Protein–Protein Interactions Facilitate E4orf6-Dependent Regulation of E1B-55K SUMOylation in HAdV-C5 Infection
Abstract
1. Introduction
2. Materials and Methods
2.1. Cells and Culture Conditions
2.2. Viruses
2.3. Antibodies and Protein Analyses
2.4. Immunofluorescence Analyses
3. Results
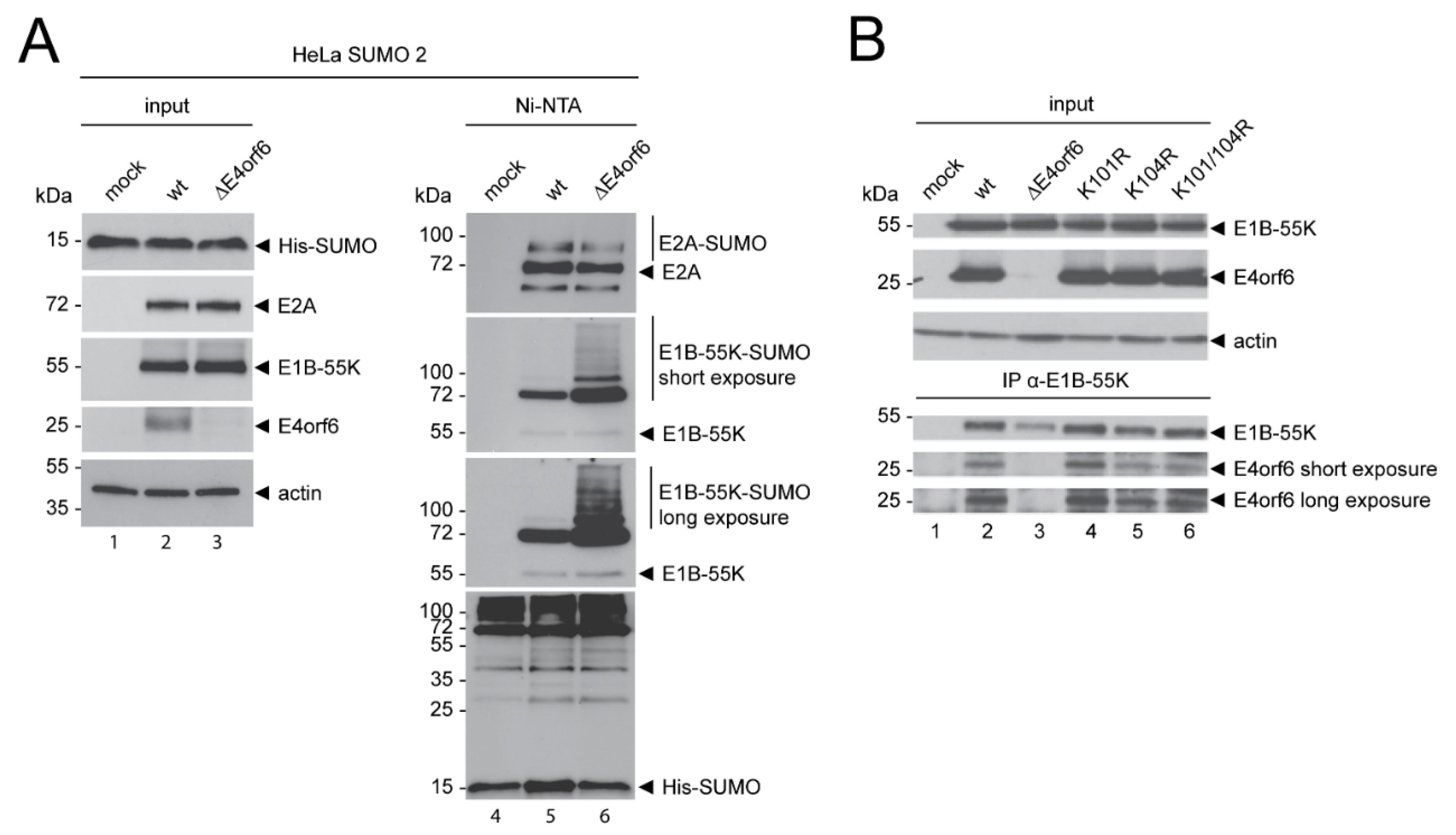
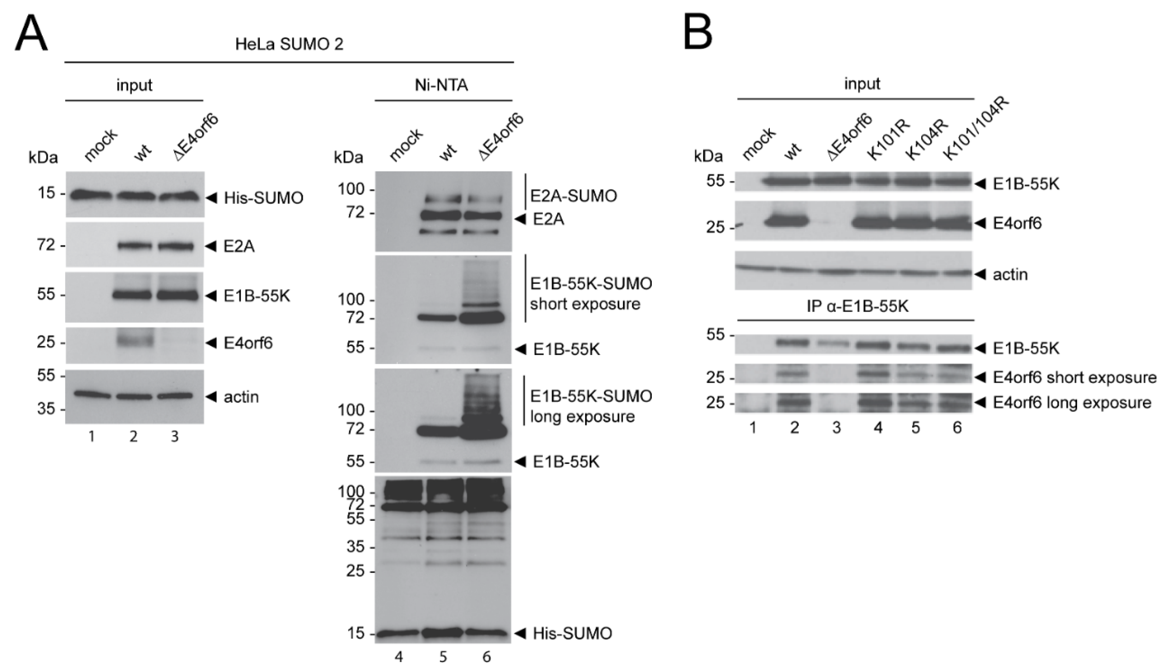
3.1. E4orf6 Downregulates E1B-55K SUMOylation
3.2. Specific E1B-55K SUMOylation Does Not Influence Binding to E4orf6
3.3. E4orf6 Directly Influences E1B-55K SUMOylation but Does Not Target E1B-55K Phosphorylation
3.4. Interaction between E1B-55K and E4orf6 Is Required for E1B-55K SUMO Level Reductions
3.5. E1B-55K and E4orf6 Complex Formation Is a Prerequisite for Reduced SUMOylation
4. Discussion
Supplementary Materials
Author Contributions
Funding
Institutional Review Board Statement
Informed Consent Statement
Data Availability Statement
Acknowledgments
Conflicts of Interest
References
- Trentin, J.J.; Yabe, Y.; Taylor, G. The quest for human cancer viruses: A new approach to an old problem reveals cancer induction in hamsters by human adenovirus. Science 1962, 137, 835–841. [Google Scholar] [CrossRef] [PubMed]
- Chow, L.T.; Gelinas, R.E.; Broker, T.R.; Roberts, R.J. An amazing sequence arrangement at the 5′ ends of adenovirus 2 messenger RNA. Cell 1977, 12, 1–8. [Google Scholar] [CrossRef]
- Berget, S.M.; Moore, C.; Sharp, P.A. Spliced segments at the 5’ terminus of adenovirus 2 late mRNA. Proc. Natl. Acad. Sci. USA 1977, 74, 3171–3175. [Google Scholar] [CrossRef]
- Wold, W.S.; Toth, K. Adenovirus vectors for gene therapy, vaccination and cancer gene therapy. Curr. Gene Ther. 2013, 13, 421–433. [Google Scholar] [CrossRef] [PubMed]
- Lion, T. Adenovirus infections in immunocompetent and immunocompromised patients. Clin. Microbiol. Rev. 2014, 27, 441–462. [Google Scholar] [CrossRef] [PubMed]
- Lion, T. Adenovirus persistence, reactivation, and clinical management. FEBS Lett. 2019, 593, 3571–3582. [Google Scholar] [CrossRef] [PubMed]
- Mennechet, F.J.D.; Paris, O.; Ouoba, A.R.; Salazar Arenas, S.; Sirima, S.B.; Takoudjou Dzomo, G.R.; Diarra, A.; Traore, I.T.; Kania, D.; Eichholz, K.; et al. A review of 65 years of human adenovirus seroprevalence. Expert Rev. Vaccines 2019, 18, 597–613. [Google Scholar] [CrossRef] [PubMed]
- Hidalgo, P.; Ip, W.H.; Dobner, T.; Gonzalez, R.A. The biology of the adenovirus E1B 55K protein. FEBS Lett. 2019, 593, 3504–3517. [Google Scholar] [CrossRef] [PubMed]
