Next Article in Journal
Management of Isolated Zygomatic Arch Fractures and a Review of External Fixation Techniques
Previous Article in Journal
Condylar Fractures: An Argument for Conservative Treatment
 
 
Craniomaxillofacial Trauma & Reconstruction is published by MDPI from Volume 18 Issue 1 (2025). Previous articles were published by another publisher in Open Access under a CC-BY (or CC-BY-NC-ND) licence, and they are hosted by MDPI on mdpi.com as a courtesy and upon agreement with Sage.
Font Type:
Arial Georgia Verdana
Font Size:
Aa Aa Aa
Line Spacing:
Column Width:
Background:
Article

Nasolacrimal Obstruction Following the Placement of Maxillofacial Hardware

by
J. Minjy Kang
1,
Evan Kalin-Hajdu
2,
Oluwatobi O. Idowu
1,
M. Reza Vagefi
1 and
Robert C. Kersten
1,*
1
Department of Ophthalmology, University of California, San Francisco, CA 94143, USA
2
Department of Ophthalmology, University of Montreal, Montreal, Quebec, Canada
*
Author to whom correspondence should be addressed.
Craniomaxillofac. Trauma Reconstr. 2020, 13(1), 32-37; https://doi.org/10.1177/1943387520906004
Submission received: 1 December 2019 / Revised: 31 December 2019 / Accepted: 1 February 2020 / Published: 20 February 2020

Abstract

:
Purpose: This article reviews cases of nasolacrimal obstruction (NLO) secondary to maxillofacial hardware placement. Methods: A retrospective review was performed at a single institution from 2012 to 2017 of patients with NLO following maxillofacial reconstruction. The study was approved by the Institutional Review Board of the University of California, San Francisco, adhered to the tenets of the Declaration of Helsinki, and was Health Insurance Portability and Accountability Act compliant. Patients were included if external dacryocystorhinostomy (DCR) confirmed previously placed maxillofacial hardware as the primary contributor to lacrimal outflow obstruction and had at least 3 months of follow-up. Results: Of 420 patients who underwent external DCR, 6 cases of implant-related NLO were identified. The mean age was 47.3 + 9.6 years and 66.7% of patients were male. All patients presented with epiphora and 50% also had chronic dacryocystitis. Patients had prior maxillofacial hardware placement for paranasal sinus tumors (66.7%) or facial fractures (33.3%). In addition to external DCR, all patients had revision or removal of implants that were impeding lacrimal outflow by 2 mechanisms: (1) an orbital implant impinging the lacrimal sac or nasolacrimal duct (NLD) and/or (2) maxillofacial screws placed into the bony NLD or nasolacrimal fossa. Five of the 6 patients (83.3%) had complete resolution of symptoms and patency of the nasolacrimal system at their last follow-up visit (range 3-30 months). Conclusion: NLO secondary to hardware placement, though infrequent, is underreported. Two mechanisms of hardware-induced NLO were encountered in this case series. Specific attention to nasolacrimal anatomy at the time of maxillofacial reconstruction may help minimize implant-induced NLO.

Introduction

Orbital and microplate fixation hardware are commonly used to obturate oculofacial defects and restore functional anatomy.[1] These defects frequently arise from trauma or neoplasm resection.[2]
Nasolacrimal obstruction (NLO) implies blockage along any location of the lacrimal system. Acquired NLO and subsequent epiphora can be caused by a variety of mechanisms including trauma, neoplasms, and inflammation.[3] Post-traumatic NLO has been reported after maxillary or naso-orbito-ethmoidal (NOE) fractures with an incidence ranging from 14% to 68.4%.[4,5,6,7,8,9] NLO in these cases has classically been attributed to bony displacement, mucosal swelling, or scarring.[3,4,5,6,7,8,9]
Epiphora also commonly follows sinonasal tumor management. Apart from the role of radiotherapy and chemotherapy in the pathogenesis of NLO in this setting, surgical removal of the lacrimal drainage system may be required for adequate tumor clearance.[10,11,12] In head and neck cancers, the incidence of orbital wall involvement ranges from 30% to 80% depending on the site of origin, histology, and aggressiveness of the neoplasm.[13,14,15] Transection of the nasolacrimal duct (NLD) is often required during maxillectomy for tumors involving the sinonasal tract, with rates of postoperative epiphora as high as 63%.[11,16] Although the pathogenesis of epiphora in nasal and paranasal sinus tumors is multifactorial, the contribution of orbital and microplate fixation hardware has rarely been reported.
To our knowledge, only 3 case reports in the English language have described NLO secondary to maxillofacial hardware which had been implanted during facial fracture repair.[17,18,19] Given limited reporting on hardware-related NLO, we aim to describe the mechanisms by which hardware can induce epiphora, as well the management of this finding in a series of consecutive patients.
Epiphora of all the patients in this series was treated via external dacryocystorhinostomy (DCR). Standard external DCR involves removal of bone from the lacrimal sac fossa (osteotomy), followed by the creation of an anastomosis between the medial wall of the lacrimal sac and nasal cavity mucosa. In this series, DCR also involved the removal of orbital hardware obstructing the passageway between the lacrimal system and nasal cavity.

