Next Article in Journal
Repair of Occipital Bone Defects in Neurofibromatosis Type 1 by Means of CAD/CAM Prefabricated Titanium Plates
Previous Article in Journal
Surgical Treatment of Fibroosseous Lesion in Young Patient with Reduced Mouth Opening
 
 
Craniomaxillofacial Trauma & Reconstruction is published by MDPI from Volume 18 Issue 1 (2025). Previous articles were published by another publisher in Open Access under a CC-BY (or CC-BY-NC-ND) licence, and they are hosted by MDPI on mdpi.com as a courtesy and upon agreement with Sage.
Font Type:
Arial Georgia Verdana
Font Size:
Aa Aa Aa
Line Spacing:
Column Width:
Background:
Case Report

Posttraumatic Glabellar Mucocele: Case Report

by
Stefano Mandrioli
*,
Luisa Valente
and
Manlio Galiè
Unit of Craniomaxillofacial Surgery, St. Anna Hospital and University, Via Aldo Moro, 8, 44124 Ferrara, Italy
*
Author to whom correspondence should be addressed.
Craniomaxillofac. Trauma Reconstr. 2018, 11(4), 320-323; https://doi.org/10.1055/s-0037-1608698
Submission received: 18 May 2017 / Revised: 1 July 2017 / Accepted: 15 July 2017 / Published: 21 November 2017

Abstract

:
Mucoceles are benign, expansile cystic masses covered by respiratory epithelium filled with mucus secreted by goblet cells interspersed in the ciliated mucosa. Mucoceles result from the accumulation and retention of the products of secretion, desquamation, and inflammation in cases where the drainage is obstructed. We present a case of a nasal mucocele that developed in a 50-year-old man, possibly related to a craniofacial trauma that had occurred 24 years earlier. This is an unusual case of posttraumatic glabellar mucocele with subcutaneous extension and nasal bone erosion without any neurologic or ophthalmologic involvement.
Keywords:
mucous cyst; nose; trauma

Mucocele is a benign, expansile cystic mass covered by respiratory epithelium, resulting from the accumulation and retention of secretion, desquamation, and inflammation in cases where the drainage is obstructed[.[1] It is most commonly seen in frontal and ethmoidal sinuses, and rarely seen in maxillary and sphenoidal sinuses. It can erode the surrounding bone and spread intraorbitally and intracranially. Patients commonly present with pain, nasal congestion, diplopia, and exophthalmos depending on the location of the lesion and the extent of bone erosion.[2,3] We report an unusual case of posttraumatic glabellar mucocele with subcutaneous extension and nasal bone erosion without any neurologic or ophthalmologic involvement.

