Use of Radiofrequency in Robot-Assisted Partial Nephrectomy for Small Tumors: A Novel Technique
Abstract
1. Introduction and Objectives
1.1. History of Radiofrequency Ablation and Applications in Renal Tumors
1.2. Rationale and Objective of This Technique
2. Materials and Methods
2.1. Statical Analysis
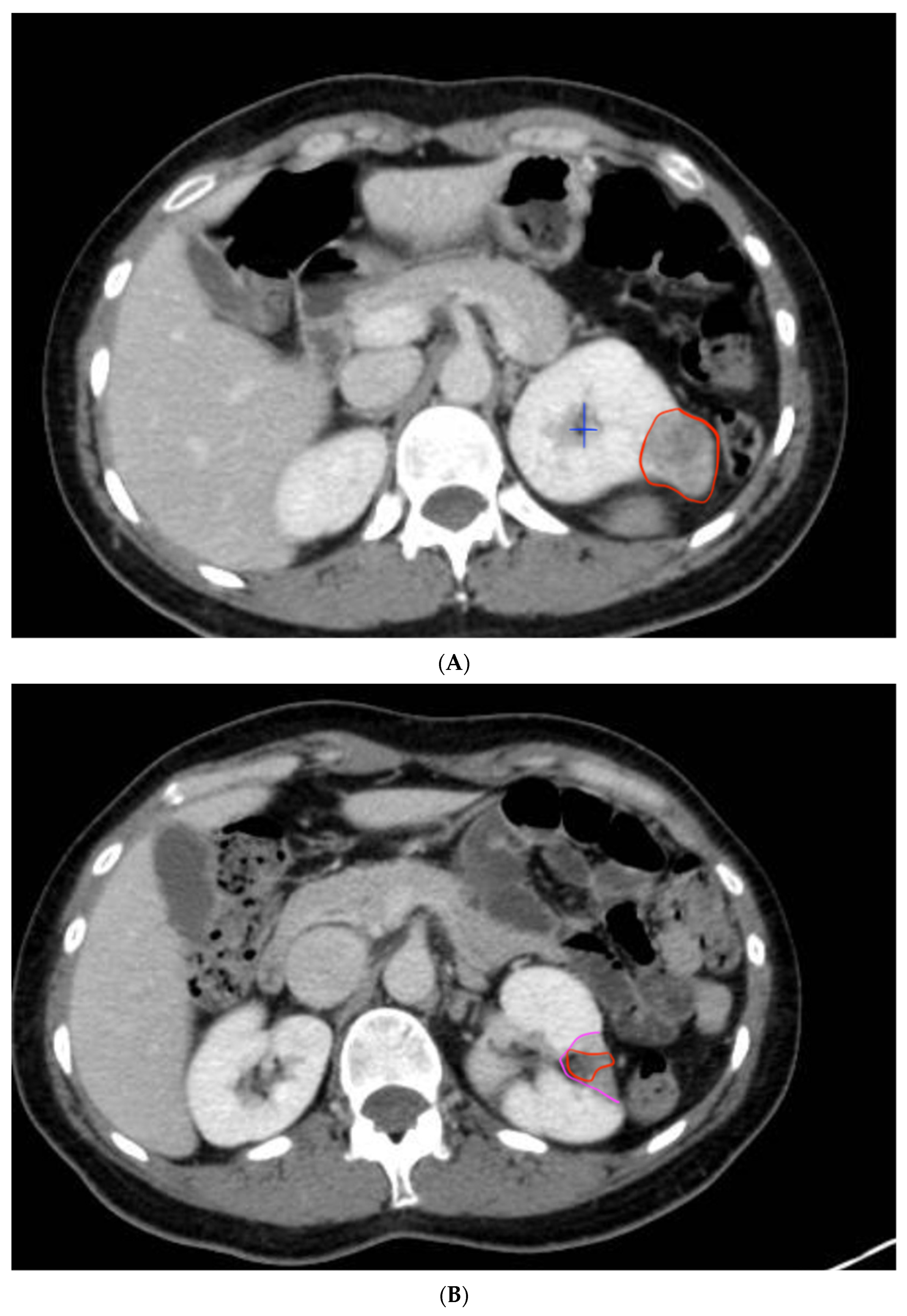
2.2. Procedure and Technique
3. Results
3.1. Hemorrhagic Complications
3.2. Urinary Leakage or Fistula
3.3. Other Urological Complications
4. Discussion
5. Conclusions
6. Limitations of the Study
Author Contributions
Funding
Institutional Review Board Statement
Informed Consent Statement
Data Availability Statement
Conflicts of Interest
References
- Murphy, D.P.; Gill, I.S. Energy-based renal tumor ablation: A review. Semin. Urol. Oncol. 2001, 19, 133–140. [Google Scholar]
- Goldberg, S.N. Radiofrequency tumor ablation: Principles and techniques. Eur. J. Ultrasound 2001, 13, 129–147. [Google Scholar]
- Campbell, S.C.; Clark, P.E.; Chang, S.S.; Karam, J.A.; Souter, L.; Uzzo, R.G. Renal Mass and Localized Renal Cancer: Evaluation, Management, and Follow-Up: AUA Guideline Part I. J. Urol. 2021, 206, 199. [Google Scholar]
- Pyrgidis, N.; Schulz, G.B.; Stief, C.; Blajan, I.; Ivanova, T.; Graser, A.; Staehler, M. Surgical Trends and Complications in Partial and Radical Nephrectomy: Results from the GRAND Study. Cancers 2023, 16, 97. [Google Scholar] [CrossRef] [PubMed] [PubMed Central]
- Reifsnyder, J.E.; Ramasamy, R.; Ng, C.K.; DiPietro, J.; Shin, B.; Shariat, S.F.; Del Pizzo, J.J.; Scherr, D.S. Laparoscopic and open partial nephrectomy: Complication comparison using the Clavien system. JSLS 2012, 16, 38–44. [Google Scholar] [CrossRef]
- Wheat, J.C.; Roberts, W.W.; Hollenbeck, B.K.; Wolf, J.S.; Weizer, A.Z. Complications of laparoscopic partial nephrectomy. Urol. Oncol. Semin. Orig. Investig. 2013, 31, 57–62. [Google Scholar] [CrossRef]
