Effects of NGF and Photobiomodulation Therapy on Crush Nerve Injury and Fracture Healing: A Stereological and Histopathological Study in an Animal Model
Abstract
:Introduction
Materials & Methods
Animals
Experimental Groups
- Control Group (n = 7). Control group animals were injected postoperatively with .9% .2 mL NaCl solution percutaneously around the mental foramen. The laser probe was also applied to the same area on the buccal skin of the rabbits, but the device was turned off.
- PBMT Group (n = 7). The PBMT group received PBMT treatment every 48 hours for 14 sessions following the surgery. [28] This PBMT consisted of a GaAlAs laser (CheeseTM, Wuhan Gigaa Optronics Technology Co, Ltd, China) with a wavelength of 810 nm, a power of .3 W, and an energy density of approximately 18 J/cm2. The probe was placed on the buccal skin of the rabbit in contact with the skin, including the site of injury, for 180 s. The crushed nerve and the fractured bone were in the same area. This area was then irradiated (Figure 1B).
- NGF Group (n = 7). The animals received 1 μg human NGFβ (hNGF)/.9% .2 mL NaCl solution for 7 days percutaneously to the site of the injury (Figure 1A) as described by Wang L et al. [17] and Bao et al. [30] PBMT + NGF group (n = 7): The animals received 1 μg human NGF-β/.9% .2 mL NaCl solution for 7 days and PBMT treatment for 14 sessions. We applied NGF solution to the injury site first and then applied the PBMT (Figure 1).
NGF Preparation
Surgical Procedure and Study Design
Stereological and Histopathological Analyses
Microscopic Evaluation
Statistical Analysis
Results
New Bone Volume
Connective Tissue Volume
New Vessel Volume
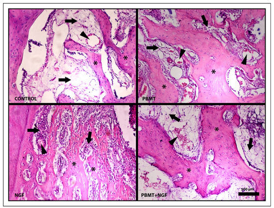
Histopathological Findings of Bone Tissue
Histopathological Examination of Nerve Tissue
Discussion
Funding
Acknowledgments
Declarations of Conflicting Interest
Ethical Approval
References
- Oji, C. Jaw fractures in Enugu, Nigeria, 1985–95. The British Journal of Oral Maxillofacial Surgery. 1999, 37, 106–109. [Google Scholar] [CrossRef]
- De Sousa, A. Psychological issues in oral and maxillofacial reconstructive surgery. The British Journal of Oral Maxillofacial Surgery. 2008, 46, 661–664. [Google Scholar] [CrossRef]
- Dimitriou, R.; Tsiridis, E.; Giannoudis, P.V. Current concepts of molecular aspects of bone healing. Injury. 2005, 36, 1392–1404. [Google Scholar] [CrossRef]
- Guarini, D.; Gracia, B.; Ram´ırez-Lobos, V.; Noguera-Pantoja, A.; Sole´-Ventura, P. Laser biophotomodulation in patients with neurosensory disturbance of the inferior alveolar nerve after sagittal split ramus osteotomy: a 2-year follow-up study. Photomedicine and Laser Surgery. 2018, 36, 3–9. [Google Scholar] [CrossRef] [PubMed]
- Auyong, T.G.; Le, A. Dentoalveolar nerve injury. Oral and Maxillofacial Surgery Clinics of North America. 2011, 23, 395–400. [Google Scholar] [CrossRef]
- Thomas, D.A.; Ren, K.; Besse, D.; Ruda, M.A.; Dubner, R. Application of nitric oxide synthase inhibitor, Nω-nitro-Larginine methyl ester, on injured nerve attenuates neuropathy-induced thermal hyperalgesia in rats. Neuroscience Letters. 1996, 210, 124–126. [Google Scholar] [CrossRef]
- Madsen, J.E.; Hukkanen, M.; Aune, A.K.; Basran, I.; Moller, J.F.; Polak, J.M.; Nordsletten, L. , Fracture healing and callus lnnervation after peripheral nerve resection in rats. Clinical Orthopeadics and Related Research. 1998, 230–240. [Google Scholar] [CrossRef]
- Yamashiro, T.; Fujiyama, K.; Fujiyoshi, Y.; Inaguma, N.; TakanoYamamoto, T. Inferior alveolar nerve transection inhibits increase in osteoclast appearance during experimental tooth movement. Bone. 2000, 26, 663–669. [Google Scholar] [CrossRef]
- Levi-Montalcini, R. The nerve growth factor 35 years later. Science. 1987, 237, 1154–1162. [Google Scholar] [CrossRef]
