Next Article in Journal
Robot-Assisted Surgery Avoids Mandibulotomy in a Case of Adenoid Cystic Carcinoma of Base of the Tongue
Previous Article in Journal
Autologous Reconstruction of a Face Transplant Candidate
 
 
Craniomaxillofacial Trauma & Reconstruction is published by MDPI from Volume 18 Issue 1 (2025). Previous articles were published by another publisher in Open Access under a CC-BY (or CC-BY-NC-ND) licence, and they are hosted by MDPI on mdpi.com as a courtesy and upon agreement with Sage.
Font Type:
Arial Georgia Verdana
Font Size:
Aa Aa Aa
Line Spacing:
Column Width:
Background:
Case Report

Virtual Surgical Planning and Hardware Fabrication Prior to Open Reduction and Internal Fixation of Atrophic Edentulous Mandible Fractures

by
Karl Daniel Maloney
1,2,* and
Torin Rutner
1
1
Department of Oral and Maxillofacial Surgery, Morristown Medical Center, Morristown, NJ, USA
2
Branchburg Oral, Maxillofacial and Implant Surgery, 3322 Route 22W., Suite 1207, Branchburg, NJ 08876, USA
*
Author to whom correspondence should be addressed.
Craniomaxillofac. Trauma Reconstr. 2019, 12(2), 156-162; https://doi.org/10.1055/s-0039-1677723
Submission received: 8 August 2018 / Revised: 1 December 2018 / Accepted: 4 December 2018 / Published: 8 February 2019

Abstract

:
Mandibular fractures are a common injury encountered by facial trauma surgeons. A majority of these cases are in dentate patients and can predictably be treated with several different open or closed techniques. Edentulous mandible fractures can be challenging as maxillomandibular fixation, either as the sole treatment or used for fracture reduction and stabilization prior to internal fixation, is not possible. The atrophic edentulous mandible fracture poses an even greater challenge, as there is more sclerotic bone present and less bone volume for bony contact, both of which can impair healing. In addition, with less bone mass, available plate adaptation and fixation are difficult. In recent years, virtual surgical planning (VSP) has been increasingly used in craniofacial and maxillofacial surgeries as well as in dentistry. Utilizing VSP to fabricate the necessary hardware prior to open reduction and internal fixation of atrophic edentulous mandible fractures can be helpful in treating these cases. Two cases where this method was used are presented.

With improvements in software and more readily available 3-day imaging, virtual surgical planning (VSP) is being more commonly used in oral and maxillofacial surgeries. This includes orthognathic surgery,[1] maxillary and mandibular reconstruction with microvascular free flaps,[2,3] total temporomandibular joint reconstruction,[4,5] craniofacial surgery,[6] mandibular fracture repair,[7] and placement of dental implants.[8]
Surgical management of atrophic edentulous mandible fractures is one of the most challenging facial bone fractures to treat. Healing is often compromised due to the sclerotic quality of the bone, minimal bony contact at fracture sites, and decreased blood supply.[9,10,11] Because of this, some have recommended autogenous bone grafting or using bone morphogenetic protein (BMP) at the time of fracture treatment to encourage bony union.[12,13,14] With minimal bone volume and strength available, load-bearing rigid internal fixation is necessary for reconstruction.[14,15] The reduction and stabilization can be quite challenging as a heavy reconstruction plate is required; however, there is minimal bone available for plate adaptation and screw fixation. In addition, without maxillomandibular fixation being possible, fracture reduction and stabilization during fixation can be challenging. We have found that VSP prior to surgery can be valuable in treating these patients. Plate adaptation can be accomplished prior to surgery and can be used to aid in reduction of fractures at the time of surgery.

Case Presentation

We present two cases of elderly patients with multiple comorbidities that were successfully treated with mandibular reconstruction plates fabricated prior to surgery using VSP.

