A Neuropsychiatric Prelude to Unveiling Small Cell Lung Cancer with Suspected Paraneoplastic Limbic Encephalitis: A Case Report
Simple Summary
Abstract
1. Introduction
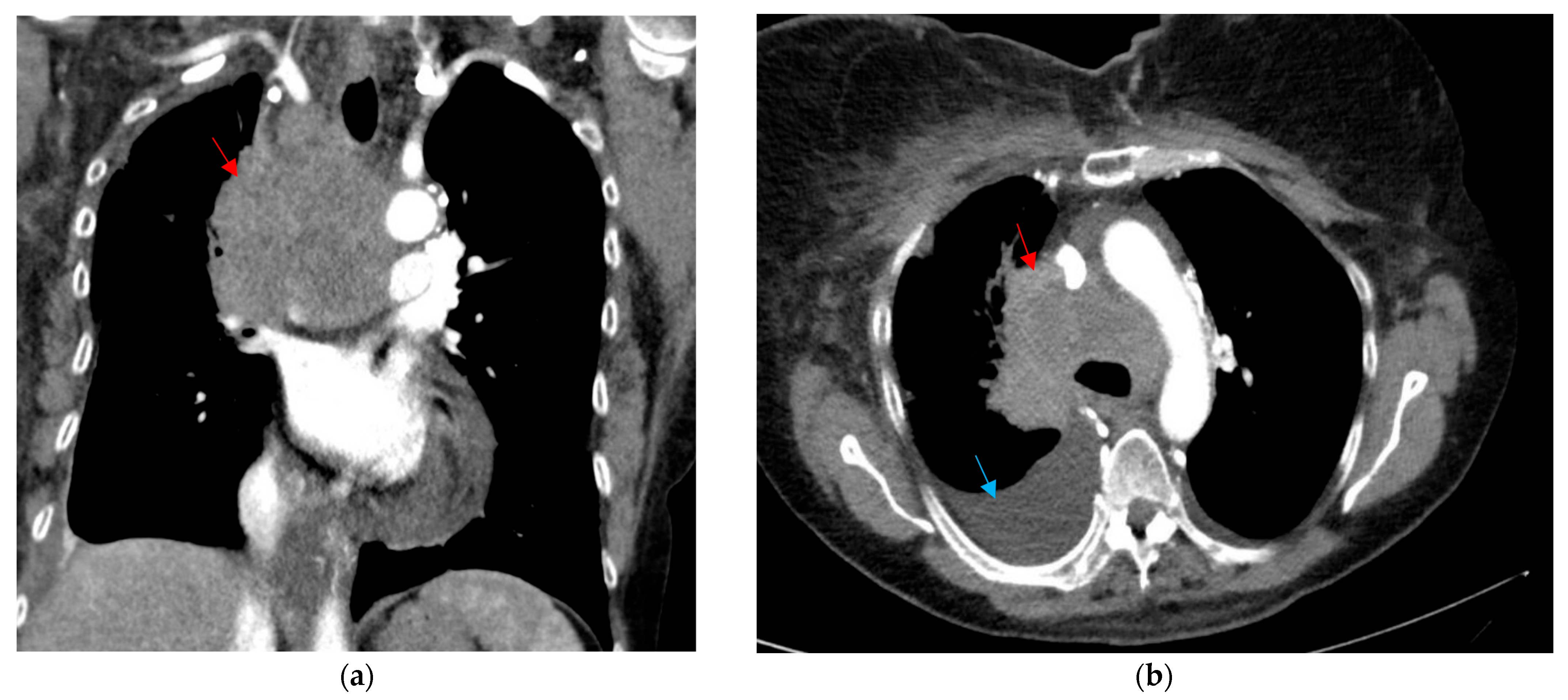
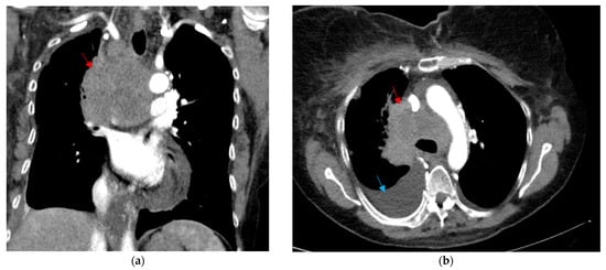
2. Case Description
3. Discussion
4. Conclusions
Author Contributions
Funding
Institutional Review Board Statement
Informed Consent Statement
Data Availability Statement
Acknowledgments
Conflicts of Interest
References
- Thai, A.A.; Solomon, B.J.; Sequist, L.V.; Gainor, J.F.; Heist, R.S. Lung Cancer. Lancet 2021, 398, 535–554. [Google Scholar] [CrossRef]
- Megyesfalvi, Z.; Gay, C.M.; Popper, H.; Pirker, R.; Ostoros, G.; Heeke, S.; Lang, C.; Hoetzenecker, K.; Schwendenwein, A.; Boettiger, K.; et al. Clinical Insights into Small Cell Lung Cancer: Tumor Heterogeneity, Diagnosis, Therapy, and Future Directions. CA Cancer J. Clin. 2023, 73, 620–652. [Google Scholar] [CrossRef]
- Petty, W.J.; Paz-Ares, L. Emerging Strategies for the Treatment of Small Cell Lung Cancer: A Review. JAMA Oncol. 2023, 9, 419. [Google Scholar] [CrossRef] [PubMed]
- Ganti, A.K.P.; Loo, B.W.; Bassetti, M.; Blakely, C.; Chiang, A.; D’Amico, T.A.; D’Avella, C.; Dowlati, A.; Downey, R.J.; Edelman, M.; et al. Small Cell Lung Cancer, Version 2.2022, NCCN Clinical Practice Guidelines in Oncology. J. Natl. Compr. Cancer Netw. 2021, 19, 1441–1464. [Google Scholar] [CrossRef]
- Wang, W.Z.; Shulman, A.; Amann, J.M.; Carbone, D.P.; Tsichlis, P.N. Small Cell Lung Cancer: Subtypes and Therapeutic Implications. Semin. Cancer Biol. 2022, 86, 543–554. [Google Scholar] [CrossRef]
- Pelosof, L.C.; Gerber, D.E. Paraneoplastic Syndromes: An Approach to Diagnosis and Treatment. Mayo Clin. Proc. 2010, 85, 838–854. [Google Scholar] [CrossRef] [PubMed]
- Soomro, Z.; Youssef, M.; Yust-Katz, S.; Jalali, A.; Patel, A.J.; Mandel, J. Paraneoplastic Syndromes in Small Cell Lung Cancer. J. Thorac. Dis. 2020, 12, 6253–6263. [Google Scholar] [CrossRef] [PubMed]
- Gandhi, L.; Johnson, B.E. Paraneoplastic Syndromes Associated With Small Cell Lung Cancer. J. Natl. Compr. Cancer Netw. 2006, 4, 631–638. [Google Scholar] [CrossRef]
- Foster, A.R.; Caplan, J.P. Paraneoplastic Limbic Encephalitis. Psychosomatics 2009, 50, 108–113. [Google Scholar] [CrossRef]
