Virus-like Particle Vaccines of Infectious Bursal Disease Virus Expressed in Escherichia coli Are Highly Immunogenic and Protect against Virulent Strain
Abstract
1. Introduction
2. Materials and Methods
2.1. Expression and Purification of the VP2 Protein
2.2. VLP Assembly and Quantification
2.3. Vaccine Preparation
2.4. Animal Immunization and Serum Sampling
2.5. Viral Challenge Study
2.6. Determination of Serum Antibody Titers
2.7. Detection of Cytokine Production
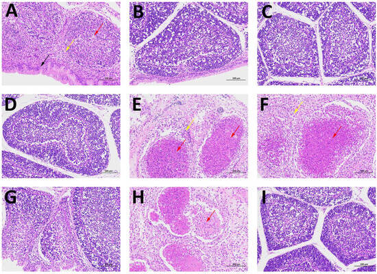
2.8. Histopathology Examination
2.9. Statistical Analysis
3. Results
3.1. Expression and Purification of IBDV VP2 Protein
3.2. Assembly and Characterization of VP2 VLPs
3.3. The Humoral Immunity of IBDV VLPs
3.4. The Cellular Immunity of IBDV VLPs
3.5. Protective Effect of VLPs against the Virulent IBDV Strain
4. Discussion
5. Conclusions
Author Contributions
Funding
Institutional Review Board Statement
Informed Consent Statement
Data Availability Statement
Acknowledgments
Conflicts of Interest
References
- Zhang, W.; Wang, X.; Gao, Y.; Qi, X. The Over-40-Years-Epidemic of Infectious Bursal Disease Virus in China. Viruses 2022, 14, 2253. [Google Scholar] [CrossRef] [PubMed]
- Nagarajan, M.; Kibenge, F. Infectious bursal disease virus: A review of molecular basis for variations in antigenicity and virulence. Can. J. Vet. Res. Rev. Can. Rech. Vet. 1997, 61, 81–88. [Google Scholar]
- Méndez, F.; Tomás, G.; Rodríguez, D.; Rodríguez, J. Infectious bursal disease virus VP5 polypeptide: A hosphoinositide-binding protein required for efficient cell-to-cell virus dissemination. PLoS ONE 2015, 10, e0123470. [Google Scholar] [CrossRef] [PubMed]
- Vishwanatha, R.; Salik, N.; Andrew, B.; Amin, A.; Joanna, U.; Yasmin, M.; Andrew, B. Evaluating the Breadth of Neutralizing Antibody Responses Elicited by Infectious Bursal Disease Virus Genogroup A1 Strains Using a Novel Chicken B-Cell Rescue System and Neutralization Assay. J. Virol. 2022, 96, e01255–22. [Google Scholar]
- Garriga, D.; Querol-Audí, J.; Abaitua, F.; Saugar, I.; Pous, J.; Verdaguer, N.; Castón, J.; Rodriguez, J. The 2.6-Angstrom structure of infectious bursal disease virus-derived T = 1 particles reveals new stabilizing elements of the virus capsid. J. Virol. 2006, 80, 6895–6905. [Google Scholar] [CrossRef]
- Lee, H.; Kim, J.; Kye, S.; Seul, H.; Jung, S.; Choi, K. Efficient self-assembly and protective efficacy of infectious bursal disease virus-like particles by a recombinant baculovirus co-expressing precursor polyprotein and VP4. Virol. J. 2015, 12, 177. [Google Scholar] [CrossRef][Green Version]
- Taghavian, O.; Spiegel, H.; Hauck, R.; Hafez, H.; Fischer, R.; Schillberg, S. Protective oral vaccination against infectious bursal disease virus using the major viral antigenic protein VP2 produced in Pichia pastoris. PLoS ONE 2013, 8, e83210. [Google Scholar] [CrossRef]