Case Report

A 50-year-old man presented to the outpatient clinic of the Craniomaxillofacial Surgery Unit of the University of Ferrara, Ferrara, Italy, with a 10-year history of a slow-growing swelling over the glabellar area. The onset of the swelling was insidious and gradually increasing in size. It was not associated with pain, fever, headache, drainage, nasal discharge, bleeding from the nose, or alteration in the sense of smell or taste. The only symptom was nasal obstruction. There was a history of craniofacial trauma that had occurred in 1992, and was treated in another center. The patient had no infection and had not undergone any recent surgery.
On physical examination, there was a bulge in the area between the eyebrows, over the nasal bones, measuring approximately 35 × 20 mm; the skin over the swelling appeared normal and did not adhere to the mass (Figure 1). The neoformation showed a subcutaneous mass of relatively soft consistency, which on palpation was nontender and moderately mobile. No local rise in temperature was observed. Anterior rhinoscopy showed inferior turbinate hypertrophy and septal deviation.
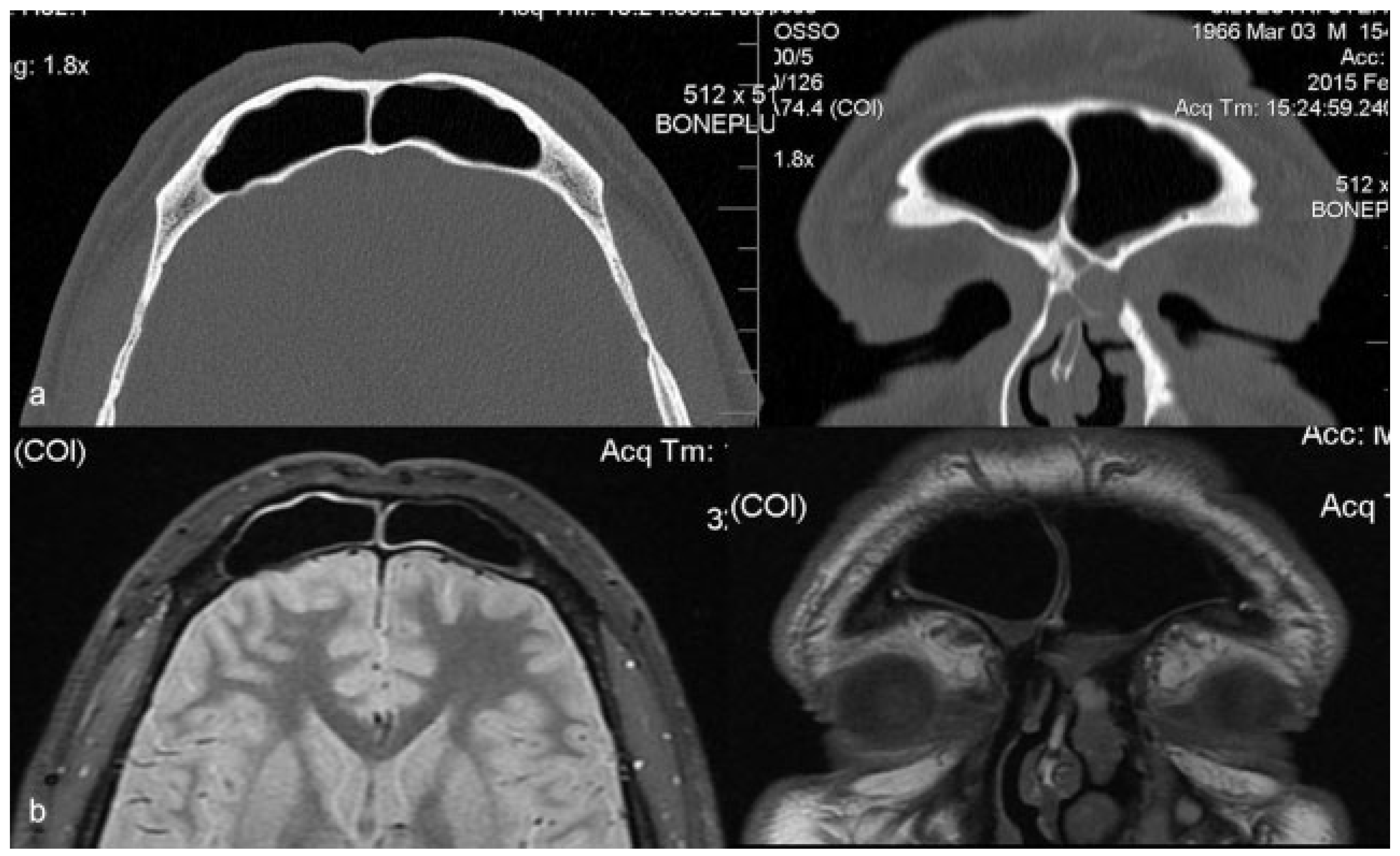
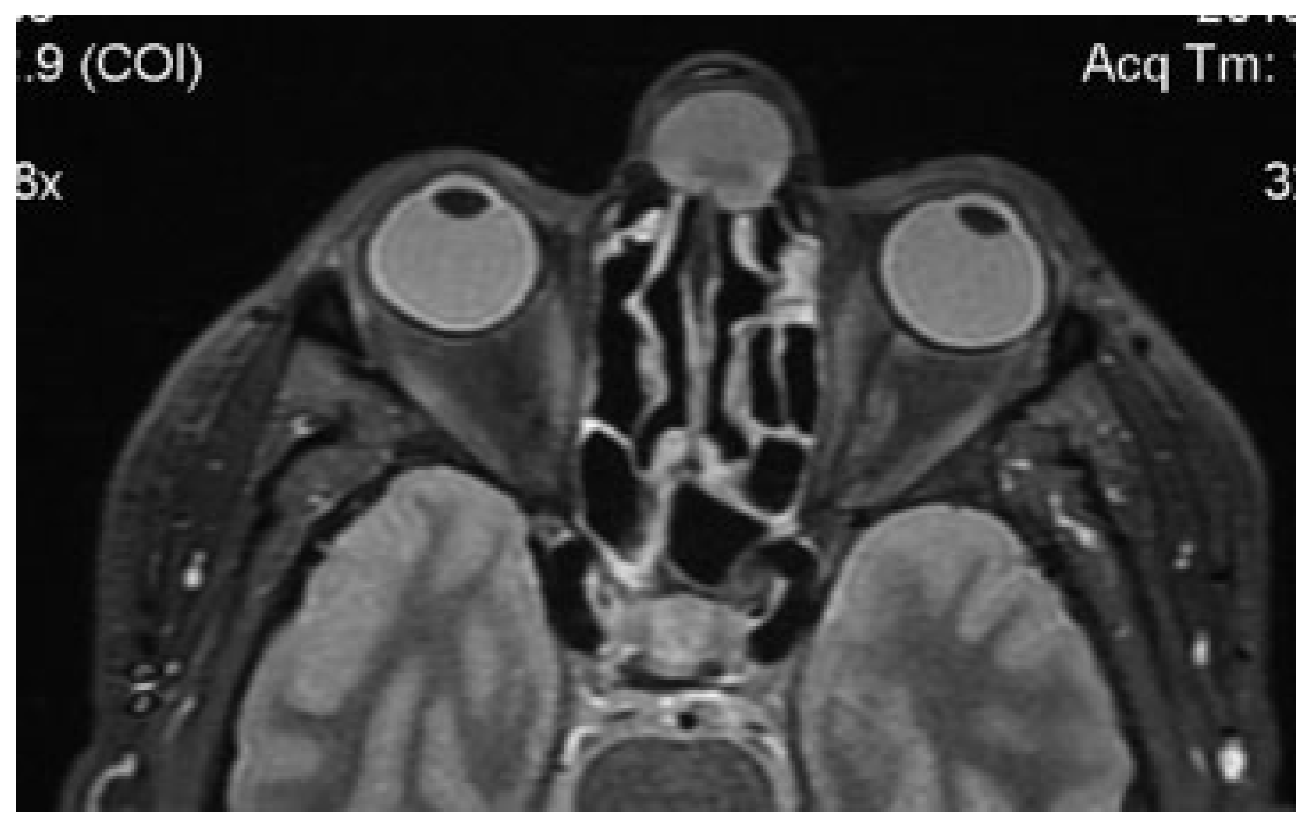
Computed tomography (CT) revealed a wide loss of substance in the root of the nose and a cystic neoformation involving the nasal bones (Figure 2). Magnetic resonance imaging (MRI) showed a globular cystic lesion with a fluid content occupying the upper region of the root of the nose and partially protruding into the nasal cavity (Figure 3). CT scan and MRI showed no involvement of the frontal sinus and frontal recess (Figure 4).
A surgical correction was planned and performed in conjunction with the otolaryngologist. The operation started under general anesthesia. A glabellar approach through an incision performed in the glabellar furrow was used to access the mass. It was a well-demarcated, globular, fluid-containing cystic structure adherent to the nasal bones and nasal mucosa. The mass was well isolated and completely excised and the affected mucosa was removed (Figure 5, Figure 6 and Figure 7). On histological examination, the cyst was lined with respiratory epithelium containing numerous mucin glands.
