Eye Inside Out: Endonasal Endoscopic Reposition of Eye from Nose with Complete Vision Regainment
Abstract
Case History
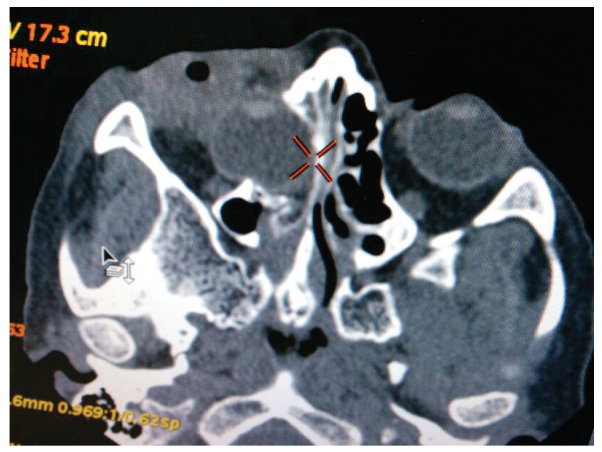
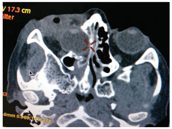
Clinical Findings
Diagnostic Assessment
Therapeutic Intervention
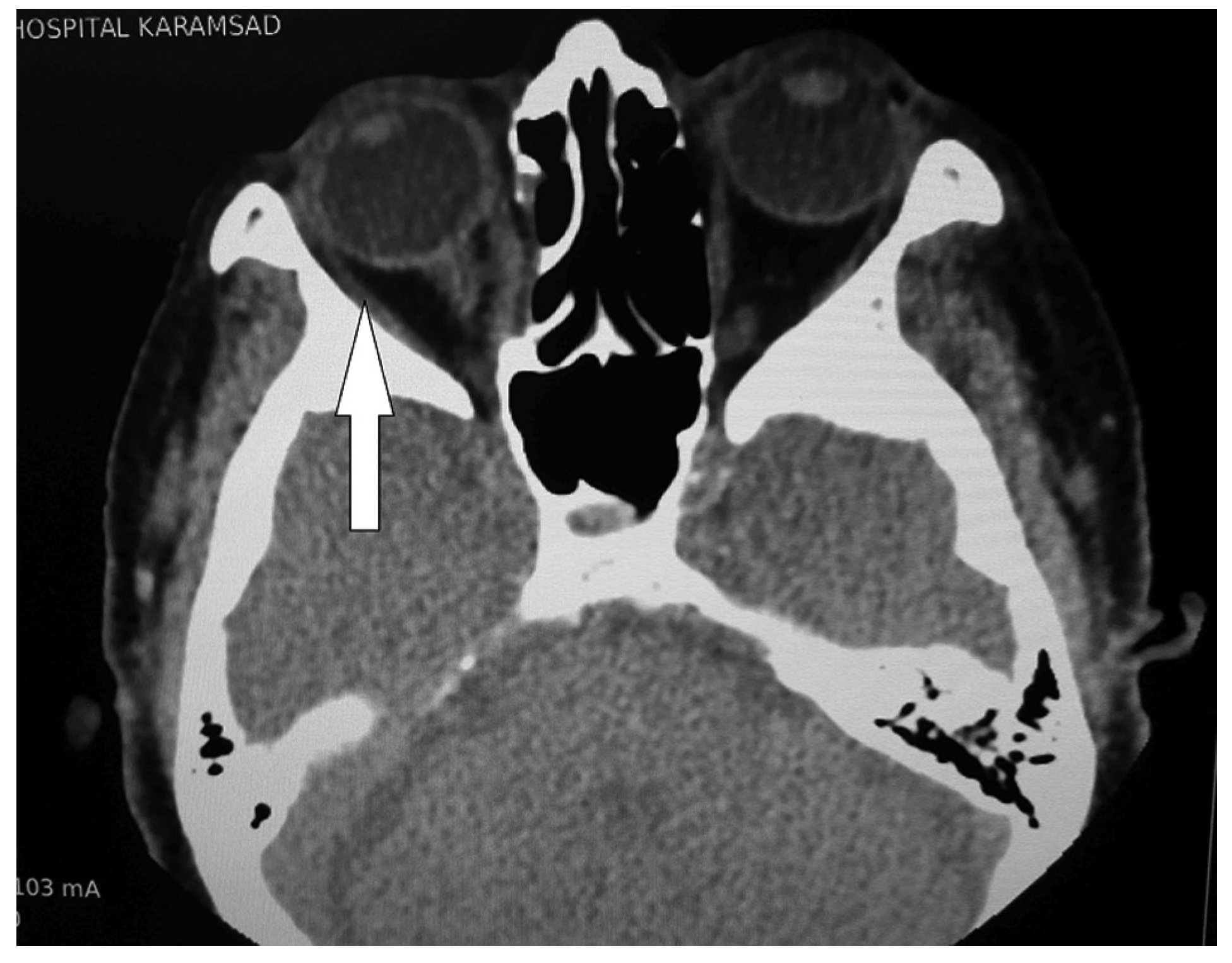
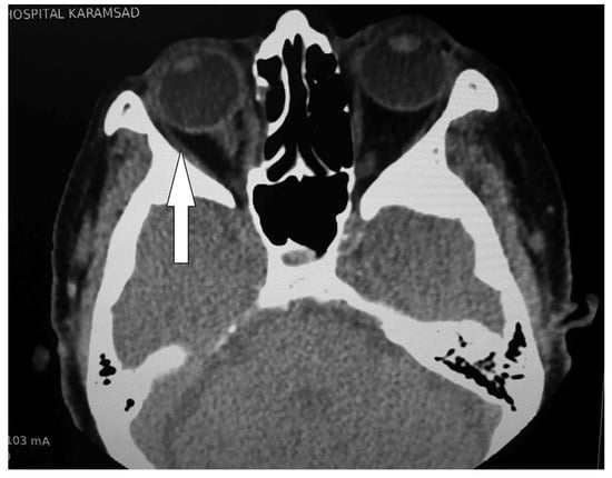
Follow-Up and Outcome
Discussion
Conclusion
References
- Ko, M.J.; Morris, C.K.; Kim, J.W.; Lad, S.P.; Arrigo, R.T.; Lad, E.M. Orbital fractures: national inpatient trends and complications. Ophthal Plast Reconstr Surg 2013, 29, 298–303. [Google Scholar] [CrossRef] [PubMed]
- Vats, S.; Murthy, G.V.; Chandra, M.; Gupta, S.K.; Vashist, P.; Gogoi, M. Epidemiological study of ocular trauma in an urban slum population in Delhi, India. Indian J Ophthalmol 2008, 56, 313–316. [Google Scholar] [PubMed]
- Nirmalan, P.K.; Katz, J.; Tielsch, J.M.; et al.; Aravind Comprehensive Eye Survey Ocular trauma in a rural south Indian population: the Aravind Comprehensive Eye Survey. Ophthalmology 2004, 111, 1778–1781. [Google Scholar] [CrossRef]
- Burm, J.S.; Chung, C.H.; Oh, S.J. Pure orbital blowout fracture: new concepts and importance of medial orbital blowout fracture. Plast Reconstr Surg 1999, 103, 1839–1849. [Google Scholar] [CrossRef]
- Motamedi, M.H.; Dadgar, E.; Ebrahimi, A.; Shirani, G.; Haghighat, A.; Jamalpour, M.R. Pattern of maxillofacial fractures: a 5-year analysis of 8,818 patients. J Trauma Acute Care Surg 2014, 77, 630–634. [Google Scholar] [CrossRef] [PubMed]
- Boffano, P.; Roccia, F.; Gallesio, C.; Karagozoglu, K.H.; Forouzanfar, T. Diplopia and orbital wall fractures. J Craniofac Surg 2014, 25, e183–e185. [Google Scholar] [CrossRef]
- Yab, K.; Tajima, S.; Ohba, S. Displacements of eyeball in orbital blowout fractures. Plast Reconstr Surg 1997, 100, 1409–1417. [Google Scholar] [CrossRef]
