Experimental Research on the Selective Absorption of Solar Energy by Hybrid Nanofluids
Abstract
:1. Introduction
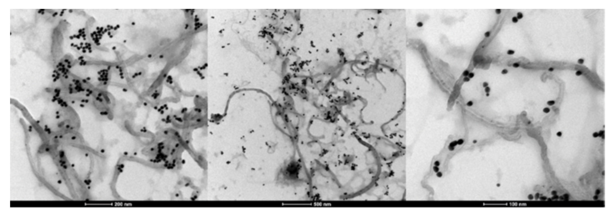
2. Preparation and Characterization of Nanofluids
2.1. One–Step Method to Prepare Gold Nanofluids
- (1)
- Take 100 mL of aqueous HAuCl4 (tetrachloro auric acid) solution with a concentration of 5 mM, turn on the electromagnetic heating agitator and stir the solution evenly and heat it until the solution boils;
- (2)
- Keep the HAuCl4 solution in the state of vigorous boiling and uniform stirring, quickly add 100 mL of 10 mM trisodium citrate aqueous solution, observe and record the change of solution color and time in the bottle;
- (3)
- Continue stirring and heating until the solution boils. After 10 min, turn off the heating power and stop heating. Add and continue stirring and cooling for 15 more minutes, and observe and record the color change of the solution.
2.2. Two–Step Method to Prepare Other Nanofluids
2.3. Preparation and Characterization of Hybrid Nanofluids
3. Experimental Setup
4. Theoretical Calculation of Nanofluid Absorbing Solar Energy and Heat Conversion Efficiency
5. Results and Discussion
5.1. Absorption of Solar Energy by a Single Nanofluid
5.2. Absorption of Solar Energy by Hybrid Nanofluids
- (1)
- Most of the hybrid nanofluids have an infrared absorption curve close to zero, but the Au–MWCNT hybrid nanofluids still have a certain absorption capacity for sunlight beyond 760 nm.
- (2)
- The hybrid nanofluids containing gold have absorption peaks around 520 nm. The order of the solar absorption peaks of the hybrid nanofluids between 400 nm and 700 nm is: Au–Al2O3, Au–MWCNT, Au–Ag, Au–Cu. Among them, the Au–MWCNT and Au–Ag hybrid nanofluids even show two fluctuations with two absorption peaks.
- (3)
- The absorption curve of the hybrid solution of CuO and TiO2 is more uniform, with a high absorption efficiency in the full spectral range with no absorption peak, and gradually decreases with the increase of wavelength, but the absorption efficiency of the hybrid nanofluid is still higher than that of the Au–Ag and the Au–Cu nanofluids.
- (1)
- The temperature distribution within the glass tube;
- (2)
- The measurement of thermocouples cannot accurately represent the average temperature of the nanofluid;
- (3)
- A control experiment of temperature collection points should be set, and thermocouples are attached to different positions of the same glass tube for temperature measurement;
- (4)
- The flow state of the nanofluid should be considered in the experimental setup and the completely static experimental state does not meet the actual engineering utilization conditions;
- (5)
- The experimental operation should be more rigorous.
6. Conclusions
- The light–to–heat conversion efficiency of nanofluids increases as the concentration increases and finally stabilizes. However, the wavelength of the absorption peak of a single nanofluid does not change with concentration.
- The light–to–heat conversion performance of nanofluid is related to the type of nanofluid, which is slightly larger than that of the base fluid. The reason is that nanoparticles dispersed in water have strong absorption of solar energy, and the scattering effect between particles is increased. The light path of the light entering the nanofluid is conducive to the nanofluid to capture and absorb solar energy.
- The light–to–heat conversion performance of metallic nanofluids is stronger than that of non–metallic nanofluids.
- The mixed fluid has the same two peaks as the mixed single nanofluid, and the absorption curve is flatter than that of the single nanofluid.
- The light–to–heat conversion characteristics of hybrid nanofluids are not necessarily stronger than that of single nanofluids. Nanoparticles with different absorption spectra need to be selected. The ratio of different concentrations and the content of different components may affect the experimental results.
