Persistence of Phytoplasma and Control Efficacy of Oxytetracycline Tree Injection for Elaeocarpus sylvestris (Lour.) Poir. var. ellipticus (Thunb.) H.Hara Decline Disease
Abstract
1. Introduction
2. Materials and Methods
2.1. Vessel Distribution and Wood Anatomy of E. sylvestris
2.2. Experimental Design and Selection of Tree Injection Sites
2.3. Selection and Composition of Antimicrobial Agents
2.4. Tree Injection Method and Application Timing
2.5. Calibration Curve and Recovery Rate Test
2.6. Residue Analysis of Oxytetracycline
2.7. Chlorophyll Content Measurement
2.8. PCR Diagnosis Before and After Tree Injection
3. Results
3.1. Anatomical Characteristics of E. sylvestris Wood
3.2. Residual Characteristics of Oxytetracycline in E. sylvestris
3.3. Chlorophyll Content in Treated and Control Individuals Following Tree Injection
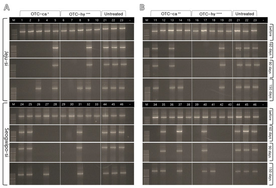
3.4. Phytoplasma Detection by PCR Before and After Tree Injection
4. Discussion
5. Conclusions
Author Contributions
Funding
Data Availability Statement
Conflicts of Interest
References
- Bertaccini, A. Phytoplasmas: Diversity, taxonomy, and epidemiology. Front. Biosci. 2007, 12, 673–689. [Google Scholar] [CrossRef]
- Namba, S. Molecular and biological properties of phytoplasmas. Proc. Jpn. Acad. Ser. B 2019, 95, 401–418. [Google Scholar] [CrossRef]
- Kumari, S.; Nagendran, K.; Rai, A.B.; Singh, B.; Rao, G.P.; Bertaccini, A. Global Status of phytoplasma diseases in vegetable crops. Front. Microbiol. 2019, 10, 1349. [Google Scholar] [CrossRef]
- Hoshi, A.; Ishii, Y.; Kakizawa, S.; Oshima, K.; Namba, S. Host-parasite interaction of phytoplasmas from a molecular biological perspective. Bull. Insectol. 2007, 60, 105. [Google Scholar]
- Görg, L.M.; Gallinger, J.; Gross, J. The phytopathogen ‘Candidatus Phytoplasma mali’ alters apple tree phloem composition and affects oviposition behavior of its vector Cacopsylla picta. Chemoecology 2021, 31, 31–45. [Google Scholar] [CrossRef]
- Dermastia, M. Plant hormones in phytoplasma infected plants. Front. Plant Sci. 2019, 10, 477. [Google Scholar] [CrossRef] [PubMed]
- Bertaccini, A.; Duduk, B. Phytoplasma and phytoplasma diseases: A review of recent research. Phytopathol. Mediterr. 2009, 48, 355–378. [Google Scholar]
- Namba, S.; Kato, S.; Iwanami, S.; Oyaizu, H.; Shiozawa, H.; Tsuchizaki, T. Detection and differentiation of plant-pathogenic mycoplasmalike organisms using polymerase chain reaction. Phytopathology 1993, 83, 786–791. [Google Scholar] [CrossRef]
- Firrao, G.; Conci, L.; Locci, R. Molecular identification and diversity of phytoplasmas. In Biotechnology and Plant Disease Management; CABI: Wallingford, UK, 2007; pp. 250–276. [Google Scholar]
- Raychaudhuri, S.P.; Varma, A.; Chenulu, V.V.; Prakash, N.; Singh, S. Association of mycoplasma—Like bodies with little leaf of Solanum melongena L. In Proceedings of the X International Congress of Microbiolpgy Mexico HIV-6, Mexico City, Mexico, 9–15 August 1970. [Google Scholar]
- Wise, J.C.; VanWoerkom, A.H.; Acimovic, S.G.; Sundin, G.W.; Cregg, B.M.; Vandervoort, C.V. Trunk injection: A discriminating delivering system for horticulture crop IPM. Entomol. Ornithol. Herpetol. Curr. Res. 2014, 3, 1. [Google Scholar]
- Sánchez Zamora, M.A.; Fernández Escobar, R. Injector-size and the time of application affects uptake of tree trunk-injected solutions. Sci. Hortic. 2000, 84, 163–177. [Google Scholar] [CrossRef]
- Archer, L.; Crane, J.H.; Albrecht, U. Trunk injection as a tool to deliver plant protection materials—An overview of basic principles and practical considerations. Horticulturae 2022, 8, 552. [Google Scholar] [CrossRef]
- Hijaz, F.; Nehela, Y.; Al-Rimawi, F.; Vincent, C.I.; Killiny, N. The role of the xylem in oxytetracycline translocation within citrus trees. Antibiotics 2020, 9, 691. [Google Scholar] [CrossRef]
- Soto, N.; Humphries, A.R.; Mou, D.F.; Helmick, E.E.; Glover, J.P.; Bahder, B.W. Effect of oxytetracycline-hydrochloride on phytoplasma titer and symptom progression of the 16SrIV-D phytoplasma in cabbage palms from Florida. Plant Dis. 2020, 104, 2330–2337. [Google Scholar] [CrossRef]
- Rural Development Administration (RDA). Pesticide Searching. Available online: https://psis.rda.go.kr/psis/agc/res/agchmRegistStusLst.ps?menuId=PS00263 (accessed on 4 May 2025). (In Korean).
