Astrovirus-Associated Polioencephalomyelitis in an Alpaca
Abstract
1. Introduction
Case
2. Materials and Methods
2.1. Samples
2.2. Immunohistochemsitry (IHC)
2.3. Real-Time RT-PCR (RT-qPCR)
2.4. Next Generation Sequencing (NGS)
2.5. In-Situ Hybridization (ISH)
2.6. RNA Extraction from Specimen of Conspecifics
3. Results
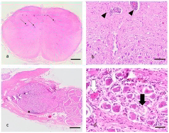
3.1. Gross and Histopathological Findings
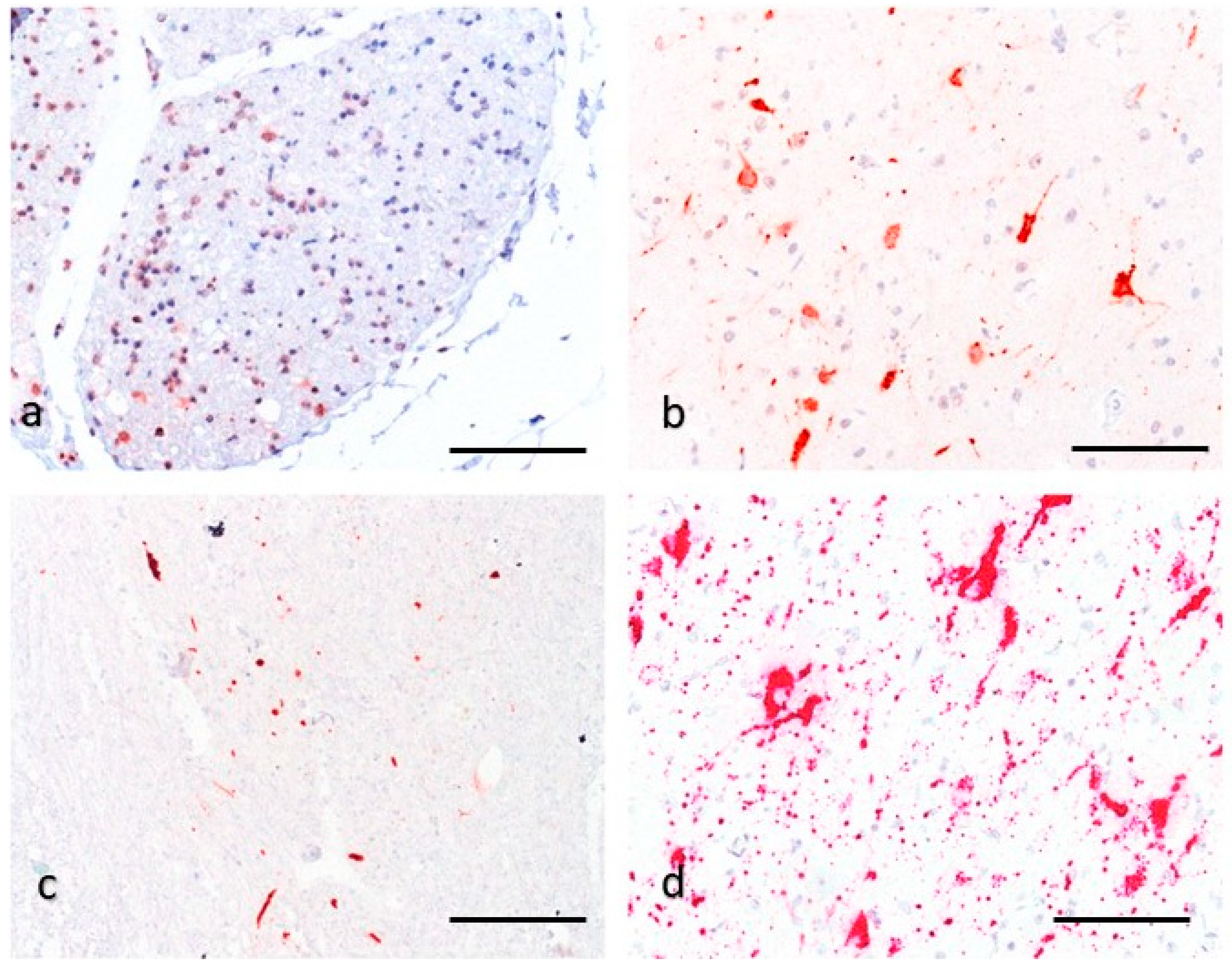
3.2. Results from IHC, ISH, RT-PCR, and NGS
4. Discussion
5. Conclusions
Supplementary Materials
Author Contributions
Funding
Institutional Review Board Statement
Informed Consent Statement
Data Availability Statement
Acknowledgments
Conflicts of Interest
References
- De Benedictis, P.; Schultz-Cherry, S. Astrovirus Infections in Humans and Animals. Infect. Genet. Evol. 2011, 11, 1529–1544. [Google Scholar] [CrossRef]
- Bosch, A.; Pintò, R.M. Human Astroviruses. Clin. Microbiol. Rev. 2014, 27, 1048–1074. [Google Scholar] [CrossRef]
- Chhabra, P.; Payne, D.C. Etiology of Viral Gastroenteritis in Children. J. Infect. Dis. 2013, 208, 790–800. [Google Scholar] [CrossRef]
- Platts-Mills, J.A.; Babji, S. Pathogen-specific burdens of community diarrhoea in developing countries: A multisite birth cohort study. Lancet Glob Health 2015, 9, 564–575. [Google Scholar] [CrossRef]
- Giannitti, F.; Caffarena, R.D. The First Case of Bovine Astrovirus-associated Encephalitis in the Southern Hemisphere (Uruguay), Uncovers Evidence of Viral Introduction to the Americas from Europe. Front. Microbiol. 2019, 10, 1240. [Google Scholar] [CrossRef]
- Reuter, G.; Pankovics, P. Nonsuppurative (Aseptic) Meningoencephalomyelitis Associated with Neurovirulent Astrovirus Infections in Humans and Animals. Clin. Microbiol. Rev. 2018, 31, 1–23. [Google Scholar] [CrossRef]
- Boros, A.; Albert, M. Outbreaks of Neuroinvasive Astrovirus Associated with Encephalomyelitis, Weakness, and Paralysis among Weaned Pigs, Hungary. Emerg. Infec. Dis. 2017, 23, 1999–2010. [Google Scholar] [CrossRef]
- Boujon, C.L.; Koch, M.C. Novel Encephalomyelitis-Associated Astrovirus in a Muskox (Ovibos moschatus): A Surprise from the Archives. Acta Vet. Scand. 2019, 61, 31. [Google Scholar] [CrossRef]