As there was erosion of the nasal bones, the recess was plugged with a pericranial fragment measuring 5 × 7 cm and the osseous defect was repaired by a split calvarial bone graft harvested from the temporal region. Bone fragments were fixed with micro-/miniplates to gain rigid support. The otolaryngologist performed a septoturbinoplasty. An intranasal packing type “Ivalon” (Anatomical Nasal Packing, FABCO) covered with gentamycin sulfate cream and moisturized with tranexamic acid solution was left in place for 48 hours.
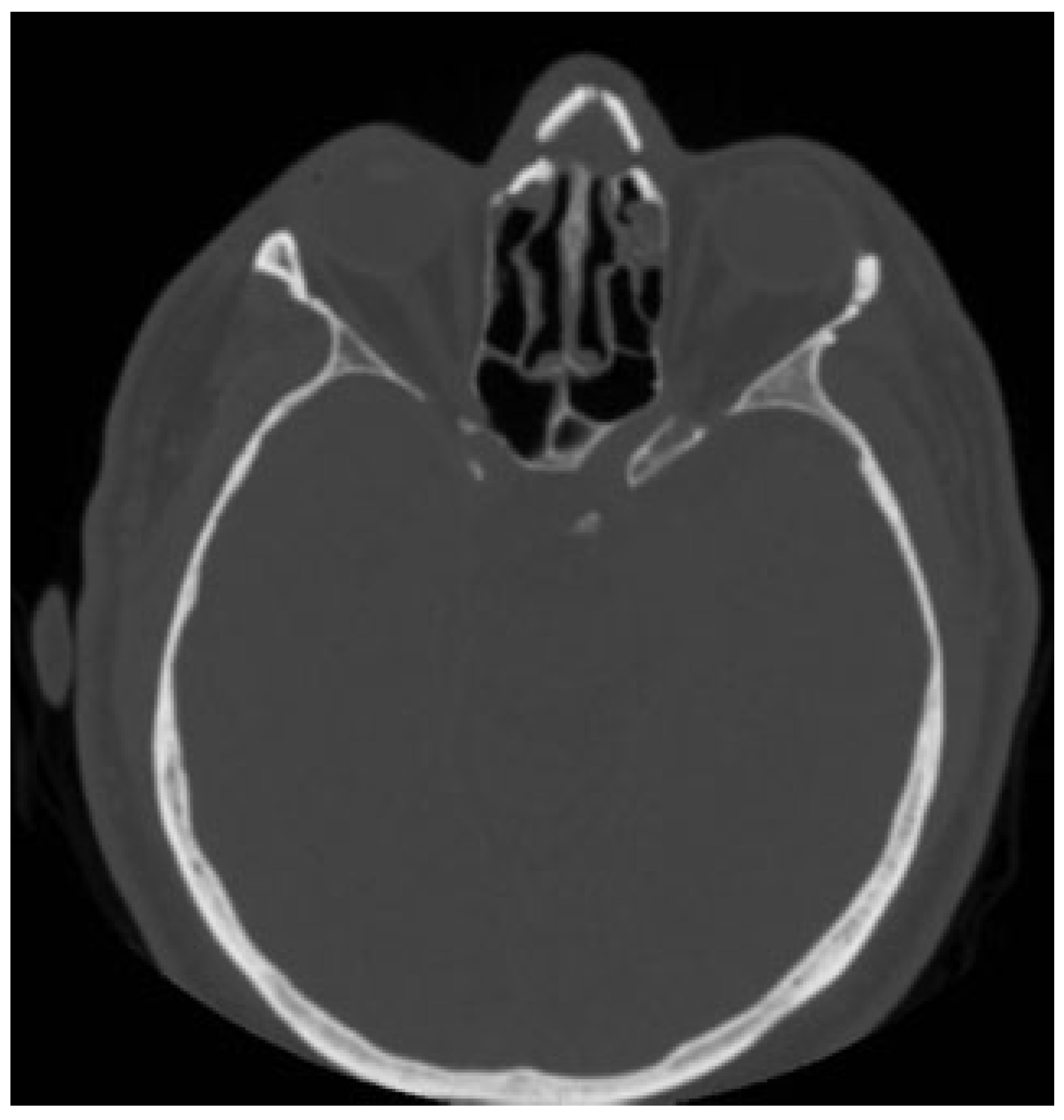
The recovery was uneventful. A 2-month postoperative CT scan showed good reconstruction of the nose and the glabellar area and frontal sinus patency with a minimal mucosal thickening of the frontoethmoidal recess (Figure 8 and Figure 9). No late complications occurred, appearance of the face returned to normal, and the results were stable at 12-month follow-up with the patient’s full satisfaction with his facial appearance (Figure 10).

