Next Article in Journal
Endoscopically Assisted Marginal Mandibulectomy Using an Intraoral Approach Alone for Squamous Cell Carcinoma of the Posterior Mandibular Gingiva: A Technical Note
Previous Article in Journal
Platelet-Rich Fibrin in Third Molar Surgery: Systematic Review and Meta-Analysis Protocol
 
 
Craniomaxillofacial Trauma & Reconstruction is published by MDPI from Volume 18 Issue 1 (2025). Previous articles were published by another publisher in Open Access under a CC-BY (or CC-BY-NC-ND) licence, and they are hosted by MDPI on mdpi.com as a courtesy and upon agreement with Sage.
Font Type:
Arial Georgia Verdana
Font Size:
Aa Aa Aa
Line Spacing:
Column Width:
Background:
Case Report

An Alternative Approach Using Circummandibular Wiring for Treatment of Dentoalveolar Fractures in Children: A Case Report

by
José Henrique Santana Quinto
1,
Andressa Bolognesi Bachesk
2,*,
Lucas Costa Nogueira
1 and
Liogi Iwaki Filho
2
1
Department of Dentistry, Oral and Maxillofacial Surgery, São Paulo University, Ribeirão Preto, São Paulo, Brazil
2
Department of Dentistry, Oral and Maxillofacial Surgery, State University of Maringá, Mandacaru Avenue, 1550, Maringá, Paraná, CEP 87.083-240, Brazil
*
Author to whom correspondence should be addressed.
Craniomaxillofac. Trauma Reconstr. 2022, 15(2), 169-174; https://doi.org/10.1177/1943387521990283
Submission received: 1 November 2020 / Revised: 1 December 2020 / Accepted: 1 January 2021 / Published: 1 March 2021

Abstract

The prevalence of dentoalveolar injuries in children is approximately 25%, with falls from own height being one of the main etiologies. Diagnosis is based on the clinical evaluation associated with complementary imaging tests. The treatment of choice depends on the type of damage and structure affected. For alveolar process fractures, closed reduction and semi-rigid dental splinting for 4 to 6 weeks is generally satisfactory. However, some cases, such as severe segmental fractures, require open treatment to ensure adequate reduction and stabilization of the displaced alveolar segment, which is usually achieved by titanium miniplates and screws. Nevertheless, there are situations where this type of fixation is not possible, requiring alternative methods. Therefore, this article describes a surgical technique performed by open reduction, associating semi-rigid dental splint and circummandibular wiring in pediatric patient diagnosed with dentoalveolar fracture through clinical examination (with bone fracture displacement) and tomography. The technique promoted a good prognostic to the patient, proving to be a viable alternative for treating dentoalveolar fractures.

Introduction

The occurrence of dentoalveolar trauma is a public health problem due to the aesthetic and functional damage suffered by the patient. Dentoalveolar injury resulting from facial trauma is common, occurring in 5% of cases, the most frequent types being coronal fracture and tooth luxation.[1,2] These lesions are more frequent in children and adolescents, victims of falls, sports accidents, physical aggressions and collisions with other people. Studies show that 25% of school-age children have suffered from some type of dental trauma.[3] Immediate treatment leads to 80% success rate, and case prognosis is directly attached to the first care agility and efficiency and periodic monitoring.[4]
The vast majority of dentoalveolar fractures are treated by closed approach, using semi-rigid dental splinting for 4 to 6 weeks.[5,6] However, in some situations, dental splint may not be enough to stabilize the fractured segment. In these cases, open techniques with reduction and fixation by miniplates and screws are recommended.[5,6] Due to the anatomical particularities of the child population, which have a complex craniofacial development, with the presence of dental germs and tooth eruption, bone fixation techniques by mini screws have little applicability; therefore, other modalities should be used.[7] The use of circummandibular wires is mentioned in literature as one of the alternative methods for the treatment of mandibular fractures in pediatrics, but it is rarely described in the approach to dentoalveolar fractures.[7] The aim of this study was to report a clinical case of a patient victim of severe dentoalveolar trauma, treated by semi-rigid dental splinting associated with circummandibular wiring.

