Infection of Tilapia tilapinevirus in Mozambique Tilapia (Oreochromis mossambicus), a Globally Vulnerable Fish Species
Abstract
1. Introduction
2. Materials and Methods
2.1. Animals, Virus and Ethical Statement
2.2. Challenge Study
2.3. RNA Extraction and cDNA Synthesis
2.4. Quantitative Polymerase Chain Reaction (qPCR)
2.5. Histopathology
2.6. In Situ Hybridization
3. Results
3.1. Susceptibility of Mozambique Tilapia to Tilapia Lake Virus
3.2. Confirmation of TiLV Infection in Moribund Mozambique Tilapia
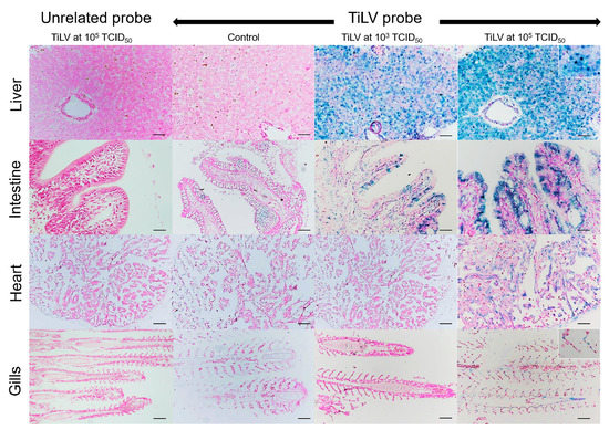
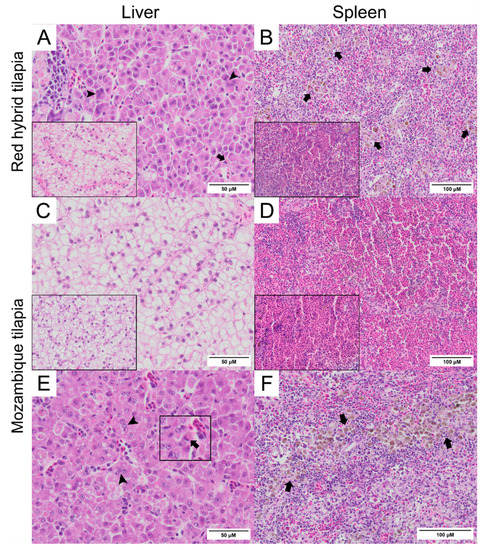
3.3. Histopathological Finding and In Situ Hybridization in the Challenge Fish
4. Discussions
Author Contributions
Funding
Institutional Review Board Statement
Informed Consent Statement
Data Availability Statement
Acknowledgments
Conflicts of Interest
References
- Bacharach, E.; Mishra, N.; Briese, T.; Zody, M.C.; Kembou Tsofack, J.E.; Zamostiano, R.; Berkowitz, A.; Ng, J.; Nitido, A.; Corvelo, A.; et al. Characterization of a Novel Orthomyxo-like Virus Causing Mass Die-Offs of Tilapia. MBio 2016, 7, e00431-16. [Google Scholar] [CrossRef]
- Surachetpong, W.; Roy, S.R.K.; Nicholson, P. Tilapia lake virus: The story so far. J. Fish Dis. 2020, 43, 1115–1132. [Google Scholar] [CrossRef]
- Ahasan, M.S.; Keleher, W.; Giray, C.; Perry, B.; Surachetpong, W.; Nicholson, P.; Al-Hussinee, L.; Subramaniam, K.; Waltzak, T.B. Genomic Characterization of Tilapia Lake Virus Isolates Recovered from Moribund Nile Tilapia (Oreochromis niloticus) on a Farm in the United States. Microbiol. Resour. Announc. 2020, 9, e01368-19. [Google Scholar] [CrossRef] [PubMed]
- Eyngor, M.; Zamostiano, R.; Kembou Tsofack, J.E.; Berkowitz, A.; Bercovier, H.; Tinman, S.; Lev, M.; Hurvitz, A.; Galeotti, M.; Bacharach, E.; et al. Identification of a novel RNA virus lethal to tilapia. J. Clin. Microbiol. 2014, 52, 4137–4146. [Google Scholar] [CrossRef]
- Behera, B.K.; Pradhan, P.K.; Swaminathan, T.R.; Sood, N.; Paria, P.; Das, A.; Verma, D.K.; Kumar, R.; Yadav, M.K.; Dev, A.K.; et al. Emergence of Tilapia Lake Virus associated with mortalities of farmed Nile Tilapia Oreochromis niloticus (Linnaeus 1758) in India. Aquaculture 2018, 484, 168–174. [Google Scholar] [CrossRef]
- Dong, H.T.; Senapin, S.; Gangnonngiw, W.; Nguyen, V.V.; Rodkhum, C.; Debnath, P.P.; Delamare-Deboutteville, J.; Mohan, C.V. Experimental infection reveals transmission of tilapia lake virus (TiLV) from tilapia broodstock to their reproductive organs and fertilized eggs. Aquaculture 2020, 515, 734541. [Google Scholar] [CrossRef]
- Nicholson, P.; Fathi, M.A.; Fischer, A.; Mohan, C.; Schieck, E.; Mishra, N.; Heinimann, A.; Frey, J.; Wieland, B.; Jores, J. Detection of Tilapia Lake Virus in Egyptian fish farms experiencing high mortalities in 2015. J. Fish Dis. 2017, 40, 1925–1928. [Google Scholar] [CrossRef] [PubMed]
