Porcine Circovirus 3 Detection in Aborted Fetuses and Stillborn Piglets from Swine Reproductive Failure Cases
Abstract
1. Introduction
2. Materials and Methods
2.1. Sample Selection
2.2. DNA Extraction, PCV-2, and PCV-3 qPCR
2.3. PRRSV and PPV1 Detection
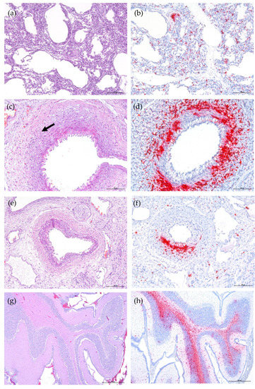
2.4. Histopathology, PCV-2 Immunohistochemistry, and PCV-3 In Situ Hybridization
2.5. PCV-3 and PCV-2 Sequencing and PCV-3 Phylogenetic Analysis
3. Results
3.1. Virus Detection
3.2. Histologic Evaluation, PCV-2 IHC, and PCV-3 ISH
3.3. Sequencing and Phylogenetic Analysis
4. Discussion
Supplementary Materials
Author Contributions
Funding
Institutional Review Board Statement
Informed Consent Statement
Data Availability Statement
Acknowledgments
Conflicts of Interest
References
- Nathues, H.; Alarcon, P.; Rushton, J.; Jolie, R.; Fiebig, K.; Jimenez, M.; Geurts, V.; Nathues, C. Cost of porcine reproductive and respiratory syndrome virus at individual farm level—An economic disease model. Prev. Vet. Med. 2017, 142, 16–29. [Google Scholar] [CrossRef] [PubMed]
- Althouse, G.C.; Kauffold, J.; Rossow, S. Diseases of the reproductive system. In Diseases of Swine; Zimmerman, J.J., Karriker, L.A., Ramirez, A., Schwartz, K.J., Stevenson, G.W., Zhang., J., Eds.; John Wiley & Sons, Inc.: Hoboken, NJ, USA, 2019; pp. 373–392. [Google Scholar]
- Christianson, W.T. Stillbirths, mummies, abortions, and early embryonic death. Vet. Clin. N. Am. Food Anim. Pract. 1992, 8, 623–639. [Google Scholar] [CrossRef]
- Arruda, B.; Piñeyro, P.; Derscheid, R.; Hause, B.; Byers, E.; Dion, K.; Long, D.; Sievers, C.; Tangen, J.; Williams, T.; et al. PCV3-associated disease in the United States swine herd. Emerg. Microbes Infect. 2019, 8, 684–698. [Google Scholar] [CrossRef] [PubMed]
- Dal Santo, A.C.; Cezario, K.C.; Bennemann, P.E.; Machado, S.A.; Martins, M. Full-genome sequences of porcine circovirus 3 (PCV3) and high prevalence in mummified fetuses from commercial farms in Brazil. Microb. Pathog. 2020, 3, 104027. [Google Scholar] [CrossRef]
- Deim, Z.; Dencso, L.; Erdélyi, I.; Valappil, S.K.; Varga, C.; Pósa, A.; Makrai, L.; Rákhely, G. Porcine circovirus type 3 detection in a Hungarian pig farm experiencing reproductive failures. Vet. Rec. 2019, 185, 84. [Google Scholar] [CrossRef]
- Faccini, S.; Barbieri, I.; Gilioli, A.; Sala, G.; Gibelli, L.R.; Moreno, A.; Sacchi, C.; Rosignoli, C.; Franzini, G.; Nigrelli, A. Detection and genetic characterization of Porcine circovirus type 3 in Italy. Transbound. Emerg. Dis. 2017, 64, 1661–1664. [Google Scholar] [CrossRef]
- Kim, S.H.; Park, J.Y.; Jung, J.Y.; Kim, H.Y.; Park, Y.R.; Lee, K.K.; Lyoo, Y.S.; Yeo, S.G.; Park, C.K. Detection and genetic characterization of porcine circovirus 3 from aborted fetuses and pigs with respiratory disease in Korea. J. Vet. Sci. 2018, 19, 721–724. [Google Scholar] [CrossRef]
- Tochetto, C.; Lima, D.A.; Varela, A.P.M.; Loiko, M.R.; Paim, W.P.; Scheffer, C.M.; Herpich, J.I.; Cerva, C.; Schmitd, C.; Cibulski, S.P.; et al. Full-genome sequence of porcine circovirus type 3 recovered from serum of sows with stillbirths in Brazil. Transbound. Emerg. Dis. 2018, 65, 5–9. [Google Scholar] [CrossRef]
