Development and Primary Application of an Indirect ELISA Based on Rep Protein to Analyze Antibodies against Porcine Cocirvirus-like Virus (PCLV)
Abstract
:1. Introduction
2. Materials and Methods
2.1. Serum Sample Collection and Viral DNA Extraction
2.2. Rep Gene Amplification and Vector Construction
2.3. His-Rep Protein Purification
2.4. Immunogenicity Determination
2.5. Indirect ELISA for Detecting Anti-Rep Antibodies
2.6. The Cut-Off Value
2.7. The Coefficient of Variation Determination
2.8. Sensitivity and Specificity of ELISA test
2.9. Field Samples Rep Antibody Detection
2.10. Statistical Analysis
3. Results
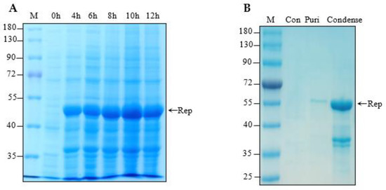
3.1. PCLV Rep Amplification and His-Rep Protein Purification
3.2. Immunogenicity Assessment of PCLV Rep Protein
3.3. Cut-Off Value Determination of the ELISA
3.4. Repeatability of the Indirect ELISA
3.5. Specific Determination of the Indirect ELISA
3.6. Primary Application of ELISA in Detecting Antibodies
4. Discussion
5. Conclusions
Author Contributions
Funding
Institutional Review Board Statement
Informed Consent Statement
Data Availability Statement
Acknowledgments
Conflicts of Interest
Abbreviations
| Abbreviations | Descriptions |
| PCLV | Porcine circovirus-like virus |
| ELISA | enzyme-linked immunosorbent assay |
| TGEV | Transmissible gastroenteritis virus |
| PRRSV | Porcine reproductive and respiratory syndrome virus |
| PCV2 | porcine circovirus 2 |
| Rep | Replication protein |
| PCR | Polymerase chain reaction |
| CV | coefficient of variation |
| SDS-PAGE | sodium dodecyl sulfate-polyacrylamide gel electrophoresis |
| OD | Optical density |
| Ni-NTA | Nickel NTA Affinity Chromatography Medium |
| ORF | Open reading frame |
References
- Kazlauskas, D.; Varsani, A.; Koonin, E.V.; Krupovic, M. Multiple origins of prokaryotic and eukaryotic single-stranded DNA viruses from bacterial and archaeal plasmids. Nat. Commun. 2019, 10, 3425. [Google Scholar] [CrossRef] [PubMed] [Green Version]
- Krupovic, M.; Varsani, A.; Kazlauskas, D.; Breitbart, M.; Delwart, E.; Rosario, K.; Yutin, N.; Wolf, Y.I.; Harrach, B.; Zerbini, F.M.; et al. Cressdnaviricota: A Virus Phylum Unifying Seven Families of Rep-Encoding Viruses with Single-Stranded, Circular DNA Genomes. J. Virol. 2020, 94, e00582-20. [Google Scholar] [CrossRef] [PubMed]
- Varsani, A.; Krupovic, M. Smacoviridae: A new family of animal-associated single-stranded DNA viruses. Arch. Virol. 2018, 163, 2005–2015. [Google Scholar] [CrossRef] [PubMed]
- Liu, Q.; Wang, H.; Ling, Y.; Yang, S.X.; Wang, X.C.; Zhou, R.; Xiao, Y.Q.; Chen, X.; Yang, J.; Fu, W.G.; et al. Viral metagenomics revealed diverse CRESS-DNA virus genomes in faeces of forest musk deer. Virol. J. 2020, 17, 61. [Google Scholar] [CrossRef] [Green Version]
- Rosario, K.; Breitbart, M.; Harrach, B.; Segales, J.; Delwart, E.; Biagini, P.; Varsani, A. Revisiting the taxonomy of the family Circoviridae: Establishment of the genus Cyclovirus and removal of the genus Gyrovirus. Arch. Virol. 2017, 162, 1447–1463. [Google Scholar] [CrossRef] [Green Version]
- Guo, Z.; He, Q.; Tang, C.; Zhang, B.; Yue, H. Identification and genomic characterization of a novel CRESS DNA virus from a calf with severe hemorrhagic enteritis in China. Virus Res. 2018, 255, 141–146. [Google Scholar] [CrossRef]