- Converse, J.M.; Smith, B.; Obear, M.F.; Wood-Smith, D. Orbital blowout fractures: a ten-year survey. Plast Reconstr Surg 1967, 39, 20–36. [Google Scholar] [CrossRef]
- Singh, R.I.; Thomas, R.; Alexander, T.A. An unusual case of bull gore injury. Aust N Z J Ophthalmol 1986, 14, 377–379. [Google Scholar] [CrossRef]
- Miabi, Z.; Nezami, N.; Midia, M.; Midia, R. Intracranial displacement of the eye after blunt trauma. J Neuroophthalmol 2009, 29, 311. [Google Scholar] [CrossRef]
- Gollapudi, P.R.; Nandigama, P.K.; Maila, S.K.; Karla, R.; Kotakadira, S. Traumatic intracranial prolapse of eye ball a case report. Br J Neurosurg 2013, 27, 114–116. [Google Scholar] [CrossRef]
- Kang, B.D.; Jang, M.H. A case of blowout fracture of the orbital wall with eyeball entrapped within the ethmoid sinus. Korean J Ophthalmol 2003, 17, 149–153. [Google Scholar] [CrossRef]
- Jin, H.R.; Shin, S.O.; Choo, M.J.; Choi, Y.S. Endonasal endoscopic reduction of blowout fractures of the medial orbital wall. J Oral Maxillofac Surg 2000, 58, 847–851. [Google Scholar] [CrossRef] [PubMed][Green Version]
- Wu, W.; Yan, W.; Cannon, P.S.; Jiang, A.C. Endoscopic transethmoidal and transconjunctival inferior fornix approaches for repairing the combined medial wall and orbital floor blowout fractures. J Craniofac Surg 2011, 22, 537–542. [Google Scholar] [CrossRef] [PubMed]
- Shi, W.; Jia, R.; Li, Z.; He, D.; Fan, X. Combination of transorbital and endoscopic transnasal approaches to repair orbital medial wall and floor fractures. J Craniofac Surg 2012, 23, 71–74. [Google Scholar] [CrossRef] [PubMed]
- Jeon, S.Y.; Kwon, J.H.; Kim, J.P.; et al. Endoscopic intranasal reduction of the orbit in isolated blowout fractures. Acta Otolaryngol Suppl 2007, 102–109. [Google Scholar] [CrossRef]
