Experimental Studies on the Normal Impact of Fly Ash Particles with Planar Surfaces
Abstract
:1. Introduction
2. Experimental System and Approach
2.1. Experimental Apparatus

2.2. The Shooting Region


| N2 flow rate (mL/min) | Normal incident velocity (m/s) | Normal rebound velocity (m/s) | Location i | Fluid velocity for i (m/s) | Drag force of incident process Fd (nN) | Drag force of rebound process Fd (nN) | |
|---|---|---|---|---|---|---|---|
| 140 | 2.432 | 0.591 | 1 | 0.0000 | −33.54 | −8.15 | |
| 2 | 0.1343 | −31.69 | −10.00 | ||||
| 3 | 0.2467 | −30.14 | −11.55 | ||||
| 4 | 0.0000 | −33.54 | −8.15 | ||||
| 5 | 0.0841 | −32.38 | −9.31 | ||||
| 6 | 0.2207 | −30.50 | −11.20 | ||||
| 1200 | 8.6 | 2.262 | 1 | 0.0000 | −118.62 | −31.20 | |
| 2 | 1.4279 | −98.92 | −50.89 | ||||
| 3 | 2.4171 | −85.28 | −64.53 | ||||
| 4 | 0.0000 | −118.62 | −31.20 | ||||
| 5 | 1.0529 | −104.09 | −45.72 | ||||
| 6 | 2.2429 | −87.68 | −62.13 | ||||

