Abstract
The ethylene-insensitive 3-like (EIN3/EIL) gene family, as a transcriptional activator in plants, not only plays an important role in the ethylene-signaling pathway in regulating plant growth and development but also participates in the defense against various biotic and abiotic stresses. However, there are few studies on the functions of EIN3/EIL genes in woody plants. Populus × xiaohei is a kind of tree species with strong drought resistance and salt-alkali tolerance and, thus, is an ideal subject for studying abiotic stress mechanisms in trees. Eight EIN3/EIL genes were cloned from Populus × xiaohei. Bioinformatic analysis showed that the PsnEIN3/EIL gene contained a highly conserved EIN3 domain, N-terminal sites rich in proline and glutamine, and other EIN3/EIL family structural characteristics. The results of a multi-species phylogenetic analysis showed that the family EIN3/EIL proteins were divided into three groups (A, B, and C). EIL3 and EIL4 belonged to groups A and B, while EIL2 and EIN3 generally belonged to group C. Analysis of tissue expression characteristics showed that PsnEIN3/EIL was expressed in different tissues and was involved in the development of stem nodes and leaves. The response analysis of the expression of PsnEIN3/EIL under abscisic acid (ABA) and abiotic stresses (salts, heavy metals, alkaline conditions, and drought) showed changes in expression, suggesting that PsnEIN3/EIL may be involved in the processes of plant hormone responses to salts, heavy metals, alkaline conditions, and drought. This study provides a foundation for further elucidation of the functions of EIN3/EIL genes in forest growth and development and abiotic stress responses.
1. Introduction
Ethylene (ET), an endogenous hormone widely present in plants, is abundant in meristems, germinating seeds, senescent flowers, and fruits during ripening. ET not only plays an indispensable role in the whole growth and development of plants [1,2,3,4,5,6,7,8,9], but is also involved in the response to biotic and abiotic stresses such as mechanical damage, environmental adversity, and pathogens [10,11,12,13,14].
The ET-insensitive protein Ethylene-insensitive3/EIN3-like (EIN3/EIL) is a plant-specific protein that plays a key role in the ET signaling pathway [15]. As an important transcriptional activator, EIN3/EIL1 regulates ET-mediated transcriptional cascades through its DNA binding [16]. Research on EIN3/EIL began in 1993, with the isolation of the ein3 mutant and the cloning of EIN3 and its homologs EIN3-Like1 (EIL1) and EIL2 in Arabidopsis thaliana [17].
As research progressed, EIN3 and EIL were shown to share similar amino acid sequences, including a conserved structural domain-EIN3 domain and function [17], and they may play a role in the form of homologous or heterologous dimers or multimers [17]. In higher plants, EIN3/EIL is a small transcription factor family with different numbers of members in different species, with nine, nine, and seven members identified in A. thaliana, Oryza sativa, and Zea mays, respectively [17,18,19,20,21,22,23,24,25].
In A. thaliana and other annual plants, the EIN3/EIL gene family has been shown to play important roles in bud formation, leaf senescence, root growth, flower development, and morphogenesis. Seed germination of the A. thaliana double mutant ein3eil was significantly inhibited, and the proportion of leaf albinism increased, while EIN3 overexpression enhanced seed germination [26]. In leaves, A. thaliana plants with overexpression of EIN3 showed accelerated leaf senescence, while plants with loss of EIL1 function had delayed leaf senescence [17,27]. EIN3/EIL transcription factors can also affect root development. The number of crown roots in mutant ein2 and eil1 plants was significantly reduced, while overexpression of ein2 and eil1 resulted in more crown roots than in the wild type [28].
Flower shedding and flower senescence occurred in tomato plants after inhibition of LeEIL gene expression [20], suggesting that the EIN3/EIL gene is involved in flower development [29]. A. thaliana EIN3/EIL1 directly induces the expression of two key enzymes in the chlorophyll synthesis pathway, protochlorophyllide oxidoreductase A and B (PorA/B), and also works synergistically with the PIF1 gene of the photosensitive pigment interaction factors (PIFs) to prevent photooxidative damage and promote greening of cotyledons [30]. EIN3 also regulates the pigment-binding protein LHC that is essential for photosynthesis initiation [31] and is involved in the sulfur assimilation pathway [32].
The EIN3/EIL gene plays an important role in regulating plant tolerance to abiotic and biological stresses [25]. ESE1 is an ET regulatory gene downstream of EIN3/EIL1 that regulates the expression of genes related to the salt response pathway. The expression of ESE1 was inhibited in ein2, ein3, eil1-3, and ein3eil1 mutants. In addition, the transcription levels and salt tolerance of salt-responsive genes were increased in A. thaliana lines overexpressing EIN3 [33]. The tolerance to salt and drought stresses was enhanced by overexpression of the mulberry MnEIL3 gene in A. thaliana. In addition, MnEIL3 also enhanced the activities of MnACO1 and MnACS1 promoters in response to salt and drought stress. Therefore, MnEIL3 may play a role in resistance to salt and drought stress [34]. Drought is a major limiting factor for crop production, and EIN3 is able to respond to drought stress and actively regulate the growth and morphology of A. thaliana under drought stress [35]. In A. thaliana seedlings, cadmium inhibits the degradation of EIN3 protein, while EIN3 can enhance the inhibition of root growth under cadmium stress by regulating the expression of XTH33 and LSU1 genes that encode key regulators of cell wall elongation and sulfur metabolic processes. In addition, the ein4-1/ein3-1/eil1-1 mutants were also found to show stronger resistance to cadmium [36]. The expression of the target gene decreased in rice plants with the trauma-induced inhibition of the OsEIL1/OsEIL2 gene, suggesting an important role of EIL genes in trauma signaling in rice with EIL genes [25]. EIN3/EIL transcription factors are also involved in the regulation of pathogenic microbial stresses. In A. thaliana, ET and jasmonic acid (JA) act synergistically against necrotizing fungal infections by inducing EIL [37]. EIN3 and EIL1 negatively regulated the expression of salicylic acid (SA) and SA synthesis (SA induction deficient 2), thus inhibiting the immune response of plants to living trophic pathogens [38]. The double mutant ein3eil1 showed reduced susceptibility to the virulent bacteria DC3000 and the non-pathogenic bacteria DC3000 HRP L, suggesting that ein3eil1 negatively regulates the resistance of A. thaliana to both virulent and non-pathogenic bacteria [14].
Functional studies on EIN3/EIL genes have focused on annual plants, while only a few functional studies of EIN3/EIL genes in perennial woody plants have been reported. Populus × xiaohei, a hybrid of Populus simonii Carr and Populus nigra, is a greening and timber species occurring in northern China with strong resistance to cold, drought, and salinity [39]. It is an ideal species for studying abiotic stress mechanisms in trees. In this study, eight EIN3/EIL genes were cloned, and their sequence characteristics were analyzed. The expression patterns of the EIN3/EIL transcription factor family in the growth and development of Populus × xiaohei and abiotic stress response were explored by analyzing tissue-specific expression and expression under abiotic stress. The results provide a basis for understanding the functions of Populus × xiaohei EIN3/EIL gene.
2. Materials and Methods
2.1. Plant Material
The current year shoots of Populus × xiaohei asexual plants were cut into spikes with 1–2 axillary buds, and cuttings were inserted into a container with the same weight of mixed substrate (peat soil: vermiculite: perlite = 2:1:1). The culture conditions in the greenhouse were as follows: 16 h/d of light, 60–70% relative humidity, and 25 °C. After 50 days of growth, plants with uniform size and free from diseases and pests were selected as the subsequent research materials.
Specific roots, xylem, phloem, third leaves, and terminal buds of the asexual poplar plants were selected to analyze the expression of the EIN3/EIL genes in these tissue parts. The 1st–14th leaves and 1–11th stem segments of the whole plant, from the first young leaves at the top to the senescent leaves at the bottom, were used to study the expression of the EIN3/EIL genes during the development of leaves and stem segments.
The seedlings of Populus × xiaohei were irrigated (100 mL/d) with 0.4 mol/L NaCl, 150 μmol/L CdCl2, 0.3 mol/L NaHCO3, and 20% PEG solution to simulate abiotic stress. The leaves were sprayed with 100 μmol/L ABA daily to simulate exogenous hormone treatment. At 0, 6, 12, 24, 48, and 72 h of treatment, the roots and the third leaves were taken as research materials to analyze the responses of the EIN3/EIL genes to abiotic stress.
Three groups of samples were collected for each material as three biological replicates and were stored in a refrigerator at −80 °C for subsequent analysis.
2.2. Cloning of PsnEIN3/EIL Genes of Populus × xiaohei
Total RNA was extracted from the above parts of Populus × xiaohei using a plant RNA Extraction Kit (Bioteke Corporation, Beijing, China). The total RNA obtained was then reverse transcribed into cDNA using a Primescript MRT reagent kit (Toyobo (Shanghai) Biotech CO. Ltd., Shanghai, China), diluted 10 times, and used as a PCR template.