- Vogrig, A.; Gigli, G.L.; Segatti, S.; Corazza, E.; Marini, A.; Bernardini, A.; Valent, F.; Fabris, M.; Curcio, F.; Brigo, F.; et al. Epidemiology of Paraneoplastic Neurological Syndromes: A Population-Based Study. J. Neurol. 2020, 267, 26–35. [Google Scholar] [CrossRef]
- Kao, Y.-C.; Lin, M.-I.; Weng, W.-C.; Lee, W.-T. Neuropsychiatric Disorders Due to Limbic Encephalitis: Immunologic Aspect. Int. J. Mol. Sci. 2020, 22, 389. [Google Scholar] [CrossRef] [PubMed]
- Gultekin, S.H. Paraneoplastic Limbic Encephalitis: Neurological Symptoms, Immunological Findings and Tumour Association in 50 Patients. Brain 2000, 123, 1481–1494. [Google Scholar] [CrossRef] [PubMed]
- Fahim, A.; Butt, M.; McGivern, D.V. A Case of Limbic Encephalitis Presenting as a Paraneoplastic Manifestation of Limited Stage Small Cell Lung Cancer: A Case Report. J. Med. Case Rep. 2010, 4, 408. [Google Scholar] [CrossRef]
- Ryu, J.Y.; Lee, S.H.; Lee, E.J.; Min, K.H.; Hur, G.Y.; Lee, S.Y.; Kim, J.H.; Lee, S.Y.; Shin, C.; Shim, J.J.; et al. A Case of Paraneoplastic Limbic Encephalitis Associated with Small Cell Lung Cancer. Tuberc. Respir. Dis. 2012, 73, 273. [Google Scholar] [CrossRef]
- Abu-Hashyeh, A.; Katabi, A.; Zeid, F. Limbic Encephalitis as a Presenting Complication for Small Cell Lung Cancer. Cureus 2020, 12, e9623. [Google Scholar] [CrossRef] [PubMed]
- Ochenduszko, S.; Wilk, B.; Dabrowska, J.; Herman-Sucharska, I.; Dubis, A.; Puskulluoglu, M. Paraneoplastic Limbic Encephalitis in a Patient with Extensive Disease Small-Cell Lung Cancer. Mol. Clin. Oncol. 2017, 6, 575–578. [Google Scholar] [CrossRef]
- White, D.; Beringer, T. Paraneoplastic Limbic Encephalitis in an Elderly Patient with Small Cell Lung Carcinoma. Ulster Med. J. 2010, 79, 22–24. [Google Scholar]
- Nahleh, Z. Paraneoplastic Limbic Encephalitis, an Uncommon Presentation of a Common Cancer: Case Report and Discussion. Am. J. Case Rep. 2013, 14, 391–394. [Google Scholar] [CrossRef]
- Sánchez-Larsen, Á.; De Cabo, C. Seronegative Limbic Encephalitis. Neurol. Sci. 2020, 41, 205–208. [Google Scholar] [CrossRef]
- Bowyer, S.; Webb, S.; Millward, M.; Jasas, K.; Blacker, D.; Nowak, A. Small Cell Lung Cancer Presenting with Paraneoplastic Limbic Encephalitis. Asia-Pac. J. Clin. Oncol. 2011, 7, 180–184. [Google Scholar] [CrossRef]
