Evidence for a Novel Gammaherpesvirus as the Putative Agent of Malignant Catarrhal Fever Disease in Roan Antelopes (Hippotragus equinus)
Abstract
1. Introduction
2. Materials and Methods
2.1. Histopathology and Immunohistochemistry
2.2. Fluorescence in Situ Hybridization (FISH)
2.3. Virus Detection and Sequencing
2.4. Evolutionary Analysis
3. Results
3.1. Epidemiology and Clinical Signs
3.2. Post-Mortem Examination–Pathology
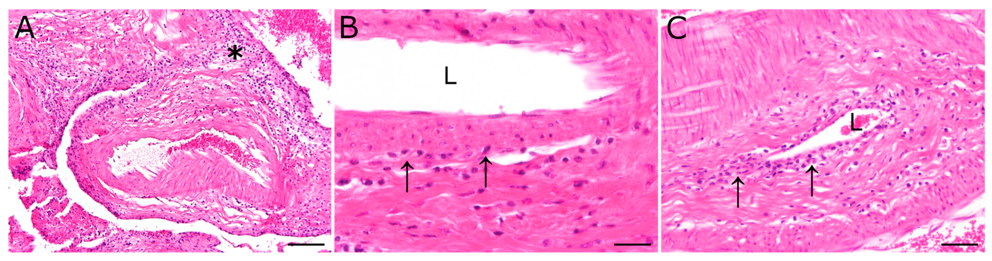
3.3. Histopathology
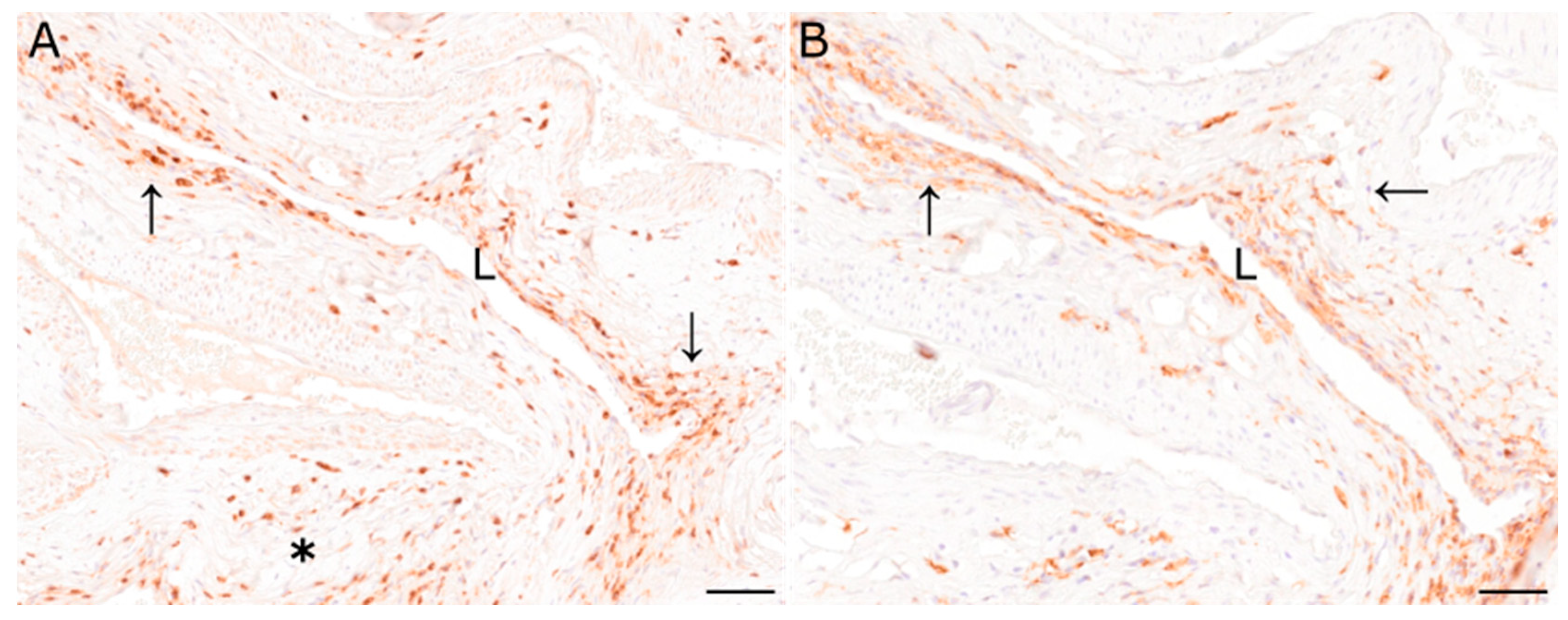
3.4. Immunohistochemical Characterization and Fluorescence in Situ Hybridization (FISH)
3.5. Sequencing Results and Phylogenic Comparison with Other Gammaherpesviruses
4. Discussion
Supplementary Materials
Author Contributions
Funding
Institutional Review Board Statement
Informed Consent Statement
Data Availability Statement
Acknowledgments
Conflicts of Interest
References
- Li, H.; Gailbreath, K.; Flach, E.J.; Taus, N.S.; Cooley, J.; Keller, J.; Russell, G.C.; Knowles, D.P.; Haig, D.M.; Oaks, J.L.; et al. A novel subgroup of rhadinoviruses in ruminants. J. Gen. Virol. 2005, 86, 3021–3026. [Google Scholar] [CrossRef] [PubMed]
- Gatherer, D.; Depledge, D.P.; Hartley, C.A.; Szpara, M.L.; Vaz, P.K.; Benkő, M.; Brandt, C.R.; Bryant, N.A.; Dastjerdi, A.; Doszpoly, A.; et al. ICTV Virus Taxonomy Profile: Herpesviridae 2021. J. Gen. Virol. 2021, 102, 001673. [Google Scholar] [CrossRef] [PubMed]
- Reid, H.W.; Buxton, D.; Pow, I.; Finlayson, J. Malignant catarrhal fever: Experimental transmission of the ‘sheep-associated’ form of the disease from cattle and deer to cattle, deer, rabbits and hamsters. Res. Vet. Sci. 1986, 41, 76–81. [Google Scholar] [CrossRef] [PubMed]
- Plowright, W.; Ferris, R.D.; Scott, G.R. Blue wildebeest and the aetiological agent of bovine malignant catarrhal fever. Nature 1960, 188, 1167–1169. [Google Scholar] [CrossRef] [PubMed]
- Li, H.; Dyer, N.; Keller, J.; Crawford, T.B. Newly recognized herpesvirus causing malignant catarrhal fever in white-tailed deer (Odocoileus virginianus). J. Clin. Microbiol. 2000, 38, 1313–1318. [Google Scholar] [CrossRef] [PubMed]
- Stahel, A.B.J.; Baggenstos, R.; Engels, M.; Friess, M.; Ackermann, M. Two Different Macaviruses, ovine herpesvirus-2 and caprine herpesvirus-2, behave differently in water buffaloes than in cattle or in their respective reservoir species. PLoS ONE 2013, 8, e83695. [Google Scholar] [CrossRef] [PubMed]
- Li, H.; Gailbreath, K.; Bender, L.C.; West, K.; Keller, J.; Crawford, T.B. Evidence of Three New Members of Malignant Catarrhal Fever Virus Group in Muskox (Ovibos moschatus), Nubian ibex (Capra nubiana), and Gemsbok (Oryx gazella). J. Wildl. Dis. 2003, 39, 875–880. [Google Scholar] [CrossRef] [PubMed]