- Blackford, A.N.; Grand, R.J. Adenovirus E1B 55-kilodalton protein: Multiple roles in viral infection and cell transformation. J. Virol. 2009, 83, 4000–4012. [Google Scholar] [CrossRef]
- Dobbelstein, M.; Roth, J.; Kimberly, W.T.; Levine, A.J.; Shenk, T. Nuclear export of the E1B 55-kDa and E4 34-kDa adenoviral oncoproteins mediated by a rev-like signal sequence. EMBO J. 1997, 16, 4276–4284. [Google Scholar] [CrossRef]
- Krätzer, F.; Rosorius, O.; Heger, P.; Hirschmann, N.; Dobner, T.; Hauber, J.; Stauber, R.H. The adenovirus type 5 E1B-55K oncoprotein is a highly active shuttle protein and shuttling is independent of E4orf6, p53 and Mdm2. Oncogene 2000, 19, 850–857. [Google Scholar] [CrossRef] [PubMed][Green Version]
- Kindsmüller, K.; Groitl, P.; Härtl, B.; Blanchette, P.; Hauber, J.; Dobner, T. Intranuclear targeting and nuclear export of the adenovirus E1B-55K protein are regulated by SUMO1 conjugation. Proc. Natl. Acad. Sci. USA 2007, 104, 6684–6689. [Google Scholar] [CrossRef] [PubMed]
- Endter, C.; Kzhyshkowska, J.; Stauber, R.; Dobner, T. SUMO-1 modification required for transformation by adenovirus type 5 early region 1B 55-kDa oncoprotein. Proc. Natl. Acad. Sci. USA 2001, 98, 11312–11317. [Google Scholar] [CrossRef] [PubMed]
- Kolbe, V.; Ip, W.H.; Kieweg-Thompson, L.; Lang, J.; Gruhne, J.; Meyer, T.; Wilkens, B.; Schie, M.; Thünauer, R.; Schreiner, S.; et al. Conserved E1B-55K SUMOylation in different human adenovirus species is a potent regulator of intracellular localization. J. Virol. 2021, 96, JVI0083821. [Google Scholar] [CrossRef]
- Rubenwolf, S.; Schutt, H.; Nevels, M.; Wolf, H.; Dobner, T. Structural analysis of the adenovirus type 5 E1B 55-kilodalton-E4orf6 protein complex. J. Virol. 1997, 71, 1115–1123. [Google Scholar] [CrossRef]
- Kao, C.C.; Yew, P.R.; Berk, A.J. Domains required for in vitro association between the cellular p53 and the adenovirus 2 E1B 55k proteins. Virology 1990, 179, 806–814. [Google Scholar] [CrossRef]
- Teodoro, J.G.; Halliday, T.; Whalen, S.G.; Takayesu, D.; Graham, F.L.; Branton, P.E. Phosphorylation at the carboxy terminus of the 55-kilodalton adenovirus type 5 E1B protein regulates transforming activity. J. Virol. 1994, 68, 776–786. [Google Scholar] [CrossRef]
- Teodoro, J.G.; Branton, P.E. Regulation of p53-dependent apoptosis, transcriptional repression, and cell transformation by phosphorylation of the 55-kilodalton E1B protein of human adenovirus type 5. J. Virol. 1997, 71, 3620–3627. [Google Scholar] [CrossRef]
