Osteoclastogenesis Behavior of Zirconia for Dental Implant
Abstract
1. Introduction
2. Materials and Methods
2.1. Zirconia and Titanium Specimen Preparation and Analyses of Surface Characteristics
2.2. Analyses of Osteoclastogenesis on Zirconia and Titanium Specimens
2.2.1. Raw Cell Preparation and Osteoclast Differentiation Processing
2.2.2. Osteoclast Cell Morphologic Analysis by FE-SEM
2.2.3. Tartrate-Resistant Acid Phosphatase Activity Assay
2.2.4. Osteoclast Gene Analysis by mRNA Expression Assessment
2.2.5. Osteoclast Gene Analysis by Protein Expression Assessment
2.3. Statistical Analysis
3. Results
3.1. Surface Characteristics of the Zirconia and the Titanium Specimens
3.2. FE-SEM Assessment of Cell Morphology
3.3. Tartrate-Resistant Acid Phosphatase Activity
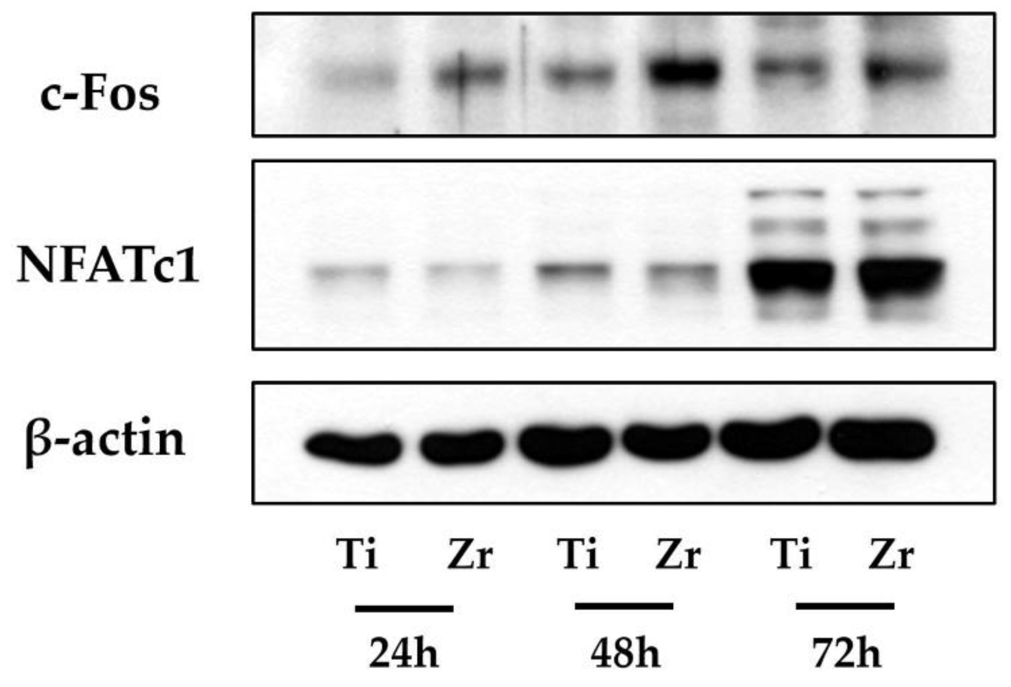
3.5. Protein Expression of c-Fos and NFATc1
4. Discussion
5. Conclusions
Author Contributions
Funding
Conflicts of Interest
References
- Albrektsson, T.; Zarb, G.; Worthington, P.; Eriksson, A.R. The long-term efficacy of currently used dental implants. A review and proposed criteria of success. Int. J. Oral Maxillofac. Implant. 1986, 1, 11–25. [Google Scholar]
- Smith, D.C. Dental implants: Materials and design considerations. Int. J. Prosthodont. 1993, 6, 106–117. [Google Scholar] [PubMed]
- Guillaume, B. Dental implants: A review. Morphologie 2016, 100, 189–198. [Google Scholar] [CrossRef] [PubMed]
- Bernardi, S.; Bianchi, S.; Botticelli, G.; Rastelli, E.; Tomei, A.R.; Palmerini, M.G.; Continenza, M.A.; Macchiarelli, G. Scanning electron microscopy and microbiological approaches for the evaluation of salivary microorganisms behaviour on anatase titanium surfaces: In vitro study. Morphologie 2018, 102, 1–6. [Google Scholar] [CrossRef] [PubMed]
- Lee, J.E.; Heo, S.J.; Koak, J.Y.; Kim, S.K.; Han, C.H.; Lee, S.J. Healing response of cortical and cancellous bone around titanium implants. Int. J. Oral Maxillofac. Implant. 2009, 24, 655–662. [Google Scholar]
- Cho, Y.J.; Heo, S.J.; Koak, J.Y.; Kim, S.K.; Lee, S.J.; Lee, J.H. Promotion of osseointegration of anodized titanium implants with a 1α,25-dihydroxyvitamin D3 submicron particle coating. Int. J. Oral Maxillofac. Implant. 2011, 26, 1225–1232. [Google Scholar]
- Yoo, S.Y.; Kim, S.K.; Heo, S.J.; Koak, J.Y.; Lee, J.H.; Heo, J.M. Biochemical responses of anodized titanium implants with a poly(lactide-co-glycolide)/bone morphogenetic protein-2 submicron particle coating. Part 2: An in vivo study. Int. J. Oral Maxillofac. Implant. 2015, 30, 754–760. [Google Scholar] [CrossRef] [PubMed]