2.3. Particle Generator
2.4. Particles

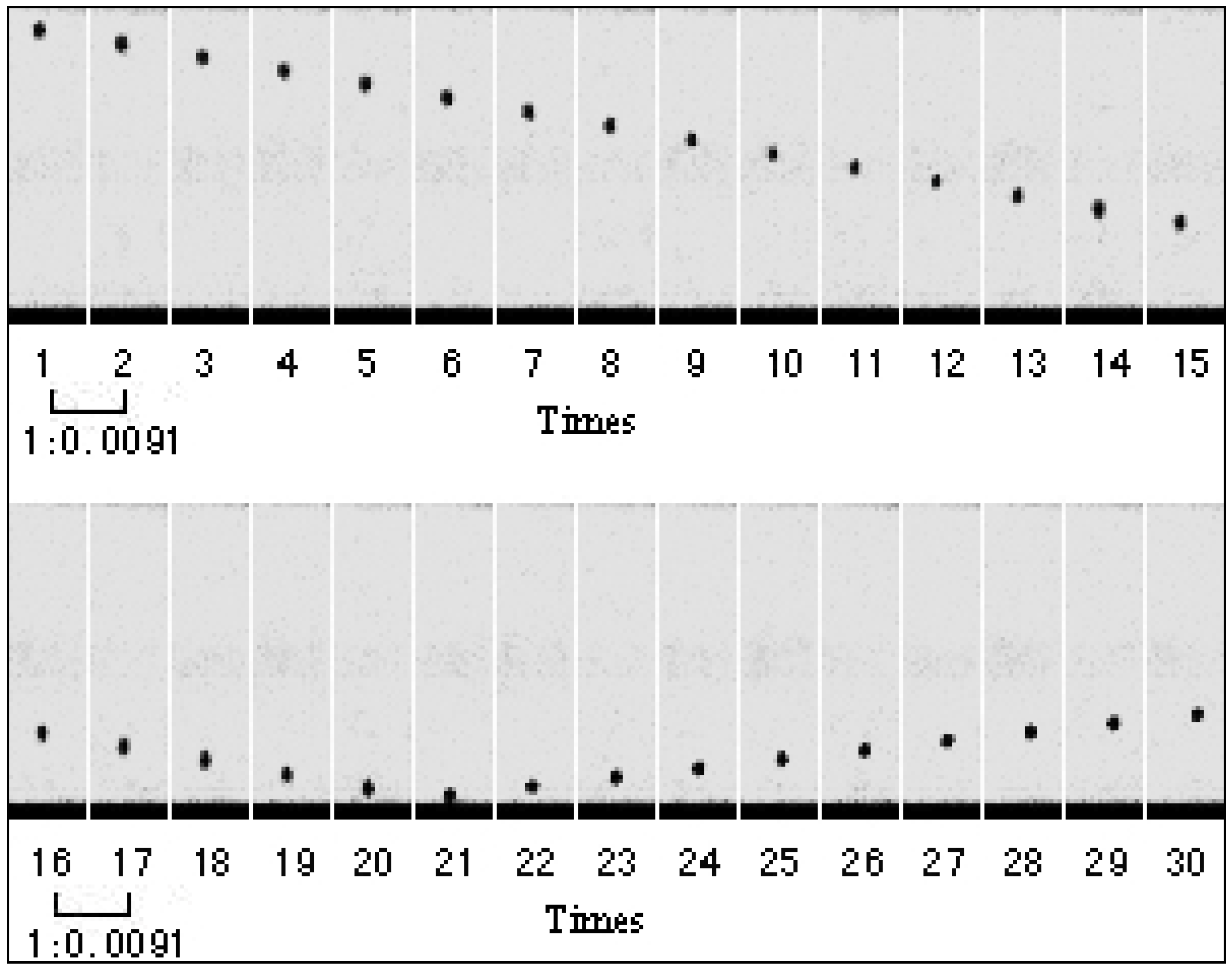
2.5. Image Analysis

3. Theoretical Background
3.1. Energy Balance

3.2. Energy Dissipation

4. Results and Discussion
4.1. Normal Coefficient of Restitution



4.2. The Critical Velocity for Particle Capture

5. Conclusions
- (1)
- The ease of use of the experimental equipment enabled a large number of tests to be conducted.
- (2)
- The incident particle velocity is the most significant variable in terms of the normal restitution coefficient. When the fly ash particles impact with a planar surface, the normal restitution coefficient rapidly increases with increasing incident velocity for the incident velocity is less than the yield velocity, and rapidly decreases with increasing incident velocity for the incident velocity is greater than the yield velocity. The reason is that the increases in incident velocity of fly ash particles lead to the plastic energy loss that plays an important role in the fly ash particle collisions with a planar surface. Furthermore, the normal coefficient of restitution decreases with increasing incident velocity of fly ash particles when the incident velocity is greater than the yield velocity.
- (3)
- The critical velocity determined solely by the first-contact energy loss, is proportional to dp−5/6 and therefore gets larger for smaller particles. For instance, as the present work, the velocity vc of the particle with diameter of 85 μm is 0.19 m/s, which increases to 0.42 m/s for the particle with diameter of 65 μm.
Acknowledgements
Conflict of Interest
References
- Lokare, S.S.; Dunaway, J.D.; Moulton, D.; Rogers, D.; Tree, D.R.; Baxter, L.L. Investigation of ash deposition rates for a suite of biomass fuels and fuel blends. Energy Fuels 2006, 20, 1008–1014. [Google Scholar] [CrossRef]
- Zbogar, A.; Frandsen, F.; Jensen, P.A.; Glarborg, P. Shedding of ash deposits. Prog. Energy Combust. Sci. 2009, 35, 31–56. [Google Scholar] [CrossRef]
- Srinivasachar, S.C.; Senior, L.; Helble, J.J.; Moore, J.E. A fundamental approach to the prediction of coal ash deposit formation in combustion systems. Proc. Combust. Inst. 1992, 24, 1179–1187. [Google Scholar] [CrossRef]
- Vuthaluru, H.B.; Wall, T.F. Ash formation and deposition from a Victorian brown coal-modelling and prevention. Fuel Process. Technol. 1998, 53, 215–233. [Google Scholar] [CrossRef]
- Raask, E. Mineral Impurities in Coal Combustion; Hemisphere Publishing Company: Washington, DC, USA, 1985; pp. 189–201. [Google Scholar]
- Walsh, P.M.; Sayre, A.N.; Loehden, D.O.; Monroe, L.S.; Beer, J.M.; Sarofim, A.F. Deposition of bituminous coal ash on an isolated heat exchanger tube: Effects of coal properties on deposit growth. Prog. Energy Combust. Sci. 1990, 16, 327–345. [Google Scholar] [CrossRef]
- Baxter, L.L. Influence of ash deposit chemistry and structure on physical and transport properties. Fuel Process. Technol. 1998, 56, 81–88. [Google Scholar] [CrossRef]
- Beer, J.M.; Sarofim, A.F.; Barta, L.E. From Coal Mineral Properties to Fly Ash Deposition Tendencies. In Transformations and Ash Deposition during Combustion, Proceedings of the Engineering Foundation Conference on Inorganic Transformations and Ash Deposition During Combustion, Palm Coast, FL, USA, 10–15 March 1991; Benson, S.A., Ed.; American Society of Mechanical Engineers: New York, NY, USA, 1992. [Google Scholar]