Case 1

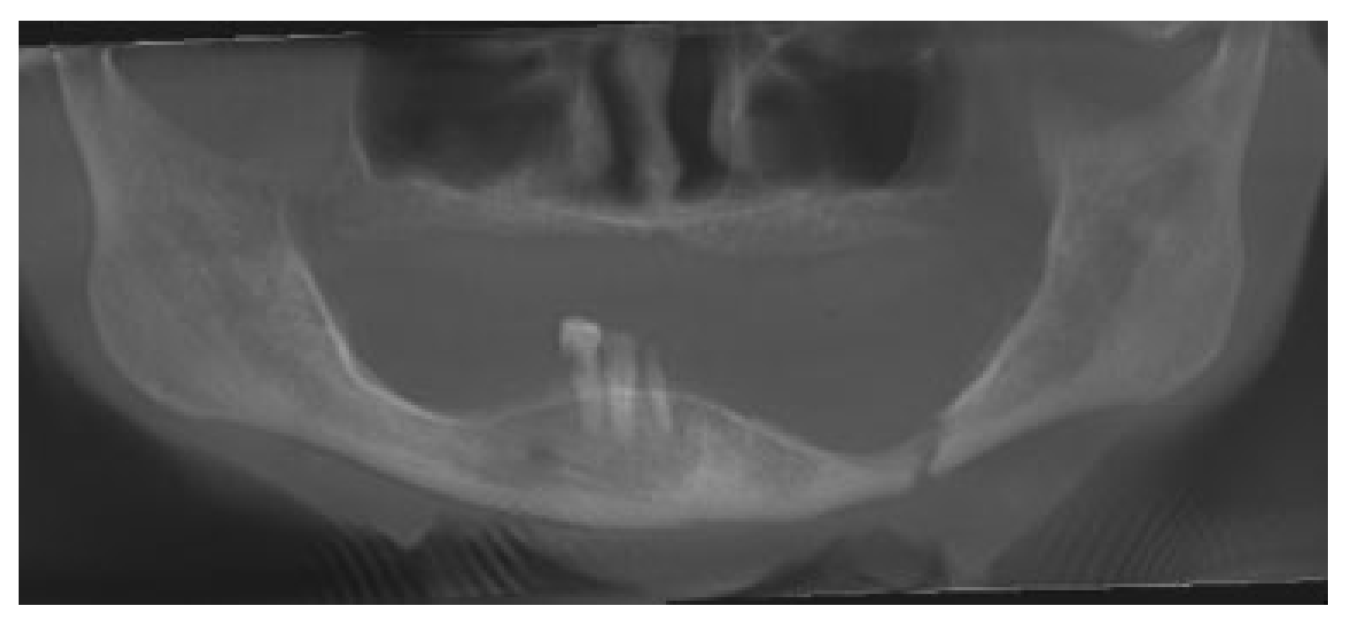
A 69-year-old woman had a fall 1 week prior to presentation while walking with her dog. She experienced worsening face and jaw pain and eventually presented to her primary medical doctor who ordered plain films and diagnosed her with a mandible fracture. She then self-referred herself to the authors for evaluation. Her past medical history was significant for chronic obstructive pulmonary disorder, hypothyroidism, hypercholesterolemia, anxiety, and depression. She stated that she recently quit smoking. Her dental history was significant for extraction of all upper and all lower teeth when she was in her 20s. On examination, she had moderate bruising of her neck bilaterally and submental area. Her intraoral mucosa was intact. A cone beam computed tomography (CBCT) was performed which showed bilateral mandibular body fractures as well as severe atrophy of the mandible, with the height of the mandible less than 4 mm at the fracture sites (Figure 1). Utilizing the DICOM data from the CBCT VSP was used utilizing Depuy Synthes/Materialise PROPLAN CMF. A 3-d image of the fractured mandible was constructed and the fracture was virtually reduced (Figure 2 and Figure 3). Stereolithographic models of the fractured and reduced mandible were fabricated and a bending template was adapted over the reduced mandible model and a 2.5 reconstruction plate was subsequently bent according to the template/model (Figure 4).
An extended submandibular approach was used and the mandible was exposed from angle to angle. The prebent plate was utilized to aid in the alignment of the segments and multiple bicortical locking screws were used (Figure 5). Multiple small fragments of bone were removed, the fracture sites were then debrided, and allograft (DBX Demineralized Bone Matrix–Musculoskeletal Transplant Foundation, Edison, NJ) was placed into the fracture sites. Layered closure was then performed (Figure 6). A postoperative panoramic radiograph showed good reduction of the fractures, intact hardware, and good plate adaptation (Figure 7). The patient was discharged on postoperative day 1. She was seen at 2 weeks and 6 months postoperatively and her injury healed well without complications.