Case Report

A 10-year-old male and systemically healthy patient received emergency care at the hospital, for having fallen from his own level. In the intraoral examination, bleeding, gingival laceration, severe mobility and lingual displacement of the lower incisors were found, with exposure of the dental apexes and severe pain complaints. The fractured block was only attached to the lingual gingival tissue (Figure 1A). In a tomographic evaluation, it was possible to observe an alveolar process fracture of the lower incisors (Figure 1B and C). In emergency care, with local anesthesia, the wounds were sutured and the dentoalveolar fragment was repositioned with semi-rigid dental splinting (Figure 1D). The patient had mixed dentition and the lower canines were not erupted, which prevented adequate stability. Therefore, another surgical procedure was planned under general anesthesia. Informed and valid consent was obtained from the legal guardian for the patient.
In second intervention, the use of titanium mini screws was not feasible due to the thin alveolar bone wall, as the stabilization of the screws could not be achieved, in addition to the risk of damage to dental germs. So, another treatment modality was chosen. Up with a new dental splinting, proceeded with a circummandibular cerclage using steel wire number 1, encompassing the base of mandible and the alveolar segment, bilaterally, between teeth 31 and 32 and between 41 and 42 (Figure 2A and B). In the immediate postoperative radiographic examination, a satisfactory fracture reduction and cerclage positioning were observed (Figure 2C and D). With this technique, greater stability of the dentoalveolar fragment and occlusion was achieved, allowing the local healing process. The patient received postoperative recommendations, mainly to maintain a soft diet.
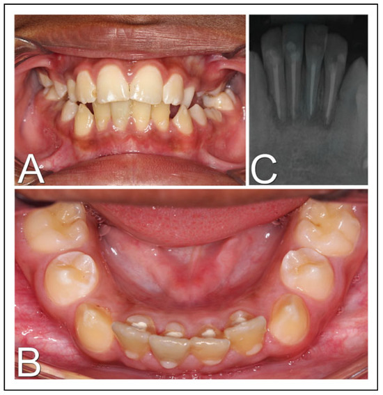
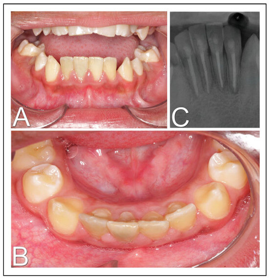
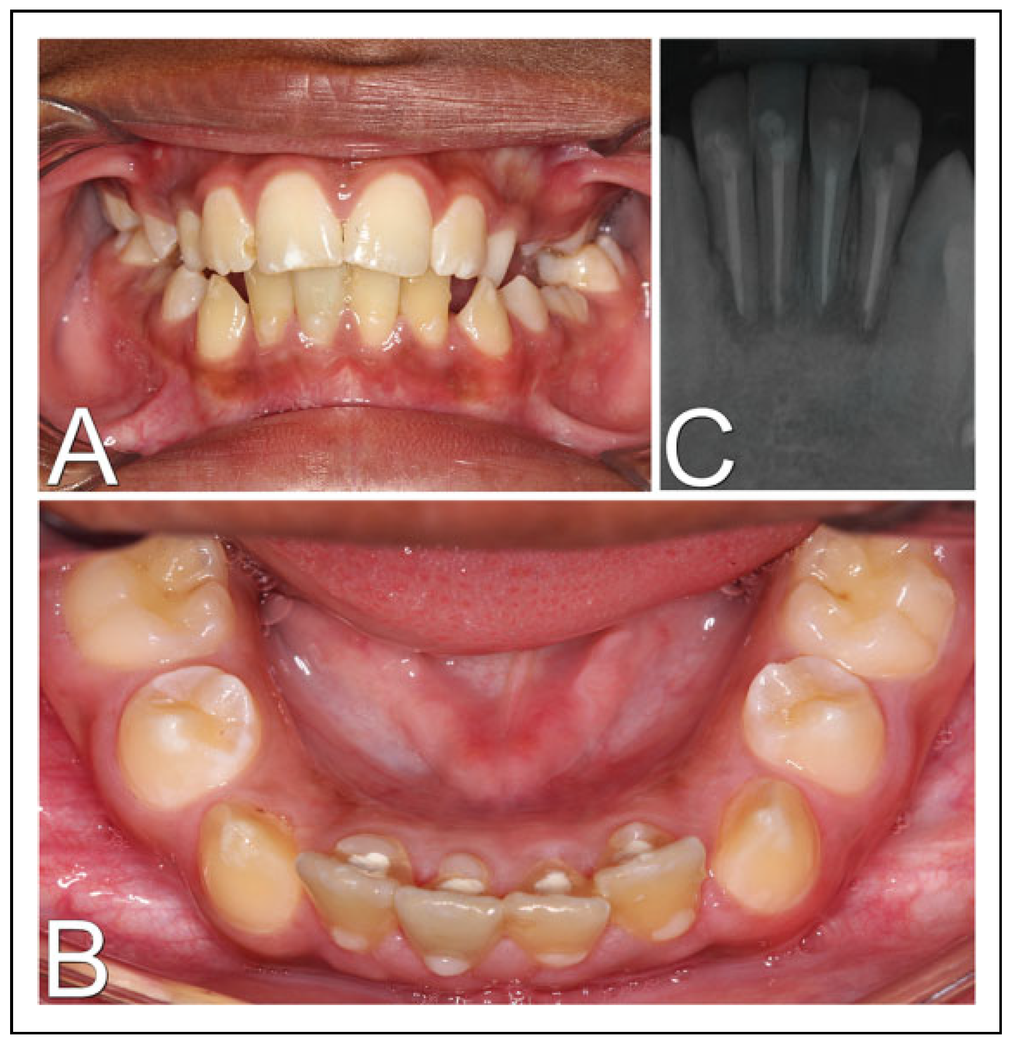
In the 90-day follow-up, semi-rigid splinting and bone cerclage were removed under local anesthesia (Figure 3). The lower incisors evolved with improvement in both stability and mobility. In pulp vitality test, the teeth involved responded negatively, proceeding to the beginning of root canal treatment. However, the patient did not attend the consultations regularly, not finishing the endodontic treatment. In the 4-month postoperative period he returned with an abscess in the submental space (Figure 4), with a root canal disinfection and medication of the affected teeth being performed, in addition to antibiotic therapy with Amoxicillin 500 mg every 8 hours for 7 days. The patient evolved with regression of the infectious condition, and in the 9-month postoperative period he exhibited stable occlusion, teeth without mobility, endodontic treatment completed and without signs of infection (Figure 5). Currently, he is being followed up for 3 years and 6 months, with satisfactory clinical and radiographic results (Figure 6).

