Ectopic Molar Removal from the Ramus/Condyle Unit: A Minimally Invasive Approach
Abstract
Methods and Materials
Results

Patient Demographics/Presenting Symptoms
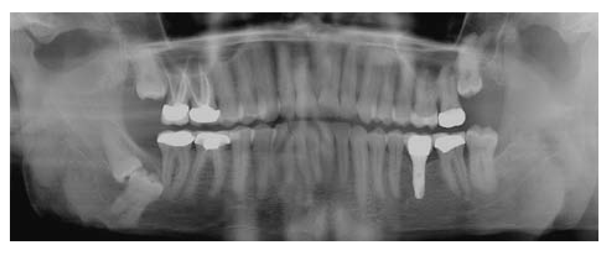
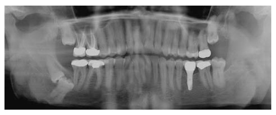
Ectopic Molar Location/Association with Pathology
Surgical Treatment/Approaches
Complications
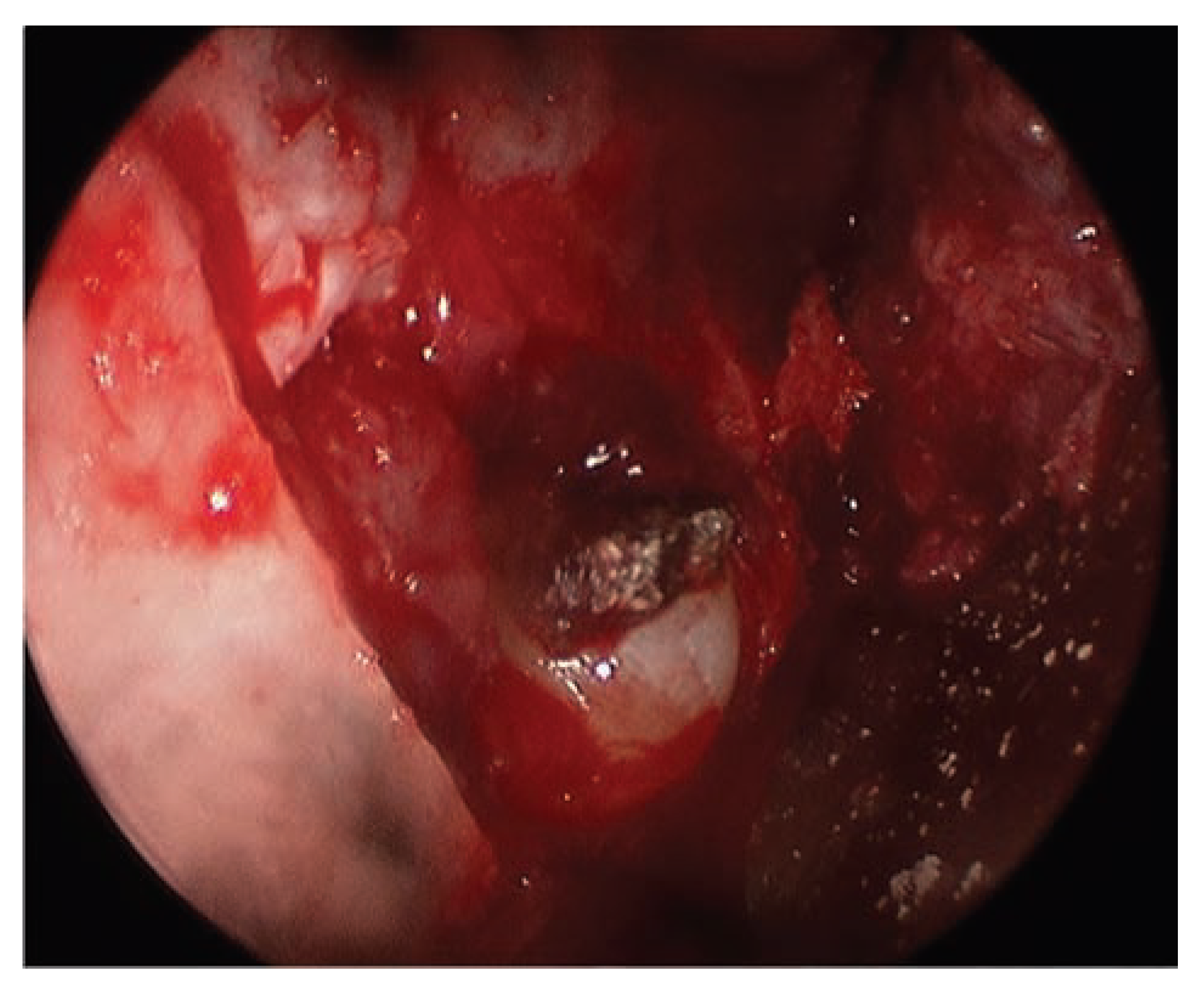
Report of a Case
![]() |

Discussion





Conclusions
References
- Fındık, Y.; Baykul, T. Ectopic third molar in the mandibular sigmoid notch: Report of a case and literature review. J Clin Exp Dent 2015, 7, e133–e137. [Google Scholar] [CrossRef] [PubMed]
- Adachi, M.; Motohashi, M.; Nakashima, M.; Ehara, Y.; Azuma, M.; Muramatsu, Y. Ectopic third molar tooth at the mandibular notch. J Craniofac Surg 2015, 26, e455–e456. [Google Scholar] [CrossRef]
- Lee, Y.K.; Park, S.S.; Myoung, H. Surgical extraction of mandibular third molar in pterygomandibular space: A case report. J Korean Assoc Oral Maxillofac Surg 2013, 39, 242–245. [Google Scholar] [CrossRef][Green Version]
- Bowman, J.; O’Regan, B.; Bhopal, S. Transmasseteric antero-parotid approach: A technique adaptation for ectopic subcondylar third molar removal and associated dentigerous cyst enucleation. Br J Oral Maxillofac Surg 2014, 52, e7–e8. [Google Scholar] [CrossRef] [PubMed]
- Sanghera, R.K.; Jones, J. Parotid fistula–an extra-orally draining infected dentigerous cyst associated with a supernumerary fourth molar in ascending ramus. Dent Update 2013, 40, 343–345. [Google Scholar] [CrossRef]
- Iglesias-Martin, F.; Infante-Cossio, P.; Torres-Carranza, E.; PratsGolczer, V.E.; Garcia-Perla-Garcia, A. Ectopic third molar in the mandibular condyle: A review of the literature. Med Oral Patol Oral Cir Bucal 2012, 17, e1013–e1017. [Google Scholar] [CrossRef] [PubMed]
- Lambade, P.; Lambade, D.; Dolas, R.S.; Virani, N. Ectopic mandibular third molar leading to osteomyelitis of condyle: A case report with literature review. Oral Maxillofac Surg 2013, 17, 127–130. [Google Scholar] [CrossRef]
- Scott, N.; Bater, A.; Wilson, A. An unusual cause of a facial swelling. J Surg Case Rep 2012, 2012, 10. [Google Scholar] [CrossRef]
- Kim, J.S. Cone beam computed tomography findings of ectopic mandibular third molar in the mandibular condyle: Report of a case. Imaging Sci Dent 2011, 41, 135–137. [Google Scholar] [CrossRef]
