A Novel Partitivirus in the Hypovirulent Isolate QT5-19 of the Plant Pathogenic Fungus Botrytis cinerea
Abstract
1. Introduction
2. Materials and Methods
2.1. Fungal Isolates and Cultural Conditions
2.2. Determination of Pathogenicity
2.3. Extraction of dsRNAs
2.4. cDNA Cloning of the dsRNAs
2.5. Analysis of the Mycoviral Genome
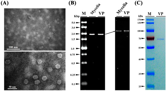
2.6. Purification of Virus Particles
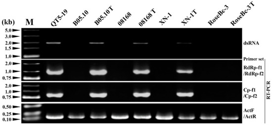
2.7. RT-PCR Detection of the Mycovirus in QT5-19 and Northern Blotting
2.8. Horizontal Transmission of the Mycovirus in QT5-19
2.9. Elimination of the Mycovirus in QT5-19
2.10. Statistical Analysis
3. Results
3.1. Cultural Characteristics
3.2. Hypovirulence
3.3. The dsRNA Elements
3.4. Virus Particles
3.5. Identity of the Two dsRNAs
3.6. Horizontal Transmission of BcPV2
4. Discussion
Supplementary Materials
Author Contributions
Funding
Conflicts of Interest
References
- Ghabrial, S.A.; Suzuki, N. Viruses of plant pathogenic fungi. Annu. Rev. Phytopathol. 2009, 47, 353–384. [Google Scholar] [CrossRef] [PubMed]
- Pearson, M.N.; Beever, R.E.; Boine, B.; Arthur, K. Mycoviruses of filamentous fungi and their relevance to plant pathology. Mol. Plant Pathol. 2009, 10, 115–128. [Google Scholar] [CrossRef] [PubMed]
- Herrero, N.; Márquez, S.S.; Zabalgogeazcoa, I. Mycoviruses are common among different species of endophytic fungi of grasses. Arch. Virol. 2009, 154, 327–330. [Google Scholar] [CrossRef] [PubMed]
- Ghabrial, S.A.; Castón, J.R.; Jiang, D.; Nibert, M.L.; Suzuki, N. 50-plus years of fungal viruses. Virology 2015, 479, 356–368. [Google Scholar] [CrossRef] [PubMed]
- Xie, J.; Jiang, D. New insights into mycoviruses and exploration for the biological control of crop fungal diseases. Annu. Rev. Phytopathol. 2014, 52, 45–68. [Google Scholar] [CrossRef] [PubMed]
- Wang, S.; Kondo, H.; Liu, L.; Guo, L.; Qiu, D. A novel virus in the family Hypoviridae from the plant pathogenic fungus Fusarium graminearum. Virus Res. 2013, 174, 69–77. [Google Scholar] [CrossRef] [PubMed]
- Martínez-Álvarez, P.; Vainio, E.J.; Botella, L.; Hantula, J.; Diez, J.J. Three mitovirus strains infecting a single isolate of Fusarium circinatum are the first putative members of the family Narnaviridae detected in a fungus of the genus Fusarium. Arch. Virol. 2014, 159, 2153–2155. [Google Scholar] [CrossRef]
- Donaire, L.; Pagán, I.; Ayllón, M.A. Characterization of Botrytis cinerea negative-stranded RNA virus 1, a new mycovirus related to plant viruses, and a reconstruction of host pattern evolution in negative-sense ssRNA viruses. Virology 2016, 499, 212–218. [Google Scholar] [CrossRef]
- Hao, F.; Wu, M.; Li, G. Molecular characterization and geographic distribution of a Mymonavirus in the population of Botrytis cinerea. Viruses 2018, 10, 432. [Google Scholar] [CrossRef]
- Kondo, H.; Chiba, S.; Toyoda, K.; Suzuki, N. Evidence for negative-strand RNA virus infection in fungi. Virology 2013, 435, 201–209. [Google Scholar] [CrossRef]
- Wang, L.; He, H.; Wang, S.; Chen, X.; Qiu, D.; Kondo, H.; Guo, L. Evidence for a novel negative-stranded RNA mycovirus isolated from the plant pathogenic fungus Fusarium graminearum. Virology 2018, 518, 232–240. [Google Scholar] [CrossRef] [PubMed]
