Next Article in Journal
Medial Wall Fracture and Orbital Emphysema Mimicking Inferior Rectus Entrapment in a Child
Previous Article in Journal
Remodeling of Displaced Condylar Fractures with Functional Treatment: High-Quality Radiographic Documentation in Three-Patient Series
 
 
Craniomaxillofacial Trauma & Reconstruction is published by MDPI from Volume 18 Issue 1 (2025). Previous articles were published by another publisher in Open Access under a CC-BY (or CC-BY-NC-ND) licence, and they are hosted by MDPI on mdpi.com as a courtesy and upon agreement with Sage.
Font Type:
Arial Georgia Verdana
Font Size:
Aa Aa Aa
Line Spacing:
Column Width:
Background:
Case Report

Lower Face Asymmetry: Can We Distract the Mandibular Lower Border?

by
Santhosh Rao
* and
Sruthi Rao
Department of Dentistry, Maxillofacial Surgery Services, All India Institute of Medical Sciences (AIIMS), Raipur 492099, Chhattisgarh, India
*
Author to whom correspondence should be addressed.
Craniomaxillofac. Trauma Reconstr. 2015, 8(4), 341-344; https://doi.org/10.1055/s-0034-1395386
Submission received: 28 April 2014 / Revised: 24 June 2014 / Accepted: 24 June 2014 / Published: 24 November 2015

Abstract

:
Orthognathic surgery and alloplastic grafting are the main stay in management in hemifacial microsomia. Distraction osteogenesis is used to increase the ramus and corpus length in the management, but here we have described a technique to increase the height of the body of the mandible using the principles of basal osteotomy and distraction osteogenesis.

Hemifacial microsomia (HFM) is a chromosomal abnormality with an incidence of 1:5,600. Bone grafting, alloplastic grafting, orthognathic surgery, orthomorphic surgery and distraction osteogenesis (DO) are the various options available for the management of HFM. DO has been used for the correction of the mandibular corpus length and ramal deficiency, but there is no previous report stating its use in increasing the height of the mandible [1]. Basal osteotomy of the mandible has been reported for reduction of the height of the mandible and advancement of the mandibular corpus [2]. We present a method incorporating the basal osteotomy with the principles of DO to correct hemimandibular hypoplasia associated with HFM type I.

Case Report

A 20-year-old male patient presented with a chief complaint of asymptomatic asymmetry of the face first noticed in the childhood that worsened over the period of time. He has no history of trauma or major hospitalizations. He presented with gross asymmetric face with decreased lower facial height on the left side. The chin was deviated to the right side (Figure 1). On temporomandibular joint (TMJ) evaluation, jaw movements were normal bilaterally. On orthopantomograph (OPG), the mandible on the left side was smaller in size with maintained anatomy. Condyles were symmetrical, and teeth were symmetrical which was reconfirmed using study models.
Audiometry revealed decreased hearing capability on the left side. No cardiac abnormalities, no abdominal, or visceral abnormalities were noted. An IQ score of 86 was obtained on Stanford-Binet Intelligence scale suggesting low average. The condition was diagnosed as asymmetry secondary to mandibular hemihypoplasia associated with HFM type I.

Surgery

Planning

Grummon cephalometric analysis and analysis on the OPG showed a deficiency of 9 mm in the anterior region and 5 mm in the posterior region. Patient was planned for surgical management sequenced in two stages with addressing the hard tissue corrections in the first stage and soft tissue corrections in the second stage.
Basal osteotomy followed by distraction was planned to increase the height of the mandible using an alveolar distractor (D1) intraorally and a mandibular internal distractor (D2) extraorally.

