Anti-Gouty Arthritis and Anti-Hyperuricemia Properties of Sanghuangporus vaninii and Inonotus hispidus in Rodent Models
Abstract
1. Introduction
2. Materials and Methods
2.1. Experiments Performed on Hyperuricemia Induced by YEP and OXO in Mice
2.2. Experiments Performed on Acute Gouty Arthritis Induced by MSU Crystal Injection in Rats
2.3. Hematoxylin and Eosin (H&E) Staining
2.4. Biochemical Tests
2.5. Immunohistochemistry (IHC) Analysis
2.6. Western Blot Analysis
2.7. Statistics
3. Results
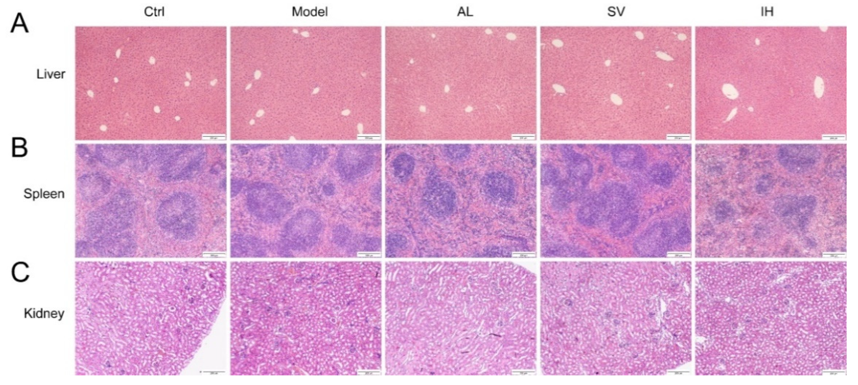
3.1. SV and IH Relieve the Symptoms in Hyperuricemia in Mice
3.2. SV and IH Relieve the Symptoms in Rats with Acute Gouty Arthritis
3.3. SV and IH Display the Anti-Inflammatory Effects in Acute Gouty Arthritis
4. Discussion
5. Conclusions
Author Contributions
Funding
Institutional Review Board Statement
Informed Consent Statement
Data Availability Statement
Conflicts of Interest
References
- Edwards, N.L.; Schlesinger, N.; Clark, S.; Arndt, T.; Lipsky, P.E. Management of Gout in the United States: A Claims-based Analysis. ACR Open Rheumatol. 2020, 2, 180–187. [Google Scholar] [CrossRef] [PubMed]
- Pan, A.; Teng, G.G.; Yuan, J.M.; Koh, W.P. Bidirectional Association between Self-Reported Hypertension and Gout: The Singapore Chinese Health Study. PLoS ONE 2015, 10, e0141749. [Google Scholar] [CrossRef] [PubMed]
- Fang, Y.J.; Chung, Y.L.; Lin, C.L.; Lim, Y.P. Association between Gout, Urate-Lowering Therapy, and Risk of Developing Type 2 Diabetes Mellitus: A Nationwide Population-Based Retrospective Cohort Study. BioMed Res. Int. 2020, 2020, 6358954. [Google Scholar] [CrossRef] [PubMed]
- Konishi, M.; Kojima, S.; Uchiyama, K.; Yokota, N.; Tokutake, E.; Wakasa, Y.; Hiramitsu, S.; Waki, M.; Jinnouchi, H.; Kakuda, H.; et al. Effect of febuxostat on clinical outcomes in patients with hyperuricemia and cardiovascular disease. Int. J. Cardiol. 2022, 349, 127–133. [Google Scholar] [CrossRef] [PubMed]
- Mitomo, S.; Hirota, M.; Fujita, T. New xanthine oxidase inhibitors from the fruiting bodies of Tyromyces fissilis. Biosci. Biotechnol. Biochem. 2019, 83, 813–823. [Google Scholar] [CrossRef]
- Sekine, M.; Okamoto, K.; Ichida, K. Association of Mutations Identified in Xanthinuria with the Function and Inhibition Mechanism of Xanthine Oxidoreductase. Biomedicines 2021, 9, 1723. [Google Scholar] [CrossRef]
- Nuki, G.; Simkin, P.A. A concise history of gout and hyperuricemia and their treatment. Arthritis Res. Ther. 2006, 8, S1. [Google Scholar] [CrossRef][Green Version]
- Martinon, F.; Pétrilli, V.; Mayor, A.; Tardivel, A.; Tschopp, J. Gout-associated uric acid crystals activate the NALP3 inflammasome. Nature 2006, 440, 237–241. [Google Scholar] [CrossRef]