- Liu, L.; Xie, J.; Cheng, J.; Fu, Y.; Li, G.; Yi, X.; Jiang, D. Fungal negative-stranded RNA virus that is related to bornaviruses and nyaviruses. Proc. Natl. Acad. Sci. USA 2014, 111, 12205–12210. [Google Scholar] [CrossRef] [PubMed]
- Nibert, M.L.; Ghabrial, S.A.; Maiss, E.; Lesker, T.; Vainio, E.J.; Jiang, D.; Suzuki, N. Taxonomic reorganization of family Partitiviridae and other recent progress in partitivirus research. Virus Res. 2014, 188, 128–141. [Google Scholar] [CrossRef] [PubMed]
- Nibert, M.L.; Tang, J.; Xie, J.; Collier, A.M.; Ghabrial, S.A.; Baker, T.S.; Tao, Y.J. 3D structures of fungal partitiviruses. Adv. Virus Res. 2013, 86, 59–85. [Google Scholar] [PubMed]
- Dean, R.; Van Kan, J.A.; Pretorius, Z.A.; Hammond-Kosack, K.E.; Di Pietro, A.; Spanu, P.D.; Rudd, J.J.; Dickman, M.; Kahmann, R.; Ellis, J. The top 10 fungal pathogens in molecular plant pathology. Mol. Plant Pathol. 2012, 13, 414–430. [Google Scholar] [CrossRef] [PubMed]
- Williamson, B.; Tudzynski, B.; Tudzynski, P.; van Kan, J.A. Botrytis cinerea: The cause of grey mould disease. Mol. Plant Pathol. 2007, 8, 561–580. [Google Scholar] [CrossRef] [PubMed]
- Elad, Y.; Pertot, I.; Marina, A.; Prado, A.M.; Stewart, A. Plant Hosts of Botrytis spp. In Botrytis-The Fungus, the Pathogen and Its Management in Agricultural Systems; Fillinger, S., Elad, Y., Eds.; Springer: Cham, Switzerland, 2016; pp. 413–486. [Google Scholar]
- Fernández-Ortuño, D.; Chen, F.; Schnabel, G. Resistance to pyraclostrobin and boscalid in Botrytis cinerea isolates from strawberry fields in the Carolinas. Plant Dis. 2012, 96, 1198–1203. [Google Scholar] [CrossRef]
- Choquer, M.; Fournier, E.; Kunz, C.; Levis, C.; Pradier, J.M.; Simon, A.; Viaud, M. Botrytis cinerea virulence factors: New insights into a necrotrophic and polyphageous pathogen. FEMS Microbiol. Lett. 2007, 277, 1–10. [Google Scholar] [CrossRef]
- Howitt, R.L.; Beever, R.E.; Pearson, M.N.; Forster, R.L. Presence of double-stranded RNA and virus-like particles in Botrytis cinerea. Mycol. Res. 1995, 99, 1472–1478. [Google Scholar] [CrossRef]
- Howitt, R.L.; Beever, R.E.; Pearson, M.N.; Forster, R.L. Genome characterization of Botrytis virus F, a flexuous rod-shaped mycovirus resembling plant ‘potex-like’viruses. J. Gen. Virol. 2001, 82, 67–78. [Google Scholar] [CrossRef]
- Howitt, R.; Beever, R.; Pearson, M.; Forster, R. Genome characterization of a flexuous rod-shaped mycovirus, Botrytis virus X, reveals high amino acid identity to genes from plant ‘potex-like’viruses. Arch. Virol. 2006, 151, 563–579. [Google Scholar] [CrossRef] [PubMed]
- Wu, M.; Zhang, L.; Li, G.; Jiang, D.; Hou, M.; Huang, H.C. Hypovirulence and double-stranded RNA in Botrytis cinerea. Phytopathology 2007, 97, 1590–1599. [Google Scholar] [CrossRef] [PubMed]
- Wu, M.; Zhang, L.; Li, G.; Jiang, D.; Ghabrial, S.A. Genome characterization of a debilitation-associated mitovirus infecting the phytopathogenic fungus Botrytis cinerea. Virology 2010, 406, 117–126. [Google Scholar] [CrossRef] [PubMed]