Methods

A retrospective chart review was performed on all cases of external DCR procedures by authors R.C.K. and M.R.V. from June 2012 to December 2017. The study was approved by the Institutional Review Board of the University of California, San Francisco (Study number 17-22740) and adhered to the tenets of the Declaration of Helsinki. The study was conducted in full compliance with the Health Insurance Portability and Accountability Act of 1996.
Patients were included if, during DCR, previously placed orbital or microplate fixation hardware were identified as the primary contributor to NLO. Patients were excluded if follow-up was less than 3 months. Clinical notes, operative reports, and imaging of eligible patients were reviewed for demographic information, contributing factors, surgical history, and postoperative outcomes. Postsurgical success was defined as resolution of symptoms and patency of the nasolacrimal system on irrigation at the last follow-up visit.

Results

Of 420 patients who underwent external DCR during the study period, 6 cases of implant-related NLO were identified. The mean age was 47.3 + 9.6 years (range 25-80 years) and 67% of patients were male. Epiphora was present in all patients and 50% of patients also had chronic dacryocystitis. Patients had prior maxillofacial reconstruction with hardware placement for paranasal sinus tumors (67%) or facial fractures (33%). All patients with paranasal sinus tumors had partial resection or transection of the nasolacrimal system. Table 1 summarizes the baseline characteristics of the study patients. In addition to revision or removal of the obstructing implant, all patients underwent an external DCR. Two of the 6 patients had a mitomycin C (MMC) (0.5 mg/mL)-soaked cottonoid placed over the ostium for 5 minutes intraoperatively to prevent scar tissue formation. Five of the 6 patients (83%) had complete resolution of symptoms and patency of the nasolacrimal system on probing and irrigation at their last follow-up visit. The average follow-up period was 13.5 months (range 3-30 months).
The following 2 cases highlight hardware-related factors contributing to epiphora, as well surgical techniques used to address this complication.