Case 2

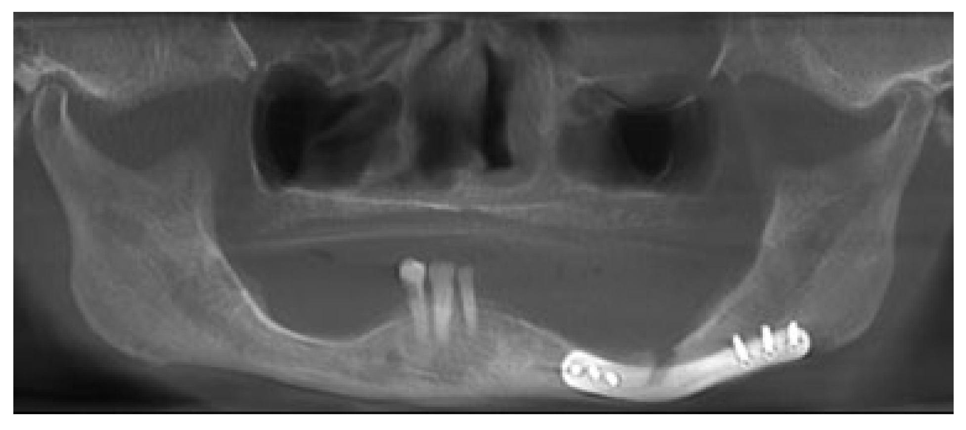
An 81-year-old woman had a fall and was diagnosed with a nondisplaced left mandible fracture. She was unsuccessfully treated with a soft diet by another oral and maxillofacial surgeon and upon repeat imaging had displacement of her fracture. She was then referred to the authors for management of her injury. Her past medical history was significant for systemiclupus erythematosus (SLE), nephritis, and a right lung mass, for which she refused workup. A CBCT was taken which showed a displaced fracture of the left mandibular body (Figure 8). VSP was again arranged using PRO PLAN. The fracture was virtually reduced and a patient-specific 2.0 mm reconstruction plate was fabricated (Figure 9, Figure 10 and Figure 11). The patient was taken to operating room and a submandibular approach was used for exposure of the left mandible. The reconstruction plate was applied after reduction and debridement of the fracture site and secured with bicortical locking screws (Figure 12). The incision was closed in layered fashion. The patient was discharged home the same day. A postoperative panoramic radiograph showed adequate reduction of the fracture (Figure 13). She went on to heal well without complication and was last seen at 6 months postsurgery.

Discussion

In the authors’ opinion, the advantage of using VSP prior to open reduction and internal fixation (ORIF) of edentulous atrophic mandible fractures is twofold. The first being the reduction in surgical time and duration of general anesthesia, as these patients are often elderly with multiple comorbidities and are at higher risk for complications related to general anesthesia.[16] The second being the more precise adaptation of the hardware to the bony topography of the mandible versus when plate adaptation is performed intraoperatively.
Prior to Luhr et al.’s classification of atrophic mandible fractures in 96, there was no standardization for what was considered an atrophic fracture and all edentulous fractures may have been considered atrophic.[11] He classified atrophic edentulous fractures according to bone height at the fracture sites, where class I was 16 to 20 mm, class II 11 to 15 mm, and class III less than 10 mm.[11] Wittwer et al. recommended that the more atrophic the mandible, the greater rigidity that should be used for fixation with regard to class II and class III fractures and noted an increase in complications with fractures in class III mandibles.[17]
Much controversy has existed for years in terms of whether ORIF (open techniques) or closed reduction (closed techniques) was the more appropriate and predictable treatment for these fractures. Many modalities have been successfully used to treat edentulous mandible fractures such asgunning splints, wires, external fixation, and miniplates.[18,19,20] Closed techniques were preferred by some in the past with the rationale being the maintenance of blood supply to the fractures, which was thought to be compromised with open techniques.[9,10,21] However, many now recommend ORIF as the preferred technique in treating atrophic edentulous mandible fractures, with the load-bearing locking reconstruction plate being the most appropriate implant.[11,21,22]
As with most other fractures, good anatomic reduction and rigid fixation is required, this is especially crucial with atrophic edentulous mandible fractures as these have a high incidence of osteomyelitis and nonunion.[23,24,25] A 20% incidence of nonunion has been reported in treating these types of fractures according to Bruce and Strachan.[23] However, Bruce and Ellis reported a decrease to 12.6% years later.[24] Because of the high nonunion rate, some have advocated grafting of autogenous bone or bone morphogenic protein at the time of reconstruction to more predictably achieve a bony union.[12,14,26] Tiwana et al. recommended autogenous bone grafting at the time of surgery to encourage bony union and state that autogenous grafting leaves little chance of nonunion or malunion and if patients desire they can receive dental implants.[12] Castro-Núñez et al. reported two cases in which bone morphogenic proteins with tricalcium phosphate were used at the time of surgery in cases where autogenous bone harvesting was not possible.[13] Van Sickels and Cunningham have reported on using a reconstruction plate only at the inferior border of the mandible in class III and class II patients and one case of a class III with less than 5 mm of bone treated with the inferior border reconstruction plate and the addition of bone morphogenic protein for its osteogenic activity.[14]
There are no randomized controlled studies to determine the most appropriate method to treat atrophic edentulous mandible fractures. Future research can investigate the difference in surgical time of utilizing VSP versus plate bending intraoperatively. In addition, a cost analysis of the two methods should be performed. Randomized studies are also needed to determine if autogenous grafting, allograft, or BMP increases the incidence of union versus rigid fixation alone. The literature is limited to case reports [12,13,14,21,26] and different surgeons’ protocols on what is the best treatment; however, no controlled randomized studies exist where all variables are controlled for.
The two cases illustrate how VSP prior to ORIF of edentulous atrophic mandible fractures can be a helpful tool. Both cases are Luhr class III. In the first case, a patient-specific custom plate was not utilized since the authors felt that the production time necessary was not worth waiting when a prebent plate could be prepared in less time and had similar benefits as the patient specific milled plate. In the second case, the patient had to undergo medical evaluation prior to surgery so the time necessary for the patient-specific plate production was not a factor. Both patients went on to heal well without complications. Both cases illustrate the benefit of using VSP preoperatively and having the hardware immediately available at the time of exposure of the fractures and can be considered in the preoperative workup of atrophic edentulous mandible fractures.

