Hepadnavirus DNA Is Detected in Canine Blood Samples in Hong Kong but Not in Liver Biopsies of Chronic Hepatitis or Hepatocellular Carcinoma
Abstract
:1. Introduction
2. Materials and Methods
2.1. Samples
2.1.1. Canine Blood Samples
2.1.2. Canine Liver Biopsies
2.2. qPCR of Canine Whole-Blood-Derived DNA
2.3. Conventional PCR of Canine-Liver-Derived DNA
| Primer Set/Rationale for Use | Target | Name | Purpose | Sequence |
|---|---|---|---|---|
| DCH qPCR [10]/ to investigate canine blood-derived DNA for DCH | Polymerase gene (132 bp) | FHBV-for | For | CGTCATCATGGGTTTAGGAA |
| FHBV-rev | Rev | TCCATATAAGCAAACACCATACAAT | ||
| FHBV-prob | Probe | [FAM]TCCTCCTAACCATTGAAGCCAGACTACT [QSY] | ||
| DCH-specific cPCR [6]/ to investigate DNA from canine liver lesions for DCH | Core protein gene (258 bp) | Hgap-F | For | CTAGAATGGCTACATGGGTTAG |
| Hgap-R | Rev | GTGCTCTGATAACCGTATGCTC | ||
| Panhepadnavirus Adapted from [6]/ to investigate DNA from canine liver lesions for DCH for any known or novel hepadnavirus | Highly conserved region of the polymerase gene (1st round: 493 bp 2nd round: 258 bp) | HBV-pol-F1 | 1st for | TAGACTSGTGGTGGACTTCTC |
| HBV-pol-R1 | 1st rev | CATATAASTRAAAGCCAYACAG | ||
| HBV-pol-F2_2 | 2nd for | CCTCATCTTCTTGTTGGTTC | ||
| HBV-pol-R2 | 2nd rev | AGTRAAYTGAGCCAGGAGAAAC | ||
| Panhepadnavirus [29]/ to investigate DNA from canine liver lesions for any known or novel hepadnavirus | Highly conserved region of the polymerase gene (1st round: 504 bp 2nd round: 306 bp) | HBV_266os | 1st for | GTGGTGGAYTTCTCWCARTT |
| HBV_763oa | 1st rev | CCCCAAWACCANRTCATCCATA | ||
| HBV_386is | 2nd for | GATGTRTCTGCGGCGTTYTATC | ||
| HBV-pol-R2 | 2nd rev | AGTRAAYTGAGCCAGGAGAAAC | ||
| GAPDH cPCR [26]/ to confirm integrity of extracted DNA | Coding sequence of canine GAPDH GenBank: AB038240.1 (80 bp) | GAPDH-For | For | AAGGCTGAGAACGGGAAAC |
| GAPDH-Rev | Rev | CATTTGATGTTGGCGGGATC |
3. Results
3.1. Detection of Hepadnavirus DNA in Canine Blood
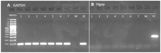
3.2. Hepadnavirus DNA Not Detected in Canine Liver Lesions
4. Discussion
5. Conclusions
Author Contributions
Funding
Data Availability Statement
Ethics Statement
Acknowledgments
Conflicts of Interest
References
- Magnius, L.; Mason, W.S.; Taylor, J.; Kann, M.; Glebe, D.; Dény, P.; Sureau, C.; Norder, H.; Ictv Report Consortium. ICTV Virus Taxonomy Profile: Hepadnaviridae. J. Gen. Virol. 2020, 101, 571–572. [Google Scholar] [CrossRef] [PubMed]
- World Health Organisation. Global Hepatitis Report 2017; WHO: Geneva, Switzerland, 2017. [Google Scholar]
- Tang, L.S.Y.; Covert, E.; Wilson, E.; Kottilil, S. Chronic Hepatitis B Infection. JAMA 2018, 319, 1802. [Google Scholar] [CrossRef] [PubMed]
- Rasche, A.; Lehmann, F.; Goldmann, N.; Nagel, M.; Moreira-Soto, A.; Nobach, D.; de Oliveira Carneiro, I.; Osterrieder, N.; Greenwood, A.D.; Steinmann, E.; et al. A hepatitis B virus causes chronic infections in equids worldwide. Proc. Natl. Acad. Sci. USA 2021, 118, e2013982118. [Google Scholar] [CrossRef] [PubMed]
- Rasche, A.; Souza, B.; Drexler, J.F. Bat hepadnaviruses and the origins of primate hepatitis B viruses. Curr. Opin. Virol. 2016, 16, 86–94. [Google Scholar] [CrossRef] [PubMed]
- Aghazadeh, M.; Shi, M.; Barrs, V.; McLuckie, A.; Lindsay, S.; Jameson, B.; Hampson, B.; Holmes, E.; Beatty, J. A Novel Hepadnavirus Identified in an Immunocompromised Domestic Cat in Australia. Viruses 2018, 10, 269. [Google Scholar] [CrossRef] [PubMed] [Green Version]
