Next Article in Journal
CMF Classification
Previous Article in Journal
Use of a Three-Dimensional Model to Optimize a MEDPOR Implant for Delayed Reconstruction of a Suprastructure Maxillectomy Defect
 
 
Craniomaxillofacial Trauma & Reconstruction is published by MDPI from Volume 18 Issue 1 (2025). Previous articles were published by another publisher in Open Access under a CC-BY (or CC-BY-NC-ND) licence, and they are hosted by MDPI on mdpi.com as a courtesy and upon agreement with Sage.
Font Type:
Arial Georgia Verdana
Font Size:
Aa Aa Aa
Line Spacing:
Column Width:
Background:
Technical Note

Use of a Mandibular Plate to Maintain Intergonial Width in a Partially Edentulous Patient Undergoing Mandibular Symphysis Reconstruction

by
Srinivas Susarla
1,*,
Paul E. Gordon
1,
Ali R. Attarpour
1,
Jonathan M. Winograd
2 and
Zachary S. Peacock
1
1
Department of Oral-Maxillofacial Surgery, Massachusetts General Hospital, WACC230, Boston, MA 02114, USA
2
Division of Plastic Surgery, Massachusetts General Hospital, Boston, MA, USA
*
Author to whom correspondence should be addressed.
Craniomaxillofac. Trauma Reconstr. 2013, 6(4), 281-283; https://doi.org/10.1055/s-0033-1349207
Submission received: 12 November 2012 / Revised: 18 November 2012 / Accepted: 18 November 2012 / Published: 13 September 2013

Abstract

:
One of the most challenging and essential aspects of management of patients with traumatic or ablative deformities involving the mandibular symphysis ismaintenance of intergonial width. Classically, the use of occlusal splints has been a simple and cost-effective solution to this problem. Patients who are edentulous, the use of Gunning splints with circummandibular wires is an alternative strategy. In the present report, we describe the use of a mandibular fixation plate for maintenance of intergonial width in an edentulous patient with a postablative mandibular symphysis defect.

One of the most challenging and essential aspects of management of patients with traumatic or ablative deformities involving the mandibular symphysis is maintenance of intergonial width. Classically, the use of occlusal splints has been a simple, cost-effective solution to this problem [1]. Patients who are edentulous, the use of Gunning splints with circummandibular wires is an alternative strategy [2]. In the present technical report, we describe the use of a cross-arch fixation plate for maintenance of the intergonial width in an edentulous patient with a postablative mandibular symphysis defect.