- Martínez-Vilalta, J.; Mencuccini, M.; Álvarez, X.; Camacho, J.; Loepfe, L.; Piñol, J. Spatial distribution and packing of xylem conduits. Am. J. Bot. 2012, 99, 1189–1196. [Google Scholar] [CrossRef]
- Dadhich, A.; Rishi, A.; Sharma, G.; Chandra, S. Phytochemicals of Elaeocarpus with their therapeutic value: A review. Int. J. Pharm. Biol. Sci. 2013, 4, 591–598. [Google Scholar]
- Lee, G.W. Occurrence and Control of Elaeocarpus sylvestris var. ellipticus Decline and Phytoplasma Molecular Phylogenetic Analysis. Ph.D. Thesis, Jeonbuk National University, Jeonju, Republic of Korea, 2024. (In Korean). [Google Scholar]
- Prihantini, A.I.; Tachibana, S.; Itoh, K. Antioxidant active compounds from Elaeocarpus sylvestris and their relationship between structure and activity. Procedia Environ. Sci. 2015, 28, 758–768. [Google Scholar] [CrossRef]
- Joo, Y.H.; Lee, Y.G.; Lim, Y.; Jeon, H.; Kim, E.H.; Choi, J.; Seo, Y.J. Potent antiviral activity of the extract of Elaeocarpus sylvestris against influenza A virus in vitro and in vivo. Phytomedicine 2022, 97, 153892. [Google Scholar] [CrossRef] [PubMed]
- Bae, G.Y.; Lim, M.W.; Eom, S.W.; Lee, H.L.; Lee, D.Y.; Oh, Y.J. Exploring the potential of Elaeocarpus sylvestris as natural biomaterials: In vitro antimicrobial and antioxidant properties, chemical constituents, and its effect on skin fibroblasts. Plant Biotechnol. Rep. 2023, 17, 637–651. [Google Scholar] [CrossRef]
- Lee, S.K.; Han, S.S.; Seo, S.T.; Lee, D.H.; Lee, S.H. Witch’s Broom of Trees and Shrubs in Korea; National Institute of Forest Science: Seoul, Republic of Korea, 2017; pp. 67–68. [Google Scholar]
- Lee, G.W. Investigation of Decline for Elaeocarpus sylvestris var. ellipticus Caused by Phytoplasma in Korea. Ph.D. Thesis, Jeonbuk National University, Jeonju, Republic of Korea, 2020. (In Korean). [Google Scholar]
- Lee, G.W.; Han, S.S. Molecular detection of phytoplasmas of the 16SrI and 16SrXXXII groups in Elaeocarpus sylvestris trees with decline disease in Jeju Island, South Korea. Plant Pathol. J. 2023, 39, 149. [Google Scholar] [CrossRef]
- Cha, B.; Han, S.; Kim, K.W.; Kim, D.S.; Lee, D. Improving strategies for trunk injection considering tree anatomy and physiology. Korean J. Pestic. Sci. 2020, 24, 218–230. (In Korean) [Google Scholar] [CrossRef]
- La, Y.J.; Brown, W.M.; Moon, D.S. Control of witches’-broom disease of jujube with oxytetracycline injection. Korean J. Appl. Entomol. 1976, 15, 107–110. (In Korean) [Google Scholar]
- Park, C.H.; Lee, S.P.; Cha, B. Comparison in adaptability of several commercial antibiotics as the therapeutic agent against jujube witches’-broom disease. J. Agric. Sci. Chungbuk Nat’l Univ. 1994, 11, 41–49. (In Korean) [Google Scholar]