- Surachetpong, W.; Janetanakit, T.; Nonthabenjawan, N.; Tattiyapong, P.; Sirikanchana, K.; Amonsin, A. Outbreaks of Tilapia Lake Virus Infection, Thailand, 2015–2016. Emerg. Infect. Dis. 2017, 23, 1031–1033. [Google Scholar] [CrossRef] [PubMed]
- Yamkasem, J.; Tattiyapong, P.; Kamlangdee, A.; Surachetpong, W. Evidence of potential vertical transmission of tilapia lake virus. J. Fish. Dis. 2019, 42, 1293–1300. [Google Scholar] [CrossRef]
- Dong, H.; Siriroob, S.; Meemetta, W.; Sanimanawong, W.; Gangnonngiw, W.; Pirarat, N.; Khunrae, P.; Rattanarojpong, T.; Vanichviriyakit, R.; Senapin, S. Emergence of tilapia lake virus in Thailand and an alternative semi-nested RT-PCR for detection. Aquaculture 2017, 476, 111–118. [Google Scholar] [CrossRef]
- Fathi, M.; Dickson, C.; Dickson, M.; Leschen, W.; Baily, J.; Muir, F.; Ulrich, K.; Weidmann, M. Identification of Tilapia Lake Virus in Egypt in Nile tilapia affected by ‘summer mortality’ syndrome. Aquaculture 2017, 473, 430–432. [Google Scholar] [CrossRef]
- Ferguson, H.W.; Kabuusu, R.; Beltran, S.; Reyes, E.; Lince, L.A.; Del-Pozo, J. Syncytial hepatitis of farmed tilapia, Oreochromis niloticus (L.): A case report. J. Fish Dis. 2014, 37, 583–589. [Google Scholar] [CrossRef]
- Koesharyani, I.; Gardenia, L.; Widowati, Z.; Khumaria, K.; Rustianti, D. Studi kasus infeksi tilapia lake virus (TiLV) pada ikan nila (Oreochromis niloticus). J. Ris. Akuakultur. 2018, 13, 85–92. [Google Scholar] [CrossRef]
- Mugimba, K.K.; Chengula, A.A.; Wamala, S.; Mwega, E.D.; Kasanga, C.J.; Byarugaba, D.K.; Mdegela, R.H.; Tal, S.; Bornstein, B.; Dishon, A.; et al. Detection of tilapia lake virus (TiLV) infection by PCR in farmed and wild Nile tilapia (Oreochromis niloticus) from Lake Victoria. J. Fish. Dis. 2018, 41, 1181–1189. [Google Scholar] [CrossRef]
- Mugimba, K.K.; Tal, S.; Dubey, S.; Mutoloki, S.; Dishon, A.; Evensen, Ø.; Munang’andu, H.M. Gray (Oreochromis niloticus x O. aureus) and Red (Oreochromis spp.) tilapia show equal susceptibility and proinflammatory cytokine responses to experimental Tilapia Lake Virus infection. Viruses 2019, 11, 893. [Google Scholar]
- Yamkasem, J.; Tattiyapong, P.; Gorgoglione, B.; Surachetpong, W. Uncovering the first occurrence of Tilapia parvovirus in Thailand in tilapia during co-infection with Tilapia tilapinevirus. Transbound. Emerg. Dis. 2021, in press. [Google Scholar] [CrossRef]
- Jaemwimol, P.; Rawiwan, P.; Tattiyapong, P.; Saengnual, P.; Kamlangdee, A.; Surachetpong, W. Susceptibility of important warm water fish species to tilapia lake virus (TiLV) infection. Aquaculture 2018, 497, 462–468. [Google Scholar] [CrossRef]
- Abdullah, A.; Ramly, R.; Ridzwan, M.S.M.; Sudirwan, F.; Abas, A.; Ahmad, K.; Murni, M.; Kua, B.C. First detection of tilapia lake virus (TiLV) in wild river carp (Barbonymus schwanenfeldii) at Timah Tasoh Lake, Malaysia. J. Fish. Dis. 2018, 41, 1459–1462. [Google Scholar] [CrossRef]
