Next Article in Journal
Isolated Bilateral Mandibular Angle Fractures: An Extensive Literature Review of the Rare Clinical Phenomenon with Presentation of a Classical Clinical Model
Previous Article in Journal
Beveled Osteotomies in Lateral Orbitotomy Using a Customized Rotating Bone Saw for Orbital Neoplasms
 
 
Craniomaxillofacial Trauma & Reconstruction is published by MDPI from Volume 18 Issue 1 (2025). Previous articles were published by another publisher in Open Access under a CC-BY (or CC-BY-NC-ND) licence, and they are hosted by MDPI on mdpi.com as a courtesy and upon agreement with Sage.
Font Type:
Arial Georgia Verdana
Font Size:
Aa Aa Aa
Line Spacing:
Column Width:
Background:
Case Report

Ascher Syndrome: Report of a Case with Early Manifestations

by
Santiago Molina
1,2,*,
Pablo Medard
3 and
Marcelo Galdeano
3
1
Department of Plastic and Reconstructive Surgery, Hospital Marcial Quiroga, San Juan 5400, Argentina
2
Department of Maxillofacial Surgery, Clinica Andina, San Juan, Argentina
3
Department of Pediatric Surgery, Hospital Dr. Guillermo Rawson, San Juan, Argentina
*
Author to whom correspondence should be addressed.
Craniomaxillofac. Trauma Reconstr. 2015, 8(2), 150-152; https://doi.org/10.1055/s-0034-1395881
Submission received: 1 June 2014 / Revised: 27 July 2014 / Accepted: 27 July 2014 / Published: 18 November 2014

Abstract

:
Ascher syndrome is a disease of unknown etiology first described in 1920 by Ascher, an ophthalmologist from Prague. It presents with recurrent edema of the lip and upper eyelid resulting in double lip and blepharochalasis. In 10% of cases the idiopathic nontoxic thyroid enlargement also occurs. Because of its rarity, it is often undiagnosed. A case of early onset is presented with its respective surgical treatment and outcome.

Ascher syndrome is a disease of unknown etiology first described in 1920 by Ascher, an ophthalmologist from Prague [1]. It presents with recurrent edema of the lip and upper eyelid resulting in double lip and blepharochalasis. In 10% of cases the idiopathic nontoxic thyroid enlargement also occurs. The association of blepharochalasis and double lip also had been described by Laffer in 1909 [2]. This is the reason some authors continue calling this as Laffer–Ascher syndrome.
Because of its rarity, it is often undiagnosed. Generally, it begins at puberty with very few cases reporting manifestations before the age of 8 years. This disease which rarely brings functional problems, often cause psychological disturbances of the affected person because of the facial malformation.
A case of early onset is presented with its respective surgical treatment and outcome.

