Paranasal Sinus CT and Polysomnographic Findings in Adults with Cystic Fibrosis: Implications for Obstructive Sleep Apnea
Abstract
1. Introduction
2. Materials and Methods
2.1. Study Design and Participants
2.2. Polysomnography and the Epworth Sleepiness Scale
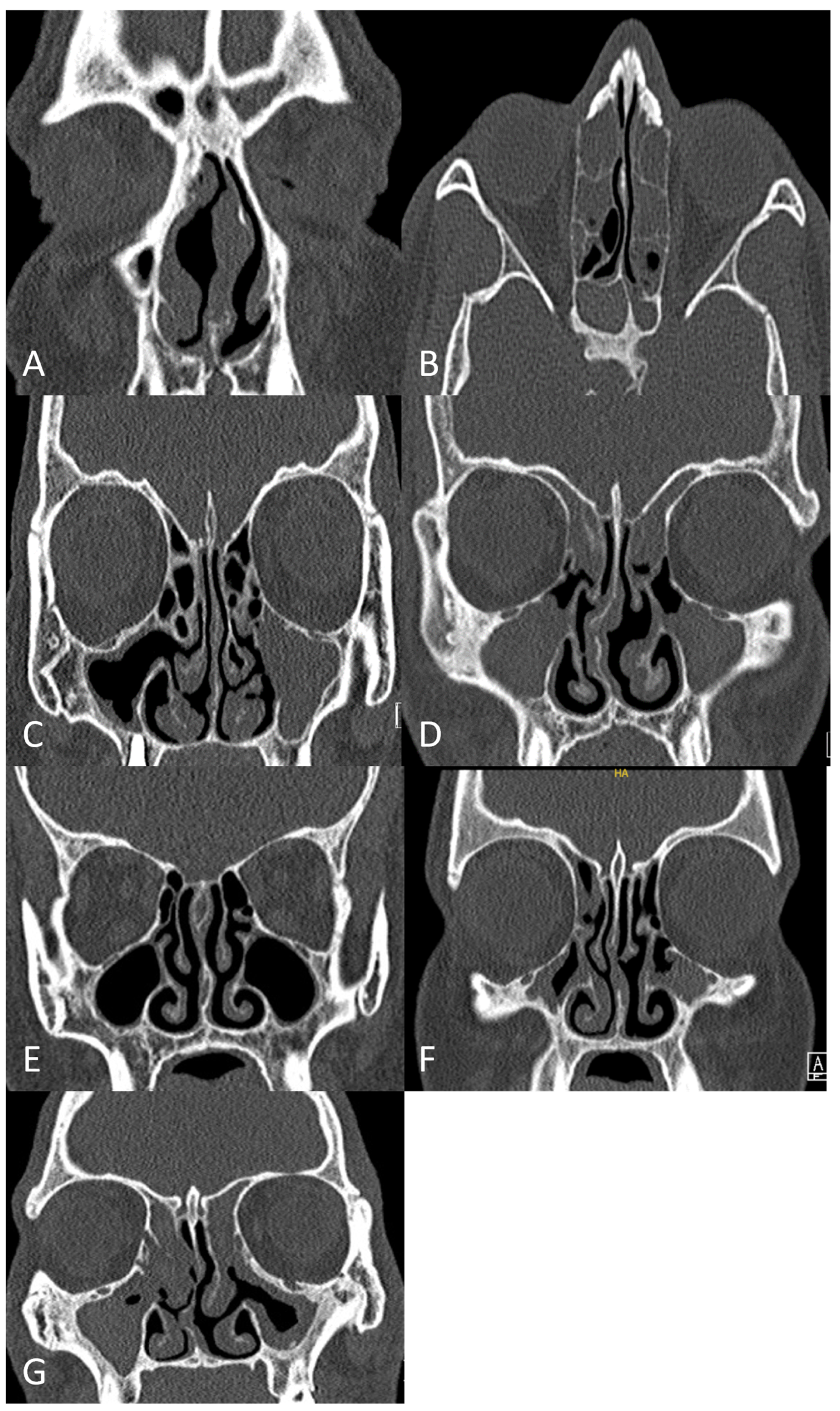
2.3. Computed Tomography (CT) Acquisition
2.4. Lund–Mackay Score (LMS) and Main Nasal Cavity Score (MNCS)
2.5. Statistical Analysis
3. Results
3.1. Study Population
3.2. Sleep Recording
3.3. OSA vs. Non-OSA Group Comparisons
3.4. Association Between CF-CRS and Sleep Parameters
3.5. Differences in Clinical Characteristics and Polysomnographic Findings in Relation to CFTR Modulator Use
4. Discussion
5. Conclusions
Author Contributions
Funding
Institutional Review Board Statement
Informed Consent Statement
Data Availability Statement
Acknowledgments
Conflicts of Interest
References
- Ong, T.; Ramsey, B.W. Cystic Fibrosis: A Review. JAMA 2023, 329, 1859–1871. [Google Scholar] [CrossRef] [PubMed]
- Kang, S.H.; Dalcin, P.D.T.R.; Piltcher, O.B.; Migliavacca, R.D.O. Chronic rhinosinusitis and nasal polyposis in cystic fibrosis: Update on diagnosis and treatment. J. Bras. De Pneumol. 2015, 41, 65–76. [Google Scholar] [CrossRef] [PubMed]
- Fokkens, W.J.; Lund, V.J.; Hopkins, C.; Hellings, P.W.; Kern, R.; Reitsma, S.; Toppila-Salmi, S.; Bernal-Sprekelsen, M.; Mullol, J.; Terezinha Anselmo-Lima, W.; et al. European Position Paper on Rhinosinusitis and Nasal Polyps 2020. Rhinol. J. 2020, 58, 1–464. [Google Scholar] [CrossRef] [PubMed]
- Krajewska, J.; Zub, K.; Słowikowski, A.; Zatoński, T. Chronic rhinosinusitis in cystic fibrosis: A review of therapeutic options. Eur. Arch. Oto-Rhino-Laryngol. 2022, 279, 1–24. [Google Scholar] [CrossRef]
- Freitas, M.R.D.; Vasconcelos, D.N.; Holanda Araújo Freitas, Â.E.D.; Filho, J.H.M.; Castro e Silva, C.D. Nasal endoscopic and CT scan alterations of the paranasal sinuses as predictors of severity in patients with cystic fibrosis. Braz. J. Otorhinolaryngol. 2015, 79, 480–486. [Google Scholar] [CrossRef]
- Casserly, P.; Harrison, M.; O’Connell, O.; O’Donovan, N.; Plant, B.J.; O’Sullivan, P. Nasal endoscopy and paranasal sinus computerised tomography (CT) findings in an Irish cystic fibrosis adult patient group. Eur. Arch. Oto-Rhino-Laryngol. 2015, 272, 3353–3359. [Google Scholar] [CrossRef]
- Habib, A.-R.R.; Manji, J.; Wilcox, P.G.; Javer, A.R.; Buxton, J.A.; Quon, B.S. A systematic review of factors associated with health-related quality of life in adolescents and adults with cystic fibrosis. Ann. Am. Thorac. Soc. 2015, 12, 420–428. [Google Scholar] [CrossRef]
- Lumertz, M.S.; Pinto, L.A. Sleep-disordered breathing in cystic fibrosis pediatric subjects. Sleep Sci. 2019, 12, 165–170. [Google Scholar] [CrossRef]