- Wimmer, P.; Blanchette, P.; Schreiner, S.; Ching, W.; Groitl, P.; Berscheminski, J.; Branton, P.E.; Will, H.; Dobner, T. Cross-talk between phosphorylation and SUMOylation regulates transforming activities of an adenoviral oncoprotein. Oncogene 2013, 32, 1626–1637. [Google Scholar] [CrossRef]
- Ching, W.; Dobner, T.; Koyuncu, E. The human adenovirus type 5 E1B 55-kilodalton protein is phosphorylated by protein kinase CK2. J. Virol. 2012, 86, 2400–2415. [Google Scholar] [CrossRef][Green Version]
- Hidalgo, P.; Garces, Y.; Mundo, E.; Lopez, R.E.; Bertzbach, L.D.; Dobner, T.; Gonzalez, R.A. E1B-55K is a phosphorylation-dependent transcriptional and post-transcriptional regulator of viral gene expression in HAdV-C5 infection. J. Virol. 2022, JVI0206221. [Google Scholar] [CrossRef] [PubMed]
- Ornelles, D.A.; Shenk, T. Localization of the adenovirus early region 1B 55-kilodalton protein during lytic infection: Association with nuclear viral inclusions requires the early region 4 34-kilodalton protein. J. Virol. 1991, 65, 424–429. [Google Scholar] [CrossRef] [PubMed]
- Goodrum, F.D.; Shenk, T.; Ornelles, D.A. Adenovirus early region 4 34kilodalton protein directs the nuclear localization of the early region 1B 55kilodalton protein in primate cells. J. Virol. 1996, 70, 6323–6335. [Google Scholar] [CrossRef] [PubMed]
- Marshall, L.J.; Moore, A.C.; Ohki, M.; Kitabayashi, I.; Patterson, D.; Ornelles, D.A. RUNX1 permits E4orf6-directed nuclear localization of the adenovirus E1B-55K protein and associates with centers of viral DNA and RNA synthesis. J. Virol. 2008, 82, 6395–6408. [Google Scholar] [CrossRef][Green Version]
- Liu, Y.; Shevchenko, A.; Shevchenko, A.; Berk, A.J. Adenovirus exploits the cellular aggresome response to accelerate inactivation of the MRN complex. J. Virol. 2005, 79, 14004–14016. [Google Scholar] [CrossRef]
- Blanchette, P.; Wimmer, P.; Dallaire, F.; Cheng, C.Y.; Branton, P.E. Aggresome formation by the adenoviral protein E1B55K is not conserved among adenovirus species and is not required for efficient degradation of nuclear substrates. J. Virol. 2013, 87, 4872–4881. [Google Scholar] [CrossRef]
- Nevels, M.; Rubenwolf, S.; Spruss, T.; Wolf, H.; Dobner, T. Two distinct activities contribute to the oncogenic potential of the adenovirus type 5 E4orf6 protein. J. Virol. 2000, 74, 5168–5181. [Google Scholar] [CrossRef]