- Schweyer, S.; Hemmerlein, B.; Radzun, H.J.; Fayyazi, A. Continuous recruitment, co-expression of tumour necrosis factor-alpha and matrix metalloproteinases, and apoptosis of macrophages in gout tophi. Virchows Arch.-Int. J. Pathol. 2000, 437, 534–539. [Google Scholar] [CrossRef]
- Chen, H.; Zheng, S.; Wang, Y.; Zhu, H.; Liu, Q.; Xue, Y.; Qiu, J.; Zou, H.; Zhu, X. The effect of resveratrol on the recurrent attacks of gouty arthritis. Clin. Rheumatol. 2016, 35, 1189–1195. [Google Scholar] [CrossRef]
- Punzi, L.; Scanu, A.; Galozzi, P.; Luisetto, R.; Spinella, P.; Scire, C.A.; Oliviero, F. One year in review 2020: Gout. Clin. Exp. Rheumatol. 2020, 38, 807–821. [Google Scholar] [PubMed]
- Li, S.; Li, L.; Yan, H.; Jiang, X.; Hu, W.; Han, N.; Wang, D. Anti-gouty arthritis and anti-hyperuricemia properties of celery seed extracts in rodent models. Mol. Med. Rep. 2019, 20, 4623–4633. [Google Scholar] [CrossRef] [PubMed]
- Li, L.; Teng, M.; Liu, Y.; Qu, Y.; Zhang, Y.; Lin, F.; Wang, D. Anti-Gouty Arthritis and Antihyperuricemia Effects of Sunflower (Helianthus annuus) Head Extract in Gouty and Hyperuricemia Animal Models. BioMed Res. Int. 2017, 2017, 5852076. [Google Scholar] [CrossRef]
- van Echteld, I.; Wechalekar, M.D.; Schlesinger, N.; Buchbinder, R.; Aletaha, D. Colchicine for acute gout. Cochrane Database Syst. Rev. 2014, Cd006190. [Google Scholar] [CrossRef]
- Schlee, S.; Bollheimer, L.C.; Bertsch, T.; Sieber, C.C.; Harle, P. Crystal arthritides—Gout and calcium pyrophosphate arthritis Part 3: Treatment. Z. Gerontol. Geriatr. 2018, 51, 703–710. [Google Scholar] [CrossRef] [PubMed]
- Hoyer, D.; Atti, C.; Nuding, S.; Vogt, A.; Sedding, D.G.; Schott, A. Toxic Epidermal Necrolysis Caused by Allopurinol: A Serious but Still Underestimated Adverse Reaction. Am. J. Case Rep. 2021, 22, e932921-1–e932921-6. [Google Scholar] [CrossRef] [PubMed]
- Venturella, G.; Ferraro, V.; Cirlincione, F.; Gargano, M.L. Medicinal Mushrooms: Bioactive Compounds, Use, and Clinical Trials. Int. J. Mol. Sci. 2021, 22, 634. [Google Scholar] [CrossRef] [PubMed]
- Chen, X.Y.; Ji, H.Y.; Xu, X.M.; Liu, A.J. Optimization of polysaccharide extraction process from grifola frondosa and its antioxidant and anti-tumor research. J. Food Meas. Charact. 2019, 13, 144–153. [Google Scholar] [CrossRef]
- Alzorqi, I.; Sudheer, S.; Lu, T.J.; Manickam, S. Ultrasonically extracted beta-D-glucan from artificially cultivated mushroom, characteristic properties and antioxidant activity. Ultrason. Sonochem. 2017, 35, 531–540. [Google Scholar] [CrossRef] [PubMed]
- Yong, T.Q.; Chen, S.D.; Xie, Y.Z.; Chen, D.L.; Su, J.Y.; Shuai, O.; Jiao, C.W.; Zuo, D. Hypouricemic Effects of Ganoderma applanatum in Hyperuricemia Mice through OAT1 and GLUT9. Front. Pharmacol. 2018, 8, 996. [Google Scholar] [CrossRef]
