Acute Hyponasality (Closed Rhinolalia) and Craniomaxillofacial Fracture Suggest the Coexistence of Retropharyngeal Emphysema and Pneumomediastinum
Abstract
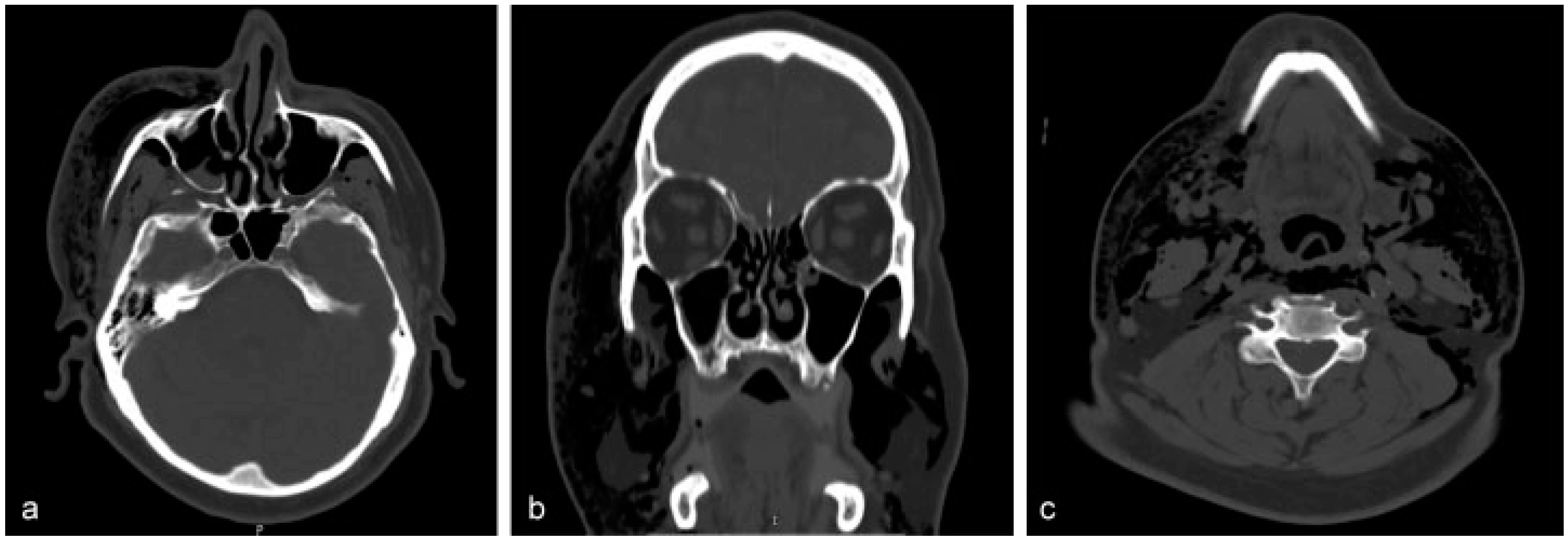
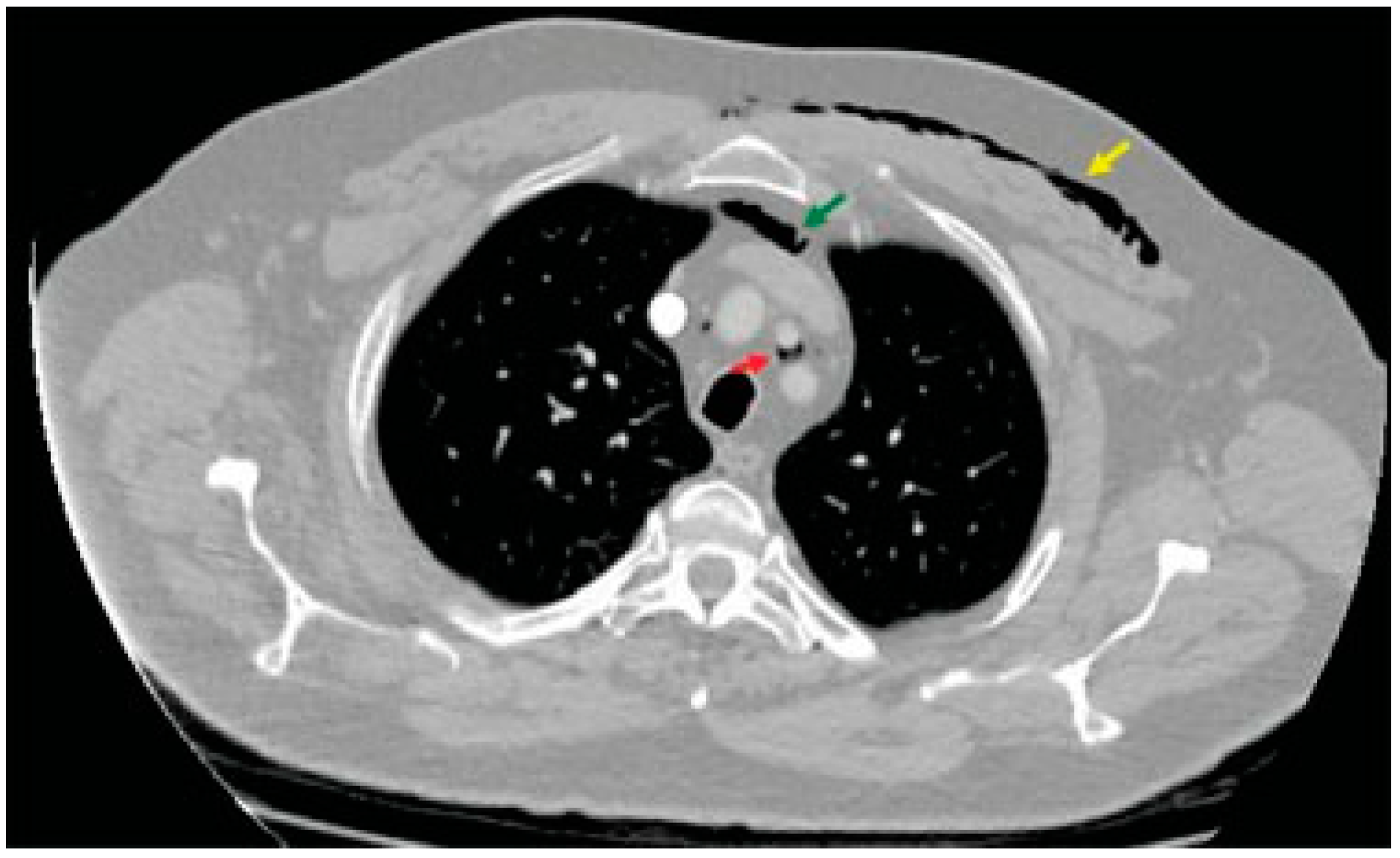
Case Report
Discussion
Conclusion
Note
Conflicts of Interest
References
- Minton, G.; Tu, H.K. Pneumomediastinum, pneumothorax, and cervical emphysema following mandibular fractures. Oral Surg Oral Med Oral Pathol 1984, 57, 490–493. [Google Scholar] [CrossRef] [PubMed]
- Demers, G.; Camp, J.L.; Bennett, D. Pneumomediastinum caused by isolated oral-facial trauma. Am J Emerg Med 2011, 29, 841.e3–841.e8. [Google Scholar] [CrossRef]
- Procacci, P.; Zanette, G.; Nocini, P.F. Blunt maxillary fracture and cheek bite: Two rare causes of traumatic pneumomediastinum. Oral Maxillofac Surg 2016, 20, 91–96. [Google Scholar] [CrossRef]
- Baumann, M.H.; Sahn, S.A. Hamman’s sign revisited. Pneumothorax or pneumomediastinum? Chest 1992, 102, 1281–1282. [Google Scholar] [CrossRef]
- Bickley, J. Hamman syndrome. Br J Hosp Med 2016, 77, 191. [Google Scholar] [CrossRef] [PubMed]
- Caceres, M.; Ali, S.Z.; Braud, R.; Weiman, D.; Garrett, H.E., Jr. Spontaneous pneumomediastinum: A comparative study and review of the literature. Ann Thorac Surg 2008, 86, 962–966. [Google Scholar] [CrossRef] [PubMed]
- Bejvan, S.M.; Godwin, J.D. Pneumomediastinum: Old signs and new signs. AJR Am J Roentgenol 1996, 166, 1041–1048. [Google Scholar] [CrossRef]
- Yılmaz, F.; Çiftçi, O.; Özlem, M.; Komut, E.; Altunbilek, E. Subcutaneous emphysema, pneumo-orbita and pneumomediastinum following a facial trauma caused by a high-pressure car washer. Ulus Travma Acil Cerrahi Derg 2014, 20, 147–150. [Google Scholar] [CrossRef]
- Loretan, S.; Scolozzi, P. Pneumomediastinum secondary to isolated orbital floor fracture. J Craniofac Surg 2011, 22, 1502–1503. [Google Scholar] [CrossRef]
- Koullias, G.J.; Korkolis, D.P.; Wang, X.J.; Hammond, G.L. Current assessment and management of spontaneous pneumomediastinum: Experience in 24 adult patients. Eur J Cardiothorac Surg 2004, 25, 852–855. [Google Scholar] [CrossRef]