Selected Case Descriptions

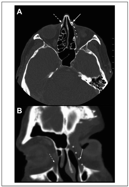
Case 1: An 80-year-old man was 4 months status-post excision of a left stage T4N0M1 fronto-ethmoidal squamous cell carcinoma (SCC) with extension into the left forehead and left medial orbit. Excision involved removal of the anterior two-thirds of the medial orbital wall up to the frontal process of maxilla, as well as the medial half of the lacrimal sac. Following wide local excision, the medial wall was reconstructed with a titanium-porous polyethylene implant (Medpor Titan, Stryker, Kalamazoo, Michigan) that spanned from the posterior edge of the medial wall defect to the frontal process of maxilla. The implant was fixated anteriorly to the frontal process of maxilla with microplate screws (Figure 1A and B). A bicanalicular Guibor intubation stent was placed through the upper and lower canaliculi and wrapped above the medial wall implant into the patient’s nasal cavity.
The patient presented to the oculoplastic clinic with chronic left-sided epiphora and purulent ocular surface discharge. The patient was diagnosed with chronic dacryocystitis and was scheduled for a left external DCR.
During external DCR, it was noted that the medial wall implant extended along the entire anteroposterior distance of the medial wall of the orbit, overlying the osteotomy created during the prior resection. The anterior third of the implant was rongeured to expose the previous osteotomy and the silicone stents were placed inferonasally through this new passage. The patient was epiphora-free 6 months postoperatively with 100% patent lacrimal system irrigation.
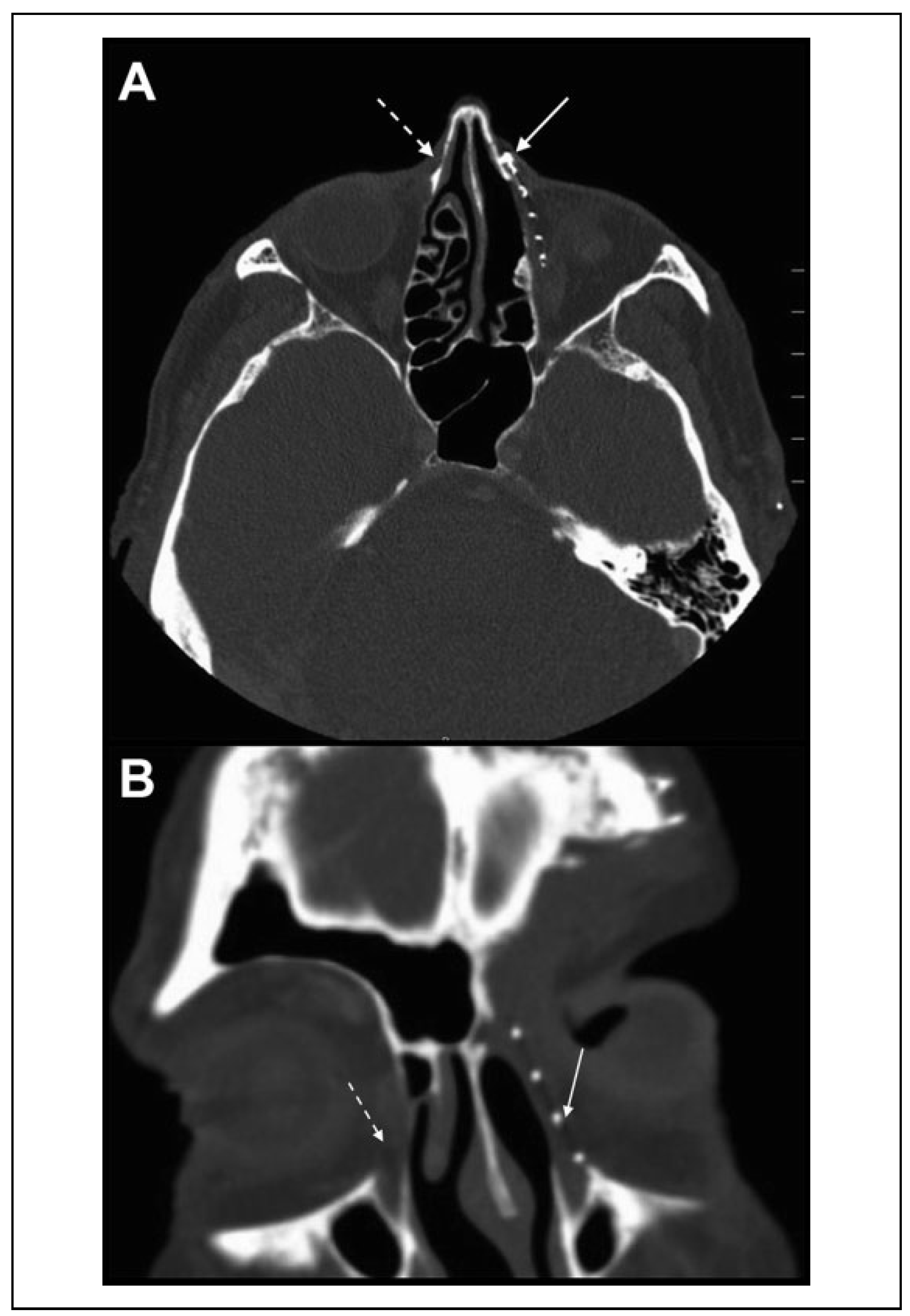
Case 4: A 29-year-old man presented with left-sided epiphora. The patient reported left-sided facial trauma 2 years prior that required reconstructive surgery. Operative reports from the prior surgeries were unavailable. On imaging, microplate fixation screws through a linear titanium implant appeared to enter the left lacrimal sac fossa (Figure 2A).
We performed an external DCR, during which screws were found to be placed through the frontal process of maxilla into the lacrimal sac fossa (Figure 2B). The titanium plate and screws were explanted and an external DCR was performed. The patient was epiphora-free 3 months postoperatively with 100% patent lacrimal system irrigation.