- Pradhan, P.K.; Paria, A.; Yadav, M.K.; Verma, D.K.; Gupta, S.; Swaminathan, T.R.; Rathore, G.; Sood, N.; Lal, K.K. Susceptibility of Indian major carp Labeo rohita to tilapia lake virus. Aquaculture 2020, 515, 734567. [Google Scholar] [CrossRef]
- FAO. The State of World Fisheries and Aquaculture 2020; FAO: Rome, Italy, 2020; Available online: http://www.fao.org/documents/card/en/c/ca9229en/ (accessed on 21 February 2021).
- FAO. Oreochromis Mossambicus (Peters, 1852). 2021. Available online: http://www.fao.org/fishery/species/2408/en (accessed on 21 February 2021).
- Philippart, J.C.; Ruwet, J.C. Ecology and distribution of tilapias. In The Biology and Culture of Tilapias, In Proceedings of the ICLARM Conference of the ICLARM-International Center for Living Aquatic Resources Management, Manila, Philippines, 2–5 September 1980; ICLARM-International Center for Living Aquatic Resources Management: Manila, Philippines, 1982; pp. 15–59. [Google Scholar]
- Popma, T.J.; Lovshin, L.L. Worldwide Prospects for Commercial Production of Tilapia; Research and Development Series No. 41; Department of Fisheries and Allied Aquacultures Auburn University: Auburn, AL, USA, 1996; p. 23. [Google Scholar]
- Costa-Pierce, B.; Riedel, R. Fisheries ecology of the tilapias in the subtropical lakes of the United States. Tilapia Aquaculture in the Americas. J. Word. Aquac. Soc. 2000, 2, 1–20. [Google Scholar]
- Trewavas, E.; British, M. Tilapiine Fishes of the Genera Sarotherodon, Oreochromis, and Danakilia; British Museum (Natural History): London, UK, 1983; Volume 1983. [Google Scholar]
- Uchida, K.; Kaneko, T.; Miyazaki, H.; Hasegawa, S.; Hirano, T. Excellent salinity tolerance of Mozambique tilapia (Oreochromis mossambicus): Elevated chloride cell activity in the branchial and opercular epithelia of the fish adapted to concentrated seawater. Zool. Sci. 2000, 17, 149–160. [Google Scholar] [CrossRef]
- García-Ulloa, M.; Villa, R.L.; Martínez, M. Growth and feed utilization of the tilapia hybrid Oreochromis Mossambicus× O. Niloticus cultured at different salinities under controlled laboratory conditions. J. World. Aquac. Soc. 2001, 32, 117–121. [Google Scholar] [CrossRef]
- King, M.; Sardella, B. The effects of acclimation temperature, salinity, and behavior on the thermal tolerance of Mozambique tilapia (Oreochromis mossambicus). J. Exp. Zool. A. Ecol. Integr. Physiol. J. 2017, 327, 417–422. [Google Scholar] [CrossRef]
- Moorman, B.P.; Lerner, D.T.; Grau, E.G.; Seale, A.P. The effects of acute salinity challenges on osmoregulation in Mozambique tilapia reared in a tidally changing salinity. J. Exp. Biol. 2015, 218, 731–739. [Google Scholar] [CrossRef] [PubMed]
- Baba, E.; Acar, Ü.; Öntaş, C.; Kesbiç, O.D.; Yilmaz, S. Evaluation of Citrus limon peels essential oil on growth performance, immune response of Mozambique tilapia Oreochromis mossambicus challenged with Edwardsiella tarda. Aquaculture 2016, 465, 13–18. [Google Scholar] [CrossRef]