- Yong, T.Q.; Chen, S.D.; Liang, D.L.; Zuo, D.; Diao, X.; Deng, C.L.; Wu, Y.N.; Hu, H.P.; Xie, Y.Z.; Chen, D.L. Actions of Inonotus obliquus against Hyperuricemia through XOD and Bioactives Screened by Molecular Modeling. Int. J. Mol. Sci. 2018, 19, 3222. [Google Scholar] [CrossRef]
- Han, J.G.; Oh, J.; Jo, J.W.; Kim, C.S.; Kwag, Y.N.; Han, S.K.; Sung, G.H. The complete mitochondrial genome of Sanghuangporus sanghuang (Hymenochaetaceae, Basidiomycota). Mitochondrial DNA Part B-Resour. 2018, 3, 456–457. [Google Scholar] [CrossRef] [PubMed]
- Lin, W.C.; Deng, J.S.; Huang, S.S.; Wu, S.H.; Lin, H.Y.; Huang, G.J. Evaluation of antioxidant, anti-inflammatory and anti-proliferative activities of ethanol extracts from different varieties of Sanghuang species. RSC Adv. 2017, 7, 7780–7788. [Google Scholar] [CrossRef]
- Li, H.X.; Zhang, X.Y.; Gu, L.L.; Li, Q.; Ju, Y.; Zhou, X.B.; Hu, M.; Li, Q. Anti-Gout Effects of the Medicinal Fungus Phellinus igniarius in Hyperuricaemia and Acute Gouty Arthritis Rat Models. Front. Pharmacol. 2022, 12, 801910. [Google Scholar] [CrossRef] [PubMed]
- Guo, S.S.; Duan, W.W.; Wang, Y.X.; Chen, L.M.; Yang, C.C.; Gu, X.Z.; Xue, Q.H.; Li, R.R.; Zhang, Z.J. Component Analysis and Anti-Colorectal Cancer Mechanism via AKT/mTOR Signalling Pathway of Sanghuangporus vaninii Extracts. Molecules 2022, 27, 1153. [Google Scholar] [CrossRef] [PubMed]
- Angelini, P.; Girometta, C.; Tirillini, B.; Moretti, S.; Covino, S.; Cipriani, M.; D’Ellena, E.; Angeles, G.; Federici, E.; Savino, E.; et al. A comparative study of the antimicrobial and antioxidant activities of Inonotus hispidus fruit and their mycelia extracts. Int. J. Food Prop. 2019, 22, 768–783. [Google Scholar] [CrossRef]
- Yang, S.D.; Bao, H.Y.; Wang, H.; Li, Q.J. Anti-tumour Effect and Pharmacokinetics of an Active Ingredient Isolated from Inonotus hispidus. Biol. Pharm. Bull. 2019, 42, 10–17. [Google Scholar] [CrossRef]
- Liu, S.H.; Sun, S.W.; Tian, Z.F.; Wu, J.Y.; Li, X.L.; Xu, C.P. Antioxidant and Hypoglycemic Activities of Exopolysaccharide by Submerged Culture of Inocutus Hispidus. Indian J. Pharm. Sci. 2015, 77, 361–365. [Google Scholar] [CrossRef] [PubMed]
- Jiang, X.; Hao, J.; Liu, Z.; Ma, X.; Feng, Y.; Teng, L.; Li, Y.; Wang, D. Anti-obesity effects of Grifola frondosa through the modulation of lipid metabolism via ceramide in mice fed a high-fat diet. Food Funct. 2021, 12, 6725–6739. [Google Scholar] [CrossRef]
- Terkeltaub, R.; Baird, S.; Sears, P.; Santiago, R.; Boisvert, W. The murine homolog of the interleukin-8 receptor CXCR-2 is essential for the occurrence of neutrophilic inflammation in the air pouch model of acute urate crystal-induced gouty synovitis. Arthritis Rheum. 1998, 41, 900–909. [Google Scholar] [CrossRef]
- Choi, H.K.; Mount, D.B.; Reginato, A.M. Pathogenesis of gout. Ann. Intern. Med. 2005, 143, 499–516. [Google Scholar] [CrossRef]