- Quan, P.L.; Wagner, T.A. Astrovirus Encephalitis in Boy with X-linked Agammaglobulinemia. Emerg. Infect. Dis. 2010, 16, 918–925. [Google Scholar] [CrossRef]
- Blomström, A.-L.; Widén, F. Detection of a Novel Astrovirus in Brain Tissue of Mink suffering from Shaking Mink Syndrome by Use of Viral Metagenomics. JCM 2010, 48, 4392–4396. [Google Scholar] [CrossRef]
- Selimovic-Hamza, S.; Boujon, C.L. Frequency and Pathological Phenotype of Bovine Astrovirus CH13/NeuroS1 Infection in Neurologically Diseased Cattle: Towards Assessment of Causality. Viruses 2017, 9, 12. [Google Scholar] [CrossRef] [PubMed]
- Bouzalas, I.; Wüthrich, D. Neutrotropic Astrovirus in Cattle with Nonsuppurative Encephalitis in Europe. JCM 2014, 52, 3318–3324. [Google Scholar] [CrossRef] [PubMed]
- Wüthrich, D.; Boujon, C.L. Exploring the Viriome of Cattle with Non-Suppurative Encephalitis of Unknown Etiology by Metagenomics. Virol. J. 2016, 493, 22–30. [Google Scholar] [CrossRef]
- Bouzalas, I.; Wüthrich, D. Full-Genome based Molecular Characterization of Encephalitis-Associated Bovine Astrovirus. Infect. Genet. Evol. 2016, 44, 162–168. [Google Scholar] [CrossRef]
- Küchler, L.; Koch, M.C. Archive Mining Bringt Light to a 25-Year old Astrovirus Encephalitis Case in a Sheep. Front. Vet. Sci. 2019, 6. [Google Scholar] [CrossRef]
- Pfaff, F.; Schlottau, K. A Novel Astrovirus Associated with Encephalitis and Ganglioneuritis in Domestic Sheep. Transbound. Emerg. Dis. 2017, 64, 667–682. [Google Scholar] [CrossRef]
- Seuberlich, T.; Wüthrich, D. Identification of a Second Encephalitis-Associated Astrovirus in Cattle. Emerg. Microbes Infect. 2016, 5, 1–3. [Google Scholar] [CrossRef]
- Hirashima, Y.; Okada, D. Whole Genome Analysis of a Novel Neurotropic Bovine Astrovirus Detected in a Japanese Black Steer with Non-Suppurative Encephalomyelitis in Japan. Arch. Virol. 2018, 163, 2805–2810. [Google Scholar] [CrossRef]
- Anonymous. Bovine Astrovirus Associated with Encephalitis in Cattle. Vet. Rec. 2015, 177, 91–95. [Google Scholar] [CrossRef]
- Zaccaria, G.; Lorusso, A. Detection of Astrovirus in a Cow with Neurological Signs by Nanopore Technology, Italy. Viruses 2020, 12, 530. [Google Scholar] [CrossRef]