- Simbine, L.; Viana da Silva, J.; Hilsdorf, A.W.S. The genetic diversity of wild Oreochromis mossambicus populations from the Mozambique southern watersheds as evaluated by microsatellites. J. Appl. Ichthyol. 2014, 30, 272–280. [Google Scholar] [CrossRef]
- D’Amato, M.E.; Esterhuyse, M.M.; Van der Waal, B.C.W.; Brink, D.; Volckaert, F.A.M. Hybridization and phylogeography of the Mozambique tilapia Oreochromis mossambicus in southern Africa evidenced by mitochondrial and microsatellite DNA genotyping. Conserv. Genet. 2007, 8, 475–488. [Google Scholar] [CrossRef]
- Deines, A.M.; Bbole, I.; Katongo, C.; Feder, J.L.; Lodge, D.M. Hybridisation between native Oreochromis species and introduced Nile tilapia O. niloticus in the Kafue River, Zambia. Afr. J. Aquat. Sci. 2014, 39, 23–34. [Google Scholar] [CrossRef]
- Firmat, C.; Alibert, P.; Losseau, M.; Baroiller, J.F.; Schliewen, U.K. Successive invasion-mediated interspecific hybridizations and population structure in the endangered cichlid Oreochromis mossambicus. PLoS ONE 2013, 8, e63880. [Google Scholar] [CrossRef]
- Zengeya, T.A.; Booth, A.J.; Bastos, A.D.S.; Chimimba, C.T. Trophic interrelationships between the exotic Nile tilapia, Oreochromis niloticus and indigenous tilapiine cichlids in a subtropical African river system (Limpopo River, South Africa). Environ. Biol. Fishes. 2011, 92, 479–489. [Google Scholar] [CrossRef]
- Zengeya, T.A.; Robertson, M.P.; Booth, A.J.; Chimimba, C.T. Ecological niche modeling of the invasive potential of Nile tilapia Oreochromis niloticus in African river systems: Concerns and implications for the conservation of indigenous congenerics. Biol. Invasions 2013, 15, 1507–1521. [Google Scholar] [CrossRef]
- Zengeya, T.A.; Robertson, M.P.; Booth, A.T.; Chimimba, C.T. A qualitative ecological risk assessment of the invasive Nile tilapia, Oreochromis niloticus in a sub-tropical African river system (Limpopo River, South Africa). Aquat. Conserv. Mar. Freshw. Ecosyst. 2013, 23, 51–64. [Google Scholar] [CrossRef]
- IUCN 2019. Oreochromis mossambicus (Errata Version Published in 2020), The IUCN Red List of Threatened Species 2019. 2019. Available online: https://dx.doi.org/10.2305/IUCN.UK.2019-3.RLTS.T63338A174782954.en (accessed on 21 February 2021).
- Nanthini, R.; Majeed, S.A.; Vimal, S.; Taju, G.; Sivakumar, S.; Kumer, S.S.; Pillai, D.; Sneha, K.G.; Rakesh, C.G.; Hameed, A.S.S. In vitro propagation of tilapia lake virus in cell lines developed from Oreochromis mossambicus. J. Fish Dis. 2019, 42, 1543–1552. [Google Scholar] [CrossRef] [PubMed]
- Amal, M.N.A.; Koh, C.B.; Nurliyana, M.; Suhaiba, M.; Nor-Amalina, Z.; Santha, S.; Diyana-Nadhirah, K.P.; Yusof, M.T.; Ina-Salwany, M.Y.; Zamri-Saad, M.; et al. A case of natural co-infection of Tilapia Lake Virus and Aeromonas veronii in a Malaysian red hybrid tilapia (Oreochromis niloticus×O. mossambicus) farm experiencing high mortality. Aquaculture 2018, 485, 12–16. [Google Scholar] [CrossRef]
