Myositis Ossificans of the Left Medial Pterygoid Muscle: Case Report and Review of the Literature of Myositis Ossificans of Masticatory Muscles
Abstract
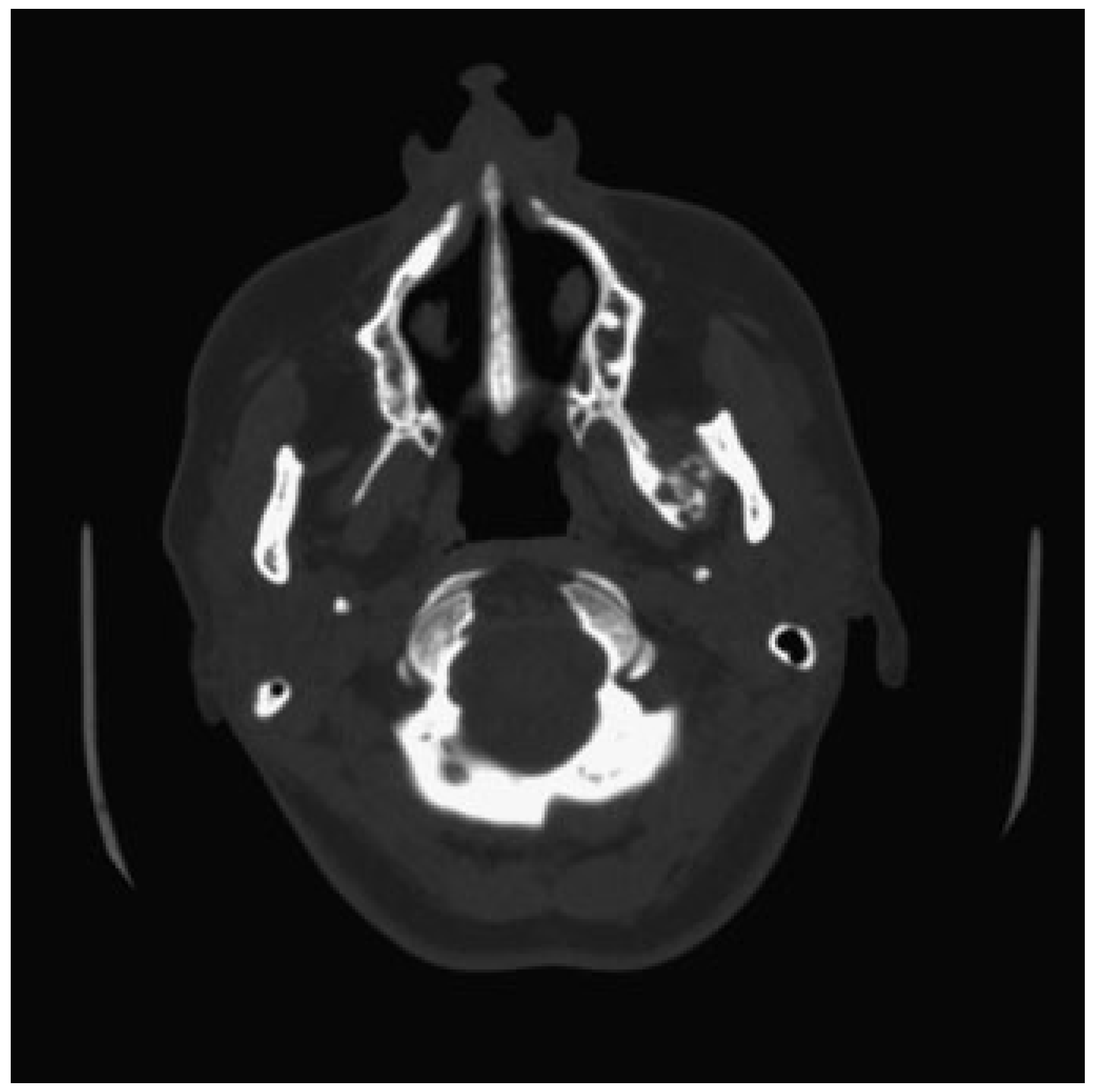
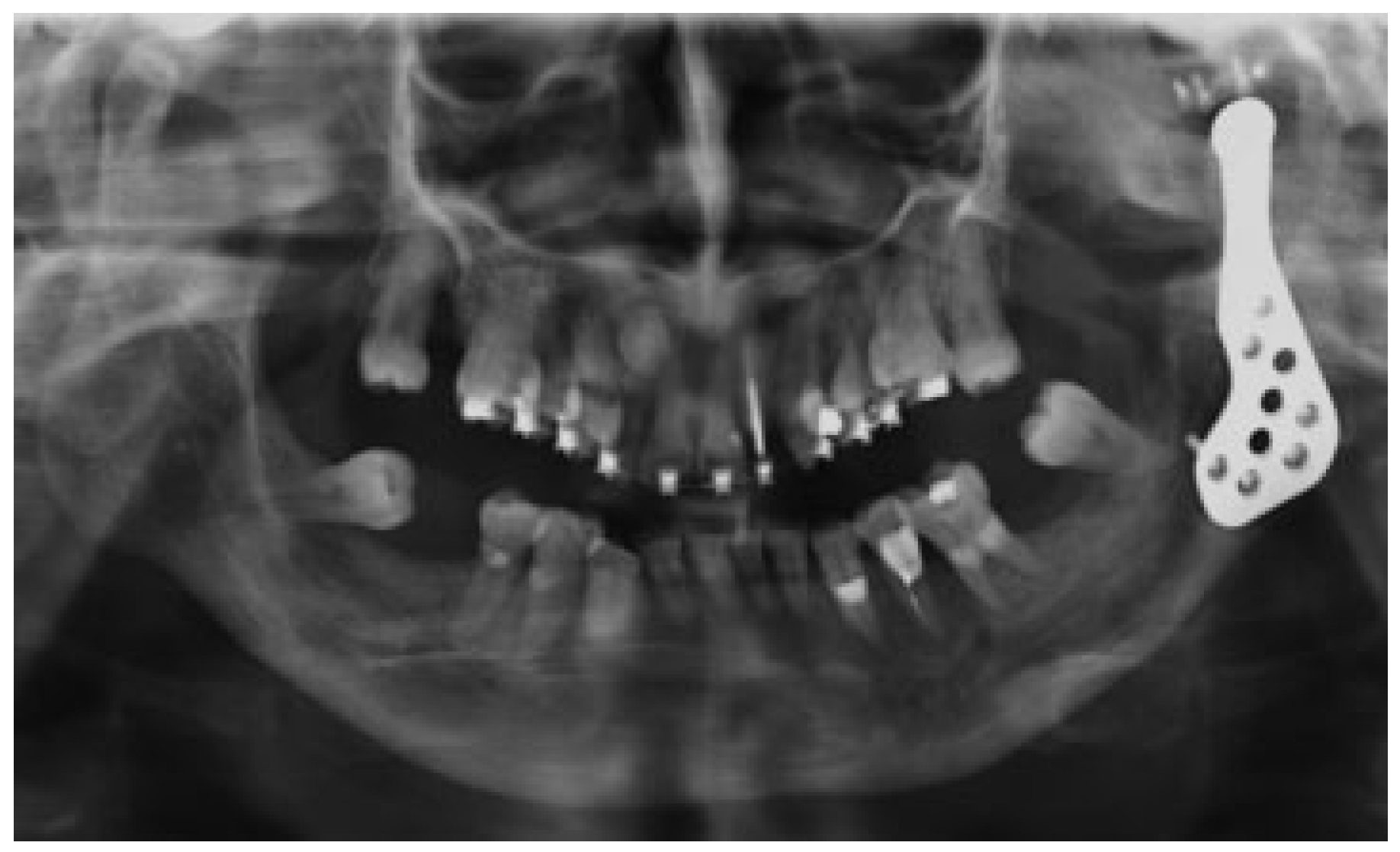
:Case Report
Discussion
Note
References
- Aoki, T.; Naito, H.; Ota, Y.; Shiiki, K. Myositis ossificans traumatica of the masticatory muscles: Review of the literature and report of a case. J Oral Maxillofac Surg 2002, 60, 1083–1088. [Google Scholar] [PubMed]
- Conner, G.A.; Duffy, M. Myositis ossificans: A case report of multiple recurrences following third molar extractions and review of the literature. J Oral Maxillofac Surg 2009, 67, 920–926. [Google Scholar] [CrossRef] [PubMed]
- Godhi, S.S.; Singh, A.; Kukreja, P.; Singh, V. Myositis ossificans circumscripta involving bilateral masticatory muscles. J Craniofac Surg 2011, 22, e11–e13. [Google Scholar] [CrossRef] [PubMed]
- Kim, D.D.; Lazow, S.K.; Har-El, G.; Berger, J.R. Myositis ossificans traumatica of masticatory musculature: A case report and literature review. J Oral Maxillofac Surg 2002, 60, 1072–1076. [Google Scholar]
- Ramieri, V.; Bianca, C.; Arangio, P.; Cascone, P. Myositis ossificans of the medial pterygoid muscle. J Craniofac Surg 2010, 21, 1202–1204. [Google Scholar] [CrossRef] [PubMed]
- Rattan, V.; Rai, S.; Vaiphei, K. Use of buccal pad of fat to prevent heterotopic bone formation after excision of myositis ossificans of medial pterygoid muscle. J Oral Maxillofac Surg 2008, 66, 1518–1522. [Google Scholar]
- US Army Surgeon General’s Office. The Medical Department of the United States Army in the World War, volume 11: Surgery; Part One, General Surgery, Orthopedic Surgery, Neurosurgery; Otis Historical Archives, National Museum of Health and Medicine: Washington, DC, USA, 1927; p. 458. [Google Scholar]
- Cameron, J.R.; Stetzer, J.J. Myositis ossificans of right masseter muscle: Report of a case. J Oral Surg 1945, 3, 170–173. [Google Scholar]
- Nizel, A.E.; Prigge, E.K. Trismus due to myositis ossificans traumatica; report of a case. J Oral Surg (Chic) 1946, 4, 93–101. [Google Scholar]
- Kostrubala, J.G.; Talbot, R.J. Myositis ossificans of the masseter muscle. A case report. Plast Reconstr Surg 1948, 3, 52–55. [Google Scholar]