Discussion

Maxillofacial hardware was demonstrated as the primary cause of NLO in this series. This finding is supported by intraoperative observations, as well as the resolution of epiphora following hardware revision in 83% of patients. Hardware-induced NLO was the indication for DCR in 1.4% of all cases at our institution over a 5-year span. Given that only 3 cases of hardware-induced NLO have previously been published, this condition is likely infrequent but underreported.[17,18,19] This series highlights the need for attention to nasolacrimal anatomy during oculofacial reconstruction with the placement of orbital hardware and/or microplate fixation hardware.
Two mechanisms of hardware-induced epiphora were encountered in this series. The first mechanism (cases 1–6) was that of an orbital implant impeding communication between the inferomedial orbit and nasal cavity. In order to avoid this complication, care should be taken to place medial wall implants posterior to the posterior lacrimal crest, avoiding impingement of the lacrimal sac (Figure 3A). Similarly, orbital floor implants should be placed lateral to the lacrimal sac fossa and NLD canal (Figure 3B). When an implant spans the orbital floor and medial wall, a gap should be maintained between the anterior aspect of the implant and the frontal process of maxilla. This can be achieved by shortening the implant or by creating an effective “osteotomy” within the inferomedial aspect of the implant. Through this opening, lacrimal stents may be passed (Figure 3C). Wrapping lacrimal stents superior to a medial wall implant into the nasal cavity will not create a sufficient passage for tear drainage, as capillary action will be overcome by the force of gravity (Figure 3D). Three of the patients in the present series had prior lacrimal drainage stenting but still developed NLO (cases 1, 2, and 6). In these cases, we found that either the medial wall implant (case 1) or the orbital floor implant (cases 2 and 6) was placed anteromedial to the border of the lacrimal sac fossa, eliminating communication between the proximal portion of lacrimal drainage system and nasal cavity. Unlike the 3 previously published case reports of hardware-induced epiphora, it is less likely obstruction occurred due to migration of the implant since all implants in this series were fixated by microscrews.[17,18,19] This brings us to the second mechanism of hardware-induced NLO: the placement of microplate fixation screws through maxillary bone and into the lacrimal sac or NLD (cases 3 and 4). Figure 3E highlights areas where microplate fixation screws must be placed with caution.
In patients with a history of epiphora following oculofacial reconstruction, imaging is useful to help identify the etiology and assist in operative planning. Once hardwareinduced epiphora is recognized, the obstruction must be removed. The removal of obstructing hardware during the external DCR can be challenging in these cases. Orbital anatomy is often distorted from prior surgery and scar tissue, particularly with titanium implants that promote osseointegration, can be robust.[20,21] However, in order to successfully restore tear flow, it is imperative to create a direct pathway connecting the lacrimal system and nasal cavity. If left unaddressed, NLO can not only lead to epiphora but also to other sequelae including dacryocystitis, orbital cellulitis, and, in rare cases, loss of vision.[22,23] After an external DCR with concurrent implant revision, the success rate in this series was 83%.
The weaknesses of this study include its retrospective noncomparative design and, given the infrequent nature of implant-induced epiphora, a small sample size and limited in-person follow-up in 1 case (though the patient confirmed over the phone the resolution of her symptoms 24 months postoperatively). As mentioned previously, despite visualization of hardware misplacement, it is possible that epiphora was partially caused by mechanisms other than hardware placement. Cases 1, 2, 5, and 6 underwent radiation, chemotherapy, and postoperative scarring following primary tumor resection, all of which can contribute to the development of NLO.[12,24,25] These factors may explain the recurrence of epiphora in case 5 despite revision of orbital hardware, use of MMC during external DCR, and creation of an adequate passageway between the lacrimal sac fossa and nasal cavity. In a retrospective study of 37 patient who had undergone an external DCR following external beam radiation, ablative surgery and/or chemotherapy, 28% of patients had persistent epiphora.[26] Thus, in cases when tissue loss is severe or there has been scarring secondary to radiotherapy and/or surgery, ideal implant placement and an external DCR maximize the odds of success but do not guarantee the absence of epiphora.
To our knowledge, this is the first case series documenting maxillofacial hardware-related epiphora. In order to minimize the risk of epiphora, certain anatomical principles should be respected when reconstructing the orbit. First, preserve a direct inferonasal conduit between the lacrimal sac fossa and the nasal cavity during reconstructions. Second, avoid the placement of microplate fixation screws through maxillary bone near the lacrimal sac or NLD. When implant-related epiphora is diagnosed, implant revision in combination with DCR surgery is generally effective in reestablishing tear flow into the nasal cavity.