Specific primers were designed for cloning the full-length ORF of the EIN3/EIL genes of Populus × xiaohei with reference to the Populus trichocarpa genome (https://phytozome-next.jgi.doe.gov/pz/portal.html (accessed on 3 November 2021)) and the genome of Populus × xiaohei (unpublished) (Table 1). The cDNA of different tissue parts was used as the template for PCR amplification. The reaction system was as follows: 1.7 μL of 10 × KOD buffer, 1.7 μL of 2 mmol/L dNTPs, 0.8 μL of MgSO4, 1 μL of cDNA template, 0.6 μL of 10 mmol/L upstream and downstream primers, 0.4 μL of KOD Plus, and ddH2O supplemented to 20 μL. The PCR amplification was performed at 94 °C for 2 min, followed by 94 °C for 45 s, 58 °C for 45 s, and 68 °C for 2 min for 35 cycles, with a final extension at 68 °C for 10 min. The PCR products were detected by 1.0% agarose gel electrophoresis and purified products were linked to a pMD-18T vector, and the accuracy of the sequences was verified by PCR and sequencing.
Table 1.
Features of the eight PsnEIN3/EIL genes.
2.3. Bioinformatic Analysis
The ExPasy Proteomics Server (http://expasy.org/ (accessed on 10 December 2021)) was used to predict the molecular weights, isoelectric points and lengths of the cloned EIN3/EIL family member protein sequences [40]. Multiple sequence alignment was performed on EIN3/EIL protein sequences of Populus × xiaohei and A.thaliana by DNA-MAN using default parameters. ClustalW2 in BioEdit was used to align the amino acid sequences [41].
Then, a phylogenetic tree was constructed by the neighbor-joining (NJ) method using MGEA 7.0 with the parameter set to Bootstrap and the test time set to 1000 [42]. Multiple expectation maximization for motif elicitation (MEME, http://meme.nbcr.net/meme/cgi-bin/meme.cgi (accessed on 15 December 2021)) was employed to predict the conserved motifs of the proteins of the EIN3/EIL transcription factor family [43]. Parameter settings were as follows: max motif number, 10; min motif width, 6; and max motif width, 50 aa. The MG2C tool (http://mg2c.iask.in/mg2c_v2.0 (accessed on 23 December 2021)) was used to plot the location information of PsnEIN3/EIL gene on the corresponding chromosomes [44]. Using coding sequences, the Multiple Collinear Scanning toolkit (http://chibba.pgml.uga.edu/mcscan2/ (accessed on 23 December 2021)) under the Linux system was used to identify gene duplication events. The non-synonymous (Ka) and synonymous (Ks) substitution rates of the homologs were calculated by DnaSP (version 5.10) [45].
2.4. Semi-Quantitative Reverse Transcription PCR, (sqRT-PCR)
Semi-quantitative reverse transcription and polymerase chain reaction (sqRT-PCR) is a simple and specific method for studying differential regulation of target genes [46,47,48]. An sqRT-PCR analysis was performed in order to study the tissue expression characteristics and stress responses of the PsnEIN3/EIL genes [49,50]. The primers were designed according to the specific sequence of the PsnEIN3/EIL genes, and TUA was used as the internal reference gene. The PCR reaction system comprised 10μL 2 × Es Taq Mix, 2 μL cDNA template, 1 μL of 10 mmol/L upstream and downstream primers, and ddH2O supplemented to 20 μL. The reaction conditions were 94 °C for 2 min, 94 °C for 30 s, 58 °C for 30 s, and 72 °C for 10 s. A total of 40 cycles were performed. A housekeeping gene (an internal reference gene) was used as a reference standard in treatments and controls to observe the expression of the PsnEIN3/EIL genes (upregulated or downregulated) during stress [46,51,52,53]. Tanon Gis software was used to convert the electrophoretic bands into numerical values based on brightness, and Heml was used to draw heat maps [39].
3. Results and Analysis
3.1. Cloning and Identification of EIN3/EIL Gene Sequences of Populus × xiaohei
Using cDNAs from different tissues of Populus × xiaohei as a template, the specific primers were designed according to the genomic sequences of Populus × xiaohei and P. trichocarpa to obtain their full-length ORF sequences by PCR amplification. The amplification products were subjected to 1.0% agarose gel electrophoresis, and the purified gel products were ligated to a pMD-18T vector for bacterium fluid PCR tests and sequencing (Figure 1). The results showed that the specific sequences obtained were consistent with the expected target sequence size. The sequences were highly homologous to the EIN3/EIL genes of A.thaliana (Figure S1). Therefore, following the naming strategy of Li et al. [54], the obtained sequences were named PsnEIN3.1, PsnEIL2.1, PsnEIL2.2, PsnEIL2.3, PsnEIL2.4, PsnEIL2.5, PsnEIL4.1, and PsnEIL4.2.
Figure 1.
The products of PCR amplification of PsnEIN3/EIL gene. The arrow on the left is the band size of the electrophoresis marker. Electrophoresis bands from left to right: DL2000Marker(M); gel electrophoresis imaging bands of PsnEIL2.2, PsnEIL2.3, PsnEIL2.4, PsnEIL2.5, PsnEIL4.1, PsnEIL4.2, PsnEIN3.1, and PsnEIL2.1. The lengths of the PsnEIN3/EIL genes were 1980, 1989, 1989, 1962, 1197, 1788, 1854, and 1539 bp.
3.2. Bioinformatic Analysis of the EIN3/EIL Gene of Populus × xiaohei
3.2.1. Analysis of the Physicochemical Properties of PsnEIN3/EIL Gene in Populus × xiaohei
The physicochemical property analysis revealed that the length of the ORFs of the eight PsnEIN3/EIL genes ranged from 1197 to 1989, and the amino acid lengths of the members differed somewhat, ranging from 398 to 650 aa. The amino acid sequences of PsnEIL2.3 and PsnEIL2.4 proteins were the longest, both containing 662 aa; the amino acid sequence of PsnEIL2.1 protein was the shortest, containing 556 aa. The molecular weight of the proteins ranged from 44013.25 to 74934.21 Da. The theoretical isoelectric points ranged from 5.28 to 8.24, and most were acidic proteins. In addition, subcellular localization analysis demonstrated that all members were located in the nucleus (Table 1).
3.2.2. Multiple Sequence Alignment of PsnEIN3/EIL Proteins
The EIN3/EIL family is a class of specific proteins localized in the nucleus in higher plants. These proteins have highly conservative N-terminal sequences and contain acidic N-terminal amino acids, basic amino acid clusters and a proline-rich domain [23]. Conserved amino acid and characteristic analyses of the 14 EIN3/EIL proteins of Populus × xiaohei and A. thaliana were performed using BioEdit software to produce the complete alignment (Figure 2). In this study, PsnEIN3/EIL protein sequences exhibited some structural features of the EIN3/EIL family protein, with a completely conserved EIN3 domain at the N-terminus, an acidic amino acid enriched region (AD), five conserved basic amino acid enriched regions (BDⅠ–V), and a proline-rich region (PR) (Figure 2). It has been shown that regions rich in the acidic amino acids proline and glutamate are common transcriptional activation domains in some plants [17,55,56]. Therefore, it has been speculated that AD, BDⅠ–V, and PR are transcriptional activation domains and functional regions of the PsnEIN3/EIL transcription factor family. Meanwhile, amino acid residues 300–600 at the C-terminal sequences did not show any significant similarity, suggesting that these sequences may be crucial for the functional divergence of EIN3/EIL members.
Figure 2.
Sequence alignment of all identified EIN3/EIL genes in Populus × xiaohei and A. thaliana. Sequence comparisons were made via alignment using ClustaW, and identical or similar residues are shaded in different background colors. The areas with 100% similarity are displayed in black, pink indicates similarity of 75%, and blue indicates similarity of 50%. The approximate position of the EIN3 structural domain is shown as a red line above the matched sequences. Amino acid enrichment regions are indicated by black lines below the matched sequences: AD: acidic amino acid enrichment region; BDⅠ–V: basic amino acid enrichment regionⅠ–V; PR: proline enrichment region.
3.2.3. Phylogenetic Analysis of PsnEIN3/EIL Genes in Populus × xiaohei
In order to reveal the evolutionary relationship of EIN3/EIL genes between Populus × xiaohei and other species, a total of 30 EIN3/EIL protein sequences were analyzed to construct a phylogenetic tree, including sequences from A. thaliana (At: 6), Theobroma cacao (Tc: 3), O. sativa (Os: 6), Actinidia chinensis (Ac: 4), Z. Mays (Zm: 2), and Cucumis melo (Cm: 1), and Populus × xiaohei (Psn: 8). The phylogenetic tree was constructed by NJ using MEGA6.0 software (Figure 3).
Figure 3.