Discussion

In the present case, the epidemiological characteristics corroborate with the literature addressed regarding patients who were victims of dental trauma, as it is a 10-years-old male patient, victim of a fall. A study by Gulinelli et al. in 2008[4] showed that among patients victims of dental trauma, 64.7% were male, and the most affected age groups were young people between 16 and 20 years old with 20.3%, followed by children between 0 and 5 years old with 18.8%. The fall was also one of the main etiological factors, with 18.8% of cases. Another study addressing pediatric dental trauma, concluded that the most affected patients were those aged between 6 and 12 years, of which 70% were male, with falls being the most common etiology.[8]
Currently, most alveolar process fractures are treated by semi-rigid dental splinting, although, when there is no supporting dentition to stabilize the dental segment, other therapeutic approaches should be used, such as fixation with titanium miniplates and screws.[5] Circummandibular wires have been used in oral and maxillofacial surgery for over 100 years; nevertheless, the use in cases of fractures of alveolar processes is uncommon.[6] In this case, the therapeutic approach was challenging due to the impossibility of installing miniplates and screws, as the density of the alveolar facial bone wall was not sufficient. Then the circummandibular wiring was performed to fix the fractured fragment, due to the degree of displacement and the need to ensure stabilization. For the resolution of these cases, the treatment presented has advantages compared to rigid internal fixation, allowing stable fixation and ensure precise anatomical reduction for bone repair. The technique has low cost and avoids the risk of damage to tooth roots during drilling and screw placement. However, it has some disadvantages, such as postoperative discomfort caused by steel wires, and the need to remove them after the fracture has healed.[6,7] In the case reported, the semi-rigid splint and circummandibular wire were maintained for 90 days, which was necessary for obtaining stability of the dentoalveolar fragment and decreased of tooth mobility.
The International Association of Dental Traumatology establishes that splinting is the best way to keep the tooth correctly positioned, providing the patient comfort and improved function. Andreasen reports in his studies that damage to periodontal tissues caused by tooth luxation increases the risk of pulp necrosis,[9] so pulp vitality tests were performed periodically for 3 months after trauma, considering that during this period false-negative responses may occur.[3] After a correct diagnosis, confirming negative sensitivity of the lower incisors, endodontic treatment was started.
The patient had complete rhizogenesis in the traumatized teeth. In these cases pulp necrosis is more common, as they have less ability to revascularize and regenerate the root canal tissues compared to teeth with incomplete rhizogenesis.[3] Considering the possible root resorption, teeth with a closed apex have a worse prognosis when compared to teeth with an open apex, and can be developed about 10 months after trauma.[8] However, other studies indicate that root resorption after an extrusive luxation is rare, occurring in 5% of cases if the tooth is repositioned immediately posttrauma.[10] After the endodontic treatment was completed, radiographs were taken for control, and the patient did not present ankylosis or root resorption of the affected teeth in a follow-up of 1 year and 6 months.
In conclusion, immediate care in hospital emergency by an oral and maxillofacial surgeon, added to the treatment with dental splint and circummandibular wire promoted a good prognosis, restoring aesthetics and function to the patient. The circummandibular wiring technique is rarely mentioned in literature for the treatment of dentoalveolar fractures. However, severe trauma in children may make it impossible to use only semi-rigid dental splinting or rigid internal fixation. The technique presented proved to be a viable alternative for treating dentoalveolar fractures in pediatric patients. Long-term follow-up and the patient’s collaboration to follow the recommendations are essential for the treatment success, avoiding complications such as maxillofacial infections.

