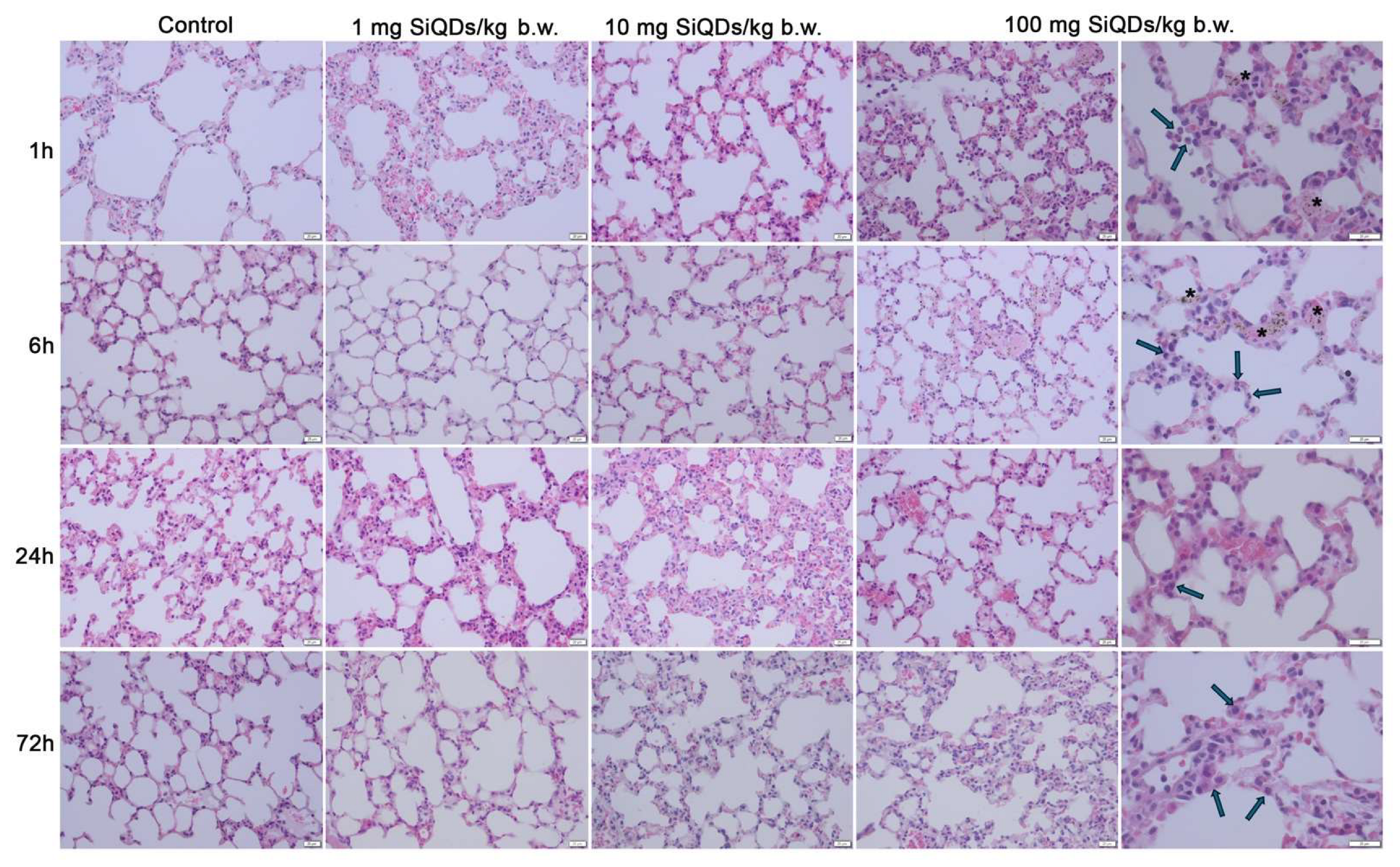
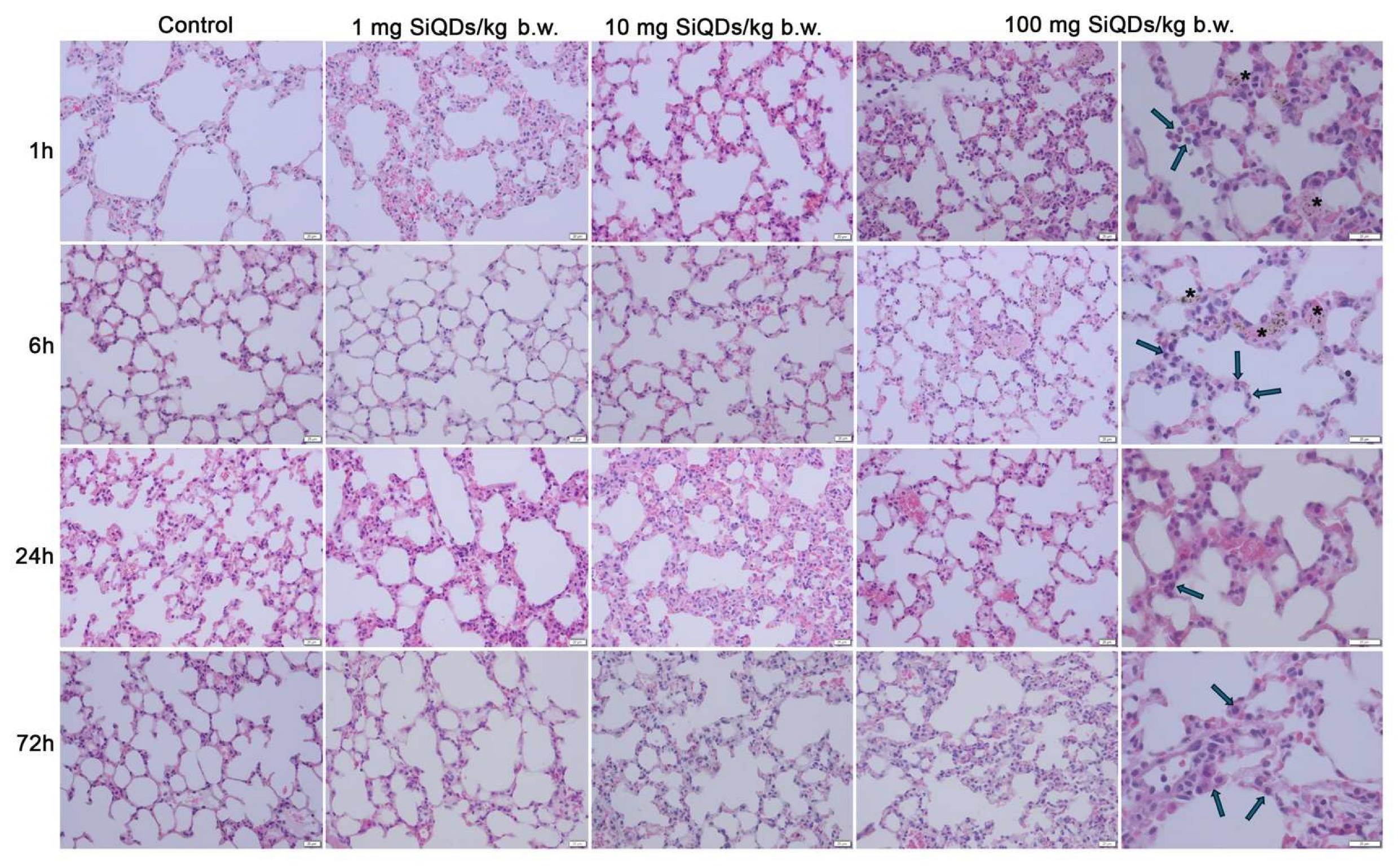
Correction: Cristian et al. Exploring In Vivo Pulmonary and Splenic Toxicity Profiles of Silicon Quantum Dots in Mice. Materials 2024, 17, 2778

Reference
- Cristian, R.-E.; Balta, C.; Herman, H.; Ciceu, A.; Trica, B.; Sbarcea, B.G.; Miutescu, E.; Hermenean, A.; Dinischiotu, A.; Stan, M.S. Exploring In Vivo Pulmonary and Splenic Toxicity Profiles of Silicon Quantum Dots in Mice. Materials 2024, 17, 2778. [Google Scholar] [CrossRef]
Disclaimer/Publisher’s Note: The statements, opinions and data contained in all publications are solely those of the individual author(s) and contributor(s) and not of MDPI and/or the editor(s). MDPI and/or the editor(s) disclaim responsibility for any injury to people or property resulting from any ideas, methods, instructions or products referred to in the content. |
© 2025 by the authors. Licensee MDPI, Basel, Switzerland. This article is an open access article distributed under the terms and conditions of the Creative Commons Attribution (CC BY) license.
Share and Cite