Phylogenetic relationships of EIN3/EIL genes of Populus × xiaohei and other species. The phylogenetic tree was generated from the alignment of 30 EIN3/EIL protein homeodomain sequences with 1000 bootstrap replicates. EIN3/EIL members are distributed in three main clades, namely clades A, B, and C marked in green, blue, and yellow, respectively. Bootstrap values are shown near the nodes. (At: Arabidopsis thaliana [AtEIN3 (NP_188713.1), AtEIL1 (NP_180273.1), AtEIL2 (NP_001332194.1), AtEIL3 (NP_177514.1), AtEIL4 (NP_20131.1), AtEIL5 (NP_196574)]; Tc: Theobroma Cacao [TcEIN3 (EOY34301.1), TcEIL3 (XP_017982625.1), TcEIL4 (EOX92159.1)]; Os: Oryza sativa [OsEIL1 (XP_015629857.1), OsEIL2 (XP_015646574.1), OsEIL3 (XP_015648717.1), OsEIL4 (XP_015625091.1), OsEIL5 (CAD40887.2), OsEIL6 (XP_015612094.1)]; Ac: Actinidia chinensis [AcEIL1 (PSS14564.1), AcEIL2 (PSS14565.1), AcEIL3 (ACJ70676.1), AcEIL4 (PSR86855.1), AcEIL5 (PSS21513.1)]; Zm: Zea Mays [ZmEIL5 (KJ726967.1), ZmEIL6 (KJ728014.1)]; Cm: Cmaris Melo [CmEIL2 (NW_007546307.1)]).
The phylogenetic tree clearly divided the EIN3/EIL proteins into three clades, A, B, and C. Clade C had the most members (16) and contained EIL1, EIL2, and EIN3 proteins, followed by groups B and A with 8 and 6 proteins, respectively, which consisted of EIL3, EIL4, and EIL5 proteins. Each clade contained EIN3/EIL proteins from monocots and dicots, and at least one member of the AtEIN3/EIL family was included in each clade in this phylogenetic tree. This indicates that the EIN3/EIL family divergence earlier than the divergence of Populus and A. thaliana. As can be seen from the figure, this protein family had high bootstrap values at most nodes of the phylogenetic tree, indicating that this family of genes is highly conserved in evolution. PsnEIN3.1 and TcEIN3, PsnEIL2 and CmEIL2, and PsnEIL4 and TcEIL3 were clustered in the A2, B2, and C1 sub-clades, respectively. Meanwhile, the eight Populus × xiaohei genes were classified into two groups, among which the five homologous genes of PsnEIL2 were extremely similar. Therefore, we speculated that the five genes of PsnEIL2 were formed by duplication during the evolutionary process. Moreover, the five PsnEIL2 and PsnEIN3.1 genes were clustered together with AtEIL1 and AtEIN3, but not with AtEIL2. Studies have shown that when a gene undergoes chromosomal tandem or partial duplication, it may lead to complete functional redundancy among the initially homologous genes [57], and both AtEIL1 and AtEIL2 genes can partially complement the phenotype of the AtEIN3 variant [58]. These results suggest that the functions of AtEIN3, AtEIL1, and AtEIL2 are partially similar and that the six Populus × xiaohei genes are functionally redundant and functionally similar to the A. thaliana EIN3/EIL genes.
3.2.4. Analysis of Conserved Motifs Analysis of EIN3/EIL Proteins
In order to further analyze the protein characteristics of the EIN3/EIL gene family, the online analysis software MEME was used to find conserved motifs in the EIN3/EIL proteins of A. thaliana and Populus × xiaohei (Figure 4). As a result, a total of 10 most conserved motifs (motif1–10) were identified in EIN3/EIL proteins, ranging in length from 21 to 50 amino acid residues (Figure 4B). Among these motifs, according to a previous study, motifs 2–5 located at the N-terminal may constitute a conserved domain of EIN3/EILs, further confirming that the N-terminal of EIN3/EIL members is a highly homologous sequence [59]. Moreover, the existence of such conserved motifs associated with the EIN3 domain also suggests the highly conserved structure of PsnEIN3/EIL.
Figure 4.
Analysis of the conserved motifs of EIN3/EIL genes in Populus × xiaohei and A. thaliana. Structural features of EIN3/EIL transcription factors in Populus × xiaohei and A. thaliana. (A) The NJ tree and motif analysis were constructed from a total of 14 EIN3/EIL genes from Populus × xiaohei and A. thaliana. The numbers below the motifs correspond to their approximate position and length in the residue. The EIN3 domain is located in the first half of the protein, between approximately 80 and 280 residues. (B) LOGO of 10 conservative motifs was predicted by the MEME tool.
As shown in Figure 4A, there were 10 conserved motifs (motifs 1–10) present in PsnEIL2 and PsnEIN3.1 proteins, and five conserved motifs (motifs 1–2 and motifs 4–6) in PsnEIL4.1. PsnEIL4.2 had six conserved motifs (motifs 1–6). This difference in the number of conserved motifs may be connected to the differential expression and related functions of the genes. Consistent with the phylogenetic tree results, most of the closely related EIN3/EILs exhibited highly similar motif compositions and distribution patterns. PsnEIL2 was significantly different from PsnEIL4, which was homologous to AtEIL3, indicating the possibility of different functions. It is noteworthy that the distribution of the PsnEIN3/EIL protein motif has typical characteristics: all members of the PsnEIN3/EIL contained five classes of identical motifs (motif 1, motif 2, motif 4, 5, and 6); the distribution order of the identified motifs is highly consistent, and the positions are basically the same, indicating that this gene family has been in evolution. Remarkably, PsnEIL2 and PsnEIN3.1 proteins contained a unique motif 9, suggesting that this motif may have a special function that distinguishes it from other EIN3/EIL proteins. The high conservation of EIN3/EIL family proteins in the N-terminal region is evidence of their evolutionary conservation and also indicates that they have important functions. We speculated that the conserved N-terminal motif may be closely related to the active center of this family of proteins. Moreover, functional differences of EIN3/EIL members are generally derived from carboxy-terminal sites of the proteins [19,60].
3.2.5. Chromosomal Location, Duplication Analysis, and Ka/Ks Calculation
To better understand duplication events and the distribution of the PsnEIN3/EIL genes, the identified PsnEIN3/EIL members were mapped to poplar chromosomes. The five genes identified were located on different chromosomes (Figure 5). The reported overlapping functions of the EIN3/EIL genes in the ET signaling pathway suggest synergistic cross-talk between the gene family members.
Figure 5.
Chromosomal location of PsnEIN3/EIL genes. EIN3/EIL genes were mapped to different poplar chromosomes using the MapGene2Chrom tool. Gene positions on chromosomes are as follows: Chr01:1163628-1167197, Chr03:20939782-20943057, Chr04:20998609-21002260, Chr08:626991-631538, and Chr10:22117935e22122336). Chr represents the chromosome. The rule on the left indicates the physical map distance among genes (Mbp).
Duplicate genes may occur through new functionalization, sub-functionalization, and non-functionalization during genetic evolution [61]. Therefore, it is important to detect duplication events in PsnEIN3/EIL.
The synteny relationship of EIN3/EIL genes was analyzed using the genome information from Populus × xiaohei. After screening the identity and position of sequences, a total of three pairs of EIN3/EIL syntenic paralogs were found, and three fragment duplication events were identified among the six PsnEIN3/EIL genes comprising the three pairs of PsnEIL2.1 and PsnEIL2.3, PsnEIL4.1 with PsnEIL4.2, and PsnEIN3.1 with EIN3-like genes. The results suggest that parts of the PsnEIN3/EIL genes may have been caused by gene duplication events, and these duplication events were the main factor for the PsnEIN3/EIL gene family amplification (Figure 6).
Figure 6.
Genome-wide synteny analysis of PsnEIN3/EIL genes. chr1–19 represent chromosomes in Populus × xiaohei. All identified EIN3/EIL genes were mapped onto corresponding chromosomes. The red lines link the syntenic paralogs.
To further understand the gene duplication mechanism of the EIN3/EIL gene family in Populus × xiaohei, a comparative map with the dicotyledonous plants A. thaliana, Glycine max, and M. pumila was constructed (Figure 7).
Figure 7.
Synteny analysis of EIN3/EIL genes between Populus × xiaohei and other plants. (A) Dicotyledonous plant A. thaliana. (B) Dicotyledonous plant G. max. (C) Dicotyledonous plant M. pumila. Gray lines in the background indicate collinear blocks within Populus × xiaohei and other plant genomes; red lines indicate syntenic EIN3/EIL gene pairs.
As shown in Figure 7, no homologs were found between the Populus × xiaohei and A. thaliana. In contrast, two and four pairs of homologs existed between Populus × xiaohei and G. max and M. pumila. The results showed that the PsnEIN3/EIL genes have experienced a high degree of divergence during evolution and are homologous within the dicotyledons.
After a brief period of relaxed selection early, most duplicated genes are silenced, with only a few survivors experiencing the strong purifying selection [61]. Selective pressure can provide insights into the duplication of genes the EIN3/EIL gene family. The calculated non-synonymous (Ka) and synonymous substitution (Ks) values are shown in Table S1. The Ka/Ks values of three gene pairs were all less than 1.0. Studies have shown that Ka/Ks = 1.0 means neutral drift; when Ka/Ks > 1.0, the selection is positive, and evolution is accelerated; and Ka/Ks < 1.0 indicates strong purifying selection [45]. The EIN3/EIL gene family in Populus × xiaohei and its diploid progenitors have undergone purifying selection pressure after the duplication events.
