Peri-Implant Soft Tissue Conditioning by Means of Customized Healing Abutment: A Randomized Controlled Clinical Trial
Abstract
1. Introduction
2. Materials and Methods
2.1. Study Design
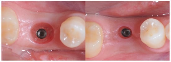
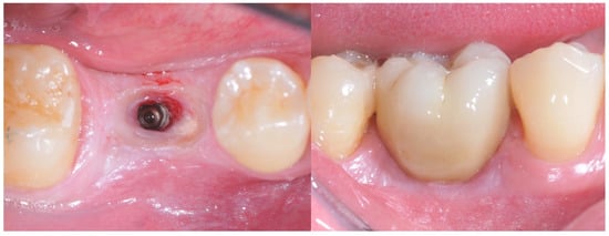
2.2. Surgical Protocol
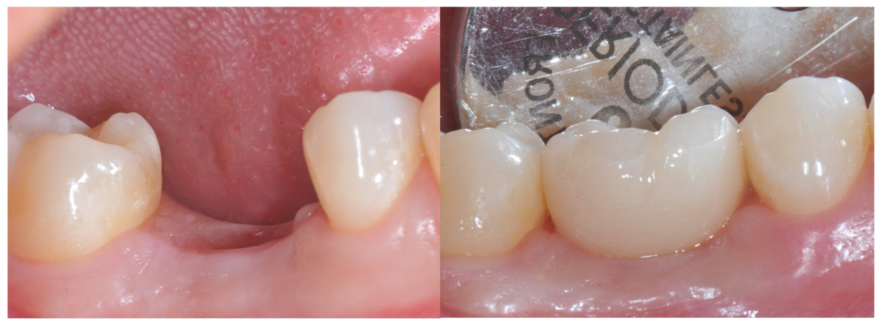
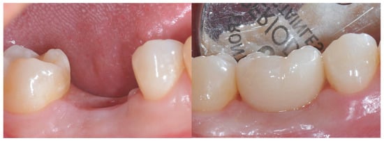
2.3. Prosthetic Protocol
2.4. Study Outcomes
3. Results
4. Discussion
5. Conclusions
Author Contributions
Funding
Conflicts of Interest
References
- Farronato, D.; Manfredini, M.; Mangano, F.; Goffredo, G.; Colombo, M.; Pasini, P.; Orsina, A.; Farronato, M. Ratio between Height and Thickness of the Buccal Tissues: A Pilot Study on 32 Single Implants. Dent. J. 2019, 7, 40. [Google Scholar] [CrossRef] [PubMed]
- Buser, D.; Martin, W.; Belser, U.C. Optimizing esthetics for implant restorations in the anterior maxilla: anatomic and surgical considerations. Int. J. Oral Maxillofac. Implants 2004, 19, 43–61. [Google Scholar] [PubMed]
- Chappuis, V.; Araujo, M.G.; Buser, D. Clinical relevance of dimensional bone and soft tissue alterations post-extraction in esthetic sites. Periodontology 2000 2017, 73, 73–83. [Google Scholar] [CrossRef] [PubMed]
- Furhauser, R.; Florescu, D.; Benesch, T.; Haas, R.; Mailath, G.; Watzek, G. Evaluation of soft tissue around single-tooth implant crowns: the pink esthetic score. Clin. Oral Implants Res. 2005, 16, 639–644. [Google Scholar] [CrossRef] [PubMed]
- Joda, T.; Ferrari, M.; Bragger, U. A prospective clinical cohort study analyzing single-unit implant crowns after three years of loading: introduction of a novel Functional Implant Prosthodontic Score (FIPS). Clin. Oral Implants Res. 2017, 28, 1291–1295. [Google Scholar] [CrossRef] [PubMed]
- Oh, K.C.; Kim, J.H.; Woo, C.W.; Moon, H.S. Accuracy of Customized Prefabricated Screw-Type Immediate Provisional Restorations after Single-Implant Placement. J. Clin. Med. 2019, 8, 490. [Google Scholar] [CrossRef]
- Elian, N.; Tabourian, G.; Jalbout, Z.N.; Classi, A.; Cho, S.C.; Froum, S.; Tarnow, D.P. Accurate transfer of peri-implant soft tissue emergence profile from the provisional crown to the final prosthesis using an emergence profile cast. J. Esthet. Restor. Dent. 2007, 19, 306–314. [Google Scholar] [CrossRef] [PubMed]
- Joda, T.; Ferrari, M.; Braegger, U. A digital approach for one-step formation of the supra-implant emergence profile with an individualized CAD/CAM healing abutment. J. Prosthodont. Res. 2016, 60, 220–223. [Google Scholar] [CrossRef]
- Spinato, S.; Bernardello, F.; Sassatelli, P.; Zaffe, D. Hybrid and fully-etched surface implants in periodontally healthy patients: A comparative retrospective study on marginal bone loss. Clin. Implant Dent. Relat. Res. 2017, 19, 663–670. [Google Scholar] [CrossRef]
- Hawker, G.A.; Mian, S.; Kendzerska, T.; French, M. Measures of adult pain: Visual Analog Scale for Pain (VAS Pain), Numeric Rating Scale for Pain (NRS Pain), McGill Pain Questionnaire (MPQ), Short-Form McGill Pain Questionnaire (SF-MPQ), Chronic Pain Grade Scale (CPGS), Short Form-36 Bodily Pain Scale (SF-36 BPS), and Measure of Intermittent and Constant Osteoarthritis Pain (ICOAP). Arthritis Care Res. (Hoboken) 2011, 63, S240–S252. [Google Scholar] [CrossRef]