- Querido, E.; Blanchette, P.; Yan, Q.; Kamura, T.; Morrison, M.; Boivin, D.; Kaelin, W.G.; Conaway, R.C.; Conaway, J.W.; Branton, P.E. Degradation of p53 by adenovirus E4orf6 and E1B55K proteins occurs via a novel mechanism involving a Cullin-containing complex. Genes Dev. 2001, 15, 3104–3117. [Google Scholar] [CrossRef]
- Dallaire, F.; Blanchette, P.; Branton, P.E. A proteomic approach to identify candidate substrates of human adenovirus E4orf6-E1B55K and other viral cullin-based E3 ubiquitin ligases. J. Virol. 2009, 83, 12172–12184. [Google Scholar] [CrossRef]
- Cheng, C.Y.; Gilson, T.; Dallaire, F.; Ketner, G.; Branton, P.E.; Blanchette, P. The E4orf6/E1B55K E3 ubiquitin ligase complexes of human adenoviruses exhibit heterogeneity in composition and substrate specificity. J. Virol. 2011, 85, 765–775. [Google Scholar] [CrossRef]
- Cheng, C.Y.; Gilson, T.; Wimmer, P.; Schreiner, S.; Ketner, G.; Dobner, T.; Branton, P.E.; Blanchette, P. Role of E1B55K in E4orf6/E1B55K E3 ligase complexes formed by different human adenovirus serotypes. J. Virol. 2013, 87, 6232–6245. [Google Scholar] [CrossRef] [PubMed]
- Dallaire, F.; Schreiner, S.; Blair, G.E.; Dobner, T.; Branton, P.E.; Blanchette, P. The Human Adenovirus Type 5 E4orf6/E1B55K E3 Ubiquitin Ligase Complex Can Mimic E1A Effects on E2F. mSphere 2015, 1, e00014-15. [Google Scholar] [CrossRef] [PubMed]
- Dallaire, F.; Schreiner, S.; Blair, G.E.; Dobner, T.; Branton, P.E.; Blanchette, P. The Human Adenovirus Type 5 E4orf6/E1B55K E3 Ubiquitin Ligase Complex Enhances E1A Functional Activity. mSphere 2015, 1, e00015-15. [Google Scholar] [CrossRef] [PubMed]
- Nevels, M.; Rubenwolf, S.; Spruss, T.; Wolf, H.; Dobner, T. The adenovirus E4orf6 protein can promote E1A/E1B-induced focus formation by interfering with p53 tumor suppressor function. Proc. Natl. Acad. Sci. USA 1997, 94, 1206–1211. [Google Scholar] [CrossRef]
- Nevels, M.; Spruss, T.; Wolf, H.; Dobner, T. The adenovirus E4orf6 protein contributes to malignant transformation by antagonizing E1A-induced accumulation of the tumor suppressor protein p53. Oncogene 1999, 18, 9–17. [Google Scholar] [CrossRef]
- Steegenga, W.T.; Shvarts, A.; Riteco, N.; Bos, J.L.; Jochemsen, A.G. Distinct regulation of p53 and p73 activity by adenovirus E1A, E1B, and E4orf6 proteins. Mol. Cell. Biol. 1999, 19, 3885–3894. [Google Scholar] [CrossRef][Green Version]
- Wilkinson, K.A.; Henley, J.M. Mechanisms, regulation and consequences of protein SUMOylation. Biochem. J. 2010, 428, 133–145. [Google Scholar] [CrossRef]
- Wilson, V.G. Viral Interplay with the Host Sumoylation System. Adv. Exp. Med. Biol. 2017, 963, 359–388. [Google Scholar] [CrossRef]