Case Report

A 10-year-old male patient assisted at hospital with upper lip and upper eyelids deformity, with recurrent edemas starting at the age of 6 years, each episode lasting approximately 1 week.
On clinical examination, upper lip prominence formation was observed with double lip when smiling and herniation of its center by the upper lip frenum insertion; bilateral blepharochalasis with redundant, lax and thin skin hiding the lid margins and eyelash, more marked in lateral zone affecting vision, and mild eye protrusion by bilateral enlargement of orbital fat. In the last year, there had been no recurrent edema of the eyelids. Lower lip and lower eyelids had never been affected before (Figure 1 and Figure 2).
In cervical palpation, no thyroid enlargement was identified and then this was confirmed by ultrasound.
The patient has no family history and no history of trauma or sucking habit. His laboratory tests including thyroid hormone values and renal function were considered normal. Sinus X-ray and panoramic dental X-ray were requested, no change was observed.
It was decided to perform bilateral upper blepharoplasty under general anesthesia because of the latency stage of the disease. According to conventional technique that consisted in “bird’s tail” shape exeresis of redundant skin [3] leaving 10 mm of both upper and lower lid margin intact (Figure 3). A small portion of middle orbital fat on each side was also removed. The incision was sutured continuously with 6–0 Mononylon.
Figure 1. Preoperative frontal view.
Figure 1. Preoperative frontal view.
Cmtr 08 i2f150 g001
Cheiloplasty of double lip was performed on upper lip by horizontal elliptical incision from the commissure of one side to the other preserving labial frenulum removing mucosa and submucosa without muscle, performing incision closure by separate points with 4–0 absorbable suture.
Postoperative progressed without problems with suture removal after 5 days to prevent eyelid visible scar.
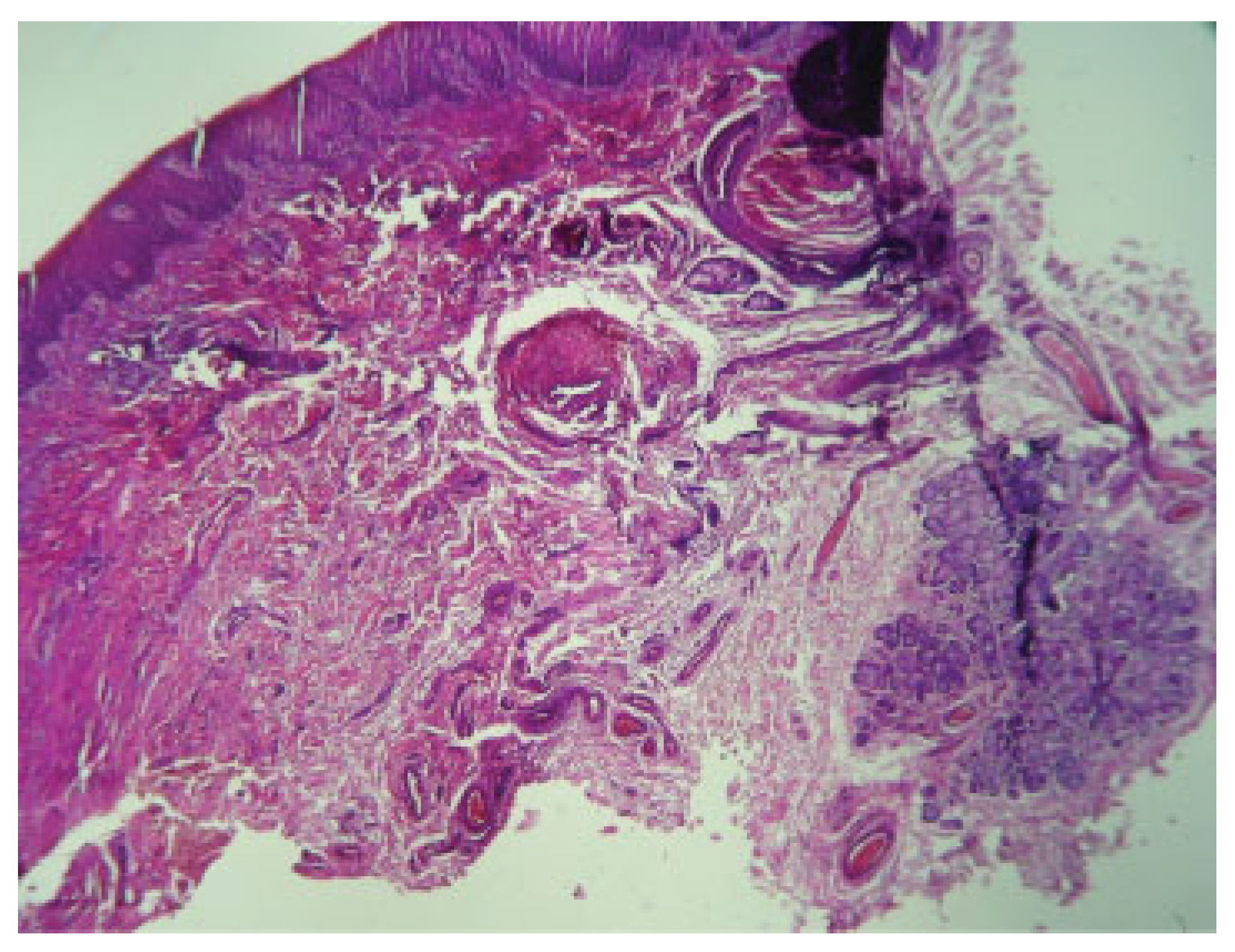
Anatomopathological study of the excised lip sample showed epithelial stratified squamous slightly keratinizing tissue with microulceration and acantopapillomatosis, which sits on fibrocollagenous well-vascularized stroma. Chronic inflammatory infiltration, with occasional transepithelial polymorphonuclear migration and glandular mucous acini surrounded by edema (Figure 4).
Figure 2. Preoperative smile.
Figure 2. Preoperative smile.
Cmtr 08 i2f150 g002
Figure 3. Design of the palpebral incision.
Figure 3. Design of the palpebral incision.
Cmtr 08 i2f150 g003
At 12 months postoperative follow-up, good result, no recurrence, facial symmetry, smile, and esthetics correction were observed (Figure 5 and Figure 6).