- Zhou, X.; Wang, D.; Xiong, J.; Zhang, P.; Li, Y.; She, R. Protection of chickens, with or without maternal antibodies, against IBDV infection by a recombinant IBDV-VP2 protein. Vaccine 2010, 28, 3990–3996. [Google Scholar] [CrossRef]
- Chen, C.; Suen, S.; Lai, S.; Chang, G.; Lu, T.; Lee, M.; Wang, M. Purification of capsid-like particles of infectious bursal disease virus (IBDV) VP2 expressed in E. coli with a metal-ion affinity membrane system. J. Virol. Methods 2005, 130, 51–58. [Google Scholar] [CrossRef]
- Ge, J.; An, Q.; Song, S.; Gao, D.; Ping, W. Construction of Recombinant Baculoviruses Expressing Infectious Bursal Disease Virus Main Protective Antigen and Their Immune Effects on Chickens. PLoS ONE 2015, 10, e0132993. [Google Scholar] [CrossRef]
- Wang, M.; Pan, Q.; Lu, Z.; Li, K.; Gao, H.; Qi, X.; Gao, Y.; Wang, X. An optimized, highly efficient, self-assembled, subvirus-like particle of infectious bursal disease virus (IBDV). Vaccine 2016, 34, 3508–3514. [Google Scholar] [CrossRef]
- Lucero, M.; Richetta, M.; Chimeno Zoth, S.; Jaton, J.; Pinto, S.; Canet, Z.; Berinstein, A.; Gómez, E. Plant-based vaccine candidate against Infectious bursal disease: An alternative to inactivated vaccines for breeder hens. Vaccine 2019, 37, 5203–5210. [Google Scholar] [CrossRef]
- Kibenge, F.; Qian, B.; Nagy, E.; Cleghorn, J.; Wadowska, D. Formation of virus-like particles when the polyprotein gene (segment A) of infectious bursal disease virus is expressed in insect cells. Can. J. Vet. Res. Rev. Can. Rech. Vet. 1999, 63, 49–55. [Google Scholar]
- Wang, Y.; Ouyang, W.; Liu, X.; He, K.; Yu, S.; Zhang, H.; Fan, H.; Lu, C. Virus-like particles of hepatitis B virus core protein containing five mimotopes of infectious bursal disease virus (IBDV) protect chickens against IBDV. Vaccine 2012, 30, 2125–2130. [Google Scholar] [CrossRef] [PubMed]
- Pradhan, S.; Prince, P.; Madhumathi, J.; Roy, P.; Narayanan, R.; Antony, U. Protective immune responses of recombinant VP2 subunit antigen of infectious bursal disease virus in chickens. Vet. Immunol. Immunopathol. 2012, 148, 293–301. [Google Scholar] [CrossRef]
- Crisci, E.; Bárcena, J.; Montoya, M. Virus-like particles: The new frontier of vaccines for animal viral infections. Vet. Immunol. Immunopathol. 2012, 148, 211–225. [Google Scholar] [CrossRef] [PubMed]
- Wang, H.; Shan, S.; Wang, S.; Zhang, H.; Ma, L.; Hu, L.; Huang, H.; Wei, K.; Zhu, R. Fused IgY Fc and Polysaccharide Adjuvant Enhanced the Immune Effect of the Recombinant VP2 and VP5 Subunits-A Prospect for Improvement of Infectious Bursal Disease Virus Subunit Vaccine. Front. Microbiol. 2017, 8, 2258. [Google Scholar] [CrossRef] [PubMed]
- Jang, S.; Lillehoj, H.; Lee, S.; Lee, K.; Park, M.; Bauchan, G.; Lillehoj, E.; Bertrand, F.; Dupuis, L.; Deville, S. Immunoenhancing effects of Montanide ISA oil-based adjuvants on recombinant coccidia antigen vaccination against Eimeria acervulina infection. Vet. Parasitol. 2010, 172, 221–228. [Google Scholar] [CrossRef]
