Biosynthesis of Silver Nanoparticles Using Stenocereus queretaroensis Fruit Peel Extract: Study of Antimicrobial Activity
Abstract
:1. Introduction
2. Materials and Methods
2.1. S. queretaroensis Peel Extract
2.2. Phytochemical Analysis of S. queretaroensis Peel Aqueous Extract
2.3. Synthesis of Silver Nanoparticles
2.4. Characterization of S. queretaroensis-Mediated Silver Nanoparticles
2.4.1. UV-Visible Spectroscopy
2.4.2. Fourier Transform Infrared Spectroscopy (FTIR)
2.4.3. Dynamic Light Scattering (DLS)
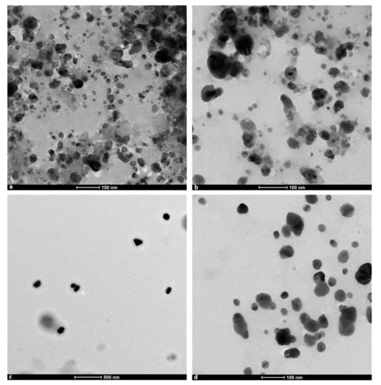
2.4.4. Transmission Electron Microscopy (TEM)
2.5. Antimicrobial Activity
2.5.1. Minimum Inhibitory Concentration (MIC) Determination
2.5.2. Minimal Bactericidal Concentration (MBC) Determination
2.5.3. Time-Kill Kinetics Assay
2.6. Data Analysis
3. Results
3.1. Phytochemical Components of S. queretaroensis Peel Aqueous Extract
3.2. Synthesis and Characterization of S. queretaroensis-Mediated Silver Nanoparticles
3.2.1. FTIR Spectral Analysis
3.2.2. Particle Size Analysis
3.2.3. TEM Analysis
3.3. Antimicrobial Activity of S. queretaroensis-Mediated AgNPs
3.3.1. Minimum Inhibitory and Minimum Bactericidal Concentrations
3.3.2. Time-Kill Kinetics of AgNPs
4. Discussion
5. Conclusions
Author Contributions
Funding
Institutional Review Board Statement
Informed Consent Statement
Data Availability Statement
Acknowledgments
Conflicts of Interest
References
- Halima, R.; Archna. A Review on Green Synthesis of Silver Nanoparticle, Characterization and Optimization Parameters. Int. J. Res. Eng. Technol. 2016, 5, 49–53. [Google Scholar] [CrossRef]
- Akter, M.; Sikder, M.T.; Rahman, M.M.; Ullah, A.K.M.A.; Hossain, K.F.B.; Banik, S.; Hosokawa, T.; Saito, T.; Kurasaki, M. A Systematic Review on Silver Nanoparticles-Induced Cytotoxicity: Physicochemical Properties and Perspectives. J. Adv. Res. 2018, 9, 1–16. [Google Scholar] [CrossRef]
- Firdhouse, M.J.; Lalitha, P. Biosynthesis of Silver Nanoparticles Using the Extract of Alternanthera Sessilis-Antiproliferative Effect against Prostate Cancer Cells. Cancer Nanotechnol. 2013, 4, 137–143. [Google Scholar] [CrossRef] [PubMed] [Green Version]
- Montoya, L.H.P.; Villarroel, I.M.Z.; Rojas, N.P.; Cabrera, N.P.; Calvimonte, O.R. Infecciones Intrahospitalarias: Agentes, Manejo Actual Y Prevención. Rev. Cient. Cienc. Med. 2010, 13, 90–94. [Google Scholar]
- Patel, N.; Kasumbwe, K.; Mohanlall, V. Antibacterial Screening of Gunnera Perpensa-Mediated Silver Nanoparticles. J. Nanotechnol. 2020, 2020, 1–7. [Google Scholar] [CrossRef]
- Mikhailov, O.V.; Mikhailova, E.O. Elemental Silver Nanoparticles: Biosynthesis and Bio Applications. Materials 2019, 12, 3177. [Google Scholar] [CrossRef] [Green Version]
- Shah, A.T.; Din, M.I.; Bashir, S.; Qadir, M.A.; Rashid, F. Green Synthesis and Characterization of Silver Nanoparticles Using Ferocactus Echidne Extract as a Reducing Agent. Anal. Lett. 2015, 48, 1180–1189. [Google Scholar] [CrossRef]
- Pooja, S.; Vidyasagar, G.M. Biosynthesis of Silver Nanoparticles from Three Opuntia Sps. Int. J. Adv. Sci. Res. Manag. 2019, 4, 1–11. [Google Scholar]