Authors’ Note

This article was presented as a poster at the ASOPRS 49th Annual Fall Scientific Symposium, October 25-26, 2018, Chicago, IL.

Funding

The author(s) disclosed receipt of the following financial support for the research, authorship, and/or publication of this article: This work was financially supported in part by unrestricted institutional grant from Research to Prevent Blindness.

Acknowledgments

Figure 3 created by Vincent Calabro.

Conflicts of Interest

The author(s) declared no potential conflicts of interest with respect to the research, authorship, and/or publication of this article.

References

  1. Manolidis, S.; Weeks, B.H.; Kirby, M.; Scarlett, M.; Hollier, L. Classification and surgical management of orbital fractures: Experience with 111 orbital reconstructions. J Craniofac Surg. 2002, 13, 726–737, discussion 738. [Google Scholar] [PubMed]
  2. Grob, S.R.; Yoon, M.K. Innovations in orbital surgical navigation, orbital implants, and orbital surgical training. Int Ophthalmol Clin. 2017, 57, 105–115. [Google Scholar]
  3. Ali, M.J.; Gupta, H.; Honavar, S.G.; Naik, M.N. Acquired nasolacrimal duct obstructions secondary to naso-orbito-ethmoidal fractures: Patterns and outcomes. Ophthalmic Plast Reconstr surg. 2012, 28, 242–245. [Google Scholar] [PubMed]
  4. Gruss, J.S.; Hurwitz, J.J.; Nik, N.A.; Kassel, E.E. The pattern and incidence of nasolacrimal injury in naso-orbital-ethmoid fractures: The role of delayed assessment and dacryocystorhinostomy. Br J Plast Surg. 1985, 38, 116–121. [Google Scholar] [PubMed]
  5. Becelli, R.; Renzi, G.; Mannino, G.; Cerulli, G.; Iannetti, G. Posttraumatic obstruction of lacrimal pathways: A retrospective analysis of 58 consecutive naso-orbitoethmoid fractures. J Craniofac Surg. 2004, 15, 29–33. [Google Scholar]
  6. Uraloglu, M.; Erkin Unlu, R.; Ortak, T.; Sensoz, O. Delayed assessment of the nasolacrimal system at naso-orbitoethmoid fractures and a modified technique of dacryocystorhinostomy. J Craniofac Surg. 2006, 17, 184–189. [Google Scholar]
  7. Stranc, M.F. The pattern of lacrimal injuries in naso-ethmoid fractures. Br J Plast Surg. 1970, 23, 339–346. [Google Scholar]
  8. Cruse, C.W.; Blevins, P.K.; Luce, E.A. Naso-ethmoid-orbital fractures. J Trauma. 1980, 20, 551–556. [Google Scholar]
  9. Zolli, C.L.; Shannon, G.M. Dacryocystorhinostomy: A review of 119 cases. Ophthalmic Surg. 1982, 13, 905–910. [Google Scholar]
  10. Glatt, H.J.; Chan, A.C. Lacrimal obstruction after medial maxillectomy. Ophthalmic Surg. 1991, 22, 757–758. [Google Scholar]
  11. Smith, B.; Lisman, R.D.; Baker, D. Eyelid and orbital treatment following radical maxillectomy. Ophthalmology. 1984, 91, 218–228. [Google Scholar] [PubMed]
  12. Diba, R.; Saadati, H.; Esmaeli, B. Outcomes of dacryocystorhinostomy in patients with head and neck tumors. Head Neck. 2005, 27, 72–75. [Google Scholar] [PubMed]
  13. Suarez, C.; Ferlito, A.; Lund, V.J.; et al. Management of the orbit in malignant sinonasal tumors. Head Neck. 2008, 30, 242–250. [Google Scholar] [PubMed]
  14. Iannetti, G.; Valentini, V.; Rinna, C.; Ventucci, E.; Marianetti, T.M. Ethmoido-orbital tumors: Our experience. J Craniofac Surg. 2005, 16, 1085–1091. [Google Scholar]
  15. Ganly, I.; Patel, S.G.; Singh, B.; et al. Craniofacial resection for malignant paranasal sinus tumors: Report of an international collaborative study. Head Neck. 2005, 27, 575–584. [Google Scholar]
  16. Andersen, P.E.; Kraus, D.H.; Arbit, E.; Shah, J.P. Management of the orbit during anterior fossa craniofacial resection. Arch Otolaryngol Head Neck Surg. 1996, 122, 1305–1307. [Google Scholar]
  17. Kohn, R.; Romano, P.E.; Puklin, J.E. Lacrimal obstruction after migration of orbital floor implant. Am J ophthalmol. 1976, 82, 934–936. [Google Scholar]
  18. Mauriello, J., Jr.; Fiore, P.M.; Dacryocystitis, K.M. Late complication of orbital floor fracture repair with implant. Ophthalmology. 1987, 94, 248–250. [Google Scholar]
  19. Chon, B.H.; Zhang, R.; Bardenstein, D.S.; Coffey, M.; Collins, A.C. Bloody epiphora (hemolacria) years after repair of orbital floor fracture. Ophthalmic Plastic Reconstr Surg. 2017, 33, e118–e120. [Google Scholar]
  20. Gilardino, M.S.; Chen, E.; Bartlett, S.P. Choice of internal rigid fixation materials in the treatment of facial fractures. Craniomaxillofac Trauma Reconstr. 2009, 2, 49–60. [Google Scholar]