- Seung, J.; Hyun, L.; Sung-Hyen, L.; Kyung, L.; Erik, L.; Yeong, H.; Dong-Jun, A.; Wooseog, J.; Ji-Eun, C.; François, B.; et al. Vaccination with Clostridium perfringens recombinant proteins in combination with MontanideTM ISA 71 VG adjuvant increases protection against experimental necrotic enteritis in commercial broiler chickens. Vaccine 2012, 30, 5401–5406. [Google Scholar] [CrossRef]
- Jiang, D.; Liu, Y.; Wang, A.; Zhang, G.; Yang, G.; Chen, Y.; Ji, P.; Liu, C.; Song, Y.; Su, Y.; et al. High level soluble expression and one-step purification of IBDV VP2 protein in Escherichia coli. Biotechnol. Lett. 2016, 38, 901–908. [Google Scholar] [CrossRef]
- Bashir, K.; Kappala, D.; Singh, Y.; Dar, J.; Mariappan, A.; Kumar, A.; Krishnaswamy, N.; Dey, S.; Chellappa, M.; Goswami, T.; et al. Combination of TLR2 and TLR3 agonists derepress infectious bursal disease virus vaccine-induced immunosuppression in the chicken. Sci. Rep. 2019, 9, 8197. [Google Scholar] [CrossRef]
- Lee, C.; Ko, T.; Chou, C.; Yoshimura, M.; Doong, S.; Wang, M.; Wang, A. Crystal structure of infectious bursal disease virus VP2 subviral particle at 2.6A resolution: Implications in virion assembly and immunogenicity. J. Struct. Biol. 2006, 155, 74–86. [Google Scholar] [CrossRef] [PubMed]
- Jorge, M.; Narciís, S.; Albert, P.; José, C.; Enric, E.; J Ignacio, C. Structure-dependent efficacy of infectious bursal disease virus (IBDV) recombinant vaccines. Vaccine 2003, 21, 3342–3350. [Google Scholar]
- Christophe, C.; Jean, L.; Inge, E.; Bruno, C.; Bernard, D. The maturation process of pVP2 requires assembly of infectious bursal disease virus capsids. J. Virol. 2002, 76, 2384–2392. [Google Scholar] [CrossRef]
- Maqsood, I.; Shi, W.; Wang, L.; Wang, X.; Han, B.; Zhao, H.; Nadeem, A.; Moshin, B.; Saima, K.; Jamal, S.; et al. Immunogenicity and protective efficacy of orally administered recombinant Lactobacillus plantarum expressing VP2 protein against IBDV in chicken. J. Appl. Microbiol. 2018, 125, 1670–1681. [Google Scholar] [CrossRef] [PubMed]






| Group | Composition | Immunizing Dose | Administration | Number of Chickens | Age (Days) at Vaccination |
|---|---|---|---|---|---|
| A | 10 μg VLPs | 200 μL | Intramuscular | 15 | 19 |
| B | 10 μg VLPs + ISA 71 VG | 200 μL | Intramuscular | 15 | 19 |
| C | 10 μg VLPs + ISA 71 RVG | 200 μL | Intramuscular | 15 | 19 |
| D | 10 μg VP2 + white oil (7#) adjuvant | 200 μL | Intramuscular | 15 | 19 |
| E | Subunit vaccine a (AGP ≥ 16) | 300 μL | Intramuscular | 15 | 19 |
| F | Inactivated vaccine | 300 μL | Intramuscular | 15 | 19 |
| G | Attenuated vaccine (B87 strain) | 1.5 feathers/1 mL | Oral | 15 | 19 |
| H | Challenged control (PBS) | 200 μL | Intramuscular | 15 | 19 |
| I | - | - | - | 15 | - |
| Bursal lesion score | 1 | 2 | 3 | 4 |
| Follicular atrophy | 0–10% | 10–30% | 30–70% | >70% |
