A Novel Surface Modification Strategy via Photopolymerized Poly-Sulfobetaine Methacrylate Coating to Prevent Bacterial Adhesion on Titanium Surfaces
Abstract
1. Introduction
2. Materials and Methods
2.1. Chemical Substances, Culture Vessels, and Bacteria
2.2. Sample Coating
2.3. Examination of the Surface Morphology and Chemical Composition
2.4. Water Contact Angle Measurement and Wettability
2.5. FTIR Analysis
2.6. Bacterial Contamination of the Samples
2.7. Fluorescence Microscopy (FM)
2.8. Scanning Electron Microscopy
2.9. Colony-Forming Units
2.10. Statistical Analysis
3. Results
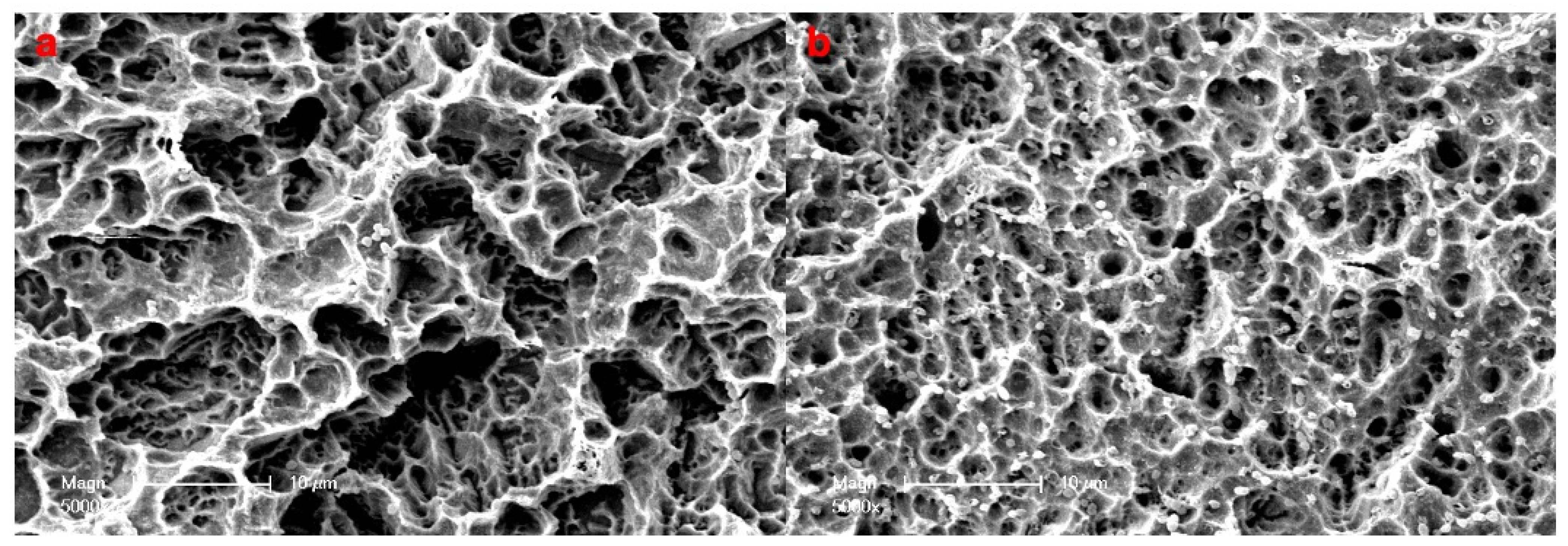
3.1. Examination of the Surface Morphology and Chemical Composition
3.2. Water Contact Angle Measurements and Wettability
3.3. FTIR Analysis
3.4. Fluorescence Microscopy
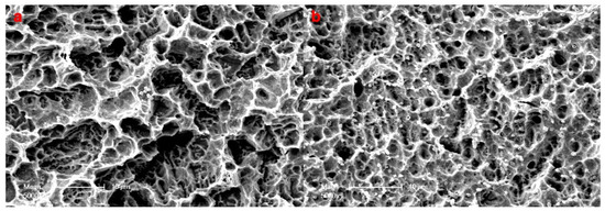
3.5. Scanning Electron Microscopy
3.6. Colony Forming Units
4. Discussion
5. Conclusions
Author Contributions
Funding
Institutional Review Board Statement
Informed Consent Statement
Data availability Statement
Acknowledgments
Conflicts of Interest
References
- Liu, Z.; Liu, X.; Ramakrishna, S. Surface engineering of biomaterials in orthopedic and dental implants: Strategies to improve osteointegration, bacteriostatic and bactericidal activities. Biotechnol. J. 2021, e2000116. [Google Scholar] [CrossRef]
- Elbourne, A.; Crawford, R.J.; Ivanova, E.P. Nano-structured antimicrobial surfaces: From nature to synthetic analogues. J. Colloid Interface Sci. 2017, 508, 603–616. [Google Scholar] [CrossRef]
- Peng, Z.; Ni, J.; Zheng, K.; Shen, Y.; Wang, X.; He, G.; Jin, S.; Tang, T. Dual effects and mechanism of TiO2 nanotube arrays in reducing bacterial colonization and enhancing C3H10T1/2 cell adhesion. Int. J. Nanomed. 2013, 8, 3093–3105. [Google Scholar]
- Qiao, S.; Cao, H.; Zhao, X.; Lo, H.; Zhuang, L.; Gu, Y.; Shi, J.; Liu, X.; Lai, H. Ag-plasma modification enhances bone apposition around titanium dental implants: An animal study in Labrador dogs. Int. J. Nanomed. 2015, 10, 653–664. [Google Scholar]
- Neut, D.; Dijkstra, R.J.; Thompson, J.I.; Kavanagh, C.; van der Mei, H.C.; Busscher, H.J. A biodegradable gentamicin-hydroxyapatite-coating for infection prophylaxis in cementless hip prostheses. Eur Cell Mater. 2015, 29, 42–55, discussion 55–56. [Google Scholar]
- Li, T.; Wang, N.; Chen, S.; Lu, R.; Li, H.; Zhang, Z. Antibacterial activity and cytocompatibility of an implant coating consisting of TiO2 nanotubes combined with a GL13K antimicrobial peptide. Int. J. Nanomed. 2017, 12, 2995–3007. [Google Scholar] [CrossRef] [PubMed]