- Rhee, J.S.; Chen, C.T. Endoscopic approach to medial orbital wall fractures. Facial Plast Surg Clin North Am 2006, 14, 17–23. [Google Scholar] [CrossRef]
- Humphrey, C.D.; Kriet, J.D. Surgical approaches to the orbit. Oper Tech Otolaryngol–Head Neck Surg 2008, 19, 132–139. [Google Scholar] [CrossRef]
- Goldblum, D.; Frueh, B.E.; Koerner, F. Eye injuries caused by cow horns. Retina 1999, 19, 314–317. [Google Scholar] [CrossRef]
- Onyekwe, L.O.; Ohaegbulam, S.C. Penetrating orbito-cranial and ocular cow-horn injuries. Niger J Clin Pract 2007, 10, 177–179. [Google Scholar]
- Ibrahim, O.; Olusanya, B. Occupational cow horn eye injuries in Ibadan, Nigeria. Ann Med Health Sci Res 2014, 4, 959–961. [Google Scholar] [PubMed]








© 2016 by the author. The Author(s) 2016.
Share and Cite
Mishra, G.S.; Bhatt, S.H. Eye Inside Out: Endonasal Endoscopic Reposition of Eye from Nose with Complete Vision Regainment. Craniomaxillofac. Trauma Reconstr. 2017, 10, 84-88. https://doi.org/10.1055/s-0036-1584401
Mishra GS, Bhatt SH. Eye Inside Out: Endonasal Endoscopic Reposition of Eye from Nose with Complete Vision Regainment. Craniomaxillofacial Trauma & Reconstruction. 2017; 10(1):84-88. https://doi.org/10.1055/s-0036-1584401
Chicago/Turabian StyleMishra, Girish S., and Sushen Harish Bhatt. 2017. "Eye Inside Out: Endonasal Endoscopic Reposition of Eye from Nose with Complete Vision Regainment" Craniomaxillofacial Trauma & Reconstruction 10, no. 1: 84-88. https://doi.org/10.1055/s-0036-1584401
APA StyleMishra, G. S., & Bhatt, S. H. (2017). Eye Inside Out: Endonasal Endoscopic Reposition of Eye from Nose with Complete Vision Regainment. Craniomaxillofacial Trauma & Reconstruction, 10(1), 84-88. https://doi.org/10.1055/s-0036-1584401