Guided Bone Regeneration of an Atrophic Mandible with a Heterologous Bone Block
Abstract
:Materials and Methods
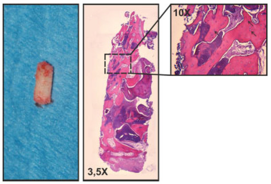
Histological Analysis
Results
Histological Analysis
Discussion
Conclusion
Acknowledgments
References
- Esposito, M.; Grusovin, M.G.; Felice, P.; Karatzopoulos, G.; Worthington, H.V.; Coulthard, P. The efficacy of horizontal and vertical bone augmentation procedures for dental implants—a Cochrane systematic review. Eur J Oral Implantology 2009, 2, 167–184. [Google Scholar] [PubMed]
- Nkenke, E.; Weisbach, V.; Winckler, E.; et al. Morbidity of harvesting of bone grafts from the iliac crest for preprosthetic augmentation procedures: a prospective study. Int J Oral Maxillofac Surg 2004, 33, 157–163. [Google Scholar] [CrossRef] [PubMed]
- Buser, D.; Dula, K.; Hess, D.; Hirt, H.P.; Belser, U.C. Localized ridge augmentation with autografts and barrier membranes. Periodontol 2000 1999, 19, 151–163. [Google Scholar] [CrossRef] [PubMed]
- Nkenke, E.; Schultze-Mosgau, S.; Radespiel-Tröger, M.; Kloss, F.; Neukam, F.W. Morbidity of harvesting of chin grafts: a prospective study. Clin Oral Implants Res 2001, 12, 495–502. [Google Scholar] [CrossRef]
- Karring, T.; Nyman, S.; Lindhe, J. Healing following implantation of periodontitis affected roots into bone tissue. J Clin Periodontol 1980, 7, 96–105. [Google Scholar] [CrossRef]
- Nyman, S.; Karring, T.; Lindhe, J.; Plantén, S. Healing following implantation of periodontitis-affected roots into gingival connective tissue. J Clin Periodontol 1980, 7, 394–401. [Google Scholar] [CrossRef]
- Dahlin, C.; Linde, A.; Gottlow, J.; Nyman, S. Healing of bone defects by guided tissue regeneration. Plast Reconstr Surg 1988, 81, 672–676. [Google Scholar] [CrossRef]
- Buser, D.; Brägger, U.; Lang, N.P.; Nyman, S. Regeneration and enlargement of jaw bone using guided tissue regeneration. Clin Oral Implants Res 1990, 1, 22–32. [Google Scholar] [CrossRef]
- Rakhmatia, Y.D.; Ayukawa, Y.; Furuhashi, A.; Koyano, K. Current barrier membranes: titanium mesh and other membranes for guided bone regeneration in dental applications. J Prosthodont Res 2013, 57, 3–14. [Google Scholar] [CrossRef]
- Gentile, P.; Chiono, V.; Tonda-Turo, C.; Ferreira, A.M.; Ciardelli, G. Polymeric membranes for guided bone regeneration. Biotechnol J 2011, 6, 1187–1197. [Google Scholar] [CrossRef]
- Roccuzzo, M.; Ramieri, G.; Spada, M.C.; Bianchi, S.D.; Berrone, S. Vertical alveolar ridge augmentation by means of a titanium mesh and autogenous bone grafts. Clin Oral Implants Res 2004, 15, 73–81. [Google Scholar]
- Roccuzzo, M.; Ramieri, G.; Bunino, M.; Berrone, S. Autogenous bone graft alone or associated with titanium mesh for vertical alveolar ridge augmentation: a controlled clinical trial. Clin Oral Implants Res 2007, 18, 286–294. [Google Scholar]
- Pikos, M.A. Chin grafts as donor sites for maxillary bone augmentation—Part II. Dent Implantol Update 1996, 7, 1–4. [Google Scholar]
- Garg, A.K.; Morales, M.J.; Navarro, I.; Duarte, F. Autogenous mandibular bone grafts in the treatment of the resorbed maxillary anterior alveolar ridge: rationale and approach. Implant Dent 1998, 7, 169–176. [Google Scholar] [PubMed]
- Sethi, A.; Kaus, T. Ridge augmentation using mandibular block bone grafts: preliminary results of an ongoing prospective study. Int J Oral Maxillofac Implants 2001, 16, 378–388. [Google Scholar] [PubMed]
- Misch, C.M.; Misch, C.E.; Resnik, R.R.; Ismail, Y.H. Reconstruction of maxillary alveolar defects with mandibular symphysis grafts for dental implants: a preliminary procedural report. Int J Oral Maxillofac Implants 1992, 7, 360–366. [Google Scholar] [PubMed]
- D’Addona, A.; Nowzari, H. Intramembranous autogenous osseous transplants in aesthetic treatment of alveolar atrophy. Periodontol 2000 2001, 27, 148–161. [Google Scholar]
- Verhoeven, J.W.; Cune, M.S.; Terlou, M.; Zoon, M.A.; de Putter, C. The combined use of endosteal implants and iliac crest onlay grafts in the severely atrophic mandible: a longitudinal study. Int J Oral Maxillofac Surg 1997, 26, 351–357. [Google Scholar]
