Isolated Bilateral Mandibular Angle Fractures: An Extensive Literature Review of the Rare Clinical Phenomenon with Presentation of a Classical Clinical Model
Abstract
Purpose
Review of Literature


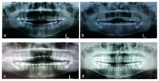
Case Report


Discussion

Conclusion
Acknowledgments
References
- Cillo, J.E., Jr; Ellis, E., III. Management of bilateral mandibular angle fractures with combined rigid and nonrigid fixation. J Oral Maxillofac Surg 2014, 72(1), 106–111. [Google Scholar] [CrossRef] [PubMed]
- Singh, S.; Fry, R.R.; Joshi, A.; Sharma, G.; Singh, S. Fractures of angle of mandible – A retrospective study. J Oral Biol Craniofac Res 2012, 2(3), 154–158. [Google Scholar] [CrossRef][Green Version]
- Asadi, S.G.; Asadi, Z. Site of the mandible prone to trauma: a two year retrospective study. Int Dent J 1996, 46(3), 171–173. [Google Scholar]
- Haug, R.H.; Prather, J.; Indresano, A.T. An epidemiologic survey of facial fractures and concomitant injuries. J Oral Maxillofac Surg 1990, 48(9), 926–932. [Google Scholar] [CrossRef] [PubMed]
- Perez, R.; Oeltjen, J.C.; Thaller, S.R., Sr. A review of mandibular angle fractures. Craniomaxillofac Trauma Reconstr 2011, 4(2), 69–72. [Google Scholar] [CrossRef]
- Galvan, G.N.B. Evaluation of Mandibular Fractures in a Tertiary Military Hospital: A 10-year Retrospective Study. Philippine Journal of otolaryngology-head and neck. Surgery 2011, 26(1), 16–20. [Google Scholar] [CrossRef]
- Chrcanovic, B.R.; Custódio, A.L. Considerations of mandibular angle fractures during and after surgery for removal of third molars: a review of the literature. Oral Maxillofac Surg 2010, 14(2), 71–80. [Google Scholar] [CrossRef]
- Rowe, N.L.; William, J. Maxillofacial injuries, 2nd ed.; Churchill Livingstone: Edinburgh, 1994; pp. 10–11. [Google Scholar]
- Rajandram, R.K.; Nabil, S.; Shareif, M.S.; et al. Mandibular third molar and angle of mandible fractures: an unsolved clinical dilemma. Sains Malaysiana 2013, 42(1), 39–43. [Google Scholar]
- Bezerra, T.P.; Studart-Soares, E.C.; Pita-Neto, I.C.; Costa, F.W.; Batista, S.H. Do third molars weaken the mandibular angle? Med Oral Patol Oral Cir Bucal 2011, 16(5), e657–e663. [Google Scholar] [CrossRef]
- Subhashraj, K. A study on the impact of mandibular third molars on angle fractures. J Oral Maxillofac Surg 2009, 67(5), 968–972. [Google Scholar] [CrossRef]
- Duan, D.H.; Zhang, Y. Does the presence of mandibular third molars increase the risk of angle fracture and simultaneously decrease the risk of condylar fracture? Int J Oral Maxillofac Surg 2008, 37(1), 25–28. [Google Scholar] [CrossRef] [PubMed]
- Tevepaugh, D.B.; Dodson, T.B. Are mandibular third molars a risk factor for angle fractures? A retrospective cohort study. J Oral Maxillofac Surg 1995, 53(6), 646–649, discussion 649–650. [Google Scholar] [CrossRef]
- Iida, S.; Nomura, K.; Okura, M.; Kogo, M. Influence of the incompletely erupted lower third molar on mandibular angle and condylar fractures. J Trauma 2004, 57(3), 613–617. [Google Scholar] [CrossRef] [PubMed]
- Halmos, D.R.; Ellis, E.I.I.I.; Dodson, T.B. Mandibular third molars and angle fractures. J Oral Maxillofac Surg 2004, 62(9), 1076–1081. [Google Scholar] [CrossRef]
- Ma’aita, J.; Alwrikat, A. Is the mandibular third molar a risk factor for mandibular angle fracture? Oral Surg Oral Med Oral Pathol Oral Radiol Endod 2000, 89(2), 143–146. [Google Scholar] [CrossRef]
- Lee, J.T.; Dodson, T.B. The effect of mandibular third molar presence and position on the risk of an angle fracture. J Oral Maxillofac Surg 2000, 58(4), 394–398, discussion 399. [Google Scholar] [CrossRef]
- Safdar, N.; Meechan, J.G. Relationship between fractures of the mandibular angle and the presence and state of eruption of the lower third molar. Oral Surg Oral Med Oral Pathol Oral Radiol Endod 1995, 79(6), 680–684. [Google Scholar] [CrossRef]