- Wright, T.L.; Eshar, D.; Carpenter, J.W.; Lin, D.; Padmanabhan, A.; Peddireddi, L.; Cino, G. Suspected Hepadnavirus Association with a Hepatocellular Carcinoma in a Black-Tailed Prairie Dog (Cynomys ludovicianus). J. Comp. Pathol. 2017, 157, 284–290. [Google Scholar] [CrossRef]
- Gogarten, J.F.; Ulrich, M.; Bhuva, N.; Garcia, J.; Jain, K.; Lee, B.; Löhrich, T.; Oleynik, A.; Couacy-Hymann, E.; Fuh Neba, T.; et al. A Novel Orthohepadnavirus Identified in a Dead Maxwell’s Duiker (Philantomba maxwellii) in Taï National Park, Côte d’Ivoire. Viruses 2019, 11, 279. [Google Scholar] [CrossRef] [Green Version]
- Menne, S.; Cote, P.J. The woodchuck as an animal model for pathogenesis and therapy of chronic hepatitis B virus infection. World J. Gastroenterol. 2007, 13, 104–124. [Google Scholar] [CrossRef] [Green Version]
- Lanave, G.; Capozza, P.; Diakoudi, G.; Catella, C.; Catucci, L.; Ghergo, P.; Stasi, F.; Barrs, V.; Beatty, J.; Decaro, N.; et al. Identification of hepadnavirus in the sera of cats. Sci. Rep. 2019, 9, 10668. [Google Scholar] [CrossRef] [Green Version]
- Pesavento, P.A.; Jackson, K.; Scase, T.; Tse, T.; Hampson, B.; Munday, J.S.; Barrs, V.R.; Beatty, J.A. A Novel Hepadnavirus is Associated with Chronic Hepatitis and Hepatocellular Carcinoma in Cats. Viruses 2019, 11, 969. [Google Scholar] [CrossRef] [Green Version]
- Piewbang, C.; Wardhani, S.W.; Chaiyasak, S.; Yostawonkul, J.; Chai-in, P.; Boonrungsiman, S.; Kasantikul, T.; Techangamsuwan, S. Insights into the genetic diversity, recombination, and systemic infections with evidence of intracellular maturation of hepadnavirus in cats. PLoS ONE 2020, 15, e0241212. [Google Scholar] [CrossRef]
- Anpuanandam, K.; Selvarajah, G.T.; Choy, M.M.K.; Ng, S.W.; Kumar, K.; Ali, R.M.; Rajendran, S.K.; Ho, K.L.; Tan, W.S. Molecular detection and characterisation of Domestic Cat Hepadnavirus (DCH) from blood and liver tissues of cats in Malaysia. BMC Vet. Res. 2021, 17, 9. [Google Scholar] [CrossRef]
- Jeanes, E.C.; Wegg, M.L.; Mitchell, J.A.; Priestnall, S.L.; Fleming, L.; Dawson, C. Comparison of the prevalence of Domestic Cat Hepadnavirus in a population of cats with uveitis and in a healthy blood donor cat population in the United Kingdom. Vet. Ophthalmol. 2022, 25, 165–172. [Google Scholar] [CrossRef]
- Capozza, P.; Lanave, G.; Diakoudi, G.; Stasi, F.; Ghergo, P.; Ricci, D.; Santo, G.; Arena, G.; Grillo, I.; Delle Donne, E.; et al. A longitudinal observational study in two cats naturally-infected with hepadnavirus. Vet. Microbiol. 2021, 254, 108999. [Google Scholar] [CrossRef]
- Vieira, Y.R.; Portilho, M.M.; Oliveira, F.F.; Guterres, A.; Dos Santos, D.R.L.; Villar, L.M.; Mirazo, S.; Arbiza, J.; Dimache, L.A.G.; Almeida, F.Q.; et al. Evaluation of HBV-Like Circulation in Wild and Farm Animals from Brazil and Uruguay. Int. J. Environ. Res. Public Health 2019, 16, 2679. [Google Scholar] [CrossRef] [Green Version]
- Diakoudi, G.; Capozza, P.; Lanave, G.; Pellegrini, F.; Di Martino, B.; Elia, G.; Decaro, N.; Camero, M.; Ghergo, P.; Stasi, F.; et al. A novel hepadnavirus in domestic dogs. Sci. Rep. 2022, 12, 2864. [Google Scholar] [CrossRef]
- Watson, P.J.; Roulois, A.J.A.; Scase, T.J.; Irvine, R.; Herrtage, M.E. Prevalence of hepatic lesions at post-mortem examination in dogs and association with pancreatitis. J. Small Anim. Pract. 2010, 51, 566–572. [Google Scholar] [CrossRef]