- Boujon, C.L.; Koch, M.C. Indication of Cross-Species Transmission of Astrovirus Associated with Encephalitis in Sheep and Cattle. Emerg. Infec. Dis. 2017, 23, 1604–1606. [Google Scholar] [CrossRef] [PubMed]
- Boujon, C.L.; Selimovic-Hamza, S. Development and Validation of an Immunohistochemistry Procedure for the Detection of a Neurotropic Bovine Astrovirus. J. Virol. Methods 2017, 239, 26–33. [Google Scholar] [CrossRef] [PubMed]
- Lüthi, R.; Boujon, C.L. Accurate and Precise Real-Time RT-PCR Assays for the Identification of Astrovirus Associated Encephalitis in Cattle. Sci. Rep. 2018, 8, 9215. [Google Scholar] [CrossRef]
- Delnatte, P.; Ojkic, D. Pathology and diagnosis of avian bornavirus infection in wild Canada geese (Branta canadensis), trumpeter swans (Cygnus buccinator) and mute swans (Cygnus olor) in Canada: A retrospective study. Avian Pathol. 2013, 42, 114–128. [Google Scholar] [CrossRef] [PubMed]
- Schlottau, K.; Schulze, C.; Bilk, S.; Hanke, D.; Höper, D.; Beer, M.; Hoffmann, B. Detection of a Novel Bovine Astrovirus in a Cow with Encephalitis. Transbound. Emerg. Dis. 2016, 63, 253–259. [Google Scholar] [CrossRef] [PubMed]
- Truchet, L.; Walland, J. Neuropathological Survey Reveals Underestimation of the Prevalence of Neuroinfectious Diseases in Cattle in Switzerland. Vet. Microbiol. 2017, 208, 137–145. [Google Scholar] [CrossRef] [PubMed]
- Thedford, T.R.; Johnson, L.W. Infectious Diseases of New World Camelids. Vet. Clin. N. Am. Food Anim. Pract. 1989, 5, 145–157. [Google Scholar] [CrossRef]
- Schulze, V.; Grosse, R. Borna Disease Outbreak with High Mortality in an Alpaca Herd in a Previously Unreported Endemic Area in Germany. Transbound. Emerg. Dis. 2020, 67, 2093–2107. [Google Scholar] [CrossRef]
- Whitehead, C.E.; Bedenice, D. Neurologic Disease in Llamas and Alpacas. Vet. Clin. N. Am. Food Anim. Pract. 2009, 25, 385–405. [Google Scholar] [CrossRef]
- Srinivasan, M.; Sedmak, D. Effect of fixatives and tissue processing on the content and integrity of nucleic acids. Am. J. Pathol. 2020, 161, 1961–1971. [Google Scholar] [CrossRef]
- Janowski, A.B.; Klein, R.S. Differential In Vitro Infection of Neural Cells by Astroviruses. MBio 2019, 10, e01445-19. [Google Scholar] [CrossRef] [PubMed]