- Takada, H.; Abe, S.; Tamatsu, Y.; Mitarashi, S.; Saka, H.; Ide, Y. Threedimensional bone microstructures of the mandibular angle using micro-CT and finite element analysis: relationship between partially impacted mandibular third molars and angle fractures. Dent Traumatol 2006, 22(1), 18–24. [Google Scholar] [CrossRef]
- Koshy, J.C.; Feldman, E.M.; Chike-Obi, C.J.; Bullocks, J.M. Pearls of mandibular trauma management. Semin Plast Surg 2010, 24(4), 357–374. [Google Scholar] [CrossRef]
- Rowe, N.L.; William, J. Maxillofacial Injuries, 2nd ed.; Churchill Livingstone: Edinburgh, 1994; p. 14. [Google Scholar]
- Seemann, R.; Schicho, K.; Wutzl, A.; et al. Complication rates in the operative treatment of mandibular angle fractures: a 10-year retrospective. J Oral Maxillofac Surg 2010, 68(3), 647–650. [Google Scholar] [CrossRef]
- Iizuka, T.; Lindqvist, C. Rigid internal fixation of fractures in the angular region of the mandible: an analysis of factors contributing to different complications. Plast Reconstr Surg 1993, 91(2), 265–271, discussion 272–273. [Google Scholar] [CrossRef]
- Biller, J.A.; Pletcher, S.D.; Goldberg, A.N.; Murr, A.H. Complications and the time to repair of mandible fractures. Laryngoscope 2005, 115(5), 769–772. [Google Scholar] [CrossRef]
- Shah, A.; Qureshi, Z. Post management complications of fracture mandible at the angle – an analysis. Pak Oral Dent J 2011, 31(2), 260–262. [Google Scholar]
- Passeri, L.A.; Ellis, E.I.I.I.; Sinn, D.P. Complications of nonrigid fixation of mandibular angle fractures. J Oral Maxillofac Surg 1993, 51(4), 382–384. [Google Scholar] [CrossRef]
- Paza, A.O.; Abuabara, A.; Passeri, L.A. Analysis of 115 mandibular angle fractures. J Oral Maxillofac Surg 2008, 66(1), 73–76. [Google Scholar] [CrossRef]
- Boffano, P.; Roccia, F. Bilateral mandibular angle fractures: clinical considerations. J Craniofac Surg 2010, 21(2), 328–331. [Google Scholar] [CrossRef]
- Freymond, D.; Mustaki, J.P.; Spahn, D.R.; Jaques, B. Droperidol-treated PONV and bilateral mandibular fracture after maxillofacial surgery. Anesth Analg 2002, 95(5), 1465. [Google Scholar] [CrossRef]
- Rowe, N.L.; William, J. Maxillofacial Injuries, 2nd ed.; Churchill Livingstone: Edinburgh, 1994; p. 216. [Google Scholar]
- Banks, P.; Brown, A. Fractures of the Facial Skeleton, 2nd ed.; Butterworth-Heinemann: Oxford, Woburn, 2001; pp. 171–185. [Google Scholar]
- Huelke, D.F. Mechanism in the production of mandibular fractures. J Oral Surg 1968, 26, 86–89. [Google Scholar]
- Kimsal, J.; Baack, B.; Candelaria, L.; Khraishi, T.; Lovald, S. Biomechanical analysis of mandibular angle fractures. J Oral Maxillofac Surg 2011, 69(12), 3010–3014. [Google Scholar] [CrossRef]
- van Eijden, T.M. Biomechanics of the mandible. Crit Rev Oral Biol Med 2000, 11(1), 123–136. [Google Scholar] [CrossRef]
- Feller, K.U.; Schneider, M.; Hlawitschka, M.; Pfeifer, G.; Lauer, G.; Eckelt, U. Analysis of complications in fractures of the mandibular angle—a study with finite element computation and evaluation of data of 277 patients. J Craniomaxillofac Surg 2003, 31(5), 290–295. [Google Scholar] [CrossRef]
- Gaddipati, R.; Ramisetty, S.; Vura, N.; Kanduri, R.R.; Gunda, V.K. Impacted mandibular third molars and their influence on mandibular angle and condyle fractures - A retrospective study. J Craniomaxillofac Surg, 2014; (e-pub ahead of print). [Google Scholar] [CrossRef]
- Donadille, M.; Vidal, N.; Ella, B.; Siberchicot, F.; Zwetyenga, N. Biangular fractures of the mandible. Rev Stomatol Chir Maxillofac Chir Orale 2013, 114(5), 287–291. [Google Scholar] [CrossRef]
- Anyanechi, C.E.; Saheeb, B.D. Mandibular sites prone to fracture: analysis of 174 cases in a Nigerian tertiary hospital. Ghana Med J 2011, 45(3), 111–114. [Google Scholar]
- Barry, C.P.; Kearns, G.J. Superior border plating technique in the management of isolated mandibular angle fractures: a retrospective study of 50 consecutive patients. J Oral Maxillofac Surg 2007, 65(8), 1544–1549. [Google Scholar] [CrossRef]
