Fatal Outcome of Ilheus Virus in the Cerebrospinal Fluid of a Patient Diagnosed with Encephalitis
Abstract
1. Introduction
2. Materials and Methods
2.1. Ethics Statement
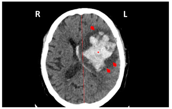
2.2. Medical History and Sample Collection
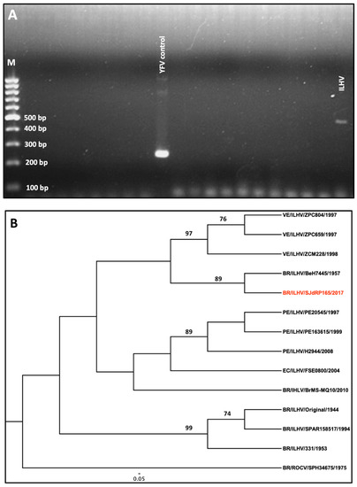
2.3. Diagnostic Analyses
2.4. Phylogenetic Analysis
3. Results
4. Discussion
Author Contributions
Funding
Conflicts of Interest
References
- Laemmert, H.W., Jr.; Hughes, T.P. The virus of Ilhéus encephalitis; isolation, serological specificity and transmission. J. Immunol. 1947, 55, 61–67. [Google Scholar]
- Koprowski, H.; Hughes, T.P. The virus of Ilhéus encephalitis; physical properties, pathogenicity and cultivation. J. Immunol. 1946, 54, 371–385. [Google Scholar] [PubMed]
- Pauvolid-Corrêa, A.; Kenney, J.L.; Couto-Lima, D.; Campos, Z.M.; Schatzmayr, H.G.; Nogueira, R.M.; Brault, A.C.; Komar, N. Ilheus virus isolation in the Pantanal, west-central Brazil. PLoS Negl. Trop. Dis. 2013, 7, e2318. [Google Scholar] [CrossRef] [PubMed]
- De Rodaniche, E. Isolation of the virus of IIheus encephalitis from mosquitoes of the genus Psorophora captured in Honduras. Am. J. Trop. Med. Hyg. 1956, 5, 797–801. [Google Scholar] [CrossRef] [PubMed]
- De Rodaniche, E.; Galindo, P. Isolation of Ilhéus virus from sabethes chloropterus captured in Guatemala in 1956. Am. J. Trop. Med. Hyg. 1957, 6, 686–687. [Google Scholar] [CrossRef] [PubMed]
- De Rodaniche, E.; Galindo, P. Ecological observations on Ilhéus virus in the vicinity of Almirante, Republic of Panama. Am. J. Trop. Med. Hyg. 1963, 12, 924–928. [Google Scholar] [CrossRef]
- Vieira, C.J.D.S.P.; De Andrade, C.D.; Kubiszeski, J.R.; Da Silva, D.J.F.; Barreto, E.S.; Massey, A.L.; Canale, G.R.; Bernardo, C.S.S.; Levi, T.; Peres, C.A.; et al. Detection of Ilheus virus in mosquitoes from southeast Amazon, Brazil. Trans. R. Soc. Trop. Med. Hyg. 2019, 113, 424–427. [Google Scholar] [CrossRef]
- Causey, O.R.; E Causey, C.; Maroja, O.M.; Macedo, D.G. The isolation of arthropod-borne viruses, including members of two hitherto undescribed serological groups, in the Amazon Region of Brazil. Am. J. Trop. Med. Hyg. 1961, 10, 227–249. [Google Scholar] [CrossRef]
- Aitken, T.H.G.; Anderson, C.R.; Downs, W.G. The isolation of Ilhéus virus from wild caught forest mosquitoes in Trinidad 1. Am. J. Trop. Med. Hyg. 1956, 5, 621–625. [Google Scholar] [CrossRef]
- Pereira, L.E.; Suzuki, A.; Coimbra, T.L.M.; Souza, R.P.D.; Chamelet, E.L.B. Ilheus arbovirus in wild birds (Sporophila caerulescens and Molothrus bonariensis). Rev. Saude Publica 2001, 35, 119–123. [Google Scholar] [CrossRef]
- Galindo, P.; De Rodaniche, E. Birds as hosts of Ilhéus encephalitis virus in Panama. Am. J. Trop. Med. Hyg. 1961, 10, 395–396. [Google Scholar] [CrossRef] [PubMed]