- Boomkens, S.Y.; Slump, E.; Egberink, H.F.; Rothuizen, J.; Penning, L.C. PCR screening for candidate etiological agents of canine hepatitis. Vet. Microbiol. 2005, 108, 49–55. [Google Scholar] [CrossRef]
- Bexfield, N.; Watson, P.; Heaney, J.; Heeney, J.; Tiley, L. Canine hepacivirus is not associated with chronic liver disease in dogs. J. Viral Hepat. 2014, 21, 223–228. [Google Scholar] [CrossRef]
- Van der Laan, L.J.W.; de Ruiter, P.E.; van Gils, I.M.; Fieten, H.; Spee, B.; Pan, Q.; Rothuizen, J.; Penning, L.C. Canine hepacivirus and idiopathic hepatitis in dogs from a Dutch cohort. J. Viral Hepat. 2014, 21, 894–896. [Google Scholar] [CrossRef]
- Sridhar, S.; To, K.K.W.; Chan, J.F.W.; Lau, S.K.P.; Woo, P.C.Y.; Yuen, K.-Y. A Systematic Approach to Novel Virus Discovery in Emerging Infectious Disease Outbreaks. J. Mol. Diagn. 2015, 17, 230–241. [Google Scholar] [CrossRef]
- Van den Ingh, T.S.G.A.M.; Van Winkle, T.; Cullen, J.M.; Charles, J.A.; Desmet, V.J. Chapter 7—Morphological Classification of Parenchymal Disorders of the Canine and Feline Liver: 2. Hepatocellular Death, Hepatitis and Cirrhosis. In WSAVA Standards for Clinical and Histological Diagnosis of Canine and Feline Liver Diseases; Rothuizen, J., Bunch, S.E., Charles, J.A., Cullen, J.M., Desmet, V.J., Szatmári, V., Twedt, D.C., van den Ingh, T.S.G.A.M., van Winkle, T., Washabau, R.J., Eds.; W.B. Saunders: Edinburgh, UK, 2006; pp. 85–101. [Google Scholar]
- Liptak, J.M.; Dernell, W.S.; Withrow, S.J. Liver tumors in cats and dogs. Compend. Contin. Educ. Pract. Vet. 2004, 26, 50–57. [Google Scholar]
- Sergeant, E.S.G. Epitools Epidemiological Calculators. Ausvet. 2018. Available online: https://epitools.ausvet.com.au/oneproportion (accessed on 13 July 2022).
- McLuckie, A.; Barrs, V.; Lindsay, S.; Aghazadeh, M.; Sangster, C.; Beatty, J. Molecular Diagnosis of Felis catus Gammaherpesvirus 1 (FcaGHV1) Infection in Cats of Known Retrovirus Status with and without Lymphoma. Viruses 2018, 10, 128. [Google Scholar] [CrossRef] [Green Version]
- Sikand, K.; Singh, J.; Ebron, J.S.; Shukla, G.C. Housekeeping gene selection advisory: Glyceraldehyde-3-phosphate dehydrogenase (GAPDH) and β-actin are targets of miR-644a. PLoS ONE 2012, 7, e47510. [Google Scholar] [CrossRef] [Green Version]
- Wang, B.; Yang, X.L.; Li, W.; Zhu, Y.; Ge, X.Y.; Zhang, L.B.; Zhang, Y.Z.; Bock, C.T.; Shi, Z.L. Detection and genome characterization of four novel bat hepadnaviruses and a hepevirus in China. Virol. J. 2017, 14, 40. [Google Scholar] [CrossRef] [PubMed] [Green Version]
- Van Nguyen, D.; Van Nguyen, C.; Bonsall, D.; Ngo, T.T.; Carrique-Mas, J.; Pham, A.H.; Bryant, J.E.; Thwaites, G.; Baker, S.; Woolhouse, M.; et al. Detection and Characterization of Homologues of Human Hepatitis Viruses and Pegiviruses in Rodents and Bats in Vietnam. Viruses 2018, 10, 102. [Google Scholar] [CrossRef] [PubMed] [Green Version]
- Tyler, G.V.; Summers, J.W.; Snyder, R.L. Woodchuck Hepatitis Virus in Natural Woodchuck Populations. J. Wildl. Dis. 1981, 17, 297–301. [Google Scholar] [CrossRef] [PubMed] [Green Version]
- Cullen, J.M.; Lindsey-Pegram, D.; Cote, P.J. Serologic survey of woodchuck hepatitis virus in North Carolina woodchucks (Marmota monax). J. Zoo Wildl. Med. Off. Publ. Am. Assoc. Zoo Vet. 2008, 39, 263–265. [Google Scholar] [CrossRef]
- Wright, J.; Tennant, B.C.; May, B. Genetic Variation between Woodchuck Populations with High and Low Prevalence Rates of Woodchuck Hepatitis Virus Infection. J. Wildl. Dis. 1987, 23, 186–191. [Google Scholar] [CrossRef] [Green Version]