3.3. Gene Expression Pattern Analysis of EIN3/EIL Genes
3.3.1. Characterization of Tissue Expression of PsnEIN3/EIL in Populus × xiaohei
To further investigate the expression of all identified PsnEIN3/EIL genes and their potential biological functions, the expression of eight PsnEIN3/EIL genes in major tissues (roots, xylem, phloem, third leaves, and terminal buds) was analyzed (Figure 8). As shown in Figure 5, the overall expression levels of eight PsnEIN3/EIL genes were not specific to these five tissues, indicating that they may play roles in all examined tissues. There were significant differences in the expression of PsnEIN3/EIL genes in different tissues. PsnEIL2.3 and PsnEIL4.1 showed markedly high expression in roots. PsnEIL2.2 was highly expressed in phloem. Other genes were expressed in most tissues. Furthermore, PsnEIL2.1 and PsnEIL3.1 had the similar expression patterns, and were expressed in all tissues, except leaves, and, especially, in roots. The expression level of PsnEIL4.2 was the lowest in xylem and higher in the other four plant parts. These results suggest that the PsnEIN3/EIL genes may play different roles in the growth and development of Populus × xiaohei.
Figure 8.
Tissue-specific expression pattern of PsnEIN3/EIL genes. The heat map shows the relative expression levels of EIN3/EIL genes in different plant parts (roots, xylem, phloem, third leaves, and terminal buds) of Populus × xiaohei.
3.3.2. PsnEIN3/EIL Genes Showed Different Expression Patterns during the Development of Stems of Populus × xiaohei
The tissue expression analysis indicated that all six genes were expressed in both the xylem and the phloem of mature stems, except for PsnEIL2.3 and PsnEIL4.1, which were expressed at relatively lower levels in stems. To further reveal the role of EIN3/EIL genes during stem development, the expression of each gene from the first to the eleventh stem segment was analyzed (Figure 9).
Figure 9.
PsnEIN3/EIL gene expression patterns in different stem segments of Populus × xiaohei. Heat map showing the expression levels of the PsnEIN3/EIL genes in different stem segments. The first stem segment (1st) to the eleventh stem segment (11th) are presented in abbreviated form.
The results showed that the expression patterns of PsnEIL2.1 and PsnEIL2.5 showed a general trend of increasing expression with stem development, while the expression patterns of PsnEIL2.2, PsnEIL4.1, and PsnEIL4.2 were opposite, with high expression at the early stage of stem development; PsnEIL2.3, PsnEIL2.4, and PsnEIL3.1 had the higher expression levels in young stems, but low expression levels in most other stem segments (Figure 6). These results indicated that the roles of EIN3/EIL genes in the development of stem nodes of Populus × xiaohei were divergent.
3.3.3. Most PsnEIN3/EIL Genes Are Involved in the Maturation and Senescence Processes of Leaves
Analysis of gene expression in five tissues showed that the expression levels of PsnEIN3/EIL in the third leaves were different. To further analyze the role of each gene in leaf development, the first young leaves at the top and the senescent leaves at the bottom were collected.
The results showed that except for PsnEIL4.1 and PsnEIL4.2, the expression levels of the other six genes in this gene family were upregulated with the increase in leaf age (Figure 10). At the early stages of leaf development (1st–5th leaves), the genes were expressed at lower levels. The relative expression was gradually increased in the middle and late stages of leaf development (6th–13th leaves). Moreover, by the 14th leaf, the gene expression level had decreased significantly. This indicates that PsnEIN3.1 and PsnEIL2 performed semblable functions during leaf development. The PsnEIN3/EIL gene family may be involved in the maturation and senescence process of leaves, and the PsnEIL4 gene and the other six genes possibly have different functions in leaves.
Figure 10.
Relative PsnEIN3/EIL gene expression patterns in different leaves of Populus × xiaohei. Heat map showing the expression levels of PsnEIN3/EIL genes in different leaf developmental stages. The first leaf (1st) to the fourteenth leaf (14th) are presented in abbreviated form.
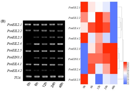
3.3.4. The PsnEIN3/EIL Gene of Populus × xiaohei Could Be Induced by High Salt Concentrations
Salt stress is one of the most serious abiotic factors that limit plant growth and development. AtEIN3 and EIL1 have been found to be involved in salt stress response as ET activated transcription factors [62]. The PtEIN3/EIL promoter of P. trichocarpa was found to contain multiple cis-acting elements induced by high salt concentrations (Figure S2, Table S2). In order to explore the effect of abiotic stress on the expression of the EIN3/EIL genes, the expression of PsnEIN3/EIL in roots and leaves under NaCl treatment was analyzed.
The results showed that PsnEIL4.2 had similar downregulated expression trends in roots and leaves under NaCl treatment, while other PsnEIN3/EIL genes showed different responses to NaCl stress in roots and leaves (Figure 11). In the roots, except for PsnEIL2.1 and PsnEIL2.2, which showed overall upregulation trends in expression, all the other five genes showed a transient decrease in expression at the beginning of treatment, followed by a significant increase, and then a rapid decrease as the treatment time was extended. In the leaves, NaCl treatment inhibited the expression of PsnEIL4.2, and the expression level showed a downregulation trend with the extension of treatment time. The expression patterns of other genes showed increased expression levels with the extension of stress time. PsnEIL2.1, PsnEIL2.5, and PsnEIL4.1 did not change significantly during the pre-treatment period, and their expression levels rapidly increased during the first 48 h and then decreased. However, PsnEIL2.2, PsnEIL2.3, and PsnEIN3.1 were upregulated in the early stage of treatment, followed by leveling off. Except for PsnEIL4.2, the expression of most genes was the highest at 48 h in leaves.
Figure 11.
EIN3/EIL gene expression patterns of Populus × xiaohei under Nacl stress. Heat map showing the relative expression levels of PsnEIN3/EIL genes during salt damage treatment. sqRT-PCR was used to measure the transcription levels in root and leaf samples under stress treatment, and the data were normalized. (A) Roots. (B) Leaf. The color scale on the right of the heat map indicates the expression level: red indicates upregulation, and blue indicates downregulation.
3.3.5. Involvement of PsnEIN3/EIL in the Response to Heavy Metal Stress in Populus × xiaohei
Heavy metal cadmium (CdCl2) stress not only seriously harms the normal growth and development of plants but also affects the yield and quality of crops. It has been found that ET can function under CdCl2 stress through EIN3-mediated transcriptional regulation [36]. As a key transcription factor, it is very important to study its expression pattern.
In roots, PsnEIN3/EIL genes showed a negative regulation pattern during the entire course of CdCl2 treatment, as most genes continued to be downregulated throughout the treatment process. PsnEIL2.1, PsnEIL2.2, and PsnEIL4.2 showed a downregulated trends in the early stage of stress, were temporarily increased at 12 h until 24 h, and then decreased sharply and remained relatively stable (Figure 12). In leaves, the expression levels of PsnEIL2.3, PsnEIL2.4, and PsnEIN3.1 were gradually upregulated with the extension of stress time. Gene expression was consistently elevated during the stress treatment. In contrast, the expression trends of PsnEIL2.1, PsnEIL2.5, and PsnEIL4.2 in leaves were similar to those in roots, showing an overall downregulation trend. However, the expression levels of PsnEIL2.2 and PsnEIL4.1 increased initially and decreased significantly during 48 h of treatment. The results suggest that CdCl2 may participate in the expression of PsnEIN3/EIL through the corresponding signal transduction pathway and that there are functional differences between PsnEIN3/EIL genes involved in heavy metal stress response of the roots and leaves of Populus × xiaohei.

Figure 12.
EIN3/EIL gene expression patterns of Populus × xiaohei under CdCl2 stress. (A) Root. (B) Leaf.
3.3.6. Response of PsnEIN3/EIL Genes to NaHCO3 in Populus × xiaohei
Land salinization has become one of the most important environmental problems worldwide. Salinization stress not only affects plant morphogenesis but also endangers the plant growth process. In this study, the expression patterns of the EIN3/EIL gene in Populus × xiaohei were studied by simulating alkali stress with NaHCO3 (Figure 13). The results showed that the PsnEIL4.2 gene was upregulated in both roots and leaves, and its expression was the highest at 48 h, indicating that this gene had similar functions in roots and leaves. In roots, except for PsnEIL4.2, the changes in the expression of PsnEIN3/EIL genes during alkaline stress treatment were similar to those during CdCl2 treatment, with a general decreasing trend in expression. The relative gene expression levels of the seven downregulated genes rebounded slightly at 12 h but were still significantly lower than the initial levels. The relative expression levels of PsnEIN2.3, PsnEIL2.4, and PsnEIN3.1 in the leaves showed an overall upward trend. The expression levels of PsnEIL2.1, PsnEIL2.2, PsnEIL2.5, and PsnEIL4.2 were very similar, and they all rapidly increased to the maximum at 48 h of treatment and then decreased. In roots, NaHCO3 stress inhibited the expression of PsnEIN3/EIL but had a positive effect on the expression of PsnEIN3/EIL in leaves.
