity of the genus Amdoparvovirus (family Parvoviridae) through genetic characterization, structural homology modeling, and phylogenetics. Virus Evol. 2022, 8, veac056. [Google Scholar] [CrossRef]



Disclaimer/Publisher’s Note: The statements, opinions and data contained in all publications are solely those of the individual author(s) and contributor(s) and not of MDPI and/or the editor(s). MDPI and/or the editor(s) disclaim responsibility for any injury to people or property resulting from any ideas, methods, instructions or products referred to in the content. |
© 2023 by the authors. Licensee MDPI, Basel, Switzerland. This article is an open access article distributed under the terms and conditions of the Creative Commons Attribution (CC BY) license (https://creativecommons.org/licenses/by/4.0/).
Share and Cite
Kaiser, F.K.; de le Roi, M.; Jo, W.K.; Gerhauser, I.; Molnár, V.; Osterhaus, A.D.M.E.; Baumgärtner, W.; Ludlow, M. First Report of Skunk Amdoparvovirus (Species Carnivore amdoparvovirus 4) in Europe in a Captive Striped Skunk (Mephitis mephitis). Viruses 2023, 15, 1087. https://doi.org/10.3390/v15051087
Kaiser FK, de le Roi M, Jo WK, Gerhauser I, Molnár V, Osterhaus ADME, Baumgärtner W, Ludlow M. First Report of Skunk Amdoparvovirus (Species Carnivore amdoparvovirus 4) in Europe in a Captive Striped Skunk (Mephitis mephitis). Viruses. 2023; 15(5):1087. https://doi.org/10.3390/v15051087
Chicago/Turabian StyleKaiser, Franziska K., Madeleine de le Roi, Wendy K. Jo, Ingo Gerhauser, Viktor Molnár, Albert D. M. E. Osterhaus, Wolfgang Baumgärtner, and Martin Ludlow. 2023. "First Report of Skunk Amdoparvovirus (Species Carnivore amdoparvovirus 4) in Europe in a Captive Striped Skunk (Mephitis mephitis)" Viruses 15, no. 5: 1087. https://doi.org/10.3390/v15051087
APA StyleKaiser, F. K., de le Roi, M., Jo, W. K., Gerhauser, I., Molnár, V., Osterhaus, A. D. M. E., Baumgärtner, W., & Ludlow, M. (2023). First Report of Skunk Amdoparvovirus (Species Carnivore amdoparvovirus 4) in Europe in a Captive Striped Skunk (Mephitis mephitis). Viruses, 15(5), 1087. https://doi.org/10.3390/v15051087