- Løken, T.; Aleksandersen, M.; Reid, H.W.; Pow, I. Malignant catarrhal fever caused by ovine herpesvirus-2 in pigs in Norway. Vet. Rec. 1998, 143, 464–467. [Google Scholar] [CrossRef]
- Schultheiss, P.C.; Collins, J.K.; Austgen, L.E.; DeMartini, J.C. Malignant Catarrhal Fever in Bison, Acute and Chronic Cases. J. Vet. Diagnostic Investig. 1998, 10, 255–262. [Google Scholar] [CrossRef]
- O’Toole, D.; Taus, N.S.; Montgomery, D.L.; Oaks, J.L.; Crawford, T.B.; Li, H. Intra-nasal Inoculation of American Bison (Bison bison) with Ovine Herpesvirus-2 (OvHV-2) Reliably Reproduces Malignant Catarrhal Fever. Vet. Pathol. 2007, 44, 655–662. [Google Scholar] [CrossRef]
- Liggitt, H.D.; DeMartini, J.C. The Pathomorphology of Malignant Catarrhal Fever: I. Generalized Lymphoid Vasculitis. Vet. Pathol. 1980, 17, 58–72. [Google Scholar] [CrossRef] [PubMed]
- Simon, S.; Li, H.; O’Toole, D.; Crawford, T.B.; Oaks, J.L. The vascular lesions of a cow and bison with sheep-associated malignant catarrhal fever contain ovine herpesvirus 2-infected CD8(+) T lymphocytes. J. Gen. Virol. 2003, 84, 2009–2013. [Google Scholar] [CrossRef] [PubMed]
- Metzler, A.E. The malignant catarrhal fever complex. Comp. Immunol. Microbiol. Infect. Dis. 1991, 14, 107–124. [Google Scholar] [CrossRef] [PubMed]
- Moore, D.A.; Kohrs, P.; Baszler, T.; Faux, C.; Sathre, P.; Wenz, J.R.; Eldridge, L.; Li, H. Outbreak of malignant catarrhal fever among cattle associated with a state livestock exhibition. J. Am. Vet. Med. Assoc. 2010, 237, 87–92. [Google Scholar] [CrossRef]
- Hänichen, T.; Reid, H.W.; Wiesner, H.; Hermanns, W. Malignant catarrhal fever in zoo ruminants. Tierarztl. Prax. Ausg. G. Grosstiere. Nutztiere. 1998, 26, 294–300. [Google Scholar]
- Postel, A.; Hansmann, F.; Baechlein, C.; Fischer, N.; Alawi, M.; Grundhoff, A.; Derking, S.; Tenhündfeld, J.; Pfankuche, V.M.; Herder, V.; et al. Presence of atypical porcine pestivirus (APPV) genomes in newborn piglets correlates with congenital tremor. Sci. Rep. 2016, 6, 27735. [Google Scholar] [CrossRef]
- Pfaender, S.; Cavalleri, J.M.V.; Walter, S.; Doerrbecker, J.; Campana, B.; Brown, R.J.P.; Burbelo, P.D.; Postel, A.; Hahn, K.; Anggakusuma; et al. Clinical course of infection and viral tissue tropism of hepatitis C virus-like nonprimate hepaciviruses in horses. Hepatology 2015, 61, 447–459. [Google Scholar] [CrossRef]
- VanDevanter, D.R.; Warrener, P.; Bennett, L.; Schultz, E.R.; Coulter, S.; Garber, R.L.; Rose, T.M. Detection and analysis of diverse herpesviral species by consensus primer PCR. J. Clin. Microbiol. 1996, 34, 1666–1671. [Google Scholar] [CrossRef]
- Tobias, A.; Tammi, M.T.; Margareta, E.; Annelie, B.; Annika, T.-L.; Björn, A. Cloning of a human parvovirus by molecular screening of respiratory tract samples. Proc. Natl. Acad. Sci. USA 2005, 102, 12891–12896. [Google Scholar] [CrossRef]
