Efficacy of Plant-Made Human Recombinant ACE2 against COVID-19 in a Golden Syrian Hamster Model
Abstract
1. Introduction
2. Material and Methods
2.1. Cell Culture and Virus
2.2. Plant Growth Conditions and Protein Expression
2.3. Protein Purification and Western Blot Analysis
2.4. Antiviral Activity by Real-Time RT-PCR
2.5. Antiviral Activity by Plaque Assay
2.6. Animals and Experimental Hamster Models
2.7. Virus Titration in Nasal Turbinate and Lung Tissue Samples
2.8. Histopathology
2.9. Statistical Analysis
3. Results
3.1. Antiviral Activity of hrACE2 and hrACE2-Fd
3.2. Body Weight Analysis
3.3. Viral Titers in Lung and Nasal Turbinate Tissues
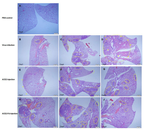
3.4. Histopathological Analysis of Lung Tissue in Hamsters Treated with the Experimental Drugs
4. Discussion
Supplementary Materials
Author Contributions
Funding
Institutional Review Board Statement
Informed Consent Statement
Data Availability Statement
Acknowledgments
Conflicts of Interest
References
- Zhu, N.; Zhang, D.; Wang, W.; Li, X.; Yang, B.; Song, J.; Zhao, X.; Huang, B.; Shi, W.; Lu, R.; et al. A Novel Coronavirus from Patients with Pneumonia in China, 2019. N. Engl. J. Med. 2020, 382, 727–733. [Google Scholar] [CrossRef] [PubMed]
- Sternberg, A.; Naujokat, C. Structural features of coronavirus SARS-CoV-2 spike protein: Targets for vaccination. Life Sci. 2020, 257, 118056. [Google Scholar] [CrossRef] [PubMed]
- Hofmann, H.; Pyrc, K.; van der Hoek, L.; Geier, M.; Berkhout, B.; Pohlmann, S. Human coronavirus NL63 employs the severe acute respiratory syndrome coronavirus receptor for cellular entry. Proc. Natl. Acad. Sci. USA 2005, 102, 7988–7993. [Google Scholar] [CrossRef] [PubMed]
- Sui, J.; Li, W.; Murakami, A.; Tamin, A.; Matthews, L.J.; Wong, S.K.; Moore, M.J.; Tallarico, A.S.; Olurinde, M.; Choe, H.; et al. Potent neutralization of severe acute respiratory syndrome (SARS) coronavirus by a human mAb to S1 protein that blocks receptor association. Proc. Natl. Acad. Sci. USA 2004, 101, 2536–2541. [Google Scholar] [CrossRef]
- Krammer, F.; Margine, I.; Tan, G.S.; Pica, N.; Krause, J.C.; Palese, P. A carboxy-terminal trimerization domain stabilizes conformational epitopes on the stalk domain of soluble recombinant hemagglutinin substrates. PLoS ONE 2012, 7, e43603. [Google Scholar] [CrossRef]
- Tai, W.; Zhao, G.; Sun, S.; Guo, Y.; Wang, Y.; Tao, X.; Tseng, C.K.; Li, F.; Jiang, S.; Du, L.; et al. A recombinant receptor-binding domain of MERS-CoV in trimeric form protects human dipeptidyl peptidase 4 (hDPP4) transgenic mice from MERS-CoV infection. Virology 2016, 499, 375–382. [Google Scholar] [CrossRef]
- van Dorp, L.; Richard, D.; Tan, C.C.S.; Shaw, L.P.; Acman, M.; Balloux, F. No evidence for increased transmissibility from recurrent mutations in SARS-CoV-2. Nat. Commun. 2020, 11, 5986. [Google Scholar] [CrossRef]