- Liu, Y.; Zheng, Z.; Zara, J.N.; Hsu, C.; Soofer, D.E.; Lee, K.S.; Siu, R.K.; Miller, L.S.; Zhang, X.; Carpenter, D.; et al. The antimicrobial and osteoinductive properties of silver nanoparticle/poly (DL-lactic-co-glycolic acid)-coated stainless steel. Biomaterials 2012, 33, 8745–8756. [Google Scholar]
- Wang, M.; Tang, T. Surface treatment strategies to combat implant-related infection from the beginning. J. Orthop. Transl. 2019, 17, 42–54. [Google Scholar] [CrossRef]
- Caro, A.; Humblot, V.; Méthivier, C.; Minier, M.; Salmain, M.; Pradier, C.M. Grafting of lysozyme and/or poly(ethylene glycol) to prevent biofilm growth on stainless steel surfaces. J. Phys. Chem. B 2009, 113, 2101–2109. [Google Scholar] [CrossRef]
- Prime, K.L.; Whitesides, G.M. Self-assembled organic monolayers: Model systems for studying adsorption of proteins at surfaces. Science 1991, 252, 1164–1167. [Google Scholar] [CrossRef]
- Moussy, F.; Harrison, D.J.; Rajotte, R.V. A miniaturized Nafion-based glucose sensor: In vitro and in vivo evaluation in dogs. Int. J. Artif. Organs. 1994, 17, 88–94. [Google Scholar] [CrossRef]
- Moussy, F.; Jakeway, S.; Harrison, D.J.; Rajotte, R.V. In vitro and in vivo performance and lifetime of perfluorinated ionomer-coated glucose sensors after high-temperature curing. Anal. Chem. 1994, 66, 3882–3888. [Google Scholar] [CrossRef]
- Matos-Perez, C.R.; Wilker, J.J. Ambivalent Adhesives: Combining Biomimetic Cross-Linking With Antiadhesive Oligo(ethylene glycol). Macromolecules 2012, 45, 6634–6639. [Google Scholar] [CrossRef] [PubMed]
- Hu, Y.; Liang, B.; Fang, L..; Ma, G.; Yang, G.; Zhu, Q.; Chen, S.; Ye, X. Antifouling Zwitterionic Coating via Electrochemically Mediated Atom Transfer Radical Polymerization on Enzyme-Based Glucose Sensors for Long-Time Stability in 37 degrees C Serum. Langmuir 2016, 32, 11763–11770. [Google Scholar] [CrossRef] [PubMed]
- Park, J.Y.; Kim, J.S.; Nam, Y.S. Mussel-inspired modification of dextran for protein-resistant coatings of titanium oxide. Carbohydr. Polym. 2013, 97, 753–757. [Google Scholar] [CrossRef] [PubMed]
- Muszanska, A.K.; Rochford, E.T.; Gruszka, A.; Bastian, A.A.; Busscher, H.J.; Norde, W.; van der Mei, H.C.; Herrmann, A. Antiadhesive polymer brush coating functionalized with antimicrobial and RGD peptides to reduce biofilm formation and enhance tissue integration. Biomacromolecules 2014, 15, 2019–2026. [Google Scholar] [CrossRef] [PubMed]