- Maqsood, A.; Ma, X.; Tullis, E.; Ryan, C.M.; Anand, A.; Stephenson, A.L.; Vozoris, N.T. Sleep breathing disorder frequency, risk factors, and treatment among adults with cystic fibrosis. J. Cyst. Fibros. 2023, 23, 144–149. [Google Scholar] [CrossRef]
- Shakkottai, A.; Nasr, S.Z.; Hassan, F.; Irani, S.; O’Brien, L.M.; Chervin, R.D. Sleep-disordered breathing in cystic fibrosis. Sleep Med. 2020, 74, 57–65. [Google Scholar] [CrossRef]
- Reiter, J.; Gileles-Hillel, A.; Cohen-Cymberknoh, M.; Rosen, D.; Kerem, E.; Gozal, D.; Forno, E. Sleep disorders in cystic fibrosis: A systematic review and meta-analysis. Sleep Med. Rev. 2020, 51, 101279. [Google Scholar] [CrossRef]
- Welsner, M.; Dietz-Terjung, S.; Stehling, F.; Schulte, T.; Niehammer, U.; Gahbiche, F.E.; Taube, C.; Strassburg, S.; Schoebel, C.; Weinreich, G.; et al. Obstructive sleep apnea and nocturnal hypoxemia in adult patients with cystic fibrosis. BMC Pulm. Med. 2022, 22, 446. [Google Scholar] [CrossRef]
- Jensen, J.L.; Jones, C.R.; Kartsonaki, C.; Packer, K.A.; Adler, F.R.; Liou, T.G. Sleep Phase Delay in Cystic Fibrosis: A Potential New Manifestation of Cystic Fibrosis Transmembrane Regulator Dysfunction. Chest 2017, 152, 386–393. [Google Scholar] [CrossRef] [PubMed]
- Mulette, P.; Ravoninjatovo, B.; Guguen, C.; Barbe, C.; Ancel, J.; Dury, S.; Dumazet, A.; Perdu, D.; Perotin, J.-M.; Guillard, T.; et al. Insomnia in adults with cystic fibrosis: Strong association with anxiety/depression and impaired quality of life. BMC Pulm. Med. 2021, 21, 108. [Google Scholar] [CrossRef] [PubMed]
- Bouka, A.; Tiede, H.; Liebich, L.; Dumitrascu, R.; Hecker, C.; Reichenberger, F.; Mayer, K.; Seeger, W.; Schulz, R. Quality of life in clinically stable adult cystic fibrosis out-patients: Associations with daytime sleepiness and sleep quality. Respir. Med. 2012, 106, 1244–1249. [Google Scholar] [CrossRef]
- Dancey, D.R.; Tullis, E.D.; Heslegrave, R.; Thornley, K.; Hanly, P.J. Sleep quality and daytime function in adults with cystic fibrosis and severe lung disease. Eur. Respir. J. 2002, 19, 504–510. [Google Scholar] [CrossRef] [PubMed]
- Cox, N.S.; Pepin, V.; Holland, A.E. Greater Sleep Fragmentation Is Associated with Less Physical Activity in Adults with Cystic Fibrosis. J. Cardiopulm. Rehabil. Prev. 2019, 39, E11–E14. [Google Scholar] [CrossRef]
- Bista, S.R.; Pena, T.; Schissel, M.E.; Smith, L.M.; Murphy, P.J.; Dickinson, J.D. Restless legs syndrome is prevalent in adults with cystic fibrosis and impacts sleep quality. J. Cyst. Fibros. 2023, 23, 137–143. [Google Scholar] [CrossRef]
- Thomas, C.S.; Brown, R.F. Sleep Screening for Cystic Fibrosis Patients: A Survey of Cystic Fibrosis Programs. Pediatr. Pulmonol. 2020, 55, 3358–3363. [Google Scholar] [CrossRef]
- Perin, C.; Fagondes, S.C.; Casarotto, F.C.; Pinotti, A.F.F.; Menna Barreto, S.S.; Dalcin, P.D.T.R. Sleep findings and predictors of sleep desaturation in adult cystic fibrosis patients. Sleep Breath. 2012, 16, 1041–1048. [Google Scholar] [CrossRef]