- Wang, L.; Zhou, S.; Liu, B.; Lei, D.; Zhao, Y.; Lu, C.; Tan, A. , Locally applied nerve growth factor enhances bone consolidation in a rabbit model of mandibular distraction osteogenesis. Journal of Orthopaedic Research. 2006, 24, 2238–2245. [Google Scholar] [CrossRef]
- Savignat, M.; Vodouhe, C.; Ackermann, A.; Haikel, Y.; Lavalle, P.; Libersa, P. Evaluation of early nerve regeneration using a polymeric membrane functionalized with nerve growth factor (NGF) after a crush lesion of the rat mental nerve 711. Journal of Oral Maxillofacial Surgery. 2008, 66, 711–717. [Google Scholar] [CrossRef]
- Savignat, M.; De-Doncker, L.; Vodouhe, C.; Garza, J.; Lavalle, P.; Libersa, P. Rat nerve regeneration with the use of a polymeric membrane loaded with NGF. Journal of Dental Research. 2007, 86, 1051–1056. [Google Scholar] [CrossRef]
- Nakagawa, K.; Takeda, M.; Tsuboi, Y.; Kondo, M.; Kitagawa, J.; Matsumoto, S.; Kobayashi, A.; Sessle, B.J.; Shinoda, M.; Iwata, K. , Alteration of primary afferent activity following inferior alveolar nerve transection in rats. Molecular Pain. 2010, 6, 1744–8069. [Google Scholar] [CrossRef]
- Li, K.; Yang, L.; Qiao, Y.-J.; Liang, Y.-J.; Wang, X.; Liao, G.-Q. Risk factors and prognosis for the primary intraosseous carcinoma of the jaw. International Journal of Oral and Maxillofacial Surgery. 2019, 48, 157–162. [Google Scholar] [CrossRef]
- Sun, W.; Sun, C.; Lin, H.; Zhao, H.; Wang, J.; Ma, H.; Chen, B.; Xiao, Z.; Dai, J. , The effect of collagen-binding NGF-β on the promotion of sciatic nerve regeneration in a rat sciatic nerve crush injury model. Biomaterials. 2009, 30, 4649–4656. [Google Scholar] [CrossRef]
- Eppley, B.L.; Snyders, R.V.; Winkelmann, T.M.; Roufa, D.G. Efficacy of nerve growth factor in regeneration of the mandibular nerve: a preliminary report. Journal of Oral Maxillofacial Surgery. 1991, 49, 61–68. [Google Scholar] [CrossRef]
- Wang, L.; Zhao, Y.; Cheng, X.; Yang, Y.; Liu, G.; Ma, Q.; Shang, H.; Tian, L.; Lei, D. , Effects of locally applied nerve growth factor to the inferior alveolar nerve histology in a rabbit model of mandibular distraction osteogenesis. International Journal of Oral Maxillofacial Surgery. 2009, 38, 64–69. [Google Scholar] [CrossRef]
- Guang, M.; Yao, Y.; Zhang, L.; Huang, B.; Xiang, L.; Jin, J.; Gong, P. , The effects of nerve growth factor on endothelial cells seeded on different titanium surfaces. International Journal of Oral Maxillofacial Surgery. 2015, 44, 1506–1513. [Google Scholar] [CrossRef] [PubMed]
- Bayat, M.; Virdi, A.; Jalalifirouzkouhi, R.; Rezaei, F. Comparison of effects of LLLT and LIPUS on fracture healing in animal models and patients: a systematic review. Progress in Biophysics and Molecular Biology. 2018, 132, 3–22. [Google Scholar] [CrossRef]
- Kazancioglu, H.O.; Ezirganli, S.; Aydin, M.S. Effects of laser and ozone therapies on bone healing in the calvarial defects. Journal of Craniofacial Surgery. 2013, 24, 2141–2146. [Google Scholar] [CrossRef]
- Luger, E.J.; Rochkind, S.; Wollman, Y.; Kogan, G.; Dekel, S. Effect of low-power laser irradiation on the mechanical properties of bone fracture healing in rats. Lasers in Surgery and Medicine. 1998, 22, 97–102. [Google Scholar] [CrossRef]
- Rochkind, S.; Ouaknine, G.E. New trend in neuroscience: lowpower laser effect on peripheral and central nervous system (basic science, preclinical and clinical studies). Neurological Research. 1992, 14, 2–11. [Google Scholar] [CrossRef]
- Friedmann, H.; Lubart, R.; Laulicht, I.; Rochkind, S. A possible explanation of laser-induced stimulation and damage of cell cultures. Journal of Photochemistry Photobiology B Biology. 1991, 11, 87–91. [Google Scholar] [CrossRef]
- Kheiri, A.; Amid, R.; Kheiri, L.; Namdari, M.; Mojahedi, M.; Kadkhodazadeh, M. Effect of lowlevel laser therapy on bone regeneration of critical-size bone defects: a systematic review of in vivo studies and meta-analysis. Archives of Oral Biology. 2020, 117, 104782. [Google Scholar] [CrossRef]
