Evolution of Neuroimaging Findings in Severe COVID-19 Patients with Initial Neurological Impairment: An Observational Study
Abstract
:1. Introduction
2. Material and Methods
2.1. Patient Cohort and Study Design
- Pathological wakefulness when sedative therapies were stopped;
- Delirium;
- Signs of corticospinal tract involvement.
2.2. Brain MRIs—Protocols and Interpretation
2.3. Brain Volumetry
2.4. FDG-PET/CT Protocols and Interpretation
2.5. Neurocognitive Assessment
2.6. Statistical Analysis
3. Results
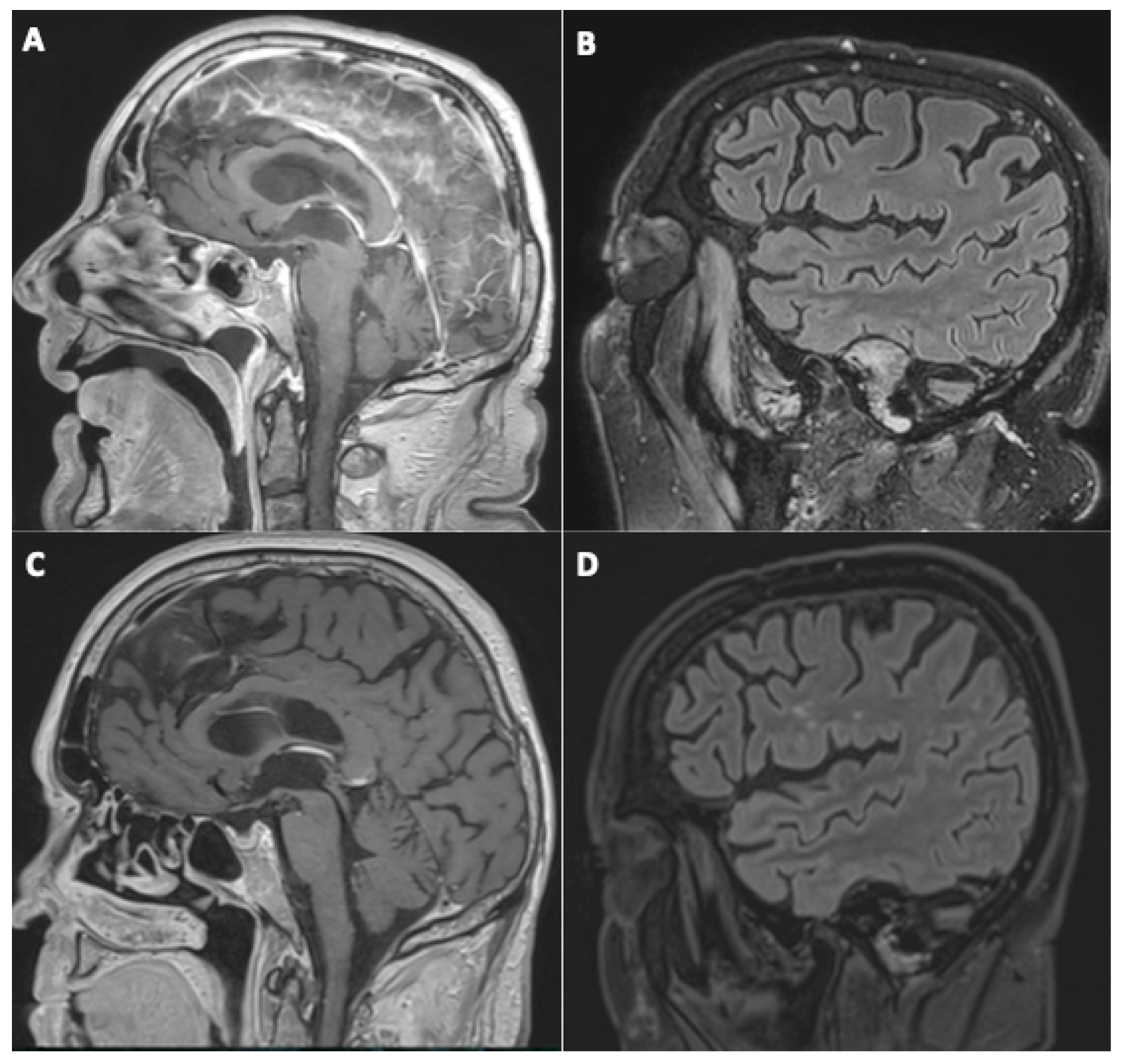