- Kaira, K.; Okamura, T.; Takahashi, H.; Horiguchi, N.; Sunaga, N.; Hisada, T.; Yamada, M. Small-Cell Lung Cancer with Voltage-Gated Calcium Channel Antibody-Positive Paraneoplastic Limbic Encephalitis: A Case Report. J. Med. Case Rep. 2014, 8, 119. [Google Scholar] [CrossRef] [PubMed]
- Costa Fernandes, J.; Gama Marques, J. A Scoping Review on Paraneoplastic Autoimmune Limbic Encephalitis (PALE) Psychiatric Manifestations. CNS Spectr. 2022, 27, 191–198. [Google Scholar] [CrossRef] [PubMed]
- Graus, F.; Titulaer, M.J.; Balu, R.; Benseler, S.; Bien, C.G.; Cellucci, T.; Cortese, I.; Dale, R.C.; Gelfand, J.M.; Geschwind, M.; et al. A Clinical Approach to Diagnosis of Autoimmune Encephalitis. Lancet Neurol. 2016, 15, 391–404. [Google Scholar] [CrossRef]
- Dubey, D.; Pittock, S.J.; Kelly, C.R.; McKeon, A.; Lopez-Chiriboga, A.S.; Lennon, V.A.; Gadoth, A.; Smith, C.Y.; Bryant, S.C.; Klein, C.J.; et al. Autoimmune Encephalitis Epidemiology and a Comparison to Infectious Encephalitis. Ann. Neurol. 2018, 83, 166–177. [Google Scholar] [CrossRef]
- Budhram, A.; Leung, A.; Nicolle, M.W.; Burneo, J.G. Diagnosing Autoimmune Limbic Encephalitis. Can. Med. Assoc. J. 2019, 191, E529–E534. [Google Scholar] [CrossRef]
- Graus, F.; Vogrig, A.; Muñiz-Castrillo, S.; Antoine, J.-C.G.; Desestret, V.; Dubey, D.; Giometto, B.; Irani, S.R.; Joubert, B.; Leypoldt, F.; et al. Updated Diagnostic Criteria for Paraneoplastic Neurologic Syndromes. Neurol. Neuroimmunol. Neuroinflamm. 2021, 8, e1014. [Google Scholar] [CrossRef] [PubMed]
- Graus, F.; Escudero, D.; Oleaga, L.; Bruna, J.; Villarejo-Galende, A.; Ballabriga, J.; Barceló, M.I.; Gilo, F.; Popkirov, S.; Stourac, P.; et al. Syndrome and Outcome of Antibody-negative Limbic Encephalitis. Eur. J. Neurol. 2018, 25, 1011–1016. [Google Scholar] [CrossRef]



| Anti-AMPAR1/R2 CBA | Negative |
|---|---|
| Anti-CASPR2 CBA | Negative |
| Anti-DPPX CBA | Negative |
| Anti-GABARB1/B2 CBA | Negative |
| Anti-LGI1 CBA | Negative |
| Anti-NMDAR CBA | Negative |
| Anti-Amphiphysin Immunoblot | Negative |
| Anti-GAD65 Immunoblot | Negative |
| Anti-Hu Immunoblot | Negative |
| Anti-Ma2:Ta Immunoblot | Negative |
| Anti-Recoverin Immunoblot | Negative |
| Anti-Ri Immunoblot | Negative |
| Anti-SOX1 Immunoblot | Negative |
| Anti-Titin Immunoblot | Negative |
| Anti-Tr (DNER) Immunoblot | Negative |
| Anti-Yo Immunoblot | Negative |
