Socket Preservation Using a (Dense) PTFE Barrier with or without Xenograft Material: A Randomized Clinical Trial
Abstract
:1. Introduction
2. Materials and Methods
2.1. Study Population
2.2. Inclusion and Exclusion Criteria
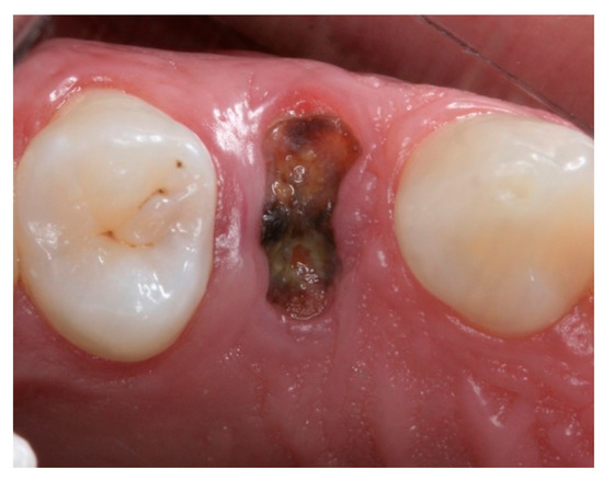
2.3. Pre-Surgical Procedures
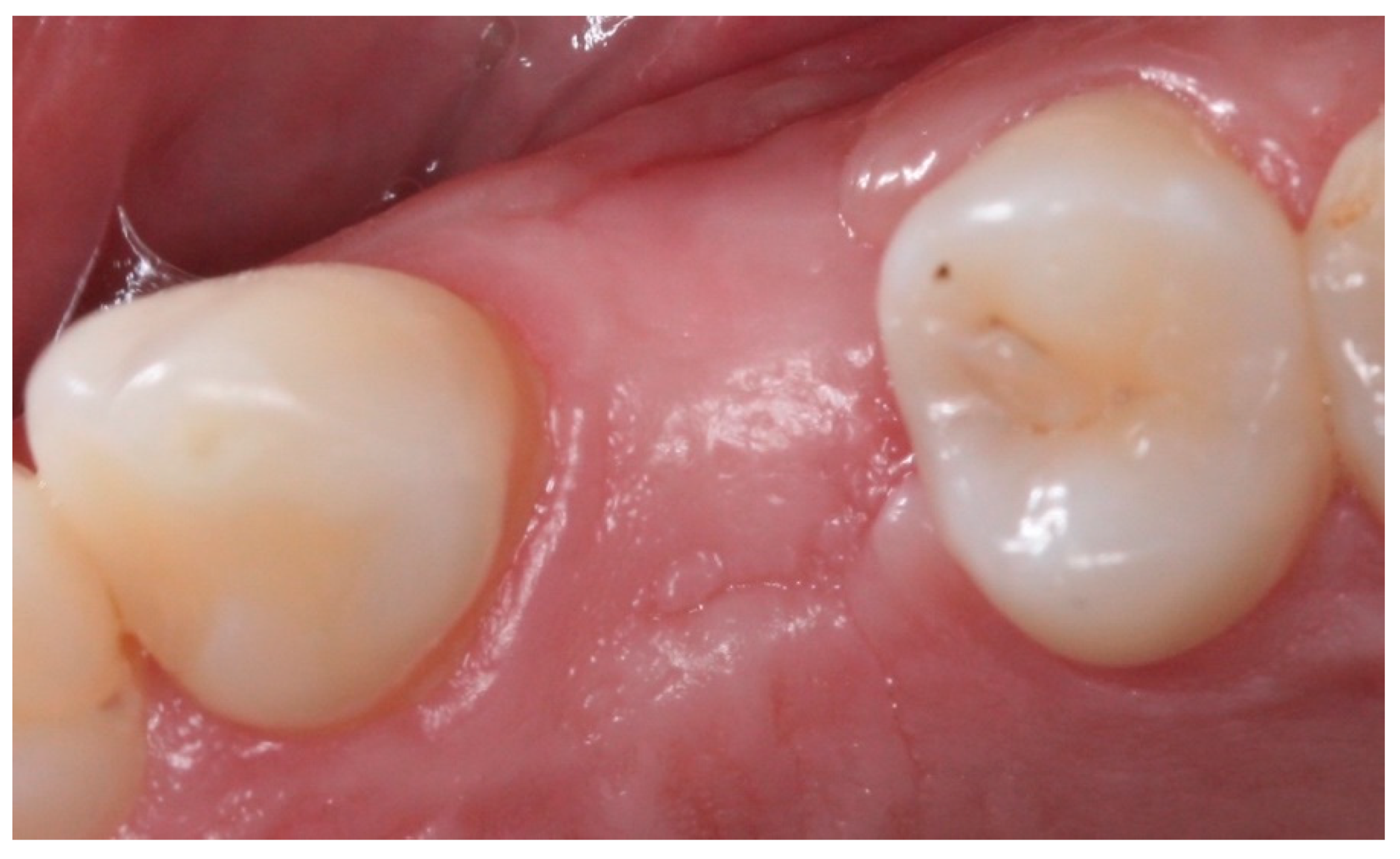
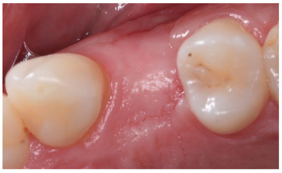
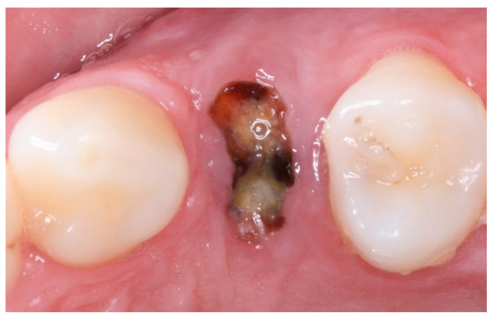
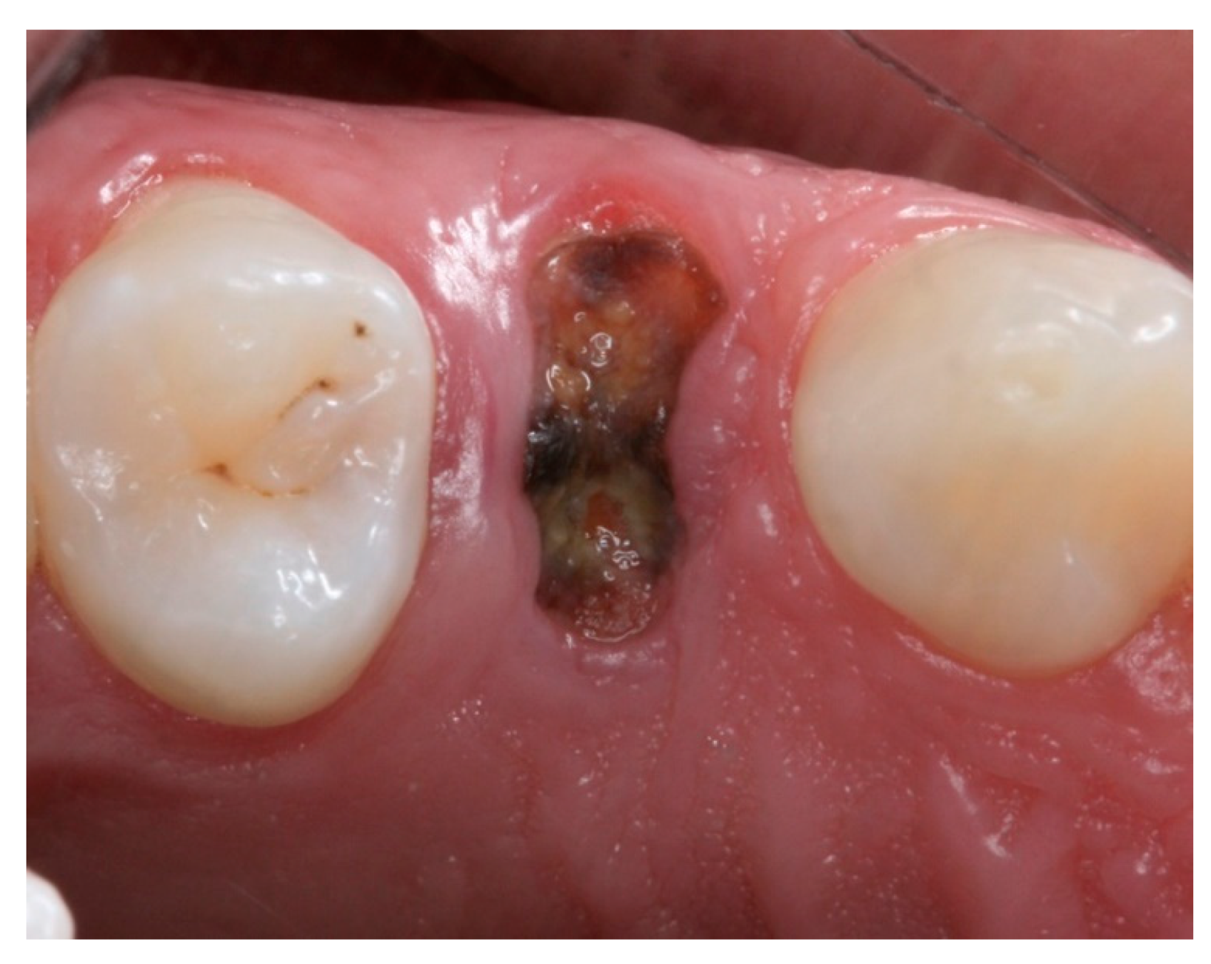
2.4. Groups
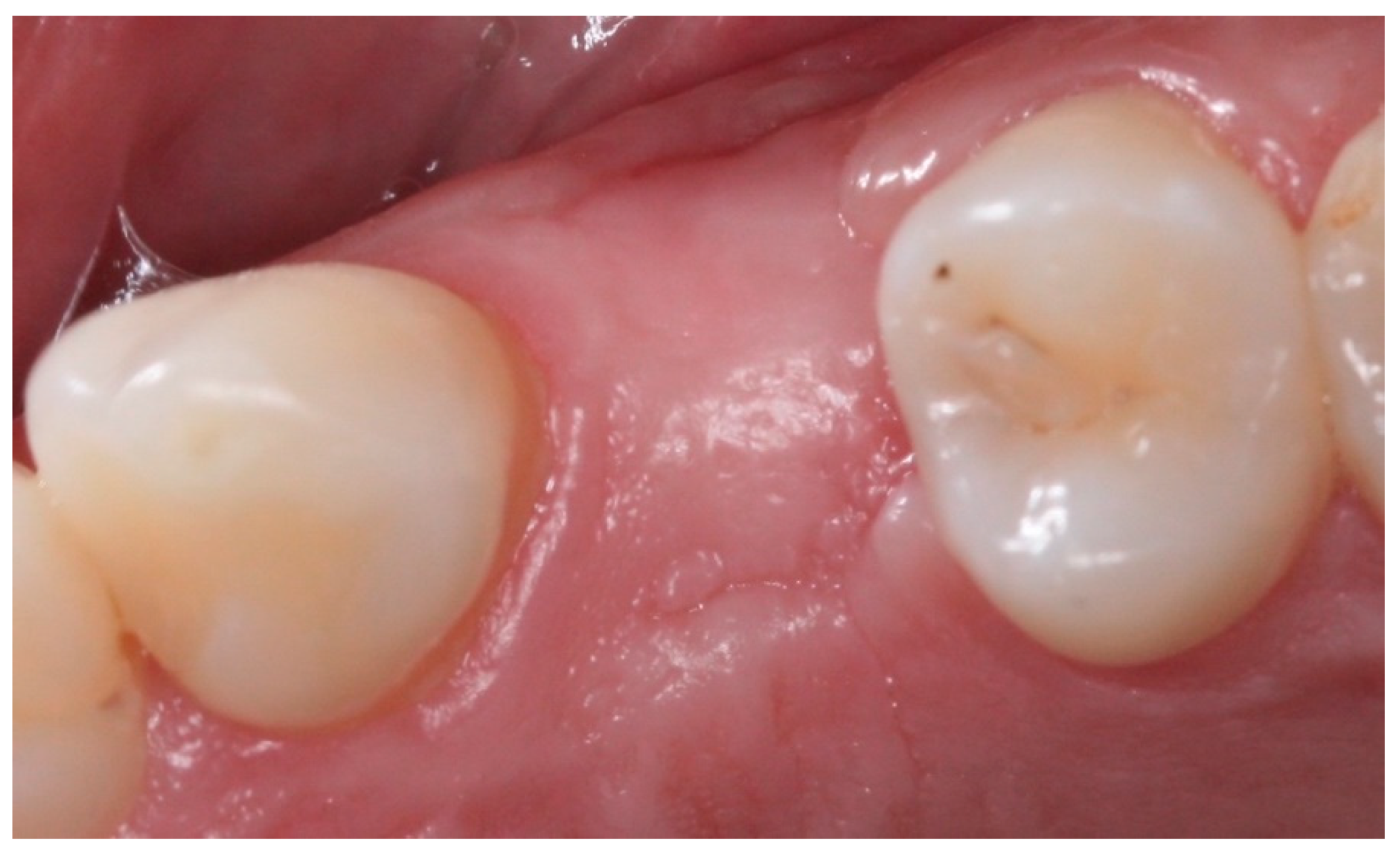
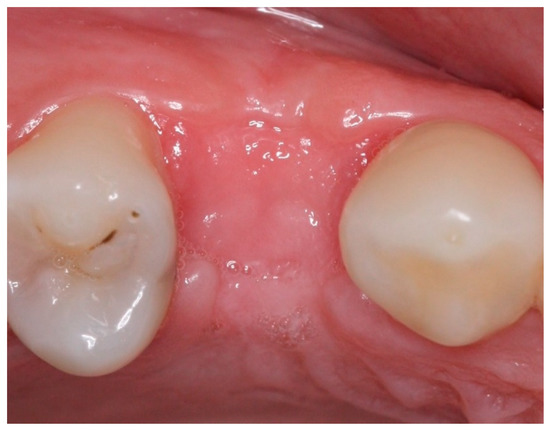
2.5. Post-Surgical Procedures
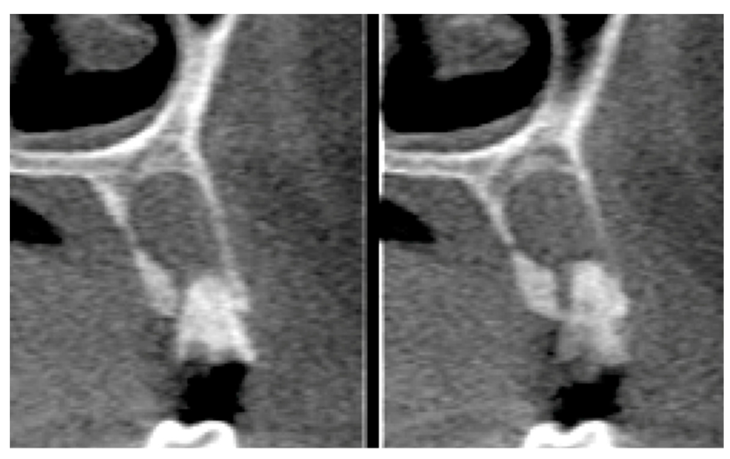
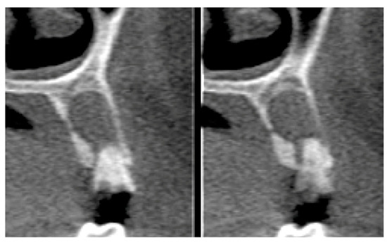
2.6. Tomographic Analysis
3. Discussion
4. Conclusions
Author Contributions
Funding
Acknowledgments
Conflicts of Interest
References
- Ashman, A. Ridge preservation: The future practice of dentistry. Dent. Econ. 1995, 85, 80. [Google Scholar] [PubMed]
- Bartee, B.K. Extraction site reconstruction for alveolar ridge preservation. Part 1: Rationale and materials selection. J. Oral Implant. 2001, 27, 187–193. [Google Scholar] [CrossRef]
- Araujo, M.G.; Lindhe, J. Dimensional ridge alterations following tooth extraction. An experimental study in the dog. J. Clin. Periodontol. 2005, 32, 212–218. [Google Scholar] [CrossRef] [PubMed]
- Darby, I.; Chen, S.T.; Buser, D. Ridge preservation techniques for implant therapy. Int. J. Oral Maxillofac. Implant. 2009, 24, 260–271. [Google Scholar]