- Silva, A.M.; Descalço, A.; Salgueiro, M.; Pereira, L.; Barreto, C.; Bandeira, T.; Ferreira, R. Respiratory sleep disturbance in children and adolescents with cystic fibrosis. Rev. Port. De Pneumol. 2016, 22, 202–208. [Google Scholar] [CrossRef]
- Veronezi, J.; Carvalho, A.P.; Ricachinewsky, C.; Hoffmann, A.; Kobayashi, D.Y.; Piltcher, O.B.; e Silva, F.A.A.; Martinez, D. Sleep-disordered breathing in patients with cystic fibrosis. J. Bras. De Pneumol. 2015, 41, 351–357. [Google Scholar] [CrossRef] [PubMed]
- Shakkottai, A.; Irani, S.; Nasr, S.Z.; O’Brien, L.M.; Chervin, R.D. Risk factors for obstructive sleep apnea in cystic fibrosis. Pediatr. Pulmonol. 2022, 57, 926–934. [Google Scholar] [CrossRef]
- Young, T.; Palta, M.; Dempsey, J.; Skatrud, J.; Weber, S.; Badr, S. The occurrence of sleep-disordered breathing among middle-aged adults. New Engl. J. Med. 1993, 328, 1230–1235. [Google Scholar] [CrossRef] [PubMed]
- Spicuzza, L.; Sciuto, C.; Leonardi, S.; La Rosa, M. Early occurrence of obstructive sleep apnea in infants and children with cystic fibrosis. Arch. Pediatr. Adolesc. Med. 2012, 166, 1165–1169. [Google Scholar] [CrossRef] [PubMed]
- Ramos, R.T.T.; Salles, C.; Gregório, P.B.; Barros, A.T.; Santana, A.; Araújo-Filho, J.B.; Acosta, A.X. Evaluation of the upper airway in children and adolescents with cystic fibrosis and obstructive sleep apnea syndrome. Int. J. Pediatr. Otorhinolaryngol. 2009, 73, 1780–1785. [Google Scholar] [CrossRef]
- Won, J.Y.; Nam, E.-C.; Lim, T.; Joo, J.B.; Hong, S.-N.; Lee, W.H. Effect of sinus opacification on the severity of obstructive sleep apnea. Sleep Breath. 2022, 26, 847–853. [Google Scholar] [CrossRef]
- Jiang, R.-S.; Liang, K.-L.; Hsin, C.-H.; Su, M.-C. The impact of chronic rhinosinusitis on sleep-disordered breathing. Rhinology 2016, 54, 75–79. [Google Scholar] [CrossRef][Green Version]
- Mahdavinia, M.; Hui, J.W.; Zitun, M.; Lastra, A.; Herdegen, J.J.; Codispoti, C.D.; Khan, R.J.; LoSavio, P.S.; Batra, P.S. Patients with chronic rhinosinusitis and obstructive sleep apnea have increased paroxysmal limb movement. Am. J. Rhinol. Allergy 2018, 32, 94–97. [Google Scholar] [CrossRef]
- Alt, J.A.; DeConde, A.S.; Mace, J.C.; Steele, T.O.; Orlandi, R.R.; Smith, T.L. Quality of Life in Patients with Chronic Rhinosinusitis and Sleep Dysfunction Undergoing Endoscopic Sinus Surgery: A Pilot Investigation of Comorbid Obstructive Sleep Apnea. JAMA Otolaryngol.-Head Neck Surg. 2015, 141, 873–881. [Google Scholar] [CrossRef]
- Miller, M.R.; Hankinson, J.; Brusasco, V.; Burgos, F.; Casaburi, R.; Coates, A.; Crapo, R.; Enright, P.; Van Der Grinten, C.P.M.; Gustafsson, P.; et al. Standardisation of spirometry. Eur. Respir. J. 2005, 26, 319–338. [Google Scholar] [CrossRef]