- Davidoff, S.M. Ein fall von posttraumatischer myositis ossificans des linken masseter. Dtsch Stomatol 1955, 5, 554–558. [Google Scholar]
- Goodsell, J.O. Traumatic myositis ossificans of the masseter muscle: Review of the literature and report of a case. J Oral Surg Anesth Hosp Dent Serv 1962, 20, 116–122. [Google Scholar] [PubMed]
- Palumbo, V.D.; Sills, A.H.; Hinds, E.C. Limited mandibular motion associated with bone pathosis. Report of cases. J Oral Surg 1964, 22, 531–537. [Google Scholar]
- Parnes, E.I.; Hinds, E.C. Traumatic myositis ossificans of the masseter muscle. Report of a case. J Oral Surg 1965, 23, 245–250. [Google Scholar] [PubMed]
- Hellinger, M.J. Myositis ossificans of the muscles of mastication. Oral Surg Oral Med Oral Pathol 1965, 19, 581–587. [Google Scholar] [CrossRef]
- Shawkat, A.H. Myositis ossificans. Report of a case. Oral Surg Oral Med Oral Pathol 1967, 23, 751–754. [Google Scholar] [CrossRef]
- Vernale, C.A. Traumatic myositis ossificans of the masseter muscle. Report of two cases. Oral Surg Oral Med Oral Pathol 1968, 26, 8–17. [Google Scholar] [CrossRef]
- Trester, P.H.; Markovitch, E.; Zambito, R.F.; Stratigos, G.T. Myositis ossificans, circumscripta and progressiva, with surgical correction of the masseter muscle: Report of two cases. J Oral Surg 1969, 27, 201–205. [Google Scholar]
- Narang, R.; Dixon, R.A., Jr. Myositis ossificans: Medial pterygoid muscle—A case report. Br J Oral Surg 1974, 12, 229–234. [Google Scholar] [CrossRef]
- Plezia, R.A.; Mintz, S.M.; Calligaro, P. Myositis ossificans traumatica of the masseter muscle. Report of a case. Oral Surg Oral Med Oral Pathol 1977, 44, 351–357. [Google Scholar] [CrossRef]
- Christmas, P.I.; Ferguson, J.W. Traumatic myositis ossificans. Br J Oral Surg 1982, 20, 196–199. [Google Scholar] [CrossRef]
- Abdin, H.A.; Prabhu, S.R. Traumatic myositis ossificans of lateral pterygoid muscle. J Oral Med 1984, 39, 54–56. [Google Scholar] [PubMed]
- Arima, R.; Shiba, R.; Hayashi, T. Traumatic myositis ossificans in the masseter muscle. J Oral Maxillofac Surg 1984, 42, 521–526. [Google Scholar] [CrossRef] [PubMed]
- Lello, G.E.; Makek, M. Traumatic myositis ossificans in masticatory muscles. J Maxillofac Surg 1986, 14, 231–237. [Google Scholar] [CrossRef] [PubMed]