- Mcallister, B.S.; Haghighat, K. Bone augmentation techniques. J. Periodontol. 2007, 78, 377–396. [Google Scholar] [CrossRef] [PubMed]
- Precheur, H.V. Bone graft materials. Dent. Clin. North Am. 2007, 51, 729–746. [Google Scholar] [CrossRef] [PubMed]
- Wang, R.E.; Lang, N.P. Ridge preservation after tooth extraction. Clin. Oral Implant. Res. 2012, 23, 147–156. [Google Scholar] [CrossRef]
- Hardwic, R.; Hayes, B.K.; Flynn, C. Devices for dentoalveolar regeneration: An up-to-date literature review. J. Periodontol. 1995, 66, 495–505. [Google Scholar] [CrossRef]
- Dayube, U.R.C.; Furtado, T.S.M.; Paula, D.P.S.; Mello, B.F.; Bortoli, J.P.A.; Shibli, J.A. Preservação do rebordo alveolar com perda óssea vestibular associada a biomaterial e membrana ptfe densa intencionalmente exposta ao meio bucal. Implant News Perio. 2017, 2, 433–440. (In Portuguese) [Google Scholar]
- Caton, J.G.; Armitage, G.; Berglundh, T.; Chapple, I.L.C.; Jepsen, S.; Kornman, K.S.; Mealey, B.L.; Papapanou, P.N.; Sanz, M.; Tonetti, M.S. A new classification scheme for periodontal and peri-implant diseases and conditions - Introduction and key changes from the 1999 classification. J. Clin. Periodontol. 2018, 45, 1–8. [Google Scholar] [CrossRef]
- Eskan, M.A.; Girouard, M.E.; Morton, D.; Greenwell, H. The effect of membrane exposure on lateral ridge augmentation: A case-controlled study. Int. J. Implant Dent. 2017, 3, 26. [Google Scholar] [CrossRef] [PubMed]