- Wong, D.C.; Shih, J.W.; Purcell, R.H.; Gerin, J.L.; London, W.T. Natural and experimental infection of woodchucks with woodchuck hepatitis virus, as measured by new, specific assays for woodchuck surface antigen and antibody. J. Clin. Microbiol. 1982, 15, 484–490. [Google Scholar] [CrossRef] [Green Version]
- Iannacone, M.; Guidotti, L.G. Immunobiology and pathogenesis of hepatitis B virus infection. Nat. Rev. Immunol. 2022, 22, 19–32. [Google Scholar] [CrossRef]
- Longerich, T.; Schirmacher, P. Comparative Pathology. In Comparative Hepatitis; Weber, O., Protzer, U., Eds.; Birkhäuser: Basel, Switzerland, 2008; pp. 47–73. [Google Scholar]
- Amaddeo, G.; Cao, Q.; Ladeiro, Y.; Imbeaud, S.; Nault, J.-C.; Jaoui, D.; Gaston Mathe, Y.; Laurent, C.; Laurent, A.; Bioulac-Sage, P.; et al. Integration of tumour and viral genomic characterisations in HBV-related hepatocellular carcinomas. Gut 2015, 64, 820–829. [Google Scholar] [CrossRef] [Green Version]
- Yuen, M.-F.; Oi-Lin Ng, I.; Fan, S.-T.; Yuan, H.-J.; Ka-Ho Wong, D.; Chi-Hang Yuen, J.; Siu-Man Sum, S.; On-On Chan, A.; Lai, C.-L. Significance of HBV DNA Levels in Liver Histology of HBeAg and Anti-HBe Positive Patients with Chronic Hepatitis B. Off. J. Am. Coll. Gastroenterol. ACG 2004, 99, 2032–2037. [Google Scholar] [CrossRef]

| Age in Months (n = 501) | Sex (n = 499) | Breed (n = 501) | |||||||
|---|---|---|---|---|---|---|---|---|---|
| Median | Minimum | Maximum | Interquartile Range | Male | Female | Pure Breed | Mixed Breed | ||
| Neutered | Entire | Neutered | Entire | ||||||
| 122 | 3.5 | 226 | 75 | 216 (43.3%) | 67 (13.4%) | 195 (39.1%) | 21 (4.2%) | 456 (91%) | 45 (9%) |
Publisher’s Note: MDPI stays neutral with regard to jurisdictional claims in published maps and institutional affiliations. |
© 2022 by the authors. Licensee MDPI, Basel, Switzerland. This article is an open access article distributed under the terms and conditions of the Creative Commons Attribution (CC BY) license (https://creativecommons.org/licenses/by/4.0/).
Share and Cite
Choi, Y.R.; Chen, M.-C.; Carrai, M.; Rizzo, F.; Chai, Y.; Tse, M.; Jackson, K.; Martella, V.; Steiner, J.; Pesavento, P.A.; et al. Hepadnavirus DNA Is Detected in Canine Blood Samples in Hong Kong but Not in Liver Biopsies of Chronic Hepatitis or Hepatocellular Carcinoma. Viruses 2022, 14, 1543. https://doi.org/10.3390/v14071543
Choi YR, Chen M-C, Carrai M, Rizzo F, Chai Y, Tse M, Jackson K, Martella V, Steiner J, Pesavento PA, et al. Hepadnavirus DNA Is Detected in Canine Blood Samples in Hong Kong but Not in Liver Biopsies of Chronic Hepatitis or Hepatocellular Carcinoma. Viruses. 2022; 14(7):1543. https://doi.org/10.3390/v14071543
Chicago/Turabian StyleChoi, Yan Ru, Min-Chun Chen, Maura Carrai, Francesca Rizzo, Yingfei Chai, May Tse, Ken Jackson, Vito Martella, Joerg Steiner, Patricia A. Pesavento, and et al. 2022. "Hepadnavirus DNA Is Detected in Canine Blood Samples in Hong Kong but Not in Liver Biopsies of Chronic Hepatitis or Hepatocellular Carcinoma" Viruses 14, no. 7: 1543. https://doi.org/10.3390/v14071543
APA StyleChoi, Y. R., Chen, M.-C., Carrai, M., Rizzo, F., Chai, Y., Tse, M., Jackson, K., Martella, V., Steiner, J., Pesavento, P. A., Beatty, J. A., & Barrs, V. R. (2022). Hepadnavirus DNA Is Detected in Canine Blood Samples in Hong Kong but Not in Liver Biopsies of Chronic Hepatitis or Hepatocellular Carcinoma. Viruses, 14(7), 1543. https://doi.org/10.3390/v14071543