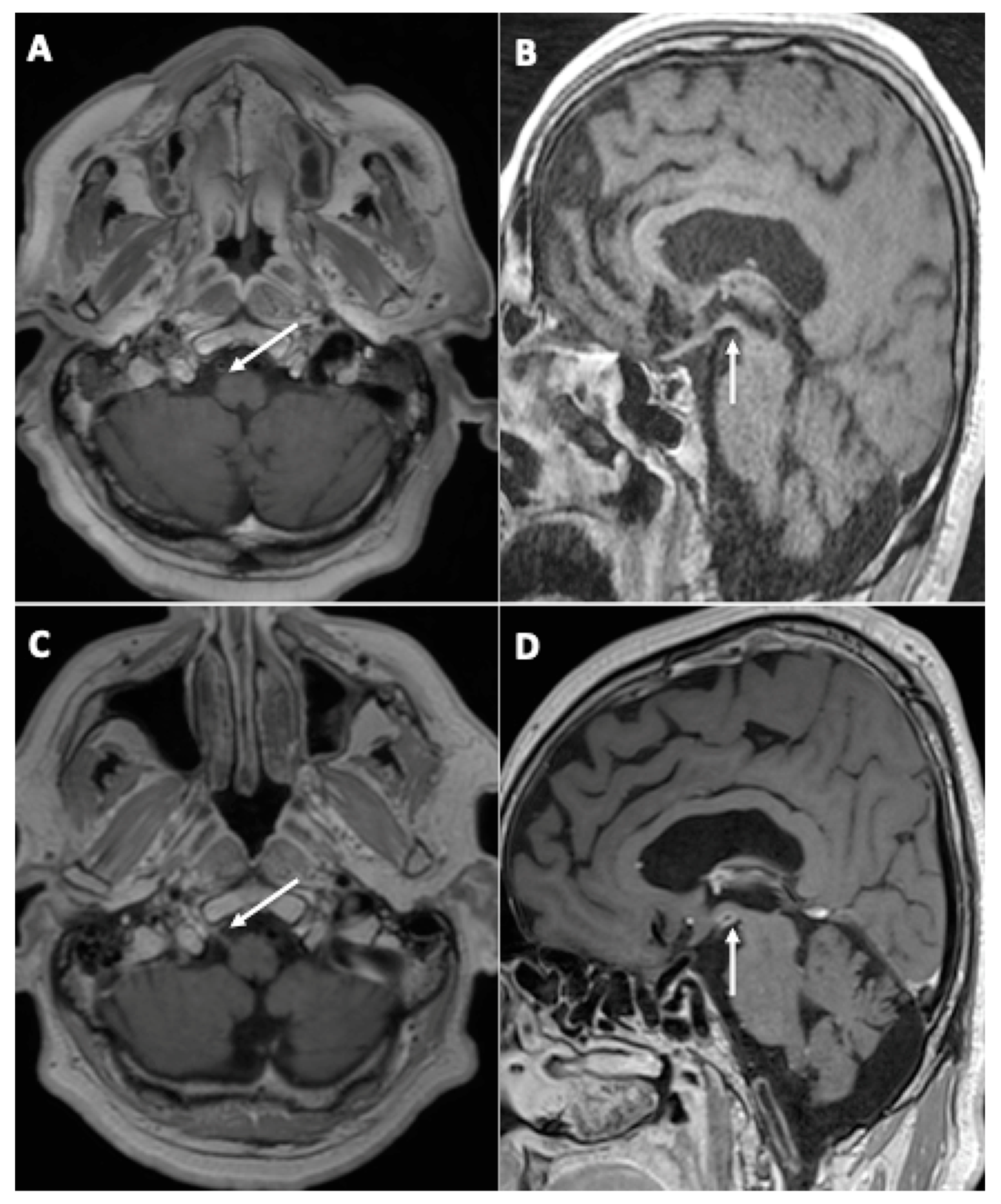
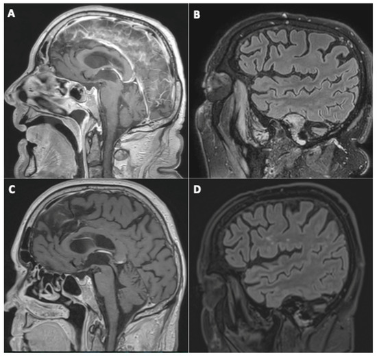
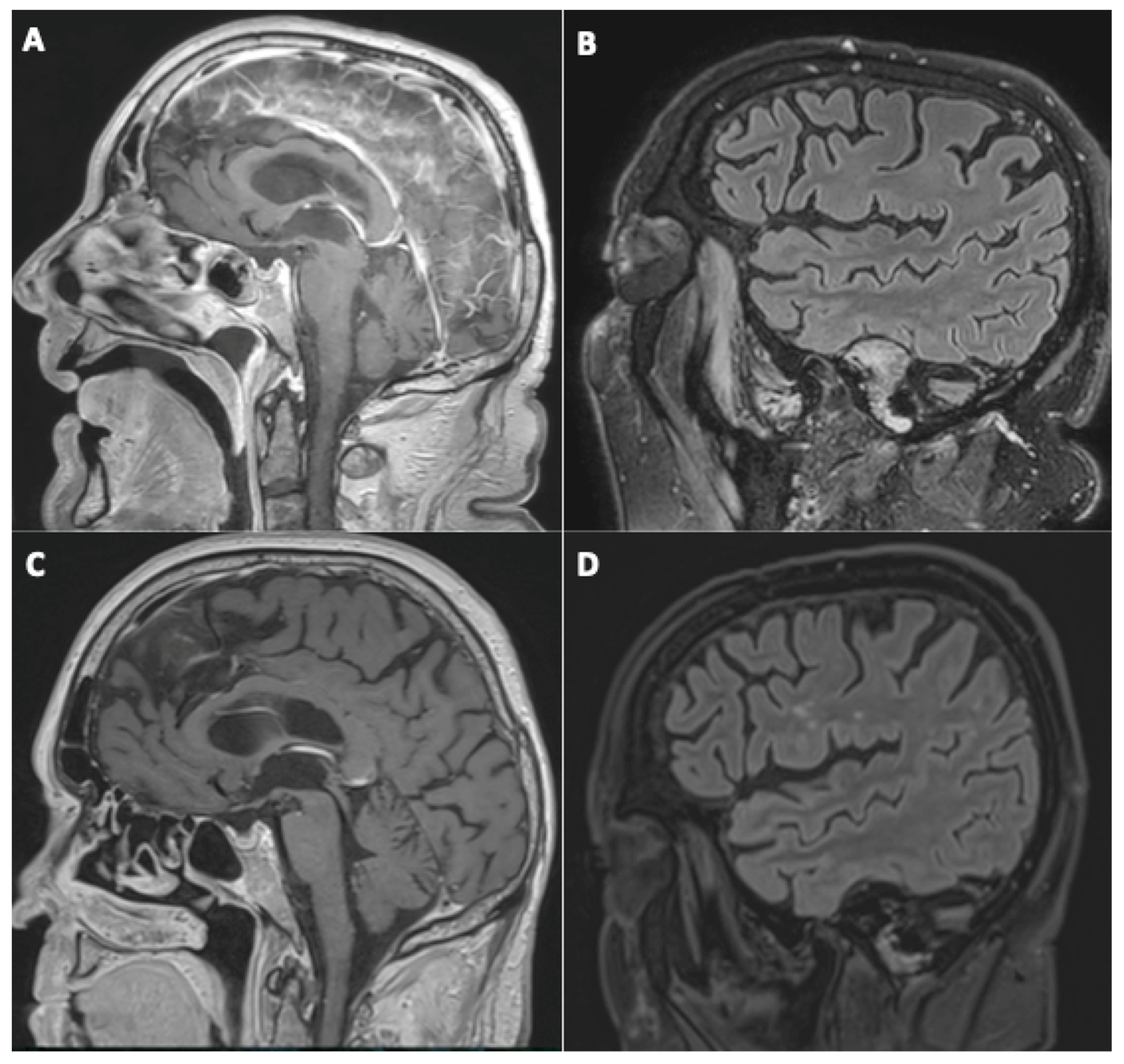
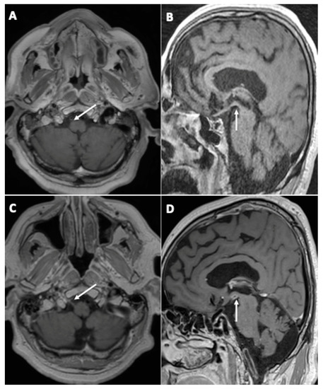
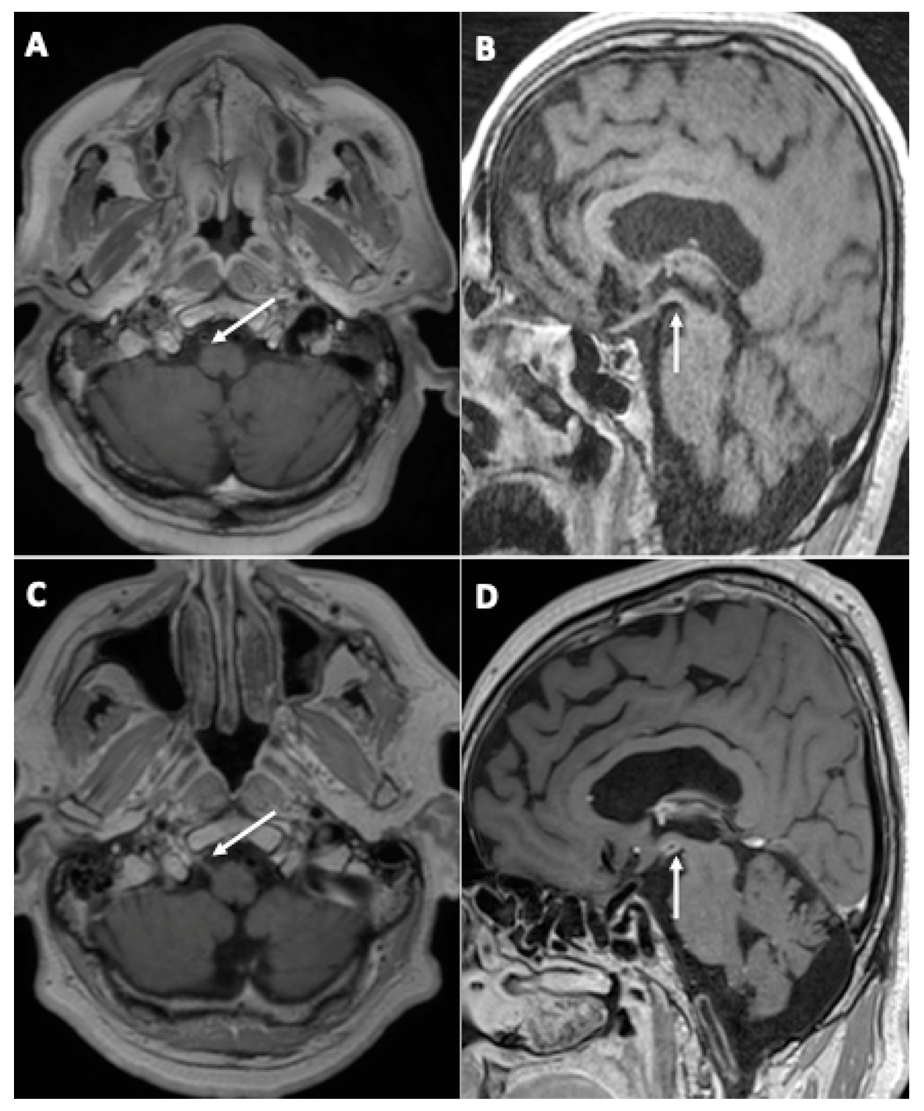
3.1. Brain MRI Findings
- (a)
- Initial brain MRI findings
- Fourteen (45%) cases of focal (single focus or multiple foci) leptomeningeal enhancement (LME);
- Nine (29%) diffuse brain microhemorrhages, which predominantly involved the corpus callosum, the subtentorial juxtacortical WM, the internal capsule, the brainstem, the middle cerebellar peduncles, and the cerebellum, leading to the diagnosis of critical-illness associated cerebral microbleeds (CIAM) [14];
- Four (13%) acute ischemic strokes (acute small vessel infarcts or borderline infarction);
- (b)
- Evolution of initial neuroimaging findings
- (c)
- New findings during follow-up
- (d)
- Evolution of perfusion imaging
3.2. Brain Volumetry Changes during Follow-Up
3.3. FDG-PET/CT Findings
- -
- One patient had PET in the acute phase;
- -
- Twenty-three patients had PET at three months (among them, 12 underwent a second PET at six months);
- -
- One patient underwent PET at six months.