- Araujo, M.G.; Silva, J.C.C.; Mendonça, A.F.; Lindhe, J. Ridge alterations following grafting of fresh extraction sockets in man. A randomized clinical trial. Clin. Oral Implant. Res. 2015, 26, 407–412. [Google Scholar] [CrossRef] [PubMed]
- Fiorellini, J.P.; Howell, T.H.; Cochran, D.; Malmquist, J.; Lilly, L.C.; Spagnoli, D.; Toljanic, J.; Jones, A.; Nevins, M. Randomized study evaluating recombinant human bone morphogenetic protein-2 for extraction socket augmentation. J. Periodontol. 2005, 76, 605–613. [Google Scholar] [CrossRef] [PubMed]
- Lekovic, V.; Kenney, E.B.; Weinlaender, M.; Han, T.; Klokkevold, P.; Nedic, M.; Orsini, M. A bone regenerative approach to alveolar ridge maintenance following tooth extraction. Report of 10 cases. J. Periodontol. 1997, 68, 563–570. [Google Scholar] [CrossRef]
- Quesada, G.A.; Brenner, F.B.; Feltraco, L.T. Análise das membranas de colágeno bovino, comparativamente às membranas de politetrafluoretileno expandido, como barreira de proteção em regenerações ósseas guiadas para posterior colocação de implantes e no tratamento de periimplantes com e sem o uso de implantes e no tratamento de periimplantes com e sem o uso de enxertos bovinos. Rev. Dent. Line 2011, 10, 29–38. (In Portuguese) [Google Scholar]
- Ronda, M.; Rebauldi, A.; Torelli, L.; Stacchi, C. Expanded vs. dense polytetrafluoroethylene membranes in vertical ridge augmentation around dental implants: A prospective randomized controlled clinical trial. Clin. Oral Implant. Res. 2014, 25, 859–866. [Google Scholar] [CrossRef] [PubMed]