- Rodríguez-García, C.; Medina, V.; Alonso, A.; Ayllón, M. Mycoviruses of Botrytis cinerea isolates from different hosts. Ann. Appl. Biol. 2014, 164, 46–61. [Google Scholar] [CrossRef]
- Donaire, L.; Rozas, J.; Ayllón, M.A. Molecular characterization of Botrytis ourmia-like virus, a mycovirus close to the plant pathogenic genus Ourmiavirus. Virology 2016, 489, 158–164. [Google Scholar] [CrossRef] [PubMed]
- Hao, F.; Zhou, Z.; Wu, M.; Li, G. Molecular characterization of a novel endornavirus from the phytopathogenic fungus Botrytis cinerea. Arch. Virol. 2017, 162, 313–316. [Google Scholar] [CrossRef] [PubMed]
- Hao, F.; Ding, T.; Wu, M.; Zhang, J.; Yang, L.; Chen, W.; Li, G. Two novel hypovirulence-associated mycoviruses in the phytopathogenic fungus Botrytis cinerea: Molecular characterization and suppression of infection cushion formation. Viruses 2018, 10, 254. [Google Scholar] [CrossRef] [PubMed]
- Castro, M.; Kramer, K.; Valdivia, L.; Ortiz, S.; Castillo, A. A double-stranded RNA mycovirus confers hypovirulence-associated traits to Botrytis cinerea. FEMS Microbiol. Lett. 2003, 228, 87–91. [Google Scholar] [CrossRef]
- Castro, M.; Kramer, K.; Valdivia, L.; Ortiz, S.; Benavente, J.; Castillo, A. A new double-stranded RNA mycovirus from Botrytis cinerea. FEMS Microbiol. Lett. 1999, 175, 95–99. [Google Scholar] [CrossRef]
- Potgieter, C.A.; Castillo, A.; Castro, M.; Cottet, L.; Morales, A. A wild-type Botrytis cinerea strain co-infected by double-stranded RNA mycoviruses presents hypovirulence-associated traits. Virol. J. 2013, 10, 220–228. [Google Scholar] [CrossRef]
- Yu, L.; Sang, W.; Wu, M.D.; Zhang, J.; Yang, L.; Zhou, Y.J.; Chen, W.D.; Li, G.Q. Novel hypovirulence-associated RNA mycovirus in the plant-pathogenic fungus Botrytis cinerea: Molecular and biological characterization. Appl. Environ. Microbiol. 2015, 81, 2299–2310. [Google Scholar] [CrossRef] [PubMed]
- De Guido, M.; Minafra, A.; Santomauro, A.; Pollastro, S.; De Miccolis Angelini, R.; Faretra, F. Molecular characterization of mycoviruses from Botryotinia fuckeliana. J. Plant Pathol. 2005, 87, 293. [Google Scholar]
- De Guido, M.; Minafra, A.; Santomauro, A.; Faretra, F. Molecular characterization of mycoviruses in Botryotinia fuckeliana. In Proceedings of the 14th International Botrytis Symposium Abstract Book, Cape Town, South Africa, 2007; p. 40. [Google Scholar]
- Wu, M.; Jin, F.; Zhang, J.; Yang, L.; Jiang, D.; Li, G. Characterization of a novel bipartite double-stranded RNA mycovirus conferring hypovirulence in the pytopathogenic fungus Botrytis porri. J. Virol. 2012, 86, 6605–6619. [Google Scholar] [CrossRef]
- Fan, X.; Zhang, J.; Yang, L.; Wu, M.; Chen, W.; Li, G. Development of PCR-based assays for detecting and differentiating three species of Botrytis infecting broad bean. Plant Dis. 2015, 99, 691–698. [Google Scholar] [CrossRef]
- Zhou, Y.; Li, N.; Yang, J.; Yang, L.; Wu, M.; Chen, W.; Li, G.; Zhang, J. Contrast between orange and black colored sclerotial isolates of Botrytis cinerea: Melanogenesis and ecological fitness. Plant Dis. 2018, 102, 428–436. [Google Scholar] [CrossRef]
