Identification of the Genome Segments of Bluetongue Virus Type 26/Type 1 Reassortants Influencing Horizontal Transmission in a Mouse Model
Abstract
:1. Introduction
2. Materials and Methods
2.1. Wild Type Viruses, Cell Cultures and Virus Titrations
2.2. Extraction and Analysis of RNA
2.3. PAGE Analysis
2.4. Preparation of Full-Length cDNAs from dsRNA
2.5. Reverse Engineering of BTV-1
2.6. Reverse Engineering of Reassortants Containing BTV-26 Genome Segments in the BTV-1 Genetic Backbone
2.7. IFNAR(−/−) Mice
2.8. Comparison of Phenotypes of BTV-1RG and Wild Type BTV-1RSArrrr/01 in IFNAR(−/−) Mice
2.9. Infection of IFNAR(−/−) with Reverse Engineered Reassortant Viruses and Assessment of Horizontal Transmission Potential
3. Results
3.1. Rescue of BTV1-RG and Plaque Purification of Clones
3.2. The Full-Length Sequence of BTV-1RGC7 Genome
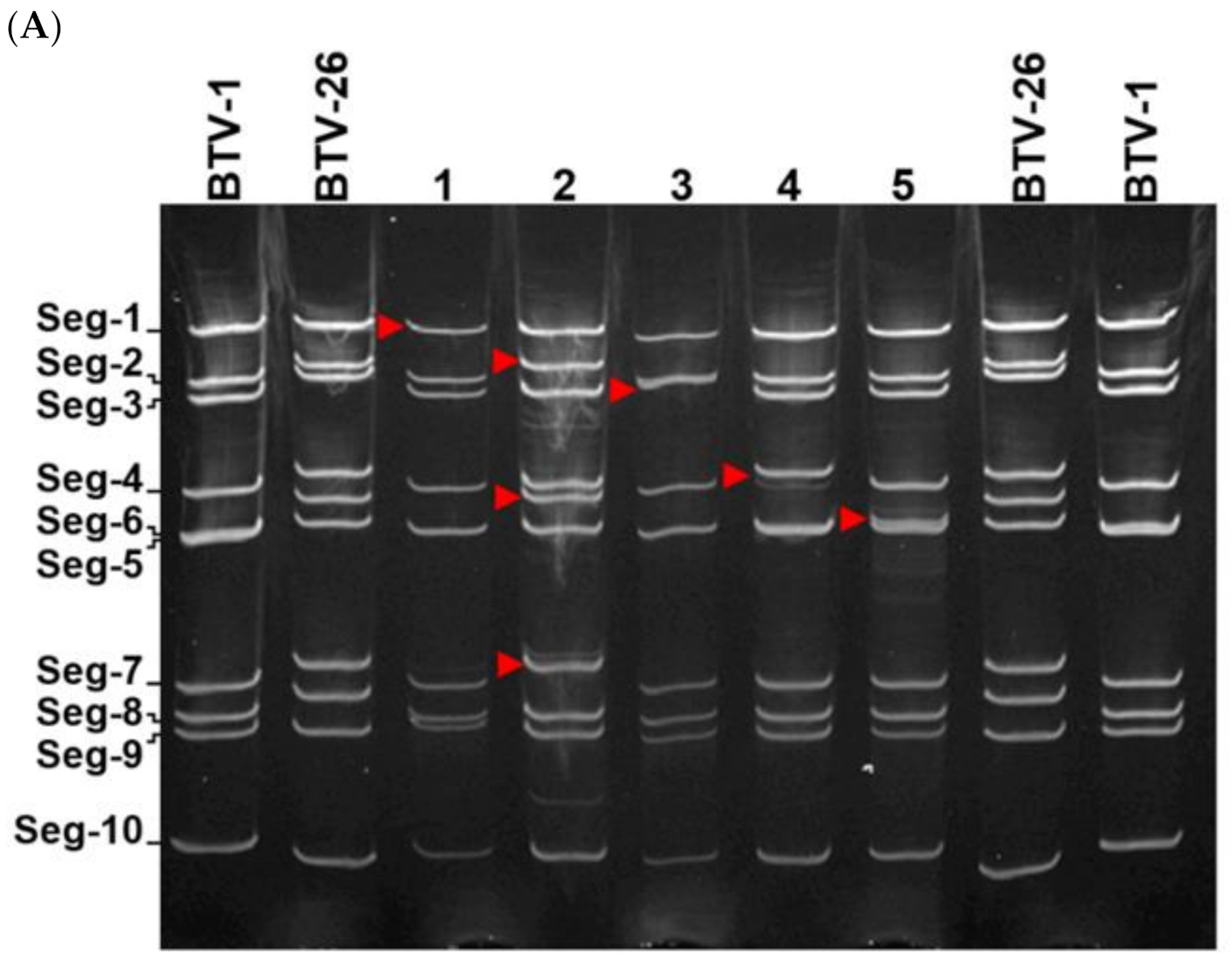
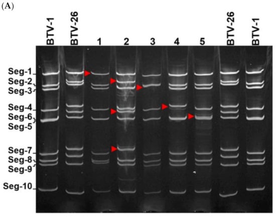
3.3. Generation of Reassortants
3.4. Replication of BTV-1RSA and BTV-1RGC7 in IFNAR(−/−) Mice
3.5. Horizontal Transmission of BTV-26
3.6. Identification of the BTV-26 Genome Segments That Support Horizontal Transmission
4. Discussion
5. Conclusions
Supplementary Materials
Author Contributions
Funding
Institutional Review Board Statement
Data Availability Statement
Acknowledgments
Conflicts of Interest
References
- Attoui, H.; Mertens, P.P.C.; Becnel, J.; Belaganahalli, M.; Bergoin, M.; Brussaard, C.P.; Chappell, J.D.; Ciarlet, M.; del Vas, M.; Dermody, T.S.; et al. In Virus Taxonomy. The Ninth Report of the International Committee on Taxonomy of Viruses; Elsevier-Academic Press: London, UK, 2012. [Google Scholar]
- Mellor, P.S.; Carpenter, S.; White, D.M. Bluetongue virus in the insect host. Bluetongue 2009, 295, 320. [Google Scholar]
- Ries, C.; Vogtlin, A.; Hussy, D.; Jandt, T.; Gobet, H.; Hilbe, M.; Burgener, C.; Schweizer, L.; Hafliger-Speiser, S.; Beer, M.; et al. Putative Novel Atypical BTV Serotype ’36’ Identified in Small Ruminants in Switzerland. Viruses 2021, 13, 721. [Google Scholar] [CrossRef] [PubMed]
- Jaafar, F.M.; Belhouchet, M.; Vitour, D.; Adam, M.; Breard, E.; Zientara, S.; Mertens, P.P.; Attoui, H. Immunisation with bacterial expressed VP2 and VP5 of bluetongue virus (BTV) protect alpha/beta interferon-receptor knock-out (IFNAR(-/-)) mice from homologous lethal challenge. Vaccine 2014, 32, 4059–4067. [Google Scholar] [CrossRef] [PubMed]
- Maan, S.; Maan, N.S.; Ross-Smith, N.; Batten, C.A.; Shaw, A.E.; Anthony, S.J.; Samuel, A.R.; Darpel, K.E.; Veronesi, E.; Oura, C.A.; et al. Sequence analysis of bluetongue virus serotype 8 from the Netherlands 2006 and comparison to other European strains. Virology 2008, 377, 308–318. [Google Scholar] [CrossRef] [Green Version]
- Belbis, G.; Zientara, S.; Bréard, E.; Sailleau, C.; Caignard, G.; Vitour, D.; Attoui, H. Bluetongue Virus: From BTV-1 to BTV-27. Adv. Virus Res. 2017, 99, 161–197. [Google Scholar] [CrossRef]
- Wechsler, S.; McHolland, L.; Wilson, W. A RNA virus in cells from Culicoides variipennis. J. Invertebr. Pathol. 1991, 57, 200–205. [Google Scholar] [CrossRef]