- Chu, S.C.; Yang, S.F.; Lue, K.H.; Hsieh, Y.S.; Hsiao, T.Y.; Lu, K.H. Urokinase-type plasminogen activator, receptor, and inhibitor correlating with gelatinase-B (MMP-9) contribute to inflammation in Gouty arthritis of the knee. J. Rheumatol. 2006, 33, 311–317. [Google Scholar] [PubMed]
- Heissig, B.; Nishida, C.; Tashiro, Y.; Sato, Y.; Ishihara, M.; Ohki, M.; Gritli, I.; Rosenkvist, J.; Hattori, K. Role of neutrophil-derived matrix metalloproteinase-9 in tissue regeneration. Histol. Histopathol. 2010, 25, 765–770. [Google Scholar] [CrossRef] [PubMed]
- Surlin, P.; Oprea, B.; Solomon, S.M.; Popa, S.-G.; Mota, M.; Mateescu, G.O.; Rauten, A.-M.; Popescu, D.-M.; Dragomir, L.-P.; Puiu, I.; et al. Matrix metalloproteinase-7,-8,-9 and-13 in gingival tissue of patients with type 1 diabetes and periodontitis. Rom. J. Morphol. Embryol. 2014, 55, 1137–1141. [Google Scholar]
- Itoh, T.; Matsuda, H.; Tanioka, M.; Kuwabara, K.; Itohara, S.; Suzuki, R. The role of matrix metalloproteinase-2 and matrix metalloproteinase-9 in antibody-induced arthritis. J. Immunol. 2002, 169, 2643–2647. [Google Scholar] [CrossRef] [PubMed]
- Sato, H.; Takino, T.; Okada, Y.; Cao, J.; Shinagawa, A.; Yamamoto, E.; Seiki, M. A matrix metalloproteinase expressed on the surface of invasive tumour cells. Nature 1994, 370, 61–65. [Google Scholar] [CrossRef] [PubMed]
- Ahrens, D.; Koch, A.E.; Pope, R.M.; Stein-Picarella, M.; Niedbala, M.J. Expression of matrix metalloproteinase 9 (96-kd gelatinase B) in human rheumatoid arthritis. Arthritis Rheum. 1996, 39, 1576–1587. [Google Scholar] [CrossRef]
- Jovanovic, D.V.; Martel-Pelletier, J.; Di Battista, J.A.; Mineau, F.; Jolicoeur, F.C.; Benderdour, M.; Pelletier, J.P. Stimulation of 92-kd gelatinase (matrix metalloproteinase 9) production by interleukin-17 in human monocyte/macrophages—A possible role in rheumatoid arthritis. Arthritis Rheum. 2000, 43, 1134–1144. [Google Scholar] [CrossRef]
- Ahmed, M.A.E.; El Morsy, E.M.; Ahmed, A.A.E. Protective effects of febuxostat against paraquat- induced lung toxicity in rats: Impact on RAGE/PI3K/Akt pathway and downstream inflammatory cascades. Life Sci. 2019, 221, 56–64. [Google Scholar] [CrossRef]
- Ruiz, V.; Ordonez, R.M.; Berumen, J.; Ramirez, R.; Uhal, B.; Becerril, C.; Pardo, A.; Selman, M. Unbalanced collagenases/TIMP-1 expression and epithelial apoptosis in experimental lung fibrosis. Am. J. Physiol.-Lung Cell. Mol. Physiol. 2003, 285, L1026–L1036. [Google Scholar] [CrossRef] [PubMed]
- Matsukawa, A.; Yoshimura, T.; Maeda, T.; Takahashi, T.; Ohkawara, S.; Yoshinaga, M. Analysis of the cytokine network among tumor necrosis factor alpha, interleukin-1beta, interleukin-8, and interleukin-1 receptor antagonist in monosodium urate crystal-induced rabbit arthritis. Lab. Investig. A J. Tech. Methods Pathol. 1998, 78, 559–569. [Google Scholar]