- Tattiyapong, P.; Sirikanchana, K.; Surachetpong, W. Development and validation of a reverse transcription quantitative polymerase chain reaction for tilapia lake virus detection in clinical samples and experimentally challenged fish. J. Fish Dis. 2018, 41, 255–261. [Google Scholar] [CrossRef] [PubMed]
- Tattiyapong, P.; Dachavichitlead, W.; Surachetpong, W. Experimental infection of Tilapia Lake Virus (TiLV) in Nile tilapia (Oreochromis niloticus) and red tilapia (Oreochromis spp.). Vet. Microbiol. 2017, 207, 170–177. [Google Scholar] [CrossRef]
- Iwamoto, T.; Nakai, T.; Arimoto, M.; Furesawa, I. Cloning of the fish cell line SSN-1 for piscine nodaviruses. Dis. Aquatic. Organ. 2000, 43, 81–89. [Google Scholar] [CrossRef]
- Reed, L.J.; Muench, H. A simple method of estimating fifty per cent endpoints. Am. J. Epidemiol. 1938, 27, 493–497. [Google Scholar] [CrossRef]
- Nicholson, P.; Rawiwan, P.; Surachetpong, W. Detection of Tilapia Lake Virus Using Conventional RT-PCR and SYBR Green RT-qPCR. J. Vis. Exp. 2018, 141, e58596. [Google Scholar] [CrossRef] [PubMed]
- Yamkasem, J.; Piewbang, C.; Techangamsuwan, S.; Pierezan, F.; Soto, E.; Surachetpong, W. Susceptibility of ornamental African cichlids Aulonocara spp. to experimental infection with Tilapia lake virus. Aquaculture 2021, 542, 736920. [Google Scholar] [CrossRef]
- Piewbang, C.; Jo, W.K.; Puff, C.; Ludlow, M.; van der Vries, E.; Banlunara, W.; Rungsipipat, A.; Kruppa, J.; Jung, K.; Techangamsuwan, S. Canine Bocavirus Type 2 Infection Associated with Intestinal Lesions. Vet. Pathol. 2018, 55, 434–441. [Google Scholar] [CrossRef]
- FAO. Tilapia Lake Virus Expert Knowledge Elicitation Risk Assessment (December 2018). In FAO Animal Health Risk Analysis Assessment; FAO: Rome, Italy, 2018; Available online: http://www.fao.org/3/CA2864EN/ca2864en.pdf (accessed on 2 April 2021).
- OIE. Infection with Tilapia Lake Virus (TiLV)–A Novel Orthomyxo-Like Virus. Available online: www.oie.int/fileadmin/Home/eng/Internationa_Standard_Setting/docs/pdf/Aquatic_Commission/A_TiLV_disease_card.pdf (accessed on 2 April 2021).
- Liamnimitr, P.; Thammatorn, W.; U-thoomporn, S.; Tattiyapong, P.; Surachetpong, W. Non-lethal sampling for Tilapia Lake Virus detection by RT-qPCR and cell culture. Aquaculture 2018, 486, 75–80. [Google Scholar] [CrossRef]
- Thammatorn, W.; Rawiwan, P.; Surachetpong, W. Minimal risk of tilapia lake virus transmission via frozen tilapia fillets. J. Fish Dis. 2019, 42, 3–9. [Google Scholar] [CrossRef]
- Rakus, K.; Mojzesz, M.; Widziolek, M.; Pooranachandran, N.; Teitge, F.; Surachetpong, W.; Chadzinska, M.; Steinhagen, D.; Adamek, M. Antiviral response of adult zebrafish (Danio rerio) during tilapia lake virus (TiLV) infection. Fish Shellfish Immunol. 2020, 101, 1–8. [Google Scholar] [CrossRef]
- OIE. Tilapia Lake Virus Disease, Malaysia. Immediate Notification. Available online: https://www.oie.int/wahis_2/public/wahid.php/Reviewreport/Review?page_refer=MapFullEventReport&reportid=24809 (accessed on 5 April 2021).