- Weissman, D.; Alameh, M.G.; de Silva, T.; Collini, P.; Hornsby, H.; Brown, R.; LaBranche, C.C.; Edwards, R.J.; Sutherland, L.; Santra, S.; et al. D614G Spike Mutation Increases SARS CoV-2 Susceptibility to Neutralization. Cell Host Microbe 2021, 29, 23–31.e4. [Google Scholar] [CrossRef]
- Li, Q.Q.; Wu, J.J.; Nie, J.H.; Zhang, L.; Hao, H.; Liu, S.; Zhao, C.Y.; Zhang, Q.; Liu, H.; Nie, L.L.; et al. The Impact of Mutations in SARS-CoV-2 Spike on Viral Infectivity and Antigenicity. Cell 2020, 182, 1284–1294. [Google Scholar] [CrossRef]
- Imai, Y.; Kuba, K.; Rao, S.; Huan, Y.; Guo, F.; Guan, B.; Yang, P.; Sarao, R.; Wada, T.; Leong-Poi, H.; et al. Angiotensin-converting enzyme 2 protects from severe acute lung failure. Nature 2005, 436, 112–116. [Google Scholar] [CrossRef]
- Monteil, V.; Kwon, H.; Prado, P.; Hagelkruys, A.; Wimmer, R.A.; Stahl, M.; Leopoldi, A.; Garreta, E.; del Pozo, C.H.; Prosper, F.; et al. Inhibition of SARS-CoV-2 Infections in Engineered Human Tissues Using Clinical-Grade Soluble Human ACE2. Cell 2020, 181, 905–913. [Google Scholar] [CrossRef] [PubMed]
- Islam, M.R.; Kwak, J.W.; Lee, J.S.; Hong, S.W.; Khan, M.R.I.; Lee, Y.; Lee, Y.; Lee, S.W.; Hwang, I. Cost-effective production of tag-less recombinant protein in Nicotiana benthamiana. Plant Biotechnol. J. 2019, 17, 1094–1105. [Google Scholar] [CrossRef] [PubMed]
- Lee, J.H.; Ko, K. Production of Recombinant Anti-Cancer Vaccines in Plants. Biomol. Ther. 2017, 25, 345–353. [Google Scholar] [CrossRef] [PubMed]
- Burnett, M.J.B.; Burnett, A.C. Therapeutic recombinant protein production in plants: Challenges and opportunities. Plants People Planet 2020, 2, 121–132. [Google Scholar] [CrossRef]
- Park, Y.; Min, K.; Kim, N.H.; Kim, J.H.; Park, M.; Kang, H.; Sohn, E.J.; Lee, S. Porcine circovirus 2 capsid protein produced in N. benthamiana forms virus-like particles that elicit production of virus-neutralizing antibodies in guinea pigs. New Biotechnol. 2021, 63, 29–36. [Google Scholar] [CrossRef]
- Haschke, M.; Schuster, M.; Poglitsch, M.; Loibner, H.; Salzberg, M.; Bruggisser, M.; Penninger, J.; Krahenbuhl, S. Pharmacokinetics and pharmacodynamics of recombinant human angiotensin-converting enzyme 2 in healthy human subjects. Clin. Pharmacokinet. 2013, 52, 783–792. [Google Scholar] [CrossRef]
- Pizzi, M. Sampling variation of the fifty percent end-point, determined by the Reed-Muench (Behrens) method. Hum. Biol. 1950, 22, 151–190. [Google Scholar]
- Mil, A.H.M.V.; Huizinga, T.W.J.; Raza, K. Mann-Whitney U test and Kruskal-Wallis test should be used for comparisons of differences in medians, not means: Comment on the article by van der Helm-van Mil et al Reply. Arthritis Rheum. 2009, 60, 1565. [Google Scholar]
- Kuba, K.; Imai, Y.; Rao, S.; Gao, H.; Guo, F.; Guan, B.; Huan, Y.; Yang, P.; Zhang, Y.; Deng, W.; et al. A crucial role of angiotensin converting enzyme 2 (ACE2) in SARS coronavirus-induced lung injury. Nat. Med. 2005, 11, 875–879. [Google Scholar] [CrossRef]