- Quanjer, P.H.; Stanojevic, S.; Cole, T.J.; Baur, X.; Hall, G.L.; Culver, B.H.; Enright, P.L.; Hankinson, J.L.; Ip, M.S.M.; Zheng, J.; et al. Multi-ethnic reference values for spirometry for the 3–95-yr age range: The global lung function 2012 equations. Eur. Respir. J. 2012, 40, 1324–1343. [Google Scholar] [CrossRef] [PubMed]
- Berry, R.B.; Brooks, R.; Gamaldo, C.E.; Harding, S.M.; Lloyd, R.M.; Marcus, C.L.; Vaughn, B.V. The AASM Manual for the Scoring of Sleep and Associated Events: Rules, Terminology and Technical Specifications, Version 2.2; American Academy of Sleep Medicine: Darien, IL, USA, 2015. [Google Scholar]
- Ramos, R.T.T.; Santana, M.A.P.; Almeida, P.D.C.; Machado, A.D.S., Jr.; Araújo-Filho, J.B.; Salles, C. Nocturnal hypoxemia in children and adolescents with cystic fibrosis. J. Bras. De Pneumol. 2013, 39, 667–674. [Google Scholar] [CrossRef] [PubMed]
- Johns, M.W. A new method for measuring daytime sleepiness: The Epworth sleepiness scale. Sleep 1991, 14, 540–545. [Google Scholar] [CrossRef] [PubMed]
- Lund, V.J.; Mackay, I.S. Staging in rhinosinusitus. Rhinology 1993, 31, 183–184. [Google Scholar] [PubMed]
- Sousa, L.P.D.; Liberato, F.M.G.; Vendrusculo, F.M.; Donadio, M.V.F.; Barbosa, R.R.B. Obstructive sleep apnea in children and adolescents with cystic fibrosis and preserved lung function or mild impairment: A systematic review and meta-analysis of prevalence. Sleep Med. 2021, 88, 36–43. [Google Scholar] [CrossRef]
- Miyazaki, S.; Itasaka, Y.; Ishikawa, K.; Togawa, K. Influence of nasal obstruction on obstructive sleep apnea. Acta Oto-Laryngol. Supplementum. 1998, 537, 43–46. [Google Scholar] [CrossRef]
- Eischen, E.; Gliksman, M.F.; Segarra, D.; Murtagh, R.D.; Ryan, L.E.; Parasher, A.K.; Tabor, M.H. Correlation between CT imaging and symptom scores in cystic fibrosis associated chronic sinusitis. Am. J. Otolaryngol. 2023, 44, 103858. [Google Scholar] [CrossRef]
- Duffy, A.N.; Alapati, R.; Chitguppi, C.; D’Souza, G.; Parsel, S.M.; Toskala, E.M.; Rosen, M.R.; Nyquist, G.G.; Rabinowitz, M.R. Sleep Subdomain of the Sinonasal Outcome Test as a Potential Screening Tool for Sleep Apnea in Chronic Rhinosinusitis. Laryngoscope 2023, 133, 2029–2034. [Google Scholar] [CrossRef]
- Eckert, D.J.; Malhotra, A. Pathophysiology of adult obstructive sleep apnea. Proc. Am. Thorac. Soc. 2008, 5, 144–153. [Google Scholar] [CrossRef]
- Dempsey, J.A.; Veasey, S.C.; Morgan, B.J.; O’Donnell, C.P. Pathophysiology of sleep apnea. Physiol. Rev. 2010, 90, 47–112. [Google Scholar] [CrossRef] [PubMed]
- Wu, B.G.; Sulaiman, I.; Wang, J.; Shen, N.; Clemente, J.C.; Li, Y.; Laumbach, R.J.; Lu, S.-E.; Udasin, I.; Le-Hoang, O.; et al. Severe Obstructive Sleep Apnea Is Associated with Alterations in the Nasal Microbiome and an Increase in Inflammation. Am. J. Respir. Crit. Care Med. 2019, 199, 99–109. [Google Scholar] [CrossRef] [PubMed]