- Chapman, P.T.; Yarwood, H.; Harrison, A.A.; Stocker, C.J.; Jamar, F.; Gundel, R.H.; Peters, A.M.; Haskard, D.O. Endothelial activation in monosodium urate monohydrate crystal-induced inflammation: In vitro and in vivo studies on the roles of tumor necrosis factor alpha and interleukin-1. Arthritis Rheum. 1997, 40, 955–965. [Google Scholar] [CrossRef] [PubMed]
- Zhang, Y.; Pan, R.; Xu, Y.; Zhao, Y. Treatment of refractory gout with TNF-α antagonist etanercept combined with febuxostat. Ann. Palliat. Med. 2020, 9, 4332–4338. [Google Scholar] [CrossRef] [PubMed]
- Hashizume, M.; Mihara, M. Blockade of IL-6 and TNF-alpha inhibited oxLDL-induced production of MCP-1 via scavenger receptor induction. Eur. J. Pharmacol. 2012, 689, 249–254. [Google Scholar] [CrossRef] [PubMed]
- Wang, Z.; Wang, X.; Yan, H.; Liu, Y.; Li, L.; Li, S.; Wang, X.; Wang, D. Aronia melanocarpa ameliorates gout and hyperuricemia in animal models. Food Agric. Immunol. 2019, 30, 47–59. [Google Scholar] [CrossRef]
- Li, L.; Wang, D.; Wang, X.; Bai, R.; Wang, C.; Gao, Y.; Anastassiades, T. N-Butyrylated hyaluronic acid ameliorates gout and hyperuricemia in animal models. Pharm. Biol. 2019, 57, 717–728. [Google Scholar] [CrossRef] [PubMed]
- Brat, D.J.; Bellail, A.C.; Van Meir, E.G. The role of interleukin-8 and its receptors in gliomagenesis and tumoral angiogenesis. Neuro-Oncology 2005, 7, 122–133. [Google Scholar] [CrossRef] [PubMed]
- Kim, K.W.; Kim, B.M.; Lee, K.A.; Kim, H.S.; Lee, S.H.; Kim, H.R. Reciprocal interaction between macrophage migration inhibitory factor and interleukin-8 in gout. Clin. Exp. Rheumatol. 2019, 37, 270–278. [Google Scholar] [PubMed]
- Zhang, Y.; Hao, J.; Liu, Z.; Li, Z.; Teng, L.; Wang, D. Inonotus hispidus Protects against Hyperlipidemia by Inhibiting Oxidative Stress and Inflammation through Nrf2/NF-κB Signaling in High Fat Diet Fed Mice. Nutrients 2022, 14, 3477. [Google Scholar] [CrossRef]






| Days | Ctrl | Model | AL | SV | IH | |
|---|---|---|---|---|---|---|
| Body weight (g) | 1 | 28.07 ± 1.18 | 27.92 ± 0.96 | 27.28 ± 0.52 | 28.17 ± 0.37 | 27.57 ± 0.87 |
| 2 | 28.50 ± 1.34 | 27.43 ± 0.74 | 27.67 ± 1.39 | 28.27 ± 0.95 | 28.47 ± 0.78 | |
| 3 | 29.07 ± 1.11 | 27.58 ± 0.62 | 27.67 ± 1.59 | 28.27 ± 1.22 | 29.20 ± 1.09 | |
| 4 | 29.23 ± 0.62 | 27.50 ± 1.14 | 27.57 ± 1.49 | 27.88 ± 0.86 | 29.00 ± 1.23 | |
| 5 | 28.13 ± 0.62 | 27.17 ± 0.82 | 27.90 ± 1.15 | 27.37 ± 1.06 | 27.83 ± 1.49 | |
| 6 | 27.63 ± 1.21 | 26.88 ± 0.94 | 27.10 ± 0.94 | 27.33 ± 1.15 | 28.00 ± 0.64 | |
| 7 | 28.58 ± 0.61 | 26.92 ± 0.89 | 26.70 ± 1.21 | 27.13 ± 1.29 | 27.90 ± 1.82 | |
| Organ index (mg/g) | Liver | 47.61 ± 2.74 | 49.25 ± 3.02 | 49.83 ± 3.32 | 45.48 ± 2.33 | 50.45 ± 2.75 |