  21. Boyette, J.R.; Pemberton, J.D.; Bonilla-Velez, J. Management of orbital fractures: Challenges and solutions. Clin Ophthalmol (Auckland, NZ). 2015, 9, 2127–2137. [Google Scholar]
  22. Kalin-Hajdu, E.; Cadet, N.; Boulos, P.R. Controversies of the lacrimal system. Surv Ophthalmol. 2016, 61, 309–313. [Google Scholar] [PubMed]
  23. Kikkawa, D.O.; Heinz, G.W.; Martin, R.T.; Nunery, W.N.; Eiseman, A.S. Orbital cellulitis and abscess secondary to dacryocystitis. Arch Ophthalmol. 2002, 120, 1096–1099. [Google Scholar]
  24. Nakissa, N.; Rubin, P.; Strohl, R.; Keys, H. Ocular and orbital complications following radiation therapy of paranasal sinus malignancies and review of literature. Cancer. 1983, 51, 980–986. [Google Scholar] [PubMed]
  25. Gordon, K.B.; Char, D.H.; Sagerman, R.H. Late effects of radiation on the eye and ocular adnexa. Int J Radiat Oncol Biol Phys. 1995, 31, 1123–1139. [Google Scholar]
  26. El-Sawy, T.; Ali, R.; Nasser, Q.J.; Esmaeli, B. Outcomes of dacryocystorhinostomy in patients with head and neck cancer treated with high-dose radiation therapy. Ophthalmic Plast Reconstr Surg. 2012, 28, 196–198. [Google Scholar]
Figure 1. Case 1: CT scan of the orbit on axial (A) and coronal. (B) cuts showing an orbital implant (solid arrow) overlying the post-tumor resection osteotomy. The unobstructed lacrimal sac fossa is seen on the contralateral side (dashed arrow). CT indicates computed tomography.
Figure 1. Case 1: CT scan of the orbit on axial (A) and coronal. (B) cuts showing an orbital implant (solid arrow) overlying the post-tumor resection osteotomy. The unobstructed lacrimal sac fossa is seen on the contralateral side (dashed arrow). CT indicates computed tomography.
Cmtr 13 00006 g001
Figure 2. Case 4: Volume rendering of the CT orbit (A) shows a screw (black arrow) going through the lacrimal sac fossa. An image taking intraoperatively (B) also demonstrates the screw entering the lacrimal sac fossa. CT indicates computed tomography.
Figure 2. Case 4: Volume rendering of the CT orbit (A) shows a screw (black arrow) going through the lacrimal sac fossa. An image taking intraoperatively (B) also demonstrates the screw entering the lacrimal sac fossa. CT indicates computed tomography.
Cmtr 13 00006 g002
Figure 3. A, Proper placement of a medial wall implant following tumor resection. The medial wall defect is covered by an implant whose anterior edge (arrow) is at the original position of the posterior lacrimal crest. A gap remains between the anterior edge of the implant and the orbital rim. B, Proper placement of an orbital floor implant, lateral to the nasolacrimal duct canal (arrow). C, Proper placement of an orbital floor-medial wall implant following tumor resection. The implant contains an inferomedial gap through which stents can be placed. D, Incorrect placement of an orbital medial wall implant following tumor resection. No inferomedial gap is maintained and a stent is guided over the top of the implant which will not create a sufficient conduit for tear drainage as gravity will overcome capillary action. E, The red shaded zone highlights areas of the maxillary bone through which screws should not be placed as this could obstruct either the nasolacrimal sac or duct (arrow).
Figure 3. A, Proper placement of a medial wall implant following tumor resection. The medial wall defect is covered by an implant whose anterior edge (arrow) is at the original position of the posterior lacrimal crest. A gap remains between the anterior edge of the implant and the orbital rim. B, Proper placement of an orbital floor implant, lateral to the nasolacrimal duct canal (arrow). C, Proper placement of an orbital floor-medial wall implant following tumor resection. The implant contains an inferomedial gap through which stents can be placed. D, Incorrect placement of an orbital medial wall implant following tumor resection. No inferomedial gap is maintained and a stent is guided over the top of the implant which will not create a sufficient conduit for tear drainage as gravity will overcome capillary action. E, The red shaded zone highlights areas of the maxillary bone through which screws should not be placed as this could obstruct either the nasolacrimal sac or duct (arrow).
Cmtr 13 00006 g003
Table 1. Demographic and Clinical Characteristics.
Table 1. Demographic and Clinical Characteristics.
Cmtr 13 00006 i001