- Lee, S.G. jujube witches’-broom disease. Landscaping Tree 2000, 56, 22–23. [Google Scholar]
- Kang, H.J.; Choe, S.; Lee, K.H.; Park, H.; Oh, H.K.; Lee, S.; Shin, H. Occurrence of Jujube Witches’ Broom Disease and Control Efficacy of Trunk Injection with Oxytetracycline in Boeun Area from 2018 to 2019. Res. Plant Dis. 2020, 26, 19–28. [Google Scholar] [CrossRef]
- Deng, S.; Hiruki, C. Amplification of 16S rRNA genes from culturable and nonculturable mollicutes. J. Microbiol. Methods 1991, 14, 53–61. [Google Scholar] [CrossRef]
- Schneider, B.; Seemuller, E.; Smart, C.D.; Kirkpatrick, B.C. Phylogenetic classification of plant pathogenic Mycoplasma-like organisms or phytoplasma. In Molecular and Diagnostic Procedures in Mycoplasmology; Academic Press: Amsterdam, The Netherlands, 1995; Volume 1, pp. 369–379. [Google Scholar]
- Rural Development Administration. Registration Standards for Pesticides and Raw Materials; Environmental Persistence Test Guidelines (Article 5, Paragraph 1, Item 6); Rural Development Administration: Jeonju, Republic of Korea, 2024. [Google Scholar]
- Eom, Y.G. Wood Anatomy of Korean Species; MEDIA WOOD: Seoul, Republic of Korea, 2015; pp. 454–455. [Google Scholar]
- Tattar, T.A.; Dotson, J.A.; Ruizzo, M.S.; Steward, V.B. Translocation of imidacloprid in three tree species when trunk—And soil-injected. J. Arboric. 1998, 24, 54–56. [Google Scholar] [CrossRef]
- Tattar, T.A.; Tattar, S.J. Evidence for the downward movement of materials injected into trees. J. Arboric. 1999, 25, 325–332. [Google Scholar] [CrossRef]
- Lee, K.J.; Kim, B.; Cha, B. Influence of the trunk-injection pressure on the distribution of dye-solution in Pinus rigida. J. Agric. Sci. Chungbuk Nat’l Univ. 2014, 30, 7–14. (In Korean) [Google Scholar]
- Cha, B.; Kim, M.Y.; Kim, J.K.; Kim, C.H.; Lee, K.J. Influence of the wound size and the crown condition on the trunkinjection efficiency in Zelkova trees. J. Agric. Life Sci. 2019, 53, 73–84. (In Korean) [Google Scholar] [CrossRef]
- Zillmer, R.E.; Chaney, W.R.; Holt, H.A. Structural and biological effects of trunk injected paclobutrazol in yellow popla. J. Arboric. 1991, 17, 261–268. [Google Scholar]
- Cha, B.; Lee, S.; Liu, M.; Han, S. Changes in the absorption rate of jujube trees in trunk injection over time and control effect of different trunk injection method and chemicals for jujube witches’-broom disease. Korean J. Mycoplasmol. 2003, 14, 38–45. (In Korean) [Google Scholar]
- Shigo, A.L.; Marx, W.E. Compartmentalization of Decay in Trees; Agric. Inform. Bull. No. 405; USDA Forest Service: Washington, DC, USA, 1977.