- Meng, X.J. Porcine circovirus type 2 (PCV2): Pathogenesis and interaction with the immune system. Annu. Rev. Anim. Biosci. 2013, 1, 43–64. [Google Scholar] [CrossRef]
- Hu, Y.; Cai, X.; Zhan, Y.; Yuan, X.; Liu, T.; Tan, L.; Li, Y.; Zhang, L.; Yang, L.; Liu, W.; et al. Truncated Rep protein of porcine circovirus 2 (PCV2) caused by a naturally occurring mutation reduced virus replication in PK15 cells. BMC Vet. Res. 2019, 15, 248. [Google Scholar] [CrossRef] [Green Version]
- Yu, X.; Gao, K.; Pi, M.; Li, H.; Zhong, W.; Li, B.; Ning, Z. Phylogenetic and codon usage analysis for replicase and capsid genes of porcine circovirus 3. Vet. Res. Commun. 2021, 45, 353–361. [Google Scholar] [CrossRef]
- Wang, D.; Mai, J.; Lei, B.; Zhang, Y.; Yang, Y.; Wang, N. Structure, Antigenic Properties, and Highly Efficient Assembly of PCV4 Capsid Protein. Front. Vet. Sci. 2021, 8, 695466. [Google Scholar] [CrossRef]
- Sun, W.; Du, Q.; Han, Z.; Bi, J.; Lan, T.; Wang, W.; Zheng, M. Detection and genetic characterization of porcine circovirus 4 (PCV4) in Guangxi, China. Gene 2021, 773, 145384. [Google Scholar] [CrossRef] [PubMed]
- Zhao, L.; Rosario, K.; Breitbart, M.; Duffy, S. Eukaryotic Circular Rep-Encoding Single-Stranded DNA (CRESS DNA) Viruses: Ubiquitous Viruses With Small Genomes and a Diverse Host Range. Adv. Virus Res. 2019, 103, 71–133. [Google Scholar] [PubMed]
- Shan, T.; Li, L.; Simmonds, P.; Wang, C.; Moeser, A.; Delwart, E. The fecal virome of pigs on a high-density farm. J. Virol. 2011, 85, 11697–11708. [Google Scholar] [CrossRef] [PubMed] [Green Version]
- Yang, K.; Zhang, M.; Liu, Q.; Cao, Y.; Zhang, W.; Liang, Y.; Song, X.; Ji, K.; Shao, Y.; Qi, K.; et al. Epidemiology and Evolution of Emerging Porcine Circovirus-like Viruses in Pigs with Hemorrhagic Dysentery and Diarrhea Symptoms in Central China from 2018 to 2021. Viruses 2021, 13, 2282. [Google Scholar] [CrossRef] [PubMed]
- Liu, X.; Zhang, X.; Xu, G.; Wang, Z.; Shen, H.; Lian, K.; Lin, Y.; Zheng, J.; Liang, P.; Zhang, L.; et al. Emergence of porcine circovirus-like viruses associated with porcine diarrheal disease in China. Transbound. Emerg. Dis. 2021, 68, 3167–3173. [Google Scholar] [CrossRef]
- Sun, W.; Wang, W.; Cao, L.; Zheng, M.; Zhuang, X.; Zhang, H.; Yu, N.; Tian, M.; Lu, H.; Jin, N. Genetic characterization of three porcine circovirus-like viruses in pigs with diarrhoea in China. Transbound. Emerg. Dis. 2021, 68, 289–295. [Google Scholar] [CrossRef]
- Devaraj, S.; Poventud-Fuentes, I.; Girotto, M.; Monroe, J.; Boom, J.; Delclos, G.; Versalovic, J. SARSCoV-2 serostatus amongst vaccinated employees at a pediatric hospital system. Pract. Lab. Med. 2022, 28, e00261. [Google Scholar] [CrossRef]
- Lebrao, C.W.; Cruz, M.N.; Silva, M.H.D.; Dutra, L.V.; Cristiani, C.; Affonso Fonseca, F.L.; Suano-Souza, F.I. Early Identification of IgA Anti-SARSCoV-2 in Milk of Mother With COVID-19 Infection. J. Hum. Lact. 2020, 36, 609–613. [Google Scholar] [CrossRef]
