Genetic Variation and Biological Activity of Two Closely Related Alphabaculoviruses during Serial Passage in Permissive and Semi-Permissive Heterologous Hosts
Abstract
1. Introduction
2. Materials and Methods
2.1. Insects and Viruses
2.2. Host Range Screening of MbMNPV and HearMNPV
2.3. Serial Passage in S. littoralis and S. exigua
2.4. Genetic Variation in Viruses during Serial Passage
2.5. Insecticidal Properties of Viruses Following Serial Passage
3. Results
3.1. Host Range Screening
3.2. Virus-Induced Mortality Observed during Serial Passage
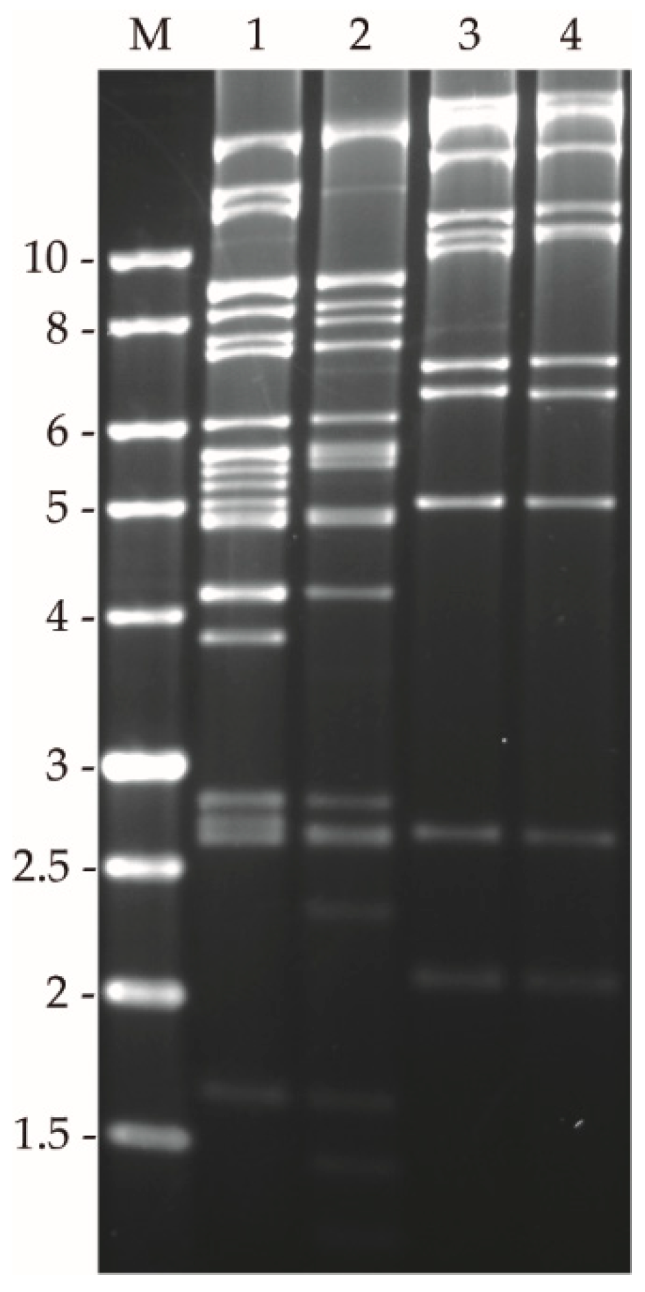
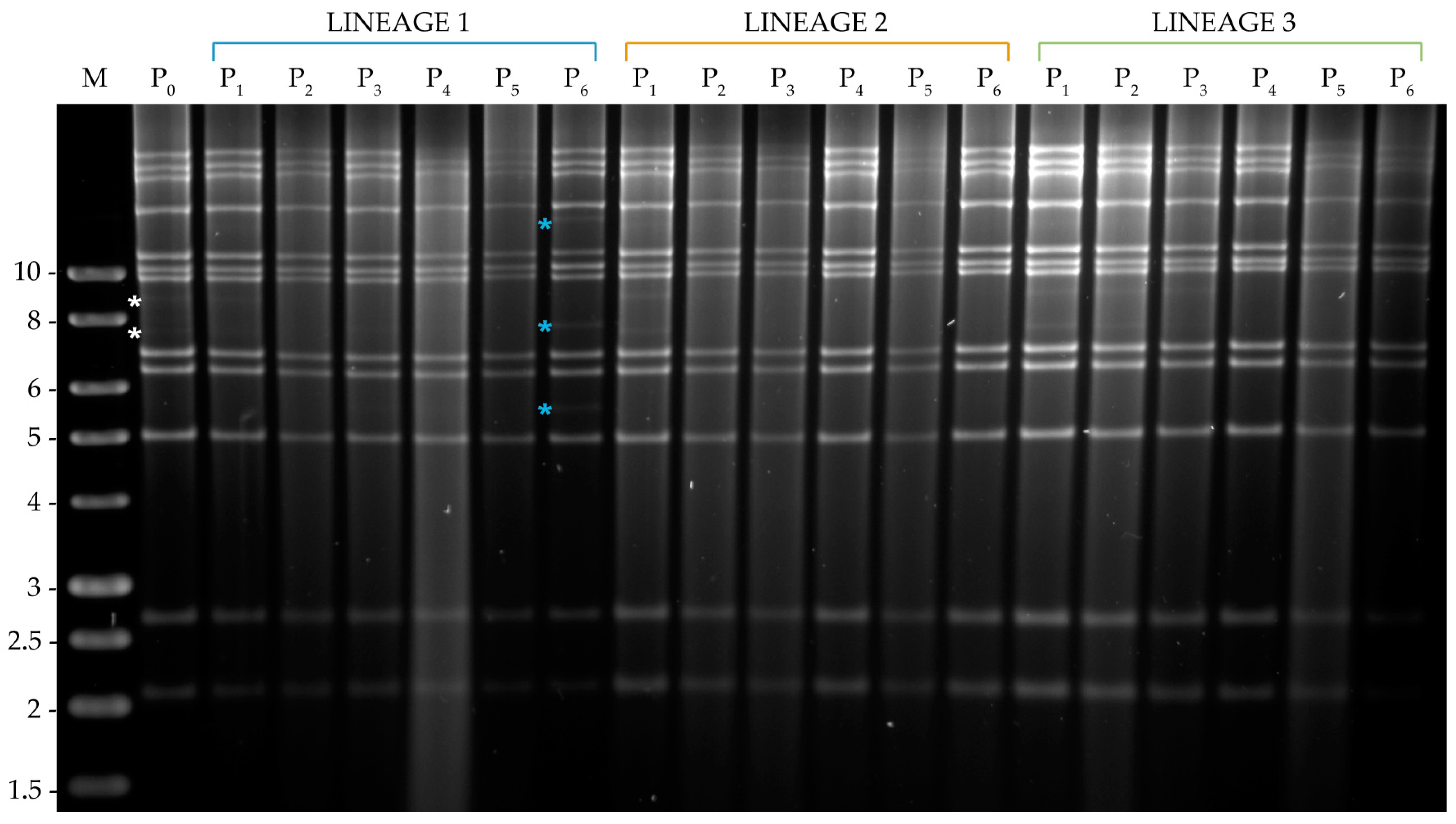
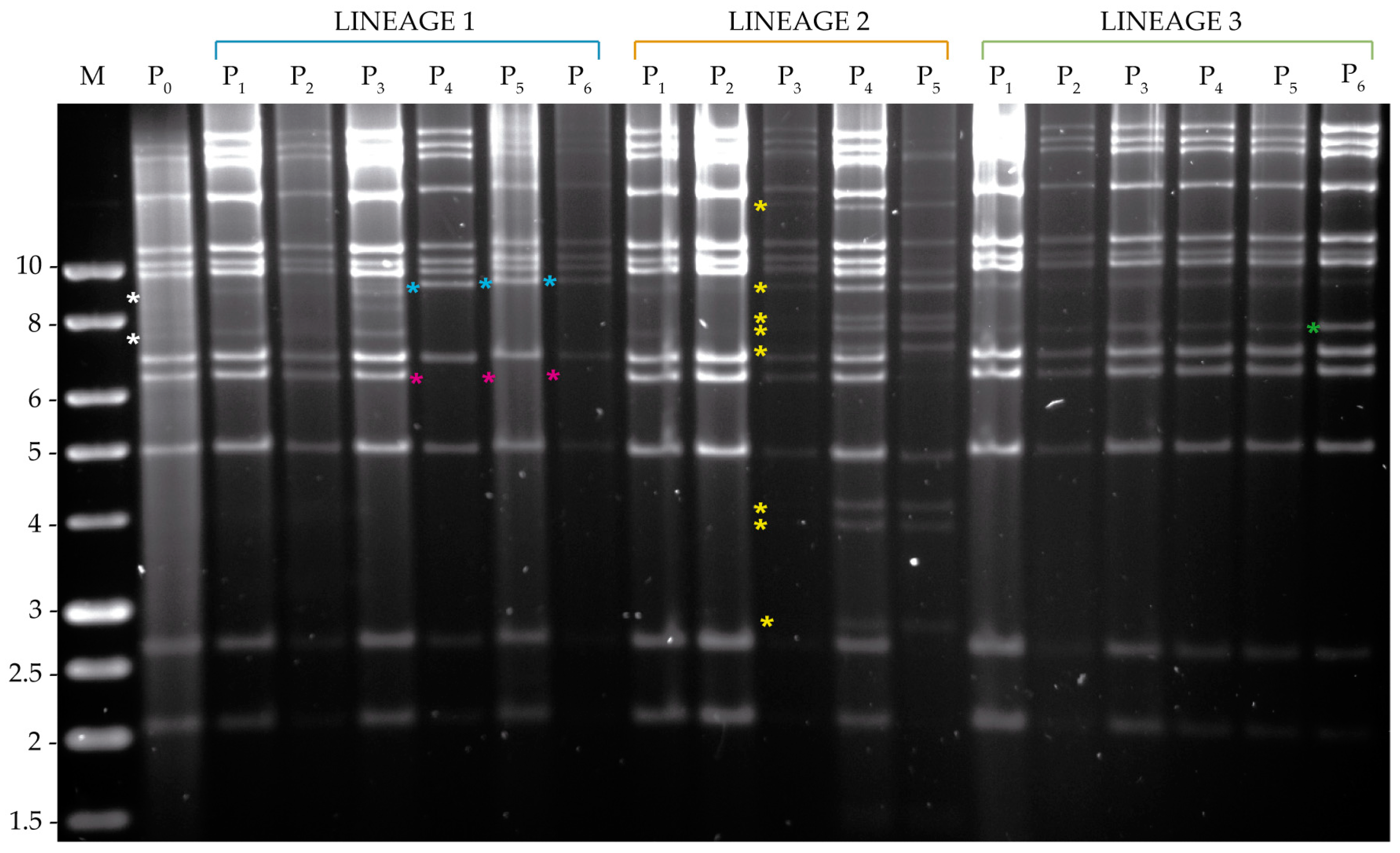
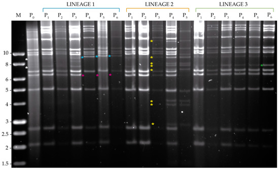
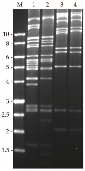
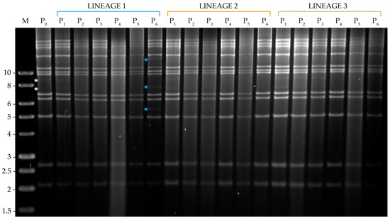
3.3. Genetic Analysis of OBs Produced during Serial Passage
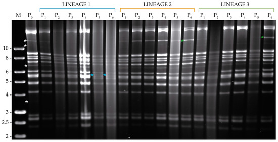
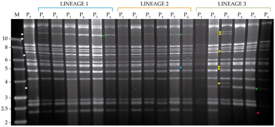
3.3.1. Analysis of Viral DNA Produced in S. littoralis
3.3.2. Analysis of Viral DNA Produced in S. exigua
3.4. Insecticidal Properties of OBs after Passage in Semi-Permissive and Permissive Hosts
3.4.1. Pathogenicity and Speed-of-Kill of OBs Following Passage in S. littoralis