Figure 13.
EIN3/EIL gene expression patterns of Populus × xiaohei under NaHCO3 stress. (A) Root. (B) Leaf.
3.3.7. Response of PsnEIN3/EIL Genes to PEG in Populus × xiaohei
Drought as an abiotic stress seriously affects plant growth and development. PEG simulated drought experiments were conducted to analyze the response of PsnEIN3/EIL genes to drought stress (Figure 14).
Figure 14.
EIN3/EIL gene expression patterns of Populus × xiaohei under PEG stress. (A) Root. (B) Leaf.
The expression levels of PsnEIL2.5 and PsnEIL4.1 in roots were always high during the PEG stress but decreased in the later stages. The expression levels of PsnEIL2.4, PsnEIN3.1, and PsnEIL4.2 did not change significantly in the early stages of treatment but decreased significantly after 48 h. In contrast, the expression levels of PsnEIL2.1, PsnEIL2.2, and PsnEIL2.3 were upregulated after 48 h, suggesting that Populus × xiaohei may function in the later stages of drought stress by regulating PsnEIN3/EIL gene expression.
PsnEIL4.2 was barely expressed in leaves under PEG drought stress. However, PsnEIL2.1, PsnEIL2.3, PsnEIL2.4, PsnEIN3.1, and PsnEIL4.1 showed a trend of upregulation, in which the relative gene expression levels began to increase at 12 h, and then appeared to decrease at 48 h. The gene expression levels slightly rebounded at 72 h. In contrast, the expression levels of PsnEIL2.2 and PsnEIL2.5 genes showed an overall downward trend. The results showed that the PsnEIN3/EIL genes were involved in the response to drought stress in the roots and leaves of Populus × xiaohei, and that the PsnEIL2.2 gene was different from PsnEIL2.4, PsnEIN3.1, and PsnEIL4.2 genes in regulating the response to drought stress in the roots.
3.3.8. The PsnEIN3/EIL Genes were Involved in the Abscisic Acid Response of Populus × xiaohei
ABA, a plant endogenous hormone, not only regulates the physiological roles of bud dormancy, leaf abscission, stomatal closure, and cell growth inhibition but also plays an important role in plant response to stress. Analysis of the PtEIN3/EIL gene promoter response elements (Figure S2, Table S2) showed that the PtEIN3/EIL gene contained different numbers of ABA response elements. Therefore, the changes in PsnEIN3/EIL gene expression level under ABA treatment were analyzed (Figure 15). The results showed that exogenous ABA could induce PsnEIN3/EIL gene response, and there were differences in the expression trends. The expression levels of PsnEIL2, PsnEIL4.1, and PsnEIN3.1 genes were upregulated with treatment time, except for PsnEIL4.2, which was significantly downregulated. The expression level of PsnEIL2.5 was the highest at 0 h of treatment, then significantly decreased at the initial stage of treatment, and then increased. These results suggest that PsnEIN3/EIL may be involved in a hormone response pathway, and PsnEIL4.2 may play an opposite role in ABA signaling response with other PsnEIN3/EIL genes.
Figure 15.
EIN3/EIL gene expression patterns of Populus × xiaohei under ABA stress.
4. Discussion
Poplar EIN3/EIL contains a highly conserved EIN3 domain specific to EIL proteins [59], as well as other important structural features of EIN3/EIL family genes, including an acidic amino acid region, a proline rich region, and five basic amino acid domains (BDI–V). The acidic region and the proline and glutamine rich region are common transcriptional activation regions in plants [17,55,56]. Similar to the EIN3/EIL genes in Gossypium spp., A. thaliana, Poplar, and C. melon [63,64,65], the N-terminal of the PsnEIN3/EIL protein is highly conserved, and there are highly conserved protein motifs: GFVYGI, PPQR, PLE, PPWWP, and KPHDL. Compared with the N-terminal sequence, the C-terminal amino acid sequence of PsnEIN3/EIL is less conserved [17,21], speculated that the functional difference of EIN3/EIL gene is determined by the C-terminal sequence. The high similarity in the amino acid sequence structure of the PsnEIN3/EIL transcription factor in Populus × xiaohei and other plants such as A. thaliana and the highly conserved amino acid sequence of its gene counterpart implies that the gene may have a conserved function associated, suggesting that the gene family may have some similar functions in higher plants. Phylogenetic tree analysis showed that PsnEIN3.1 clustered with TcEIN3 and AtEIN3, PsnEIL2 with CmEIL2, and PsnEIL4 with AcEIL4. This not only indicated the affinity between Populus × xiaohei and EIN3/EIL members of other plants but also implies the functional differences among members. The main way of functional differentiation and generation of new genes is gene replication and differentiation [66]. Among the six genes clustered with AtEIN3, AtEIL1, and AtEIL2 in the phylogenetic tree, PsnEIL2 was more likely to have evolved from AtEIL2, while PsnEIL3.1 may be a duplicate gene that emerged during the evolution of AtEIN3 and AtEIL1.
EIN3/EIL genes are expressed in almost all tissues of higher plants, but there are differences in their expression levels and expression patterns. In tobacco, NtEIN3/EIL is expressed in roots, stems, leaves, and flowers, with NtEIL1 and NtEIL2 expressed at relatively high levels in roots [21]. In contrast, in grape, the expression of EIN3/EIL genes in different tissues is from high to low in stems, leaves and roots. Eight PsnEIN3/EIL genes showed different levels of expression in roots, xylem, phloem, terminal buds, and third leaves, and the expression level was higher in roots, followed by phloem. When we analyzed the expression levels of PsnEIN3/EIL genes in stem node development, from the 1st node to the 11th node, the expression levels of PsnEIL2.1 and PsnEIL2.5 showed an upward trend, and the expression levels of PsnEIL2.3, PsnEIL2.4 and PsnEIL3.1 were the highest in tender stems, while the expression levels were lower in most other stem nodes. This indicates that the PsnEIN3/EIL genes may be involved in the development of roots and stems. OsEIL1 directly regulates the expression of the downstream target gene REIN7/YUC8, regulates the synthesis of auxin in rice primary roots, and participates in the process of ET inhibiting the elongation and growth of primary roots [67]. A. thaliana EIN3 interacts with RHD6 (Root Hair Defective 6) to activate the expression of RSL4 (RHD6-like 4), thereby promoting root hair elongation [68]. In other tissues, different genes showed different expression levels, suggesting that PsnEIN3/EIL performed different functions in different tissues, including leaf growth and development as well as in response to stress. In the expression analysis of leaf development, the expression of other genes in the middle and late stages of leaf development (6th–13th leaves) showed that overall upregulation trend, except for PsnEIL4.1 and PsnEIL4.2, indicating that PsnEIN3/EIL may be related to accelerated senescence. In A. thaliana, EIN3 accelerates ET- mediated leaf senescence through direct activation of A. thaliana chlorophyll catabolism genes [17,27,69]; the EIN3 gene can cause senescence and the non-sprouting phenotype of transgenic A. thaliana leaves [30]. Ectopic expression of MdEIL1 in A. thaliana promotes leaf senescence by directly binding to the promoter of its target gene miR164 [70]. The above evidence confirms that EIN3/EIL is involved in leaf senescence.
Recent studies have found that in addition to playing an important role in plant development [71,72], EIN3/EIL transcription factors are also involved in the regulation of plant hormones and the response to stresses, such as salinity, heavy metals, and drought [2,13,32,62]. We analyzed the cis-acting elements of the PtEIN3/EIL gene promoter of P. trichocarpa, and found that it contained multiple hormones and response elements to stress. After exogenous ABA treatment, PsnEIN3/EIL showed an overall upward trend, except for PsnEIL4, indicating that PsnEIN3/EIL was involved in the response to ABA signaling. During NaCl, CdCl2, NaHCO3 and PEG treatments, PsnEIN3/EIL genes were all induced by stress to varying degrees, although showing individual differences. The expression levels of PsnEIN3/EIL were changed under salt stress induction; PsnEIL2.1 and PsnEIL2.2 were upregulated in both roots and leaves of Populus × xiaohei, suggesting that PsnEIL2.1 and PsnEIL2.2 played key roles in enhancing the salt tolerance of Populus × xiaohei. Currently, there are few studies on the salt tolerance of EIL2 genes, but a large number of studies have shown that EIN3, EIL1, and EIL2 can partially complement the phenotype of EIN3 mutants [63], indicating that there is functional redundancy among EIN3, EIL1, and EIL2 genes. In A. thaliana, under high salt stress, the germination of an ein3eil1 double mutant strain was significantly inhibited, while the germination of an EIN3 overexpressed strain was significantly increased, and the resistance at the seedling stage was enhanced, suggesting that the expression of the EIN3 gene plays an important role in alleviating the inhibition of germination and growth injury induced by high salt stress [73]. The expression of the EIN3 gene in A. thaliana can also prevent the accumulation of reactive oxygen species (ROS) involved in excessive salt stress and improve tolerance to salt stress [62]. A. thaliana double mutants ein4-1, ein3-1, and eil1-1 showed higher tolerance to cadmium stress [36]. The relative expression levels of eight PsnEIN3/EIL genes in the roots of A. nigra showed a general downward trend. The expression trends of PsnEIL2.1, PsnEIL2.5, and PsnEIL4.2 genes in leaves were similar to the pattern in roots, with downregulated expression. It has been speculated that the EIN3/EIL genes, which were significantly downregulated in Populus × xiaohei under CdCl2 stress, may be involved in the process of its stress response and play a positive role. The tolerance to drought stress was enhanced by overexpression of the mulberry MnEIL3 gene in A. thaliana; in addition, MnEIL3 also enhanced the activity of the MnACS1 promoter in response to drought stress. Therefore, MnEIL3 may play an important role in plant resistance to abiotic stresses [34]. The expression levels of PsnEIL2.1 and PsnEIL2.3 genes were upregulated in both roots and leaves after drought treatment, suggesting that these two genes play positive roles in coping with drought stress in Populus × xiaohei. Similarly, in A. thaliana, EIN3 was able to respond to PEG-simulated drought stress and positively regulated the morphological growth of A. thaliana under drought stress [35]. The above studies suggest that PsnEIN3/EIL may be involved in the response to multiple abiotic stresses.
