Next Article in Journal
Anisotropic Mechanical Properties of 3D Printed Low-Carbon Concrete and Connection Strategies for Large-Scale Reusable Formwork in Digital Construction
Previous Article in Journal
Continuous Filament Fabrication Technology and Its Mechanical Properties for Thin-Walled Component
 
 
Font Type:
Arial Georgia Verdana
Font Size:
Aa Aa Aa
Line Spacing:
Column Width:
Background:
Correction

Correction: Cristian et al. Exploring In Vivo Pulmonary and Splenic Toxicity Profiles of Silicon Quantum Dots in Mice. Materials 2024, 17, 2778

1
Department of Biochemistry and Molecular Biology, Faculty of Biology, University of Bucharest, 91-95 Splaiul Independentei, 050095 Bucharest, Romania
2
DANUBIUS Department, National Institute of Research and Development for Biological Sciences, Splaiul Independentei 296, 060031 Bucharest, Romania
3
“Aurel Ardelean” Institute of Life Sciences, Vasile Goldis Western University of Arad, 86 Rebreanu, 310414 Arad, Romania
4
National Institute for Research & Development in Chemistry and Petrochemistry (INCDCP-ICECHIM), 202 Spl. Independentei, 060021 Bucharest, Romania
5
Materials Characterization Department, National Institute for Research & Development in Electrical Engineering (ICPE-CA), 313 Splaiul Unirii, 030138 Bucharest, Romania
6
Faculty of Medicine, Vasile Goldis Western University of Arad, 86 Rebreanu, 310414 Arad, Romania
7
Research Institute of the University of Bucharest (ICUB), University of Bucharest, 91-95 Spl. Independentei, 050095 Bucharest, Romania
*
Author to whom correspondence should be addressed.
Materials 2026, 19(1), 141; https://doi.org/10.3390/ma19010141
Submission received: 19 December 2025 / Accepted: 22 December 2025 / Published: 31 December 2025
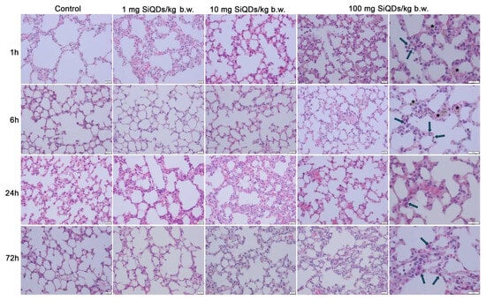
In the original publication [1], there was an overlap in Figure 2 as published. The corrected Figure 2 appears below. The authors state that the scientific conclusions are unaffected. This correction was approved by the Academic Editor. The original publication has also been updated.
Figure 2. Histopathological evaluation of lung tissue using hematoxylin and eosin staining at intervals of 1, 6, 24, and 72 h post administration of 1 mg, 10 mg, and 100 mg of SiQDs/kg of b.w. Legend: arrows—alveolar macrophages; black stars—SiQD accumulation (brown). Scale bar (represented in the lower right corner of each image): 20 μm.
Figure 2. Histopathological evaluation of lung tissue using hematoxylin and eosin staining at intervals of 1, 6, 24, and 72 h post administration of 1 mg, 10 mg, and 100 mg of SiQDs/kg of b.w. Legend: arrows—alveolar macrophages; black stars—SiQD accumulation (brown). Scale bar (represented in the lower right corner of each image): 20 μm.
Materials 19 00141 g002

Reference

  1. Cristian, R.-E.; Balta, C.; Herman, H.; Ciceu, A.; Trica, B.; Sbarcea, B.G.; Miutescu, E.; Hermenean, A.; Dinischiotu, A.; Stan, M.S. Exploring In Vivo Pulmonary and Splenic Toxicity Profiles of Silicon Quantum Dots in Mice. Materials 2024, 17, 2778. [Google Scholar] [CrossRef]
Disclaimer/Publisher’s Note: The statements, opinions and data contained in all publications are solely those of the individual author(s) and contributor(s) and not of MDPI and/or the editor(s). MDPI and/or the editor(s) disclaim responsibility for any injury to people or property resulting from any ideas, methods, instructions or products referred to in the content.

Share and Cite

MDPI and ACS Style

Cristian, R.-E.; Balta, C.; Herman, H.; Ciceu, A.; Trica, B.; Sbarcea, B.G.; Miutescu, E.; Hermenean, A.; Dinischiotu, A.; Stan, M.S. Correction: Cristian et al. Exploring In Vivo Pulmonary and Splenic Toxicity Profiles of Silicon Quantum Dots in Mice. Materials 2024, 17, 2778. Materials 2026, 19, 141. https://doi.org/10.3390/ma19010141

AMA Style

Cristian R-E, Balta C, Herman H, Ciceu A, Trica B, Sbarcea BG, Miutescu E, Hermenean A, Dinischiotu A, Stan MS. Correction: Cristian et al. Exploring In Vivo Pulmonary and Splenic Toxicity Profiles of Silicon Quantum Dots in Mice. Materials 2024, 17, 2778. Materials. 2026; 19(1):141. https://doi.org/10.3390/ma19010141

Chicago/Turabian Style

Cristian, Roxana-Elena, Cornel Balta, Hildegard Herman, Alina Ciceu, Bogdan Trica, Beatrice G. Sbarcea, Eftimie Miutescu, Anca Hermenean, Anca Dinischiotu, and Miruna S. Stan. 2026. "Correction: Cristian et al. Exploring In Vivo Pulmonary and Splenic Toxicity Profiles of Silicon Quantum Dots in Mice. Materials 2024, 17, 2778" Materials 19, no. 1: 141. https://doi.org/10.3390/ma19010141

APA Style

Cristian, R.-E., Balta, C., Herman, H., Ciceu, A., Trica, B., Sbarcea, B. G., Miutescu, E., Hermenean, A., Dinischiotu, A., & Stan, M. S. (2026). Correction: Cristian et al. Exploring In Vivo Pulmonary and Splenic Toxicity Profiles of Silicon Quantum Dots in Mice. Materials 2024, 17, 2778. Materials, 19(1), 141. https://doi.org/10.3390/ma19010141

Note that from the first issue of 2016, this journal uses article numbers instead of page numbers. See further details here.

Article Metrics

Back to TopTop