- Benson, S.A.; Jones, M.L.; Harb, J.N. Ash Formation and Deposition. In Fundamentals of Coal Combustion; Smoot, L.D., Ed.; Elsevier Science: New York, NY, USA, 1993; pp. 399–373. [Google Scholar]
- Gibb, W.H. The UK Collaborative Research Programme on Slagging Pulverized Coal-Fired Boilers: Summary of Findings. In Applications of Advanced Technology to Ash-Related Problems in Boilers, Proceedings of the Engineering Foundation Conference on Applications of Advanced Technology to Ash-Related Problems in Boilers, Waterville Valley, NH, USA, 16–21 July 1995; Baxter, L., DeSollar, R., Eds.; Kluwer Academic Publisher: Dordrecht, The Netherlands, 1996. [Google Scholar]
- Hass, J.; Tamura, M.; Weber, R. Characterisation of coal blends for pulverized fuel combustion. Fuel 2001, 80, 1317–1323. [Google Scholar] [CrossRef]
- Helble, J.J.; Srinivasachar, S.; Boni, A.A. Factors influencing the transformation of mineral matter during pulverized coal combustion. Prog. Energy Combust. Sci. 1990, 4, 267–279. [Google Scholar] [CrossRef]
- Hutchings, I.S.; West, S.S.; Williamson, J. An Assessment of Coal Ash Slagging Propensity Using an Entrained Flow Reactor. In Applications of Advanced Technology to Ash-Related Problems in Boilers, Proceedings of the Engineering Foundation Conference on Applications of Advanced Technology to Ash-Related Problems in Boilers, Waterville Valley, NH, USA, 16–21 July 1995; Baxter, L., DeSollar, R., Eds.; Kluwer Academic Publisher: Dordrecht, The Netherlands, 1996. [Google Scholar]
- Manton, N.J.; Williamson, J.; Riley, G.S. Changes in Slagging Behavior with Composition for Blended Coals. In Impact of Mineral Impurities in Solid Fuel Combustion; Springer: New York, NY, USA, 2002. [Google Scholar]
- Baxter, L.L. Ash deposition during biomass and coal combustion: A mechanistic approach. Biomass Bioenergy 1993, 4, 85–102. [Google Scholar] [CrossRef]
- Nielsen, H.P.; Baxter, L.L.; Sclippab, G.; Morey, C.; Frandsen, F.J.; Dam-Johansen, K. Deposition of potassium salts on heat transfer surfaces in straw-fired boilers: A pilot-scale study. Fuel 2000, 79, 131–139. [Google Scholar] [CrossRef]
- Nielsen, H.P.; Frandsen, F.J.; Dam-Johansen, K.; Baxter, L.L. The implication of chlorine-associated corrosion on the operation of biomass-fired boilers. Prog. Energy Combust. Sci. 2000, 26, 283–298. [Google Scholar] [CrossRef]
- Dahneke, B. The capture of aerosol particles by surfaces. J. Colloid Interface Sci. 1971, 37, 342–353. [Google Scholar] [CrossRef]
- Dahneke, B. Measurements of the bouncing of small latex spheres. J. Colloid Interface Sci. 1973, 45, 584–590. [Google Scholar] [CrossRef]
- Dahneke, B. Further measurements of the bouncing of small latex spheres. J. Colloid Interface Sci. 1975, 51, 58–65. [Google Scholar] [CrossRef]
- Rogers, L.N.; Reed, J. The adhesion of particles undergoing an elastic-plastic impact with a surface. J. Phys. D Appl. Phys. 1984, 17, 677–689. [Google Scholar] [CrossRef]
- Wall, S.; John, W.; Wang, H.-C.; Goren, S.L. Measurements of kinetic energy loss for particles impacting surfaces. Aerosol Sci. Technol. 1990, 12, 926–946. [Google Scholar] [CrossRef]
- Dunn, P.F.; Brach, R.M.; Caylor, M.J. Experiments on the low-velocity impact of microspheres with planar surfaces. Aerosol Sci. Technol. 1995, 23, 80–95. [Google Scholar] [CrossRef]