5. Conclusions
In this study, the ORF sequences of eight PsnEIN3/EIL genes were successfully cloned, all of which contained a highly conserved EIN3 homeodomain. Bioinformatic analyses showed that the genes belonged to the EIN3/EIL family. Phylogenetic analysis of 30 EIN3/EIL genes from different species showed that the EIN3/EIL genes were divided into three clades: A, B, and C. EIL3 and EIL4 belonged to clade A and clade B, while EIL2 and EIN3 were mainly belonged to clade C. An sqPCR analysis showed that the expression characteristics of EIN3/EIL family members differed in different tissues, with PsnEIL2.3 and PsnEIL4.1 being highly expressed in roots. PsnEIL2.2 and PsnEIL2.4 were mainly expressed in phloem and xylem, respectively. The relative expression levels of a total of six homologous genes in the PsnEIL2 and PsnEIL3 subfamilies in leaves were generally upregulated with leaf maturation. PsnEIN3/EIL genes also showed varying degrees of response to NaCl, CdCl2, NaHCO3, and PEG stresses. The expression of PsnEIN3/EIL genes in roots showed an overall downregulation trend under NaCl, CdCl2, and NaHCO3 stresses. However, the relative expression levels of PsnEIL2.3, PsnEIL2.4, and PsnEIN3.1 in leaves under three kinds of stress increased with the extension of stress time. Under drought stress, the PsnEIL2.1 expression pattern was similar in roots and leaves, showing a trend of upregulation. This study suggests that EIN3/EIL genes of Populus × xiaohei may be involved in the response to various abiotic stresses.
Supplementary Materials
The following supporting information can be downloaded at: https://www.mdpi.com/article/10.3390/f13030382/s1. Table S1: Information on the segmental duplications analysis of the PsnEIN3/EIL genes, Table S2: PlantCARE prediction results of the PtrEIN3/EIL genes, Figure S1: Phylogenetic tree of Populus × xiaohei and A. thaliana, Figure S2: The EIN3/EIL gene family promoter element prediction of P. trichocarpa.
Author Contributions
Conceptualization, H.L. and Y.L. (Yuting Liu); methodology, H.L.; software, Y.L. (Yuting Liu), F.L. and B.W.; validation, Y.L. (Yuting Liu) and H.L.; formal analysis, Y.L. (Yuting Liu); investigation, Y.L. (Yuting Liu), C.J., Y.L. (Yue Li), L.W., J.J. and Z.Z.; resources, Y.L. (Yuting Liu); data curation, Y.L. (Yuting Liu) and H.L.; writing—original draft preparation, Y.L. (Yuting Liu); writing—review and editing, H.L.; visualization, Y.L. (Yuting Liu); supervision, H.L.; project administration, H.L.; funding acquisition, H.L. All authors have read and agreed to the published version of the manuscript.
Funding
This research was funded by the Heilongjiang Touyan Innovation Team Program (Tree Genetics and Breeding Innovation Team) and the Major Special Project on Breeding New Varieties of Genetically Modified Organisms, grant number 2018ZX08020002.
Institutional Review Board Statement
Not applicable.
Informed Consent Statement
Not applicable.
Data Availability Statement
Not applicable.
Conflicts of Interest
The authors declare no conflict of interest.
References
- Suttle, J.C.; Hultstrand, J.F. Ethylene-induced leaf abscission in cotton seedlings: The physiological bases for age-dependent differences in sensitivity. Plant Physiol. 1991, 95, 29–33. [Google Scholar] [CrossRef] [PubMed]
- Johnson, P.R.; Ecker, J.R. The ethylene gas signal transduction pathway: A molecular perspective. Annu. Rev. Genet. 1998, 32, 227–254. [Google Scholar] [CrossRef] [PubMed]
- Qin, Y.M.; Hu, C.Y.; Pang, Y.; Kastaniotis, A.J.; Hiltunen, J.K.; Zhu, Y.X. Saturated very-long-chain fatty acids promote cotton fiber and Arabidopsis cell elongation by activating ethylene biosynthesis. Plant Cell 2007, 19, 3692–3704. [Google Scholar] [CrossRef]
- Wang, D.H.; Li, F.; Duan, Q.H.; Han, T.; Xu, Z.H.; Bai, S.N. Ethylene perception is involved in female cucumber flower development. Plant J. 2010, 61, 862–872. [Google Scholar] [CrossRef] [PubMed]
- Wuriyanghan, H.; Zhang, B.; Cao, W.H.; Ma, B.; Lei, G.; Liu, Y.F.; Wei, W.; Wu, H.J.; Chen, L.J.; Chen, H.W.; et al. The ethylene receptor ETR2 delays floral transition and affects starch accumulation in rice. Plant Cell 2009, 21, 1473–1494. [Google Scholar] [CrossRef] [PubMed]
- Etchells, J.P.; Provost, C.M.; Turner, S.R. Plant vascular cell division is maintained by an interaction between PXY and ethylene signalling. PLoS Genet. 2012, 8, e1002997. [Google Scholar] [CrossRef]
- Corbineau, F.; Xia, Q.; Bailly, C.; El-Maarouf-Bouteau, H. Ethylene, a key factor in the regulation of seed dormancy. Front. Plant Sci. 2014, 5, 539. [Google Scholar] [CrossRef]
- Dubois, M.; Van den Broeck, L.; Inze, D. The Pivotal Role of Ethylene in Plant Growth. Trends Plant Sci. 2018, 23, 311–323. [Google Scholar] [CrossRef]
- Feng, G.; Sanderson, B.J.; Keefover-Ring, K.; Liu, J.; Ma, T.; Yin, T.; Smart, L.B.; DiFazio, S.P.; Olson, M.S. Pathways to sex determination in plants: How many roads lead to Rome? Curr. Opin. Plant Biol. 2020, 54, 61–68. [Google Scholar] [CrossRef]
- van Loon, L.C.; Geraats, B.P.; Linthorst, H.J. Ethylene as a modulator of disease resistance in plants. Trends Plant Sci. 2006, 11, 184–191. [Google Scholar] [CrossRef]
- Clarke, S.M.; Cristescu, S.M.; Miersch, O.; Harren, F.J.M.; Wasternack, C.; Mur, L.A.J. Jasmonates act with salicylic acid to confer basal thermotolerance in Arabidopsis thaliana. New Phytol. 2009, 182, 175–187. [Google Scholar] [CrossRef] [PubMed]
- Thomashow, M.F. Molecular basis of plant cold acclimation: Insights gained from studying the CBF cold response pathway. Plant Physiol. 2010, 154, 571–577. [Google Scholar] [CrossRef] [PubMed]
- Du, H.; Wu, N.; Cui, F.; You, L.; Li, X.; Xiong, L. A homolog of Ethylene Overproducer, OSETOL1, differentially modulates drought and submergence tolerance in rice. Plant J. 2014, 78, 834–849. [Google Scholar] [CrossRef] [PubMed]
- Guan, R.; Su, J.; Meng, X.; Li, S.; Liu, Y.; Xu, J.; Zhang, S. Multilayered Regulation of Ethylene Induction Plays a Positive Role in Arabidopsis Resistance against Pseudomonas syringae. Plant Physiol. 2015, 169, 299–312. [Google Scholar] [CrossRef]
- Binder, B.M. Ethylene signaling in plants. J. Biol. Chem. 2020, 295, 7710–7725. [Google Scholar] [CrossRef] [PubMed]
- Dolgikh, V.A.; Pukhovaya, E.M.; Zemlyanskaya, E.V. Shaping Ethylene Response: The Role of EIN3/EIL1 Transcription Factors. Front. Plant Sci. 2019, 10, 1030. [Google Scholar] [CrossRef] [PubMed]
- Chao, Q.; Rothenberg, M.; Solano, R.; Roman, G.; Terzaghi, W.; Ecker, J.R. Activation of the ethylene gas response pathway in Arabidopsis by the nuclear protein ETHYLENE-INSENSITIVE3 and related proteins. Cell 1997, 89, 1133–1144. [Google Scholar] [CrossRef]