- Wrapp, D.; Wang, N.; Corbett, K.S.; Goldsmith, J.A.; Hsieh, C.L.; Abiona, O.; Graham, B.S.; McLellan, J.S. Cryo-EM structure of the 2019-nCoV spike in the prefusion conformation. Science 2020, 367, 1260–1263. [Google Scholar] [CrossRef]
- Pang, X.C.; Cui, Y.M.; Zhu, Y.Z. Recombinant human ACE2: Potential therapeutics of SARS-CoV-2 infection and its complication. Acta Pharmacol. Sin. 2020, 41, 1255–1257. [Google Scholar] [CrossRef] [PubMed]
- Shenoy, V.; Qi, Y.; Katovich, M.J.; Raizada, M.K. ACE2, a promising therapeutic target for pulmonary hypertension. Curr. Opin. Pharmacol. 2011, 11, 150–155. [Google Scholar] [CrossRef] [PubMed]
- Han, Y.; Runge, M.S.; Brasier, A.R. Angiotensin II induces interleukin-6 transcription in vascular smooth muscle cells through pleiotropic activation of nuclear factor-kappa B transcription factors. Circ. Res. 1999, 84, 695–703. [Google Scholar] [CrossRef] [PubMed]
- Senchenkova, E.Y.; Russell, J.; Almeida-Paula, L.D.; Harding, J.W.; Granger, D.N. Angiotensin II-mediated microvascular thrombosis. Hypertension 2010, 56, 1089–1095. [Google Scholar] [CrossRef] [PubMed]
- Zoufaly, A.; Poglitsch, M.; Aberle, J.H.; Hoepler, W.; Seitz, T.; Traugott, M.; Grieb, A.; Pawelka, E.; Laferl, H.; Wenisch, C.; et al. Human recombinant soluble ACE2 in severe COVID-19. Lancet Respir. Med. 2020, 8, 1154–1158. [Google Scholar] [CrossRef]
- Li, Y. Recombinant Human Angiotensin-converting Enzyme 2 (hrhACE2) as a Treatment for Patients with COVID-19 (APN01-COVID-19); ClinicalTrials.gov: Bethesda, MD, USA, 2020. [Google Scholar]
- Sia, S.F.; Yan, L.M.; Chin, A.W.H.; Fung, K.; Choy, K.T.; Wong, A.Y.L.; Kaewpreedee, P.; Perera, R.; Poon, L.L.M.; Nicholls, J.M.; et al. Pathogenesis and transmission of SARS-CoV-2 in golden hamsters. Nature 2020, 583, 834–838. [Google Scholar] [CrossRef]
- Baum, A.; Ajithdoss, D.; Copin, R.; Zhou, A.; Lanza, K.; Negron, N.; Ni, M.; Wei, Y.; Mohammadi, K.; Musser, B.; et al. REGN-COV2 antibodies prevent and treat SARS-CoV-2 infection in rhesus macaques and hamsters. Science 2020, 370, 1110–1115. [Google Scholar] [CrossRef] [PubMed]
- Monteil, V.; Dyczynski, M.; Lauschke, V.M.; Kwon, H.; Wirnsberger, G.; Youhanna, S.; Zhang, H.; Slutsky, A.S.; Hurtado Del Pozo, C.; Horn, M.; et al. Human soluble ACE2 improves the effect of remdesivir in SARS-CoV-2 infection. EMBO Mol. Med. 2021, 13, e13426. [Google Scholar] [CrossRef]
- Suhail, S.; Zajac, J.; Fossum, C.; Lowater, H.; McCracken, C.; Severson, N.; Laatsch, B.; Narkiewicz-Jodko, A.; Johnson, B.; Liebau, J.; et al. Role of Oxidative Stress on SARS-CoV (SARS) and SARS-CoV-2 (COVID-19) Infection: A Review. Protein J. 2020, 39, 644–656. [Google Scholar] [CrossRef]





| Groups | Hamster No. | Challenge Dosage and Strains | Drug Administration and Injection Volume | Monitoring |
|---|---|---|---|---|
| 1. Control group | 3 | Intranasal inoculation (100 µL of PBS) | - | Monitoring of weight change for 9 days after challenge, dissection at 9 dpi |