3.4.2. Pathogenicity and Speed-of-Kill of OBs Following Passage in S. exigua
4. Discussion
Author Contributions
Funding
Acknowledgments
Conflicts of Interest
References
- Popham, H.J.R.; Nusawardani, T.; Bonning, B.C. Introduction to the use of baculoviruses as biological insecticides. In Baculovirus and Insect Cell Expression Protocols; Murhammer, D.W., Ed.; Springer: New York, NY, USA, 2016; pp. 383–392. ISBN 978-1-4939-3043-2. [Google Scholar]
- Grzywacz, D. Basic and applied research: Baculovirus. In Microbial Control of Insect and Mite Pests: From Theory to Practice; Lacey, L.A., Ed.; Academic Press: Cambrige, MA, USA, 2017; pp. 27–46. [Google Scholar]
- Goulson, D. Can host susceptibility to baculovirus infection be predicted from host taxonomy or life history? Environ. Entomol. 2003, 32, 61–70. [Google Scholar] [CrossRef]
- Jehle, J.A.; Lange, M.; Wang, H.; Hu, Z.; Wang, Y.; Hauschild, R. Molecular identification and phylogenetic analysis of baculoviruses from Lepidoptera. Virology 2006, 346, 180–193. [Google Scholar] [CrossRef] [PubMed]
- Wennmann, J.T.; Keilwagen, J.; Jehle, J.A. Baculovirus Kimura two-parameter species demarcation criterion is confirmed by the distances of 38 core gene nucleotide sequences. J. Gen. Virol. 2018, 99, 1307–1320. [Google Scholar] [CrossRef] [PubMed]