- Bell-Sakyi, L.; Jaafar, F.M.; Monsion, B.; Luu, L.; Denison, E.; Carpenter, S.; Attoui, H.; Mertens, P.P.C. Continuous Cell Lines from the European Biting Midge Culicoides nubeculosus (Meigen, 1830). Microorganisms 2020, 8, 6. [Google Scholar] [CrossRef] [PubMed]
- Maan, S.; Maan, N.S.; Nomikou, K.; Veronesi, E.; Bachanek-Bankowska, K.; Belaganahalli, M.N.; Attoui, H.; Mertens, P.P.C. Complete Genome Characterisation of a Novel 26th Bluetongue Virus Serotype from Kuwait. PLoS ONE 2011, 6, e26147. [Google Scholar] [CrossRef] [PubMed] [Green Version]
- Hofmann, M.A.; Renzullo, S.; Mader, M.; Chaignat, V.; Worwa, G.; Thuer, B. Genetic Characterization of Toggenburg Orbivirus, a New Bluetongue Virus, from Goats, Switzerland. Emerg. Infect. Dis. 2008, 14, 1855–1861. [Google Scholar] [CrossRef] [PubMed]
- Rasmussen, L.D.; Savini, G.; Lorusso, A.; Bellacicco, A.; Palmarini, M.; Caporale, M.; Rasmussen, T.B.; Belsham, G.J.; Bøtner, A. Transplacental transmission of field and rescued strains of BTV-2 and BTV-8 in experimentally infected sheep. Vet. Res. 2013, 44, 75. [Google Scholar] [CrossRef] [Green Version]
- van der Sluijs, M.T.; de Smit, A.J.; Moormann, R.J. Vector independent transmission of the vector-borne bluetongue virus. Crit. Rev. Microbiol. 2016, 42, 57–64. [Google Scholar] [CrossRef] [PubMed]
- Batten, C.; Darpel, K.; Henstock, M.; Fay, P.; Veronesi, E.; Gubbins, S.; Graves, S.; Frost, L.; Oura, C. Evidence for Transmission of Bluetongue Virus Serotype 26 through Direct Contact. PLoS ONE 2014, 9, e96049. [Google Scholar] [CrossRef] [Green Version]
- Batten, C.; Henstock, M.; Steedman, H.; Waddington, S.; Edwards, L.; Oura, C. Bluetongue virus serotype 26: Infection kinetics, pathogenesis and possible contact transmission in goats. Vet. Microbiol. 2013, 162, 62–67. [Google Scholar] [CrossRef]
- Bréard, E.; Schulz, C.; Sailleau, C.; Bernelin-Cottet, C.; Viarouge, C.; Vitour, D.; Guillaume, B.; Caignard, G.; Gorlier, A.; Attoui, H.; et al. Bluetongue virus serotype 27: Experimental infection of goats, sheep and cattle with three BTV-27 variants reveal atypical characteristics and likely direct contact transmission BTV-27 between goats. Transbound. Emerg. Dis. 2017, 65, e251–e263. [Google Scholar] [CrossRef]
- Bumbarov, V.; Golender, N.; Jenckel, M.; Wernike, K.; Beer, M.; Khinich, E.; Zalesky, O.; Erster, O. Characterization of bluetongue virus serotype 28. Transbound. Emerg. Dis. 2019, 67, 171–182. [Google Scholar] [CrossRef]
- Busquets, M.G.; Pullinger, G.; Darpel, K.; Cooke, L.; Armstrong, S.; Simpson, J.; Palmarini, M.; Fragkoudis, R.; Mertens, P. An Early Block in the Replication of the Atypical Bluetongue Virus Serotype 26 in Culicoides Cells Is Determined by Its Capsid Proteins. Viruses 2021, 13, 919. [Google Scholar] [CrossRef] [PubMed]
- Pullinger, G.D.; Busquets, M.G.; Nomikou, K.; Boyce, M.; Attoui, H.; Mertens, P.P. Identification of the Genome Segments of Bluetongue Virus Serotype 26 (Isolate KUW2010/02) that Restrict Replication in a Culicoides sonorensis Cell Line (KC Cells). PLoS ONE 2016, 11, e0149709. [Google Scholar] [CrossRef] [PubMed]