- Johnson, B.W.; Cruz, C.; Felices, V.; Espinoza, W.R.; Manock, S.R.; Guevara, C.; Olson, J.G.; Kochel, T.J. Ilheus virus isolate from a human, Ecuador. Emerg. Infect. Dis. 2007, 13, 956–958. [Google Scholar] [CrossRef] [PubMed]
- Panon, G.; Fauran, P.; Digoutte, J.P. Isolation of Ilheus virus in french Guyana. Bull. Soc. Pathol. Exot. Fil. 1979, 72, 315–318. [Google Scholar]
- Prías-Landínez, E.; Bernal-Cubides, C.; Morales-Alarcón, A. Isolation of Ilhéus virus from man in Colombia. Am. J. Trop. Med. Hyg. 1968, 17, 112–114. [Google Scholar] [CrossRef]
- Spence, L.; Anderson, C.; Downs, W. Isolation of Ilhéus virus from human beings in Trinidad, West Indies. Trans. R. Soc. Trop. Med. Hyg. 1962, 56, 504–509. [Google Scholar] [CrossRef]
- Srihongse, S.; Johnson, C.M. The isolation of Ilhéus virus from man in Panamá. Am. J. Trop. Med. Hyg. 1967, 16, 516–518. [Google Scholar] [CrossRef]
- Anderson, C.R.; Downs, W.G.; Theiler, M. Neutralizing antibodies against certain viruses in the sera of residents of Trinidad, B.W.I. Am. J. Trop. Med. Hyg. 1956, 5, 626–641. [Google Scholar] [CrossRef] [PubMed]
- Causey, O.R.; Theiler, M. Virus antibody survey on sera of residents of the Amazon valley in Brazil. Am. J. Trop. Med. Hyg. 1958, 7, 36–41. [Google Scholar] [CrossRef] [PubMed]
- Venegas, E.A.; Aguilar, P.V.; Cruz, C.; Guevara, C.; Kochel, T.J.; Vargas, J.; Halsey, E.S. Ilheus virus infection in human, Bolivia. Emerg. Infect. Dis. 2012, 18, 516–518. [Google Scholar] [CrossRef] [PubMed]
- Degallier, N.; Travassos da Rosa, A.P.A.; Vasconcelos, P.F.C.; Herve, J.P.; Filho, G.C.; Travassos da Rosa, F.S.; Travassos da Rosa, E.S.; Rodrigues, S.G. Modifications of arbovirus transmission in relation to construction of dams in Brazilian Amazonia. Cienc. Cult. 1992, 44, 124–135. [Google Scholar]
- Ferreira, I.B.; Pereira, L.E.; Rocco, I.M.; Marti, A.T.; De Souza, L.T.M.; Iversson, L.B. Surveillance of arbovirus infections in the atlantic forest region, State of São Paulo, Brazil: I detection of hemagglutination-inhibition antibodies in wild birds between 1978 and 1990. Rev. Inst. Med. Trop. São Paulo 1994, 36, 265–274. [Google Scholar] [CrossRef] [PubMed]
- Iversson, L.B.; Silva, R.A.M.; Da Rosa, A.P.T.; Barros, V.L.R. Circulation of eastern equine encephalitis, western equine encephalitis, Ilhéus, Maguari and Tacaiuma viruses in equines of the Brazilian Pantanal, South America. Rev. Inst. Med. Trop. São Paulo 1993, 35, 355–359. [Google Scholar] [CrossRef] [PubMed]
- Mettler, N.E.; Fernández, A.S.; Santo Di, M.I.; Pardo, D.A. Flavivirus: Serological survey in horses from the Tandil area. Rev. Argent. Microbiol. 1985, 17, 47–49. [Google Scholar] [PubMed]
- De Almeida, M.A.B.; Dos Santos, E.; Cardoso, J.D.C.; Noll, C.A.; Lima, M.D.M.; Silva, F.D.A.E.; Ferreira, M.S.; Martins, L.C.; Vasconcelos, P.F.D.C.; Bicca-Marques, J.C. Detection of antibodies against Icoaraci, Ilhéus, and Saint Louis Encephalitis arboviruses during yellow fever monitoring surveillance in non-human primates (Alouatta caraya) in southern Brazil. J. Med. Primatol. 2019, 48, 211–217. [Google Scholar] [CrossRef] [PubMed]