Author Contributions
Funding
Conflicts of Interest
Nomenclature
| A | absorbance (–) |
| E | ) |
| volume concentration (–) | |
| L | ) |
| Q | efficiency factor for Mie scattering (–) |
| D | ) |
| Greek symbols | |
| ) | |
| efficiency (–) | |
| ) | |
| Subscripts | |
| wavelength related | |
| abs | absorption |
| bb | black body |
References
- Choi, S.U.S.; Eastman, J.A. Enhancing Thermal Conductivity of Fluids with Nanoparticles; ASME: New York, NY, USA, 1995; pp. 99–105. [Google Scholar]
- Jin, H.; Lin, G.; Bai, L.; Zeiny, A.; Wen, D. Steam generation in a nanoparticle-based solar receiver. Nano Energy 2016, 28, 397–406. [Google Scholar] [CrossRef] [Green Version]
- Jin, H.; Lin, G.; Bai, L.; Amjad, M.; Filho, E.P.B.; Wen, D. Photothermal conversion efficiency of nanofluids: An experimental and numerical study. Sol. Energy 2016, 139, 278–289. [Google Scholar] [CrossRef] [Green Version]
- Jin, H.; Lin, G.; Zeiny, A.; Bai, L.; Wen, D. Nanoparticle-based solar vapor generation: An experimental and numerical study. Energy 2019, 178, 447–459. [Google Scholar] [CrossRef]
- Khullar, V.; Tyagi, H.; Hordy, N.; Otanicar, T.P.; Hewakuruppu, Y.; Modi, P.; Taylor, R.A. Harvesting solar thermal energy through nanofluid-based volumetric absorption systems. Int. J. Heat Mass Transf. 2014, 77, 377–384. [Google Scholar] [CrossRef]
- Ishii, S.; Sugavaneshwar, R.P.; Nagao, T. Titanium Nitride Nanoparticles as Plasmonic Solar Heat Transducers. J. Phys. Chem. C 2016, 120, 2343–2348. [Google Scholar] [CrossRef]
- Zhou, L.; Tan, Y.; Ji, D.; Zhu, B.; Zhang, P.; Xu, J.; Gan, Q.; Yu, Z.; Zhu, J. Self-assembly of highly efficient, broadband plasmonic absorbers for solar steam generation. Sci. Adv. 2016, 2, e1501227. [Google Scholar] [CrossRef] [Green Version]
- Yeshchenko, O.A.; Kutsevol, N.V.; Naumenko, A.P. Light-Induced Heating of Gold Nanoparticles in Colloidal Solution: Dependence on Detuning from Surface Plasmon Resonance. Plasmonics 2015, 11, 345–350. [Google Scholar] [CrossRef]
- Tullius, T.; Bayazitoglu, Y. Temperature of a metallic nanoparticle embedded in a phase change media exposed to radiation. Int. J. Heat Mass Transf. 2016, 93, 980–990. [Google Scholar] [CrossRef]
- Otanicar, T.P.; Phelan, P.E.; Prasher, R.S.; Rosengarten, G.; Taylor, R.A. Nanofluid-based direct absorption solar collector. J. Renew. Sustain. Energy 2010, 2, 033102. [Google Scholar] [CrossRef] [Green Version]
- Amjad, M.; Jin, H.; Du, X.; Wen, D. Experimental photothermal performance of nanofluids under concentrated solar flux. Sol. Energy Mater. Sol. Cells 2018, 182, 255–262. [Google Scholar] [CrossRef] [Green Version]
- Jin, H.; Lin, G.; Guo, Y.; Bai, L.; Wen, D. Nanoparticles enabled pump-free direct absorption solar collectors. Renew. Energy 2019, 145, 2337–2344. [Google Scholar] [CrossRef]
- Jin, H.; Lin, G.; Zeiny, A.; Bai, L.; Cai, J.; Wen, D. Experimental study of transparent oscillating heat pipes filled with solar absorptive nanofluids. Int. J. Heat Mass Transf. 2019, 139, 789–801. [Google Scholar] [CrossRef]
- Zeiny, A.; Jin, H.; Bai, L.; Lin, G.; Wen, D. A comparative study of direct absorption nanofluids for solar thermal applications. Sol. Energy 2018, 161, 74–82. [Google Scholar] [CrossRef]
- Zeiny, A.; Jin, H.; Lin, G.; Song, P.; Wen, D. Solar evaporation via nanofluids: A comparative study. Renew. Energy 2018, 122, 443–454. [Google Scholar] [CrossRef] [Green Version]