- Anderson, J.L.; Campana, R.J.; Shigo, A.L.; Shortle, W.C. Wound responses of Ulmus americana 1: Results of chemical injection in attempts to control Dutch elm disease. J. Arboric. 1985, 11, 137–142. [Google Scholar] [CrossRef]
- Tanno, K.; Maejima, K.; Miyazaki, A.; Koinuma, H.; Iwabuchi, N.; Kitazawa, Y.; Namba, S. Comprehensive screening of antimicrobials to control phytoplasma diseases using an in vitro plant–phytoplasma co-culture system. Microbiology 2018, 164, 1048–1058. [Google Scholar] [CrossRef] [PubMed]
- Atar, F.; Güney, D.; Bayraktar, A.; Yıldırım, N.; Turna, İ. Seasonal change of chlorophyll content (spad value) in some tree and shrub species. Turk. J. For. Sci. 2020, 4, 245–256. [Google Scholar] [CrossRef]
- Chen, W.; Xue, L.; Ren, X.; Feng, H.; Shi, X. Physiological responses of seedlings of Elaeocarpus sylvestris and Castanopsis fissa to PEG stress. Ecol. Sci. 2009, 28, 385–390. [Google Scholar]
- Li, J.; Lie, Z.Y.; Xue, L.; Huang, W.L. Density effect on physiological characteristics of broadleaved seedlings of Elaeocarpus sylvestris. In Food Hygiene, Agriculture and Animal Science, Proceedings of the 2015 International Conference on Food Hygiene, Agriculture and Animal Science, Wuhan, China, 14–15 November 2015; World Scientific Publishing Company: Singapore, 2016; pp. 248–254. [Google Scholar]
- Coste, S.; Baraloto, C.; Leroy, C.; Marcon, É.; Renaud, A.; Richardson, A.D.; Hérault, B. Assessing foliar chlorophyll contents with the SPAD-502 chlorophyll meter: A calibration test with thirteen tree species of tropical rainforest in French Guiana. Ann. For. Sci. 2010, 67, 607. [Google Scholar] [CrossRef]
- Zhang, R.; Yang, P.; Liu, S.; Wang, C.; Liu, J. Evaluation of the methods for estimating leaf chlorophyll content with SPAD chlorophyll meters. Remote Sens. 2022, 14, 5144. [Google Scholar] [CrossRef]
- Yang, J.; Shen, Z.; Qu, P.; Yang, R.; Shao, A.; Li, H.; Cheng, C. Influences of jujube witches’ broom (JWB) phytoplasma infection and oxytetracycline hydrochloride treatment on the gene expression profiling in jujube. Int. J. Mol. Sci. 2023, 24, 10313. [Google Scholar] [CrossRef]
- Berger, C.; Laurent, F. Trunk injection of plant protection products to protect trees from pests and diseases. Crop Prot. 2019, 124, 104831. [Google Scholar] [CrossRef]
- Clifford, D.R.; Gendle, P.; Holgate, M.E. Uptake and movement of the fungicide imazalil following trunk injection into apple and plum trees by a novel, rapid technique. Ann. Appl. Biol. 1987, 111, 541–551. [Google Scholar] [CrossRef]






| № | Concentration | Chemical/ Control Agent | Formulation (Dilution Ratio)/ Number of Holes | DBH * (cm) | № | Concentration | Chemical/ Control Agent | Formulation (Dilution Ratio)/ Number of Holes | DBH * (cm) | ||
|---|---|---|---|---|---|---|---|---|---|---|---|
| Jeju-si | Seogwipo-si | ||||||||||
| 1 | Standard | OTC-ca ** (17%) | 2.0 g/50 mL (25-fold) | 4 | 20 | 24 | Standard | OTC-ca ** (17%) | 2.0 g/50 mL (25-fold) | 3 | 18 |
| 2 | 3 | 18 | 25 | 4 | 22 | ||||||
| 3 | 4 | 20 | 26 | 4 | 20 | ||||||
| 4 | 4 | 20 | 27 | 3 | 18 | ||||||