- Endoh, D.; Mizutani, T.; Kirisawa, R.; Maki, Y.; Saito, H.; Kon, Y.; Morikawa, S.; Hayashi, M. Species-independent detection of RNA virus by representational difference analysis using non-ribosomal hexanucleotides for reverse transcription. Nucleic Acids Res. 2005, 33, e65. [Google Scholar] [CrossRef]
- Katoh, K.; Standley, D.M. MAFFT multiple sequence alignment software version 7: Improvements in performance and usability. Mol. Biol. Evol. 2013, 30, 772–780. [Google Scholar] [CrossRef]
- Kumar, S.; Stecher, G.; Li, M.; Knyaz, C.; Tamura, K. MEGA X: Molecular Evolutionary Genetics Analysis across Computing Platforms. Mol. Biol. Evol. 2018, 35, 1547–1549. [Google Scholar] [CrossRef]
- Reid, H.W.; Bridgen, A. Recovery of a herpesvirus from an roan antelope (Hippotragus equinus). Vet. Microbiol. 1991, 28, 269–278. [Google Scholar] [CrossRef]
- Mushi, E.Z.; Rossiter, P.B.; Jessett, D.; Karstad, L. Isolation and characterization of a herpesvirus from topi (Damaliscus korrigum, Ogilby). J. Comp. Pathol. 1981, 91, 63–68. [Google Scholar] [CrossRef]
- O’Toole, D.; Li, H. The pathology of malignant catarrhal fever, with an emphasis on ovine herpesvirus 2. Vet. Pathol. 2014, 51, 437–452. [Google Scholar] [CrossRef]
- Saura-Martinez, H.; Al-Saadi, M.; Stewart, J.P.; Kipar, A. Sheep-Associated Malignant Catarrhal Fever: Role of Latent Virus and Macrophages in Vasculitis. Vet. Pathol. 2021, 58, 332–345. [Google Scholar] [CrossRef]
- Callan, R.J.; Van Metre, D.C. Viral diseases of the ruminant nervous system. Vet. Clin. N. Am. Food Anim. Pract. 2004, 20, 327–362. [Google Scholar] [CrossRef]
- Meier-Trummer, C.S.; Tobler, K.; Hilbe, M.; Stewart, J.P.; Hart, J.; Campbell, I.; Haig, D.M.; Glauser, D.L.; Ehrensperger, F.; Ackermann, M. Ovine herpesvirus 2 structural proteins in epithelial cells and M-cells of the appendix in rabbits with malignant catarrhal fever. Vet. Microbiol. 2009, 137, 235–242. [Google Scholar] [CrossRef]
- Bridgen, A.; Munro, R.; Reid, H.W. The detection of alcelaphine herpesvirus-1 DNA by in situ hybridization of tissues from rabbits affected with malignant catarrhal fever. J. Comp. Pathol. 1992, 106, 351–359. [Google Scholar] [CrossRef]
- Pfankuche, V.M.; Hahn, K.; Bodewes, R.; Hansmann, F.; Habierski, A.; Haverkamp, A.-K.; Pfaender, S.; Walter, S.; Baechlein, C.; Postel, A.; et al. Comparison of Different In Situ Hybridization Techniques for the Detection of Various RNA and DNA Viruses. Viruses 2018, 10, 384. [Google Scholar] [CrossRef]
- Nelson, D.D.; Taus, N.S.; Schneider, D.A.; Cunha, C.W.; Davis, W.C.; Brown, W.C.; Li, H.; O’Toole, D.; Oaks, J.L. Fibroblasts express OvHV-2 capsid protein in vasculitis lesions of American bison (Bison bison) with experimental sheep-associated malignant catarrhal fever. Vet. Microbiol. 2013, 166, 486–492. [Google Scholar] [CrossRef]