- Garg, A.K. Lateral proximal tibia bone harvest for use in augmentation procedures. Interview. Dent Implantol Update 2001, 12, 33–37. [Google Scholar]
- Mellonig, J.T. Autogenous and allogeneic bone grafts in periodontal therapy. Crit Rev Oral Biol Med 1992, 3, 333–352. [Google Scholar]
- Zitzmann, N.U.; Naef, R.; Schärer, P. Resorbable versus nonresorbable membranes in combination with Bio-Oss for guided bone regeneration. Int J Oral Maxillofac Implants 1997, 12, 844–852. [Google Scholar] [PubMed]
- Zitzmann, N.U.; Schärer, P.; Marinello, C.P.; Schüpbach, P.; Berglundh, T. Alveolar ridge augmentation with Bio-Oss: a histologic study in humans. Int J Periodontics Restorative Dent 2001, 21, 288–295. [Google Scholar]
- Hämmerle, C.H.; Jung, R.E.; Yaman, D.; Lang, N.P. Ridge augmentation by applying bioresorbable membranes and deproteinized bovine bone mineral: a report of twelve consecutive cases. Clin Oral Implants Res 2008, 19, 19–25. [Google Scholar]
- Jensen, S.S.; Broggini, N.; Hjørting-Hansen, E.; Schenk, R.; Buser, D. Bone healing and graft resorption of autograft, anorganic bovine bone and beta-tricalcium phosphate. A histologic and histomorphometric study in the mandibles of minipigs. Clin Oral Implants Res 2006, 17, 237–243. [Google Scholar] [CrossRef] [PubMed]
- Rothamel, D.; Schwarz, F.; Herten, M.; et al. Vertical ridge augmentation using xenogenous bone blocks: a histomorphometric study in dogs. Int J Oral Maxillofac Implants 2009, 24, 243–250. [Google Scholar] [PubMed]
- Schwarz, F.; Rothamel, D.; Herten, M.; Ferrari, D.; Sager, M.; Becker, J. Lateral ridge augmentation using particulated or block bone substitutes biocoated with rhGDF-5 and rhBMP-2: an immunohisto-chemical study in dogs. Clin Oral Implants Res 2008, 19, 642–652. [Google Scholar]
- Simion, M.; Rocchietta, I.; Kim, D.; Nevins, M.; Fiorellini, J. Vertical ridge augmentation by means of deproteinized bovine bone block and recombinant human platelet-derived growth factor-BB: a histologic study in a dog model. Int J Periodontics Restorative Dent 2006, 26, 415–423. [Google Scholar]
- Fontana, F.; Rocchietta, I.; Dellavia, C.; Nevins, M.; Simion, M. Biocompatibility and manageability of a new fixable bone graft for the treatment of localized bone defects: preliminary study in a dog model. Int J Periodontics Restorative Dent 2008, 28, 601–607. [Google Scholar]
- Baslé, M.F.; Lesourd, M.; Grizon, F.; Pascaretti, C.; Chappard, D. Type I collagen in xenogenic bone material regulates attachment and spreading of osteoblasts over the beta1 integrin subunit [in German]. Orthopade 1998, 27, 136–142. [Google Scholar]
- Green, J.; Schotland, S.; Stauber, D.J.; Kleeman, C.R.; Clemens, T.L. Cell-matrix interaction in bone: type I collagen modulates signal transduction in osteoblast-like cells. Am J Physiol 1995, 268 Pt 1, C1090–C1103. [Google Scholar]
- Mizuno, M.; Fujisawa, R.; Kuboki, Y. Type I collagen-induced osteoblastic differentiation of bone-marrow cells mediated by collagen-alpha2-beta1 integrin interaction. J Cell Physiol 2000, 184, 207–213. [Google Scholar]
- Liu, G.; Hu, Y.Y.; Zhao, J.N.; Wu, S.J.; Xiong, Z.; Lu, R. Effect of type I collagen on the adhesion, proliferation, and osteoblastic gene expression of bone marrow-derived mesenchymal stem cells. Chin J Traumatol 2004, 7, 358–362. [Google Scholar] [PubMed]
- Güngörmüş, M.; Kaya, O. Evaluation of the effect of heterologous type I collagen on healing of bone defects. J Oral Maxillofac Surg 2002, 60, 541–545. [Google Scholar] [CrossRef] [PubMed]
- Gungormus, M. The effect on osteogenesis of type I collagen applied to experimental bone defects. Dent Traumatol 2004, 20, 334–337. [Google Scholar] [PubMed]
- Regazzoni, C.; Winterhalter, K.H.; Rohrer, L. Type I collagen induces expression of bone morphogenetic protein receptor type II. Biochem Biophys Res Commun 2001, 283, 316–322. [Google Scholar]
- Toroian, D.; Lim, J.E.; Price, P.A. The size exclusion characteristics of type I collagen: implications for the role of noncollagenous bone constituents in mineralization. J Biol Chem 2007, 282, 22437–22447. [Google Scholar] [CrossRef]