- Büttner, P.; Koch, F.; Voigt, K.; Quidde, T.; Risch, S.; Blaich, R.; Brückner, B.; Tudzynski, P. Variations in ploidy among isolates of Botrytis cinerea: Implications for genetic and molecular analyses. Curr. Genet. 1994, 25, 445–450. [Google Scholar] [CrossRef] [PubMed]
- Li, G.; Wang, D.; Huang, H.; Zhou, Q. Polymorphisms of Sclerotinia sclerotiorum isolated from eggplant in Jiamusi, Heilongjiang Province. Acta Pharmacol. Sin. 1996, 26, 237–242. [Google Scholar]
- Fan, L.; Jing, Z.; Long, Y. Agrobacterium tumefaciens-mediated transformation of Botrytis cinerea strain RoseBc-3. J. Huazhong Agri. Uni. 2013, 32, 30–35. [Google Scholar]
- Yu, Q.Y. Functional Analysis of Autophage-Related Genes Bcatg26, Bcatg17 and Bcatg14 in Botrytis cinerea. Master’s Thesis, Huazhong Agricultural University, Wuhan, China, 2007. [Google Scholar]
- Zhang, L.; Wu, D.M.; Li, G.Q.; Jiang, D.H.; Huang, H.C. Effect of mitovirus infection on formation of infection cushions and virulence of Botrytis cinerea. Physiol. Mol. Plant Pathol. 2010, 75, 71–80. [Google Scholar] [CrossRef]
- Schumacher, J.; Gautier, A.; Morgant, G.; Studt, L.; Ducrot, P.-H.; Le Pecheur, P.; Azeddine, S.; Fillinger, S.; Leroux, P.; Tudzynski, B.; et al. A functional bikaverin biosynthesis gene cluster in rare strains of Botrytis cinerea is positively controlled by VELVET. PLoS ONE 2013, 8, e53729. [Google Scholar] [CrossRef]
- Wu, M.; Deng, Y.; Zhou, Z.; He, G.; Chen, W.; Li, G. Characterization of three mycoviruses co-infecting the plant pathogenic fungus Sclerotinia nivalis. Virus Res. 2016, 223, 28–38. [Google Scholar] [CrossRef] [PubMed]
- Kumar, S.; Stecher, G.; Tamura, K. MEGA7: Molecular evolutionary genetics analysis version 7.0 for bigger datasets. Mol. Biol. Evol. 2016, 33, 1870–1874. [Google Scholar] [CrossRef] [PubMed]
- Mathews, D.H.; Disney, M.D.; Childs, J.L.; Schroeder, S.J.; Zuker, M.; Turner, D.H. Incorporating chemical modification constraints into a dynamic programming algorithm for prediction of RNA secondary structure. Proc. Natl. Acad. Sci. USA 2004, 101, 7287–7292. [Google Scholar] [CrossRef] [PubMed]
- Zheng, L.; Zhang, M.; Chen, Q.; Zhu, M.; Zhou, E. A novel mycovirus closely related to viruses in the genus Alphapartitivirus confers hypovirulence in the phytopathogenic fungus Rhizoctonia solani. Virology 2014, 456, 220–226. [Google Scholar] [CrossRef] [PubMed]
- Xiao, X.; Cheng, J.; Tang, J.; Fu, Y.; Jiang, D.; Baker, T.S.; Ghabrial, S.A.; Xie, J. A novel partitivirus that confers hypovirulence on plant pathogenic fungi. J. Virol. 2014, 88, 10120–10133. [Google Scholar] [CrossRef] [PubMed]










| Viruses | GenBank Acc. No. | Size (aa) | Identity (%) | Overlap (Positions) | Bit Score | E-Value |
|---|---|---|---|---|---|---|
| RdRp | ||||||
| Ceratobasidium partitivirus (CPV) | AOX47571 | 579 | 76 | 440/578 | 917 | 0.0 |
| Soybean leaf-associated partitivirus 2 (SLAPV2) | ALM62247 | 602 | 58 | 341/583 | 681 | 0.0 |
| Grapevine partitivirus (GPV) | AFX73022 | 584 | 53 | 311/587 | 631 | 0.0 |
| Powdery mildew-associated partitivirus (PmAPV) | YP_009272944 | 584 | 51 | 301/587 | 605 | 0.0 |
| Sclerotinia sclerotiorum partitivirus S (SsPV-S) | YP_003082248 | 580 | 46 | 263/566 | 472 | 1 × 10−157 |