- Pierezan, F.; Yun, S.; Piewbang, C.; Surachetpong, S.; Soto, E. Pathogenesis and immune response of Nile tilapia (Oreochromis niloticus) exposed to Tilapia lake virus by intragastric route. Fish Shellfish Immunol. 2020, 107, 289–300. [Google Scholar] [CrossRef]
- Pulido, L.L.H.; Mora, C.M.; Hung, A.L.; Dong, H.T.; Senapin, S. Tilapia lake virus (TiLV) from Peru is genetically close to the Israeli isolates. Aquaculture 2019, 510, 61–65. [Google Scholar] [CrossRef]
- He, A.; Luo, Y.; Liu, L.; Li, S.; Wang, C. Complete mitochondrial DNA sequences of the Nile tilapia (Oreochromis niloticus) and Blue tilapia (Oreochromis aureus): Genome characterization and phylogeny applications. Mol. Biol. Rep. 2011, 38, 2015–2021. [Google Scholar] [CrossRef] [PubMed]
- Xia, J.; Wan, Z.; Ng, Z.; Wang, L.; Fu, G.; Lin, G.; Liu, F.; Yue, G. Genome-wide discovery and in silico mapping of gene-associated SNPs in Nile tilapia. Aquaculture 2014, 432, 67–73. [Google Scholar] [CrossRef]
- Dinesh, K.R.; Lim, T.M.; Chan, W.K.; Phang, V.P.E. Genetic variation inferred from RAPD fingerprinting in three species of tilapia. Aquac. Int. 1996, 4, 19–20. [Google Scholar] [CrossRef]
- Skliris, G.; Richards, R. Nodavirus isolated from experimentally infected tilapia, Oreochromis mossambicus (Peters). J. Fish Dis. 2002, 22, 315–318. [Google Scholar] [CrossRef]
- Abraham, T.J.; Namdeo, A.S.; Adikesavalu, H.; Banerjee, S. Pathogenicity and pathology of Straptococcus agalactiae in challenged Mozambique tilapia Oreochromis mossambicus (Peters 1852) juveniles. Aquat. Res. 2019, 2, 182–190. [Google Scholar] [CrossRef]
- Ndong, D.; Chen, Y.Y.; Lin, Y.H.; Vaseeharan, B.; Chen, J.C. The immune response of tilapia Oreochromis mossambicus and its susceptibility to Streptococcus iniae under stress in low and high temperatures. Fish Shellfish Immunol. 2007, 22, 686–694. [Google Scholar] [CrossRef] [PubMed]




| Positive Samples/Total Sample | |||
|---|---|---|---|
| (Number of Viral Copies/µg of Total RNA) | |||
| Day Post Challenge (DPC) | Control | Low TiLV Conc. | High TiLV Conc. |
| (1 × 103 TCID50/mL) | (1 × 105 TCID50/mL) | ||
| 3 | 0/5 | 3/5 | 5/5 |
| (9.7 × 10–1 × 103) | (1.1 × 104–3.5 × 104) | ||
| 6 | 0/5 | 4/5 | 5/5 |
| (1.3 × 103–4.8 × 105) | (2.7 × 102–2.6 × 106) | ||
| 12 | 0/5 | 0/5 | 5/5 |
| (3.3 × 105–2.3 × 106) | |||
Publisher’s Note: MDPI stays neutral with regard to jurisdictional claims in published maps and institutional affiliations. |
© 2021 by the authors. Licensee MDPI, Basel, Switzerland. This article is an open access article distributed under the terms and conditions of the Creative Commons Attribution (CC BY) license (https://creativecommons.org/licenses/by/4.0/).
Share and Cite
Waiyamitra, P.; Piewbang, C.; Techangamsuwan, S.; Liew, W.C.; Surachetpong, W. Infection of Tilapia tilapinevirus in Mozambique Tilapia (Oreochromis mossambicus), a Globally Vulnerable Fish Species. Viruses 2021, 13, 1104. https://doi.org/10.3390/v13061104
Waiyamitra P, Piewbang C, Techangamsuwan S, Liew WC, Surachetpong W. Infection of Tilapia tilapinevirus in Mozambique Tilapia (Oreochromis mossambicus), a Globally Vulnerable Fish Species. Viruses. 2021; 13(6):1104. https://doi.org/10.3390/v13061104
Chicago/Turabian StyleWaiyamitra, Pitchaporn, Chutchai Piewbang, Somporn Techangamsuwan, Woei Chang Liew, and Win Surachetpong. 2021. "Infection of Tilapia tilapinevirus in Mozambique Tilapia (Oreochromis mossambicus), a Globally Vulnerable Fish Species" Viruses 13, no. 6: 1104. https://doi.org/10.3390/v13061104
APA StyleWaiyamitra, P., Piewbang, C., Techangamsuwan, S., Liew, W. C., & Surachetpong, W. (2021). Infection of Tilapia tilapinevirus in Mozambique Tilapia (Oreochromis mossambicus), a Globally Vulnerable Fish Species. Viruses, 13(6), 1104. https://doi.org/10.3390/v13061104