Procedure

Stage I

Under general anesthesia with nasal intubation, 2% lignocaine with 1:200,000 adrenaline was infiltrated and submandibular incision was placed. Inferior border of the mandible was exposed with due care to preserve the facial vessels and marginal mandibular branch of facial nerve. Mental nerve was exposed and skeletonized. Mandibular basal osteotomy was designed in such a way as to preserve the integrity of the inferior alveolar nerve and mental nerve extending from the posterior border of the ramus to midline anteriorly.
Osteotomy cuts were marked using surgical saw. D1 was placed upside down anterior to the mental foramen and D2 was placed in mandibular angle region extraorally. Both the distractors were oriented in their final position and screw holes were drilled for a minimum of three screws each to ensure proper post osteotomy distractor fixation. The distractors were removed and osteotomy was completed using three Smith spreaders simultaneously so as to prevent bad split. Thereafter, the distractors were fixed at their predetermined positions and activated to ensure movement and returned to closed position (Figure 2). The incision was closed in layers.
After a latency period of 5 days, distraction was started at the rate of 1 mm per day in twice daily rhythm. Total distraction of approximately 13 mm anteriorly and 7 mm posteriorly was achieved taking into account 30 to 40% overcorrection to overcome relapse (Figure 3). The bony correction achieved was seen as a remarkable improvement in the appearance of the patient (Figure 4).

Stage II

After a consolidation period of 12 weeks, the patient was planned for soft tissue corrections. Both the distractors were removed and the wounds closed with Z plasty to reduce scarring of the exit wound. Soft tissue augmentation of the ipsilateral face and the lower lip to attain the symmetry was obtained by injecting autogenous fat graft harvested from the abdomen wall. Rhinoplasty was performed to correct the tip projection and reduce the nasal hump. Alar base width was reduced by symmetrical wedge excision of the alar bases. Postoperative ice packs were given (Figure 5).
The 1-year follow-up of the patient showed improved esthetics and fairly balanced symmetry of the face with minimal fat atrophy that is evident with slight incompetency of the lips on the affected side (Figure 6).

Discussion

Cohen has explained the biological basis of asymmetries, which are divided into asymmetric embryopathies, common asymmetries, hemiasymmetries, craniosynostoses, and hamartoses [3]. Asymmetry may result from alteration in one tissue such as bone with secondary regional consequences or multiple tissues on a primary basis [4]. In this case, only bony involvements with secondary regional changes were seen.
Hemifacial hypoplasia is heterogenic in nature associated with chromosomal abnormalities and environmental causes such as thalidomide, primidone, and retinoic acid administered during pregnancy, infants born to diabetic mothers [5]. Poswillo proposed that the pathogenesis was based on embryonic hematoma formation arising from the anastomosis that precedes formation of the stapedial artery stem [6]. Severity of the deformity depends on size and extent of hematoma formation.
Conventional orthognathic surgery and bone grafting form the main stay in the correction of type I asymmetric faces. Usual combinations include Le Fort I osteotomy for occlusal cant corrections and maxillomandibular horizontal and vertical positioning, concomitant mandibular bilateral sagittal split osteotomy or bilateral vertical ramus osteotomy or an ipsilateral vertical ramus osteotomy with contralateral sagittal split osteotomy [7]. HFM type I deformity without occlusal cant deformity can be corrected with orthomorphic surgery as suggested by Salins et al. [8] or augmentation of the mandible using alloplastic materials. In types II B and III HFM requiring
TMJ rehabilitation and bony material replacement, the combination of the conventional orthognathic surgeries with costochondral and iliac crest grafts or alloplastic reconstructive materials are used to reconstruct the ramus condyle unit [7]. With the evolution of DO, large segments of jaws can be grown to regenerate the lost bone and to attain good cosmesis [1].
Lopez et al. [2] suggested mandibular basal osteotomy correction of deficiency, excess, and/or asymmetry of the inferior mandibular border. So, we incorporated the basal osteotomy with the principles of DO using the D1 and D2 to increase the height of the mandible.
The advantage of the technique over the classic orthognathic and distraction methods involves the fact that the occlusion is never disturbed in this method. Our patient was encouraged to start oral diet at the earliest without any deleterious effects. However, the limitation of the procedure is that it cannot be used in a case with severe occlusal cant, which needs to be corrected with bimaxillary surgery.
Complications of the procedure anticipated were inferior alveolar nerve injury, marginal mandibular nerve injury, scar, bad split, incomplete osteotomy, injury to submandibular salivary gland. However, good surgical technique can help avoid the same. Inferior alveolar nerve repositioning was done when the osteotomy was completed and the resultant paresthesia was present for 5 weeks following which the neural function returned. Marginal mandibular nerve was not injured during the procedure, scar caused by the exit wound was treated by Z plasty, no other complications occurred during the procedure. In this technique, we preferred an external approach because the mobile lower segment of the mandible was intended to be distracted away using the fixed superior border as an anchorage. Our main concern was that intraoral placement might risk the contamination from oral fluids. So, the distractor was placed through an external approach. Though the lower border of the mandible has less cancellous bone between the buccal and lingual cortical plates, the regenerate formed was healthy and shows good ossification after consolidation.
Autologous fat grafting and rhinoplasty procedures were ancillary procedures for finer refinement of the cosmesis of the patient. Basal osteotomy of the mandible and DO is a feasible option in the treatment of mandibular asymmetries without affecting the occlusion.