Funding

The author(s) received no financial support for the research, authorship, and/or publication of this article.

Conflicts of Interest

The author(s) declared no potential conflicts of interest with respect to the research, authorship, and/or publication of this article.

References

  1. Berrezouga, L.; Belkhir, C.; Jbir, R.; Belkhir, M.S. Acute treatment of a concomitant horizontal root fracture and luxation of the coronal fragment of the right upper central incisor: a case report. Dent Traumatol. 2010, 26, 360–362. [Google Scholar] [CrossRef] [PubMed]
  2. Serra-Pastor, B.; Peñarrocha-Diago, M.; Peñarrocha-Diago, M.A.; Agustín-Panadero, R. Treatment and restoration of adult dentoalveolar trauma: a case report. J Clin Exp Dent. 2016, 8, e634–e637. [Google Scholar] [CrossRef] [PubMed][Green Version]
  3. DiAngelis, A.J.; Andreasen, J.O.; Ebeleseder, K.A.; et al. International Association of Dental Traumatology guidelines for the management of traumatic dental injuries: 1. Fractures and luxations of permanent teeth. Dent Traumatol. 2012, 28, 2–12. [Google Scholar] [CrossRef] [PubMed]
  4. Gulinelli, J.L.; Saito, C.T.M.H.; Garcia-Júnior, I.R.; et al. Occurrence of tooth injuries in patients treated in hospital environment in the region of Arac¸atuba, Brazil during a 6-year period. Dent Traumatol. 2008, 24, 640–644. [Google Scholar] [CrossRef] [PubMed]
  5. Li, Z.; Hu, T.-Q.; Li, Z.-B. Open reduction by vestibular approach in the treatment of segmental alveolar fracture. Dent Traumatol. 2012, 28, 470–473. [Google Scholar] [CrossRef] [PubMed]
  6. Maloney, K. Circummandibular wires for treatment of dentoalveolar fractures adjacent to edentulous areas: a report of two cases. Craniomaxillofac Trauma Reconstr. 2015, 08, 246–250. [Google Scholar] [CrossRef] [PubMed]
  7. Kale, T.P.; Urologin, S.B.; Kapoor, A.; Lingaraj, J.B.; Kotrashetti, S.M. Open cap splint with circummandibular wiring for management of pediatric mandibular parasymphysis/symphysis fracture as a definitive treatment modality; a case series. Dent Traumatol. 2011, 29, 410–415. [Google Scholar] [CrossRef] [PubMed]
  8. Yonezawa, H.; Yanamoto, S.; Hoshino, T.; Yamada, S.-I.; Fujiwara, T.; Umeda, M. Management of maxillary alveolar bone fracture and severely intruded maxillary central incisor: report of a case. Dent Traumatol. 2012, 29, 416–419. [Google Scholar] [CrossRef] [PubMed]
  9. Robertson, A.; Andreasen, F.M.; Andreasen, J.O.; Norén, J.G. Long-term prognosis of crown-fractured permanent incisors. The effect of stage of root development and associated luxation injury. Int J Paediatr Dent. 2000, 10, 191–199. [Google Scholar] [CrossRef] [PubMed]
  10. Finucane, D.; Kinirons, M.J. External inflammatory and replacement resorption of luxated, and avulsed replanted permanent incisors: a review and case presentation. Dent Traumatol. 2003, 19, 170–174. [Google Scholar] [CrossRef] [PubMed]
Figure 1. Initial exams and procedures. (A) Intraoral image in front view; (B) computed tomography in sagittal section confirming dentoalveolar fracture; (C) 3-dimensional reconstruction of computed tomography; (D) intraoral image after wound sutures and semi-rigid dental splinting.
Figure 1. Initial exams and procedures. (A) Intraoral image in front view; (B) computed tomography in sagittal section confirming dentoalveolar fracture; (C) 3-dimensional reconstruction of computed tomography; (D) intraoral image after wound sutures and semi-rigid dental splinting.
Cmtr 15 00025 g001
Figure 2. Surgical procedure. (A) Transoperative photograph showing dentoalveolar segment stabilization by a circummandibular wire associated with a new dental splint; (B) intraoral photography in immediate postoperative period; (C) postoperative skull radiography in lateral position; (D) postoperative skull radiograph in posteroanterior position.
Figure 2. Surgical procedure. (A) Transoperative photograph showing dentoalveolar segment stabilization by a circummandibular wire associated with a new dental splint; (B) intraoral photography in immediate postoperative period; (C) postoperative skull radiography in lateral position; (D) postoperative skull radiograph in posteroanterior position.
Cmtr 15 00025 g002
Figure 3. Ninety-day follow-up. (A) Intraoral image after removal of steel wires and dental splint; (B) periapical radiography of lower incisors prior to circummandibular wires removal; (C) periapical radiography after removing the steel wires.
Figure 3. Ninety-day follow-up. (A) Intraoral image after removal of steel wires and dental splint; (B) periapical radiography of lower incisors prior to circummandibular wires removal; (C) periapical radiography after removing the steel wires.
Cmtr 15 00025 g003
Figure 4. Four-month follow-up. (A) Extraoral photograph showing an abscess fluctuation point in submental space; (B) intraoral image with suggestive sign of fistula in the apical region of tooth 32; (C) intraoral image in upper view of lower incisors with temporary restorations.
Figure 4. Four-month follow-up. (A) Extraoral photograph showing an abscess fluctuation point in submental space; (B) intraoral image with suggestive sign of fistula in the apical region of tooth 32; (C) intraoral image in upper view of lower incisors with temporary restorations.
Cmtr 15 00025 g004
Figure 5. Nine-month follow-up. (A) Intraoral photograph in front view; (B) intraoral photograph in upper view; (C) periapical radiography after endodontic treatment finalization, with signs of periapical bone rarefaction.
Figure 5. Nine-month follow-up. (A) Intraoral photograph in front view; (B) intraoral photograph in upper view; (C) periapical radiography after endodontic treatment finalization, with signs of periapical bone rarefaction.
Cmtr 15 00025 g005
Figure 6. Three years and 6 months follow-up. (A) Intraoral photograph in front view; (B) intraoral photograph in upper view of lower incisors with definitive restorations; (C) periapical radiography with signs of bone formation and absence of periapical lesions.
Figure 6. Three years and 6 months follow-up. (A) Intraoral photograph in front view; (B) intraoral photograph in upper view of lower incisors with definitive restorations; (C) periapical radiography with signs of bone formation and absence of periapical lesions.
Cmtr 15 00025 g006