- Ellis, E.I.I.I.; Walker, L.R. Treatment of mandibular angle fractures using one noncompression miniplate. J Oral Maxillofac Surg 1996, 54(7), 864–871, discussion 871–872. [Google Scholar] [CrossRef]
- Ellis, E.I.I.I.; Ghali, G.E. Lag screw fixation of mandibular angle fractures. J Oral Maxillofac Surg 1991, 49(3), 234–243. [Google Scholar] [CrossRef]
- Phillips, J.H.; Rahn, B.A. Comparison of compression and torque measurements of self-tapping and pretapped screws. Plast Reconstr Surg 1989, 83(3), 447–458. [Google Scholar] [CrossRef]
- Haug, R.H.; Serafin, B.L. Mandibular Angle Fractures: A Clinical and Biomechanical Comparison-the Works of Ellis and Haug. Craniomaxillofac Trauma Reconstr 2008, 1(1), 31–38. [Google Scholar] [CrossRef]
- Ellis, E.I.I.I. Treatment methods for fractures of the mandibular angle. Int J Oral Maxillofac Surg 1999, 28(4), 243–252. [Google Scholar] [CrossRef]
- Rubin, M.M.; Koll, T.J.; Sadoff, R.S. Morbidity associated with incompletely erupted third molars in the line of mandibular fractures. J Oral Maxillofac Surg 1990, 48(10), 1045–1047, discussion 1048. [Google Scholar] [CrossRef]
- Wagner, W.F.; Neal, D.C.; Alpert, B. Morbidity associated with extraoral open reduction of mandibular fractures. J Oral Surg 1979, 37(2), 97–100. [Google Scholar] [PubMed]
- Kommers, S.C.; van den Bergh, B.; Boffano, P.; Verweij, K.P.; Forouzanfar, T. Dysocclusion after maxillofacial trauma: A 42. year analysis. J Craniomaxillofac Surg, 2013; (e-pub ahead of print). [Google Scholar] [CrossRef]
- Seok, H.; Park, Y.T.; Kim, S.G.; Park, Y.W. Correction of post-traumatic anterior open bite by injection of botulinum toxin type A into the anterior belly of the digastric muscle: case report. J Korean Assoc Oral Maxillofac Surg 2013, 39(4), 188–192. [Google Scholar] [CrossRef] [PubMed]
- Kuroda, S.; Sugawara, Y.; Tamamura, N.; Takano-Yamamoto, T. Anterior open bite with temporomandibular disorder treated with titanium screw anchorage: evaluation of morphological and functional improvement. Am J Orthod Dentofacial Orthop 2007, 131(4), 550–560. [Google Scholar] [CrossRef] [PubMed]
- Niimi, M.; Mizuno, A.; Nakano, Y.; Motegi, K. Reduction and fixation of jaw fractures using acrylic splints. Br J Oral Maxillofac Surg 1989, 27(4), 321–328. [Google Scholar]
- Harle, F.; Champy, M.; Terry, B.C. Atlas of Craniomaxillofacial Osteosynthesis; Thieme: Stuttgart, 1999; p. 32. [Google Scholar]
- Strong, E.B. Miniplate repair of mandibular angle fractures. Arch Otolaryngol Head Neck Surg 2005, 131(2), 169–170. [Google Scholar] [CrossRef]
© 2008 by the author. The Author(s) 2014.
Share and Cite
Elavenil, P.; Mohanavalli, S.; Sasikala, B.; Prasanna, R.A.; Krishnakumar, R.V.B. Isolated Bilateral Mandibular Angle Fractures: An Extensive Literature Review of the Rare Clinical Phenomenon with Presentation of a Classical Clinical Model. Craniomaxillofac. Trauma Reconstr. 2015, 8, 153-158. https://doi.org/10.1055/s-0034-1393738
Elavenil P, Mohanavalli S, Sasikala B, Prasanna RA, Krishnakumar RVB. Isolated Bilateral Mandibular Angle Fractures: An Extensive Literature Review of the Rare Clinical Phenomenon with Presentation of a Classical Clinical Model. Craniomaxillofacial Trauma & Reconstruction. 2015; 8(2):153-158. https://doi.org/10.1055/s-0034-1393738
Chicago/Turabian StyleElavenil, P., S. Mohanavalli, B. Sasikala, R. Ashok Prasanna, and Raja V. B. Krishnakumar. 2015. "Isolated Bilateral Mandibular Angle Fractures: An Extensive Literature Review of the Rare Clinical Phenomenon with Presentation of a Classical Clinical Model" Craniomaxillofacial Trauma & Reconstruction 8, no. 2: 153-158. https://doi.org/10.1055/s-0034-1393738
APA StyleElavenil, P., Mohanavalli, S., Sasikala, B., Prasanna, R. A., & Krishnakumar, R. V. B. (2015). Isolated Bilateral Mandibular Angle Fractures: An Extensive Literature Review of the Rare Clinical Phenomenon with Presentation of a Classical Clinical Model. Craniomaxillofacial Trauma & Reconstruction, 8(2), 153-158. https://doi.org/10.1055/s-0034-1393738