- Catenacci, L.S.; Ferreira, M.; Martins, L.C.; De Vleeschouwer, K.M.; Cassano, C.R.; Oliveira, L.D.C.; Canale, G.; Deem, S.L.; Tello, J.S.; Parker, P.; et al. Surveillance of arboviruses in primates and sloths in the Atlantic Forest, Bahia, Brazil. EcoHealth 2018, 15, 777–791. [Google Scholar] [CrossRef] [PubMed]
- Laroque, P.O.; Valenca-Montenegro, M.M.; Ferreira, D.R.A.; Chiang, J.O.; Cordeiro, M.T.; Vasconcelos, P.F.C.; Silva, J.C.R. Epidemiologic survey for arbovirus in galician capuchin monkeys (Cebus flavius) free living in Paraı’ba and captive capuchin monkey (Cebus libidinosus) from northeast Brazil. Pesqui. Vet. Bras. 2014, 34, 462–468. [Google Scholar] [CrossRef]
- Morales, M.A.; Fabbri, C.M.; Zunino, G.E.; Kowalewski, M.M.; Luppo, V.C.; Enria, D.A.; Levis, S.C.; Calderón, G.E. Detection of the mosquito-borne flaviviruses, West Nile, Dengue, Saint Louis Encephalitis, Ilheus, Bussuquara, and Yellow Fever in free-ranging black howlers (Alouatta caraya) of Northeastern Argentina. PLoS Negl. Trop. Dis. 2017, 11, e0005351. [Google Scholar] [CrossRef]
- Mettler, N.E.; Fernandez, A.S.; Schettino, A.M.; Di Santo, M.I.; Pardo, D.A. Infecciones humanas por flavivirus en Tardil. Rev. Argent. Microbiol. 1983, 96, 105–107. [Google Scholar]
- Tavares-Neto, J.; Travassos da Rosa, A.P.; Vasconcelos, P.F.; Costa, J.M.; Travassos da Rosa, J.F.; Marsden, P.D. Research on antibodies to arbovirus in the serum of residents of the village of Corte de Pedra, Valencia, Bahia. Mem. Inst. Oswaldo Cruz 1986, 81, 351–358. [Google Scholar] [CrossRef]
- Terzian, A.C.B.; Mondini, A.; Bronzoni, R.V.D.M.; Drumond, B.P.; Ferro, B.P.; Cabrera, E.M.S.; Figueiredo, L.T.M.; Neto, F.C.; Nogueira, M.L. Detection of Saint Louis encephalitis virus in dengue-suspected cases during a dengue 3 outbreak. Vector-Borne Zoonotic Dis. 2011, 11, 291–300. [Google Scholar] [CrossRef]
- Mondini, A.; Chiaravalloti Neto, F.; Gallo y Sanches, M.; Lopes, J.C. Spatial analysis of dengue transmission in a medium-sized city in Brazil. Rev. Saude Publica 2005, 39, 444–451. [Google Scholar] [CrossRef] [PubMed]
- Colombo, T.E.; Vedovello, D.; Pacca-Mazaro, C.C.; Mondini, A.; Araújo, J.C.; Cabrera, E.M.S.; Lopes, J.C.; Dos Santos, I.N.P.; Reis, A.F.N.; Costa, F.R.; et al. Dengue virus surveillance: Detection of DENV-4 in the city of São José do Rio Preto, SP, Brazil. Acta Trop. 2016, 164, 84–89. [Google Scholar] [CrossRef] [PubMed]
- Mondini, A.; Bronzoni, R.V.D.M.; Nunes, S.H.P.; Neto, F.C.; Massad, E.; Alonso, W.J.; Lázzaro, E.S.M.; Ferraz, A.A.; Zanotto, P.M.D.A.; Nogueira, M.L. Spatio-temporal tracking and phylodynamics of an urban dengue 3 outbreak in São Paulo, Brazil. PLoS Negl. Trop. Dis. 2009, 3, e448. [Google Scholar] [CrossRef] [PubMed]