- Zou, Y.; Zhang, N.; Zhang, J.; Zhang, S.; Jiang, Y.; Wang, D.; Tan, Q.; Yang, Y.; Wang, N. Molecular detection and sequence analysis of porcine circovirus type 3 in sow sera from farms with prolonged histories of reproductive problems in Hunan, China. Arch. Virol. 2018, 163, 2841–2847. [Google Scholar] [CrossRef]
- Phan, T.G.; Giannitti, F.; Rossow, S.; Marthaler, D.; Knutson, T.; Li, L.; Deng, X.; Resende, T.; Vannucci, F.; Delwart, E. Detection of a novel circovirus PCV3 in pigs with cardiac and multi-systemic inflammation. Virol. J. 2016, 13, 1–8. [Google Scholar] [CrossRef]
- Palinski, R.; Piñeyro, P.; Shang, P.; Yuan, F.; Guo, R.; Fang, Y.; Byers, E.; Hause, B.M. A novel porcine circovirus distantly related to known circoviruses is associated with porcine dermatitis and nephropathy syndrome and reproductive failure. J. Virol. 2017, 91, e01879-16. [Google Scholar] [CrossRef]
- Klaumann, F.; Franzo, G.; Sohrmann, M.; Correa-Fiz, F.; Drigo, M.; Núñez, J.I.; Sibila, M.; Segalés, J. Retrospective detection of porcine circovirus 3 (PCV-3) in pig serum samples from Spain. Transbound. Emerg. Dis. 2018, 65, 1290–1296. [Google Scholar] [CrossRef]
- Stadejek, T.; Woźniak, A.; Miłek, D.; Biernacka, K. First detection of porcine circovirus type 3 on commercial pig farms in Poland. Transbound. Emerg. Dis. 2017, 64, 1350–1353. [Google Scholar] [CrossRef] [PubMed]
- Kedkovid, R.; Woonwong, Y.; Arunorat, J.; Sirisereewan, C.; Sangpratum, N.; Lumyai, M.; Kesdangsakonwut, S.; Teankum, K.; Jittimanee, S.; Thanawongnuwech, R. Porcine circovirus type 3 (PCV3) infection in grower pigs from a Thai farm suffering from porcine respiratory disease complex (PRDC). Vet. Microbiol. 2018, 215, 71–76. [Google Scholar] [CrossRef] [PubMed]
- Qi, S.; Su, M.; Guo, D.; Li, C.; Wei, S.; Feng, L.; Sun, D. Molecular detection and phylogenetic analysis of porcine circovirus type 3 in 21 provinces of China during 2015–2017. Transbound. Emerg. Dis. 2019, 66, 1004–1015. [Google Scholar] [CrossRef]
- Shen, H.; Liu, X.; Zhang, P.; Wang, L.; Liu, Y.; Zhang, L.; Liang, P.; Song, C. Genome characterization of a porcine circovirus type 3 in south China. Transbound. Emerg. Dis. 2018, 65, 264–266. [Google Scholar] [CrossRef] [PubMed]
- Zhai, S.L.; Zhou, X.; Zhang, H.; Hause, B.M.; Lin, T.; Liu, R.; Chen, Q.L.; Wei, W.K.; Lv, D.H.; Wen, X.H.; et al. Comparative epidemiology of porcine circovirus type 3 in pigs with different clinical presentations. Virol. J. 2017, 14, 222. [Google Scholar] [CrossRef]
- Saporiti, V.; Martorell, S.; Cruz, T.F.; Klaumann, F.; Correa-Fiz, F.; Balasch, M.; Sibila, M.; Segalés, J. Frequency of detection and phylogenetic analysis of porcine circovirus 3 (Pcv-3) in healthy primiparous and multiparous sows and their mummified fetuses and stillborn. Pathogens 2020, 9, 533. [Google Scholar] [CrossRef]
- Mora-Díaz, J.; Piñeyro, P.; Shen, H.; Schwartz, K.; Vannucci, F.; Li, G.; Arruda, B.; Giménez-Lirola, L. Isolation of PCV3 from perinatal and reproductive cases of PCV3-associated disease and in vivo characterization of PCV3 replication in CD/CD growing Pigs. Viruses 2020, 12, 219. [Google Scholar] [CrossRef]
- Franzo, G.; Legnardi, M.; Centelleghe, C.; Tucciarone, C.M.; Cecchinato, M.; Cortey, M.; Segalés, J.; Drigo, M. Development and validation of direct PCR and quantitative PCR assays for the rapid, sensitive, and economical detection of porcine circovirus 3. J. Vet. Diagnostic Investig. 2018, 30, 538–544. [Google Scholar] [CrossRef]