- Samal, S.K.; El-Hussein, A.; Holbrook, F.R.; Beaty, B.J.; Ramig, R.F. Mixed Infection of Culicoides variipennis with Bluetongue Virus Serotypes 10 and 17: Evidence for High Frequency Reassortment in the Vector. J. Gen. Virol. 1987, 68, 2319–2329. [Google Scholar] [CrossRef]
- Bumbarov, V.; Golender, N.; Erster, O.; Khinich, Y. Detection and isolation of Bluetongue virus from commercial vaccine batches. Vaccine 2016, 34, 3317–3323. [Google Scholar] [CrossRef] [PubMed]
- Chaignat, V.; Worwa, G.; Scherrer, N.; Hilbe, M.; Ehrensperger, F.; Batten, C.; Cortyen, M.; Hofmann, M.; Thuer, B. Toggenburg Orbivirus, a new bluetongue virus: Initial detection, first observations in field and experimental infection of goats and sheep. Vet. Microbiol. 2009, 138, 11–19. [Google Scholar] [CrossRef] [Green Version]
- Sato, M.; Maeda, N.; Yoshida, H.; Urade, M.; Saito, S.; Miyazaki, T.; Shibata, T.; Watanabe, M. Plaque formation of herpes virus hominis type 2 and rubella virus in variants isolated from the colonies of BHK21/WI-2 cells formed in soft agar. Arch. Virol. 1977, 53, 269–273. [Google Scholar] [CrossRef] [PubMed]
- Buckley, A.; Dawson, A.; Moss, S.R.; Hinsley, S.A.; Bellamy, P.; Gould, E.A. Serological evidence of West Nile virus, Usutu virus and Sindbis virus infection of birds in the UK. J. Gen. Virol. 2003, 84, 2807–2817. [Google Scholar] [CrossRef] [PubMed]
- Attoui, H.; Billoir, F.; Cantaloube, J.F.; Biagini, P.; de Micco, P.; de Lamballerie, X. Strategies for the sequence determination of viral dsRNA genomes. J. Virol. Methods 2000, 89, 147–158. [Google Scholar] [CrossRef]
- Attoui, H.; Jaafar, F.M.; Belhouchet, M.; Biagini, P.; Cantaloube, J.-F.; de Micco, P.; de Lamballerie, X. Expansion of family Reoviridae to include nine-segmented dsRNA viruses: Isolation and characterization of a new virus designated aedes pseudoscutellaris reovirus assigned to a proposed genus (Dinovernavirus). Virology 2005, 343, 212–223. [Google Scholar] [CrossRef] [Green Version]
- Laemmli, U.K. Cleavage of Structural Proteins during the Assembly of the Head of Bacteriophage T4. Nature 1970, 227, 680–685. [Google Scholar] [CrossRef] [PubMed]
- Maan, S.; Rao, S.; Maan, N.S.; Anthony, S.J.; Attoui, H.; Samuel, A.R.; Mertens, P.P.C. Rapid cDNA synthesis and sequencing techniques for the genetic study of bluetongue and other dsRNA viruses. J. Virol. Methods 2007, 143, 132–139. [Google Scholar] [CrossRef]
- Jaafar, F.M.; Attoui, H.; Mertens, P.P.C.; De Micco, P.; De Lamballerie, X. Structural organization of an encephalitic human isolate of Banna virus (genus Seadornavirus, family Reoviridae). J. Gen. Virol. 2005, 86, 1147–1157. [Google Scholar] [CrossRef]
- Müller, U.; Steinhoff, U.; Reis, L.F.L.; Hemmi, S.; Pavlovic, J.; Zinkernagel, R.M.; Aguet, M. Functional Role of Type I and Type II Interferons in Antiviral Defense. Science 1994, 264, 1918–1921. [Google Scholar] [CrossRef]
- Jabbar, T.K.; Calvo-Pinilla, E.; Mateos, F.; Gubbins, S.; Bin-Tarif, A.; Bachanek-Bankowska, K.; Alpar, O.; Ortego, J.; Takamatsu, H.H.; Mertens, P.P.; et al. Protection of IFNAR (-/-) mice against bluetongue virus serotype 8, by heterologous (DNA/rMVA) and homologous (rMVA/rMVA) vaccination, expressing outer-capsid protein VP2. PLoS ONE 2013, 8, e60574. [Google Scholar] [CrossRef]