- Kauer, R.; Koch, M.C. Fecal Shedding of Bovine Astrovirus CH13/NeuroS1 in Veal Calves. J. Clin. Microbiol. 2020, 58. [Google Scholar] [CrossRef] [PubMed]
- To, K.K.W.; Chan, W.-M. High Prevalence of Four Novel Astrovirus Genotype Species Identified from Rodents in China. J. Gen. Virol. 2017, 98, 1004–1015. [Google Scholar] [CrossRef] [PubMed]
- Shi, M.; Lin, X.-D. The Evolutionary History of Vertebrate RNA Viruses. Nature 2008, 556, 197–202. [Google Scholar] [CrossRef]
- Shi, M.; Lin, X.-D. Redefining the Invertebrate RNA Virosphere. Nature 2016, 540, 539–543. [Google Scholar] [CrossRef]
- Wu, H.; Pang, R. Abundant and Diverse RNA Viruses in Insects Revealed by RNA-Seq Analysis: Ecological and Evolutionary Implications. Msystems 2020, 5, 1–14. [Google Scholar] [CrossRef]



Publisher’s Note: MDPI stays neutral with regard to jurisdictional claims in published maps and institutional affiliations. |
© 2020 by the authors. Licensee MDPI, Basel, Switzerland. This article is an open access article distributed under the terms and conditions of the Creative Commons Attribution (CC BY) license (http://creativecommons.org/licenses/by/4.0/).
Share and Cite
Küchler, L.; Rüfli, I.; Koch, M.C.; Hierweger, M.M.; Kauer, R.V.; Boujon, C.L.; Hilbe, M.; Oevermann, A.; Zanolari, P.; Seuberlich, T.; et al. Astrovirus-Associated Polioencephalomyelitis in an Alpaca. Viruses 2021, 13, 50. https://doi.org/10.3390/v13010050
Küchler L, Rüfli I, Koch MC, Hierweger MM, Kauer RV, Boujon CL, Hilbe M, Oevermann A, Zanolari P, Seuberlich T, et al. Astrovirus-Associated Polioencephalomyelitis in an Alpaca. Viruses. 2021; 13(1):50. https://doi.org/10.3390/v13010050
Chicago/Turabian StyleKüchler, Leonore, Isabelle Rüfli, Michel C. Koch, Melanie M. Hierweger, Ronja V. Kauer, Céline L. Boujon, Monika Hilbe, Anna Oevermann, Patrik Zanolari, Torsten Seuberlich, and et al. 2021. "Astrovirus-Associated Polioencephalomyelitis in an Alpaca" Viruses 13, no. 1: 50. https://doi.org/10.3390/v13010050
APA StyleKüchler, L., Rüfli, I., Koch, M. C., Hierweger, M. M., Kauer, R. V., Boujon, C. L., Hilbe, M., Oevermann, A., Zanolari, P., Seuberlich, T., & Gurtner, C. (2021). Astrovirus-Associated Polioencephalomyelitis in an Alpaca. Viruses, 13(1), 50. https://doi.org/10.3390/v13010050