Share and Cite

MDPI and ACS Style

Kang, J.M.; Kalin-Hajdu, E.; Idowu, O.O.; Vagefi, M.R.; Kersten, R.C. Nasolacrimal Obstruction Following the Placement of Maxillofacial Hardware. Craniomaxillofac. Trauma Reconstr. 2020, 13, 32-37. https://doi.org/10.1177/1943387520906004

AMA Style

Kang JM, Kalin-Hajdu E, Idowu OO, Vagefi MR, Kersten RC. Nasolacrimal Obstruction Following the Placement of Maxillofacial Hardware. Craniomaxillofacial Trauma & Reconstruction. 2020; 13(1):32-37. https://doi.org/10.1177/1943387520906004

Chicago/Turabian Style

Kang, J. Minjy, Evan Kalin-Hajdu, Oluwatobi O. Idowu, M. Reza Vagefi, and Robert C. Kersten. 2020. "Nasolacrimal Obstruction Following the Placement of Maxillofacial Hardware" Craniomaxillofacial Trauma & Reconstruction 13, no. 1: 32-37. https://doi.org/10.1177/1943387520906004

APA Style

Kang, J. M., Kalin-Hajdu, E., Idowu, O. O., Vagefi, M. R., & Kersten, R. C. (2020). Nasolacrimal Obstruction Following the Placement of Maxillofacial Hardware. Craniomaxillofacial Trauma & Reconstruction, 13(1), 32-37. https://doi.org/10.1177/1943387520906004

Article Metrics

Back to TopTop