| Group | Vaccine | No. of Animals with BF Lesions a | BF/BW Ratio b | No. of Animals with BF/BW Ratio <2 c | Histopathological BF Lesion Score d | Protection e | |||
|---|---|---|---|---|---|---|---|---|---|
| 1 | 2 | 3 | 4 | ||||||
| A | VLPs | 11/15 | 3.80 ± 1.62 | 0/15 | 3 | 3 | 6 | 3 | 4/15 |
| B | VLPs + ISA 71 VG | 4/15 | 3.73 ± 0.64 | 0/15 | 11 | 2 | 1 | 1 | 11/15 |
| C | VLPs + ISA 71 RVG | 2/15 | 3.70 ± 0.82 | 0/15 | 13 | 1 | 1 | 0 | 13/15 |
| D | VLPs + white oil | 5/15 | 3.32 ± 0.44 | 0/15 | 10 | 3 | 1 | 1 | 10/15 |
| E | Subunit vaccine | 5/15 | 3.88 ± 0.66 | 0/15 | 10 | 3 | 1 | 1 | 10/15 |
| F | Inactivated vaccine | 2/15 | 3.49 ± 0.57 | 1/15 | 12 | 2 | 1 | 0 | 13/15 |
| G | Attenuated vaccine | 7/15 | 2.32 ± 0.57 | 4/15 | 1 | 3 | 1 | 2 | 8/15 |
| H | Challenged control | 15/15 | 3.42 ± 0.77 | 0/15 | 0 | 0 | 0 | 15 | 0/15 |
| I | Unchallenged control | 0/15 | 3.62 ± 0.73 | 0/15 | 15 | 0 | 0 | 0 | 15/15 |
Disclaimer/Publisher’s Note: The statements, opinions and data contained in all publications are solely those of the individual author(s) and contributor(s) and not of MDPI and/or the editor(s). MDPI and/or the editor(s) disclaim responsibility for any injury to people or property resulting from any ideas, methods, instructions or products referred to in the content. |
© 2023 by the authors. Licensee MDPI, Basel, Switzerland. This article is an open access article distributed under the terms and conditions of the Creative Commons Attribution (CC BY) license (https://creativecommons.org/licenses/by/4.0/).
Share and Cite
Ji, P.; Li, T.; Wu, Y.; Zhao, Q.; Li, L.; Shi, X.; Jiang, W.; Wang, J.; Wang, P.; Wang, T.; et al. Virus-like Particle Vaccines of Infectious Bursal Disease Virus Expressed in Escherichia coli Are Highly Immunogenic and Protect against Virulent Strain. Viruses 2023, 15, 2178. https://doi.org/10.3390/v15112178
Ji P, Li T, Wu Y, Zhao Q, Li L, Shi X, Jiang W, Wang J, Wang P, Wang T, et al. Virus-like Particle Vaccines of Infectious Bursal Disease Virus Expressed in Escherichia coli Are Highly Immunogenic and Protect against Virulent Strain. Viruses. 2023; 15(11):2178. https://doi.org/10.3390/v15112178
Chicago/Turabian StyleJi, Pengchao, Tiantian Li, Yanan Wu, Qi Zhao, Lu Li, Xuejian Shi, Wenting Jiang, Jiabin Wang, Panpan Wang, Tingting Wang, and et al. 2023. "Virus-like Particle Vaccines of Infectious Bursal Disease Virus Expressed in Escherichia coli Are Highly Immunogenic and Protect against Virulent Strain" Viruses 15, no. 11: 2178. https://doi.org/10.3390/v15112178
APA StyleJi, P., Li, T., Wu, Y., Zhao, Q., Li, L., Shi, X., Jiang, W., Wang, J., Wang, P., Wang, T., & Jiang, D. (2023). Virus-like Particle Vaccines of Infectious Bursal Disease Virus Expressed in Escherichia coli Are Highly Immunogenic and Protect against Virulent Strain. Viruses, 15(11), 2178. https://doi.org/10.3390/v15112178