- Yoo, S.Y.; Kim, S.K.; Heo, S.J.; Koak, J.Y.; Lee, J.H.; Park, J.M. Biochemical responses of anodized titanium implants with a poly(lactide-co-glycolide)/bone morphogenic protein-2 submicron particle coating. Part 1: An in vitro study. Int. J. Oral Maxillofac. Implant. 2015, 30, 512–518. [Google Scholar] [CrossRef]
- Branemark, P.I.; Adell, R.; Breine, U.; Hansson, B.O.; Lindstrom, J.; Ohlsson, A. Intra-osseous anchorage of dental prostheses. I. Experimental studies. Scand. J. Plast. Reconstr. Surg. 1969, 3, 81–100. [Google Scholar] [CrossRef] [PubMed]
- Steinemann, S.G. Titanium—The material of choice? Periodontol. 2000 1998, 17, 7–21. [Google Scholar] [CrossRef] [PubMed]
- Bilhan, H.; Bural, C.; Geckili, O. Titanium hypersensitivity. A hidden threat for dental implant patients? N. Y. State Dent. J. 2013, 79, 38–43. [Google Scholar] [PubMed]
- Muller, K.; Valentine-Thon, E. Hypersensitivity to titanium: Clinical and laboratory evidence. Neuroendocrinol. Endocrinol. Lett. 2006, 27 (Suppl. 1), 31–35. [Google Scholar]
- Jung, R.E.; Sailer, I.; Hammerle, C.H.; Attin, T.; Schmidlin, P. In vitro color changes of soft tissues caused by restorative materials. Int. J. Periodontics Restor. Dent. 2007, 27, 251–257. [Google Scholar]
- Plecko, M.; Sievert, C.; Andermatt, D.; Frigg, R.; Kronen, P.; Klein, K.; Stubinger, S.; Nuss, K.; Burki, A.; Ferguson, S.; et al. Osseointegration and biocompatibility of different metal implants—A comparative experimental investigation in sheep. BMC Musculoskelet. Disord. 2012, 13, 32. [Google Scholar] [CrossRef] [PubMed]
- Mussano, F.; Genova, T.; Munaron, L.; Faga, M.G.; Carossa, S. Ceramic biomaterials for dental implants: Current use and future perspectives. In Dental Implantology and Biomaterial, 2nd ed.; Almasri, M.A., Ed.; Intech: London, UK, 2016; pp. 63–90. [Google Scholar] [CrossRef]
- Hayashi, K.; Inadome, T.; Tsumura, H.; Mashima, T.; Sugioka, Y. Bone-implant interface mechanics of in vivo bio-inert ceramics. Biomaterials 1993, 14, 1173–1179. [Google Scholar] [CrossRef]
- Scarano, A.; Di Carlo, F.; Quaranta, M.; Piattelli, A. Bone response to zirconia ceramic implants: An experimental study in rabbits. J. Oral Implantol. 2003, 29, 8–12. [Google Scholar] [CrossRef]
- Manicone, P.F.; Rossi Iommetti, P.; Raffaelli, L. An overview of zirconia ceramics: Basic properties and clinical applications. J. Dent. 2007, 35, 819–826. [Google Scholar] [CrossRef] [PubMed]
- Depprich, R.; Zipprich, H.; Ommerborn, M.; Mahn, E.; Lammers, L.; Handschel, J.; Naujoks, C.; Wiesmann, H.P.; Kubler, N.R.; Meyer, U. Osseointegration of zirconia implants: An SEM observation of the bone-implant interface. Head Face Med. 2008, 4, 25. [Google Scholar] [CrossRef] [PubMed]