- Mukawa, S.; Goto, C. In vivo characterization of a group II nucleopolyhedrovirus isolated from Mamestra brassicae (Lepidoptera: Noctuidae) in Japan. J. Gen. Virol. 2006, 87, 1491–1500. [Google Scholar] [CrossRef] [PubMed]
- Rowley, D.L.; Popham, H.J.R.; Harrison, R.L. Genetic variation and virulence of nucleopolyhedroviruses isolated worldwide from the heliothine pests Helicoverpa armigera, Helicoverpa zea, and Heliothis virescens. J. Invertebr. Pathol. 2011, 107, 112–126. [Google Scholar] [CrossRef] [PubMed]
- Choi, J.B.; Heo, W.I.; Shin, T.Y.; Bae, S.M.; Kim, W.J.; Kim, J.I.; Kwon, M.; Choi, J.Y.; Je, Y.H.; Jin, B.R.; et al. Complete genomic sequences and comparative analysis of Mamestra brassicae nucleopolyhedrovirus isolated in Korea. Virus Genes 2013, 47, 133–151. [Google Scholar] [CrossRef] [PubMed]
- Thézé, J.; Lopez-Vaamonde, C.; Cory, J.S.; Herniou, E.A. Biodiversity, evolution and ecological specialization of baculoviruses: A treasure trove for future applied research. Viruses 2018, 10, 366. [Google Scholar] [CrossRef] [PubMed]
- International Committee on Taxonomy of Viruses. Available online: https://talk.ictvonline.org/ (accessed on 17 July 2019).
