Genetically Modified Rabies Virus Vector-Based Rift Valley Fever Virus Vaccine is Safe and Induces Efficacious Immune Responses in Mice
Abstract
1. Introduction
2. Materials and Methods
2.1. Plasmids, Cells and Animals
2.2. Construction of Full-Length cDNA Clones
2.3. Rescue of a Recombinant Virus from cDNA
2.4. Immunofluorescence Testing of the Recombinant Virus
2.5. Electron Microscopy
2.6. Inactivation of the Virus and Sucrose Purification
2.7. Protein Gel Analysis and Western Blotting
2.8. One-Step Growth Curves for the Recombinant Virus
2.9. Lethality in Suckling and Adult Mice
2.10. Vaccine Preparations
2.11. Immunization Studies Using the Recombinant RABV Vector in Mice
2.12. Generation and Production of Enzyme-Linked Immunosorbent Assay (ELISA) Antigens
2.13. ELISA Analysis of the Immune Response to Immunization
2.14. Virus Neutralization Assay (VNA)
2.15. Ex Vivo T Cell Enzyme-Linked Immunospot (ELISpot) Assays for IFN-γ and IL-4
2.16. In Vitro Lymphocyte Proliferation
2.17. Cell-Surface Molecule Staining
2.18. Laboratory Facility and Ethics Statement
3. Results
3.1. Construction of an Attenuated RABV Vector Expressing the RVFV eGn Glycoprotein
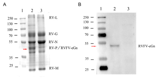
3.2. RVFV Glycoprotein Expressed by the Recombinant RABV Vector
3.3. Replication and Spread of Viruses with Recombinant Genomes
3.4. Lethality in Suckling and Adult Mice
3.5. Humoral Immune Response in Mice
3.6. Antibody Response in Mice
3.7. Vaccine-Induced Antigen-Specific Cellular Immune Response
3.8. Inactivated Recombinant Viruses Enhance T Cell Proliferative Responses
4. Discussion
Author Contributions
Funding
Acknowledgments
Conflicts of Interest
References
- Nepomichene, T.; Raharimalala, F.N.; Andriamandimby, S.F.; Ravalohery, J.P.; Failloux, A.B.; Heraud, J.M.; Boyer, S. Vector competence of Culex antennatus and Anopheles coustani mosquitoes for Rift Valley fever virus in Madagascar. Med. Vet. Entomol. 2018, 32, 259–262. [Google Scholar] [CrossRef] [PubMed]
- Talavera, S.; Birnberg, L.; Nunez, A.I.; Munoz-Munoz, F.; Vazquez, A.; Busquets, N. Culex flavivirus infection in a Culex pipiens mosquito colony and its effects on vector competence for Rift Valley fever phlebovirus. Parasit. Vectors 2018, 11, 310. [Google Scholar] [CrossRef] [PubMed]
- Turell, M.J.; Presley, S.M.; Gad, A.M.; Cope, S.E.; Dohm, D.J.; Morrill, J.C.; Arthur, R.R. Vector competence of Egyptian mosquitoes for Rift Valley fever virus. Am. J. Trop Med. Hyg. 1996, 54, 136–139. [Google Scholar] [CrossRef] [PubMed]
- Vloet, R.P.M.; Vogels, C.B.F.; Koenraadt, C.J.M.; Pijlman, G.P.; Eiden, M.; Gonzales, J.L.; van Keulen, L.J.M.; Wichgers Schreur, P.J.; Kortekaas, J. Transmission of Rift Valley fever virus from european-breed lambs to Culex pipiens mosquitoes. PLoS Negl. Trop. Dis. 2017, 11, e0006145. [Google Scholar] [CrossRef] [PubMed]
- Smithburn, K.C.; Haddow, A.J.; Gillett, J.D. Rift valley fever; Isolation of the virus from wild mosquitoes. Br. J. Exp. Pathol. 1948, 29, 107–121. [Google Scholar] [PubMed]