- Stubbe, M.; Mai, J.; Paulus, C.; Stubbe, H.C.; Berscheminski, J.; Karimi, M.; Hofmann, S.; Weber, E.; Hadian, K.; Hay, R.; et al. Viral DNA Binding Protein SUMOylation Promotes PML Nuclear Body Localization Next to Viral Replication Centers. mBio 2020, 11. [Google Scholar] [CrossRef]
- Freudenberger, N.; Meyer, T.; Groitl, P.; Dobner, T.; Schreiner, S. Human Adenovirus Core Protein V Is Targeted by the Host SUMOylation Machinery To Limit Essential Viral Functions. J. Virol. 2018, 92, e01451-17. [Google Scholar] [CrossRef]
- Lethbridge, K.J.; Scott, G.E.; Leppard, K.N. Nuclear matrix localization and SUMO-1 modification of adenovirus type 5 E1b 55K protein are controlled by E4 Orf6 protein. J. Gen. Virol. 2003, 84 Pt 2, 259–268. [Google Scholar] [CrossRef]
- Tatham, M.H.; Rodriguez, M.S.; Xirodimas, D.P.; Hay, R.T. Detection of protein SUMOylation in vivo. Nat. Protoc. 2009, 4, 1363–1371. [Google Scholar] [CrossRef] [PubMed]
- Pfitzner, S.; Hofmann-Sieber, H.; Bosse, J.B.; Franken, L.E.; Grunewald, K.; Dobner, T. Fluorescent protein tagging of adenoviral proteins pV and pIX reveals ‘late virion accumulation compartment’. PLoS Pathog. 2020, 16, e1008588. [Google Scholar] [CrossRef] [PubMed]
- Groitl, P.; Dobner, T. Construction of adenovirus type 5 early region 1 and 4 virus mutants. Methods Mol. Med. 2007, 130, 29–39. [Google Scholar] [CrossRef] [PubMed]
- Kindsmüller, K.; Schreiner, S.; Leinenkugel, F.; Groitl, P.; Kremmer, E.; Dobner, T. A 49-kilodalton isoform of the adenovirus type 5 early region 1B 55-kilodalton protein is sufficient to support virus replication. J. Virol. 2009, 83, 9045–9056. [Google Scholar] [CrossRef] [PubMed]
- Sarnow, P.; Sullivan, C.A.; Levine, A.J. A Monoclonal Antibody Detecting the Adenovirus Type 5 Elb-58Kd Tumor Antigen: Characterization of the E1b-58Kd Tumor Antigen in Adenovirus-Infected and -Transformed Cell. Virology 1982, 120, 510–517. [Google Scholar] [CrossRef]
- Reich, N.C.; Sarnow, P.; Duprey, E.; Levine, A.J. Monoclonal antibodies which recognize native and denatured forms of the adenovirus DNA-binding protein. Virology 1983, 128, 480–484. [Google Scholar] [CrossRef]
- Marton, M.J.; Baim, S.B.; Ornelles, D.A.; Shenk, T. The adenovirus E4 17-kilodalton protein complexes with the cellular transcription factor E2F, altering its DNA-binding properties and stimulating E1A-independent accumulation of E2 mRNA. J. Virol. 1990, 64, 2345–2359. [Google Scholar] [CrossRef]