- Procacci, P.; Albanese, M.; Sancassani, G.; Turra, M.; Morandini, B.; Bertossi, D. Ectopic mandibular third molar: Report of two cases by intraoral and extraoral access. Minerva Stomatol 2011, 60, 383–390. [Google Scholar]
- Shivashankara, C.; Manjunatha, B.S.; Tanveer, A. Ectopic mandibular third molar in subcondylar region: Report of a rare case. Oral Maxillofac Surg 2012, 16, 153–155. [Google Scholar] [CrossRef]
- Pace, C.; Holt, D.; Payne, M. An unusual presentation of an ectopic third molar in the condylar region. Aust Dent J 2010, 55, 325–327. [Google Scholar] [CrossRef] [PubMed]
- Bortoluzzi, M.C.; Manfro, R. Treatment for ectopic third molar in the subcondylar region planned with cone beam computed tomography: A case report. J Oral Maxillofac Surg 2010, 68, 870–872. [Google Scholar] [CrossRef] [PubMed]
- Gadre, K.S.; Waknis, P. Intra-oral removal of ectopic third molar in the mandibular condyle. Int J Oral Maxillofac Surg 2010, 39, 294–296. [Google Scholar] [PubMed]
- Sembronio, S.; Albiero, A.M.; Zerman, N.; Costa, F.; Politi, M. Endoscopically assisted enucleation and curettage of large mandibular odontogenic keratocyst. Oral Surg Oral Med Oral Pathol Oral Radiol Endod 2009, 107, 193–196. [Google Scholar] [CrossRef]
- Kupferman, S.B.; Schwartz, H.C. Malposed teeth in the pterygomandibular space: Report of 2 cases. J Oral Maxillofac Surg 2008, 66, 167–169. [Google Scholar]
- Salmerón, J.I.; del Amo, A.; Plasencia, J.; Pujol, R.; Vila, C.N. Ectopic third molar in condylar region. Int J Oral Maxillofac Surg 2008, 37, 398–400. [Google Scholar] [CrossRef]
- Wang, C.C.; Kok, S.H.; Hou, L.T.; et al. Ectopic mandibular third molar in the ramus region: Report of a case and literature review. Oral Surg Oral Med Oral Pathol Oral Radiol Endod 2008, 105, 155–161. [Google Scholar] [CrossRef]
- Wong, Y.K.; Liew, J.C.; Tsui, S.H.; Cheng, J.C. Ectopic molar near the coronoid process: Case report. Quintessence Int 2007, 38, 597–600. [Google Scholar]
- Silva, G.C.; Silva, E.C.; Gomez, R.S. Migration of an unerupted second molar to the condyle: Report of a case with sequential radiographs. J Oral Maxillofac Surg 2007, 65, 570–572. [Google Scholar] [CrossRef]
- Suarez-Cunqueiro, M.M.; Schoen, R.; Schramm, A.; Gellrich, N.C.; Schmelzeisen, R. Endoscopic approach to removal of an ectopic mandibular third molar. Br J Oral Maxillofac Surg 2003, 41, 340–342. [Google Scholar] [PubMed]