Discussion

Mucoceles are slow-growing, cystic, and benign lesions. The cyst wall is lined by cubic or pseudostratified epithelium. Mucoceles are thought to occur due to obliteration of the sinus ostium because of inflammation, allergic reactions, tumors, trauma, or surgery.[2]
Posttraumatic mucoceles are rare. They can occur when fractures result in mucosal entrapment and subsequent cyst formation.[4] This complication can appear several years after the original injury[5] and the symptoms may go unnoticed for a long period of time.[6,7] Koudstaal et al[6] found three cases that occurred with a spread of incidence between 1 and 35 years after trauma. Mourouzis et al[8] have reported cases up to 50 years later on. This suggests that not only a long-term follow-up period should be considered after injury but that a conscientious anamnesis should also be performed in suspicious cases.[5] Despite their benign character, nasal mucoceles have the ability to destroy the adjacent bony structures. Gradual distension, thinning, and the eventual erosion of the bony structures in the direction of least resistance are caused by progressive accumulation of mucoid material.[9]
Symptoms may vary according to the lesion location, size of the bone defect, and compression, such as pain and nasal congestion, eye swelling, diplopia, loss of visual acuity, and intracranial complications in a spectrum from mild to severe.[2]
Radiographically, CT scans provide basic anatomical detail of the mucocele, delineate its interaction with neighboring bony structures, and aid in surgical planning. CT scan findings show an expansile, homogenous sinus mass that is not rim enhancing, unless associated with an acute mucopyelocele. Bony destruction is not common but expansion and remodeling of bone is seen in association with the mucocele. MRI is superior in identifying the relationship of the mucocele to neighboring soft tissue and in distinguishing from other soft-tissue neoplasms.[10] Mucoceles may show different forms on MRI due to the water–protein content. They may be hyperintense in T2 images due to the high water content, while those with high protein content may be isointense or hyperintense.[2]
The definitive treatment for nasal mucoceles is surgical excision. Many surgical approaches have been proposed depending on the topography of the lesion: open rhinoplasty approach, intranasal approach, direct external cutaneous approach, and endoscopic excision. The location, magnitude, and expansion of the lesion are determinants of the appropriate surgical procedure.[11] Regardless of the approach employed, complete excision of the nasal mucous cyst capsule is necessary to prevent relapse of disease. In the present case, a sturdy and durable closure of the bony defect was achieved by an autologous pericranial graft and a bone graft. We used a split calvarial bone graft harvested from the temporal region. Bone fragments were fixed with micro-/ miniplates to gain rigid support. In bone reconstructions, titanium miniplates can be used safely in adults, but resorbable devices are required in children because of growing tissues.[12] The glabellar region is one of the first areas of the face to reveal early aging in the form of rhytids.[13] The incorporation of naturally occurring skin wrinkles or relaxed skin tension lines into planned incisions can minimize the appearance of the postoperative scar.[14]