- Hatipoğlu, U.; Rubinstein, I. Inflammation and obstructive sleep apnea syndrome pathogenesis: A working hypothesis. Respir. Int. Rev. Thorac. Dis. 2003, 70, 665–671. [Google Scholar] [CrossRef] [PubMed]
- Cohen-Cymberknoh, M.; Kerem, E.; Ferkol, T.; Elizur, A. Airway inflammation in cystic fibrosis: Molecular mechanisms and clinical implications. Thorax 2013, 68, 1157–1162. [Google Scholar] [CrossRef]
- Sobol, S.E.; Christodoulopoulos, P.; Manoukian, J.J.; Hauber, H.-P.; Frenkiel, S.; Desrosiers, M.; Fukakusa, M.; Schloss, M.D.; Hamid, Q. Cytokine profile of chronic sinusitis in patients with cystic fibrosis. Arch. Otolaryngol.-Head Neck Surg. 2002, 128, 1295–1298. [Google Scholar] [CrossRef][Green Version]
- McCuaig, S.; Martin, J.G. How the airway smooth muscle in cystic fibrosis reacts in proinflammatory conditions: Implications for airway hyper-responsiveness and asthma in cystic fibrosis. Lancet Respir. Med. 2013, 1, 137–147. [Google Scholar] [CrossRef]
- Nichols, D.P.; Chmiel, J.F. Inflammation and its genesis in cystic fibrosis. Pediatr. Pulmonol. 2015, 50, S39–S56. [Google Scholar] [CrossRef]
- Hays, S.R.; Ferrando, R.E.; Carter, R.; Wong, H.H.; Woodruff, P.G. Structural changes to airway smooth muscle in cystic fibrosis. Thorax 2005, 60, 226–228. [Google Scholar] [CrossRef][Green Version]
- Rubinstein, I. Nasal inflammation in patients with obstructive sleep apnea. Laryngoscope 1995, 105, 175–177. [Google Scholar] [CrossRef]
- Inancli, H.M.; Enoz, M. Obstructive sleep apnea syndrome and upper airway inflammation. Recent Pat. Inflamm. Allergy Drug Discov. 2010, 4, 54–57. [Google Scholar] [CrossRef]
- Jang, J.H.; Panariti, A.; O’Sullivan, M.J.; Pyrch, M.; Wong, C.; Lauzon, A.-M.; Martin, J.G. Characterization of cystic fibrosis airway smooth muscle cell proliferative and contractile activities. Am. J. Physiol. Lung Cell. Mol. Physiol. 2019, 317, L690–L701. [Google Scholar] [CrossRef]
- Cook, D.P.; Rector, M.V.; Bouzek, D.C.; Michalski, A.S.; Gansemer, N.D.; Reznikov, L.R.; Li, X.; Stroik, M.R.; Ostedgaard, L.S.; Alaiwa, M.H.A.; et al. Cystic Fibrosis Transmembrane Conductance Regulator in Sarcoplasmic Reticulum of Airway Smooth Muscle. Implications for Airway Contractility. Am. J. Respir. Crit. Care Med. 2016, 193, 417–426. [Google Scholar] [CrossRef] [PubMed]
- Vandebrouck, C.; Melin, P.; Norez, C.; Robert, R.; Guibert, C.; Mettey, Y.; Becq, F. Evidence that CFTR is expressed in rat tracheal smooth muscle cells and contributes to bronchodilation. Respir. Res. 2006, 7, 113. [Google Scholar] [CrossRef] [PubMed]
- Lamhonwah, A.-M.; Bear, C.E.; Huan, L.J.; Kim Chiaw, P.; Ackerley, C.A.; Tein, I. Cystic fibrosis transmembrane conductance regulator in human muscle: Dysfunction causes abnormal metabolic recovery in exercise. Ann. Neurol. 2010, 67, 802–808. [Google Scholar] [CrossRef]