- Swa, S.; Wright, H.; Thomson, J.; Reid, H.; Haig, D. Constitutive activation of Lck and Fyn tyrosine kinases in large granular lymphocytes infected with the γ-herpesvirus agents of malignant catarrhal fever. Immunology 2001, 102, 44–52. [Google Scholar] [CrossRef]




| Novel Alcelaphine Herpesvirus 3 OP113930 | Alcelaphine Herpesvirus 1 NC_002531.1 | Hippotragine herpesvirus 1 NC_043060.1 | Alcelaphine Herpesvirus 2 NC_024382.1 | |
|---|---|---|---|---|
| Novel Alcelaphine Herpesvirus 3 OP113930 | 100% | 86.78% | 83.91% | 74.14% |
| Alcelaphine Herpesvirus 1 NC_002531.1 | 86.78% | 100% | 85.06% | 81.03% |
| Hippotragine herpesvirus 1 NC_043060.1 | 83.91% | 85.06% | 100% | 74.71% |
| Alcelaphine Herpesvirus 2 NC_024382.1 | 74.14% | 81.03% | 74.71% | 100% |
Disclaimer/Publisher’s Note: The statements, opinions and data contained in all publications are solely those of the individual author(s) and contributor(s) and not of MDPI and/or the editor(s). MDPI and/or the editor(s) disclaim responsibility for any injury to people or property resulting from any ideas, methods, instructions or products referred to in the content. |
© 2023 by the authors. Licensee MDPI, Basel, Switzerland. This article is an open access article distributed under the terms and conditions of the Creative Commons Attribution (CC BY) license (https://creativecommons.org/licenses/by/4.0/).
Share and Cite
Kaiser, F.K.; de le Roi, M.; Mirolo, M.; Jesse, S.T.; Puff, C.; Bohner, J.; Ludlow, M.; Baumgärtner, W.; Osterhaus, A. Evidence for a Novel Gammaherpesvirus as the Putative Agent of Malignant Catarrhal Fever Disease in Roan Antelopes (Hippotragus equinus). Viruses 2023, 15, 649. https://doi.org/10.3390/v15030649
Kaiser FK, de le Roi M, Mirolo M, Jesse ST, Puff C, Bohner J, Ludlow M, Baumgärtner W, Osterhaus A. Evidence for a Novel Gammaherpesvirus as the Putative Agent of Malignant Catarrhal Fever Disease in Roan Antelopes (Hippotragus equinus). Viruses. 2023; 15(3):649. https://doi.org/10.3390/v15030649
Chicago/Turabian StyleKaiser, Franziska Karola, Madeleine de le Roi, Monica Mirolo, Sonja Tatjana Jesse, Christina Puff, Julia Bohner, Martin Ludlow, Wolfgang Baumgärtner, and Albert Osterhaus. 2023. "Evidence for a Novel Gammaherpesvirus as the Putative Agent of Malignant Catarrhal Fever Disease in Roan Antelopes (Hippotragus equinus)" Viruses 15, no. 3: 649. https://doi.org/10.3390/v15030649
APA StyleKaiser, F. K., de le Roi, M., Mirolo, M., Jesse, S. T., Puff, C., Bohner, J., Ludlow, M., Baumgärtner, W., & Osterhaus, A. (2023). Evidence for a Novel Gammaherpesvirus as the Putative Agent of Malignant Catarrhal Fever Disease in Roan Antelopes (Hippotragus equinus). Viruses, 15(3), 649. https://doi.org/10.3390/v15030649