Conclusion

Treatment for mucoceles eroding the surrounding bone tissue and causing clinical symptoms due to compression by the expansile mass is surgical excision. The location, magnitude, and expansion of the lesion are determinants of the appropriate surgical procedure. In this case, we applied the principles of craniofacial reconstruction, achieving a sturdy and durable closure of the bony defect by autologous pericranial graft and bone graft. Incorporation of preexisting rhytids into the operative plan allowed an aesthetically good result.

Conflicts of Interest

The authors report no conflict of interest.

References

  1. Carvalho, B.V.; Lopes, C.C.; Corrêa, J.B.; et al. Typical and atypical presentations of paranasal sinus mucocele at computer tomography. Radiol Bras 2013, 46, 372–375. [Google Scholar] [CrossRef]
  2. Topdag, M.; Iseri, M.; Sari, F.; Erdogan, S.; Keskin, I.G. Paranasal sinus mucoceles: Our clinical experiments. Int J Clin Exp Med 2015, 8, 18518–18522. [Google Scholar] [PubMed]
  3. Evans, C. Aetiology and treatment of fronto-ethmoidal mucocele. J Laryngol Otol 1981, 95, 361–375. [Google Scholar] [CrossRef] [PubMed]
  4. Cultrera, F.; Giuffrida, M.; Mancuso, P. Delayed post-traumatic frontal sinus mucopyocoele presenting with meningitis. J Craniomaxillofac Surg 2006, 34, 502–504. [Google Scholar] [CrossRef] [PubMed]
  5. Rosado, P.; de Vicente, J.C.; Villalaín, L.; Fernández, S.; Peña, I. Posttraumatic frontal mucocele. J Craniofac Surg 2011, 22, 1537–1539. [Google Scholar] [CrossRef] [PubMed]
  6. Koudstaal, M.J.; van der Wal, K.G.; Bijvoet, H.W.; Vincent, A.J.; Poublon, R.M. Post-trauma mucocele formation in the frontal sinus; a rationale of follow-up. Int J Oral Maxillofac Surg 2004, 33, 751–754. [Google Scholar] [CrossRef] [PubMed]
  7. Wilson, B.C.; Davidson, B.; Corey, J.P.; Haydon, R.C.I.I.I. Comparison of complications following frontal sinus fractures managed with exploration with or without obliteration over 10 years. Laryngoscope 1988, 98, 516–520. [Google Scholar] [CrossRef] [PubMed]
  8. Mourouzis, C.; Evans, B.T.; Shenouda, E. Late presentation of a mucocele of thefrontal sinus: 50 years postinjury. J Oral Maxillofac Surg 2008, 66, 1510–1513. [Google Scholar] [CrossRef] [PubMed]
  9. Altıntaş Kakşi, S.; Kakşi, M.; Balevi, A.; Özdemir, M.; Çakır, A. Unusual case of frontal mucocele presenting with forehead ulcer. Dermatol Online J 2014, 20, 13030/qt8g60g2mg. [Google Scholar] [CrossRef]
  10. Capra, G.G.; Carbone, P.N.; Mullin, D.P. Paranasal sinus mucocele. Head Neck Pathol 2012, 6, 369–372. [Google Scholar] [CrossRef] [PubMed]
  11. Aycicek, A.; Sargin, R.; Yilmaz, D.; Temiz, M.; Kenar, F.; Yildiz, H. Frontal sinus mucocele: A case report. Med J Kocatepe 2008, 17–20. [Google Scholar]
  12. Agrawal, A.; Rao, K.S.; Krishnamoorthy, B.; Shetty, R.B.; Anand, M.; Jain, H. Single stage craniofacial reconstruction for fronto-nasal encephalocele and hypertelorism in an adult. Singapore Med J 2007, 48, e215–e219. [Google Scholar] [PubMed]
  13. Bassichis, B.A.; Thomas, J.R. The use of Botox to treat glabellar rhytids. Facial Plast Surg Clin North Am 2003, 11, 453–456. [Google Scholar] [CrossRef] [PubMed]