- Allaway, G.P.; Payne, C.C. Host range and virulence of five baculoviruses from lepidopterous hosts. Ann. Appl. Biol. 1984, 105, 29–37. [Google Scholar] [CrossRef]
- Gröner, A. Specificity and safety of baculoviruses. In The Biology of Baculoviruses; Granados, R.R., Federici, B.A., Eds.; CRC Press: Boca Raton, FL, USA, 1986; Volume 1, pp. 177–202. [Google Scholar]
- Doyle, C.J.; Hirst, M.L.; Cory, J.S.; Entwistle, P.F. Risk assessment studies: Detailed host range testing of wild-type cabbage moth, Mamestra brassicae (Lepidoptera: Noctuidae), nuclear polyhedrosis virus. Appl. Environ. Microbiol. 1990, 56, 2704–2710. [Google Scholar] [PubMed]
- Rovesti, L.; Crook, N.E.; Winstanley, D. Biological and biochemical relationships between the nucleopolyhedroviruses of Mamestra brassicae and Heliothis armigera. J. Invertebr. Pathol. 2000, 75, 2–8. [Google Scholar] [CrossRef] [PubMed]
- Zhou, Y.; Liu, L.; Zhang, Z. Potential use of a group II alphabaculovirus isolated from Mamestra brassicae as a broad-spectrum biological pesticide. Biocontrol Sci. Technol. 2018, 3157, 1–16. [Google Scholar] [CrossRef]
- Cory, J.S.; Myers, J.H. The ecology and evolution of insect baculoviruses. Annu. Rev. Ecol. Evol. Syst. 2003, 34, 239–272. [Google Scholar] [CrossRef]
- Simón, O.; Williams, T.; López-Ferber, M.; Caballero, P. Virus entry or the primary infection cycle are not the principal determinants of host specificity of Spodoptera spp. nucleopolyhedroviruses. J. Gen. Virol. 2004, 85, 2845–2855. [Google Scholar] [CrossRef] [PubMed]
- Hitchman, R.B.; Hodgson, D.J.; King, L.A.; Hails, R.S.; Cory, J.S.; Possee, R.D. Host mediated selection of pathogen genotypes as a mechanism for the maintenance of baculovirus diversity in the field. J. Invertebr. Pathol. 2007, 94, 153–162. [Google Scholar] [CrossRef] [PubMed]
- Pavan, O.H.O.; Ribeiro, H.C.T. Selection of a baculovirus strain with a bivalent insecticidal activity. Mem. Inst. Oswaldo Cruz 1989, 84, 63–65. [Google Scholar] [CrossRef]
- Kolodny-Hirsch, D.M.; Van Beek, N.A.M. Selection of a morphological variant of Autographa californica nuclear polyhedrosis virus with increased virulence following serial passage in Plutella xylostella. J. Invertebr. Pathol. 1997, 69, 205–211. [Google Scholar] [CrossRef]
- Graillot, B.; Blachère-López, C.; Besse, S.; Siegwart, M.; López-Ferber, M. Host range extension of Cydia pomonella granulovirus: Adaptation to oriental fruit moth, Grapholita molesta. BioControl 2016, 62, 19–27. [Google Scholar] [CrossRef]
- Zwart, M.P.; Pijlman, G.P.; Sardanyés, J.; Duarte, J.; Januário, C.; Elena, S.F. Complex dynamics of defective interfering baculoviruses during serial passage in insect cells. J. Biol. Phys. 2013, 39, 327–342. [Google Scholar] [CrossRef]
- Hou, D.; Chen, X.; Zhang, L.K. Proteomic analysis of Mamestra brassicae nucleopolyhedrovirus progeny virions from two different hosts. PLoS ONE 2016, 11, 1–13. [Google Scholar] [CrossRef]
- Greene, G.L.; Leppla, N.C.; Dickerson, W.A. Velvetbean caterpillar: A rearing procedure and artificial medium. J. Econ. Entomol. 1976, 69, 487–488. [Google Scholar] [CrossRef]
- Williams, C.F.; Payne, C.C. The susceptibility of Heliothis armigera larvae to three nuclear polyhedrosis viruses. Ann. Appl. Biol. 1984, 104, 405–412. [Google Scholar] [CrossRef]
- Hughes, P.R.; Wood, H.A. In vivo and in vitro bioassay methods for baculoviruses. In The Biology of Baculoviruses; Granados, R.R., Federici, B.A., Eds.; CRC Press: Boca Raton, FL, USA, 1987; Volume II, pp. 1–30. [Google Scholar]
- Zwart, M.P.; Erro, E.; van Oers, M.M.; de Visser, J.A.G.M.; Vlak, J.M. Low multiplicity of infection in vivo results in purifying selection against baculovirus deletion mutants. J. Gen. Virol. 2008, 89, 1220–1224. [Google Scholar] [CrossRef]
- Virto, C.; Navarro, D.; Tellez, M.M.; Herrero, S.; Williams, T.; Murillo, R.; Caballero, P. Natural populations of Spodoptera exigua are infected by multiple viruses that are transmitted to their offspring. J. Invertebr. Pathol. 2014, 122, 22–27. [Google Scholar] [CrossRef]
- Beperet, I.; Simón, O.; Williams, T.; López-Ferber, M.; Caballero, P. The “11K” gene family members sf68, sf95 and sf138 modulate transmissibility and insecticidal properties of Spodoptera frugiperda multiple nucleopolyhedrovirus. J. Invertebr. Pathol. 2015, 127, 101–109. [Google Scholar] [CrossRef]
- Polo Plus; Version 1.0; LeOra Software: Parma, MO, USA, 2003.