Technical Note

A 53-year-old woman was referred to our institution for evaluation of an exposed mandibular reconstruction plate. The patient had a history of an ossifying fibroma in the symphyseal region and had undergone mandibular resection and placement of a reconstruction plate 7 years before presentation. She did not pursue secondary osseous reconstruction. A removable partial denture was fabricated, but reportedly did not fit. Subsequently, two dental implants were placed in the right mandible, but never restored.
Four months before presentation, she began to notice dimpling of the skin over her chin. Over the subsequent months, the skin became progressively thinner and the plate became exposed, causing a significant esthetic deformity.
Physical examination at the time of initial presentation was notable for the plate exposure, without evidence of acute infection of the surrounding soft tissues (Figure 1). There was notable facial asymmetry, with increased soft tissue fullness on the right side compared with the left. There was no cervicofacial lymphadenopathy. The area of the exposure was 1.5 × 1.0 cm. The intraoral examination was notable for two remaining mandibular molars, both of which were clinically mobile and nonrestored right mandibular implants, which appeared well integrated. The maxillary dentition was in a state of poor repair, with multiple fractured teeth. There was no intraoral exposure of the mandibular reconstruction plate. No mobility was present in the mandibular body at the junctions of the plate and mandible.
Plain film imaging demonstrated the mandibular reconstruction plate in place, with no findings suggestive of recurrent disease at the margins (Figure 2). The mandibular width and symmetry had been maintained by the reconstruction plate.
Reconstruction of the hard and soft tissues was planned. Given the high probability of chronic infection of the plate, hardware removal and replacement with local tissue closure was deemed to be an untenable option. In this setting, the decision was made to proceed with vascularized tissue transfer using an osteomyocutaneous flap from the fibula, with a skin paddle to replace the avulsed symphyseal soft tissue and fibula to restore continuity of the mandibular symphysis.
Financial limitations obviated the use of three-dimensional models and custom-made splints. Attempted use of an acrylic splint intraoperatively did not provide sufficient rigidity and stability of the residual proximal segments to maintain the intergonial width, due to the large continuity defect anteriorly (consistent with the former history of difficulty with stability of a mandibular removable partial denture). With these limitations, the decision was made to use a crossarch mandibular fracture plate to maintain the intergonial width.
The mandible was exposed via a transcervical approach, extending the earlier incision. With the preexisting reconstruction plate in place and a mandibular fracture plate (2.0 mm, Synthes Matrix, Synthes Inc., West Lancaster, PA) was placed using 12 mm screws directed superiorly through the caudal mandible (Figure 3). The existing reconstruction plate was subsequently removed and a new reconstruction plate was contoured to fit passively to the maintained mandibular width. The fibula was modified to match the symphyseal defect along the inner aspect of the new plate. The fibula was then secured to the plate with bicortical screws. The plate and fibula were subsequently affixed to the mandible using three bicortical screws on each side of the defect. A new plate was used because the previous plate had an acute bend at the symphysis region, making adaptation of the fibula difficult and creating an irregular anterior mandibular contour, which would present challenges to future prosthetic reconstruction (i.e., under different clinical conditions it would be feasible to remove the existing plate, sterilize, then reuse). The crossarch mandibular plate was then removed before microvascular anastomosis.
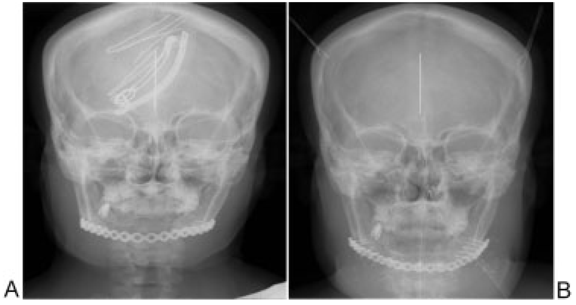
Postoperative radiographs confirmed the position of the intergonial angles remained unchanged (Figure 4A,B). Measurements were made of the intergonial and intercondylar widths on preoperative and postoperative anteroposterior cephalograms taken on the same machine. The preoperative intergonial and intercondylar widths were 83.5 and 111.4 mm, respectively. The postoperative intergonial and intercondylar widths were 82.1 and 112.1 mm, respectively.

Discussion

A cornerstone principle in maxillofacial reconstruction in patient with posttraumatic or postablative deformities is restoration of the appropriate transverse dimension [1,2,3,4]. Vectors of muscular force acting on the mandibular angles and the lateral aspects of the midface will tend to splay the disjointed segments apart posteriorly, increasing the facial width. This can be clinically evident with the presence of diastemata or crossbite in dentate patients. Any successful clinical strategy for managing this problem includes the use of stable points of foundation for establishing width and projection. In dentate patients, this can be accomplished using the occlusion as a guide, with the fabrication of acrylic occlusal or lingual splints and placement of maxillomandibular fixation. In edentulous patients, the clinical scenario becomes more challenging, but can be managed similarly, with the use of dentures that are affixed to the mandible. Alternatively, a simple, inexpensive solution is to use a bigonial bridal wire, though this option is not rigid and may cause lateral splaying of the condyles and gonial narrowing once the wire is unopposed (i.e., after the reconstruction plate is removed).
In this case, the lack of any significant occlusion, as well as the poor state of the remaining dentition, made the use of an occlusal splint a less predictable solution. The significant mandibular deformity at the alveolus and soft tissue contracture intraorally prevented successful fabrication of partial dentures or appliances to assist with maintenance of lower facial width.
The approach described herein is a quick and relatively inexpensive method for intraoperatively maintaining the intergonial width in patients requiring continuity resections of the mandibular symphysis who are not candidates for occlusal splint fabrication or prosthesis reconstruction. Though there are costs associated with the use of the hardware for intermediate fixation, the decrease in operating time, as well as the costs of fabrication of occlusal splints from cast dental models, with the attendant fixed costs of hardware (model trimmers, splint trimmers, impression and mounting materials) and variable labor costs (at least 2 to 3 hours of skilled labor by a surgical resident or attending), make this technique a reasonable alternative for maintaining intergonial width in patients for whom splint fabrication is not a predictable or tenable solution.