- Braverman, I.; Rosenmann, E.; Elidan, J. Closed rhinolalia as a symptom of pneumomediastinum after tonsillectomy: A case report and literature review. Otolaryngol Head Neck Surg 1997, 116, 551–553. [Google Scholar] [CrossRef] [PubMed]
- Braverman, I.; Vromen, A.; Shapira, M.Y.; Freund, H.R. Hyponasality caused by retronasopharyngeal air as a symptom of pneumomediastinum. Otolaryngol Head Neck Surg 1998, 118, 903–904. [Google Scholar] [CrossRef] [PubMed]
- Dalston, R.M.; Warren, D.W.; Dalston, E.T. The identification of nasal obstruction through clinical judgments of hyponasality and nasometric assessment of speech acoustics. Am J Orthod Dentofacial Orthop 1991, 100, 59–65. [Google Scholar] [CrossRef]
- Clarke, R.; McMahon, S.D. Disorders of speech. In Scott-Brown’s Otolaryngology, 7th ed.; Gleeson, M., Clarke, R.W., Eds.; CRC Press: Boca Raton, FL, USA, 2008; Volume 2. [Google Scholar]
- Gerazounis, M.; Athanassiadi, K.; Kalantzi, N.; Moustardas, M. Spontaneous pneumomediastinum: A rare benign entity. J Thorac Cardiovasc Surg 2003, 126, 774–776. [Google Scholar] [CrossRef] [PubMed]
- Gunluoglu, M.Z.; Cansever, L.; Demir, A.; et al. Diagnosis and treatment of spontaneous pneumomediastinum. Thorac Cardiovasc Surg 2009, 57, 229–231. [Google Scholar] [CrossRef]
- Vahid, B.; Bosanac, A. Acute substernal chest pain and rhinolalia in an 18-year-old woman. Postgrad Med 2008, 120, 85–86. [Google Scholar] [CrossRef]
- Chen, K.W.; Chiu, W.Y.; Lo, Y.H. Sore throat may be a clue to the early diagnosis of spontaneous pneumomediastinum. Am J Emerg Med 2015, 33, 305.e5–305.e8. [Google Scholar] [CrossRef]
- Hoover, L.R.; Febinger, D.L.; Tripp, H.F. Rhinolalia: An underappreciated sign of pneumomediastinum. Ann Thorac Surg 2000, 69, 615–616. [Google Scholar] [CrossRef]
- Braverman, I.; Marom, N.; Greenberg, E. Rhinolalia as a symptom of pneumomediastinum after radical neck dissection. Otolaryngol Head Neck Surg 2000, 122, 925–926. [Google Scholar] [CrossRef]
- De Luca, G.; Petteruti, F.; Tanga, M.; Luciano, A.; Lerro, A. Pneumomediastinum and subcutaneous emphysema unusual complications of blunt facial trauma. Indian J Surg 2011, 73, 380–381. [Google Scholar] [CrossRef][Green Version]