  14. Fishero, B.A.; Chen, P.G.; Payne, S.C. Modified glabellar rhytid incision for frontal sinus trephination. Laryngoscope 2014, 124, 2676–2679. [Google Scholar] [CrossRef] [PubMed]
Figure 1. Preoperative frontal view: neoformation of the glabellar area.
Figure 1. Preoperative frontal view: neoformation of the glabellar area.
Cmtr 11 11i320 g001
Figure 2. Preoperative CT scan: loss of substance in the root of the nose and cystic neoformation involving the nasal bones.
Figure 2. Preoperative CT scan: loss of substance in the root of the nose and cystic neoformation involving the nasal bones.
Cmtr 11 11i320 g002
Figure 3. Preoperative MRI: globular cystic lesion with a fluid content partially protruding into the nasal cavity.
Figure 3. Preoperative MRI: globular cystic lesion with a fluid content partially protruding into the nasal cavity.
Cmtr 11 11i320 g003
Figure 4. Preoperative CT scan (a) and MRI (b): no frontal sinus and frontal recess involvement.
Figure 4. Preoperative CT scan (a) and MRI (b): no frontal sinus and frontal recess involvement.
Cmtr 11 11i320 g004
Figure 5. Intraoperative view. The incision was performed in the glabellar furrow.
Figure 5. Intraoperative view. The incision was performed in the glabellar furrow.
Cmtr 11 11i320 g005
Figure 6. Intraoperative view: erosion of the nasal bones.
Figure 6. Intraoperative view: erosion of the nasal bones.
Cmtr 11 11i320 g006
Figure 7. Intraoperative view: excised mucocele.
Figure 7. Intraoperative view: excised mucocele.
Cmtr 11 11i320 g007
Figure 8. Postoperative CT scan showing reconstruction of the nose and the glabellar area.
Figure 8. Postoperative CT scan showing reconstruction of the nose and the glabellar area.
Cmtr 11 11i320 g008
Figure 9. Postoperative CT scan showing frontal sinus patency with a minimal mucosal thickening of frontoethmoidal recess.
Figure 9. Postoperative CT scan showing frontal sinus patency with a minimal mucosal thickening of frontoethmoidal recess.
Cmtr 11 11i320 g009
Figure 10. Postoperative frontal view at 12-month follow-up.
Figure 10. Postoperative frontal view at 12-month follow-up.
Cmtr 11 11i320 g010

Share and Cite

MDPI and ACS Style

Mandrioli, S.; Valente, L.; Galiè, M. Posttraumatic Glabellar Mucocele: Case Report. Craniomaxillofac. Trauma Reconstr. 2018, 11, 320-323. https://doi.org/10.1055/s-0037-1608698

AMA Style

Mandrioli S, Valente L, Galiè M. Posttraumatic Glabellar Mucocele: Case Report. Craniomaxillofacial Trauma & Reconstruction. 2018; 11(4):320-323. https://doi.org/10.1055/s-0037-1608698

Chicago/Turabian Style

Mandrioli, Stefano, Luisa Valente, and Manlio Galiè. 2018. "Posttraumatic Glabellar Mucocele: Case Report" Craniomaxillofacial Trauma & Reconstruction 11, no. 4: 320-323. https://doi.org/10.1055/s-0037-1608698

APA Style

Mandrioli, S., Valente, L., & Galiè, M. (2018). Posttraumatic Glabellar Mucocele: Case Report. Craniomaxillofacial Trauma & Reconstruction, 11(4), 320-323. https://doi.org/10.1055/s-0037-1608698

Article Metrics

Back to TopTop