- Adams, M.J.; Lefkowitz, E.J.; King, A.M.Q.; Harrach, B.; Harrison, R.L.; Knowles, N.J.; Kropinski, A.M.; Krupovic, M.; Kuhn, J.H.; Mushegian, A.R.; et al. Changes to taxonomy and the international code of virus classification and nomenclature ratified by the international committee on taxonomy of viruses (2017). Arch. Virol. 2017, 162, 2505–2538. [Google Scholar] [CrossRef] [PubMed]
- Pepin, M.; Bouloy, M.; Bird, B.H.; Kemp, A.; Paweska, J. Rift Valley fever virus (bunyaviridae: Phlebovirus): An update on pathogenesis, molecular epidemiology, vectors, diagnostics and prevention. Vet. Res. 2010, 41, 61. [Google Scholar] [CrossRef] [PubMed]
- Ikegami, T. Molecular biology and genetic diversity of Rift Valley fever virus. Antivir. Res. 2012, 95, 293–310. [Google Scholar] [CrossRef]
- Piper, M.E.; Gerrard, S.R. A novel system for identification of inhibitors of Rift Valley fever virus replication. Viruses 2010, 2, 731–747. [Google Scholar] [CrossRef]
- Allen, E.R.; Krumm, S.A.; Raghwani, J.; Halldorsson, S.; Elliott, A.; Graham, V.A.; Koudriakova, E.; Harlos, K.; Wright, D.; Warimwe, G.M.; et al. A protective monoclonal antibody targets a site of vulnerability on the surface of Rift Valley fever virus. Cell Rep. 2018, 25, 3750–3758. [Google Scholar] [CrossRef]
- Pienaar, N.J.; Thompson, P.N. Temporal and spatial history of Rift Valley fever in South Africa: 1950 to 2011. Onderstepoort J. Vet. Res. 2013, 80, 384. [Google Scholar] [CrossRef] [PubMed]
- Rolin, A.I.; Berrang-Ford, L.; Kulkarni, M.A. The risk of Rift Valley fever virus introduction and establishment in the United States and European Union. Emerg. Microbes Infect. 2013, 2, 1–8. [Google Scholar] [CrossRef] [PubMed]
- Madani, T.A.; Al-Mazrou, Y.Y.; Al-Jeffri, M.H.; Mishkhas, A.A.; Al-Rabeah, A.M.; Turkistani, A.M.; Al-Sayed, M.O.; Abodahish, A.A.; Khan, A.S.; Ksiazek, T.G.; et al. Rift Valley fever epidemic in Saudi Arabia: Epidemiological, clinical, and laboratory characteristics. Clin. Infect. Dis. 2003, 37, 1084–1092. [Google Scholar] [CrossRef] [PubMed]
- Liu, J.; Sun, Y.; Shi, W.; Tan, S.; Pan, Y.; Cui, S.; Zhang, Q.; Dou, X.; Lv, Y.; Li, X.; et al. The first imported case of Rift Valley fever in China reveals a genetic reassortment of different viral lineages. Emerg. Microbes Infect. 2017, 6, 1–7. [Google Scholar] [CrossRef] [PubMed]
- Shi, Y.; Zheng, K.; Li, X.; Li, L.; Li, S.; Ma, J.; Dai, J.; Ji, J.; Yuan, S.; Lu, H.; et al. Isolation and phylogenetic study of Rift Valley fever virus from the first imported case to China. Virol. Sin. 2017, 32, 253–256. [Google Scholar] [CrossRef] [PubMed]
- Iranpour, M.; Turell, M.J.; Lindsay, L.R. Potential for Canadian mosquitoes to transmit Rift Valley fever virus. J. Am. Mosq. Control. Assoc. 2011, 27, 363–369. [Google Scholar] [CrossRef] [PubMed]
- Kortekaas, J. One health approach to Rift Valley fever vaccine development. Antiviral Res. 2014, 106, 24–32. [Google Scholar] [CrossRef] [PubMed]