- Buser, D.; Wittneben, J.; Bornstein, M.M.; Grutter, L.; Chappuis, V.; Belser, U.C. Stability of contour augmentation and esthetic outcomes of implant-supported single crowns in the esthetic zone: 3-year results of a prospective study with early implant placement postextraction. J. Periodontol. 2011, 82, 342–349. [Google Scholar] [CrossRef] [PubMed]
- Covani, U.; Ricci, M.; Bozzolo, G.; Mangano, F.; Zini, A.; Barone, A. Analysis of the pattern of the alveolar ridge remodelling following single tooth extraction. Clin. Oral Implants Res. 2011, 22, 820–825. [Google Scholar] [CrossRef] [PubMed]
- Fu, J.H.; Lee, A.; Wang, H.L. Influence of tissue biotype on implant esthetics. Int. J. Oral Maxillofac. Implants 2011, 26, 499–508. [Google Scholar] [PubMed]
- Vina-Almunia, J.; Candel-Marti, M.E.; Cervera-Ballester, J.; Garcia-Mira, B.; Calvo-Guirado, J.L.; Penarrocha-Oltra, D.; Penarrocha-Diago, M. Buccal bone crest dynamics after immediate implant placement and ridge preservation techniques: review of morphometric studies in animals. Implant Dent. 2013, 22, 155–160. [Google Scholar] [CrossRef] [PubMed]
- Poli, P.P.; Maridati, P.C.; Stoffella, E.; Beretta, M.; Maiorana, C. Influence of Timing on the Horizontal Stability of Connective Tissue Grafts for Buccal Soft Tissue Augmentation at Single Implants: A Prospective Controlled Pilot Study. J. Oral Maxillofac. Surg. 2019, 77, 1170–1179. [Google Scholar] [CrossRef] [PubMed]
- Steigmann, M.; Monje, A.; Chan, H.L.; Wang, H.L. Emergence profile design based on implant position in the esthetic zone. Int. J. Periodont. Restor. Dent. 2014, 34, 559–563. [Google Scholar] [CrossRef] [PubMed]
- Janakievski, J. Case report: Maintenance of gingival form following immediate implant placement—The custom-healing abutment. Adv. Esthet. Interdiscip. Dent. 2007, 3, 24–28. [Google Scholar]
- Neale, D.; Chee, W.W. Development of implant soft tissue emergence profile: A technique. J. Prosthet. Dent. 1994, 71, 364–368. [Google Scholar] [CrossRef]
- Buskin, R.; Salinas, T.J. Transferring emergence profile created from the provisional to the definitive restoration. Pract. Periodont. Aesthet. Dent. 1998, 10, 1171–1179. [Google Scholar]
- Wittneben, J.G.; Buser, D.; Belser, U.C.; Bragger, U. Peri-implant soft tissue conditioning with provisional restorations in the esthetic zone: the dynamic compression technique. Int. J. Periodont. Restor. Dent. 2013, 33, 447–455. [Google Scholar] [CrossRef]
- Pow, E.H.; McMillan, A.S. A modified implant healing abutment to optimize soft tissue contours: A case report. Implant Dent. 2004, 13, 297–300. [Google Scholar] [CrossRef] [PubMed]
- Bhatnagar, A.; Raj, A. Preservation of optimal gingival architecture through customised healing abutment in immediate implant placement: A clinical report. Int. J. Adv. Res. 2015, 3, 156–160. [Google Scholar]
- Wang, Q.Q.; Dai, R.; Cao, C.Y.; Fang, H.; Han, M.; Li, Q.L. One-time versus repeated abutment connection for platform-switched implant: A systematic review and meta-analysis. PLoS ONE 2017, 12, e0186385. [Google Scholar] [CrossRef] [PubMed]
- Joda, T.; Wittneben, J.G.; Bragger, U. Digital implant impressions with the “Individualized Scanbody Technique” for emergence profile support. Clin. Oral Implants Res. 2014, 25, 395–397. [Google Scholar] [CrossRef] [PubMed]
- Cicciù, M.; Cervino, G.; Milone, D.; Risitano, G. FEM Investigation of the Stress Distribution over Mandibular Bone Due to Screwed Overdenture Positioned on Dental Implants. Materials 2018, 11, 1512. [Google Scholar] [CrossRef] [PubMed]