- Quiroz-gonzález, B.; García-mateos, R.; Corrales-garcía, J.J.E.; Colinas-León, M.T. Pitaya (Stenocereus Spp.): An under-Utilized Fruit. J. Prof. Assoc. Cactus Dev. 2018, 20, 82–100. [Google Scholar]
- Castro-Enríquez, D.D.; Montaño-Leyva, B.; Del Toro-Sánchez, C.L.; Juárez-Onofre, J.E.; Carvajal-Millán, E.; López-Ahumada, G.A.; Barreras-Urbina, C.G.; Tapia-Hernández, J.A.; Rodríguez-Félix, F. Molecules E Ff Ect of Ultrafiltration of Pitaya Extract. Molecules 2020, 25, 281. [Google Scholar] [CrossRef] [Green Version]
- Arriaga-Ruiz, M.C.; Neri-Luna, C.; Pimienta-Barrios, E.; Sanchez-Martinez, J. El Fruto Del Pitayo Silvestre (Stenocereus Queretaroensis (Weber) Buxbaum), Una Alternativa Alimenticia, Nutricional, Y Socioeconómica En Época de Estiaje. Rev. Cienc. Nat. Agropecu. 2015, 2, 362–367. [Google Scholar]
- Rivas-Morales, C.; Oranday-Cárdenas, M.A.; Verde-Star, M.J. Investigación En Plantas de Importancia Médica; OmniaScience: Barcelona, Spain, 2016. [Google Scholar] [CrossRef]
- Loo, Y.Y.; Chieng, B.W.; Nishibuchi, M.; Radu, S. Synthesis of Silver Nanoparticles by Using Tea Leaf Extract from Camellia Sinensis. Int. J. Nanomed. 2012, 7, 4263–4267. [Google Scholar] [CrossRef] [Green Version]
- Marinova, D.; Ribarova, F.; Atanassova, M. Total Phenolics and Total Flavonoids in Bulgarian Fruits and Vegetables. J. Univ. Chem. Technol. Metall. 2005, 40, 255–260. [Google Scholar]
- Ezeonu, C.S.; Ejikeme, C.M. Qualitative and Quantitative Determination of Phytochemical Contents of Indigenous Nigerian Softwoods. New J. Sci. 2016, 2016, 1–9. [Google Scholar] [CrossRef] [Green Version]
- Ejikeme, C.M.; Ezeonu, C.S.; Eboatu, A.N. Determination of Physical and Phytochemical Constituents of Some Tropical Timbers Indigenous To Niger Delta Area of Nigeria. Eur. Sci. J. 2014, 10, 247–270. [Google Scholar]
- Bagul, S.U.; Sivakumar, S.M. Antibiotic Susceptibility Testing: A Review on Current Practices. Int. J. Pharm. 2016, 6, 11–17. [Google Scholar]
- Clinical and Laboratory Standards Institute (CLSI). Performance Standards for Antimicrobial Susceptibility Testing, 30th ed.; CLSI Supply M100; Clinical and Laboratory Standards Institute: Wayne, PA, USA, 2020. [Google Scholar]
- Grabowska, K.; Wróbel, D.; Żmudzki, P.; Podolak, I. Anti-Inflammatory Activity of Saponins from Roots of Impatiens Parviflora DC. Nat. Prod. Res. 2020, 34, 1581–1585. [Google Scholar] [CrossRef]
- Olivas-Aguirre, F.J.; Wall-Medrano, A.; González-Aguilar, G.A.; López-Díaz, J.A.; Álvarez-Parrilla, E.; De La Rosa, L.A.; Ramos-Jimenez, A. Taninos Hidrolizables; Bioquímica, Aspectos Nutricionales Y Analíticos Y Efectos En La Salud. Nutr. Hosp. 2015, 31, 55–66. [Google Scholar] [CrossRef]
- Padilla-Camberos, E.; Flores-Fernández, J.M.; Canales-Aguirre, A.A.; Barragán-Álvarez, C.P.; Gutiérrez-Mercado, Y.; Lugo-Cervantes, E. Wound Healing and Antioxidant Capacity of Musa Paradisiaca Linn. Peel Extracts. J. Pharm. Pharmacogn. Res. 2016, 4, 165–173. [Google Scholar]