- Berardini, T.Z.; Reiser, L.; Li, D.; Mezheritsky, Y.; Muller, R.; Strait, E.; Huala, E. The Arabidopsis information resource: Making and mining the “gold standard” annotated reference plant genome. Genesis 2015, 53, 474–485. [Google Scholar] [CrossRef]
- Kosugi, S.; Ohashi, Y. Cloning and DNA-binding properties of a tobacco Ethylene-Insensitive3 (EIN3) homolog. Nucleic. Acids Res. 2000, 28, 960–967. [Google Scholar] [CrossRef]
- Tieman, D.M.; Ciardi, J.A.; Taylor, M.G.; Klee, H.J. Members of the tomato LeEIL (EIN3-like) gene family are functionally redundant and regulate ethylene responses throughout plant development. Plant J. 2001, 26, 47–58. [Google Scholar] [CrossRef]
- Rieu, I.; Mariani, C.; Weterings, K. Expression analysis of five tobacco EIN3 family members in relation to tissue-specific ethylene responses. J. Exp. Bot. 2003, 54, 2239–2244. [Google Scholar] [CrossRef] [PubMed]
- Yokotani, N.; Tamura, S.; Nakano, R.; Inaba, A.; Kubo, Y. Characterization of a novel tomato EIN3-like gene (LeEIL4). J. Exp. Bot. 2003, 54, 2775–2776. [Google Scholar] [CrossRef] [PubMed]
- Guo, H.; Ecker, J.R. The ethylene signaling pathway: New insights. Curr. Opin. Plant Biol. 2004, 7, 40–49. [Google Scholar] [CrossRef] [PubMed]
- Mao, C.; Wang, S.; Jia, Q.; Wu, P. OsEIL1, a rice homolog of the Arabidopsis EIN3 regulates the ethylene response as a positive component. Plant Mol. Biol. 2006, 61, 141–152. [Google Scholar] [CrossRef]
- Hiraga, S.; Sasaki, K.; Hibi, T.; Yoshida, H.; Uchida, E.; Kosugi, S.; Kato, T.; Mie, T.; Ito, H.; Katou, S.; et al. Involvement of two rice ETHYLENE INSENSITIVE3-LIKE genes in wound signaling. Mol. Genet. Genom. 2009, 282, 517–529. [Google Scholar] [CrossRef]
- Li, Y.; Jiang, F.; Shi, X.; Liu, X.; Yang, H.; Zhang, Z. Identification and Characterization of the Cyclin-Dependent Kinases Gene Family in Silkworm, Bombyx mori. DNA Cell Biol. 2016, 35, 13–23. [Google Scholar] [CrossRef]
- Li, Z.; Peng, J.; Wen, X.; Guo, H. Ethylene-insensitive3 is a senescence-associated gene that accelerates age-dependent leaf senescence by directly repressing miR164 transcription in Arabidopsis. Plant Cell 2013, 25, 3311–3328. [Google Scholar] [CrossRef]
- Hua, Q.; Zhijin, Z.; Juan, W.; Xinbing, C.; Pengcheng, W.; Rongfeng, H.; Hao, Y. The activation of OsEIL1 on YUC8 transcription and auxin biosynthesis is required for ethylene-inhibited root elongation in rice early seedling development. PLoS Genet. 2017, 13, e1006955. [Google Scholar]
- Hibi, T.; Kosugi, S.; Iwai, T.; Kawata, M.; Seo, S.; Mitsuhara, I.; Ohashi, Y. Involvement of EIN3 homologues in basic PR gene expression and flower development in tobacco plants. J. Exp. Bot. 2007, 58, 3671–3678. [Google Scholar] [CrossRef]
- Zhong, S.; Zhao, M.; Shi, T.; Shi, H.; An, F.; Zhao, Q.; Guo, H. EIN3/EIL1 cooperate with PIF1 to prevent photo-oxidation and to promote greening of Arabidopsis seedlings. Proc. Natl. Acad. Sci. USA 2009, 106, 21431–21436. [Google Scholar] [CrossRef]
- Liu, X.; Liu, R.; Li, Y.; Shen, X.; Zhong, S.; Shi, H. EIN3 and PIF3 Form an Interdependent Module That Represses Chloroplast Development in Buried Seedlings. Plant Cell 2017, 29, 3051–3067. [Google Scholar] [CrossRef] [PubMed]
- Sirko, A.; Wawrzynska, A.; Rodriguez, M.C.; Sektas, P. The family of LSU-like proteins. Front. Plant Sci. 2014, 5, 774. [Google Scholar] [CrossRef] [PubMed]
- Zhang, L.; Li, Z.; Quan, R.; Li, G.; Wang, R.; Huang, R. An AP2 domain-containing gene, ESE1, targeted by the ethylene signaling component EIN3 is important for the salt response in Arabidopsis. Plant Physiol. 2011, 157, 854–865. [Google Scholar] [CrossRef]
- Liu, C.; Li, J.; Zhu, P.; Yu, J.; Hou, J.; Wang, C.; Long, D.; Yu, M.; Zhao, A. Mulberry EIL3 confers salt and drought tolerances and modulates ethylene biosynthetic gene expression. PeerJ 2019, 7, e6391. [Google Scholar] [CrossRef] [PubMed]
- Yang, L. Ethylene Signal is Involved in Regulating Arabidopsis Response to Drought Stress Stimulated by PEG. Plant Divers. 2010, 32, 89–96. [Google Scholar]
- Kong, X.; Li, C.; Zhang, F.; Yu, Q.; Gao, S.; Zhang, M.; Tian, H.; Zhang, J.; Yuan, X.; Ding, Z. Ethylene promotes cadmium-induced root growth inhibition through EIN3 controlled XTH33 and LSU1 expression in Arabidopsis. Plant Cell Environ. 2018, 41, 2449–2462. [Google Scholar] [CrossRef]
- Zhu, Z.; An, F.; Feng, Y.; Li, P.; Xue, L.; Mu, A.; Jiang, Z.; Kim, J.M.; To, T.K.; Li, W.; et al. Derepression of ethylene-stabilized transcription factors (EIN3/EIL1) mediates jasmonate and ethylene signaling synergy in Arabidopsis. Proc. Natl. Acad. Sci. USA 2011, 108, 12539–12544. [Google Scholar] [CrossRef]
- Shi, H.; Zhang, Y.; Chen, L. Expression and Regulation of PpEIN3b during Fruit Ripening and Senescence via Integrating SA, Glucose, and ACC Signaling in Pear (Pyrus pyrifolia Nakai. Whangkeumbae). Genes 2019, 10, 476. [Google Scholar] [CrossRef]
- Li, Y.; Jin, C.; Liu, Y.; Wang, L.; Li, F.; Wang, B.; Liu, G.; Jiang, J.; Li, H. Global Analysis of the WOX Transcription Factor Gene Family in Populus × xiaohei T. S. Hwang et Liang Reveals Their Stress−Responsive Patterns. Forests 2022, 13, 122. [Google Scholar] [CrossRef]
- Wilkins, M.R.; Gasteiger, E.; Bairoch, A.; Sanchez, J.C.; Williams, K.L.; Appel, R.D.; Hochstrasser, D.F. Protein identification and analysis tools in the ExPASy server. Methods Mol. Biol. 1999, 112, 531–552. [Google Scholar] [CrossRef]
- Thompson, J.D.; Higgins, D.G.; Gibson, T.J. CLUSTAL W: Improving the sensitivity of progressive multiple sequence alignment through sequence weighting, position-specific gap penalties and weight matrix choice. Nucleic Acids Res. 1994, 22, 4673–4680. [Google Scholar] [CrossRef] [PubMed]
- Kumar, S.; Stecher, G.; Tamura, K. MEGA7: Molecular Evolutionary Genetics Analysis Version 7.0 for Bigger Datasets. Mol. Biol. Evol. 2016, 33, 1870–1874. [Google Scholar] [CrossRef]
- Bailey, T.L.; Boden, M.; Buske, F.A.; Frith, M.; Grant, C.E.; Clementi, L.; Ren, J.; Li, W.W.; Noble, W.S. MEME SUITE: Tools for motif discovery and searching. Nucleic Acids Res. 2009, 37, W202–W208. [Google Scholar] [CrossRef] [PubMed]
- Bolser, D.M.; Staines, D.M.; Perry, E.; Kersey, P.J. Ensembl Plants: Integrating Tools for Visualizing, Mining, and Analyzing Plant Genomic Data. Methods Mol. Biol. 2017, 1533, 1–31. [Google Scholar] [CrossRef] [PubMed]
- Rozas, J.; Rozas, R. DnaSP version 2.0: A novel software package for extensive molecular population genetics analysis. Comput. Appl. Biosci. 1997, 13, 307–311. [Google Scholar] [PubMed]
- Wang, F. Semi-Quantitative RT-PCR: An Effective Method to Explore the Regulation of Gene Transcription Level Affected by Environmental Pollutants. Methods Mol. Biol. 2021, 2326, 95–103. [Google Scholar] [CrossRef]