- Owens, R.L.; Macrea, M.M.; Teodorescu, M. The overlaps of asthma or COPD with OSA: A focused review. Respirology 2017, 22, 1073–1083. [Google Scholar] [CrossRef] [PubMed]
- Welsner, M.; Schulte, T.; Dietz-Terjung, S.; Weinreich, G.; Stehling, F.; Taube, C.; Strassburg, S.; Schoebel, C.; Sutharsan, S. Effect of Triple Combination CFTR Modulator Therapy on Sleep in Adult Patients with Cystic Fibrosis. Respiration 2022, 101, 766–774. [Google Scholar] [CrossRef]
- Stone, R.G.; Short, C.; Davies, J.C.; McNally, P. Chronic rhinosinusitis in the era of CFTR modulator therapy. J. Cyst. Fibros. 2023, 23, 208–213. [Google Scholar] [CrossRef]
- Javaheri, S.; Barbe, F.; Campos-Rodriguez, F.; Dempsey, J.A.; Khayat, R.; Javaheri, S.; Somers, V.K. Sleep Apnea: Types, Mechanisms, and Clinical Cardiovascular Consequences. J. Am. Coll. Cardiol. 2017, 69, 841–858. [Google Scholar] [CrossRef]


| Characteristics | Participants (n = 44) |
|---|---|
| Age, years | 31.1 ± 8.4 (20–49) |
| Female sex, n (%) | 14 (32) |
| Genotype, n (%) | |
| F508del homozygous | 32 (73) |
| F508del heterozygous | 12 (27) |
| CFTR modulator therapy, n (%) | |
| None | 13 (30) |
| Tezacaftor/ivacaftor | 29 (66) |
| Lumacaftor/ivacaftor | 2 (4) |
| Body mass index, kg/m2 | 21.6 ± 3.5 (15.6–31.2) |
| FEV1, L | 2.1 ± 0.8 (1.0–4.8) |
| FEV1, % predicted | 51.8 ± 15.7 (29.0–96.0) |
| FVC, L | 3.4 ± 1.1 (1.5–6.2) |
| FVC, % predicted | 69.2 ± 18.3 (37.0–105.0) |
| FEF25-75, L/s | 1.0 ± 0.7 (0.2–3.9) |
| FEF25-75, % predicted | 23.6 ± 14. (5.0–72.0) |
| Pancreatic insufficiency, n (%) | 43 (98) |
| Pseudomonas aeruginosa positive, n (%) | 26 (59) |
| Cystic fibrosis-related diabetes, n (%) | 9 (20) |
| Oxygen supplementation, n (%) | 0 (0) |
| Nocturnal positive pressure ventilation, n (%) | 0 (0) |
| Previous sinus surgery, n (%) | 28 (64) |
| Parameter | Participants (n = 44) |
|---|---|
| Lund–Mackay score (LMS) | 14.6 ± 5.2 (1.0–24.0) |
| Main nasal cavity score (MNCS) | 1.0 ± 0.6 (0–2.5) |
| LMS + MNCS | 15.5 ± 5.5 (1.5–23.5) |
| TST, min | 303.9 ± 38.0 (218.6–400.0) |
| Sleep efficiency, % | 76.0 ± 9.3 (59.1–93.9) |
| AHI, events/h | 5.3 ± 4.4 (0.0–15.5) |
| AHI ≥ 5 events/h, n (%) | 21 (48) |
| AHI REM, events/h | 12.7 ± 12.5 (0.0–46.2) |
| AHI NREM, events/h | 3.7 ± 3.8 (0.0–17.3) |
| Arousal index, events/h | 17.8 ± 9.5 (0.5–39.4) |
| ODI, events/h | 4.9 ± 4.1 (0.0–15.5) |
| ODI REM, events/h | 12.2 ± 12.2 (0.0–41.5) |
| ODI NREM, events/h | 3.3 ± 3.4 (0.0–15.7) |
| Mean SpO2, % | 91.8 ± 2.5 (84.4–95.7) |
| Minimum SpO2, % | 86.3 ± 4.2 (77.0–92.0) |
| SpO2 < 90%, % TST | 15.3 ± 29.2 (0.0–99.9) |
| SpO2 < 90%, min | 47.4 ± 91.6 (0.0–321.3) |
| Snoring, % TST | 11.1 ± 20.3 (0.0–80.5) |
| PLMs, events/h | 20.0 ± 38.8 (0.0–185.1) |
| ESS score | 6.5 ± 3.8 (0–22) |
| ESS score > 10, n (%) | 6 (14) |
| Parameter | OSA (n = 21) | No OSA (n = 23) | p-Value |
|---|---|---|---|
| Age, years | 33.4 ± 9.7 | 29.1 ± 6.7 | 0.171 |