- IBM SPSS Statistics. IBM SPSS Statistics for Windows, Version 25.0; IBM Corp: Armonk, NY, USA, 2017. [Google Scholar]
- Murillo; Muñoz; Lipa; Caballero. Biochemical characterization of three nucleopolyhedrovirus isolates of Spodoptera exigua and Mamestra brassicae. J. Appl. Entomol. 2001, 125, 267–270. [Google Scholar] [CrossRef]
- McKinley, D.J.; Brown, D.A.; Payne, C.C.; Harrap, K.A. Cross-infectivity and activation studies with four baculoviruses. Entomophaga 1981, 26, 79–90. [Google Scholar] [CrossRef]
- Hamm, J.J. Relative susceptibility of several noctuid species to a nuclear polyhedrosis virus from Heliothis armigera. J. Invertebr. Pathol. 1982, 39, 255–256. [Google Scholar] [CrossRef]
- Passarelli, A.L. Barriers to success: How baculoviruses establish efficient systemic infections. Virology 2011, 411, 383–392. [Google Scholar] [CrossRef]
- White, S.M.; Burden, J.P.; Maini, P.K.; Hails, R.S. Modelling the within-host growth of viral infections in insects. J. Theor. Biol. 2012, 312, 34–43. [Google Scholar] [CrossRef]
- Kitchin, D.J. The effects of in vivo passaging, solar radiation exposure and inoculum dose on the genetic diversity of Helicoverpa armigera nucleopolyhedrovirus. Ph.D. Thesis, University of the Witwatersrand, Johannesburg, South Africa, 2017. [Google Scholar]
- Baillie, V.L.; Bouwer, G. The effect of inoculum dose on the genetic diversity detected within Helicoverpa armigera nucleopolyhedrovirus populations. J. Gen. Virol. 2013, 94, 2524–2529. [Google Scholar] [CrossRef]
- Bull, J.C.; Godfray, H.C.J.; O’Reilly, D.R. Persistence of an occlusion-negative recombinant nucleopolyhedrovirus in Trichoplusia ni indicates high multiplicity of cellular infection. Appl. Environ. Microbiol. 2001, 67, 5204–5209. [Google Scholar] [CrossRef]
- Clavijo, G.; Williams, T.; Muñoz, D.; Caballero, P.; Lopez-Ferber, M. Mixed genotype transmission bodies and virions contribute to the maintenance of diversity in an insect virus. Proc. R. Soc. B Biol. Sci. 2010, 277, 943–951. [Google Scholar] [CrossRef]
- Kitchin, D.; Bouwer, G. Significant differences in the intra-host genetic diversity of Helicoverpa armigera nucleopolyhedrovirus dnapol after serial in vivo passages in the same insect population. Arch. Virol. 2018, 163, 713–718. [Google Scholar] [CrossRef]
- Zwart, M.P.; Hemerik, L.; Cory, J.S.; de Visser, J.A.G.M.; Bianchi, F.J.J.A.; Van Oers, M.M.; Vlak, J.M.; Hoekstra, R.F.; Van der Werf, W. An experimental test of the independent action hypothesis in virus–insect pathosystems. Proc. R. Soc. B Biol. Sci. 2009, 276, 2233–2242. [Google Scholar] [CrossRef]
- Clavijo, G.; Williams, T.; Muñoz, D.; López-Ferber, M.; Caballero, P. Entry into midgut epithelial cells is a key step in the selection of genotypes in a nucleopolyhedrovirus. Virol. Sin. 2009, 24, 350–358. [Google Scholar] [CrossRef]
- Zwart, M.P.; Elena, S.F. Matters of Size: Genetic bottlenecks in virus infection and their potential impact on evolution. Annu. Rev. Virol. 2015, 2, 161–179. [Google Scholar] [CrossRef]
- Van der Werf, W.; Hemerik, L.; Vlak, J.M.; Zwart, M.P. Heterogeneous host susceptibility enhances prevalence of mixed-genotype micro-parasite infections. PLoS Comput. Biol. 2011, 7, e1002097. [Google Scholar] [CrossRef]
- Sanjuán, R. Collective infectious units in viruses. Trends Microbiol. 2017, 25, 402–412. [Google Scholar] [CrossRef]