| 2. Virus infection group | 9 | Intranasal inoculation (100 µL of 105 TCID50/mL), SARS-CoV-2 (strain NMC-nCoV02) | - | Monitoring of weight change for 9 days after challenge, virus titration and histopathology analysis after dissection at 3, 6, and 9 dpi |
| 3. ACE2 injection group | 9 | Intranasal inoculation (100 µL of 105 TCID50/mL), SARS-CoV-2 (strain NMC-nCoV02) | Intraperitoneal injection of 500 µL of hrACE2 solution (2.5 mg/(kg body weight) per day) on days 1–5 after the viral inoculation (1–5 dpi) | Monitoring of weight change for 9 days after challenge, virus titration and histopathology analysis after dissection at 3, 6, and 9 dpi |
| 4. ACE2-Fd injection group | 9 | Intranasal inoculation (100 µL of 105 TCID50/mL), SARS-CoV-2 (strain NMC-nCoV02) | Intraperitoneal injection of 500 µL of ACE2-Fd solution (2.5 mg/(kg body weight) per day) on days 1–5 after the viral inoculation | Monitoring of weight change for 9 days after challenge, virus titration and histopathology analysis after dissection at 3, 6, and 9 dpi |
Disclaimer/Publisher’s Note: The statements, opinions and data contained in all publications are solely those of the individual author(s) and contributor(s) and not of MDPI and/or the editor(s). MDPI and/or the editor(s) disclaim responsibility for any injury to people or property resulting from any ideas, methods, instructions or products referred to in the content. |
© 2023 by the authors. Licensee MDPI, Basel, Switzerland. This article is an open access article distributed under the terms and conditions of the Creative Commons Attribution (CC BY) license (https://creativecommons.org/licenses/by/4.0/).
Share and Cite
Kim, C.-M.; Kim, D.-M.; Bang, M.-S.; Seo, J.-W.; Kim, D.-Y.; Yun, N.-R.; Lim, S.-C.; Lee, J.-H.; Sohn, E.-J.; Kang, H.; et al. Efficacy of Plant-Made Human Recombinant ACE2 against COVID-19 in a Golden Syrian Hamster Model. Viruses 2023, 15, 964. https://doi.org/10.3390/v15040964
Kim C-M, Kim D-M, Bang M-S, Seo J-W, Kim D-Y, Yun N-R, Lim S-C, Lee J-H, Sohn E-J, Kang H, et al. Efficacy of Plant-Made Human Recombinant ACE2 against COVID-19 in a Golden Syrian Hamster Model. Viruses. 2023; 15(4):964. https://doi.org/10.3390/v15040964
Chicago/Turabian StyleKim, Choon-Mee, Dong-Min Kim, Mi-Seon Bang, Jun-Won Seo, Da-Young Kim, Na-Ra Yun, Sung-Chul Lim, Ju-Hyung Lee, Eun-Ju Sohn, Hyangju Kang, and et al. 2023. "Efficacy of Plant-Made Human Recombinant ACE2 against COVID-19 in a Golden Syrian Hamster Model" Viruses 15, no. 4: 964. https://doi.org/10.3390/v15040964
APA StyleKim, C.-M., Kim, D.-M., Bang, M.-S., Seo, J.-W., Kim, D.-Y., Yun, N.-R., Lim, S.-C., Lee, J.-H., Sohn, E.-J., Kang, H., Min, K., Choi, B.-H., & Lee, S. (2023). Efficacy of Plant-Made Human Recombinant ACE2 against COVID-19 in a Golden Syrian Hamster Model. Viruses, 15(4), 964. https://doi.org/10.3390/v15040964