3.4. Neurocognitive Assessment
4. Discussion
Author Contributions
Funding
Institutional Review Board Statement
Informed Consent Statement
Data Availability Statement
Acknowledgments
Conflicts of Interest
Abbreviations
| ACE2 | angiotensin-converting enzyme 2 |
| ADEM | Acute disseminated encephalomyelitis |
| AHL | Acute hemorrhagic leukoencephalitis |
| ASL | Arterial spin labeling |
| CT | computed tomography |
| GM | grey matter |
| FAB | frontal assessment battery |
| FDG | fluorodeoxyglucose |
| FDG PET/CT | fluorodeoxyglucose positron emission tomography/computed tomography |
| ICU | intensive care units |
| LME | leptomeningeal enhancement |
| PET | positron emission tomography |
| SD | standard deviation |
| WM | white matter |
References
- Kremer, S.; Lersy, F.; Anheim, M.; Merdji, H.; Schenck, M.; Oesterlé, H.; Bolognini, F.; Messie, J.; Khalil, A.; Gaudemer, A.; et al. Neurologic and neuroimaging findings in patients with COVID-19. Neurology 2020, 95, e1868–e1882. [Google Scholar] [CrossRef] [PubMed]
- Kremer, S.; Lersy, F.; De Sèze, J.; Ferré, J.-C.; Maamar, A.; Carsin-Nicol, B.; Collange, O.; Bonneville, F.; Adam, G.; Martin-Blondel, G.; et al. Brain MRI Findings in Severe COVID-19: A Retrospective Observational Study. Radiology 2020, 297, E242–E251. [Google Scholar] [CrossRef] [PubMed]
- Chougar, L.; Shor, N.; Weiss, N.; Galanaud, D.; Leclercq, D.; Mathon, B.; Belkacem, S.; Ströer, S.; Burrel, S.; Boutolleau, D.; et al. Retrospective Observational Study of Brain MRI Findings in Patients with Acute SARS-CoV-2 Infection and Neurologic Manifestations. Radiology 2020, 297, E313–E323. [Google Scholar] [CrossRef]
- Choi, Y.; Lee, M.K. Neuroimaging findings of brain MRI and CT in patients with COVID-19: A systematic review and meta-analysis. Eur. J. Radiol. 2020, 133, 109393. [Google Scholar] [CrossRef]
- Lersy, F.; Anheim, M.; Willaume, T.; Chammas, A.; Brisset, J.-C.; Cotton, F.; Kremer, S. Cerebral vasculitis of medium-sized vessels as a possible mechanism of brain damage in COVID-19 patients. J. Neuroradiol. 2020, 48, 141–146. [Google Scholar] [CrossRef]
- Hanafi, R.; Roger, P.-A.; Perin, B.; Kuchcinski, G.; Deleval, N.; Dallery, F.; Michel, D.; Hacein-Bey, L.; Pruvo, J.-P.; Outteryck, O.; et al. COVID-19 Neurologic Complication with CNS Vasculitis-Like Pattern. Am. J. Neuroradiol. 2020, 41, 1384–1387. [Google Scholar] [CrossRef]
- Delorme, C.; Paccoud, O.; Kas, A.; Hesters, A.; Bombois, S.; Shambrook, P.; Boullet, A.; Doukhi, D.; Le Guennec, L.; Godefroy, N.; et al. COVID-19-related encephalopathy: A case series with brain FDG-positron-emission tomography/computed tomography findings. Eur. J. Neurol. 2020, 27, 2651–2657. [Google Scholar] [CrossRef]
- Kas, A.; Soret, M.; Pyatigoskaya, N.; Habert, M.-O.; Hesters, A.; Le Guennec, L.; Paccoud, O.; Bombois, S.; Delorme, C.; on the behalf of CoCo-Neurosciences study Group and COVID SMIT PSL Study Group. The cerebral network of COVID-19-related encephalopathy: A longitudinal voxel-based 18F-FDG-PET study. Eur. J. Nucl. Med. Mol. Imaging 2021, 48, 2543–2557. [Google Scholar] [CrossRef]
- Lersy, F.; Benotmane, I.; Helms, J.; Collange, O.; Schenck, M.; Brisset, J.-C.; Chammas, A.; Willaume, T.; Lefebvre, N.; Solis, M.; et al. Cerebrospinal Fluid Features in Patients With Coronavirus Disease 2019 and Neurological Manifestations: Correlation with Brain Magnetic Resonance Imaging Findings in 58 Patients. J. Infect. Dis. 2020, 223, 600–609. [Google Scholar] [CrossRef]
- Woo, M.S.; Malsy, J.; Pöttgen, J.; Zai, S.S.; Ufer, F.; Hadjilaou, A.; Schmiedel, S.; Addo, M.M.; Gerloff, C.; Heesen, C.; et al. Frequent neurocognitive deficits after recovery from mild COVID-19. Brain Commun. 2020, 2, fcaa205. [Google Scholar] [CrossRef]
- Del Brutto, O.H.; Wu, S.; Mera, R.M.; Costa, A.F.; Recalde, B.Y.; Issa, N.P. Cognitive decline among individuals with history of mild symptomatic SARS-CoV-2 infection: A longitudinal prospective study nested to a population cohort. Eur. J. Neurol. 2021, 28, 3245–3253. [Google Scholar] [CrossRef] [PubMed]
- Smith, S.; Zhanga, Y.; Jenkinson, M.; Chenab, J.; Matthews, P.M.; Federico, A.; de Stefano, N. Accurate, Robust, and Automated Longitudinal and Cross-Sectional Brain Change Analysis. NeuroImage 2002, 17, 479–489. [Google Scholar] [CrossRef] [PubMed] [Green Version]
- Smith, S.M.; Jenkinson, M.; Woolrich, M.W.; Beckmann, C.F.; Behrens, T.E.; Johansen-Berg, H.; Bannister, P.R.; De Luca, M.; Drobnjak, I.; Flitney, D.E.; et al. Advances in functional and structural MR image analysis and implementation as FSL. NeuroImage 2004, 23, S208–S219. [Google Scholar] [CrossRef] [PubMed] [Green Version]