- Abdelmigid, H.M. Expression analysis of Type 1 and 2 Metallothionein genes in Rape (Brassica napus L.) during short-term stress using sqRT-PCR analysis. Indian J. Exp. Biol. 2016, 54, 212–218. [Google Scholar]
- Aguilar-Hernandez, H.S.; Santos, L.; Leon-Galvan, F.; Barrera-Pacheco, A.; Espitia-Rangel, E.; De Leon-Rodriguez, A.; Guevara-Gonzalez, R.G.; Barba de la Rosa, A.P. Identification of calcium stress induced genes in amaranth leaves through suppression subtractive hybridization. J. Plant Physiol. 2011, 168, 2102–2109. [Google Scholar] [CrossRef]
- Mukhopadhyay, P.; Tyagi, A.K. OsTCP19 influences developmental and abiotic stress signaling by modulating ABI4-mediated pathways. Sci. Rep. 2015, 5, 9998. [Google Scholar] [CrossRef]
- Zhou, M.; Li, D.; Li, Z.; Hu, Q.; Yang, C.; Zhu, L.; Luo, H. Constitutive expression of a miR319 gene alters plant development and enhances salt and drought tolerance in transgenic creeping bentgrass. Plant Physiol. 2013, 161, 1375–1391. [Google Scholar] [CrossRef]
- Ji, R.; Ge, W.; Wang, H.; Zhao, Y.; Feng, H. BrSKS13, a multiple-allele-inherited male sterility-related gene in Chinese cabbage (Brassica rapa L. ssp. pekinensis), affects pollen development and pollination/fertilization process. Gene 2019, 696, 113–121. [Google Scholar] [CrossRef] [PubMed]
- Samanta, S.K.; Ghosh, S.K. The chitin biosynthesis pathway in Entamoeba and the role of glucosamine-6-P isomerase by RNA interference. Mol. Biochem. Parasitol. 2012, 186, 60–68. [Google Scholar] [CrossRef] [PubMed]
- Gu, Y.B.; Ji, Z.R.; Chi, F.M.; Qiao, Z.; Xu, C.N.; Zhang, J.X.; Zhou, Z.S.; Dong, Q.L. Genome-wide identification and expression analysis of the WRKY gene family in peach. Yi Chuan 2016, 38, 254–270. [Google Scholar] [CrossRef] [PubMed]
- Li, M.; Wang, R.; Liang, Z.; Wu, X.; Wang, J. Genome-wide identification and analysis of the EIN3/EIL gene family in allotetraploid Brassica napus reveal its potential advantages during polyploidization. BMC Plant Biol. 2019, 19, 110. [Google Scholar] [CrossRef]
- Liu, L.; White, M.J.; MacRae, T.H. Transcription factors and their genes in higher plants functional domains, evolution and regulation. Eur. J. Biochem. 1999, 262, 247–257. [Google Scholar] [CrossRef]
- Schwechheimer, C.; Smith, C.; Bevan, M.W. The activities of acidic and glutamine-rich transcriptional activation domains in plant cells: Design of modular transcription factors for high-level expression. Plant Mol. Biol. 1998, 36, 195–204. [Google Scholar] [CrossRef]
- Panchy, N.; Lehti-Shiu, M.; Shiu, S.H. Evolution of Gene Duplication in Plants. Plant Physiol. 2016, 171, 2294–2316. [Google Scholar] [CrossRef]
- Xue, Y.; Zhu, B.; Xue, P.; Tian, H.; Luo, Y. Construction of Plant Antisense Gene Expression Vector pBI121-LeEIL2 and Transformation in Tomato. J. Henan Agric. Sci. 2003, 47–50. [Google Scholar]
- Yamasaki, K.; Kigawa, T.; Inoue, M.; Yamasaki, T.; Yabuki, T.; Aoki, M.; Seki, E.; Matsuda, T.; Tomo, Y.; Terada, T.; et al. Solution structure of the major DNA-binding domain of Arabidopsis thaliana ethylene-insensitive3-like3. J. Mol. Biol. 2005, 348, 253–264. [Google Scholar] [CrossRef]
- Solano, R.; Stepanova, A.; Chao, Q.; Ecker, J.R. Nuclear events in ethylene signaling: A transcriptional cascade mediated by ETHYLENE-INSENSITIVE3 and ETHYLENE-RESPONSE-FACTOR1. Genes Dev. 1998, 12, 3703–3714. [Google Scholar] [CrossRef]
- Lynch, M.; Conery, J.S. The evolutionary fate and consequences of duplicate genes. Science 2000, 290, 1151–1155. [Google Scholar] [CrossRef] [PubMed]
- Peng, J.; Li, Z.; Wen, X.; Li, W.; Shi, H.; Yang, L.; Zhu, H.; Guo, H. Salt-induced stabilization of EIN3/EIL1 confers salinity tolerance by deterring ROS accumulation in Arabidopsis. PLoS Genet. 2014, 10, e1004664. [Google Scholar] [CrossRef] [PubMed]
- Zhang, X.; Li, X.; Guo, W.; Zhang, P.; Zhang, W. Sequence Analysis of EIN3/EIL Gene Family and Cloning of GhEIL3 in Cotton. Acta Bot. Boreal.-Occident. Sin. 2017, 37, 445–452. [Google Scholar]
- Filiz, E.; Vatansever, R.; Ozyigit, I.I.; Uras, M.E.; Sen, U.; Anjum, N.A.; Pereira, E. Genome-wide identification and expression profiling of EIL gene family in woody plant representative poplar (Populus trichocarpa). Arch. Biochem. Biophys. 2017, 627, 30–45. [Google Scholar] [CrossRef] [PubMed]
- Ma, Y.; Tu, Y.; Chen, X.L.; Liu, X.G. Genome-wide Identification and Phylogenetic Analysis of the EIN3/EILs Gene Family in Melons. Genom. Appl. Biol. 2014, 33, 105–112. [Google Scholar]
- Wagner, A. The fate of duplicated genes: Loss or new function? Bioessays 1998, 20, 785–788. [Google Scholar] [CrossRef]
- Li, G.; Zhang, L.; Wu, J.; Yue, X.; Wang, M.; Sun, L.; Di, D.; Kronzucker, H.J.; Shi, W. OsEIL1 protects rice growth under NH4+ nutrition by regulating OsVTC1-3-dependent N-glycosylation and root NH4+ efflux. Plant Cell Environ. 2022, 1–17. [Google Scholar] [CrossRef]
- Feng, Y.; Xu, P.; Li, B.; Li, P.; Wen, X.; An, F.; Gong, Y.; Xin, Y.; Zhu, Z.; Wang, Y.; et al. Ethylene promotes root hair growth through coordinated EIN3/EIL1 and RHD6/RSL1 activity in Arabidopsis. Proc. Natl. Acad. Sci. USA 2017, 114, 13834–13839. [Google Scholar] [CrossRef]
- Qiu, K.; Li, Z.; Yang, Z.; Chen, J.; Wu, S.; Zhu, X.; Gao, S.; Gao, J.; Ren, G.; Kuai, B.; et al. EIN3 and ORE1 Accelerate Degreening during Ethylene-Mediated Leaf Senescence by Directly Activating Chlorophyll Catabolic Genes in Arabidopsis. PLoS Genet. 2015, 11, e1005399. [Google Scholar] [CrossRef]
- Wang, S.; Li, L.X.; Zhang, Z.; Fang, Y.; Li, D.; Chen, X.S.; Feng, S.Q. Ethylene precisely regulates anthocyanin synthesis in apple via a module comprising MdEIL1, MdMYB1, and MdMYB17. Hortic. Res. 2022, uhac034. [Google Scholar] [CrossRef]
- Xiao, F.; Gong, Q.; Zhao, S.; Lin, H.; Zhou, H. MYB30 and ETHYLENE INSENSITIVE3 Antagonistically Modulate Root Hair Growth in Arabidopsis. Plant J. 2021, 106, 480–492. [Google Scholar] [CrossRef] [PubMed]
- Wang, L.; Ko, E.E.; Tran, J.; Qiao, H. TREE1-EIN3–mediated transcriptional repression inhibits shoot growth in response to ethylene. Proc. Natl. Acad. Sci. USA 2020, 117, 29178–29189. [Google Scholar] [CrossRef] [PubMed]
- Li, X.; Pan, Y.; Chang, B.; Wang, Y.; Tang, Z. NO Promotes Seed Germination and Seedling Growth Under High Salt May Depend on EIN3 Protein in Arabidopsis. Front. Plant Sci. 2015, 6, 1203. [Google Scholar] [CrossRef] [PubMed]
Publisher’s Note: MDPI stays neutral with regard to jurisdictional claims in published maps and institutional affiliations. |
© 2022 by the authors. Licensee MDPI, Basel, Switzerland. This article is an open access article distributed under the terms and conditions of the Creative Commons Attribution (CC BY) license (https://creativecommons.org/licenses/by/4.0/).