- Nilner, M.; Petersson, A. Mandibular limitation due to enlarged pterygoid process and calcification of the medial pterygoid muscle. A case report. Cranio 1989, 7, 230–234. [Google Scholar] [CrossRef]
- Parkash, H.; Goyal, M. Myositis ossificans of medial pterygoid muscle. A cause for temporomandibular joint ankylosis. Oral Surg Oral Med Oral Pathol 1992, 73, 27–28. [Google Scholar] [CrossRef] [PubMed]
- Tong, K.A.; Christiansen, E.L.; Heisler, W.; Hinshaw, D.B., Jr.; Hasso, A.N. Asymptomatic myositis ossificans of the medial pterygoid muscles: A case report. J Orofac Pain 1994, 8, 223–226. [Google Scholar]
- Steiner, M.; Gould, A.R.; Kushner, G.M.; Lutchka, B.; Flint, R. Myositis ossificans traumatica of the masseter muscle: Review of the literature and report of two additional cases. Oral Surg Oral Med Oral Pathol Oral Radiol Endod 1997, 84, 703–707. [Google Scholar] [CrossRef]
- Spinazze, R.P.; Heffez, L.B.; Bays, R.A. Chronic, progressive limitation of mouth opening. J Oral Maxillofac Surg 1998, 56, 1178–1186. [Google Scholar] [CrossRef]
- Myoken, Y.; Sugata, T.; Tanaka, S. Traumatic myositis ossificans of the temporal and masseter muscle. Br J Oral Maxillofac Surg 1998, 36, 76. [Google Scholar] [CrossRef]
- Geist, J.R.; Bhatti, P.; Plezia, R.A.; Wesley, R.K. Fibrodysplasia ossificans circumscripta of the masseter muscle. Dentomaxillofac Radiol 1998, 27, 182–185. [Google Scholar] [CrossRef]
- Takahashi, K.; Sato, K. Myositis ossificans traumatica of the medial pterygoid muscle. J Oral Maxillofac Surg 1999, 57, 451–456. [Google Scholar] [PubMed]
- Saka, B.; Stropahl, G.; Gundlach, K.K. Traumatic myositis ossificans (ossifying pseudotumor) of temporal muscle. Int J Oral Maxillofac Surg 2002, 31, 110–111. [Google Scholar] [PubMed]
- Yano, H.; Yamamoto, H.; Hirata, R.; Hirano, A. Post-traumatic severe trismus caused by impairment of the masticatory muscle. J Craniofac Surg 2005, 16, 277–280. [Google Scholar] [PubMed]
- Trautmann, F.; Moura Pd Fernandes, T.L.; Gondak, R.O.; Castilho, J.C.; Filho, E.M. Myositis ossificans traumatica of the medial pterygoid muscle: A case report. J Oral Sci 2010, 52, 485–489. [Google Scholar]
- Thangavelu, A.; Vaidhyanathan, A.; Narendar, R. Myositis ossificans traumatica of the medial pterygoid. Int J Oral Maxillofac Surg 2011, 40, 545–549. [Google Scholar]