- Simón, O.; Williams, T.; López-Ferber, M.; Caballero, P. Genetic structure of a Spodoptera frugiperda nucleopolyhedrovirus population: High prevalence of deletion genotypes. Appl. Environ. Microbiol. 2004, 70, 5579–5588. [Google Scholar] [CrossRef]
- Arrizubieta, M.; Williams, T.; Caballero, P.; Simón, O. Selection of a nucleopolyhedrovirus isolate from Helicoverpa armigera as the basis for a biological insecticide. Pest. Manag. Sci. 2014, 70, 967–976. [Google Scholar] [CrossRef]
- Aguirre, E.; Beperet, I.; Williams, T.; Caballero, P. Genetic variability of Chrysodeixis includens nucleopolyhedrovirus (ChinNPV) and the insecticidal characteristics of selected genotypic variants. Viruses 2019, 11, 581. [Google Scholar] [CrossRef]
- Williams, T. Viruses. In Ecology of Invertebrate Diseases; Hajek, A.E., Shapiro-Ilan, D.I., Eds.; Wiley: Chichester, UK, 2018; pp. 213–285. ISBN 9781119256106. [Google Scholar]
- López-Ferber, M.; Simón, O.; Williams, T.; Caballero, P. Defective or effective? Mutualistic interactions between virus genotypes. Proc. R. Soc. B Biol. Sci. 2003, 270, 2249–2255. [Google Scholar] [CrossRef]
- Barrera, G.; Williams, T.; Villamizar, L.; Caballero, P.; Simón, O. Deletion genotypes reduce occlusion body potency but increase occlusion body production in a Colombian Spodoptera frugiperda nucleopolyhedrovirus population. PLoS ONE 2013, 8, e77271. [Google Scholar] [CrossRef]
- Thézé, J.; Cabodevilla, O.; Palma, L.; Williams, T.; Caballero, P.; Herniou, E. Genomic diversity in European Spodoptera exigua multiple nucleopolyhedrovirus isolates. J. Gen. Virol. 2014, 95, 2297–2309. [Google Scholar] [CrossRef]
- Bernal, A.; Simón, O.; Williams, T.; Muñoz, D.; Caballero, P. A Chrysodeixis chalcites single-nucleocapsid nucleopolyhedrovirus population from the Canary Islands is genotypically structured to maximize survival. Appl. Environ. Microbiol. 2013, 79, 7709–7718. [Google Scholar] [CrossRef]
- Ikeda, M.; Hamajima, R.; Kobayashi, M. Baculoviruses: Diversity, evolution and manipulation of insects. Entomol. Sci. 2015, 18, 1–20. [Google Scholar] [CrossRef]
- Erlandson, M.A. Genetic variation in field populations of baculoviruses: Mechanisms for generating variation and its potential role in baculovirus epizootiology. Virol. Sin. 2009, 24, 458–469. [Google Scholar] [CrossRef]
- Pavan, O.H.; Boucias, D.G.; Pendland, J.C. The effects of serial passage of a nucleopolyhedrosis virus through an alternate host system. Entomophaga 1981, 26, 99–108. [Google Scholar] [CrossRef]
- Hughes, D.S.; Possee, R.D.; King, L.A. Activation and detection of a latent baculovirus resembling Mamestra brassicae nuclear polyhedrosis virus in M. brassicae insects. Virology 1993, 194, 608–615. [Google Scholar] [CrossRef]
- Burden, J.P.; Nixon, C.P.; Hodgkinson, A.E.; Possee, R.D.; Sait, S.M.; King, L.A.; Hails, R.S. Covert infections as a mechanism for long-term persistence of baculoviruses. Ecol. Lett. 2003, 6, 524–531. [Google Scholar] [CrossRef]
- Virto, C.; Navarro, D.; Tellez, M.M.; Murillo, R.; Williams, T.; Caballero, P. Chemical and biological stress factors on the activation of nucleopolyhedrovirus infections in covertly infected Spodoptera exigua. J. Appl. Entomol. 2017, 141, 384–392. [Google Scholar] [CrossRef]
- Murillo, R.; Hussey, M.S.; Possee, R.D. Evidence for covert baculovirus infections in a Spodoptera exigua laboratory culture. J. Gen. Virol. 2011, 92, 1061–1070. [Google Scholar] [CrossRef]