Conflicts of Interest

None.

References

  1. Farrell, B.B. Virtual surgical planning for intraoperative efficiency and accuracy with orthognathic surgery. J Oral Maxillofac Surg 2014, 72, e49–e50. [Google Scholar]
  2. Wang, Y.Y.; Fan, S.; Zhang, H.Q.; Lin, Z.Y.; Ye, J.T.; Li, J.S. Virtual surgical planning in precise maxillary reconstruction with vascularized fibular graft after tumor ablation. J Oral Maxillofac Surg 2016, 74, 1255–1264. [Google Scholar]
  3. Roser, S.M.; Ramachandra, S.; Blair, H.; et al. The accuracy of virtual surgical planning in free fibula mandibular reconstruction: Comparison of planned and final results. J Oral Maxillofac Surg 2010, 68, 2824–2832. [Google Scholar]
  4. Choi, C.C.; Nale, J.C.; et al. Virtual surgical planning for custom TMJ prosthetic joint replacement with simultaneous orthognathic surgery. J Oral Maxillofac Surg 2013, 71, e27–e28. [Google Scholar]
  5. Li, Y.; Jiang, Y.; Ye, B.; Hu, J.; Chen, Q.; Zhu, S. Treatment of dentofacial deformities secondary to osteochondroma of the mandibular condyle using virtual surgical planning and 3-dimensional printed surgical templates. J Oral Maxillofac Surg 2016, 74, 349–368. [Google Scholar]
  6. Steinbacher, D.M. Three-dimensional analysis and surgical planning in craniomaxillofacial surgery. J Oral Maxillofac Surg 2015, 73 (Suppl. 12), S40–S56. [Google Scholar]
  7. Kupfer, P.; Saadat, N.; et al. Open reduction and internal fixation of bilateral atrophic mandible fractures utilizing virtual surgical planning, custom cutting guides and reconstruction plate. A case report. J. Oral Maxillofac Surg 2016, 74, e89. [Google Scholar]
  8. Orentlicher, G.; Goldsmith, D.; Horowitz, A. Applications of 3-dimensional virtual computerized tomography technology in oral and maxillofacial surgery: Current therapy. J Oral Maxillofac Surg 2010, 68, 1933–1959. [Google Scholar]
  9. Bradley, J.C. Age changes in the vascular supply of the mandible. Br Dent J 1972, 132, 142–144. [Google Scholar]
  10. Bradley, J.C. A radiological investigation into the age changes of the inferior dental artery. Br J Oral Surg 1975, 13, 82–90. [Google Scholar]
  11. Luhr, H.G.; Reidick, T.; Merten, H.A. Results of treatment of fractures of the atrophic edentulous mandible by compression plating: A retrospective evaluation of 84 consecutive cases. J Oral Maxillofac Surg 1996, 54, 250–254, discussion 254–255. [Google Scholar] [CrossRef]
  12. Tiwana, P.S.; Abraham, M.S.; Kushner, G.M.; Alpert, B. Management of atrophic edentulous mandibular fractures: The case for primary reconstruction with immediate bone grafting. J Oral Maxillofac Surg 2009, 67, 882–887. [Google Scholar] [CrossRef]
  13. Castro-Núñez, J.; Cunningham, L.L.; Van Sickels, J.E. Atrophic mandible fractures: Are bone grafts necessary? An update. J Oral Maxillofac Surg 2017, 75, 2391–2398. [Google Scholar]
  14. Van Sickels, J.E.; Cunningham, L.L. Management of atrophic mandible fractures: Are bone grafts necessary? J Oral Maxillofac Surg 2010, 68, 1392–1395. [Google Scholar] [CrossRef]
  15. Schilli, W.; Stoll, P.; Bähr, W.; et al. Mandibular fractures. In Manual of Internal Fixation in the Cranio-Facial Skeleton: Techniques Recommended by the AO/ASIF Maxillofacial Group; Prein, J., Ed.; Springer: New York, NY, USA, 1998; p. 87. [Google Scholar]
  16. Scott, R.F. Oral and maxillofacial trauma in the geriatric patient. In Oral and Maxillofacial Trauma, 2nd ed.; Fonseca, R.J., Walker, R.V., Eds.; Saunders: Philadelphia, PA, USA, 1997; pp. 1045–1072. [Google Scholar]
  17. Wittwer, G.; Adeyemo, W.L.; Turhani, D.; Ploder, O. Treatment of atrophic mandibular fractures based on the degree of atrophy– experience with different plating systems: A retrospective study. J Oral Maxillofac Surg 2006, 64, 230–234. [Google Scholar] [CrossRef]
  18. Thoma, K.H. New methods for immobilization of the mandible. Oral Surg Oral Med Oral Pathol 1948, 1, 98–107. [Google Scholar]
  19. Mallett, S.P. Surgical reduction of multiple fractures in edentulous mandible: Report of case. J Oral Surg (Chic) 1956, 14, 155–158. [Google Scholar]