- Laurito, D.; Lollobrigida, M.; Gianno, F.; Bosco, S.; Lamazza, L.; De Biase, A. Alveolar ridge preservation with nc-HÁ and d-PTFE Membrane: A clinical, histologic, and histomorphometric study. Int. J. Periodontics Restor. Dent. 2017, 37, 283–290. [Google Scholar] [CrossRef] [PubMed]
- Laurito, D.; Cugnetto, R.; Lollobrigida, M.; Guerra, F.; Vestri, A.; Gianno, F.; Bosco, S.; Lamazza, L.; De Biase, A. Socket preservation with d-PTFE membrane: Histologic analysis of the newly formed matrix at membrane removal. Int. J. Periodontics Restor. Dent. 2016, 36, 877–883. [Google Scholar] [CrossRef] [PubMed]
- Salomão, M.; Siqueira, J.T.T. Regeneração óssea guiada para recuperação da parede vestibular após perda de implante utilizando barreira de polipropileno sem o uso de enxertos ou biomaterial. Implant News Perio. 2011, 2, 9–11. (In Portuguese) [Google Scholar]
- Alghamdi, A.S.; Shibly, O.; Ciancio, S.G. Osseous grafting part II: Xenografts and alloplasts for periodontal regeneration: A literature review. J. Int. Acad. Periodontol. 2010, 12, 39–44. [Google Scholar]
- Iasella, J.M.; Greenwell, H.; Miller, R.L.; Hill, M.; Drisko, C.; Bohra, A.A.; Scheetz, J.P. Ridge preservation with freeze-dried bone allograft and a collagen membrane compared to extraction alone for implant site development: A clinical and histologic study in humans. J. Periodontol. 2003, 74, 990–999. [Google Scholar] [CrossRef] [PubMed]