- Estofolete, C.F.; Terzian, A.C.B.; Parreira, R.; Esteves, A.; Hardman, L.; Greque, G.V.; Rahal, P.; Nogueira, M.L. Clinical and laboratory profile of Zika virus infection in dengue suspected patients: A case series. J. Clin. Virol. 2016, 81, 25–30. [Google Scholar] [CrossRef] [PubMed]
- Drumond, B.P.; Mondini, A.; Schmidt, D.J.; Bosch, I.; Nogueira, M.L. Population dynamics of DENV-1 genotype V in Brazil is characterized by co-circulation and strain/lineage replacement. Arch. Virol. 2012, 157, 2061–2073. [Google Scholar] [CrossRef] [PubMed]
- Drumond, B.P.; Mondini, A.; Schmidt, D.J.; Bronzoni, R.V.D.M.; Bosch, I.; Nogueira, M.L. Circulation of different lineages of dengue virus 2, genotype American/Asian in Brazil: Dynamics and molecular and phylogenetic characterization. PLoS ONE 2013, 8, e59422. [Google Scholar] [CrossRef]
- Mota, M.T.D.O.; Estofolete, C.F.; Zini, N.; Terzian, A.C.B.; Gongora, D.V.N.; Maia, I.L.; Nogueira, M.L. Transverse myelitis as an unusual complication of dengue fever. Am. J. Trop. Med. Hyg. 2017, 96, 380–381. [Google Scholar] [CrossRef]
- Neto, F.C.; Pereira, M.; Fávaro, E.A.; Dibo, M.R.; Mondini, A.; Rodrigues-Júnior, A.L.; Chierotti, A.P.; Nogueira, M.L. Assessment of the relationship between entomologic indicators of Aedes aegypti and the epidemic occurrence of dengue virus 3 in a susceptible population, São José do Rio Preto, São Paulo, Brazil. Acta Trop. 2015, 142, 167–177. [Google Scholar] [CrossRef]
- Villabona-Arenas, C.J.; Mondini, A.; Bosch, I.; Schimdt, D.J.; Schimitt, D.; Calzavara-Silva, C.E.; Zanotto, P.M.; Nogueira, M.L. Dengue virus type 3 adaptive changes during epidemics in São Jose de Rio Preto, Brazil, 2006–2007. PLoS ONE 2013, 8, e63496. [Google Scholar] [CrossRef]
- Mondini, A.; Cardeal, I.L.S.; Lázaro, E.; Nunes, S.H.; Moreira, C.C.; Rahal, P.; Maia, I.L.; Franco, C.; Góngora, D.V.N.; Góngora-Rúbio, F.; et al. Saint Louis encephalitis virus, Brazil. Emerg. Infect. Dis. 2007, 13, 176–178. [Google Scholar] [CrossRef]
- Mondini, A.; Bronzoni, R.V.D.M.; Cardeal, I.L.S.; Dos Santos, T.M.I.L.; Lázaro, E.; Nunes, S.H.P.; Silva, G.C.D.; Madrid, M.C.F.S.; Rahal, P.; Figueiredo, L.T.; et al. Simultaneous infection by DENV-3 and SLEV in Brazil. J. Clin. Virol. 2007, 40, 84–86. [Google Scholar] [CrossRef] [PubMed]
- Estofolete, C.F.; Terzian, A.C.B.; E Colombo, T.; Guimarães, G.D.F.; Ferraz, H.C.; A Da Silva, R.; Greque, G.V.; Nogueira, M.L. Co-infection between Zika and different Dengue serotypes during DENV outbreak in Brazil. J. Infect. Public Health 2018, 12, 178–181. [Google Scholar] [CrossRef] [PubMed]
- CDC Trioplex Real-Time RT-PCR Assay. Instruction for Use. Available online: https://www.cdc.gov/zika/pdfs/trioplex-real-time-rt-pcr-assay-instructions-for-use.pdf (accessed on 7 February 2018).