  20. Frost, D.; Tucker, M.; White, R. Small plate fixation for fixation of mandibular fractures. In Rigid Fixation in Maxillofacial Surgery; Tucker, M.R., Terry, B.C., White, R.P., et al., Eds.; Lippincott: Philadelphia, PA, USA, 1991; pp. 104–121. [Google Scholar]
  21. Ellis, E., III; Price, C. Treatment protocol for fractures of the atrophic mandible. J Oral Maxillofac Surg 2008, 66, 421–435. [Google Scholar] [CrossRef]
  22. Kunz, C.; Hammer, B.; Prein, J. Fractures of the edentulous atrophic mandible. Fracture management and complications[in German]. Mund Kiefer Gesichtschir 2001, 5, 227–232. [Google Scholar] [CrossRef]
  23. Levine, P.A. AO compression plating technique for treating fractures of the edentulous mandible. Otolaryngol Clin North Am 1987, 20, 457–477. [Google Scholar] [CrossRef]
  24. Bruce, R.A.; Strachan, D.S. Fractures of the edentulous mandible: The Chalmer, J. Lyons Academy study. J Oral Surg 1976, 34, 973–979. [Google Scholar] [CrossRef] [PubMed]
  25. Bruce, R.A.; Ellis, E., III. The second Chalmers, J. Lyons Academy study of fractures of the edentulous mandible. J Oral Maxillofac Surg 1993, 51, 904–911. [Google Scholar] [CrossRef]
  26. Batbayar, E.-O.; Bos, R.R.M.; van Minnen, B. A treatment protocol for fractures of the edentulous mandible. J Oral Maxillofac Surg 2018, 76, 2151–2160. [Google Scholar]
Figure 1. Cone beam computed tomography reconstruction showing atrophic mandible with bilateral body fractures.
Figure 1. Cone beam computed tomography reconstruction showing atrophic mandible with bilateral body fractures.
Cmtr 12 00023 g001
Figure 2. PROPLAN workup showing 3-d reconstruction of fractured mandible.
Figure 2. PROPLAN workup showing 3-d reconstruction of fractured mandible.
Cmtr 12 00023 g002
Figure 3. PROPLAN workup showing reduced mandible fractures.
Figure 3. PROPLAN workup showing reduced mandible fractures.
Cmtr 12 00023 g003
Figure 4. Bending template adapted over stereolithographic model of reduced mandible.
Figure 4. Bending template adapted over stereolithographic model of reduced mandible.
Cmtr 12 00023 g004
Figure 5. Intraoperative photo of prebent hardware fixation.
Figure 5. Intraoperative photo of prebent hardware fixation.
Cmtr 12 00023 g005
Figure 6. Intraoperative photo of closed neck incision.
Figure 6. Intraoperative photo of closed neck incision.
Cmtr 12 00023 g006
Figure 7. Postoperative panoramic radiograph post open reduction and internal fixation of mandible fracture. Fracture is reduced well, and hardware is intact with excellent adaptation.
Figure 7. Postoperative panoramic radiograph post open reduction and internal fixation of mandible fracture. Fracture is reduced well, and hardware is intact with excellent adaptation.
Cmtr 12 00023 g007
Figure 8. Case 2 after unsuccessful treatment of left atrophic mandible fracture with soft diet.
Figure 8. Case 2 after unsuccessful treatment of left atrophic mandible fracture with soft diet.
Cmtr 12 00023 g008
Figure 9. PROPLAN 3-day reconstruction of mandible fracture.
Figure 9. PROPLAN 3-day reconstruction of mandible fracture.
Cmtr 12 00023 g009
Figure 10. PROPLAN 3-day reconstruction after reduction of fracture.
Figure 10. PROPLAN 3-day reconstruction after reduction of fracture.
Cmtr 12 00023 g010
Figure 11. Virtual surgical planning of patient-specific reconstruction plate.
Figure 11. Virtual surgical planning of patient-specific reconstruction plate.
Cmtr 12 00023 g011
Figure 12. Intraoperative photo of fixated patient-specific reconstruction plate.
Figure 12. Intraoperative photo of fixated patient-specific reconstruction plate.
Cmtr 12 00023 g012
Figure 13. Postoperative cone beam computed tomography reconstruction showing good adaptation of hardware and fracture reduction.
Figure 13. Postoperative cone beam computed tomography reconstruction showing good adaptation of hardware and fracture reduction.
Cmtr 12 00023 g013
Disclaimer/Publisher’s Note: The statements, opinions and data contained in all publications are solely those of the individual author(s) and contributor(s) and not of MDPI and/or the editor(s). MDPI and/or the editor(s) disclaim responsibility for any injury to people or property resulting from any ideas, methods, instructions or products referred to in the content.