- Wassel, E.; Es-Souni, M.; Laghrissi, A.; Roth, A.; Dietze, M.; Es-Souni, M. Data supporting polymerization of anti-fouling polymer brushes polymerized on the pore walls of porous aluminium and titanium oxides. Data Brief. 2019, 23, 103702. [Google Scholar] [CrossRef] [PubMed]
- Açil, Y.; Heitzer, M.A.; Gülses, A.; Naujokat, H.; Podschun, R.; Wiltfang, J.; Flörke, C. The correlation between periodontal health status and suspectibility to infections associated with craniomaxillofacial osteosynthesis plates. J. Craniomaxillofac. Surg. 2017, 45, 1868–1874. [Google Scholar] [CrossRef] [PubMed]
- Flanagan, D. Implant Placement in Failed Endodontic Sites: A Review. J. Oral. Implantol. 2016, 42, 224–230. [Google Scholar] [CrossRef]
- Arciola, C.R.; Campoccia, D.; Baldassarri, L.; Pirini, V.; Huebner, J.; Montanaro, L. The role of Enterococcus faecalis in orthopaedic peri-implant infections demonstrated by automated ribotyping and cluster analysis. Biomaterials 2007, 28, 3987–3995. [Google Scholar] [CrossRef]
- Lin, W.; Zhang, J.; Wang, Z.; Chen, S. Development of robust biocompatible silicone with high resistance to protein adsorption and bacterial adhesion. Acta Biomater. 2011, 7, 2053–2059. [Google Scholar] [CrossRef] [PubMed]
- Wang, S.Y.; Fang, L.F.; Matsuyama, H. Electrostatic Adsorption Behavior of Zwitterionic Copolymers on Negatively Charged Surfaces. Langmuir Acs J. Surf. Colloids 2019, 35, 9152–9160. [Google Scholar] [CrossRef] [PubMed]
- Schlenoff, J.B. Zwitteration: Coating surfaces with zwitterionic functionality to reduce nonspecific adsorption. Langmuir 2014, 30, 9625–9636. [Google Scholar] [CrossRef] [PubMed]
- Dou, X.Q.; Zhang, D.; Feng, C.; Jiang, L. Bioinspired Hierarchical Surface Structures with Tunable Wettability for Regulating Bacteria Adhesion. Acs Nano 2015, 9, 10664–10672. [Google Scholar] [CrossRef]
- Wenzel, R.N. Resistance of solid surfaces to wetting by water. Ind. Eng. Chem. 1936, 28, 988–994. [Google Scholar] [CrossRef]
- Hu, Y.; Yang, G.; Liang, B.; Fang, L.; Ma, G.; Zhu, Q.; Chen, S.; Ye, X. The fabrication of superlow protein absorption zwitterionic coating by, electrochemically mediated atom transfer radical polymerization and its application. Acta Biomater. 2015, 13, 142–149. [Google Scholar] [CrossRef]
- Ostuni, E.; Chapman, R.G.; Holmlin, R.E.; Takayama, S.; Whiteside, G.M. A Survey of Structure-Property Relationships of Surfaces that Resist the Adsorption of Proteins. Langmuir 2001, 17, 5605–5620. [Google Scholar] [CrossRef]
- Huang, C.J.; Li, Y.; Krause, J.B.; Brault, N.D.; Jiang, S. Internal architecture of zwitterionic polymer brushes regulates nonfouling properties. Macromol. Rapid Commun. 2012, 33, 1003–1007. [Google Scholar] [CrossRef] [PubMed]