- Lersy, F.; Willaume, T.; Brisset, J.-C.; Collange, O.; Helms, J.; Schneider, F.; Chammas, A.; Willaume, A.; Meyer, N.; Anheim, M.; et al. Critical illness-associated cerebral microbleeds for patients with severe COVID-19: Etiologic hypotheses. J. Neurol. 2020, 268, 2676–2684. [Google Scholar] [CrossRef] [PubMed]
- Pohl, D.; Alper, G.; Van Haren, K.; Kornberg, A.J.; Lucchinetti, C.F.; Tenembaum, S.; Belman, A.L. Acute disseminated encephalomyelitis. Neurology 2016, 87, S38–S45. [Google Scholar] [CrossRef] [PubMed]
- Nabi, S.; Badshah, M.; Ahmed, S.; Nomani, A.Z. Weston-Hurst syndrome: A rare fulminant form of acute disseminated encephalomyelitis (ADEM). BMJ Case Rep. 2016, 2016, bcr2016217215. [Google Scholar] [CrossRef]
- Kruggel, F. MRI-based volumetry of head compartments: Normative values of healthy adults. NeuroImage 2006, 30, 1–11. [Google Scholar] [CrossRef] [Green Version]
- Fox, R.J.; Fisher, E.; Tkach, J.; Lee, J.-C.; A Cohen, J.; A Rudick, R. Brain atrophy and magnetization transfer ratio following methylprednisolone in multiple sclerosis: Short-term changes and long-term implications. Mult. Scler. J. 2005, 11, 140–145. [Google Scholar] [CrossRef]
- Lersy, F.; Noblet, V.; Willaume, T.; Collongues, N.; Kremer, L.; Fleury, M.; de Seze, J.; Kremer, S. Identification and measurement of cervical spinal cord atrophy in neuromyelitis optica spectrum disorders (NMOSD) and correlation with clinical characteristics and cervical spinal cord MRI data. Rev. Neurol. 2020, 177, 85–92. [Google Scholar] [CrossRef]
- Grimaldi, S.; Lagarde, S.; Harlé, J.-R.; Boucraut, J.; Guedj, E. Autoimmune Encephalitis Concomitant with SARS-CoV-2 Infection: Insight from 18F-FDG PET Imaging and Neuronal Autoantibodies. J. Nucl. Med. 2020, 61, 1726–1729. [Google Scholar] [CrossRef]
- Chammas, A.; Namer, I.J.; Lersy, F.; Kremer, S.; Bund, C. Inferior Colliculus’s Hypermetabolism. Clin. Nucl. Med. 2021, 46, 413–414. [Google Scholar] [CrossRef] [PubMed]
- Chammas, A.; Bund, C.; Lersy, F.; Brisset, J.-C.; Ardellier, F.-D.; Kremer, S.; Namer, I. Collicular Hyperactivation in Patients with COVID-19: A New Finding on Brain MRI and PET/CT. Am. J. Neuroradiol. 2021, 42, 1410–1414. [Google Scholar] [CrossRef] [PubMed]
- Durand-Dubief, F.; Belaroussi, B.; Armspach, J.; Dufour, M.; Roggerone, S.; Vukusic, S.; Hannoun, S.; Sappey-Marinier, D.; Confavreux, C.; Cotton, F. Reliability of Longitudinal Brain Volume Loss Measurements between 2 Sites in Patients with Multiple Sclerosis: Comparison of 7 Quantification Techniques. Am. J. Neuroradiol. 2012, 33, 1918–1924. [Google Scholar] [CrossRef] [PubMed] [Green Version]
- Biberacher, V.; Schmidt, P.; Keshavan, A.; Boucard, C.C.; Righart, R.; Sämann, P.; Preibisch, C.; Fröbel, D.; Aly, L.; Hemmer, B.; et al. Intra- and interscanner variability of magnetic resonance imaging based volumetry in multiple sclerosis. NeuroImage 2016, 142, 188–197. [Google Scholar] [CrossRef] [PubMed]
- Gunther, M.L.; Jackson, J.C.; Ely, E.W. Loss of IQ in the ICU brain injury without the insult. Med. Hypotheses 2007, 69, 1179–1182. [Google Scholar] [CrossRef]
- Duning, T.; Kloska, S.; Steinstrater, O.; Kugel, H.; Heindel, W.; Knecht, S. Dehydration confounds the assessment of brain atrophy. Neurology 2005, 64, 548–550. [Google Scholar] [CrossRef]
- Bateman, R.M.; Sharpe, M.D.; Jagger, J.E.; Ellis, C.G.; Solé-Violán, J.; López-Rodríguez, M.; Herrera-Ramos, E.; Ruíz-Hernández, J.; Borderías, L.; Horcajada, J.; et al. 36th International Symposium on Intensive Care and Emergency Medicine. Crit. Care 2016, 20, 13–182. [Google Scholar] [CrossRef] [Green Version]
- Helms, J.; Kremer, S.; Merdji, H.; Clere-Jehl, R.; Schenck, M.; Kummerlen, C.; Collange, O.; Boulay, C.; Fafi-Kremer, S.; Ohana, M.; et al. Neurologic Features in Severe SARS-CoV-2 Infection. N. Engl. J. Med. 2020, 382, 2268–2270. [Google Scholar] [CrossRef]
- von Weyhern, C.H.; Kaufmann, I.; Neff, F.; Kremer, M. Early evidence of pronounced brain involvement in fatal COVID-19 outcomes. Lancet 2020, 395, e109. [Google Scholar] [CrossRef]
- Absinta, M.; Cortese, I.C.; Vuolo, L.; Nair, G.; de Alwis, M.P.; Ohayon, J.; Meani, A.; Martinelli, V.; Scotti, R.; Falini, A.; et al. Leptomeningeal gadolinium enhancement across the spectrum of chronic neuroinflammatory diseases. Neurology 2017, 88, 1439–1444. [Google Scholar] [CrossRef] [Green Version]