- Hsieh, Y.L.; Chou, L.W.; Chang, P.L.; Yang, C.C.; Kao, M.J.; Hong, C.Z. Low-level laser therapy alleviates neuropathic pain and promotes function recovery in rats with chronic constriction injury: possible involvements in hypoxia-inducible factor 1α (HIF-1α). Journal of Comparative Neurology. 2012, 520, 2903–2916. [Google Scholar] [CrossRef]
- Gomes, L.E.A.; Dalmarco, E.M.; Andre´, E.S. The brain-derived neurotrophic factor, nerve growth factor, neurotrophin-3, and induced nitric oxide synthase expressions after low-level laser therapy in an axonotmesis experimental model. Photomedicine Laser and Surgery. 2012, 30, 642–647. [Google Scholar] [CrossRef]
- Andreo, L.; Soldera, C.B.; Ribeiro, B.G.; de Matos, P.R.V.; Bussadori, S.K.; Fernandes, K.P.S.; et al. Effects of photobiomodulation on experimental models of peripheral nerve injury. Lasers in Medical Science. 2017, 32, 2155–2165. [Google Scholar] [CrossRef]
- Fazilat, F.; Ghoreishian, M.; Fekrazad, R.; Kalhori, K.A.M.; Khalili, S.D.; Pinheiro, A.L.B. Cellular effect of low-level laser therapy on the rate and quality of bone formation in mandibular distraction osteogenesis. Photomedicine and Laser Surgery. 2014, 32, 315–321. [Google Scholar] [CrossRef]
- Hosseinpour, S.; Fekrazad, R.; Arany, P.R.; Ye, Q. Molecular impacts of photobiomodulation on bone regeneration: a systematic review. Progress in Biophysics and Molecular Biology. 2019, 149, 147–159. [Google Scholar] [CrossRef]
- Odaci, E.; Sahin, B.; Sonmez, O.F.; Kaplan, S.; Bas, O.; Bilgic, S.; et al. Rapid estimation of the vertebral body volume: a combination of the Cavalieri principle and computed tomography images. European Journal of Radiology. 2003, 48, 316–326. [Google Scholar] [CrossRef]
- Son, J.; Kim, Y.-B.; Ge, Z.; Choi, S.-H.; Kim, G. Bone healing effects of diode laser (808 nm) on a rat tibial fracture model. In Vivo. 2012, 26, 703–709. [Google Scholar] [PubMed]
- Sun, S.; Diggins, N.H.; Gunderson, Z.J.; Fehrenbacher, J.C.; White, F.A.; Kacena, M.A. No pain, no gain? the effects of pain-promoting neuropeptides and neurotrophins on fracture healing. Bone. 2020, 131, 115109. [Google Scholar] [CrossRef]
- Sang, X.G.; Wang, Z.Y.; Cheng, L.; Liu, Y.H.; Li, Y.G.; Qin, T.; et, al. Analysis of the mechanism by which nerve growth factor promotes callus formation in mice with tibial fracture. Experimental and Therpeutic Medicine. 2017, 13, 1376–1380. [Google Scholar] [CrossRef]
- Grills, B.L.; Schuijers, J.A.; Ward, A.R. Topical application of nerve growth factor improves fracture healing in rats. Journal of Orthopaedic Research. 1997, 15, 235–242. [Google Scholar] [CrossRef]
- Liu, Y.; Zhao, D.; Wang, W.; Wang, B.; Liu, Z.; Zhang, Y.; et al. [Nerve growth factor modulates bone morphogenetic protein expression in rabbit fracture]. Zhonghua Yixue Zazhi. 2014, 94, 1825–1828. [Google Scholar]
- Moreira, G.; Alves, P.; Esper, L.; Sbrana, M.; Dalben, G.; Neppelenbroek, K.; et al. Effect of low-level laser on the healing of bone defects filled with autogenous bone or bioactive glass: in vivo study. International Journal of Oral Maxillofacial Implants. 2018, 33, 169–174. [Google Scholar] [CrossRef]
- Yan, X.-Z.; Ge, S.-H.; Sun, Q.-F.; Guo, H.-M.; Yang, P.-S. A pilot study evaluating the effect of recombinant human bone morphogenetic protein-2 and recombinant human beta-nerve growth factor on the healing of class iii furcation defects in dogs. Journal of Periodontology. 2010, 81, 1289–1298. [Google Scholar] [CrossRef]
- Buchignani, V.C.; Germano, E.J.; dos Santos, L.M.; Gulinelli, J.L.; Ishikiriama, B.L.C.; Orcini, W.A.; et al. Effect of low-level laser therapy and zoledronic acid on bone repair process. Lasers Medical Science. 2019, 34, 1081–1088. [Google Scholar] [CrossRef]