- Shapiro, M.; Martignoni, M.E.; Cunningham, J.C.; Goodwin, R.H. Potential use of the saltmarsh caterpillar as a production host for nucleopolyhedrosis viruses. J. Econ. Entomol. 1982, 75, 69–71. [Google Scholar] [CrossRef]
- Maleki-Milani, H. Influence de passages répétés du virus de la polyèdrose nucléaire de Autographa californica chez Spodoptera littoralis (Lep.: Noctuidae). Entomophaga 1978, 23, 217–224. [Google Scholar] [CrossRef]
- Tompkins, G.J.; Dougherty, E.M.; Adams, J.R.; Diggs, D. Changes in the virulence of nuclear polyhedrosis viruses when propagated in alternate noctuid (Lepidoptera: Noctuidae) cell lines and hosts. J. Econ. Entomol. 1988, 81, 1027–1032. [Google Scholar] [CrossRef]
- Croizier, G.; Croizier, L.; Biache, G.; Chaufaux, J. Évolution de la composition génétique et du pouvoir infectieux du baculovirus de Mamestra brassicae l. au cours de 25 multiplications successives sur les larves de la noctuelle du chou. Entomophaga 1985, 30, 365–374. [Google Scholar] [CrossRef]
- McIntosh, A.H.; Ignoffo, C.M. Restriction endonuclease cleavage patterns of commercial and serially passaged isolates of Heliothis baculovirus. Intervirology 1986, 25, 172–176. [Google Scholar] [CrossRef]
- Stairs, G.R. Effects of Galleria mellonella nuclear polyhedrosis virus passaged once in Manduca sexta on growth and survival of young M. sexta larvae. J. Invertebr. Pathol. 1990, 56, 139–141. [Google Scholar] [CrossRef]
- Woolhouse, M.E.; Webster, J.P.; Domingo, E.; Charlesworth, B.; Levin, B.R. Biological and biomedical implications of the co-evolution of pathogens and their hosts. Nat. Genet. 2002, 32, 569–577. [Google Scholar] [CrossRef]









| Primers | Sequences | Amplification |
|---|---|---|
| Mb.F | 5′- GGTATTAACGCCGCAACAAC-3′ | MbMNPV, bro-a1 (forward) |
| Mb.R | 5′- TGGTTCTCCATGTTCGTCAA-3′ | MbMNPV, bro-a1 (reverse) |
| Se.F | 5′- TCGTGCCGAAAGTGCCAGTA-3′ | SeMNPV, se28 (forward) |
| Se.R | 5′- TTTGGCCAAAGTCGCGTTCG-3′ | SeMNPV, se28 (reverse) |
| Host Species | MbMNPV | HearMNPV |
|---|---|---|
| H. armigera | permissive | permissive |
| L. botrana | non-permissive | non-permissive |
| M. brassicae | permissive | permissive |
| O. nubilalis | non-permissive | non-permissive |
| S. exigua | permissive | permissive |
| S. littoralis | semi-permissive | semi-permissive |
| Virus | LC50 (OBs/mL) | Relative Potency | 95% Confidence Limits | LC90 (OBs/mL) | Relative Potency | 95% Confidence Limits | ||
|---|---|---|---|---|---|---|---|---|
| Low | High | Low | High | |||||
| MbMNPV passage 3 | ||||||||
| MbMNPV-P0 | 2.6 × 107a | 1 | 5.4 × 108a | 1 | ||||
| Lineage 1 | 1.1 × 108b | 0.23 | 0.14 | 0.40 | 3.1 × 109b | 0.18 | 0.06 | 0.49 |
| Lineage 2 | 7.6 × 107b | 0.34 | 0.19 | 0.58 | 4.1 × 109b | 0.13 | 0.04 | 0.42 |
| Lineage 3 | 1.1 × 108b | 0.23 | 0.13 | 0.42 | 6.6 × 109b | 0.08 | 0.02 | 0.28 |
| HearMNPV passage 3 | ||||||||
| HearMNPV-P0 | 6.2 × 107a | 1 | 1.7 × 109a | 1 | ||||
| Lineage 1 | 8.8 × 107a | 0.70 | 0.37 | 1.34 | 3.4 × 109a | 0.51 | 0.15 | 1.71 |
| Lineage 2 | 7.8 × 107a | 0.80 | 0.43 | 1.46 | 1.8 × 109a | 0.99 | 0.33 | 2.93 |
| Lineage 3 | 6.9 × 107a | 0.90 | 0.47 | 1.71 | 2.6 × 109a | 0.68 | 0.21 | 2.25 |
| MbMNPV passage 6 | ||||||||
| MbMNPV-P0 | 4.1 × 106a | 1 | 1.3 × 108a | 1 | ||||
| Lineage 1 | 1.2 × 107b | 0.34 | 0.19 | 0.60 | 3.8 × 108b | 0.35 | 0.15 | 0.80 |