- Boivin, D.; Morrison, M.R.; Marcellus, R.C.; Querido, E.; Branton, P.E. Analysis of synthesis, stability, phosphorylation, and interacting polypeptides of the 34-kilodalton product of open reading frame 6 of the early region 4 protein of human adenovirus type 5. J. Virol. 1999, 73, 1245–1253. [Google Scholar] [CrossRef]
- Schindelin, J.; Arganda-Carreras, I.; Frise, E.; Kaynig, V.; Longair, M.; Pietzsch, T.; Preibisch, S.; Rueden, C.; Saalfeld, S.; Schmid, B.; et al. Fiji: An open-source platform for biological-image analysis. Nat. Methods 2012, 9, 676–682. [Google Scholar] [CrossRef]
- Geiss-Friedlander, R.; Melchior, F. Concepts in sumoylation: A decade on. Nat. Rev. Mol. Cell. Biol. 2007, 8, 947–956. [Google Scholar] [CrossRef] [PubMed]
- Wimmer, P.; Schreiner, S.; Everett, R.D.; Sirma, H.; Groitl, P.; Dobner, T. SUMO modification of E1B-55K oncoprotein regulates isoform-specific binding to the tumour suppressor protein PML. Oncogene 2010, 29, 5511–5522. [Google Scholar] [CrossRef] [PubMed]
- Yew, P.R.; Kao, C.C.; Berk, A.J. Dissection of functional domains in the adenovirus 2 early 1B 55K polypeptide by suppressor-linker insertional mutagenesis. Virology 1990, 179, 795–805. [Google Scholar] [CrossRef]
- Fu, C.; Ahmed, K.; Ding, H.; Ding, X.; Lan, J.; Yang, Z.; Miao, Y.; Zhu, Y.; Shi, Y.; Zhu, J.; et al. Stabilization of PML nuclear localization by conjugation and oligomerization of SUMO-3. Oncogene 2005, 24, 5401–5413. [Google Scholar] [CrossRef] [PubMed]
- Higginbotham, J.M.; O’Shea, C.C. Adenovirus E4-ORF3 Targets PIAS3 and Together with E1B-55K Remodels SUMO Interactions in the Nucleus and at Virus Genome Replication Domains. J. Virol. 2015, 89, 10260–10272. [Google Scholar] [CrossRef]
- Hidalgo, P.; Gonzalez, R.A. Formation of adenovirus DNA replication compartments. FEBS Lett. 2019, 593, 3518–3530. [Google Scholar] [CrossRef]
- Berscheminski, J.; Brun, J.; Speiseder, T.; Wimmer, P.; Ip, W.H.; Terzic, M.; Dobner, T.; Schreiner, S. Sp100A is a tumor suppressor that activates p53-dependent transcription and counteracts E1A/E1B-55K-mediated transformation. Oncogene 2016, 35, 3178–3189. [Google Scholar] [CrossRef]
- Schreiner, S.; Wimmer, P.; Groitl, P.; Chen, S.Y.; Blanchette, P.; Branton, P.E.; Dobner, T. Adenovirus type 5 early region 1B 55K oncoprotein-dependent degradation of cellular factor Daxx is required for efficient transformation of primary rodent cells. J. Virol. 2011, 85, 8752–8765. [Google Scholar] [CrossRef]