| Spleen | 3.01 ± 0.26 | 3.47 ± 0.31 | 3.75 ± 0.74 | 3.40 ± 0.43 | 3.45 ± 0.38 | |
| Kidney | 14.95 ± 0.96 | 13.67 ± 0.82 | 14.90 ± 0.39 | 14.78 ± 1.34 | 15.48 ± 1.24 |
| Days | Ctrl | Model | COL | SV | IH | |
|---|---|---|---|---|---|---|
| Body weight (g) | 1 | 355.93 ± 11.71 | 356.98 ± 14.91 | 355.42 ± 11.46 | 359.05 ± 8.57 | 362.42 ± 4.71 |
| 2 | 360.67 ± 9.62 | 364.62 ± 19.08 | 364.02 ± 12.78 | 364.98 ± 10.08 | 367.00 ± 3.65 | |
| 3 | 351.38 ± 16.14 | 343.80 ± 12.95 | 346.70 ± 8.21 | 353.82 ± 13.42 | 355.07 ± 4.09 | |
| 4 | 366.93 ± 9.17 | 377.65 ± 7.16 | 366.52 ± 5.65 | 371.22 ± 15.13 | 370.03 ± 12.50 | |
| 5 | 367.45 ± 16.69 | 376.10 ± 15.67 | 370.68 ± 13.62 | 368.8 ± 14.23 | 364.28 ± 16.72 | |
| 6 | 361.15 ± 16.74 | 373.70 ± 13.95 | 362.38 ± 15.43 | 376.1 ± 12.20 | 376.95 ± 8.41 | |
| 7 | 370.92 ± 9.67 | 376.97 ± 7.63 | 370.35 ± 9.71 | 378.13 ± 12.63 | 375.97 ± 13.69 | |
| Organ index (mg/g) | Liver | 38.05 ± 2.00 | 39.19 ± 1.77 | 38.17 ± 1.66 | 38.59 ± 2.84 | 39.81 ± 2.19 |
| Spleen | 2.06 ± 0.22 | 2.07 ± 0.13 | 2.00 ± 0.21 | 1.78 ± 0.23 | 2.46 ± 0.35 | |
| Kidney | 6.94 ± 0.77 | 6.88 ± 0.79 | 6.71 ± 0.58 | 6.80 ± 0.55 | 7.58 ± 0.86 |
Publisher’s Note: MDPI stays neutral with regard to jurisdictional claims in published maps and institutional affiliations. |
© 2022 by the authors. Licensee MDPI, Basel, Switzerland. This article is an open access article distributed under the terms and conditions of the Creative Commons Attribution (CC BY) license (https://creativecommons.org/licenses/by/4.0/).
Share and Cite
Sun, Z.; Li, Z.; Tan, Y.; Wang, X.; Wang, C.; Dong, M.; Liu, H.; Chen, H.; Li, Y.; Li, L.; et al. Anti-Gouty Arthritis and Anti-Hyperuricemia Properties of Sanghuangporus vaninii and Inonotus hispidus in Rodent Models. Nutrients 2022, 14, 4421. https://doi.org/10.3390/nu14204421
Sun Z, Li Z, Tan Y, Wang X, Wang C, Dong M, Liu H, Chen H, Li Y, Li L, et al. Anti-Gouty Arthritis and Anti-Hyperuricemia Properties of Sanghuangporus vaninii and Inonotus hispidus in Rodent Models. Nutrients. 2022; 14(20):4421. https://doi.org/10.3390/nu14204421
Chicago/Turabian StyleSun, Zhen, Zhige Li, Yunyun Tan, Xiuxiu Wang, Chunxia Wang, Mingyuan Dong, Honghan Liu, Heng Chen, Yu Li, Lanzhou Li, and et al. 2022. "Anti-Gouty Arthritis and Anti-Hyperuricemia Properties of Sanghuangporus vaninii and Inonotus hispidus in Rodent Models" Nutrients 14, no. 20: 4421. https://doi.org/10.3390/nu14204421
APA StyleSun, Z., Li, Z., Tan, Y., Wang, X., Wang, C., Dong, M., Liu, H., Chen, H., Li, Y., Li, L., & Wang, D. (2022). Anti-Gouty Arthritis and Anti-Hyperuricemia Properties of Sanghuangporus vaninii and Inonotus hispidus in Rodent Models. Nutrients, 14(20), 4421. https://doi.org/10.3390/nu14204421