- Alhaj, M. Safety and efficacy profile of commercial veterinary vaccines against Rift Valley fever: A review study. J. Immunol. Res. 2016, 2016, 7346294. [Google Scholar] [CrossRef] [PubMed]
- Barteling, S.J.; Woortmeyer, R. Formaldehyde inactivation of foot-and-mouth disease virus. Conditions for the preparation of safe vaccine. Arch. Virol. 1984, 80, 103–117. [Google Scholar] [CrossRef]
- Minke, J.M.; Audonnet, J.C.; Fischer, L. Equine viral vaccines: The past, present and future. Vet. Res. 2004, 35, 425–443. [Google Scholar] [CrossRef]
- Faburay, B.; Wilson, W.; McVey, D.S.; Drolet, B.S.; Weingartl, H.; Madden, D.; Young, A.; Ma, W.; Richt, J.A. Rift Valley fever virus structural and nonstructural proteins: Recombinant protein expression and immunoreactivity against antisera from sheep. Vector Borne Zoonotic. Dis. 2013, 13, 619–629. [Google Scholar] [CrossRef] [PubMed]
- Chamchod, F.; Cosner, C.; Cantrell, R.S.; Beier, J.C.; Ruan, S. Transmission dynamics of Rift Valley fever virus: Effects of live and killed vaccines on epizootic outbreaks and enzootic maintenance. Front. Microbiol. 2015, 6, 1568. [Google Scholar] [CrossRef] [PubMed]
- Chrun, T.; Lacote, S.; Urien, C.; Richard, C.A.; Tenbusch, M.; Aubrey, N.; Pulido, C.; Lakhdar, L.; Marianneau, P.; Schwartz-Cornil, I. A DNA vaccine encoding the gn ectodomain of Rift Valley fever virus protects mice via a humoral response decreased by dec205 targeting. Front. Immunol. 2019, 10, 860. [Google Scholar] [CrossRef] [PubMed]
- Bhardwaj, N.; Heise, M.T.; Ross, T.M. Vaccination with DNA plasmids expressing Gn coupled to C3d or alphavirus replicons expressing gn protects mice against Rift Valley fever virus. PLoS Negl. Trop. Dis. 2010, 4, e725. [Google Scholar] [CrossRef] [PubMed]
- Said, A.; Elmanzalawy, M.; Ma, G.; Damiani, A.M.; Osterrieder, N. An equine herpesvirus type 1 (EHV-1) vector expressing Rift Valley fever virus (rvfv) gn and gc induces neutralizing antibodies in sheep. Virol. J. 2017, 14, 154. [Google Scholar] [CrossRef] [PubMed]
- Lorenzo, G.; Lopez-Gil, E.; Ortego, J.; Brun, A. Efficacy of different DNA and mva prime-boost vaccination regimens against a Rift Valley fever virus (RVFV) challenge in sheep 12 weeks following vaccination. Vet. Res. 2018, 49, 21. [Google Scholar] [CrossRef] [PubMed]
- Kortekaas, J.; Dekker, A.; de Boer, S.M.; Weerdmeester, K.; Vloet, R.P.; de Wit, A.A.; Peeters, B.P.; Moormann, R.J. Intramuscular inoculation of calves with an experimental Newcastle disease virus-based vector vaccine elicits neutralizing antibodies against Rift Valley fever virus. Vaccine 2010, 28, 2271–2276. [Google Scholar] [CrossRef]
- Kortekaas, J.; de Boer, S.M.; Kant, J.; Vloet, R.P.M.; Antonis, A.F.G.; Moormann, R.J.M. Rift Valley fever virus immunity provided by a paramyxovirus vaccine vector. Vaccine 2010, 28, 4394–4401. [Google Scholar] [CrossRef]