- Okda, F.; Liu, X.; Singrey, A.; Clement, T.; Nelson, J.; Christopher-Hennings, J.; Nelson, E.A.; Lawson, S. Development of an indirect ELISA, blocking ELISA, fluorescent microsphere immunoassay and fluorescent focus neutralization assay for serologic evaluation of exposure to North American strains of Porcine Epidemic Diarrhea Virus. BMC Vet. Res. 2015, 11, 180. [Google Scholar] [CrossRef] [Green Version]
- Kit, S.; Otsuka, H.; Kit, M. Expression of porcine pseudorabies virus genes by a bovine herpesvirus-1 (infectious bovine rhinotracheitis virus) vector. Arch. Virol. 1992, 124, 1–20. [Google Scholar] [CrossRef]
- Yin, S.H.; Yang, S.L.; Tian, H.; Wu, J.Y.; Shang, Y.J.; Cai, X.P.; Liu, X.T. An ELISA based on a truncated soluble ORF2 protein for the detection of PCV2 antibodies in domestic pigs. Virol. Sin. 2010, 25, 191–198. [Google Scholar] [CrossRef] [PubMed]
- Okinaga, T.; Yamagishi, T.; Yoshii, M.; Suzuki, T.; Miyazaki, A.; Takagi, M.; Tsunemitsu, H. Evaluation of unexpected positive results from a commercial ELISA for antibodies to PRRSV. Vet. Rec. 2009, 164, 455–459. [Google Scholar] [CrossRef] [PubMed]
- Callebaut, P.; Pensaert, M.B.; Hooyberghs, J. A competitive inhibition ELISA for the differentiation of serum antibodies from pigs infected with transmissible gastroenteritis virus (TGEV) or with the TGEV-related porcine respiratory coronavirus. Vet. Microbiol. 1989, 20, 9–19. [Google Scholar] [CrossRef]
- Jaworski, J.P.; Compaired, D.; Trotta, M.; Perez, M.; Trono, K.; Fondevila, N. Validation of an r3AB1-FMDV-NSP ELISA to distinguish between cattle infected and vaccinated with foot-and-mouth disease virus. J. Virol. Methods 2011, 178, 191–200. [Google Scholar] [CrossRef]
- Armstrong, R.M.; Cox, S.J.; Aggarwal, N.; Mackay, D.J.; Davies, P.R.; Hamblin, P.A.; Dani, P.; Barnett, P.V.; Paton, D.J. Detection of antibody to the foot-and-mouth disease virus (FMDV) non-structural polyprotein 3ABC in sheep by ELISA. J. Virol. Methods 2005, 125, 153–163. [Google Scholar] [CrossRef]
- Hsu, W.T.; Chang, C.Y.; Tsai, C.H.; Wei, S.C.; Lo, H.R.; Lamis, R.J.S.; Chang, H.W.; Chao, Y.C. PEDV Infection Generates Conformation-Specific Antibodies That Can Be Effectively Detected by a Cell-Based ELISA. Viruses 2021, 13, 303. [Google Scholar] [CrossRef]
- Knuchel, M.; Ackermann, M.; Muller, H.K.; Kihm, U. An ELISA for detection of antibodies against porcine epidemic diarrhoea virus (PEDV) based on the specific solubility of the viral surface glycoprotein. Vet Microbiol 1992, 32, 117–134. [Google Scholar] [CrossRef]
- Lv, C.; Zhao, Y.; Jiang, L.; Zhao, L.; Wu, C.; Hui, X.; Hu, X.; Shao, Z.; Xia, X.; Sun, X.; et al. Development of a Dual ELISA for the Detection of CD2v-Unexpressed Lower-Virulence Mutational ASFV. Life 2021, 11, 1214. [Google Scholar] [CrossRef]




| Sample | Intra-Assay | Inter-Assay | |||||
|---|---|---|---|---|---|---|---|
| χ | SD | CV(%) | χ | SD | CV% (%) | ||
| Positive serums | 1 | 1.775 | 0.016 | 0.912 | 1.851 | 0.072 | 3.889 |
| 2 | 1.939 | 0.034 | 1.781 | 1.709 | 0.039 | 2.282 | |
| 3 | 1.874 | 0.023 | 1.266 | 1.833 | 0.035 | 1.909 | |
| 4 | 1.709 | 0.026 | 1.528 | 1.592 | 0.029 | 1.822 | |
| 5 | 1.685 | 0.016 | 0.949 | 1.778 | 0.018 | 1.007 | |
| 6 | 1.915 | 0.012 | 0.644 | 1.807 | 0.019 | 1.0678 | |
| 7 | 1.805 | 0.027 | 1.511 | 1.698 | 0.016 | 0.933 | |