- Goszcz, K.; Duthie, G.G.; Stewart, D.; Leslie, S.J.; Megson, I.L. Bioactive Polyphenols and Cardiovascular Disease: Chemical Antagonists, Pharmacological Agents or Xenobiotics That Drive an Adaptive Response? Br. J. Pharmacol. 2017, 174, 1209–1225. [Google Scholar] [CrossRef] [Green Version]
- Roy, A. A Review on the Alkaloids an Important Therapeutic Compoundfrom Plants. Int. J. Plant. Biotechnol. 2017, 3, 9. [Google Scholar]
- Loo, Y.Y.; Rukayadi, Y.; Nor-Khaizura, M.A.R.; Kuan, C.H.; Chieng, B.W.; Nishibuchi, M.; Radu, S. In Vitro Antimicrobial Activity of Green Synthesized Silver Nanoparticles against Selected Gram-Negative Foodborne Pathogens. Front. Microbiol. 2018, 9, 1–7. [Google Scholar] [CrossRef] [PubMed]
- Arokiyaraj, S.; Arasu, M.V.; Vincent, S.; Prakash, N.U.; Choi, S.H.; Oh, Y.K.; Choi, K.C.; Kim, K.H. Rapid Green Synthesis of Silver Nanoparticles from Chrysanthemum Indicum Land Its Antibacterial and Cytotoxic Effects: An in Vitro Study. Int. J. Nanomed. 2014, 9, 379–388. [Google Scholar] [CrossRef] [Green Version]
- Hemmati, S.; Rashtiani, A.; Zangeneh, M.M.; Mohammadi, P.; Zangeneh, A.; Veisi, H. Green Synthesis and Characterization of Silver Nanoparticles Using Fritillaria Flower Extract and Their Antibacterial Activity against Some Human Pathogens. Polyhedron 2019, 158, 8–14. [Google Scholar] [CrossRef]
- Kharat, S.N.; Mendhulkar, V.D. Synthesis, Characterization and Studies on Antioxidant Activity of Silver Nanoparticles Using Elephantopus Scaber Leaf Extract. Mater. Sci. Eng. C 2016, 62, 719–724. [Google Scholar] [CrossRef] [PubMed]
- Aguirre, D.P.R.; Loyola, E.F.; De la Fuente Salcido, N.M.; Sifuentes, L.R.; Moreno, A.R.; Marszalek, J.E. Comparative Antibacterial Potential of Silver Nanoparticles Prepared via Chemical and Biological Synthesis. Arab. J. Chem. 2020, 13, 8662–8670. [Google Scholar] [CrossRef]
- Ahmed, M.J.; Murtaza, G.; Mehmood, A.; Bhatti, T.M. Green Synthesis of Silver Nanoparticles Using Leaves Extract of Skimmia Laureola: Characterization and Antibacterial Activity. Mater. Lett. 2015, 153, 10–13. [Google Scholar] [CrossRef]
- Lima, A.K.O.; Vasconcelos, A.A.; Júnior, J.J.V.S.; Escher, S.K.S.; Nakazato, G.; Júnior, P.S.T. Green Synthesis of Silver Nanoparticles Using Amazon Fruits. Int. J. Nanosci. Nanotechnol. 2019, 15, 179–188. [Google Scholar]
- Qais, F.A.; Shafiq, A.; Khan, H.M.; Husain, F.M.; Khan, R.A.; Alenazi, B.; Alsalme, A.; Ahmad, I. Antibacterial Effect of Silver Nanoparticles Synthesized Using Murraya Koenigii (L.) against Multidrug-Resistant Pathogens. Bioinorg. Chem. Appl. 2019, 2019, 1–11. [Google Scholar] [CrossRef] [Green Version]
- Rautela, A.; Rani, J.; Debnath, M. Green Synthesis of Silver Nanoparticles from Tectona Grandis Seeds Extract: Characterization and Mechanism of Antimicrobial Action on Different Microorganisms. J. Anal. Sci. Technol. 2019, 10, 1–10. [Google Scholar] [CrossRef] [Green Version]
- Mittal, A.K.; Kaler, A.; Banerjee, U.C. Free Radical Scavenging and Antioxidant Activity of Silver Nanoparticles Synthesized from Flower Extract of Rhododendron Dauricum. Nano Biomed. Eng. 2012, 4, 118–124. [Google Scholar] [CrossRef] [Green Version]






,
,
, and 0
) added to media containing a starting culture.