- Mandell, R.B.; Koukuntla, R.; Mogler, L.J.K.; Carzoli, A.K.; Freiberg, A.N.; Holbrook, M.R.; Martin, B.K.; Staplin, W.R.; Vahanian, N.N.; Link, C.J.; et al. A replication-incompetent Rift Valley fever vaccine: Chimeric virus-like particles protect mice and rats against lethal challenge. Virology 2010, 397, 187–198. [Google Scholar] [CrossRef]
- Mehand, M.S.; Al-Shorbaji, F.; Millett, P.; Murgue, B. The WHO R&D blueprint: 2018 review of emerging infectious diseases requiring urgent research and development efforts. Antivir. Res. 2018, 159, 63–67. [Google Scholar]
- Bukreyev, A.; Skiadopoulos, M.H.; Murphy, B.R.; Collins, P.L. Nonsegmented negative-strand viruses as vaccine vectors. J. Virol. 2006, 80, 10293–10306. [Google Scholar] [CrossRef] [PubMed]
- Gerrard, S.R.; Nichol, S.T. Synthesis, proteolytic processing and complex formation of n-terminally nested precursor proteins of the Rift Valley fever virus glycoproteins. Virology 2007, 357, 124–133. [Google Scholar] [CrossRef] [PubMed]
- Ma, J.; Chen, R.; Huang, W.; Nie, J.; Liu, Q.; Wang, Y.; Yang, X. In Vitro and in vivo efficacy of a Rift Valley fever virus vaccine based on pseudovirus. Hum. Vaccin. Immunother. 2019, 1–9. [Google Scholar] [CrossRef] [PubMed]
- Nie, J.; Wu, X.; Ma, J.; Cao, S.; Huang, W.; Liu, Q.; Li, X.; Li, Y.; Wang, Y. Development of in vitro and in vivo rabies virus neutralization assays based on a high-titer pseudovirus system. Sci. Rep. 2017, 7, 42769. [Google Scholar] [CrossRef] [PubMed]
- Reed, L.J.; Muench, H. A simple method of estimating fify percent endpoints. Am. J. Epidemiol. 1938, 27, 493–497. [Google Scholar] [CrossRef]
- Liu, Q.; Fan, C.; Zhou, S.; Guo, Y.; Zuo, Q.; Ma, J.; Liu, S.; Wu, X.; Peng, Z.; Fan, T.; et al. Bioluminescent imaging of vaccinia virus infection in human smallpox. Sci. Rep. 2015, 5, 11397. [Google Scholar] [CrossRef] [PubMed]
- Cliquet, F.; Aubert, M.; Sagne, L. Development of a fluorescent antibody virus neutralization test (FAVN test) for the quantitation of rabies-neutralising antibody. J. Immunol 1998, 212, 79–87. [Google Scholar]
- Kuczkowska, K.; Copland, A.; Øverland, L.; Mathiesen, G.; Tran, A.C.; Paul, M.J.; Eijsink, V.G.H.; Reljic, R. Inactivated Lactobacillus plantarum Carrying a Surface-Displayed Ag85B-ESAT-6 Fusion Antigen as a Booster Vaccine Against Mycobacterium tuberculosis Infection. Vaccines 2017, 5, 29. [Google Scholar] [CrossRef] [PubMed]
- Bird, B.H.; McElroy, A.K. Rift Valley fever virus: Unanswered questions. Antivir. Res. 2016, 132, 274–280. [Google Scholar] [CrossRef]
- Faburay, B.; LaBeaud, A.D.; McVey, D.S.; Wilson, W.C.; Richt, J.A. Current status of Rift Valley fever vaccine development. Vaccines 2017, 5, 29. [Google Scholar] [CrossRef] [PubMed]
- Wang, Q.; Ma, T.; Wu, Y.; Chen, Z.; Zeng, H.; Tong, Z.; Gao, F.; Qi, J.; Zhao, Z.; Chai, Y.; et al. Neutralization mechanism of human monoclonal antibodies against Rift Valley fever virus. Nat. Microbiol. 2019, 4, 1231–1241. [Google Scholar] [CrossRef] [PubMed]
- Wu, Y.; Zhu, Y.; Gao, F.; Jiao, Y.; Oladejo, B.O.; Chai, Y.; Bi, Y.; Lu, S.; Dong, M.; Zhang, C.; et al. Structures of phlebovirus glycoprotein Gn and identification of a neutralizing antibody epitope. Proc. Natl. Acad. Sci. USA 2017, 114, E7564–E7573. [Google Scholar] [CrossRef] [PubMed]