- Pennella, M.A.; Liu, Y.; Woo, J.L.; Kim, C.A.; Berk, A.J. Adenovirus E1B 55-kilodalton protein is a p53-SUMO1 E3 ligase that represses p53 and stimulates its nuclear export through interactions with promyelocytic leukemia nuclear bodies. J. Virol. 2010, 84, 12210–12225. [Google Scholar] [CrossRef]
- Lowrey, A.J.; Cramblet, W.; Bentz, G.L. Viral manipulation of the cellular sumoylation machinery. Cell Commun. Signal. 2017, 15, 27. [Google Scholar] [CrossRef]
- Boggio, R.; Passafaro, A.; Chiocca, S. Targeting SUMO E1 to ubiquitin ligases: A viral strategy to counteract sumoylation. J. Biol. Chem. 2007, 282, 15376–15382. [Google Scholar] [CrossRef] [PubMed]
- Heaton, P.R.; Deyrieux, A.F.; Bian, X.L.; Wilson, V.G. HPV E6 proteins target Ubc9, the SUMO conjugating enzyme. Virus Res. 2011, 158, 199–208. [Google Scholar] [CrossRef] [PubMed]
- Inturi, R.; Jemth, P. CRISPR/Cas9-based inactivation of human papillomavirus oncogenes E6 or E7 induces senescence in cervical cancer cells. Virology 2021, 562, 92–102. [Google Scholar] [CrossRef] [PubMed]
- Schmid, M.; Speiseder, T.; Dobner, T.; Gonzalez, R.A. DNA virus replication compartments. J. Virol. 2014, 88, 1404–1420. [Google Scholar] [CrossRef]
- Hidalgo, P.; Anzures, L.; Hernandez-Mendoza, A.; Guerrero, A.; Wood, C.D.; Valdes, M.; Dobner, T.; Gonzalez, R.A. Morphological, Biochemical, and Functional Study of Viral Replication Compartments Isolated from Adenovirus-Infected Cells. J. Virol. 2016, 90, 3411–3427. [Google Scholar] [CrossRef]
- Berk, A.J. Recent lessons in gene expression, cell cycle control, and cell biology from adenovirus. Oncogene 2005, 24, 7673–7685. [Google Scholar] [CrossRef]
- Nayak, A.; Müller, S. SUMO-specific proteases/isopeptidases: SENPs and beyond. Genome Biol. 2014, 15, 422. [Google Scholar] [CrossRef]





| Virus | Abbreviation | E1B-55K SUMOylation Levels Compared to wt | Reference |
|---|---|---|---|
| HAdV-C5 wt | wt | n.a. | [44] |
| HAdV-C5 ΔE4orf6 | ΔE4orf6 | higher | this study |
| HAdV-C5 K101R | K101R | higher | [14] |
| HAdV-C5 K101R ΔE4orf6 | K101R ΔE4orf6 | higher | this study |
| HAdV-C5 K104R | K104R | no SUMOylation | [12] |
| HAdV-C5 K104R ΔE4orf6 | K104R ΔE4orf6 | no SUMOylation | this study |
| HAdV-C5 K101/104R | K101/104R | no SUMOylation | this study |
| HAdV-C5 K101/104R ΔE4orf6 | K101/104R ΔE4orf6 | no SUMOylation | this study |
| HAdV-C5 E1B-55K A143 | A143 | higher | this study |
| HAdV-C5 A143 ΔE4orf6 | A143 ΔE4orf6 | higher | this study |
| HAdV-C5 ΔP | ΔP | comparable | [19] |
| HAdV-C5 ΔP ΔE4orf6 | ΔP ΔE4orf6 | higher | this study |