- Calvo-Pinilla, E.; Rodriguez-Calvo, T.; Sevilla, N.; Ortego, J. Heterologous prime boost vaccination with DNA and recombinant modified vaccinia virus Ankara protects IFNAR(-/-) mice against lethal bluetongue infection. Vaccine 2009, 28, 437–445. [Google Scholar] [CrossRef] [PubMed]
- Hofmann, M.; Griot, C.; Chaignat, V.; Perler, L.; Thur, B. Bluetongue disease reaches Switzerland. Schweiz Arch. Tierheilkd. 2008, 150, 49–56. [Google Scholar] [CrossRef]
- Smith, R.; Zweerink, H.; Joklik, W.K. Polypeptide components of virions, top component and cores of reovirus type 3. Virology 1969, 39, 791–810. [Google Scholar] [CrossRef]
- Mendez, I.I.; Hermann, L.L.; Hazelton, P.R.; Coombs, K.M. A comparative analysis of freon substitutes in the purification of reovirus and calicivirus. J. Virol. Methods 2000, 90, 59–67. [Google Scholar] [CrossRef]
- Jia, K.; Jernigan, R.L. New amino acid substitution matrix brings sequence alignments into agreement with structure matches. Proteins 2021, 89, 671–682. [Google Scholar] [CrossRef] [PubMed]
- Dijkstra, E.; van der Ven, I.J.; Meiswinkel, R.; Holzel, D.R.; Van Rijn, P.A.; Meiswinkel, R. Culicoides chiopterus as a potential vector of bluetongue virus in Europe. Vet. Rec. 2008, 162, 422. [Google Scholar] [CrossRef]
- MacLachlan, N.; Conley, A.; Kennedy, P. Bluetongue and equine viral arteritis viruses as models of virus-induced fetal injury and abortion. Anim. Reprod. Sci. 2000, 60–61, 643–651. [Google Scholar] [CrossRef]
- Menzies, F.D.; McCullough, S.J.; McKeown, I.M.; Forster, J.; Jess, S.; Batten, C.; Murchie, A.K.; Gloster, J.; Fallows, J.G.; Pelgrim, W.; et al. Evidence for transplacental and contact transmission of bluetongue virus in cattle. Vet. Rec. 2008, 163, 203–209. [Google Scholar] [CrossRef] [PubMed] [Green Version]
- van der Sluijs, M.; Timmermans, M.; Moulin, V.; Noordegraaf, C.V.; Vrijenhoek, M.; Debyser, I.; de Smit, A.; Moormann, R. Transplacental transmission of Bluetongue virus serotype 8 in ewes in early and mid gestation. Vet. Microbiol. 2011, 149, 113–125. [Google Scholar] [CrossRef] [PubMed]
- Belbis, G.; Bréard, E.; Cordonnier, N.; Moulin, V.; Desprat, A.; Sailleau, C.; Viarouge, C.; Doceul, V.; Zientara, S.; Millemann, Y. Evidence of transplacental transmission of bluetongue virus serotype 8 in goats. Vet. Microbiol. 2013, 166, 394–404. [Google Scholar] [CrossRef]
- Coetzee, P.; Stokstad, M.; Myrmel, M.; Mutowembwa, P.; Loken, T.; Venter, E.; Van Vuuren, M. Transplacental infection in goats experimentally infected with a European strain of bluetongue virus serotype 8. Vet. J. 2013, 197, 335–341. [Google Scholar] [CrossRef] [PubMed] [Green Version]
- Darpel, K.E.; Batten, C.A.; Veronesi, E.; Williamson, S.; Anderson, P.; Dennison, M.; Clifford, S.; Smith, C.; Philips, L.; Bidewell, C.; et al. Transplacental Transmission of Bluetongue Virus 8 in Cattle, UK. Emerg. Infect. Dis. 2009, 15, 2025–2028. [Google Scholar] [CrossRef] [PubMed]