| Rhizoctonia solani partitivirus 1 (RsPV1) | AND83003 | 603 | 43 | 234/549 | 431 | 4 × 10−141 |
| Flammulina velutipes isometric virus (FvIV) | BAH08700 | 587 | 42 | 252/594 | 436 | 2 × 10−143 |
| Fusarium solani partitivirus 2 (FsPV2) | BAQ36631 | 608 | 41 | 242/587 | 402 | 5 × 10−130 |
| Rosellinia necatrix partitivirus 5 (RnPV5) | BAM36403 | 647 | 40 | 230/568 | 414 | 6 × 10−134 |
| Botryotinia fuckeliana partitivirus 1 (BfPV1) | YP_001686789 | 540 | 13 * | 40/293 | - ** | - |
| CP | ||||||
| Ceratobasidium partitivirus (CPV) | AOX47604 | 370 | 60 | 221/370 | 473 | 1 × 10−161 |
| Soybean leaf-associated partitivirus 2 (SLAPV2) | ALM62248 | 496 | 34 | 169/498 | 272 | 8 × 10−82 |
| Powdery mildew-associated partitivirus (PmAPV) | YP_009272945 | 527 | 31 | 164/528 | 238 | 2 × 10−68 |
| Diuris pendunculata cryptic virus (DpCV) | AFY23215 | 496 | 31 | 36/116 | 58 | 2 × 10−05 |
| Carrot cryptic virus (CCV) | ACL93279 | 490 | 26 | 38/147 | 45.1 | 0.33 |
| Spinach cryptic virus 1 (SCV) | APX42422 | 488 | 24 | 44/181 | 48.5 | 0.023 |
| Rosellinia necatrix partitivirus 2 (RnPV2) | YP_007419078 | 483 | 23 | 77/333 | 47.4 | 0.057 |
| Arabidopsis halleri partitivirus 1 (AhPV1) | YP_009273019 | 487 | 22 | 72/330 | 57 | 6 × 10−05 |
| Botrytis cinerea partitivirus 1 (BcPV1) * | AGQ21570 | 634 | 14 * | 56/389 | - | - |
| Botryotinia fuckeliana partitivirus 1 (BfPV1) * | YP_001686790 | 436 | 10 * | 41/408 | - | - |
| Isolate | BcPV2 x | Mycelial Growth Rate (cm/day) y | Conidial Production y | No. Sclerotia per Dish y | Lesion Diameter (cm) z |
|---|---|---|---|---|---|
| QT5-19 | + | 1.2 | - | 0 | 0.2 |
| B05.10 | - | 1.5 | + | 36 | 3.1 |
| B05.10T | + | 1.5 | - | 0 ** | 2.2 * |
| 08168 | - | 1.5 | + | 38 | 3.8 |
| 08168T | + | 1.5 | - | 0 ** | 2.3 * |
| XN-1 | - | 1.5 | + | 37 | 4.0 |
| XN-1T | + | 1.5 | - | 0 ** | 2.9 * |
| RoseBc-3 | - | 1.4 | + | 25 | 2.3 |
| RoseBc-3T | - | 1.4 | + | 22 | 2.2 |
© 2019 by the authors. Licensee MDPI, Basel, Switzerland. This article is an open access article distributed under the terms and conditions of the Creative Commons Attribution (CC BY) license (http://creativecommons.org/licenses/by/4.0/).
Share and Cite
Kamaruzzaman, M.; He, G.; Wu, M.; Zhang, J.; Yang, L.; Chen, W.; Li, G. A Novel Partitivirus in the Hypovirulent Isolate QT5-19 of the Plant Pathogenic Fungus Botrytis cinerea. Viruses 2019, 11, 24. https://doi.org/10.3390/v11010024
Kamaruzzaman M, He G, Wu M, Zhang J, Yang L, Chen W, Li G. A Novel Partitivirus in the Hypovirulent Isolate QT5-19 of the Plant Pathogenic Fungus Botrytis cinerea. Viruses. 2019; 11(1):24. https://doi.org/10.3390/v11010024
Chicago/Turabian StyleKamaruzzaman, Md, Guoyuan He, Mingde Wu, Jing Zhang, Long Yang, Weidong Chen, and Guoqing Li. 2019. "A Novel Partitivirus in the Hypovirulent Isolate QT5-19 of the Plant Pathogenic Fungus Botrytis cinerea" Viruses 11, no. 1: 24. https://doi.org/10.3390/v11010024
APA StyleKamaruzzaman, M., He, G., Wu, M., Zhang, J., Yang, L., Chen, W., & Li, G. (2019). A Novel Partitivirus in the Hypovirulent Isolate QT5-19 of the Plant Pathogenic Fungus Botrytis cinerea. Viruses, 11(1), 24. https://doi.org/10.3390/v11010024