- Priest, G. Virtual-designed and computer-milled implant abutments. J. Oral Maxillofac. Surg. 2005, 63, 22–32. [Google Scholar] [CrossRef] [PubMed]
- Joda, T.; Zarone, F.; Zitzmann, N.U.; Ferrari, M. The Functional Implant Prosthodontic Score (FIPS): assessment of reproducibility and observer variability. Clin. Oral Investig. 2018, 22, 2319–2324. [Google Scholar] [CrossRef] [PubMed]
- Beuer, F.; Groesser, J.; Schweiger, J.; Hey, J.; Guth, J.F.; Stimmelmayr, M. The Digital One-Abutment/One-Time Concept. A Clinical Report. J. Prosthodont. 2015, 24, 580–585. [Google Scholar] [CrossRef] [PubMed]





| Experimental Group | Patients ID | Gender | Age | Surgical Site |
|---|---|---|---|---|
| Test | 1 | F | 63 | 46 |
| Test | 2 | F | 72 | 46 |
| Test | 3 | M | 45 | 37 |
| Test | 4 | M | 58 | 36 |
| Test | 5 | F | 75 | 35 |
| Test | 6 | M | 69 | 46 |
| Test | 7 | F | 68 | 16 |
| Test | 8 | F | 66 | 16 |
| Test | 9 | M | 54 | 14 |
| Test | 10 | F | 39 | 25 |
| Control | 11 | F | 44 | 26 |
| Control | 12 | M | 54 | 26 |
| Control | 13 | F | 56 | 46 |
| Control | 14 | F | 37 | 46 |
| Control | 15 | F | 58 | 36 |
| Control | 16 | F | 78 | 36 |
| Control | 17 | M | 59 | 35 |
| Control | 18 | F | 69 | 47 |
| Control | 19 | M | 79 | 15 |
| Control | 20 | M | 72 | 37 |
| CONTROL | FIPS | PAIN T0 | PAIN T1 | PAIN T2 |
|---|---|---|---|---|
| 1 | 6 | 8 | 5 | 4 |
| 2 | 7 | 6 | 3 | 0 |
| 3 | 7 | 5 | 4 | 0 |
| 4 | 6 | 7 | 4 | 0 |
| 5 | 8 | 3 | 0 | 0 |
| 6 | 8 | 4 | 2 | 0 |
| 7 | 8 | 4 | 1 | 0 |
| 8 | 6 | 7 | 4 | 0 |
| 9 | 8 | 6 | 3 | 0 |
| 10 | 7 | 5 | 1 | 0 |
| AVERAGE | 7.1 | 5.5 | 2.7 | 0.4 |
| SD | 0.9 | 1.6 | 1.6 | 1.3 |
| MEDIAN | 7 | 5.5 | 3 | 0 |
| TEST | FIPS | PAIN T0 | PAIN T1 | PAIN T2 |
|---|---|---|---|---|
| 1 | 9 | 0 | 0 | 0 |
| 2 | 10 | 0 | 0 | 0 |
| 3 | 8 | 1 | 0 | 0 |
| 4 | 10 | 0 | 0 | 0 |
| 5 | 8 | 2 | 0 | 0 |
| 6 | 10 | 0 | 0 | 0 |
| 7 | 8 | 0 | 0 | 0 |
| 8 | 9 | 1 | 0 | 0 |
| 9 | 9 | 1 | 0 | 0 |
| 10 | 10 | 0 | 0 | 0 |
| AVERAGE | 9.1 | 0.5 | 0 | 0 |
| SD | 0.9 | 0.7 | 0 | 0 |
| MEDIAN | 9 | 0 | 0 | 0 |
© 2019 by the authors. Licensee MDPI, Basel, Switzerland. This article is an open access article distributed under the terms and conditions of the Creative Commons Attribution (CC BY) license (http://creativecommons.org/licenses/by/4.0/).
Share and Cite
Beretta, M.; Poli, P.P.; Pieriboni, S.; Tansella, S.; Manfredini, M.; Cicciù, M.; Maiorana, C. Peri-Implant Soft Tissue Conditioning by Means of Customized Healing Abutment: A Randomized Controlled Clinical Trial. Materials 2019, 12, 3041. https://doi.org/10.3390/ma12183041
Beretta M, Poli PP, Pieriboni S, Tansella S, Manfredini M, Cicciù M, Maiorana C. Peri-Implant Soft Tissue Conditioning by Means of Customized Healing Abutment: A Randomized Controlled Clinical Trial. Materials. 2019; 12(18):3041. https://doi.org/10.3390/ma12183041
Chicago/Turabian StyleBeretta, Mario, Pier Paolo Poli, Silvia Pieriboni, Sebastian Tansella, Mattia Manfredini, Marco Cicciù, and Carlo Maiorana. 2019. "Peri-Implant Soft Tissue Conditioning by Means of Customized Healing Abutment: A Randomized Controlled Clinical Trial" Materials 12, no. 18: 3041. https://doi.org/10.3390/ma12183041
APA StyleBeretta, M., Poli, P. P., Pieriboni, S., Tansella, S., Manfredini, M., Cicciù, M., & Maiorana, C. (2019). Peri-Implant Soft Tissue Conditioning by Means of Customized Healing Abutment: A Randomized Controlled Clinical Trial. Materials, 12(18), 3041. https://doi.org/10.3390/ma12183041