- Alexander, K.A.; MacLachlan, N.J.; Kat, P.W.; House, C.; O’Brien, S.J.; Lerche, N.W.; Sawyer, M.; Frank, L.G.; Holekamp, K.; Smale, L.; et al. Evidence of natural bluetongue virus infection among African carnivores. Am. J. Trop. Med. Hyg. 1994, 51, 568–576. [Google Scholar] [CrossRef] [PubMed] [Green Version]
- Jauniaux, T.P.; De Clercq, K.E.; Cassart, D.E.; Kennedy, S.; Vandenbussche, F.E.; Vandemeulebroucke, E.L.; Vanbinst, T.M.; Verheyden, B.I.; Goris, N.E.; Coignoul, F.L. Bluetongue in Eurasian Lynx. Emerg. Infect. Dis. 2008, 14, 1496–1498. [Google Scholar] [CrossRef]
- Akita, G.Y.; Ianconescu, M.; MacLachlan, N.J.; Osburn, B.I. Bluetongue disease in dogs associated with contaminated vaccine. Veter- Rec. 1994, 134, 283–284. [Google Scholar] [CrossRef]
- Van Der Sluijs, M.T.; Schroer-Joosten, D.P.; Fid-Fourkour, A.; Vrijenhoek, M.P.; Debyser, I.; Moulin, V.; Moormann, R.J.; De Smit, A.J. Transplacental Transmission of Bluetongue Virus Serotype 1 and Serotype 8 in Sheep: Virological and Pathological Findings. PLoS ONE 2013, 8, e81429. [Google Scholar] [CrossRef] [PubMed]
- Flannery, J.; Sanz-Bernardo, B.; Ashby, M.; Brown, H.; Carpenter, S.; Cooke, L.; Corla, A.; Frost, L.; Gubbins, S.; Hicks, H.; et al. Evidence of reduced viremia, pathogenicity and vector competence in a re-emerging European strain of bluetongue virus serotype 8 in sheep. Transbound. Emerg. Dis. 2019, 66, 1177–1185. [Google Scholar] [CrossRef] [Green Version]
- Schulz, C.; Sailleau, C.; Bréard, E.; Flannery, J.; Viarouge, C.; Zientara, S.; Beer, M.; Batten, C.; Hoffmann, B. Experimental infection of sheep, goats and cattle with a bluetongue virus serotype 4 field strain from Bulgaria, 2014. Transbound. Emerg. Dis. 2018, 65, e243–e250. [Google Scholar] [CrossRef]
- Planzer, J.; Kaufmann, C.; Worwa, G.; Gavier-Widén, D.; A Hofmann, M.; Chaignat, V.; Thür, B. In vivo and in vitro propagation and transmission of Toggenburg orbivirus. Res. Vet. Sci. 2011, 91, 163–168. [Google Scholar] [CrossRef] [PubMed]
- Zhao, X.; Chen, D.; Szabla, R.; Zheng, M.; Li, G.; Du, P.; Zheng, S.; Li, X.; Song, C.; Li, R.; et al. Broad and Differential Animal Angiotensin-Converting Enzyme 2 Receptor Usage by SARS-CoV-2. J. Virol. 2020, 94, 18. [Google Scholar] [CrossRef] [PubMed]
- Gold, S.; Monaghan, P.; Mertens, P.; Jackson, T. A Clathrin Independent Macropinocytosis-Like Entry Mechanism Used by Bluetongue Virus-1 during Infection of BHK Cells. PLoS ONE 2010, 5, e11360. [Google Scholar] [CrossRef] [PubMed] [Green Version]
- Forzan, M.; Marsh, M.; Roy, P. Bluetongue virus entry into cells. J. Virol. 2007, 81, 4819–4827. [Google Scholar] [CrossRef] [Green Version]
- Eaton, B.T.; Crameri, G.S. The Site of Bluetongue Virus Attachment to Glycophorins from a Number of Animal Erythrocytes. J. Gen. Virol. 1989, 70, 3347–3353. [Google Scholar] [CrossRef]
- Pacheco, B.; Basmaciogullari, S.; LaBonte, J.A.; Xiang, S.-H.; Sodroski, J. Adaptation of the Human Immunodeficiency Virus Type 1 Envelope Glycoproteins to New World Monkey Receptors. J. Virol. 2008, 82, 346–357. [Google Scholar] [CrossRef] [PubMed] [Green Version]
- Thompson, A.J.; Paulson, J.C. Adaptation of influenza viruses to human airway receptors. J. Biol. Chem. 2021, 296, 100017. [Google Scholar] [CrossRef] [PubMed]