- Harris, L.G.; Tosatti, S.; Wieland, M.; Textor, M.; Richards, R.G. Staphylococcus aureus adhesion to titanium oxide surfaces coated with non-functionalized and peptide-functionalized poly(L-lysine)-grafted-poly(ethylene glycol) copolymers. Biomaterials 2004, 25, 4135–4148. [Google Scholar] [CrossRef]
- Shi, Z.; Neoh, K.G.; Kang, E.T.; Poh, C.; Wang, W. Titanium with surface-grafted dextran and immobilized bone morphogenetic protein-2 for inhibition of bacterial adhesion and enhancement of osteoblast functions. Tissue Eng. Part A 2009, 15, 417–426. [Google Scholar] [CrossRef]







| Element | Weight (%) | Atomic (%) |
|---|---|---|
| SK | 0.25 | 0.37 |
| TiK | 99.75 | 99.63 |
| Totals | 100.00 |
Publisher’s Note: MDPI stays neutral with regard to jurisdictional claims in published maps and institutional affiliations. |
© 2021 by the authors. Licensee MDPI, Basel, Switzerland. This article is an open access article distributed under the terms and conditions of the Creative Commons Attribution (CC BY) license (https://creativecommons.org/licenses/by/4.0/).
Share and Cite
Gülses, A.; Lopar, A.; Es-Souni, M.; Emmert, M.; Es-Souni, M.; Behrens, E.; Naujokat, H.; Liedtke, K.R.; Acil, Y.; Wiltfang, J.; et al. A Novel Surface Modification Strategy via Photopolymerized Poly-Sulfobetaine Methacrylate Coating to Prevent Bacterial Adhesion on Titanium Surfaces. Materials 2021, 14, 3303. https://doi.org/10.3390/ma14123303
Gülses A, Lopar A, Es-Souni M, Emmert M, Es-Souni M, Behrens E, Naujokat H, Liedtke KR, Acil Y, Wiltfang J, et al. A Novel Surface Modification Strategy via Photopolymerized Poly-Sulfobetaine Methacrylate Coating to Prevent Bacterial Adhesion on Titanium Surfaces. Materials. 2021; 14(12):3303. https://doi.org/10.3390/ma14123303
Chicago/Turabian StyleGülses, Aydin, Antonia Lopar, Martha Es-Souni, Marie Emmert, Mona Es-Souni, Eleonore Behrens, Hendrik Naujokat, Kim Rouven Liedtke, Yahya Acil, Jörg Wiltfang, and et al. 2021. "A Novel Surface Modification Strategy via Photopolymerized Poly-Sulfobetaine Methacrylate Coating to Prevent Bacterial Adhesion on Titanium Surfaces" Materials 14, no. 12: 3303. https://doi.org/10.3390/ma14123303
APA StyleGülses, A., Lopar, A., Es-Souni, M., Emmert, M., Es-Souni, M., Behrens, E., Naujokat, H., Liedtke, K. R., Acil, Y., Wiltfang, J., & Flörke, C. (2021). A Novel Surface Modification Strategy via Photopolymerized Poly-Sulfobetaine Methacrylate Coating to Prevent Bacterial Adhesion on Titanium Surfaces. Materials, 14(12), 3303. https://doi.org/10.3390/ma14123303