- Kesbwara, R.; Hagen, K.R.; Abreu-Mota, T.; Papaneri, A.B.; Liu, D.; Wirblich, C.; Johnson, R.F.; Schnell, M.J. A recombinant Rabies Virus expressing the marburg virus glycoprotein is dependent upon antibody-mediated cellular cytotoxicity for protection against marburg virus disease in a murine model. J. Virol. 2019, 93, e01865-18. [Google Scholar]
- Abreu-Mota, T.; Hagen, K.R.; Cooper, K.; Jahrling, P.B.; Tan, G.; Wirblich, C.; Johnson, R.F.; Schnell, M.J. Non-neutralizing antibodies elicited by recombinant lassa-rabies vaccine are critical for protection against lassa fever. Nat. Commun. USA 2018, 9, 4223. [Google Scholar] [CrossRef] [PubMed]
- Henao-Tamayo, M.; Ordway, D.J.; Orme, I.M. Memory T cell subsets in tuberculosis: What should we be targeting? Tuberculosis 2014, 94, 455–461. [Google Scholar] [CrossRef] [PubMed]
- Faburay, B.; Lebedev, M.; McVey, D.S.; Wilson, W.; Morozov, I.; Young, A.; Richt, J.A. A glycoprotein subunit vaccine elicits a strong Rift Valley fever virus neutralizing antibody response in sheep. Vector Borne Zoonotic Dis. 2014, 14, 746–756. [Google Scholar] [CrossRef] [PubMed]










| Primer Name | Sequence (5′-3′) |
|---|---|
| RVFV-eGn-F | TATCGTACGGCCACCATGGCAGGGATTGCAATGA |
| RVFV-eGn-R | CCTTAATTAACTAAGTGTGACACTGGTAATTTATCAG |
© 2019 by the authors. Licensee MDPI, Basel, Switzerland. This article is an open access article distributed under the terms and conditions of the Creative Commons Attribution (CC BY) license (http://creativecommons.org/licenses/by/4.0/).
Share and Cite
Zhang, S.; Hao, M.; Feng, N.; Jin, H.; Yan, F.; Chi, H.; Wang, H.; Han, Q.; Wang, J.; Wong, G.; et al. Genetically Modified Rabies Virus Vector-Based Rift Valley Fever Virus Vaccine is Safe and Induces Efficacious Immune Responses in Mice. Viruses 2019, 11, 919. https://doi.org/10.3390/v11100919
Zhang S, Hao M, Feng N, Jin H, Yan F, Chi H, Wang H, Han Q, Wang J, Wong G, et al. Genetically Modified Rabies Virus Vector-Based Rift Valley Fever Virus Vaccine is Safe and Induces Efficacious Immune Responses in Mice. Viruses. 2019; 11(10):919. https://doi.org/10.3390/v11100919
Chicago/Turabian StyleZhang, Shengnan, Meng Hao, Na Feng, Hongli Jin, Feihu Yan, Hang Chi, Hualei Wang, Qiuxue Han, Jianzhong Wang, Gary Wong, and et al. 2019. "Genetically Modified Rabies Virus Vector-Based Rift Valley Fever Virus Vaccine is Safe and Induces Efficacious Immune Responses in Mice" Viruses 11, no. 10: 919. https://doi.org/10.3390/v11100919
APA StyleZhang, S., Hao, M., Feng, N., Jin, H., Yan, F., Chi, H., Wang, H., Han, Q., Wang, J., Wong, G., Liu, B., Wu, J., Bi, Y., Wang, T., Sun, W., Gao, Y., Yang, S., Zhao, Y., & Xia, X. (2019). Genetically Modified Rabies Virus Vector-Based Rift Valley Fever Virus Vaccine is Safe and Induces Efficacious Immune Responses in Mice. Viruses, 11(10), 919. https://doi.org/10.3390/v11100919