- Guglielmi, K.M.; Johnson, E.M.; Stehle, T.; Dermody, T.S. Attachment and Cell Entry of Mammalian Orthoreovirus. Curr. Top. Microbiol. Immunol. 2006, 309, 1–38. [Google Scholar] [CrossRef]
- Crawford, S.E.; Ramani, S.; Tate, J.E.; Parashar, U.D.; Svensson, L.; Hagbom, M.; Franco, M.A.; Greenberg, H.B.; O’Ryan, M.; Kang, G.; et al. Rotavirus infection. Nat. Rev. Dis. Primers 2017, 3, 17083. [Google Scholar] [CrossRef] [Green Version]
- Fleming, F.E.; Graham, K.L.; Takada, Y.; Coulson, B.S. Determinants of the specificity of rotavirus interactions with the alpha2beta1 integrin. J. Biol. Chem. 2011, 286, 6165–6174. [Google Scholar] [CrossRef] [PubMed] [Green Version]
- Trask, S.D.; Kim, I.S.; Harrison, S.C.; Dormitzer, P.R. A Rotavirus Spike Protein Conformational Intermediate Binds Lipid Bilayers. J. Virol. 2010, 84, 1764–1770. [Google Scholar] [CrossRef] [Green Version]
- Liu, D.; Geng, H.; Zhang, Z.; Xing, Y.; Yang, D.; Liu, Z.; Wang, D. An Effective Platform for Exploring Rotavirus Receptors by Bacterial Surface Display System. Virol. Sin. 2020, 35, 103–109. [Google Scholar] [CrossRef]
- Torres-Flores, J.M.; Silva-Ayala, D.; Espinoza, M.A.; López, S.; Arias, C.F. The tight junction protein JAM-A functions as coreceptor for rotavirus entry into MA104 cells. Virology 2015, 475, 172–178. [Google Scholar] [CrossRef] [PubMed] [Green Version]
- Guerrero, C.A.; Bouyssounade, D.; Zárate, S.; Isa, P.; Lopez, T.; Espinosa, R.; Romero, P.; Mendez, E.; Lopez, S.; Arias, C.F. Heat Shock Cognate Protein 70 Is Involved in Rotavirus Cell Entry. J. Virol. 2002, 76, 4096–4102. [Google Scholar] [CrossRef] [PubMed] [Green Version]
- Zarate, S.; Cuadras, M.A.; Espinosa, R.; Romero, P.; Juarez, K.O.; Camacho-Nuez, M.; Arias, C.F.; Lopez, S. Interaction of Rotaviruses with Hsc70 during Cell Entry Is Mediated by VP5. J. Virol. 2003, 77, 7254–7260. [Google Scholar] [CrossRef] [PubMed] [Green Version]
- Fleming, F.E.; Bohm, R.; Dang, V.T.; Holloway, G.; Haselhorst, T.; Madge, P.D.; Deveryshetty, J.; Yu, X.; Blanchard, H.; von Itzstein, M.; et al. Relative roles of GM1 ganglioside, N-acylneuraminic acids, and alpha2beta1 integrin in mediating rotavirus infection. J. Virol. 2014, 88, 4558–4571. [Google Scholar] [CrossRef] [PubMed] [Green Version]
- Owens, R.J.; Limn, C.; Roy, P. Role of an Arbovirus Nonstructural Protein in Cellular Pathogenesis and Virus Release. J. Virol. 2004, 78, 6649–6656. [Google Scholar] [CrossRef] [Green Version]
- Fu, H. Mechanisms controlling the infection of Culicoides biting midges with bluetongue virus. Univ. Herts. 1995. [Google Scholar] [CrossRef]
- Kerviel, A.; Ge, P.; Lai, M.; Jih, J.; Boyce, M.; Zhang, X.; Zhou, Z.H.; Roy, P. Atomic structure of the translation regulatory protein NS1 of bluetongue virus. Nat. Microbiol. 2019, 4, 837–845. [Google Scholar] [CrossRef] [PubMed] [Green Version]
- Hyatt, A.D.; Zhao, Y.; Roy, P. Release of Bluetongue Virus-like Particles from Insect Cells is Mediated by BTV Nonstructural Protein NS3/NS3A. Virology 1993, 193, 592–603. [Google Scholar] [CrossRef] [PubMed]