- Wenz, H.J.; Bartsch, J.; Wolfart, S.; Kern, M. Osseointegration and clinical success of zirconia dental implants: A systematic review. Int. J. Prosthodont. 2008, 21, 27–36. [Google Scholar] [PubMed]
- Scarano, A.; Piattelli, M.; Caputi, S.; Favero, G.A.; Piattelli, A. Bacterial adhesion on commercially pure titanium and zirconium oxide disks: An in vivo human study. J. Periodontol. 2004, 75, 292–296. [Google Scholar] [CrossRef] [PubMed]
- Depprich, R.; Ommerborn, M.; Zipprich, H.; Naujoks, C.; Handschel, J.; Wiesmann, H.P.; Kubler, N.R.; Meyer, U. Behavior of osteoblastic cells cultured on titanium and structured zirconia surfaces. Head Face Med. 2008, 4, 29. [Google Scholar] [CrossRef] [PubMed]
- Suda, T.; Udagawa, N.; Nakamura, I.; Miyaura, C.; Takahashi, N. Modulation of osteoclast differentiation by local factors. Bone 1995, 17, 87s–91s. [Google Scholar] [CrossRef]
- Yoneda, T.; Hagino, H.; Sugimoto, T.; Ohta, H.; Takahashi, S.; Soen, S.; Taguchi, A.; Nagata, T.; Urade, M.; Shibahara, T.; et al. Antiresorptive agent-related osteonecrosis of the jaw: Position paper 2017 of the japanese allied committee on osteonecrosis of the jaw. J. Bone Miner. Metab. 2017, 35, 6–19. [Google Scholar] [CrossRef] [PubMed]
- Ganesan, K. Bisphosphonate, 2nd ed.; Roane, D., Ed.; Statpearls: Lakeland, FL, USA, 2018; NBK470248. [Google Scholar]
- Bernardi, S.; Di Girolamo, M.; Necozione, S.; Continenza, M.A.; Cutilli, T. Antiresorptive drug-related osteonecrosis of the jaws, literature review and 5 years of experience. Musculoskelet. Surg. 2018. [Google Scholar] [CrossRef] [PubMed]
- Minkin, C.; Marinho, V.C. Role of the osteoclast at the bone-implant interface. Adv. Dent. Res. 1999, 13, 49–56. [Google Scholar] [CrossRef] [PubMed]
- Kim, M.H.; Lee, S.Y.; Heo, S.J.; Kim, S.K.; Kim, M.J.; Koak, J.Y. Osteoclastic response on titanium surfaces in modified simulated body fluid. Int. J. Oral Maxillofac. Implant. 2017, 32, 337–343. [Google Scholar] [CrossRef] [PubMed]
- Zeng, X.Z.; He, L.G.; Wang, S.; Wang, K.; Zhang, Y.Y.; Tao, L.; Li, X.J.; Liu, S.W. Aconine inhibits rankl-induced osteoclast differentiation in raw264.7 cells by suppressing nf-kappab and nfatc1 activation and dc-stamp expression. Acta Pharmacol. Sin. 2016, 37, 255–263. [Google Scholar] [CrossRef] [PubMed]
- Branemark, R.; Branemark, P.I.; Rydevik, B.; Myers, R.R. Osseointegration in skeletal reconstruction and rehabilitation: A review. J. Rehabil. Res. Dev. 2001, 38, 175–181. [Google Scholar] [PubMed]