- Aranha, L.C.; Braga, F.J.C. Análise clínico-cirúrgica comparativa de dois produtos de enxertia óssea, existentes no mercado nacional e caracterizados como matriz óssea bovina, tendo como referência uma matriz similar produzida com requisitos específicos. Implant. News 2011, 8, 245–251. (In Portuguese) [Google Scholar]
- Noia, C.F.; Sá, B.C.M.; Silveira, C.S.; Figueiredo, M.I.O.; Garcia, S.D. Considerações sobre a utilização dos implantes imediatos carregados em região estética–relato de caso. Full Dent. Sci. 2015, 6, 167–175. (In Portuguese) [Google Scholar]
- Goulart, D.R.; Moraes, M. Clinical use of Lumina-Porous® heterologous graft in the maxillary sinus: A preliminary study with two case reports. Dent. Press Implantol. 2014, 8, 80–93. [Google Scholar] [CrossRef]
- Nevins, M.; Camelo, M.; Paoli, S.; Friedland, B.; Schenk, R.K.; Benfenati, S.P.; Simion, M.; Tinti, C.; Wagenberg, B. A study of the fate of the buccal wall of extraction sockets of teeth with prominent roots. Int. J. Periodontics Restor. Dent. 2006, 26, 19–29. [Google Scholar] [CrossRef] [PubMed]
- Araujo, M.G.; Lindhe, J. Ridge preservation with the use of Bio-Osss collagen: A 6-month study in the dog. Clin. Oral Implantol. 2009, 20, 433–440. [Google Scholar] [CrossRef] [PubMed]
- Fotek, P.D.; Neiva, R.F.; Wang, H.L. Comparison of dermal matrix and polytetrafluoroethylene membrane for socket bone augmentation: A clinical and histologic study. J. Periodontol. 2009, 80, 776–785. [Google Scholar] [CrossRef] [PubMed]