- Labadie, T.; Roy, P. A non-enveloped arbovirus released in lysosome-derived extracellular vesicles induces super-infection exclusion. PLoS Pathog. 2020, 16, e1009015. [Google Scholar] [CrossRef] [PubMed]
- Kundlacz, C.; Pourcelot, M.; Fablet, A.; Moraes, R.A.D.S.; Léger, T.; Morlet, B.; Viarouge, C.; Sailleau, C.; Turpaud, M.; Gorlier, A.; et al. Novel Function of Bluetongue Virus NS3 Protein in Regulation of the MAPK/ERK Signaling Pathway. J. Virol. 2019, 93. [Google Scholar] [CrossRef] [Green Version]









| Virus/Segment | Primer Sequence 5′→3′ | Cloning into pGEX | Linearisation |
|---|---|---|---|
| BTV1-1T7BamF | tctagcGGATCCTAATACGACTCACTATAGTTAAAATGCAATGGTCGCAATC | BamHI | |
| BTV1-1BsmBI-NotR | tacagtaaGCGGCCGCGTCTCAGTAAGTGTAATGCGGCGCGTGC | NotI | BsmBI |
| BTV1-2T7EcoF | tctagcGAATTCTAATACGACTCACTATAGTTAAAATAGTAGCGCGATGGATG | EcoRI | |
| BTV1-2BsmBI-NotR | tacagtaaGCGGCCGCGTCTCAGTAAGTCTAATAGTGCGCGGATC | NotI | BsmBI |
| BTV1-3T7EcoF | tctagcGAATTCTAATACGACTCACTATAGTTAAATTTCCGTAGCCATGGCTG | EcoRI | |
| BTV1-3BsmBI-NotR | tacagtaaGCGGCCGCGTCTCAGTAAGTGTGTTCCCGCTGCCGC | NotI | BsmBI |
| BTV1-4T7EcoF | tctagcGAATTCTAATACGACTCACTATAGTTAAAACATGCCTGAGCCACACG | EcoRI | |
| BTV1-4BsaI-NotR | tacagtaaGCGGCCGCGGTCTCAGTAAGTTGTACATGCCCCCCTC | NotI | BsaI |
| BTV1-5T7EcoF | tctagcGAATTCTAATACGACTCACTATAGTTAAAAAAGTTCTCTAGTTGGC | EcoRI | |
| BTV1-5BsmBI-NotR | tacagtaaGCGGCCGCGTCTCAGTAAGTTGAAAAGTTCTAGTAGAGTG | NotI | BsmBI |
| BTV1-6T7EcoF | tctagcGAATTCTAATACGACTCACTATAGTTAAAAAGTGCGCCCTTAGCGAA | EcoRI | |
| BTV1-6BsaI-NotR | tacagtaaGCGGCCGCGGTCTCAGTAAGTGTAAGTGCTTCCCGTCGC | NotI | BsaI |
| BTV1-7T7EcoF | tctagcGAATTCTAATACGACTCACTATAGTTAAAAATCTATAGAGATGGACA | EcoRI | |
| BTV1-7BsaI-NotR | tacagtaaGCGGCCGCGGTCTCAGTAAGTGTAATCTAAGAGACGTTTG | NotI | BsaI |
| BTV1-8T7BamF | tctagcGGATCCTAATACGACTCACTATAGTTAAAAAATCCTTGAGTCATGGAG | BamHI | |
| BTV1-8BsmBI-NotR | tacagtaaGCGGCCGCGTCTCAGTAAGTGTAAAATCCCCCCCTAACC | NotI | BsmBI |
| BTV1-9T7EcoF | tctagcGAATTCTAATACGACTCACTATAGTTAAAAAATCGCATATGTCAGCTG | EcoRI | |
| BTV1-9BsmBI-NotR | tacagtaaGCGGCCGCGTCTCAGTAAGTGTAAAATCGCCCTACGTCA | NotI | BsmBI |
| BTV1-10T7EcoF | tctagcGGATCCTAATACGACTCACTATAGTTAAAAAGTGTCGCTGCCATGCT | EcoRI | |
| BTV1-10BsmBI-NotR | tacagtaaGCGGCCGCGTCTCAGTAAGTGTGTAGCGCCGCATACCCTC | NotI | BsmBI |
| Virus/Segment | Primer Sequence 5′→3′ |
|---|---|
| BTV26-S1T7FOR | TAATACGACTCACTATAGTTAAAATGCAATGGTCGCGATTAC |
| BTV26-S1REV | GTAAGTGTAATGCAGCGCGTGT |
| BTV26-S2T7FOR | TAATACGACTCACTATAGTTAAAAGAGCGTTCCACCATG |
| BTV26-S2REV | GTAAGTGTAAGAGGCCACCG |
| BTV26-S3T7FOR | TAATACGACTCACTATAGTTAAATTTCCGTGGCTATGGC |
| BTV26-S3REV | GTAAGTGTATTTCCGCTGCTGC |
| BTV26-S4T7FOR | TAATACGACTCACTATAGTTAAAACATGCCTGAGCCAC |
| BTV26-S4REV | GTAAGTTGTAACATGCCCCCC |
| BTV26-S5T7FOR | TAATACGACTCACTATAGTTAAAAAAGTTCTCTAGTCGGC |
| BTV26-S5REV | GTAAGTTGAAAAGTTCTATTAGAGTG |
| BTV26-S6T7FOR | TAATACGACTCACTATAGTTAAAAAGTACCCTCTAACTCG |
| BTV26-S6REV | GTAAGTGTAAGCACCTCCCCC |
| BTV26-S7T7FOR | TAATACGACTCACTATAGTTAAAAATCTATAGAGATGGACACT |
| BTV26-S7REV | GTAAGTGTAATCTAAGAGACGTA |
| BTV26-S8T7FOR | TAATACGACTCACTATAGTTAAAAAATCCTTAGTCATGGAG |
| BTV26-S8REV | GTAAGTGTAAAATCCCCCCCT |