- Perrotti, V.; Nicholls, B.M.; Piattelli, A. Human osteoclast formation and activity on an equine spongy bone substitute. Clin Oral Implants Res 2009, 20, 17–23. [Google Scholar]
- Perrotti, V.; Nicholls, B.M.; Horton, M.A.; Piattelli, A. Human osteoclast formation and activity on a xenogenous bone mineral. J Biomed Mater Res A 2009, 90, 238–246. [Google Scholar]
- Artese, L; Piattelli, A; DA, D.S.; et al. Sinus lift with autologous bone alone or in addition to equine bone: an immunohistochemical study in man. Implant Dent 2011, 20, 383–388. [Google Scholar]
- Di Stefano, D.A.; Artese, L.; Iezzi, G.; et al. Alveolar ridge regeneration with equine spongy bone: a clinical, histological, and immunohis-tochemical case series. Clin Implant Dent Relat Res 2009, 11, 90–100. [Google Scholar]
- Di Stefano, D.A.; Cazzaniga, A.; Andreasi Bassi, M.; Ludovichetti, M.; Ammirabile, G.; Celletti, R. The use of cortical heterologous sheets for sinus lift bone grafting: a modification of Tulasne’s technique with 7-year follow-up. Int J Immunopathol Pharmacol 2013, 26, 549–556. [Google Scholar] [CrossRef] [PubMed]
- Pistilli, R.; Signorini, L.; Pisacane, A.; Lizio, G.; Felice, P. Case of severe bone atrophy of the posterior maxilla rehabilitated with blocks of equine origin bone: histological results. Implant Dent 2013, 22, 8–15. [Google Scholar] [CrossRef]
- Santini, S.; Barbera, P.; Modena, M.; Schiavon, R.; Bonato, M. Equinederived bone substitutes in orthopedics and traumatology: authors’ experience. Minerva Chir 2011, 66, 63–72. [Google Scholar]
- Di Stefano, D.A.; Andreasi Bassi, M.; Cinci, L.; Pieri, L.; Ammirabile, G. Treatment of a bone defect consequent to the removal of a periapical cyst with equine bone and equine membranes: clinical and histological outcome. Minerva Stomatol 2012, 61, 477–490. [Google Scholar]
- Materni, A. Managing an extreme peri-implantitis. Minerva Stomatol 2013, 62, 295–305. [Google Scholar] [PubMed]
- Yurdukoru, B. Standardization of the tooth numbering systems [in Turkish]. Ankara Univ Hekim Fak Derg 1989, 16, 527–531. [Google Scholar]
- Araújo, M.G.; Sonohara, M.; Hayacibara, R.; Cardaropoli, G.; Lindhe, J. Lateral ridge augmentation by the use of grafts comprised of autologous bone or a biomaterial. An experiment in the dog. J Clin Periodontol 2002, 29, 1122–1131. [Google Scholar] [CrossRef] [PubMed]
- Simion, M.; Nevins, M.; Rocchietta, I.; et al. Vertical ridge augmentation using an equine block infused with recombinant human platelet-derived growth factor-BB: a histologic study in a canine model. Int J Periodontics Restorative Dent 2009, 29, 245–255. [Google Scholar]
- Antoun, H.; Sitbon, J.M.; Martinez, H.; Missika, P. A prospective randomized study comparing two techniques of bone augmentation: onlay graft alone or associated with a membrane. Clin Oral Implants Res 2001, 12, 632–639. [Google Scholar] [CrossRef]
- Buser, D.; Dula, K.; Belser, U.; Hirt, H.P.; Berthold, H. Localized ridge augmentation using guided bone regeneration. 1. Surgical procedure in the maxilla. Int J Periodontics Restorative Dent 1993, 13, 29–45. [Google Scholar] [PubMed]





© 2016 by the author. The Author(s) 2016.
Share and Cite
Di Stefano, D.A.; Greco, G.B.; Riboli, F. Guided Bone Regeneration of an Atrophic Mandible with a Heterologous Bone Block. Craniomaxillofac. Trauma Reconstr. 2016, 9, 88-93. https://doi.org/10.1055/s-0035-1551544
Di Stefano DA, Greco GB, Riboli F. Guided Bone Regeneration of an Atrophic Mandible with a Heterologous Bone Block. Craniomaxillofacial Trauma & Reconstruction. 2016; 9(1):88-93. https://doi.org/10.1055/s-0035-1551544
Chicago/Turabian StyleDi Stefano, Danilo Alessio, Gian Battista Greco, and Francesco Riboli. 2016. "Guided Bone Regeneration of an Atrophic Mandible with a Heterologous Bone Block" Craniomaxillofacial Trauma & Reconstruction 9, no. 1: 88-93. https://doi.org/10.1055/s-0035-1551544
APA StyleDi Stefano, D. A., Greco, G. B., & Riboli, F. (2016). Guided Bone Regeneration of an Atrophic Mandible with a Heterologous Bone Block. Craniomaxillofacial Trauma & Reconstruction, 9(1), 88-93. https://doi.org/10.1055/s-0035-1551544