| Male/Female, n | 16/5 | 14/9 | 0.276 |
| BMI, kg/m2 | 22.0 ± 3.7 | 21.2 ± 3.4 | 0.708 |
| Lund–Mackay score (LMS) | 13.8 ± 5.3 | 15.2 ± 5.0 | 0.355 |
| Main nasal cavity score (MNCS) | 1.0 ± 0.7 | 1.0 ± 0.6 | 0.944 |
| LMS + MNCS | 14.7 ± 5.7 | 16.2 ± 5.3 | 0.383 |
| TST, min | 302.7 ± 27.2 | 305.0 ± 46.4 | 0.846 |
| Sleep efficiency, % | 76.7 ± 8.4 | 75.4 ± 10.3 | 0.645 |
| AHI, events/h | 9.0 ± 3.4 | 1.9 ± 1.3 | <0.001 |
| AHI REM, events/h | 20.8 ± 13.3 | 5.3 ± 5.0 | <0.001 |
| AHI NREM, events/h | 6.3 ± 3.8 | 1.2 ± 1.0 | <0.001 |
| Arousal index, events/h | 21.2 ± 8.8 | 14.7 ± 9.1 | 0.021 |
| ODI, events/h | 8.4 ± 3.3 | 1.8 ± 1.2 | <0.001 |
| ODI REM, events/h | 20.4 ± 12.7 | 5.1 ± 5.0 | <0.001 |
| ODI NREM, events/h | 5.7 ± 3.5 | 1.2 ± 1.0 | <0.001 |
| Mean SpO2, % | 90.6 ± 2.9 | 92.9 ± 1.6 | 0.002 |
| Minimum SpO2, % | 83.1 ± 3.4 | 89.2 ± 2.1 | <0.001 |
| SpO2 < 90%, % TST | 30.2 ± 37.0 | 1.7 ± 4.4 | <0.001 |
| SpO2 < 90%, min | 94.2 ± 116.2 | 4.7 ± 11.4 | <0.001 |
| Snoring, % TST | 15.0 ± 21.3 | 7.5 ± 19.2 | 0.049 |
| PLMI, events/h | 32.8 ± 52.0 | 8.6 ± 13.7 | 0.013 |
| ESS score | 6.7 ± 4.3 | 6.3 ± 3.5 | 0.935 |
| FEV1, L | 2.0 ± 0.7 | 2.2 ± 0.9 | 0.316 |
| FEV1, % predicted | 47.9 ± 14.6 | 55.4 ± 16.1 | 0.111 |
| FVC, L | 3.2 ± 1.2 | 3.5 ± 1.1 | 0.446 |
| FVC, % predicted | 64.3 ± 19.3 | 73.6 ± 16.4 | 0.093 |
| FEF25-75, L/s | 0.82 ± 0.5 | 1.2 ± 0.9 | 0.117 |
| FEF25-75, % predicted | 19.8 ± 11.8 | 27.0 ± 16.4 | 0.107 |
| Sinus-CT Score | AHI, Events/h | AHI REM, Events/h | AHI NREM, Events/h | Snoring, % TST | Arousal Index, Events/h | ESS Score | |
|---|---|---|---|---|---|---|---|
| LMS | r | −0.14 | −0.25 | −0.03 | 0.03 | −0.03 | 0 |
| p-value | 0.356 | 0.095 | 0.871 | 0.824 | 0.857 | 0.993 | |
| MNCS | r | 0.02 | 0.08 | 0.01 | 0.14 | 0.22 | −0.02 |
| p-value | 0.875 | 0.592 | 0.934 | 0.382 | 0.15 | 0.893 | |
| LMS + MNCS | r | −0.13 | −0.23 | −0.02 | 0.05 | 0 | 0 |
| p-value | 0.396 | 0.133 | 0.886 | 0.759 | 0.991 | 0.994 |
| CFTR Modulator Use | |||
|---|---|---|---|
| Parameter | Yes (n = 31) | No (n = 13) | p-Value |
| Age, years | 31.1 ± 8.6 | 30.2 ± 8.4 | 0.650 |
| Male/Female, n | 20/11 | 10/3 | 0.420 |
| BMI, kg/m2 | 21.5 ± 3.6 | 21.9 ± 3.4 | 0.731 |
| Lund–Mackay score (LMS) | 14.3 ± 4.9 | 15.2 ± 5.8 | 0.617 |
| Main nasal cavity score (MNCS) | 0.9 ± 0.6 | 1.0 ± 0.6 | 0.752 |
| LMS + MNCS | 15.2 ± 5.3 | 16.2 ± 6.1 | 0.613 |
| TST, min | 310.3 ± 34.6 | 288.8 ± 42.9 | 0.088 |
| Sleep efficiency, % | 77.4 ± 8.5 | 72.6 ± 10.6 | 0.175 |
| AHI, events/h | 5.9 ± 4.9 | 3.9 ± 2.4 | 0.458 |
| AHI REM, events/h | 13.2 ± 13.4 | 11.4 ± 10.4 | 0.969 |
| AHI NREM, events/h | 4.2 ± 4.2 | 2.4 ± 1.8 | 0.481 |
| Arousal index, events/h | 18.3 ± 9.9 | 16.5 ± 8.4 | 0.581 |
| ODI, events/h | 5.5 ± 4.6 | 3.7 ± 2.3 | 0.481 |
| ODI REM, events/h | 15.2 ± 17.6 | 11.3 ± 10.6 | 0.739 |