| 5 | 3 | >18 | >28 | 4 | 24 | ||||||
| 6 | OTC-hy *** (4.3%) | 3.0 mL/50 mL (16-fold) | 4 | 22 | 29 | OTC-hy *** (4.3%) | 3.0 mL/50 mL (16-fold) | 4 | 22 | ||
| 7 | 4 | 20 | 30 | 4 | 22 | ||||||
| 8 | 4 | 22 | 31 | 3 | 18 | ||||||
| 9 | 4 | 20 | 32 | 3 | 18 | ||||||
| 10 | 3 | 18 | 33 | 4 | 20 | ||||||
| 11 | High | OTC-ca ** (17%) | 4.0 g/50 mL (12.5-fold) | 3 | 16 | 34 | High | OTC-ca ** (17%) | 4.0 g/50 mL (12.5-fold) | 4 | 22 |
| 12 | 3 | 18 | 35 | 4 | 20 | ||||||
| 13 | 4 | 20 | 36 | 3 | 18 | ||||||
| 14 | 4 | 20 | 37 | 4 | 20 | ||||||
| 15 | 4 | 22 | 38 | 3 | 18 | ||||||
| 16 | OTC-hy *** (4.3%) | 6.0 mL/50 mL (8-fold) | 4 | 20 | 39 | OTC-hy *** (4.3%) | 6.0 mL/50 mL (8-fold) | 3 | 18 | ||
| 17 | 4 | 20 | 40 | 4 | 20 | ||||||
| 18 | 3 | 18 | 41 | 4 | 22 | ||||||
| 19 | 4 | 20 | 42 | 3 | 18 | ||||||
| 20 | 3 | 18 | 43 | 4 | 22 | ||||||
| 21 | Untreated | 20 | 44 | Untreated | 18 | ||||||
| 22 | 18 | 45 | 22 | ||||||||
| 23 | 18 | 46 | 24 | ||||||||
| Primer | Remark | Target Genes | Sequence (5′-3′) | Tm Value (°C) | Reference |
|---|---|---|---|---|---|
| P1 | Forward | 16S rRNA | AAGAGTTTGATCCTGGCTCAGGATT | 55 | Deng and Hiruki (1991) [31] |
| P7 | Reverse | 23S rRNA | CGTCCTTCATCGGCTCTT | Schneider et al. (1995) [32] |
| Replicates | Final Vol. (mL) | Injection Vol. (μL) | LOD a (ng) | Recovery (%) | Mean Recovery (%) | LOQ b (mg/kg) | RSD c (%) |
|---|---|---|---|---|---|---|---|
| 1 | 250 | 2 | 0.0002 | 97.6 | 95.3 ± 2.9 | 0.005 | 3.0 |
| 2 | 92.1 | ||||||
| 3 | 96.3 |
| Residue Levels of Oxytetracycline (mg/kg) | ||||
|---|---|---|---|---|
| Samples ID | Residue Levels | Average | ||
| Non-treated | 24C59N2_Ctrl | _1 | <0.005 | <0.005 |
| _2 | <0.005 | |||
| _3 | <0.005 | |||
| OTC-ca * | SP-Oxi-06E | 0.132 | 0.0893 (±0.10) | |
| SP-Oxi-06W | 0.036 | |||
| SP-Oxi-06N | 0.033 | |||
| SP-Oxi-06S | 0.156 | |||
| OTC-ca ** | SP-Oxi-10E | 0.189 | 0.1325 (±0.12) | |
| SP-Oxi-10W | 0.193 | |||
| SP-Oxi-10N | 0.111 | |||
| SP-Oxi-10S | 0.037 | |||
| OTC-hy *** | SP-Oxi-15E | 0.023 | 0.0278 (±0.02) | |
| SP-Oxi-15W | 0.005 | |||
| SP-Oxi-15N | 0.046 | |||
| SP-Oxi-15S | 0.037 | |||
| OTC-hy **** | SP-Oxi-20E | 0.190 | 0.0998 (±0.11) | |
| SP-Oxi-20W | 0.109 | |||
| SP-Oxi-20N | 0.088 | |||
| SP-Oxi-20S | 0.012 | |||
| Chemical/Control Agent | Previous Year’s Leaves | |
|---|---|---|
| Jeju-si Average | Seogwipo-si Average | |
| OTC-ca * | 52.5770 (±6.8, b) | 52.4550 (±4.0, c) |
| OTC-hy *** | 53.0750 (±7.1, b) | 56.1110 (±5.5, b) |
| OTC-ca ** | 52.9000 (±3.0, b) | 53.2900 (±2.8 c) |
| OTC-hy **** | 54.9200 (±4.4, b) | 52.0850 (±3.6, c) |
| Untreated | 46.5083 (±4.5, c) | 46.8083 (±2.7, d) |
| Healthy tree | 62.0375 (±4.2, a) | |
| № | Chemical/Control Agent | PCR-Based Detection of Phytoplasma Using P1/P7 Primers (Before and After Tree Injection) | Total Rate | ||||||||||
|---|---|---|---|---|---|---|---|---|---|---|---|---|---|
| Before | 60 Days | 90 Days | 150 Days | Undetected Rate (PCR) | |||||||||
| J * | S ** | J * | S ** | J * | S ** | J * | S ** | J * | S ** | J * | S ** | ||