References

  1. Rachmiel, A.; Manor, R.; Peled, M.; Laufer, D. Intraoral distraction osteogenesis of the mandible in hemifacial microsomia. J Oral Maxillofac Surg 2001, 59, 728–733. [Google Scholar] [CrossRef] [PubMed]
  2. Lopez, P.E.; Guerrero, C.A.; Mujica, E.V. Mandibular basal osteotomy: new designs and fixation techniques. J Oral Maxillofac Surg 2011, 69, 786–797. [Google Scholar] [CrossRef] [PubMed]
  3. Cohen, M.M., Jr. Perspectives on craniofacial asymmetry. I. The biology of asymmetry. Int J Oral Maxillofac Surg 1995, 24 Pt 1, 2–7. [Google Scholar] [CrossRef] [PubMed]
  4. Cohen, M.M., Jr. Perspectives on craniofacial asymmetry. IV. Hemiasymmetries. Int J Oral Maxillofac Surg 1995, 24, 134–141. [Google Scholar] [CrossRef] [PubMed]
  5. Cohen, M.M., Jr.; Rollnick, B.R.; Kaye, C.I. Oculoauriculovertebral spectrum: an updated critique. Cleft Palate J 1989, 26, 276–286. [Google Scholar] [PubMed]
  6. Poswillo, D. Hemorrhage in development of the face. Birth Defects Orig Artic Ser 1975, 11, 61–81. [Google Scholar] [PubMed]
  7. Sándor, G.K.; McGuire, T.P.; Ylikontiola, L.P.; Serlo, W.S.; Pirttiniemi, P.M. Management of facial asymmetry. Oral Maxillofac Surg Clin North Am 2007, 19, 395–422, vi. [Google Scholar] [CrossRef] [PubMed]
  8. Salins, P.C.; Venkatraman, B.; Kavarody, M. Morphometric basis for orthomorphic correction of mandibular asymmetry. J Oral Maxillofac Surg 2008, 66, 1523–1531. [Google Scholar] [CrossRef] [PubMed]
Figure 1. Preoperative frontal view of the face (printed with permission from the patient).
Figure 1. Preoperative frontal view of the face (printed with permission from the patient).
Cmtr 08 4a2 g001
Figure 2. Distractors in place after basal osteotomy.