- Dixon, L.; Coughlan, C.; Karunaratne, K.; Gorgoraptis, N.; Varley, J.; Husselbee, J.; Mallon, D.; Carroll, R.; Jones, B.; Boynton, C.; et al. Immunosuppression for intracranial vasculitis associated with SARS-CoV-2: Therapeutic implications for COVID-19 cerebrovascular pathology. J. Neurol. Neurosurg. Psychiatry 2020, 92, 103–104. [Google Scholar] [CrossRef] [PubMed]
- Uginet, M.; Breville, G.; Hofmeister, J.; Machi, P.; Lalive, P.H.; Rosi, A.; Fitsiori, A.; Vargas, M.I.; Assal, F.; Allali, G.; et al. Cerebrovascular Complications and Vessel Wall Imaging in COVID-19 Encephalopathy—A Pilot Study. Clin. Neuroradiol. 2021, 32, 287–293. [Google Scholar] [CrossRef] [PubMed]
- Varga, Z.; Flammer, A.J.; Steiger, P.; Haberecker, M.; Andermatt, R.; Zinkernagel, A.S.; Mehra, M.R.; Schuepbach, R.A.; Ruschitzka, F.; Moch, H. Endothelial cell infection and endotheliitis in COVID-19. Lancet 2020, 395, 1417–1418. [Google Scholar] [CrossRef]
- De Gennaro, R.; Gastaldo, E.; Tamborino, C.; Baraldo, M.; Casula, N.; Pedrali, M.; Iovino, S.; Michieletto, L.; Violo, T.; Ganzerla, B.; et al. Selective cranial multineuritis in severe COVID-19 pneumonia: Two cases and literature review. Neurol. Sci. 2021, 42, 1643–1648. [Google Scholar] [CrossRef]
- Aasfara, J.; Hajjij, A.; Bensouda, H.; Ouhabi, H.; Benariba, F. A unique association of bifacial weakness, paresthesia and vestibulocochlear neuritis as post COVID 19 manifestation in pregnant women. Pan Afr. Med. J. 2021, 38, 30. [Google Scholar] [CrossRef] [PubMed]





| Sex | Age | Hospital Length of Stay (Days) | ICU Length of Stay (Days) | Neurological Manifestations at the Time of the First MRI | First MRI | Second MRI | Third MRI | |
|---|---|---|---|---|---|---|---|---|
| #1 | F | 59 | 14 | 10 | Pathological wakefulness when sedative therapies were stopped | Focal LME | Unchanged Stability of LME (+79 days) | Unchanged Stabilité of LME (+176 days) |
| #2 | M | 62 | 35 | 19 | Delirium | Diffuse LME | Partial regression of LME(+98 days) | Unchanged Stability of LME (+224 days) |
| #3 | M | 60 | 20 | 19 | Delirium/Clinical signs of corticospinal tract involvement | Normal | Unchanged (+98 days) | Unchanged (+182 days) |
| #4 | M | 50 | 12 | 9 | Delirium | Normal | Unchanged (+97 days) | Unchanged (+174 days) |
| #5 | M | 66 | 46 | 23 | Aphasia/Clinical signs of corticospinal tract involvement | Normal | Unchanged (+77 days) | NR |
| #6 | M | 46 | 20 | 16 | Pathological wakefulness when sedative therapies were stopped | Normal | Unchanged (+92 days) | NR |
| #7 | M | 61 | 24 | 8 | Delirium/Clinical signs of corticospinal tract involvement | Focal LME | Partial regression of LME Appearance of contrast enhancement in the wall of large arteries (+99 days) | NR |
| #8 | F | 75 | 21 | 11 | Delirium | Diffuse LME CIAM | Partial regression of LME Stability of CIAM (+89 days) | Unchanged (+181 days) |
| #9 | F | 59 | 23 | 9 | Confusion | Normal | Unchanged (+84 days) | NR |
| #10 | M | 54 | 55 | 39 | Pathological wakefulness when sedative therapies were stopped | Focal LME CIAM | Partial regression of LME Stability of CIAM (+91 days) | Unchanged (+189 days) |
| #11 | M | 66 | 29 | 7 | Delirium | Suspicion of cerebral vasculitis | Regression of the vessel wall enhancement Otherwise unchanged Stability of the WM FLAIR hyperintensities (+90 days) | NR |
| #12 | F | 71 | 59 | 27 | Pathological wakefulness when sedative therapies were stopped | Normal | Unchanged (+78 days) | NR |
| #13 | F | 18 | 20 | 7 | Confusion | Normal | Unchanged (+76 days) | NR |
| #14 | F | 69 | 51 | 7 | Clinical signs of corticospinal tract involvement /Cerebellar ataxia | Normal | Unchanged (+79 days) | Unchanged (+177 days) |
| #15 | M | 57 | 49 | 41 | Pathological wakefulness when sedative therapies were stopped | Diffuse LME CIAM | Complete regression of LME Stability of CIAM (+94 days) | NR |
| #16 | M | 69 | 72 | 48 | Pathological wakefulness when sedative therapies were stopped | Focal LME CIAM Acute small vessel infarct | Complete regression of LME Stability of CIAM Large-vessel stroke (CPA) (+98 days) | Acute small vessel infarct Otherwise unchanged (+189 days) |
| #17 | M | 71 | 44 | 33 | Delirium | Diffuse LME CIAM | Partial regression of LME Stability of CIAM (+92 days) | Increase in the WM FLAIR hyperintensities presumed of a vascular origin Otherwise unchanged (+169 days) |
| #18 | F | 72 | 38 | 30 | Lower extremity spasticity | Borderzone infarct Focal LME | Unchanged (+105 days) | Unchanged (+202 days) |
| #19 | F | 67 | 65 | 38 | Pathological wakefulness when sedative therapies were stopped/Clinical signs of corticospinal tract involvement | Normal | Unchanged (+105 days) | NR |