- Hoffmann, O.; Bartee, B.K.; Beaumont, C.; Kasaj, A.; Deli, G.; Zafiropoulos, G.G. Alveolar bone preservation in extraction sockets using non-resorbable dPTFE membranes: A retrospective non-randomized study. J. Periodontol. 2008, 79, 1355–1369. [Google Scholar] [CrossRef]
- Barboza, E.P.; Stutz, B.; Ferreira, V.F.; Carvalho, W. Guided bone regeneration using nonexpanded polytetrafluorethylene membranes in preparation for dental implants placement a report of 420 cases. Implant Dent. 2010, 19, 2–7. [Google Scholar] [CrossRef]
















| Parameter | Before | After | ||
|---|---|---|---|---|
| Mean | Standard Deviation | Mean | Standard Deviation | |
| Buccal plate | 5.55 | 1.73 | 6.01 | 2.33 |
| Socket height | 9.10 | 1.50 | 8.69 | 1.48 |
| Cervical third | 7.46 | 0.73 | 6.57 | 1.12 |
| Medium third | 7.80 | 1.00 | 7.15 | 1.10 |
| Apical third | 8.10 | 1.17 | 8.18 | 1.32 |
| Parameter | Before | After | ||
|---|---|---|---|---|
| Mean | Standard Deviation | Mean | Standard Deviation | |
| Buccal plate | 7.37 | 2.32 | 8.49 | 1.95 |
| Socket height | 9.96 | 1.36 | 10.32 | 2.07 |
| Cervical third | 7.68 | 0.94 | 7.57 | 0.92 |
| Medium third | 8.10 | 1.29 | 8.02 | 1.31 |
| Apical third | 8.78 | 1.26 | 8.64 | 1.46 |
| Parameter | Control | Test | P Value | ||
|---|---|---|---|---|---|
| Mean | Standard Deviation | Mean | Standard Deviation | ||
| Buccal plate | 0.46 | 3.04 | 1.11 | 0.91 | 0.417 |
| Socket height | −0.41 | 0.76 | 0.35 | 1.16 | 0.049 |
| Cervical third | −0.89 | 0.71 | −0.11 | 0.73 | 0.008 |
| Medium third | −0.64 | 0.57 | −0.50 | 0.32 | 0.002 |