| ODI NREM, events/h | 3.8 ± 3.8 | 2.4 ± 1.6 | 0.663 |
| Mean SpO2, % | 91.6 ± 2.8 | 92.1 ± 1.9 | 0.581 |
| Minimum SpO2, % | 86.2 ± 4.5 | 86.7 ± 3.3 | 0.918 |
| SpO2 < 90%, % TST | 17.3 ± 31.0 | 11.8 ± 26.4 | 0.772 |
| SpO2 < 90%, min | 53.4 ± 95.3 | 37.3 ± 87.8 | 0.895 |
| Snoring, % TST | 11.8 ± 21.3 | 9.4 ± 18.4 | 0.573 |
| PLMI, events/h | 24.1 ± 45.2 | 10.1 ± 12.4 | 0.489 |
| ESS score | 6.6 ± 4.0 | 6.1 ± 3.4 | 0.522 |
| FEV1, L | 1.9 ± 0.7 | 2.5 ± 1.0 | 0.096 |
| FEV1, % predicted | 48.7 ± 13.8 | 59.2 ± 18.1 | 0.043 |
| FVC, L | 3.2 ± 1.1 | 3.7 ± 1.3 | 0.288 |
| FVC, % predicted | 67.1 ± 17.5 | 74.1 ± 19.9 | 0.276 |
| FEF25-75, L/s | 0.87 ± 0.6 | 1.31 ± 1.0 | 0.089 |
| FEF25-75, % predicted | 21.0 ± 12.9 | 29.6 ± 17.2 | 0.082 |
Disclaimer/Publisher’s Note: The statements, opinions and data contained in all publications are solely those of the individual author(s) and contributor(s) and not of MDPI and/or the editor(s). MDPI and/or the editor(s) disclaim responsibility for any injury to people or property resulting from any ideas, methods, instructions or products referred to in the content. |
© 2026 by the authors. Licensee MDPI, Basel, Switzerland. This article is an open access article distributed under the terms and conditions of the Creative Commons Attribution (CC BY) license.
Share and Cite
Welsner, M.; Dietz-Terjung, S.; Strassburg, S.; Westhölter, D.; Sutharsan, S.; Schöbel, C.; Taube, C.; Stehling, F.; Kürten, C.; Deuschl, C.; et al. Paranasal Sinus CT and Polysomnographic Findings in Adults with Cystic Fibrosis: Implications for Obstructive Sleep Apnea. Pathophysiology 2026, 33, 6. https://doi.org/10.3390/pathophysiology33010006
Welsner M, Dietz-Terjung S, Strassburg S, Westhölter D, Sutharsan S, Schöbel C, Taube C, Stehling F, Kürten C, Deuschl C, et al. Paranasal Sinus CT and Polysomnographic Findings in Adults with Cystic Fibrosis: Implications for Obstructive Sleep Apnea. Pathophysiology. 2026; 33(1):6. https://doi.org/10.3390/pathophysiology33010006
Chicago/Turabian StyleWelsner, Matthias, Sarah Dietz-Terjung, Svenja Strassburg, Dirk Westhölter, Sivagurunathan Sutharsan, Christoph Schöbel, Christian Taube, Florian Stehling, Cornelius Kürten, Cornelius Deuschl, and et al. 2026. "Paranasal Sinus CT and Polysomnographic Findings in Adults with Cystic Fibrosis: Implications for Obstructive Sleep Apnea" Pathophysiology 33, no. 1: 6. https://doi.org/10.3390/pathophysiology33010006
APA StyleWelsner, M., Dietz-Terjung, S., Strassburg, S., Westhölter, D., Sutharsan, S., Schöbel, C., Taube, C., Stehling, F., Kürten, C., Deuschl, C., Forsting, M., Zensen, S., Haubold, J., Schaarschmidt, B. M., & Opitz, M. (2026). Paranasal Sinus CT and Polysomnographic Findings in Adults with Cystic Fibrosis: Implications for Obstructive Sleep Apnea. Pathophysiology, 33(1), 6. https://doi.org/10.3390/pathophysiology33010006