- Rajpura, A.; Kendoff, D.; Board, T.N. The current state of bearing surfaces in total hip replacement. Bone Joint J. 2014, 96, 147–156. [Google Scholar] [CrossRef] [PubMed]
- Denry, I.; Kelly, J.R. State of the art of zirconia for dental applications. Dent. Mater. 2008, 24, 299–307. [Google Scholar] [CrossRef] [PubMed]
- Sennerby, L.; Dasmah, A.; Larsson, B.; Iverhed, M. Bone tissue responses to surface-modified zirconia implants: A histomorphometric and removal torque study in the rabbit. Clin. Implant. Dent. Relat. Res. 2005, 7, S13–S20. [Google Scholar] [CrossRef] [PubMed]
- Hashim, D.; Cionca, N.; Courvoisier, D.S.; Mombelli, A. A systematic review of the clinical survival of zirconia implants. Clin. Oral Investig. 2016, 20, 1403–1417. [Google Scholar] [CrossRef] [PubMed]
- Haynes, D.R.; Crotti, T.N.; Zreiqat, H. Regulation of osteoclast activity in peri-implant tissues. Biomaterials 2004, 25, 4877–4885. [Google Scholar] [CrossRef] [PubMed]
- Nishimura, K.; Shindo, S.; Movila, A.; Kayal, R.; Abdullah, A.; Savitri, I.J.; Ikeda, A.; Yamaguchi, T.; Howait, M.; Al-Dharrab, A.; et al. Trap-positive osteoclast precursors mediate ros/no-dependent bactericidal activity via tlr4. Free Radic. Biol. Med. 2016, 97, 330–341. [Google Scholar] [CrossRef] [PubMed]
- Hefti, T.; Frischherz, M.; Spencer, N.D.; Hall, H.; Schlottig, F. A comparison of osteoclast resorption pits on bone with titanium and zirconia surfaces. Biomaterials 2010, 31, 7321–7331. [Google Scholar] [CrossRef] [PubMed]
- Lossdorfer, S.; Schwartz, Z.; Wang, L.; Lohmann, C.H.; Turner, J.D.; Wieland, M.; Cochran, D.L.; Boyan, B.D. Microrough implant surface topographies increase osteogenesis by reducing osteoclast formation and activity. J. Biomed. Mater. Res. A 2004, 70, 361–369. [Google Scholar] [CrossRef] [PubMed]
- Halai, M.; Ker, A.; Meek, R.D.; Nadeem, D.; Sjostrom, T.; Su, B.; McNamara, L.E.; Dalby, M.J.; Young, P.S. Scanning electron microscopical observation of an osteoblast/osteoclast co-culture on micropatterned orthopaedic ceramics. J. Tissue Eng. 2014, 5, 2041731414552114. [Google Scholar] [CrossRef] [PubMed]
- Burstone, M.S. Histochemical demonstration of acid phosphatase activity in osteoclasts. J. Histochem. Cytochem. 1959, 7, 39–41. [Google Scholar] [CrossRef] [PubMed]
- Minkin, C. Bone acid phosphatase: Tartrate-resistant acid phosphatase as a marker of osteoclast function. Calcif. Tissue Int. 1982, 34, 285–290. [Google Scholar] [CrossRef] [PubMed]