- Saporiti, V.; Cruz, T.F.; Correa-Fiz, F.; Núñez, J.I.; Sibila, M.; Segalés, J. Similar frequency of porcine circovirus 3 (PCV-3) detection in serum samples of pigs affected by digestive or respiratory disorders and age-matched clinically healthy pigs. Transbound. Emerg. Dis. 2019, 67, 199–205. [Google Scholar] [CrossRef]
- Martínez, E.; Riera, P.; Sitjà, M.; Fang, Y.; Oliveira, S.; Maldonado, J. Simultaneous detection and genotyping of porcine reproductive and respiratory syndrome virus (PRRSV) by real-time RT-PCR and amplicon melting curve analysis using SYBR Green. Res. Vet. Sci. 2008, 85, 184–193. [Google Scholar] [CrossRef]
- Miao, L.; Zhang, C.-F.; Chen, C.-M.; Cui, S.-J. Real-time PCR to detect and analyze virulent PPV loads in artificially challenged sows and their fetuses. Vet. Microbiol. 2009, 138, 145–149. [Google Scholar] [CrossRef]
- Grau-Roma, L.; Hjulsager, C.K.; Sibila, M.; Kristensen, C.S.; López-Soria, S.; Enøe, C.; Casal, J.; Bøtner, A.; Nofrarías, M.; Bille-Hansen, V.; et al. Infection, excretion and seroconversion dynamics of porcine circovirus type 2 (PCV2) in pigs from post-weaning multisystemic wasting syndrome (PMWS) affected farms in Spain and Denmark. Vet. Microbiol. 2009, 135, 272–282. [Google Scholar] [CrossRef]
- Wang, F.; Flanagan, J.; Su, N.; Wang, L.C.; Bui, S.; Nielson, A.; Wu, X.; Vo, H.T.; Ma, X.J.; Luo, Y. RNAscope: A novel in situ RNA analysis platform for formalin-fixed, paraffin-embedded tissues. J. Mol. Diagnostics 2012, 14, 22–29. [Google Scholar] [CrossRef] [PubMed]
- Oliver-Ferrando, S.; Segalés, J.; López-Soria, S.; Callén, A.; Merdy, O.; Joisel, F.; Sibila, M. Evaluation of natural porcine circovirus type 2 (PCV2) subclinical infection and seroconversion dynamics in piglets vaccinated at different ages. Vet. Res. 2016, 47, 1–11. [Google Scholar] [CrossRef] [PubMed]
- Fux, R.; Söckler, C.; Link, E.K.; Renken, C.; Krejci, R.; Sutter, G.; Ritzmann, M.; Eddicks, M. Full genome characterization of porcine circovirus type 3 isolates reveals the existence of two distinct groups of virus strains. Virol. J. 2018, 15, 1–9. [Google Scholar] [CrossRef] [PubMed]
- Hall, T.A. Bioedit. Nucleic Acids Symp. Ser. 1999, 41, 95–98. [Google Scholar]
- Katoh, K.; Rozewicki, J.; Yamada, K.D. MAFFT online service: Multiple sequence alignment, interactive sequence choice and visualization. Brief. Bioinform. 2019, 20, 1160–1166. [Google Scholar] [CrossRef]
- Franzo, G.; Delwart, E.; Fux, R.; Hause, B.; Su, S.; Zhou, J.Y.; Segalés, J. Genotyping porcine circovirus 3 (PCV-3) nowadays: Does it make sense? Viruses 2020, 12, 265. [Google Scholar] [CrossRef]
- Kumar, S.; Stecher, G.; Li, M.; Knyaz, C.; Tamura, K. MEGA X: Molecular evolutionary genetics analysis across computing platforms. Mol. Biol. Evol. 2018, 35, 1547–1549. [Google Scholar] [CrossRef]
- Hasegawa, M.; Kishino, H.; Yano, T. AKI dating of the human-ape splitting by a molecular clock of mitochondrial DNA. J. Mol. Evol. 1985, 22, 160–174. [Google Scholar] [CrossRef]
- Jones, D.T.; Taylor, W.R.; Thornton, J.M. The rapid generation of mutation data matrices. Comput. Appl. Biosci. 1992, 8, 275–282. [Google Scholar]