,
,
, and 0
) added to media containing a starting culture.
| Test Name | Results |
|---|---|
| Test for saponins | +++ |
| Test for glycosides | ++ |
| Test for alkaloids | + |
| Test for tannins | + |
| Test for flavonoids | ++ |
| Test for phenols | + |
| Microorganism | MIC (μg/mL) * | MBC (μg/mL) * |
|---|---|---|
| Gram-Negative Bacteria | ||
| E. coli | 0.313 | 0.625 |
| S. enterica | 0.078 | 0.156 |
| P. aeruginosa | 0.156 | 0.313 |
| Gram-Positive Bacteria | ||
| S. aureus | 0.313 | 0.625 |
| S. aureus (MRSA) | 0.313 | 0.625 |
| Yeast | ||
| C. albicans | 0.078 | 0.156 |
Publisher’s Note: MDPI stays neutral with regard to jurisdictional claims in published maps and institutional affiliations. |
© 2021 by the authors. Licensee MDPI, Basel, Switzerland. This article is an open access article distributed under the terms and conditions of the Creative Commons Attribution (CC BY) license (https://creativecommons.org/licenses/by/4.0/).
Share and Cite
Padilla-Camberos, E.; Sanchez-Hernandez, I.M.; Torres-Gonzalez, O.R.; Ramirez-Rodriguez, P.; Diaz, E.; Wille, H.; Flores-Fernandez, J.M. Biosynthesis of Silver Nanoparticles Using Stenocereus queretaroensis Fruit Peel Extract: Study of Antimicrobial Activity. Materials 2021, 14, 4543. https://doi.org/10.3390/ma14164543
Padilla-Camberos E, Sanchez-Hernandez IM, Torres-Gonzalez OR, Ramirez-Rodriguez P, Diaz E, Wille H, Flores-Fernandez JM. Biosynthesis of Silver Nanoparticles Using Stenocereus queretaroensis Fruit Peel Extract: Study of Antimicrobial Activity. Materials. 2021; 14(16):4543. https://doi.org/10.3390/ma14164543
Chicago/Turabian StylePadilla-Camberos, Eduardo, Ivan Moises Sanchez-Hernandez, Omar Ricardo Torres-Gonzalez, Patricia Ramirez-Rodriguez, Emmanuel Diaz, Holger Wille, and Jose Miguel Flores-Fernandez. 2021. "Biosynthesis of Silver Nanoparticles Using Stenocereus queretaroensis Fruit Peel Extract: Study of Antimicrobial Activity" Materials 14, no. 16: 4543. https://doi.org/10.3390/ma14164543
APA StylePadilla-Camberos, E., Sanchez-Hernandez, I. M., Torres-Gonzalez, O. R., Ramirez-Rodriguez, P., Diaz, E., Wille, H., & Flores-Fernandez, J. M. (2021). Biosynthesis of Silver Nanoparticles Using Stenocereus queretaroensis Fruit Peel Extract: Study of Antimicrobial Activity. Materials, 14(16), 4543. https://doi.org/10.3390/ma14164543