Cristian, R.-E.; Balta, C.; Herman, H.; Ciceu, A.; Trica, B.; Sbarcea, B.G.; Miutescu, E.; Hermenean, A.; Dinischiotu, A.; Stan, M.S. Correction: Cristian et al. Exploring In Vivo Pulmonary and Splenic Toxicity Profiles of Silicon Quantum Dots in Mice. Materials 2024, 17, 2778. Materials 2026, 19, 141. https://doi.org/10.3390/ma19010141
Cristian R-E, Balta C, Herman H, Ciceu A, Trica B, Sbarcea BG, Miutescu E, Hermenean A, Dinischiotu A, Stan MS. Correction: Cristian et al. Exploring In Vivo Pulmonary and Splenic Toxicity Profiles of Silicon Quantum Dots in Mice. Materials 2024, 17, 2778. Materials. 2026; 19(1):141. https://doi.org/10.3390/ma19010141
Chicago/Turabian StyleCristian, Roxana-Elena, Cornel Balta, Hildegard Herman, Alina Ciceu, Bogdan Trica, Beatrice G. Sbarcea, Eftimie Miutescu, Anca Hermenean, Anca Dinischiotu, and Miruna S. Stan. 2026. "Correction: Cristian et al. Exploring In Vivo Pulmonary and Splenic Toxicity Profiles of Silicon Quantum Dots in Mice. Materials 2024, 17, 2778" Materials 19, no. 1: 141. https://doi.org/10.3390/ma19010141
APA StyleCristian, R.-E., Balta, C., Herman, H., Ciceu, A., Trica, B., Sbarcea, B. G., Miutescu, E., Hermenean, A., Dinischiotu, A., & Stan, M. S. (2026). Correction: Cristian et al. Exploring In Vivo Pulmonary and Splenic Toxicity Profiles of Silicon Quantum Dots in Mice. Materials 2024, 17, 2778. Materials, 19(1), 141. https://doi.org/10.3390/ma19010141