| HAdV-C5 PM | PM | higher | [19] |
| HAdV-C5 PM ΔE4orf6 | PM ΔE4orf6 | higher | this study |
| Antibody | Concentration | Company or Reference |
|---|---|---|
| Mouse mAb AC-15 (β-actin) | 1:5000 (WB) | Sigma-Aldrich (St. Louis, MO, USA) |
| Mouse mAb 6×His (SUMO 1/2) | 1:5000 (WB) | Clontech (Mountain View, CA, USA) |
| Mouse mAb M114-3 (SUMO 2/3) | 1:100 (IF) | MoBiTec (Göttingen, Germany) |
| Rat mAb 4E8 (E1B-55K) | 1:10 (IF) | [45] |
| Mouse mAb 2A6 (E1B-55K) | 1:10 (WB) | [46] |
| Mouse mAb B6-8 (E2A) | 1:10 (WB) | [47] |
| Mouse mAb RSA3 (E4orf6) | 1:10 (WB) | [48] |
| Rabbit pAb 1807 (E4orf6) | 1:10 (WB) | [49] |
| HRP α-mouse IgG | 1:10,000 (WB) | Jackson (West Grove, PA, USA) |
| HRP α-rabbit IgG | 1:10,000 (WB) | Jackson |
| pAb α-mouse Alexa 488 | 1:100 (IF) | Invitrogen (Carlsbad, CA, USA) |
| pAb α-rat Alexa 555 | 1:100 (IF) | Invitrogen |
Publisher’s Note: MDPI stays neutral with regard to jurisdictional claims in published maps and institutional affiliations. |
© 2022 by the authors. Licensee MDPI, Basel, Switzerland. This article is an open access article distributed under the terms and conditions of the Creative Commons Attribution (CC BY) license (https://creativecommons.org/licenses/by/4.0/).
Share and Cite
Fiedler, M.; Ip, W.-H.; Hofmann-Sieber, H.; Wilkens, B.; Nkrumah, F.K.; Zhang, W.; Ehrhardt, A.; Bertzbach, L.D.; Dobner, T. Protein–Protein Interactions Facilitate E4orf6-Dependent Regulation of E1B-55K SUMOylation in HAdV-C5 Infection. Viruses 2022, 14, 463. https://doi.org/10.3390/v14030463
Fiedler M, Ip W-H, Hofmann-Sieber H, Wilkens B, Nkrumah FK, Zhang W, Ehrhardt A, Bertzbach LD, Dobner T. Protein–Protein Interactions Facilitate E4orf6-Dependent Regulation of E1B-55K SUMOylation in HAdV-C5 Infection. Viruses. 2022; 14(3):463. https://doi.org/10.3390/v14030463
Chicago/Turabian StyleFiedler, Marie, Wing-Hang Ip, Helga Hofmann-Sieber, Britta Wilkens, Francis K. Nkrumah, Wenli Zhang, Anja Ehrhardt, Luca D. Bertzbach, and Thomas Dobner. 2022. "Protein–Protein Interactions Facilitate E4orf6-Dependent Regulation of E1B-55K SUMOylation in HAdV-C5 Infection" Viruses 14, no. 3: 463. https://doi.org/10.3390/v14030463
APA StyleFiedler, M., Ip, W.-H., Hofmann-Sieber, H., Wilkens, B., Nkrumah, F. K., Zhang, W., Ehrhardt, A., Bertzbach, L. D., & Dobner, T. (2022). Protein–Protein Interactions Facilitate E4orf6-Dependent Regulation of E1B-55K SUMOylation in HAdV-C5 Infection. Viruses, 14(3), 463. https://doi.org/10.3390/v14030463