- de Morais Bronzoni, R.V.; Baleotti, F.G.; Ribeiro Nogueira, R.M.; Nunes, M.; Moraes Figueiredo, L.T. Duplex reverse transcription-PCR followed by nested PCR assays for detection and identification of Brazilian alphaviruses and flaviviruses. J. Clin. Microbiol. 2005, 43, 696–702. [Google Scholar] [CrossRef] [PubMed]
- Sanger, F.; Nicklen, S.; Coulson, A.R. DNA sequencing with chain-terminating inhibitors. Proc. Natl. Acad. Sci. USA 1977, 74, 5463–5467. [Google Scholar] [CrossRef]
- Felsenstein, J. Confidence limits on phylogenies: An approach using the bootstrap. Evolution 1985, 39, 783–791. [Google Scholar] [CrossRef]
- Kumar, S.; Stecher, G.; Tamura, K. MEGA7: Molecular evolutionary genetics analysis version 7.0 for bigger datasets. Mol. Biol. Evol. 2016, 33, 1870–1874. [Google Scholar] [CrossRef]
- Nassar, E.; Coimbra, T.; Rocco, I.; Pereira, L.; Ferreira, I.; De Souza, L.; De Souza, D.; Ueda-Ito, M.; Moura, J.; Bergo, R.; et al. Human disease caused by an arbovirus closely related to Ilheus virus: Report of five cases. Intervirology 1997, 40, 247–252. [Google Scholar] [CrossRef]
- Figueiredo, L.T.M. The Brazilian flaviviruses. Microbes Infect. 2000, 2, 1643–1649. [Google Scholar] [CrossRef]
- Southam, C.M.; Moore, A.E. West nile, Ilheus, and bunyamwera virus infections in man 1,2,3. Am. J. Trop. Med. Hyg. 1951, 31, 724–741. [Google Scholar] [CrossRef]
- Marinho, P.E.; Alvarenga, P.P.; Crispim, A.P.; Candiani, T.M.; Alvarenga, A.M.; Bechler, I.M.; Alves, P.A.; Dornas, F.P.; De Oliveira, D.B.; Bentes, A.A.; et al. Wild-type yellow fever virus RNA in cerebrospinal fluid of child. Emerg. Infect. Dis. 2019, 25, 1567–1570. [Google Scholar] [CrossRef]
- Araújo, S.D.A.; E Cordeiro, T.M.; Belisário, A.R.; Araújo, R.F.D.A.; Marinho, P.E.S.; Kroon, E.G.; De Oliveira, D.B.; Teixeira, M.M.; E Silva, A.C.S. First report of collapsing variant of focal segmental glomerulosclerosis triggered by arbovirus: Dengue and Zika virus infection. Clin. Kidney J. 2019, 12, 355–361. [Google Scholar] [CrossRef] [PubMed]
- Parra, B.; Lizarazo, J.; Jiménez-Arango, J.A.; Zea-Vera, A.F.; González-Manrique, G.; Vargas, J.; Angarita, J.A.; Zuniga, G.; Lopez-Gonzalez, R.; Beltran, C.L.; et al. Guillain–barré syndrome associated with Zika virus infection in Colombia. N. Engl. J. Med. 2016, 375, 1513–1523. [Google Scholar] [CrossRef] [PubMed]
- Estofolete, C.F.; Mota, M.T.D.O.; Terzian, A.C.B.; Milhim, B.H.G.D.A.; Ribeiro, M.R.; Nunes, D.V.; Mourão, M.P.; Rossi, S.L.; Nogueira, M.L.; Vasilakis, N. Unusual clinical manifestations of dengue disease—Real or imagined? Acta Trop. 2019, 199, 105134. [Google Scholar] [CrossRef] [PubMed]
- Marinho, P.E.S.; Kroon, E.G. Flaviviruses as agents of childhood central nervous system infections in Brazil. New Microbes New Infect. 2019, 31, 100572. [Google Scholar] [CrossRef] [PubMed]
- Anand, K.S.; Agrawal, A.K.; Garg, J.; Dhamija, R.K.; Mahajan, R.K. Spectrum of neurological complications in chikungunya fever: Experience at a tertiary care centre and review of literature. Trop. Dr. 2019, 49, 79–84. [Google Scholar] [CrossRef] [PubMed]