- Sievers, F.; Higgins, D.G. Multiple sequence alignment methods. Bioinformatics 2014, 1079, 105–116. [Google Scholar]
- Brunborg, I.M.; Jonassen, C.M.; Moldal, T.; Bratberg, B.; Lium, B.; Koenen, F.; Schönheit, J. Association of myocarditis with high viral load of porcine circovirus type 2 in several tissues in cases of fetal death and high mortality in piglets. A case study. J. Vet. Diagn. Investig. 2007, 19, 368–375. [Google Scholar] [CrossRef] [PubMed]
- Madson, D.M.; Patterson, A.R.; Ramamoorthy, S.; Pal, N.; Meng, X.J.; Opriessnig, T. Effect of porcine circovirus type 2 (PCV2) vaccination of the dam on PCV2 replication in utero. Clin. Vaccine Immunol. 2009, 16, 830–834. [Google Scholar] [CrossRef] [PubMed]
- Hermann, J.R.; Muñoz-Zanzi, C.A.; Roof, M.B.; Burkhart, K.; Zimmerman, J.J. Probability of porcine reproductive and respiratory syndrome (PRRS) virus infection as a function of exposure route and dose. Veter Microbiol. 2005, 110, 7–16. [Google Scholar] [CrossRef] [PubMed]
- Truyen, U.; Streck, A.F. Parvoviruses. In Diseases of Swine; Truyen, U., Streck, A.F., Eds.; John Wiley & Sons, Inc.: Hoboken, NJ, USA, 2019; pp. 611–621. [Google Scholar]
- Temeeyasen, G.; Lierman, S.; Arruda, B.L.; Main, R.; Vannucci, F.; Gimenez, L.G. Pathogenicity and immune response against porcine circovirus type 3 infection in caesarean—deprived pigs. J. Gen. Virol. 2020, 102. [Google Scholar] [CrossRef]
- Segalés, J. Porcine circovirus type 2 (PCV2) infections: Clinical signs, pathology and laboratory diagnosis. Virus Res. 2012, 164, 10–19. [Google Scholar] [CrossRef] [PubMed]
- Maldonado, J.; Segalés, J.; Martínez-Puig, D.; Calsamiglia, M.; Riera, P.; Domingo, M.; Artigas, C. Identification of viral pathogens in aborted fetuses and stillborn piglets from cases of swine reproductive failure in Spain. Vet. J. 2005, 169, 454–456. [Google Scholar] [CrossRef] [PubMed]
- Franzo, G.; Legnardi, M.; Hjulsager, C.K.; Klaumann, F.; Larsen, L.E.; Segales, J.; Drigo, M. Full-genome sequencing of porcine circovirus 3 field strains from Denmark, Italy and Spain demonstrates a high within-Europe genetic heterogeneity. Transbound. Emerg. Dis. 2018, 65, 602–606. [Google Scholar] [CrossRef] [PubMed]
- Ye, X.; Berg, M.; Fossum, C.; Wallgren, P.; Blomström, A.L. Detection and genetic characterisation of porcine circovirus 3 from pigs in Sweden. Virus Genes 2018, 54, 466–469. [Google Scholar] [CrossRef] [PubMed]


| Agent | Positive (Out of 53) | % | CRL (cm) Range |
|---|---|---|---|
| PCV-3 | 16 | 30.2 | 15–32 |
| PCV-2 | 4 | 7.5 | 16–30 |
| PRRSV | 2 | 3.8 | 20–28 |
| PCV-3/PRRSV | 1 | 1.9 | 23–27 |
| PCV-3/PCV-2/PRRSV | 1 | 1.9 | 6–22 * |
| Case No. | CRL (cm) Range | PCV-3 Ct Values (log10 Copies/μL) | PCV-3 ISH Results | Histological Lesions | |
|---|---|---|---|---|---|
| 3 | 22 | 24.4 (3.5) | Heart | + | Heart: No lesions |
| Lung | ++ | Lung: mild LI in arteries | |||
| Intestine | + | Intestine: mild perivascular LI | |||
| Spleen | + | Spleen: No lesions | |||
| Kidney | + | Kidney: mild LI in pelvis | |||
| Liver | – | Liver: No lesions | |||
| 35 | 15–20 | 24.3 (4.7) | Heart | – | Heart: No lesions |
| Lung | + | Lung: tunica media swelling in lung arteries’ wall | |||
| Kidney | – | Kidney: No lesions | |||