Share and Cite

MDPI and ACS Style

Quinto, J.H.S.; Bachesk, A.B.; Nogueira, L.C.; Filho, L.I. An Alternative Approach Using Circummandibular Wiring for Treatment of Dentoalveolar Fractures in Children: A Case Report. Craniomaxillofac. Trauma Reconstr. 2022, 15, 169-174. https://doi.org/10.1177/1943387521990283

AMA Style

Quinto JHS, Bachesk AB, Nogueira LC, Filho LI. An Alternative Approach Using Circummandibular Wiring for Treatment of Dentoalveolar Fractures in Children: A Case Report. Craniomaxillofacial Trauma & Reconstruction. 2022; 15(2):169-174. https://doi.org/10.1177/1943387521990283

Chicago/Turabian Style

Quinto, José Henrique Santana, Andressa Bolognesi Bachesk, Lucas Costa Nogueira, and Liogi Iwaki Filho. 2022. "An Alternative Approach Using Circummandibular Wiring for Treatment of Dentoalveolar Fractures in Children: A Case Report" Craniomaxillofacial Trauma & Reconstruction 15, no. 2: 169-174. https://doi.org/10.1177/1943387521990283

APA Style

Quinto, J. H. S., Bachesk, A. B., Nogueira, L. C., & Filho, L. I. (2022). An Alternative Approach Using Circummandibular Wiring for Treatment of Dentoalveolar Fractures in Children: A Case Report. Craniomaxillofacial Trauma & Reconstruction, 15(2), 169-174. https://doi.org/10.1177/1943387521990283

Article Metrics

Back to TopTop