| #20 | M | 67 | 46 | 8 | Pathological wakefulness when sedative therapies were stopped | Suspicion of cerebral vasculitis | Regression of the vessel wall enhancement Stability of the WM FLAIR hyperintensities Right hypoglosses neuritis Otherwise unchanged (+112 days) | NR |
| #21 | M | 79 | 73 | 45 | Pathological wakefulness when sedative therapies were stopped | Suspicion of cerebral vasculitis CIAM | Regression of the vessel wall enhancement Increase in the WM FLAIR hyperintensities presumed of a vascular origin Stability of CIAM (+112 days) | NR |
| #22 | M | 61 | 37 | 28 | Pathological wakefulness when sedative therapies were stopped | Suspicion of cerebral vasculitis CIAM | Regression of the vessel wall enhancement Stability of the WM FLAIR hyperintensities (+110 days) | Unchanged (+186 days) |
| #23 | M | 35 | 52 | 35 | Seizures | Normal | Unchanged (+105 days) | Unchanged (+195 days) |
| #24 | M | 68 | 31 | 18 | Pathological wakefulness when sedative therapies were stopped | CIAM | Stability of CIAM (+132 days) | Unchanged (+188 days) |
| #25 | M | 60 | 29 | 3 | Cognitive impairment | Borderzone infarct | Unchanged (+86 days) | NR |
| #26 | M | 76 | 23 | 6 | Delirium | Focal LME Acute small vessel infarct | Stability of LME (+101 days) | Stability of LME (+185 days) |
| #27 | M | 52 | 30 | 12 | Delirium/Clinical signs of corticospinal tract involvement | CIAM | Stability of CIAM (+79 days) | Unchanged (+193 days) |
| #28 | M | 67 | 215 | 75 | Delirium | Focal LME | Complete regression of LME (+92 days) | Unchanged (+174 days) |
| #29 | M | 55 | 198 | 109 | Pathological wakefulness when sedative therapies were stopped | Radiological ADEM Focal LME | Sequellary evolution of the inflammatory lesions Complete regression of LME (+96 days) | NR |
| #30 | M | 56 | 268 | 139 | Pathological wakefulness when sedative therapies were stopped | Radiological AHL Focal LME | Sequellary evolution of the inflammatory lesions Stability of LME (+93 days) | NR |
| #31 | M | 73 | 81 | 65 | Pathological wakefulness when sedative therapies were stopped | Radiological AHL Focal LME | Sequellary evolution of the inflammatory lesions Complete regression of LME (+223 days) | NR |
| Patients | Time between First and Last MRI(Days) | Brain Normalized Volume (mL) (First MRI—Last MRI/Evolution) | Grey Matter Normalized Volume (mL)(First MRI—Last MRI/Evolution) | White Matter Normalized Volume (mL) (First MRI—Last MRI/Evolution) |
|---|---|---|---|---|
| #1 | 176 | 1459–1507/+3.3% | 725–733/+1.1% | 734–774/+5.5% |
| #3 * | 182 | 1281–1349/+5.3% | 602–625/+3.9% | 679–724/+6.5% |
| #4 | 174 | 1502–1505/+0.2% | 736–697/−5.3% | 765–807/+5.5% |
| #6 | 92 | 1481–1552/+4.8% | 708–723/+2% | 772–829/+7.3% |
| #7 | 99 | 1439–1354/−5.9% | 644–604/−6.1% | 795–749/−5.8% |
| #10 | 189 | 1349–1405/+4.1% | 671–675/+0.5% | 677–730/+7.7% |
| #11 | 90 | 1350–1401/+3.8% | 643–648/+0.9% | 706–753/+6.5% |
| #15 | 94 | 1473–1450/−1.5% | 700–674/−3.7% | 773–775/+0.4% |
| #16 | 189 | 1313–1341/+2.1% | 625–612/−2.1% | 688–728/+5.9% |
| #17 | 169 | 1412–1409/−0.2% | 616–657/+6.7% | 796–752/−5.5% |
| #18 | 202 | 1567–1470/−6.2% | 756–689/−8.9% | 810–781/−3.6% |
| #19 * | 105 | 1365–1425/+4.4% | 675–674/−0.2% | 690–751/+8.9% |
| #20 | 112 | 1357–1359/+0.1% | 639–640/+0.2% | 718–719/+0.1% |
| #21 | 112 | 1311–1304/−0.5% | 669–587/−12.1% | 642–716/+11.6% |
| #22 * | 186 | 1150–1178/+2.4% | 534–509/−4.6% | 616–668/+8.4% |
| #23 * | 105 | 1491–1567/+5.1% | 729–728/−0.1% | 762–839/+10.1% |
| #25 * | 86 | 1353–1511/+11.6% | 647–694/+7.2% | 706–817/+15.7% |
| #26 | 185 | 1257–1322/+5.2% | 669–618/−7.5% | 588–703/+19.6% |
| #27 | 193 | 1572–1494/−5% | 765–717/−6.2% | 807–776/−3.8% |
| #29 | 96 | 1580–1483/−6.2% | 651–625/−4% | 928–857/−7.6% |
| All patients (n = 20) | 141.8 ± 45 | 1403–1419/+1.1% | 670–656/−2.1% | 733–762/+4% |
| Patients under corticosteroids at the time of the first MRI (n = 5) | 132.8 ± 47 | 1328–1406/+5.9% | 637–646/+1.4% | 691–760/+10% |
| Patients without corticosteroids (n = 15) | 144.8 ± 45 | 1428–1423/−0.4% | 681–659/−3.2% | 746–763/+2.3% |
| LME on the first MRI (n = 8/15) | 149.6 ± 45 | 1410–1409/−0.1% | 663–650/−2% | 747–759/+1.6% |
| CIAM on the first MRI (n = 6/15) | 157.6 ± 44 | 1405–1400/−0.4% | 674–653/−3.1% | 730–746/+2.2% |
| Acute ischemic stroke on the first MRI (n = 3/15) | 192 ± 9 | 1379–1377/−0.1% | 683–639/−6.4% | 695–737/+6% |
| Suspicion of cerebral vasculitis on the first MRI (n = 3/15) | 104.6 ± 13 | 1339–1354/+1.1% | 650–625/−3.8% | 688–729/+6% |
| PET in Acute Phase | PET at 3 Months | PET at 6 Months | |