- Ebbert, T.L.; Baima, J.J., Jr.; Smoker, W.R. Radiology quiz case 1. Myositis ossificans of the bilateral medial and lateral pterygoid muscles. Arch Otolaryngol Head Neck Surg 2012, 138, 422–423. [Google Scholar]
- Gerbino, G.; Boffano, P.; Tosco, P.; Berrone, S. Long-term clinical and radiological outcomes for the surgical treatment of mandibular condylar fractures. J Oral Maxillofac Surg 2009, 67, 1009–1014. [Google Scholar]
- Boffano, P.; Roccia, F.; Pittoni, D.; Di Dio, D.; Forni, P.; Gallesio, C. Management of 112 hospitalized patients with spreading odontogenic infections: Correlation with DMFT and oral health impact profile 14 indexes. Oral Surg Oral Med Oral Pathol Oral Radiol 2012, 113, 207–213. [Google Scholar]







![]() |
![]() |
![]() |
Publisher’s Note: MDPI stays neutral with regard to jurisdictional claims in published maps and institutional affiliations. |
© 2013 by the author. The Author(s) 2013.
Share and Cite
Boffano, P.; Zavattero, E.; Bosco, G.; Berrone, S. Myositis Ossificans of the Left Medial Pterygoid Muscle: Case Report and Review of the Literature of Myositis Ossificans of Masticatory Muscles. Craniomaxillofac. Trauma Reconstr. 2014, 7, 43-50. https://doi.org/10.1055/s-0033-1356760
Boffano P, Zavattero E, Bosco G, Berrone S. Myositis Ossificans of the Left Medial Pterygoid Muscle: Case Report and Review of the Literature of Myositis Ossificans of Masticatory Muscles. Craniomaxillofacial Trauma & Reconstruction. 2014; 7(1):43-50. https://doi.org/10.1055/s-0033-1356760
Chicago/Turabian StyleBoffano, Paolo, Emanuele Zavattero, Giovanni Bosco, and Sid Berrone. 2014. "Myositis Ossificans of the Left Medial Pterygoid Muscle: Case Report and Review of the Literature of Myositis Ossificans of Masticatory Muscles" Craniomaxillofacial Trauma & Reconstruction 7, no. 1: 43-50. https://doi.org/10.1055/s-0033-1356760
APA StyleBoffano, P., Zavattero, E., Bosco, G., & Berrone, S. (2014). Myositis Ossificans of the Left Medial Pterygoid Muscle: Case Report and Review of the Literature of Myositis Ossificans of Masticatory Muscles. Craniomaxillofacial Trauma & Reconstruction, 7(1), 43-50. https://doi.org/10.1055/s-0033-1356760