- Karami, M.; Bahabadi, M.A.; Delfani, S.; Ghozatloo, A. A new application of carbon nanotubes nanofluid as working fluid of low-temperature direct absorption solar collector. Sol. Energy Mater. Sol. Cells 2014, 121, 114–118. [Google Scholar] [CrossRef]
- Chen, M.; He, Y.; Zhu, J.; Kim, D.R. Enhancement of photo-thermal conversion using gold nanofluids with different particle sizes. Energy Convers. Manag. 2016, 112, 21–30. [Google Scholar] [CrossRef]
- Chen, M.; He, Y.; Zhu, J.; Shuai, Y.; Jiang, B.; Huang, Y. An experimental investigation on sunlight absorption characteristics of silver nanofluids. Sol. Energy 2015, 115, 85–94. [Google Scholar] [CrossRef]
- Chen, M.; He, Y.; Zhu, J.; Wen, D. Investigating the collector efficiency of silver nanofluids based direct absorption solar collectors. Appl. Energy 2016, 181, 65–74. [Google Scholar] [CrossRef]
- Noor, F.; Vorozhtsov, A.; Lerner, M.; Filho, E.P.B.; Wen, D. Thermal-Chemical Characteristics of Al–Cu Alloy Nanoparticles. J. Phys. Chem. C 2015, 119, 14001–14009. [Google Scholar] [CrossRef] [Green Version]
- He, Y.; Wang, T.; Deen, N.G.; Annaland, M.V.S.; Kuipers, H.; Wen, D. Discrete particle modeling of granular temperature distribution in a bubbling fluidized bed. Particuology 2012, 10, 428–437. [Google Scholar] [CrossRef]
- Khullar, V.; Tyagi, H.; Phelan, P.; Otanicar, T.; Singh, H.; Taylor, R.A. Solar Energy Harvesting Using Nanofluids-Based Concentrating Solar Collector. J. Nanotechnol. Eng. Med. 2012, 3, 031003. [Google Scholar] [CrossRef]
- Zhang, H.; Chen, H.-J.; Du, X.; Lin, G.; Wen, D. Dependence of Photothermal Conversion Characteristics on Different Nanoparticle Dispersions. J. Nanosci. Nanotechnol. 2015, 15, 3055–3060. [Google Scholar] [CrossRef] [PubMed]
- Jin, X.; Lin, G.; Zeiny, A.; Jin, H.; Bai, L.; Wen, D. Solar photothermal conversion characteristics of hybrid nanofluids: An experimental and numerical study. Renew. Energy 2019, 141, 937–949. [Google Scholar] [CrossRef]




















| Au | Ag | TiO2 | Al2O3 | CuO | MWCNT | |
|---|---|---|---|---|---|---|
| Au (i.e., GNPs) | ✓ | ✓ | ✓ | ✓ | ✓ | |
| Ag | ✓ | ✓ | ||||
| TiO2 | ✓ | ✓ | ||||
| Al2O3 | ✓ | ✓ | ||||
| CuO | ✓ | ✓ | ✓ | |||
| MWCNT | ✓ | ✓ |
Publisher’s Note: MDPI stays neutral with regard to jurisdictional claims in published maps and institutional affiliations. |
© 2021 by the authors. Licensee MDPI, Basel, Switzerland. This article is an open access article distributed under the terms and conditions of the Creative Commons Attribution (CC BY) license (https://creativecommons.org/licenses/by/4.0/).
Share and Cite
Jin, X.; Lin, G.; Jin, H.; Fu, Z.; Sun, H. Experimental Research on the Selective Absorption of Solar Energy by Hybrid Nanofluids. Energies 2021, 14, 8186. https://doi.org/10.3390/en14238186
Jin X, Lin G, Jin H, Fu Z, Sun H. Experimental Research on the Selective Absorption of Solar Energy by Hybrid Nanofluids. Energies. 2021; 14(23):8186. https://doi.org/10.3390/en14238186
Chicago/Turabian StyleJin, Xin, Guiping Lin, Haichuan Jin, Zunru Fu, and Haoyang Sun. 2021. "Experimental Research on the Selective Absorption of Solar Energy by Hybrid Nanofluids" Energies 14, no. 23: 8186. https://doi.org/10.3390/en14238186
APA StyleJin, X., Lin, G., Jin, H., Fu, Z., & Sun, H. (2021). Experimental Research on the Selective Absorption of Solar Energy by Hybrid Nanofluids. Energies, 14(23), 8186. https://doi.org/10.3390/en14238186