Figure 2. Distractors in place after basal osteotomy.
Cmtr 08 4a2 g002
Figure 3. PA skull radiograph showing the distractors in place.
Figure 3. PA skull radiograph showing the distractors in place.
Cmtr 08 4a2 g003
Figure 4. Postdistraction frontal view of the face (printed with permission from the patient).
Figure 4. Postdistraction frontal view of the face (printed with permission from the patient).
Cmtr 08 4a2 g004
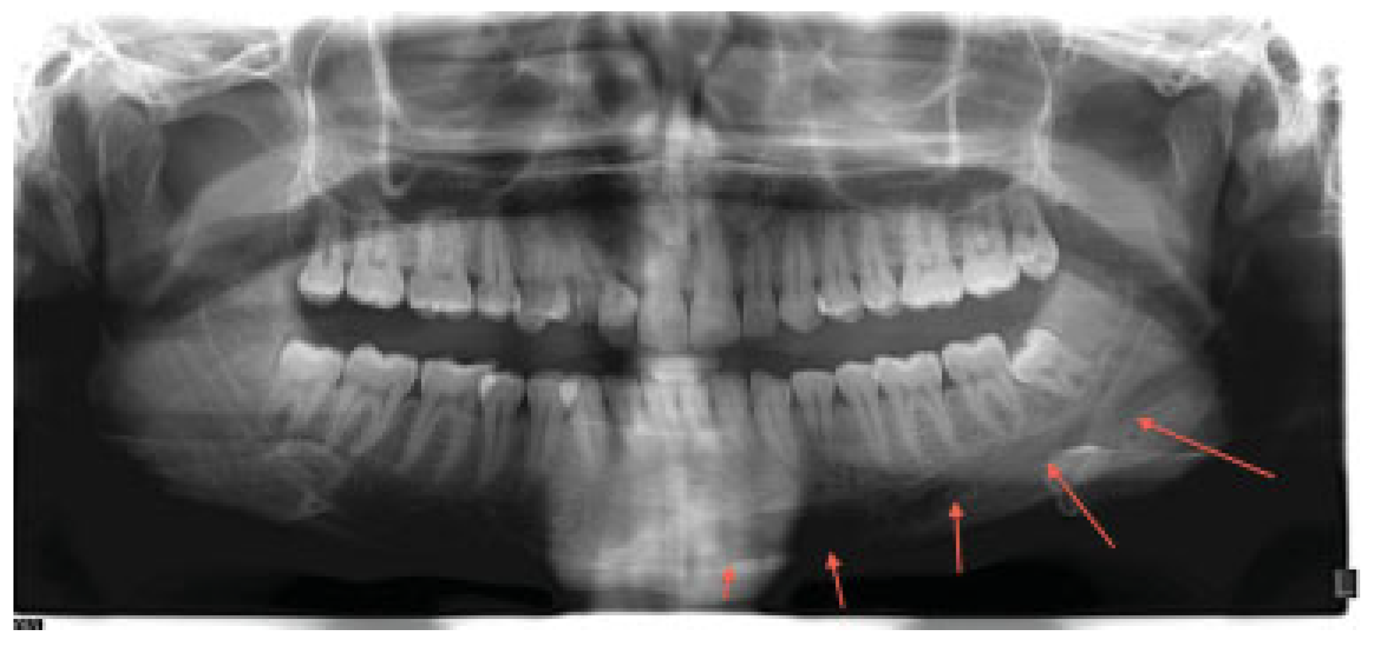
Figure 5. Postconsolidation and distractor removal, orthopantomographic view.
Figure 5. Postconsolidation and distractor removal, orthopantomographic view.
Cmtr 08 4a2 g005
Figure 6. 1 year postoperative front view of the face (printed with permission from the patient).
Figure 6. 1 year postoperative front view of the face (printed with permission from the patient).
Cmtr 08 4a2 g006

Share and Cite

MDPI and ACS Style

Rao, S.; Rao, S. Lower Face Asymmetry: Can We Distract the Mandibular Lower Border? Craniomaxillofac. Trauma Reconstr. 2015, 8, 341-344. https://doi.org/10.1055/s-0034-1395386

AMA Style

Rao S, Rao S. Lower Face Asymmetry: Can We Distract the Mandibular Lower Border? Craniomaxillofacial Trauma & Reconstruction. 2015; 8(4):341-344. https://doi.org/10.1055/s-0034-1395386

Chicago/Turabian Style

Rao, Santhosh, and Sruthi Rao. 2015. "Lower Face Asymmetry: Can We Distract the Mandibular Lower Border?" Craniomaxillofacial Trauma & Reconstruction 8, no. 4: 341-344. https://doi.org/10.1055/s-0034-1395386

APA Style

Rao, S., & Rao, S. (2015). Lower Face Asymmetry: Can We Distract the Mandibular Lower Border? Craniomaxillofacial Trauma & Reconstruction, 8(4), 341-344. https://doi.org/10.1055/s-0034-1395386

Article Metrics

Back to TopTop