- Van Beek, M.C.; Rindt, C.C.M.; Wijers, J.G.; van Steenhoven, A.A. Rebound characteristics for 50-μm particles impacting a powdery deposit. Powder Technol. 2006, 165, 53–64. [Google Scholar] [CrossRef]
- Kim, O.V.; Dunn, P.F. Direct visualization and model validation of microsphere impact and surface capture. J. Aerosol Sci. 2008, 39, 373–375. [Google Scholar] [CrossRef]
- Shuiqing, L.; Marshall, J.S.; Guanqing, L.; Qiang, Y. Adhesive particulate flow: The discrete-element method and its application. Prog. Energy Combust. Sci. 2011, 37, 633–668. [Google Scholar] [CrossRef]
- Brach, R.M.; Dunn, P.F. Macrodynamics of microparticles. Aerosol Sci. Technol. 1995, 23, 51–71. [Google Scholar] [CrossRef]
- Kim, O.V.; Dunn, P.F. A microsphere-surface impact model for implementation in computational fluid dynamics. J. Aerosol Sci. 2007, 38, 532–549. [Google Scholar] [CrossRef]
- Li, X.; Dunn, P.F.; Brach, R.M. Experimental and numerical studies on the normal impact of microspheres with surfaces. J. Aerosol Sci. 1999, 30, 439–449. [Google Scholar] [CrossRef]
- Matsunaga, T.; Kim, J.K.; Rohatgi, P.K. Crystallinity and selected properties of fly ash particles. Mater. Sci. Eng. A 2002, 325, 333–343. [Google Scholar] [CrossRef]
- Chung, F.H. Quantitative interpretation of X-ray diffraction patterns of mixtures. II. Adiabatic principle of X-ray diffraction analysis of mixtures. J. Appl. Crystallogr. 1974, 7, 526–531. [Google Scholar] [CrossRef]
- Shackelford, J.F.; Alexander, W. The CRC Materials Science and Engineering Handbook; CRC Press: Boca Raton, FL, USA, 1992; pp. 436–438. [Google Scholar]
- Bitter, J.G.A. A study of erosion phenomena part I. Wear 1963, 6, 5–21. [Google Scholar] [CrossRef]
- Johnson, K.L.; Kendall, K.; Roberts, A.D. Surface energy and the contact of elastic solids. Proc. R. Soc. Lond. 1971, 324, 301–313. [Google Scholar] [CrossRef]
- Thomton, C.; Ning, Z. A theoretical model for the stick/bounce behaviour of adhesive, elastic-plastic spheres. Powder Technol. 1998, 99, 154–162. [Google Scholar] [CrossRef]
- Liu, G.; Li, S.; Yao, Q. A JKR-based dynamic model for the impact of micro-particle with a flat surface. Powder Technol. 2011, 207, 215–223. [Google Scholar] [CrossRef]
- Abd-Elhady, M.S.; Rindt, C.C.M.; Wijers, J.G.; van Steenhoven, A.A. Modeling the impaction of a micron particle with a powdery layer. Powder Technol. 2006, 168, 111–124. [Google Scholar] [CrossRef]
© 2013 by the authors; licensee MDPI, Basel, Switzerland. This article is an open access article distributed under the terms and conditions of the Creative Commons Attribution license (http://creativecommons.org/licenses/by/3.0/).
Share and Cite
Dong, M.; Li, S.; Xie, J.; Han, J. Experimental Studies on the Normal Impact of Fly Ash Particles with Planar Surfaces. Energies 2013, 6, 3245-3262. https://doi.org/10.3390/en6073245
Dong M, Li S, Xie J, Han J. Experimental Studies on the Normal Impact of Fly Ash Particles with Planar Surfaces. Energies. 2013; 6(7):3245-3262. https://doi.org/10.3390/en6073245
Chicago/Turabian StyleDong, Ming, Sufen Li, Jun Xie, and Jian Han. 2013. "Experimental Studies on the Normal Impact of Fly Ash Particles with Planar Surfaces" Energies 6, no. 7: 3245-3262. https://doi.org/10.3390/en6073245
APA StyleDong, M., Li, S., Xie, J., & Han, J. (2013). Experimental Studies on the Normal Impact of Fly Ash Particles with Planar Surfaces. Energies, 6(7), 3245-3262. https://doi.org/10.3390/en6073245