Discussion

The clinical case presented corresponds to an early manifestation of Ascher syndrome. This syndrome has unknown etiology, although authors have suggested autosomal dominant transmission [4] manifesting in adolescence generally younger than 20 years [5]. Few articles have been published with the presentation of patients who develop symptoms at the age of 6 years.
In most cases, double lip formation occurs only in the upper lip. Lower lip or both together are rarely affected. The mechanism of formation is because of a persistence of the horizontal sulcus located between the outer cutaneous area (pars glabrosa) and inner mucosal area (pars villosa) suffering hypertrophy [6].
Surgery is the usual treatment indicated when the lip defect interferes with chewing, speech or produce esthetic changes [7]. Several techniques have been suggested as W-plasty [8], triangular incision, among others; being the most suitable the horizontal incision [9].
Figure 4. Lip biopsy.
Figure 4. Lip biopsy.
Cmtr 08 i2f150 g004
Figure 5. 12 months postoperative frontal view.
Figure 5. 12 months postoperative frontal view.
Cmtr 08 i2f150 g005
The blepharochalasis is formed by a repeated angioedema with decreased in dermal elastin and adherence to the elevator fascia, which is related to weakness of the orbital septum and orbital fat protrusion, forming redundant folds falling on the eyelid margin that may cause ulceration of the eyes by deflecting eyelashes. Only 10% of blepharochalasis are associated with double lip in young people. It is characterized by the following three stages: (1) intermittently painless swelling of the lids; (2) ptosis because of dehiscence of the levator aponeurosis or lax and thin skin falling over lid margin; and (3) ptosis adiposa with medial fat pad atrophy, prolapse of orbital fat, and lacrimal gland [10]. Surgery should be delayed for up to 1 year after the last episode of edema. The most common technique is the usual cosmetic blepharoplasty, in this case by choosing the “bird’s tail” incision design to compensate for the tissue excess at the lateral area of the lids [3].
Figure 6. 12 months postoperative smile.
Figure 6. 12 months postoperative smile.
Cmtr 08 i2f150 g006
Regarding thyroid manifestations, they are only found in 10 to 50% of cases, usually after the age of 20 years [11]. This enlargement courses without symptoms, so expectant behavior is recommended. In this patient, no thyroid alteration was found.
The differential diagnosis includes cardiac or renal diseases, and some syndromes such as Enlher Danlos VII [4] can also occur in association with other syndromes [12]. Double lip and blepharochalasis can also occur as isolated forms.

Conclusion

Early diagnosis in Ascher syndrome prevents unnecessary treatments and therapeutic delays. Although this syndrome does not bring major functional alterations, the psychological impact that this produce is important. A suitable cosmetic treatment at the correct stage of evolution of the disease is usually sufficient to return the patient to normal.