- Tümer, C.; Eset, A.E.; Atabek, A. Ectopic impacted mandibular third molar in the subcondylar region associated with a dentigerous cyst: A case report. Quintessence Int 2002, 33, 231–233. [Google Scholar]
- Bux, P.; Lisco, V. Ectopic third molar associated with a dentigerous cyst in the subcondylar region: Report of case. J Oral Maxillofac Surg 1994, 52, 630–632. [Google Scholar]
- Chongruk, C. Asymptomatic ectopic impacted mandibular third molar. Oral Surg Oral Med Oral Pathol 1991, 71, 520. [Google Scholar] [PubMed]
- Yusuf, H.; Quayle, A.A. Intracondylar tooth. Int J Oral Maxillofac Surg 1989, 18, 323. [Google Scholar] [PubMed]
- Srivastava, R.P.; Singh, G. An unusual impacted inverted molar in mandibular condyle with preauricular sinus (a case report). J Indian Dent Assoc 1982, 54, 67–69. [Google Scholar]
- Burton, D.J.; Scheffer, R.B. Serratia infection in a patient with bilateral subcondylar impacted third molars and associated dentigerous cysts: Report of case. J Oral Surg 1980, 38, 135–138. [Google Scholar]
- Schwimmer, A.; Keaveny, J.T.; Caponigro, C.; Ragaini, V.E. Subcondylar impaction of a third molar resulting in chronic preauricular sinus: Report of case. J Oral Surg 1972, 30, 41–44. [Google Scholar]
- Robiony, M.; Polini, F.; Costa, F.; Sembronio, S.; Zerman, N.; Politi, M. Endoscopically assisted intraoral vertical ramus osteotomy and piezoelectric surgery in mandibular prognathism. J Oral Maxillofac Surg 2007, 65, 2119–2124. [Google Scholar]
© 2017 by the author. The Author(s) 2017.
Share and Cite
Forgach, G.A.; MacLeod, S.P.R. Ectopic Molar Removal from the Ramus/Condyle Unit: A Minimally Invasive Approach. Craniomaxillofac. Trauma Reconstr. 2018, 11, 59-64. https://doi.org/10.1055/s-0036-1594275
Forgach GA, MacLeod SPR. Ectopic Molar Removal from the Ramus/Condyle Unit: A Minimally Invasive Approach. Craniomaxillofacial Trauma & Reconstruction. 2018; 11(1):59-64. https://doi.org/10.1055/s-0036-1594275
Chicago/Turabian StyleForgach, Gary A., and Stephen P.R. MacLeod. 2018. "Ectopic Molar Removal from the Ramus/Condyle Unit: A Minimally Invasive Approach" Craniomaxillofacial Trauma & Reconstruction 11, no. 1: 59-64. https://doi.org/10.1055/s-0036-1594275
APA StyleForgach, G. A., & MacLeod, S. P. R. (2018). Ectopic Molar Removal from the Ramus/Condyle Unit: A Minimally Invasive Approach. Craniomaxillofacial Trauma & Reconstruction, 11(1), 59-64. https://doi.org/10.1055/s-0036-1594275