| Apical third | 0.09 | 0.60 | −0.14 | 0.69 | 0.348 |
© 2019 by the authors. Licensee MDPI, Basel, Switzerland. This article is an open access article distributed under the terms and conditions of the Creative Commons Attribution (CC BY) license (http://creativecommons.org/licenses/by/4.0/).
Share and Cite
de Carvalho Formiga, M.; Dayube, U.R.C.; Chiapetti, C.K.; de Rossi Figueiredo, D.; Shibli, J.A. Socket Preservation Using a (Dense) PTFE Barrier with or without Xenograft Material: A Randomized Clinical Trial. Materials 2019, 12, 2902. https://doi.org/10.3390/ma12182902
de Carvalho Formiga M, Dayube URC, Chiapetti CK, de Rossi Figueiredo D, Shibli JA. Socket Preservation Using a (Dense) PTFE Barrier with or without Xenograft Material: A Randomized Clinical Trial. Materials. 2019; 12(18):2902. https://doi.org/10.3390/ma12182902
Chicago/Turabian Stylede Carvalho Formiga, Márcio, Ulisses Ribeiro Campos Dayube, Cristiane Kern Chiapetti, Daniela de Rossi Figueiredo, and Jamil Awad Shibli. 2019. "Socket Preservation Using a (Dense) PTFE Barrier with or without Xenograft Material: A Randomized Clinical Trial" Materials 12, no. 18: 2902. https://doi.org/10.3390/ma12182902
APA Stylede Carvalho Formiga, M., Dayube, U. R. C., Chiapetti, C. K., de Rossi Figueiredo, D., & Shibli, J. A. (2019). Socket Preservation Using a (Dense) PTFE Barrier with or without Xenograft Material: A Randomized Clinical Trial. Materials, 12(18), 2902. https://doi.org/10.3390/ma12182902