References

  1. Ascher, K. Blepharochalasis mit Struma und Doppellippe. Klin Monatsbl Augenheilkd 1920, 65, 86–97. [Google Scholar]
  2. Laffer, W.B. Blepharochalasis: Report of a case of this trophoneurosis involving also the upper lip. Cleve Med J. 1909, 8, 131–135. [Google Scholar]
  3. Niamtu, J., III. Cosmetic blepharoplasty. Atlas Oral Maxillofac Surg Clin North Am 2004, 12(1), 91–130. [Google Scholar] [CrossRef] [PubMed]
  4. Gorlin, R.J.; Cohen, M.; Hennekam, R. Syndromes of the Head and Neck, 4th ed.; Oxford University Press: New York, NY, 2001; pp. 500–501. [Google Scholar]
  5. Dalmau, J.; Puig, L.; Roé, E.; Peramiquel, L.; Pimentel, C.L.; Alomar, A. Blepharochalasia and double lip: diagnosis and treatment of Ascher’s syndrome. J Eur Acad Dermatol Venereol 2006, 20(10), 1390–1391. [Google Scholar] [CrossRef] [PubMed]
  6. Schwimmer, A.; Dym, H.; Barr, C. Surgical repair of a double lip. J Am Dent Assoc 1979, 99(6), 993–994. [Google Scholar] [CrossRef] [PubMed]
  7. Ramesh, B.A. Ascher syndrome: review of literature and case report. Indian J Plast Surg 2011, 44(1), 147–149. [Google Scholar] [CrossRef] [PubMed]
  8. Guerrero-Santos, J.; Altamirano, J.T. The use of W-plasty for the correction of double lip deformity. Plast Reconstr Surg 1967, 39(5), 478–481. [Google Scholar] [CrossRef] [PubMed]
  9. Reddy, K.A.; Roa, A.K. Congenital double lip: a review of seven cases. Plast Reconstr Surg 1989, 84(3), 420–423. [Google Scholar] [CrossRef] [PubMed]
  10. Brar, B.K.; Puri, N. Blepharochalasis—a rare entity. Dermatol Online J 2008, 14(1), 8. [Google Scholar] [CrossRef] [PubMed]
  11. Ali, K. Ascher syndrome: a case report and review of the literature. Oral Surg Oral Med Oral Pathol Oral Radiol Endod 2007, 103(2), e26–e28. [Google Scholar] [CrossRef] [PubMed]
  12. Gomez-Duaso, A.J.; Seoane, J.; Vazquez-Garcia, J.; Arjona, C. Ascher syndrome: report of two cases. J Oral Maxillofac Surg 1997, 55(1), 88–90. [Google Scholar] [CrossRef] [PubMed]

Share and Cite

MDPI and ACS Style

Molina, S.; Medard, P.; Galdeano, M. Ascher Syndrome: Report of a Case with Early Manifestations. Craniomaxillofac. Trauma Reconstr. 2015, 8, 150-152. https://doi.org/10.1055/s-0034-1395881

AMA Style

Molina S, Medard P, Galdeano M. Ascher Syndrome: Report of a Case with Early Manifestations. Craniomaxillofacial Trauma & Reconstruction. 2015; 8(2):150-152. https://doi.org/10.1055/s-0034-1395881

Chicago/Turabian Style

Molina, Santiago, Pablo Medard, and Marcelo Galdeano. 2015. "Ascher Syndrome: Report of a Case with Early Manifestations" Craniomaxillofacial Trauma & Reconstruction 8, no. 2: 150-152. https://doi.org/10.1055/s-0034-1395881

APA Style

Molina, S., Medard, P., & Galdeano, M. (2015). Ascher Syndrome: Report of a Case with Early Manifestations. Craniomaxillofacial Trauma & Reconstruction, 8(2), 150-152. https://doi.org/10.1055/s-0034-1395881

Article Metrics

Back to TopTop