| Anti-Zic4 Immunoblot | Negative |
| Anti-GAD65 ELISA | <5 |
| 1 | Subacute onset (rapid progression of less than 3 months) of working memory deficits (short-term memory loss), altered mental status, or psychiatric symptoms. | |
| 2 | At least one of: | a. New focal CNS findings |
| b. Seizures not explained by a previously known seizure disorder | ||
| c. CSF Pleocytosis (WBC > 5 cells mm3) | ||
| d. MRI features suggestive of encephalitis | ||
| 3 | Reasonable exclusion of alternative causes | |
Disclaimer/Publisher’s Note: The statements, opinions and data contained in all publications are solely those of the individual author(s) and contributor(s) and not of MDPI and/or the editor(s). MDPI and/or the editor(s) disclaim responsibility for any injury to people or property resulting from any ideas, methods, instructions or products referred to in the content. |
© 2025 by the authors. Licensee MDPI, Basel, Switzerland. This article is an open access article distributed under the terms and conditions of the Creative Commons Attribution (CC BY) license (https://creativecommons.org/licenses/by/4.0/).
Share and Cite
Letargo, J.; Qu, X.M.; Nguyen, T.K.; Louie, A.V.; Kuruvilla, S.; Kotrri, E. A Neuropsychiatric Prelude to Unveiling Small Cell Lung Cancer with Suspected Paraneoplastic Limbic Encephalitis: A Case Report. Curr. Oncol. 2025, 32, 366. https://doi.org/10.3390/curroncol32060366
Letargo J, Qu XM, Nguyen TK, Louie AV, Kuruvilla S, Kotrri E. A Neuropsychiatric Prelude to Unveiling Small Cell Lung Cancer with Suspected Paraneoplastic Limbic Encephalitis: A Case Report. Current Oncology. 2025; 32(6):366. https://doi.org/10.3390/curroncol32060366
Chicago/Turabian StyleLetargo, Jessa, X. Melody Qu, Timothy K. Nguyen, Alexander V. Louie, Sara Kuruvilla, and Enxhi Kotrri. 2025. "A Neuropsychiatric Prelude to Unveiling Small Cell Lung Cancer with Suspected Paraneoplastic Limbic Encephalitis: A Case Report" Current Oncology 32, no. 6: 366. https://doi.org/10.3390/curroncol32060366
APA StyleLetargo, J., Qu, X. M., Nguyen, T. K., Louie, A. V., Kuruvilla, S., & Kotrri, E. (2025). A Neuropsychiatric Prelude to Unveiling Small Cell Lung Cancer with Suspected Paraneoplastic Limbic Encephalitis: A Case Report. Current Oncology, 32(6), 366. https://doi.org/10.3390/curroncol32060366