| 1 | 24 | OTC-ca (Standard) | ○ | ○ | × | ○ | × | ○ | × | ○ | 60% | 40% | 50% |
| 2 | 25 | ○ | ○ | × | ○ | × | ○ | × | ○ | ||||
| 3 | 26 | ○ | ○ | × | × | × | × | ○ | × | ||||
| 4 | 27 | ○ | ○ | × | × | × | × | × | ○ | ||||
| 5 | 28 | ○ | ○ | ○ | × | ○ | × | ○ | × | ||||
| 11 | 34 | OTC-ca (High) | ○ | ○ | ○ | × | ○ | × | ○ | ○ | 40% | 40% | 40% |
| 12 | 35 | ○ | ○ | × | ○ | × | ○ | × | ○ | ||||
| 13 | 36 | ○ | ○ | ○ | × | ○ | × | ○ | × | ||||
| 14 | 37 | ○ | ○ | × | ○ | × | ○ | ○ | ○ | ||||
| 15 | 38 | ○ | ○ | × | × | × | × | × | × | ||||
| 6 | 29 | OTC-hy (Standard) | ○ | ○ | × | × | × | × | × | × | 60% | 80% | 70% |
| 7 | 30 | ○ | ○ | × | × | × | × | × | × | ||||
| 8 | 31 | ○ | ○ | × | ○ | × | ○ | ○ | ○ | ||||
| 9 | 32 | ○ | ○ | ○ | × | ○ | × | ○ | × | ||||
| 10 | 33 | ○ | ○ | × | × | × | × | × | × | ||||
| 16 | 39 | OTC-hy (High) | ○ | ○ | × | × | × | × | × | × | 80% | 60% | 70% |
| 17 | 40 | ○ | ○ | × | ○ | × | ○ | × | ○ | ||||
| 18 | 41 | ○ | ○ | × | × | × | × | × | ○ | ||||
| 19 | 42 | ○ | ○ | ○ | × | ○ | × | ○ | × | ||||
| 20 | 43 | ○ | ○ | × | × | × | × | × | × | ||||
| 21 | 44 | Untreated | ○ | ○ | ○ | ○ | ○ | ○ | ○ | ○ | 0% | ||
| 22 | 45 | ○ | ○ | ○ | ○ | ○ | ○ | ○ | ○ | ||||
| 23 | 46 | ○ | ○ | ○ | ○ | ○ | ○ | ○ | ○ | ||||
Disclaimer/Publisher’s Note: The statements, opinions and data contained in all publications are solely those of the individual author(s) and contributor(s) and not of MDPI and/or the editor(s). MDPI and/or the editor(s) disclaim responsibility for any injury to people or property resulting from any ideas, methods, instructions or products referred to in the content. |
© 2025 by the authors. Licensee MDPI, Basel, Switzerland. This article is an open access article distributed under the terms and conditions of the Creative Commons Attribution (CC BY) license (https://creativecommons.org/licenses/by/4.0/).
Share and Cite
Lee, G.-W.; Kang, K.-D.; Lee, Y.-D.; Lee, S.K.; Han, S.-S. Persistence of Phytoplasma and Control Efficacy of Oxytetracycline Tree Injection for Elaeocarpus sylvestris (Lour.) Poir. var. ellipticus (Thunb.) H.Hara Decline Disease. Forests 2025, 16, 1260. https://doi.org/10.3390/f16081260
Lee G-W, Kang K-D, Lee Y-D, Lee SK, Han S-S. Persistence of Phytoplasma and Control Efficacy of Oxytetracycline Tree Injection for Elaeocarpus sylvestris (Lour.) Poir. var. ellipticus (Thunb.) H.Hara Decline Disease. Forests. 2025; 16(8):1260. https://doi.org/10.3390/f16081260
Chicago/Turabian StyleLee, Geon-Woo, Kyung-Don Kang, Yeong-Don Lee, Sun Keun Lee, and Sang-Sub Han. 2025. "Persistence of Phytoplasma and Control Efficacy of Oxytetracycline Tree Injection for Elaeocarpus sylvestris (Lour.) Poir. var. ellipticus (Thunb.) H.Hara Decline Disease" Forests 16, no. 8: 1260. https://doi.org/10.3390/f16081260
APA StyleLee, G.-W., Kang, K.-D., Lee, Y.-D., Lee, S. K., & Han, S.-S. (2025). Persistence of Phytoplasma and Control Efficacy of Oxytetracycline Tree Injection for Elaeocarpus sylvestris (Lour.) Poir. var. ellipticus (Thunb.) H.Hara Decline Disease. Forests, 16(8), 1260. https://doi.org/10.3390/f16081260