| 8 | 1.807 | 0.023 | 1.254 | 1.735 | 0.034 | 1.950 | |
| 9 | 1.844 | 0.018 | 0.974 | 1.813 | 0.016 | 0.859 | |
| Negative serums | 1 | 0.073 | 0.003 | 3.994 | 0.069 | 0.005 | 7.246 |
| 2 | 0.070 | 0.005 | 7.825 | 0.064 | 0.002 | 3.125 | |
| 3 | 0.078 | 0.003 | 4.078 | 0.074 | 0.002 | 2.703 | |
| 4 | 0.074 | 0.004 | 5.241 | 0.076 | 0.005 | 6.579 | |
| 5 | 0.005 | 0.064 | 8.221 | 0.072 | 0.002 | 3.106 | |
| 6 | 0.004 | 0.068 | 5.519 | 0.072 | 0.003 | 4.501 | |
| 7 | 0.003 | 0.078 | 3.817 | 0.076 | 0.003 | 4.001 | |
| 8 | 0.004 | 0.069 | 5.325 | 0.066 | 0.003 | 3.863 | |
| 9 | 0.005 | 0.076 | 6.248 | 0.070 | 0.002 | 3.541 | |
| PCLV(+) | Outcome | PCLV(−) | Outcome | TGEV | Outcome | PRRSV | Outcome | PCV2 | Outcome |
|---|---|---|---|---|---|---|---|---|---|
| 2.784 | + | 0.083 | − | 0.045 | − | 0.069 | − | 0.062 | − |
| 1.982 | + | 0.058 | − | 0.042 | − | 0.074 | − | 0.071 | − |
| 1.774 | + | 0.092 | − | 0.075 | − | 0.049 | − | 0.063 | − |
| 2.205 | + | 0.043 | − | 0.081 | − | 0.068 | − | 0.048 | − |
| 1.976 | + | 0.074 | − | 0.040 | − | 0.093 | − | 0.085 | − |
| 1.885 | + | 0.084 | − | 0.058 | − | 0.077 | − | 0.072 | − |
| 2.548 | + | 0.086 | − | 0.066 | − | 0.074 | − | 0.071 | − |
| 1.942 | + | 0.075 | − | 0.082 | − | 0.069 | − | 0.066 | − |
| Samples (n) | Positive (n) | Positive Rate (%) | |
|---|---|---|---|
| NanChang | 193 | 33 | 17.09 |
| ShangRao | 411 | 71 | 17.27 |
| JiAn | 102 | 14 | 13.73 |
| YiChun | 101 | 17 | 16.83 |
| GanZhou | 407 | 72 | 17.69 |
| Jiujiang | 126 | 34 | 26.98 |
| Yingtan | 353 | 43 | 12.18 |
| Total | 1593 | 284 | 17.83 |
Publisher’s Note: MDPI stays neutral with regard to jurisdictional claims in published maps and institutional affiliations. |
© 2022 by the authors. Licensee MDPI, Basel, Switzerland. This article is an open access article distributed under the terms and conditions of the Creative Commons Attribution (CC BY) license (https://creativecommons.org/licenses/by/4.0/).
Share and Cite
Chen, Z.; Hu, X.; Wu, X.; Li, Y.; Ding, Z.; Zeng, Q.; Wan, T.; Yin, J.; Wu, H. Development and Primary Application of an Indirect ELISA Based on Rep Protein to Analyze Antibodies against Porcine Cocirvirus-like Virus (PCLV). Viruses 2022, 14, 1398. https://doi.org/10.3390/v14071398
Chen Z, Hu X, Wu X, Li Y, Ding Z, Zeng Q, Wan T, Yin J, Wu H. Development and Primary Application of an Indirect ELISA Based on Rep Protein to Analyze Antibodies against Porcine Cocirvirus-like Virus (PCLV). Viruses. 2022; 14(7):1398. https://doi.org/10.3390/v14071398
Chicago/Turabian StyleChen, Zheng, Xifeng Hu, Xiangdong Wu, Yu Li, Zhen Ding, Qinghua Zeng, Tong Wan, Jingyi Yin, and Huansheng Wu. 2022. "Development and Primary Application of an Indirect ELISA Based on Rep Protein to Analyze Antibodies against Porcine Cocirvirus-like Virus (PCLV)" Viruses 14, no. 7: 1398. https://doi.org/10.3390/v14071398
APA StyleChen, Z., Hu, X., Wu, X., Li, Y., Ding, Z., Zeng, Q., Wan, T., Yin, J., & Wu, H. (2022). Development and Primary Application of an Indirect ELISA Based on Rep Protein to Analyze Antibodies against Porcine Cocirvirus-like Virus (PCLV). Viruses, 14(7), 1398. https://doi.org/10.3390/v14071398