- Bang, S.M.; Moon, H.J.; Kwon, Y.D.; Yoo, J.Y.; Pae, A.; Kwon, I.K. Osteoblastic and osteoclastic differentiation on sla and hydrophilic modified sla titanium surfaces. Clin. Oral Implants Res. 2014, 25, 831–837. [Google Scholar] [CrossRef] [PubMed]
- Matsuo, K.; Galson, D.L.; Zhao, C.; Peng, L.; Laplace, C.; Wang, K.Z.; Bachler, M.A.; Amano, H.; Aburatani, H.; Ishikawa, H.; et al. Nuclear factor of activated t-cells (NFAT) rescues osteoclastogenesis in precursors lacking c-fos. J. Biol. Chem. 2004, 279, 26475–26480. [Google Scholar] [CrossRef] [PubMed]
- Rowe, A.R.; Mansfeldt, C.B.; Heavner, G.L.; Richardson, R.E. Relating mrna and protein biomarker levels in a dehalococcoides and methanospirillum-containing community. Appl. Microbiol. Biotechnol. 2015, 99, 2313–2327. [Google Scholar] [CrossRef] [PubMed]
- Parmigiani-Izquierdo, J.M.; Cabana-Munoz, M.E.; Merino, J.J.; Sanchez-Perez, A. Zirconia implants and peek restorations for the replacement of upper molars. Int. J. Implant Dent. 2017, 3, 5. [Google Scholar] [CrossRef] [PubMed]
- Stumpel, L.J.; Haechler, W. The metal-zirconia implant fixed hybrid full-arch prosthesis: An alternative technique for fabrication. Compend. Contin. Educ. Dent. 2018, 39, 176–181. [Google Scholar] [PubMed]








| Gene Name | Primer Sequences (F = forward; R = reverse) |
|---|---|
| GAPDH | (F) 5′-TGCACCACCAACTGCTTAGC-3′, (R) 5′-GGCATGGACTGTGGTCATGAG-3′; |
| c-Fos | (F) 5′-CTGGTGCAGCCCACTCTGGTC-3′, (R) 5′-CTTTCAGCAGATTGGCAATCTC-3′; |
| NFATc1 | (F) 5′-CGGCTGCCTTCCGTCTCATAG-3′, (R) 5′-CGGCTGCCTTCCGTCTCATAG-3′. |
© 2019 by the authors. Licensee MDPI, Basel, Switzerland. This article is an open access article distributed under the terms and conditions of the Creative Commons Attribution (CC BY) license (http://creativecommons.org/licenses/by/4.0/).
Share and Cite
Ganbold, B.; Kim, S.-K.; Heo, S.-J.; Koak, J.-Y.; Lee, Z.H.; Cho, J. Osteoclastogenesis Behavior of Zirconia for Dental Implant. Materials 2019, 12, 732. https://doi.org/10.3390/ma12050732
Ganbold B, Kim S-K, Heo S-J, Koak J-Y, Lee ZH, Cho J. Osteoclastogenesis Behavior of Zirconia for Dental Implant. Materials. 2019; 12(5):732. https://doi.org/10.3390/ma12050732
Chicago/Turabian StyleGanbold, Boldbayar, Seong-Kyun Kim, Seong-Joo Heo, Jai-Young Koak, Zang Hee Lee, and Jaejin Cho. 2019. "Osteoclastogenesis Behavior of Zirconia for Dental Implant" Materials 12, no. 5: 732. https://doi.org/10.3390/ma12050732
APA StyleGanbold, B., Kim, S.-K., Heo, S.-J., Koak, J.-Y., Lee, Z. H., & Cho, J. (2019). Osteoclastogenesis Behavior of Zirconia for Dental Implant. Materials, 12(5), 732. https://doi.org/10.3390/ma12050732