| Lineage 2 | 1.1 × 107b | 0.37 | 0.20 | 0.68 | 6.2 × 108b | 0.22 | 0.09 | 0.54 |
| Lineage 3 | 6.6 × 106a,b | 0.62 | 0.34 | 1.16 | 3.6 × 108b | 0.37 | 0.15 | 0.90 |
| HearMNPV passage 6 | ||||||||
| HearMNPV-P0 | 1.9 × 107a | 1 | 1.7 × 109a | 1 | ||||
| Lineage 1 | 2.4 × 107a | 0.78 | 0.42 | 1.47 | 2.1 × 109a | 0.82 | 0.25 | 2.69 |
| Lineage 2 | 2.2 × 107a | 0.87 | 0.47 | 1.60 | 1.5 × 109a | 1.21 | 0.39 | 3.78 |
| Lineage 3 | 1.4 × 107a | 1.41 | 0.72 | 2.77 | 1.9 × 109a | 0.93 | 0.27 | 3.24 |
| Virus | LC50 (OBs/mL) | Relative Potency | 95% Confidence Limits | LC90 (OBs/mL) | Relative Potency | 95% Confidence Limits | ||
|---|---|---|---|---|---|---|---|---|
| Low | High | Low | High | |||||
| MbMNPV passage 3 | ||||||||
| MbMNPV-P0 | 1.1 × 105a | 1 | 1.6 × 106a | 1 | ||||
| Lineage 1 | 8.4 × 104a,b,c | 1.31 | 0.84 | 2.06 | 9.4 × 105a,b | 1.71 | 0.80 | 3.66 |
| Lineage 2 | 5.9 × 104b | 1.86 | 1.20 | 2.88 | 5.4 × 105b | 2.98 | 1.45 | 6.15 |
| Lineage 3 | 1.8 × 105c | 0.62 | 0.40 | 0.98 | 2.1 × 106a,b | 0.77 | 0.34 | 1.73 |
| HearMNPV passage 3 | ||||||||
| HearMNPV-P0 | 6.2 × 104a | 1 | 8.9 × 105a | 1 | ||||
| Lineage 1 | 8.9 × 104a | 0.69 | 0.42 | 1.14 | 1.8 × 106a | 0.49 | 0.21 | 1.15 |
| Lineage 2 | 6.5 × 104a | 0.95 | 0.59 | 1.53 | 9.1 × 105a | 0.98 | 0.45 | 2.12 |
| Lineage 3 | 3.9 × 105b | 0.16 | 0.09 | 0.28 | 1.5 × 107b | 0.06 | 0.02 | 0.20 |
| MbMNPV passage 6 | ||||||||
| MbMNPV-P0 | 5.3 × 104a | 1 | 3.6 × 106a | 1 | ||||
| Lineage 1 | 4.0 × 104a | 1.33 | 0.76 | 2.33 | 1.4 × 106a | 2.48 | 0.83 | 7.44 |
| Lineage 2 | ||||||||
| Lineage 3 | 4.7 × 104a | 1.14 | 0.64 | 2.06 | 2.7 × 106a | 1.35 | 0.42 | 4.39 |
| HearMNPV passage 6 | ||||||||
| HearMNPV-P0 | 3.0 × 104a | 1 | 1.0 × 106a | 1 | ||||
| Lineage 1 | 2.3 × 104a | 1.30 | 0.74 | 2.29 | 1.4 × 106a | 0.74 | 0.27 | 2.06 |
| Lineage 2 | 2.6 × 104a | 1.14 | 0.66 | 1.95 | 1.1 × 106a | 0.99 | 0.38 | 2.55 |
| Lineage 3 | 2.5 × 104a | 1.22 | 0.72 | 2.07 | 7.8 × 105a | 1.34 | 0.54 | 3.33 |
© 2019 by the authors. Licensee MDPI, Basel, Switzerland. This article is an open access article distributed under the terms and conditions of the Creative Commons Attribution (CC BY) license (http://creativecommons.org/licenses/by/4.0/).
Share and Cite
Belda, I.M.; Beperet, I.; Williams, T.; Caballero, P. Genetic Variation and Biological Activity of Two Closely Related Alphabaculoviruses during Serial Passage in Permissive and Semi-Permissive Heterologous Hosts. Viruses 2019, 11, 660. https://doi.org/10.3390/v11070660
Belda IM, Beperet I, Williams T, Caballero P. Genetic Variation and Biological Activity of Two Closely Related Alphabaculoviruses during Serial Passage in Permissive and Semi-Permissive Heterologous Hosts. Viruses. 2019; 11(7):660. https://doi.org/10.3390/v11070660
Chicago/Turabian StyleBelda, Isabel M., Inés Beperet, Trevor Williams, and Primitivo Caballero. 2019. "Genetic Variation and Biological Activity of Two Closely Related Alphabaculoviruses during Serial Passage in Permissive and Semi-Permissive Heterologous Hosts" Viruses 11, no. 7: 660. https://doi.org/10.3390/v11070660
APA StyleBelda, I. M., Beperet, I., Williams, T., & Caballero, P. (2019). Genetic Variation and Biological Activity of Two Closely Related Alphabaculoviruses during Serial Passage in Permissive and Semi-Permissive Heterologous Hosts. Viruses, 11(7), 660. https://doi.org/10.3390/v11070660