- Park, J.B.; Ahn, S.J.; Kang, Y.G.; Kim, E.C.; Heo, J.S.; Kang, K.L. Effects of increased low-level diode laser irradiation time on extraction socket healing in rats. Lasers Medical Science. 2015, 30, 719–726. [Google Scholar] [CrossRef]
- Briteño-Va´zquez, M.; Santilla´n-D´ıaz, G.; Gonza´lez-Pe´rez, M.; Gallego-Izquierdo, T.; Pecos-Martin, D.; Plaza-Manzano, G.; et al. Low power laser stimulation of the bone consolidation in tibial fractures of rats: a radiologic and histopathological analysis. Lasers Medical Science. 2014, 30, 333–338. [Google Scholar] [CrossRef]
- Góralczyk, K.; Szyman´ska, J.; Łukowicz, M.; Drela, E.; Kotzbach, R.; Dubiel, M.; et al. Effect of LLLT on endothelial cells culture. Lasers Medical Science. 2014, 30, 273–278. [Google Scholar] [CrossRef] [PubMed]
- Mirzaei, A.; Saberi-Demneh, A.; Gutknecht, N.; Ramezani, G. The effect of low-level laser radiation on improving inferior alveolar nerve damage after sagittal split osteotomy: a systematic review. Lasers Medical Science. 2019, 34, 865–872. [Google Scholar] [CrossRef]
- Diker, N.; Aytac, D.; Helvacioglu, F.; Oguz, Y. Comparative effects of photobiomodulation therapy at wavelengths of 660 and 808 nm on regeneration of inferior alveolar nerve in rats following crush injury. Lasers Medical Science. 2019, 35, 413–420. [Google Scholar] [CrossRef]
- Yuca, Y.; Yucesoy, T.; Tok, O.E.; Alkan, A. The efficiency of ozone therapy and low-level laser therapy in rat facial nerve injury. Journal of Cranio-Maxillofacial Surgery 2020, 48, 308–314. [Google Scholar] [CrossRef]
- Du, Z.J.; Wang, L.; Lei, D.L.; Liu, B.; Cao, J.; Zhang, P.; et al. Nerve growth factor injected systemically improves the recovery of the inferior alveolar nerve in a rabbit model of mandibular distraction osteogenesis. British Journal of Oral Maxillofacial Surgery. 2011, 49, 557–561. [Google Scholar] [CrossRef]
- Wang, L.; Zhao, Y.; Cao, J.; Yang, X.; Lei, D. Mesenchymal stem cells modified with nerve growth factor improve recovery of the inferior alveolar nerve after mandibular distraction osteogenesis in rabbits. British Journal of Oral Maxillofacial Surgery. 2015, 53, 279–284. [Google Scholar] [CrossRef]







© 2022 by the authors. Published by MDPI on behalf of the AO Foundation. Licensee MDPI, Basel, Switzerland. This article is an open access article distributed under the terms and conditions of the Creative Commons Attribution (CC BY) license (https://creativecommons.org/licenses/by/4.0/).
Share and Cite
Şen, E.; Özkan, N.; Önger, M.E.; Kaplan, S. Effects of NGF and Photobiomodulation Therapy on Crush Nerve Injury and Fracture Healing: A Stereological and Histopathological Study in an Animal Model. Craniomaxillofac. Trauma Reconstr. 2023, 16, 281-291. https://doi.org/10.1177/19433875221138175
Şen E, Özkan N, Önger ME, Kaplan S. Effects of NGF and Photobiomodulation Therapy on Crush Nerve Injury and Fracture Healing: A Stereological and Histopathological Study in an Animal Model. Craniomaxillofacial Trauma & Reconstruction. 2023; 16(4):281-291. https://doi.org/10.1177/19433875221138175
Chicago/Turabian StyleŞen, Esengül, Nilüfer Özkan, Mehmet Emin Önger, and Süleyman Kaplan. 2023. "Effects of NGF and Photobiomodulation Therapy on Crush Nerve Injury and Fracture Healing: A Stereological and Histopathological Study in an Animal Model" Craniomaxillofacial Trauma & Reconstruction 16, no. 4: 281-291. https://doi.org/10.1177/19433875221138175
APA StyleŞen, E., Özkan, N., Önger, M. E., & Kaplan, S. (2023). Effects of NGF and Photobiomodulation Therapy on Crush Nerve Injury and Fracture Healing: A Stereological and Histopathological Study in an Animal Model. Craniomaxillofacial Trauma & Reconstruction, 16(4), 281-291. https://doi.org/10.1177/19433875221138175