Share and Cite

MDPI and ACS Style

Maloney, K.D.; Rutner, T. Virtual Surgical Planning and Hardware Fabrication Prior to Open Reduction and Internal Fixation of Atrophic Edentulous Mandible Fractures. Craniomaxillofac. Trauma Reconstr. 2019, 12, 156-162. https://doi.org/10.1055/s-0039-1677723

AMA Style

Maloney KD, Rutner T. Virtual Surgical Planning and Hardware Fabrication Prior to Open Reduction and Internal Fixation of Atrophic Edentulous Mandible Fractures. Craniomaxillofacial Trauma & Reconstruction. 2019; 12(2):156-162. https://doi.org/10.1055/s-0039-1677723

Chicago/Turabian Style

Maloney, Karl Daniel, and Torin Rutner. 2019. "Virtual Surgical Planning and Hardware Fabrication Prior to Open Reduction and Internal Fixation of Atrophic Edentulous Mandible Fractures" Craniomaxillofacial Trauma & Reconstruction 12, no. 2: 156-162. https://doi.org/10.1055/s-0039-1677723

APA Style

Maloney, K. D., & Rutner, T. (2019). Virtual Surgical Planning and Hardware Fabrication Prior to Open Reduction and Internal Fixation of Atrophic Edentulous Mandible Fractures. Craniomaxillofacial Trauma & Reconstruction, 12(2), 156-162. https://doi.org/10.1055/s-0039-1677723

Article Metrics

Back to TopTop