|---|---|---|---|
| #1 | NR | NR | No abnormalities |
| #2 | NR | Colliculus’s hypermetabolism; Left medial temporal hypometabolism | Unchanged |
| #3 | NR | Colliculus’s hypermetabolism; Bilateral temporal polar and insular lobes (L > R) hypometabolism | Unchanged |
| #4 | NR | Colliculus’s hypermetabolism; bilateral temporo-insular and right centro-opercular region hypometabolism | Colliculus’s hypermetabolism; Improvement of hypometabolism |
| #5 | Colliculus’s hypermetabolism; Left medial temporal hypometabolism | Colliculus’s hypermetabolism; Left medial temporal hypometabolism | Regression of colliculus’s hypermetabolism; Stability of left medial temporal hypometabolism |
| #10 | NR | Bilateral temporo-insular lobes and middle cerebral artery territories hypometabolism (R > L) | Bilateral medial temporal hypometabolism |
| #11 | NR | Bilateral temporo-insular and parietal lobes hypometabolism | NR |
| #12 | NR | Left medial temporal hypometabolism | NR |
| #13 | NR | Bilateral temporo insular hypometabolism | NR |
| #14 | NR | Left medial temporal hypometabolism | Unchanged |
| #15 | NR | Bilateral temporo insular hypometabolism | NR |
| #16 | NR | Colliculus’s hypermetabolism; Bilateral temporo insular hypometabolism (L > R) | Left medial temporal hypometabolism |
| #17 | NR | Colliculus’s hypermetabolism; Medial temporal and right thalamus hypometabolism | NR |
| #18 | NR | Colliculus’s hypermetabolism | No abnormalities |
| #19 | NR | Bilateral temporal hypometabolism | NR |
| #20 | NR | Colliculus’s hypermetabolism | No abnormalities |
| #21 | NR | Left medial temporal hypometabolism | Unchanged |
| #22 | NR | Colliculus’s hypermetabolism; Bilateral temporal hypometabolism | Unchanged |
| #23 | NR | Colliculus’s hypermetabolism; Bilateral temporal hypometabolism | NR |
| #24 | NR | No abnormalities | No abnormalities |
| #26 | NR | Left medial temporal hypometabolism | NR |
| #27 | NR | Colliculus’s hypermetabolism; Bilateral temporal hypometabolism bitemporal | NR |
| #28 | NR | Left colliculus hypermetabolism;^1Right fronto-temporo-insular and left thalamus hypometabolism | NR |
| #29 | NR | Colliculus’s hypermetabolism; Bilateral parietal and temporal hypometabolism | NR |
| Tests | Means | Standard-Deviation |
|---|---|---|
| MMSE | 28.23 | 1.24 |
| Dubois’ 5-words test | 9.75 | 0.45 |
| 5-figures test | 9.31 | 0.75 |
| Digit span forward | 5.46 | 0.88 |
| Digit span backward | 3.92 | 0.86 |
| FAB | 17 | 1.21 |
| Litteral fluency (1 min) | 18.17 | 6.45 |
| Praxis scale (Mahieux) | 7.5 | 0.52 |
| DO40 | 37.83 | 2.86 |
| Categorial fluency (1 min) | 21,5 | 8.8 |
| ROCF | 31.71 | 3.41 |
| Incomplete letters (VOSP) | 19.08 | 1.38 |
Publisher’s Note: MDPI stays neutral with regard to jurisdictional claims in published maps and institutional affiliations. |
© 2022 by the authors. Licensee MDPI, Basel, Switzerland. This article is an open access article distributed under the terms and conditions of the Creative Commons Attribution (CC BY) license (https://creativecommons.org/licenses/by/4.0/).
Share and Cite
Lersy, F.; Bund, C.; Anheim, M.; Mondino, M.; Noblet, V.; Lazzara, S.; Phillipps, C.; Collange, O.; Oulehri, W.; Mertes, P.-M.; et al. Evolution of Neuroimaging Findings in Severe COVID-19 Patients with Initial Neurological Impairment: An Observational Study. Viruses 2022, 14, 949. https://doi.org/10.3390/v14050949
Lersy F, Bund C, Anheim M, Mondino M, Noblet V, Lazzara S, Phillipps C, Collange O, Oulehri W, Mertes P-M, et al. Evolution of Neuroimaging Findings in Severe COVID-19 Patients with Initial Neurological Impairment: An Observational Study. Viruses. 2022; 14(5):949. https://doi.org/10.3390/v14050949
Chicago/Turabian StyleLersy, François, Caroline Bund, Mathieu Anheim, Mary Mondino, Vincent Noblet, Shirley Lazzara, Clelie Phillipps, Olivier Collange, Walid Oulehri, Paul-Michel Mertes, and et al. 2022. "Evolution of Neuroimaging Findings in Severe COVID-19 Patients with Initial Neurological Impairment: An Observational Study" Viruses 14, no. 5: 949. https://doi.org/10.3390/v14050949
APA StyleLersy, F., Bund, C., Anheim, M., Mondino, M., Noblet, V., Lazzara, S., Phillipps, C., Collange, O., Oulehri, W., Mertes, P.-M., Helms, J., Merdji, H., Schenck, M., Schneider, F., Pottecher, J., Giraudeau, C., Chammas, A., Ardellier, F.-D., Baloglu, S., ... Kremer, S. (2022). Evolution of Neuroimaging Findings in Severe COVID-19 Patients with Initial Neurological Impairment: An Observational Study. Viruses, 14(5), 949. https://doi.org/10.3390/v14050949