References

  1. Cohen, S.R.; Leonard, D.K.; Markowitz, B.L.; Manson, P.N. Acrylic splints for dental alignment in complex facial injuries. Ann Plast Surg 1993, 31, 406–412. [Google Scholar] [CrossRef] [PubMed]
  2. Gunning, T.B. Treatment of fractures of the lower jaw by interdental splints. Br J Dent Sci 1866, 9, 481. [Google Scholar]
  3. Manson, P.N.; Clark, N.; Robertson, B.; et al. Subunit principles in midface fractures: The importance of sagittal buttresses, soft-tissue reductions, and sequencing treatment of segmental fractures. Plast Reconstr Surg 1999, 103, 1287–1306; quiz 1307. [Google Scholar] [CrossRef] [PubMed]
  4. Markowitz, B.L.; Manson, P.N. Panfacial fractures: Organization of treatment. Clin Plast Surg 1989, 16, 105–114. [Google Scholar] [CrossRef] [PubMed]
Figure 1. Initial presentation. The mandibular reconstruction plate is visible through the eroded soft tissue overlying the chin. The patient is nearly edentulous in the mandible. Dental implants previously placed in the right mandible have not been restored.
Figure 1. Initial presentation. The mandibular reconstruction plate is visible through the eroded soft tissue overlying the chin. The patient is nearly edentulous in the mandible. Dental implants previously placed in the right mandible have not been restored.
Cmtr 06 00047 g001
Figure 2. Panoramic radiograph demonstrating large mandibular defect involving the symphysis with a reconstruction plate in place. The patient is nearly edentulous in the mandible and has only single contacts on molars bilaterally.
Figure 2. Panoramic radiograph demonstrating large mandibular defect involving the symphysis with a reconstruction plate in place. The patient is nearly edentulous in the mandible and has only single contacts on molars bilaterally.
Cmtr 06 00047 g002
Figure 3. Intraoperative photograph of preexisting mandibular re-construction plate and symphyseal defect. A cross-arch 2.0 mm straight plate was used to maintain intergonial width.
Figure 3. Intraoperative photograph of preexisting mandibular re-construction plate and symphyseal defect. A cross-arch 2.0 mm straight plate was used to maintain intergonial width.
Cmtr 06 00047 g003
Figure 4. (A) Preoperative anteroposterior cephalogram, demonstrating intergonial and intercondylar widths of 83.5 and 111.4 mm, respectively. (B) Postoperative anteroposterior cephalogram, demonstrating preserved intergonial and intercondylar widths, as well as mandibular symphysis reconstruction with free fibula. The postoperative intergonial and intercondylar widths were 82.1 and 112.1 mm, respectively.
Figure 4. (A) Preoperative anteroposterior cephalogram, demonstrating intergonial and intercondylar widths of 83.5 and 111.4 mm, respectively. (B) Postoperative anteroposterior cephalogram, demonstrating preserved intergonial and intercondylar widths, as well as mandibular symphysis reconstruction with free fibula. The postoperative intergonial and intercondylar widths were 82.1 and 112.1 mm, respectively.
Cmtr 06 00047 g004
Publisher’s Note: MDPI stays neutral with regard to jurisdictional claims in published maps and institutional affiliations.

Share and Cite

MDPI and ACS Style

Susarla, S.; Gordon, P.E.; Attarpour, A.R.; Winograd, J.M.; Peacock, Z.S. Use of a Mandibular Plate to Maintain Intergonial Width in a Partially Edentulous Patient Undergoing Mandibular Symphysis Reconstruction. Craniomaxillofac. Trauma Reconstr. 2013, 6, 281-283. https://doi.org/10.1055/s-0033-1349207

AMA Style

Susarla S, Gordon PE, Attarpour AR, Winograd JM, Peacock ZS. Use of a Mandibular Plate to Maintain Intergonial Width in a Partially Edentulous Patient Undergoing Mandibular Symphysis Reconstruction. Craniomaxillofacial Trauma & Reconstruction. 2013; 6(4):281-283. https://doi.org/10.1055/s-0033-1349207

Chicago/Turabian Style

Susarla, Srinivas, Paul E. Gordon, Ali R. Attarpour, Jonathan M. Winograd, and Zachary S. Peacock. 2013. "Use of a Mandibular Plate to Maintain Intergonial Width in a Partially Edentulous Patient Undergoing Mandibular Symphysis Reconstruction" Craniomaxillofacial Trauma & Reconstruction 6, no. 4: 281-283. https://doi.org/10.1055/s-0033-1349207

APA Style

Susarla, S., Gordon, P. E., Attarpour, A. R., Winograd, J. M., & Peacock, Z. S. (2013). Use of a Mandibular Plate to Maintain Intergonial Width in a Partially Edentulous Patient Undergoing Mandibular Symphysis Reconstruction. Craniomaxillofacial Trauma & Reconstruction, 6(4), 281-283. https://doi.org/10.1055/s-0033-1349207

Article Metrics

Back to TopTop