- Chang, Y.Y.; Yien, H.W.; Hseu, S.S.; Chan, K.H.; Tsai, S.K. Subcutaneous emphysema associated with pneumomediastinum after general anesthesia–closed rhinolalia as an initial presentation in one of two cases. Acta Anaesthesiol Taiwan 2005, 43, 99–103. [Google Scholar] [PubMed]
- Hilton, J.M.; Tassone, P.; Hanif, J.; Blagnys, B. Anterior fracture dislocation of the odontoid peg inankylosing spondylitis as a causefor rhinolalia clausa: A case study. J Laryngol Otol 2008, 122, 105–107. [Google Scholar] [CrossRef]
- Braverman, I.; Avior, G.; Malatskey, S. Pneumomediastinum owing to a neck stab wound presenting as rhinolalia. J Otolaryngol Head Neck Surg 2008, 37, E87–E89. [Google Scholar]
- Bitan, M.; Resnick, I.B.; Or, R.; et al. Rhinolalia as a presenting sign of pneumomediastinum complicating post peripheral blood stem cell transplantation bronchiolitis obliterans. Am J Hematol 2003, 74, 182–186. [Google Scholar] [CrossRef]
- Hong, B.; Hunt, P. Pneumomediastinum secondary to facial trauma. Am J Emerg Med 2017, 35, 192.e3–192.e5. [Google Scholar] [CrossRef] [PubMed]
- Newcomb, A.E.; Clarke, C.P. Spontaneous pneumomediastinum: Abenign curiosity or a significant problem? Chest 2005, 128, 3298–3302. [Google Scholar] [CrossRef] [PubMed]
- Bakhos, C.T.; Pupovac, S.S.; Ata, A.; Fantauzzi, J.P.; Fabian, T. Spontaneous pneumomediastinum: An extensive workup is not required. J Am Coll Surg 2014, 219, 713–717. [Google Scholar] [CrossRef]
- Makrides, H.; Lawton, L.D. Don’t blow it! Extensive subcutaneous emphysema of the neck caused by isolated facial injuries: A case report and review of the literature. J Emerg Med 2017, 52, e57–e59. [Google Scholar] [CrossRef]
- Henry, C.H.; Hills, E.C. Traumatic emphysema of the head, neck, and mediastinum associated with maxillofacial trauma: Case report and review. J Oral Maxillofac Surg 1989, 47, 876–882. [Google Scholar] [CrossRef]
- Kramer, N.R.; Fine, M.D.; McRae, R.G.; Millman, R.P. Unusual complication of nasal CPAP: Subcutaneous emphysema following facial trauma. Sleep 1997, 20, 895–897. [Google Scholar]
- Chebel, N.A.; Ziade, D.; Achkouty, R. Bilateral pneumothorax and pneumomediastinum after treatment with continuous positive airway pressure after orthognathic surgery. Br J Oral Maxillofac Surg 2010, 48, e14–e15. [Google Scholar] [CrossRef] [PubMed]