| BTV26-S9T7FOR | TAATACGACTCACTATAGTTAAAAAATCGCTTATGTCGGC |
| BTV26-S9REV | GTAAGTGTAAAACCGCTATATGC |
| BTV26-S10T7FOR | TAATACGACTCACTATAGTTAAAAAGTGTCGCTGCCATG |
| BTV26-S10REV | GTAAGTGTGTAGTGCCGCATA |
| Segment/Protein | Nucleotide Substitutions | Amino Acid Substitutions | Accession Numbers * |
|---|---|---|---|
| Seg-1/VP1(Pol) | G3113A | Synonymous | JX680457 |
| G3401A | Synonymous | ||
| Seg-2/VP2 (OC1) | T782C | Synonymous | JX680458 |
| A924G | N303D (conservative) | ||
| T2395A | L790Q (radical) | ||
| G2657A | Synonymous | ||
| Seg-3/VP3 (T2) | G2693T | G893C (radical) | JX680459 |
| Seg-4/VP4(Cap) | A741G | K245E (conservative) | JX680460 |
| C1091T | Synonymous | ||
| Seg-5/NS1(Tup) | T265C | Synonymous | JX680461/JN848763 |
| G948A | R305Q (conservative) | ||
| Seg-6/VP5(OC2) | A310T | Synonymous | JX680462 |
| A312T | Q95L (radical) | ||
| Seg-7/VP7(T13) | None | JX680463 | |
| Seg-8/NS2(Vib) | C88T | Synonymous | JX680464 |
| Seg-9/VP6(Hel)/NS4 | None | JX680465 | |
| Seg-10/NS3/NS5 | None | JX680466 |
| Reassortant | Inoculated Mice: Ct Range | Non-Inoculated Mice: Ct Range |
|---|---|---|
| RGBTV1:1(26) | 32–37 | Negative |
| RGBTV1:2,6,7(26) | 26–36 | 32–34 (1 positive mouse) |
| RGBTV1:3(26) | 30–36 | Negative |
| RGBTV1:4(26) | 26–32 | Negative |
| RGBTV1:5(26) | 26–30 | 30–32 (2 positive mice) |
| RGBTV1: 6(26) | 22–27 | Negative |
| RGBTV1:7(26) | 29–33 | Negative |
| RGBTV1:8(26) | 23–28 | Negative |
| RGBTV1:9(26) | 26–31 | Negative |
| RGBTV1:10(26) | 27–30 | 26–30 (2 positive mice) |
Publisher’s Note: MDPI stays neutral with regard to jurisdictional claims in published maps and institutional affiliations. |
© 2021 by the authors. Licensee MDPI, Basel, Switzerland. This article is an open access article distributed under the terms and conditions of the Creative Commons Attribution (CC BY) license (https://creativecommons.org/licenses/by/4.0/).
Share and Cite
Attoui, H.; Monsion, B.; Klonjkowski, B.; Zientara, S.; Mertens, P.P.C.; Mohd Jaafar, F. Identification of the Genome Segments of Bluetongue Virus Type 26/Type 1 Reassortants Influencing Horizontal Transmission in a Mouse Model. Viruses 2021, 13, 2208. https://doi.org/10.3390/v13112208
Attoui H, Monsion B, Klonjkowski B, Zientara S, Mertens PPC, Mohd Jaafar F. Identification of the Genome Segments of Bluetongue Virus Type 26/Type 1 Reassortants Influencing Horizontal Transmission in a Mouse Model. Viruses. 2021; 13(11):2208. https://doi.org/10.3390/v13112208
Chicago/Turabian StyleAttoui, Houssam, Baptiste Monsion, Bernard Klonjkowski, Stéphan Zientara, Peter P. C. Mertens, and Fauziah Mohd Jaafar. 2021. "Identification of the Genome Segments of Bluetongue Virus Type 26/Type 1 Reassortants Influencing Horizontal Transmission in a Mouse Model" Viruses 13, no. 11: 2208. https://doi.org/10.3390/v13112208
APA StyleAttoui, H., Monsion, B., Klonjkowski, B., Zientara, S., Mertens, P. P. C., & Mohd Jaafar, F. (2021). Identification of the Genome Segments of Bluetongue Virus Type 26/Type 1 Reassortants Influencing Horizontal Transmission in a Mouse Model. Viruses, 13(11), 2208. https://doi.org/10.3390/v13112208