| Liver | – | Liver: No lesions | |||
| 36 | 6–22 | 24.3 (3.5) | Heart | – | Heart: Autolysis |
| Kidney | – | Kidney: Autolysis | |||
| Liver | – | Liver: Autolysis | |||
| 39 | 15–25 | 26.5 (2.9) | Heart | – | Heart: Autolysis |
| Lung | – | Lung: Autolysis | |||
| Intestine | – | Intestine: Autolysis | |||
| Spleen | – | Spleen: Autolysis | |||
| Kidney | – | Kidney: Autolysis | |||
| Liver | – | Liver: Autolysis | |||
| Umbilical cord | – | Umbilical cord: Autolysis | |||
| 40 | 16–23 | 18.0 (5.5) | Heart | +++ | Heart: mild LI in smooth muscles of arteries, mild lymphoplasmacytic endocarditis and myocarditis |
| Lung | ++ | Lung: No lesions | |||
| Intestine | + | Intestine: No lesions | |||
| Kidney | + | Kidney: No lesions | |||
| Liver | ++ | Liver: Autolysis | |||
| Thymus | – | Thymus: No lesions | |||
| 52 | 27–28 | 16.9 (5.71) | Heart | ++ | Heart: mild LI in perivascular connective tissue |
| Lung | ++ | Lung: hemorrhage, IP’ and mild LI in arteries | |||
| Spleen | ++ | Spleen: hemorrhage, mild LI’ and vacuolization in smooth muscles of arteries’ wall | |||
| Kidney | ++ | Kidney: mild LI in smooth muscles of arteries | |||
| Liver | ++ | Liver: mild LI in arteries and hepatocytes with vacuolization | |||
| Cerebrum | +++ | Neuropil vacuolization | |||
| Cerebellum | ++ | Multifocal cortical hemorrhages | |||
| Sequences from Case No. | Sequences from Case Nos. 3, 35, 36, 39, 52 (%) | Set of Published Reference Samples Selected by Franzo et al. (2020) (%) | ||||
|---|---|---|---|---|---|---|
| Complete Genome | ORF2 | ORF2 aa | Complete Genome | ORF2 | ORF2 aa | |
| 3, 35, 36, 39, 52 | 99.2–100 | 98.9–100 | 98.6–100 | 98.4–100 | 97.2–100 | 95.3–100 |
| 40 | 97.5–97.7 | 95.9–96.1 | 96.7–97.2 | 96.7–97.8 | 95.4–96.6 | 94.9–98.1 |
Publisher’s Note: MDPI stays neutral with regard to jurisdictional claims in published maps and institutional affiliations. |
© 2021 by the authors. Licensee MDPI, Basel, Switzerland. This article is an open access article distributed under the terms and conditions of the Creative Commons Attribution (CC BY) license (http://creativecommons.org/licenses/by/4.0/).
Share and Cite
Saporiti, V.; Valls, L.; Maldonado, J.; Perez, M.; Correa-Fiz, F.; Segalés, J.; Sibila, M. Porcine Circovirus 3 Detection in Aborted Fetuses and Stillborn Piglets from Swine Reproductive Failure Cases. Viruses 2021, 13, 264. https://doi.org/10.3390/v13020264
Saporiti V, Valls L, Maldonado J, Perez M, Correa-Fiz F, Segalés J, Sibila M. Porcine Circovirus 3 Detection in Aborted Fetuses and Stillborn Piglets from Swine Reproductive Failure Cases. Viruses. 2021; 13(2):264. https://doi.org/10.3390/v13020264
Chicago/Turabian StyleSaporiti, Viviane, Laura Valls, Jaime Maldonado, Mónica Perez, Florencia Correa-Fiz, Joaquim Segalés, and Marina Sibila. 2021. "Porcine Circovirus 3 Detection in Aborted Fetuses and Stillborn Piglets from Swine Reproductive Failure Cases" Viruses 13, no. 2: 264. https://doi.org/10.3390/v13020264
APA StyleSaporiti, V., Valls, L., Maldonado, J., Perez, M., Correa-Fiz, F., Segalés, J., & Sibila, M. (2021). Porcine Circovirus 3 Detection in Aborted Fetuses and Stillborn Piglets from Swine Reproductive Failure Cases. Viruses, 13(2), 264. https://doi.org/10.3390/v13020264