- De Puig, H.; Bosch, I.; Collins, J.J.; Gehrke, L. Point-of-care devices to detect Zika and other emerging viruses. Annu. Rev. Biomed. Eng. 2020, 22, 371–386. [Google Scholar] [CrossRef]
- Bosch, I.; De Puig, H.; Hiley, M.; Carré-Camps, M.; Perdomo-Celis, F.; Narváez, C.; Salgado, D.M.; Senthoor, D.; O’Grady, M.; Phillips, E.; et al. Rapid antigen tests for dengue virus serotypes and Zika virus in patient serum. Sci. Transl. Med. 2017, 9. [Google Scholar] [CrossRef]


| Country, Year | Number of Cases | Clinical Symptoms | Diagnostic Tests Performed | Reference |
|---|---|---|---|---|
| USA, 1950 | 19 |
| Blood and serology testing (HI, CF, mouse neutralization test) | [50] |
| Brazil, 1957–1959 | 2 |
| Blood and serology testing (HI, CF, mouse neutralization test) | [8] |
| Trinidad, 1955–1957 | 3 |
| Blood and serology testing (HI, CF, mouse neutralization test) | [15] |
| Panama, 1964 | 1 |
| Blood and serology testing (HI) | [16] |
| Colombia, 1966 | 1 |
| Blood and serology testing (HI, CF, mouse neutralization test) | [14] |
| French Guiana, 1973 | 1 |
| Blood and serology testing (HI, CF) | [13] |
| Brazil, 1995 | 5 * |
| Blood and serology testing (HI, CF, mouse neutralization test) | [48] |
| Ecuador, 2004 | 1 |
| Blood work | [12] |
| Bolivia, 2005 | 1 |
| Blood, molecular (RT-PCR) and serology (IgM ELISA) testing | [19] |
| Brazil, 2017 | 1 |
| Molecular testing of CSF (qPCR) | Present paper |
© 2020 by the authors. Licensee MDPI, Basel, Switzerland. This article is an open access article distributed under the terms and conditions of the Creative Commons Attribution (CC BY) license (http://creativecommons.org/licenses/by/4.0/).
Share and Cite
Milhim, B.H.G.A.; Estofolete, C.F.; Rocha, L.C.d.; Liso, E.; Brienze, V.M.S.; Vasilakis, N.; Terzian, A.C.B.; Nogueira, M.L. Fatal Outcome of Ilheus Virus in the Cerebrospinal Fluid of a Patient Diagnosed with Encephalitis. Viruses 2020, 12, 957. https://doi.org/10.3390/v12090957
Milhim BHGA, Estofolete CF, Rocha LCd, Liso E, Brienze VMS, Vasilakis N, Terzian ACB, Nogueira ML. Fatal Outcome of Ilheus Virus in the Cerebrospinal Fluid of a Patient Diagnosed with Encephalitis. Viruses. 2020; 12(9):957. https://doi.org/10.3390/v12090957
Chicago/Turabian StyleMilhim, Bruno H. G. A., Cássia F. Estofolete, Leonardo C. da Rocha, Elisabete Liso, Vânia M. S. Brienze, Nikos Vasilakis, Ana C. B. Terzian, and Maurício L. Nogueira. 2020. "Fatal Outcome of Ilheus Virus in the Cerebrospinal Fluid of a Patient Diagnosed with Encephalitis" Viruses 12, no. 9: 957. https://doi.org/10.3390/v12090957
APA StyleMilhim, B. H. G. A., Estofolete, C. F., Rocha, L. C. d., Liso, E., Brienze, V. M. S., Vasilakis, N., Terzian, A. C. B., & Nogueira, M. L. (2020). Fatal Outcome of Ilheus Virus in the Cerebrospinal Fluid of a Patient Diagnosed with Encephalitis. Viruses, 12(9), 957. https://doi.org/10.3390/v12090957