- Gasparini, J.R.; Ferreira, L.C.; Rangel, V.H. Subcutaneous emphysema induced by supplementary oxygen delivery nasopharyngeal cannula. Case report. Rev Bras Anestesiol 2010, 60, 558–562. [Google Scholar] [CrossRef] [PubMed][Green Version]
- Santos, S.E.; Sawazaki, R.; Asprino, L.; de Moraes, M.; Fernandes Moreira, R.W. A rare case of mediastinal and cervical emphysema secondary mandibular angle fracture: A case report. J Oral Maxillofac Surg 2011, 69, 2626–2630. [Google Scholar] [CrossRef]
- Lee, C.C.; Chen, T.J.; Wu, Y.H.; Tsai, K.C.; Yuan, A. Spontaneous retropharyngeal emphysema and pneumomediastinum presented with signs of acute upper airway obstruction. Am J Emerg Med 2005, 23, 402–404. [Google Scholar] [CrossRef] [PubMed]
- Gouda, H.S.; Shashidhar; Mestri, C. Mediastinal emphysema due to an isolated facial trauma: A case report. Med Sci Law 2008, 48, 178–180. [Google Scholar] [CrossRef]




© 2018 by the author. The Author(s) 2018.
Share and Cite
Papadiochos, I.; Sarivalasis, S.-E.; Papadogeorgakis, N. Acute Hyponasality (Closed Rhinolalia) and Craniomaxillofacial Fracture Suggest the Coexistence of Retropharyngeal Emphysema and Pneumomediastinum. Craniomaxillofac. Trauma Reconstr. 2019, 12, 70-74. https://doi.org/10.1055/s-0038-1667017
Papadiochos I, Sarivalasis S-E, Papadogeorgakis N. Acute Hyponasality (Closed Rhinolalia) and Craniomaxillofacial Fracture Suggest the Coexistence of Retropharyngeal Emphysema and Pneumomediastinum. Craniomaxillofacial Trauma & Reconstruction. 2019; 12(1):70-74. https://doi.org/10.1055/s-0038-1667017
Chicago/Turabian StylePapadiochos, Ioannis, Stavros-Evangelos Sarivalasis, and Nickolaos Papadogeorgakis. 2019. "Acute Hyponasality (Closed Rhinolalia) and Craniomaxillofacial Fracture Suggest the Coexistence of Retropharyngeal Emphysema and Pneumomediastinum" Craniomaxillofacial Trauma & Reconstruction 12, no. 1: 70-74. https://doi.org/10.1055/s-0038-1667017
APA StylePapadiochos, I., Sarivalasis, S.-E., & Papadogeorgakis, N. (2019). Acute Hyponasality (Closed Rhinolalia) and Craniomaxillofacial Fracture Suggest the Coexistence of Retropharyngeal Emphysema and Pneumomediastinum. Craniomaxillofacial Trauma & Reconstruction, 12(1), 70-74. https://doi.org/10.1055/s-0038-1667017