- Spana, G.; Haber, G.P.; Dulabon, L.M.; Petros, F.; Rogers, C.G.; Bhayani, S.B.; Stifelman, M.D.; Kaouk, J.H. Complications After Robotic Partial Nephrectomy at Centers of Excellence: Multi-Institutional Analysis of 450 Cases. J. Urol. 2011, 186, 417–422. [Google Scholar] [CrossRef]
- D’Arsonval, M.A. Action physiologique des courants alternatifs. CR Soc. Biol. 1891, 43, 283–286. [Google Scholar]
- Geddes, L.A.; Silva, L.F.; Dewitt, D.P.; Pearce, J.A. What’s new in electrosurgical instrumentation? Med. Instrum. 1977, 11, 355–361. [Google Scholar]
- Cushing, H.; Bovie, W.T. Electro-surgery as an aid to the removal of intracranial tumors. Surg. Gynecol. Obstet. 1928, 47, 751–784. [Google Scholar]
- Mcgahan, J.P.; Browning, P.D.; Brock, J.M.; Tesluk, H. Hepatic ablation using radiofrequency electrocautery. Investig. Radiol. 1990, 25, 267–270. [Google Scholar]
- Rossi, S.; Fornati, F.; Pathies, C.; Buscarini, L. Thermal lesions induced by 480 KHz localized current field in guinea pig and pig liver. Tumori J. 1990, 76, 54–57. [Google Scholar]
- Goldberg, S.N.; Gazelle, G.S.; Dawson, S.L.; Rittman, W.J.; Mueller, P.R.; Rosenthal, D.I. Radiofrequency tissue ablation using multiprobe arrays: Greater tissue destruction than multiple probes operating alone. Acad. Radiol. 1995, 2, 670–674. [Google Scholar]
- LeVeen, R.F. Laser hyperthermia and radiofrequency ablation of hepatic lesions. Semin. Interv. Radiol. 1997, 14, 313–324. [Google Scholar]
- Goldberg, S.N.; Solbiati, L.; Hahn, P.F.; Cosman, E.; Conrad, J.E.; Fogle, R.; Gazelle, G.S. Large-volume tissue ablation with radiofrequency by using a clustered, internally-cooled electrode technique: Laboratory and clinical experience in liver metastases. Radiology 1998, 209, 371–379. [Google Scholar]
- Livraghi, T.; Goldberg, S.N.; Monti, F.; Bizzini, A.; Lazzaroni, S.; Meloni, F.; Pellicanò, S.; Solbiati, L.; Gazelle, G.S. Saline-enhanced radiofrequency tissue ablation in the treatment of liver metastases. Radiology 1997, 202, 205–210. [Google Scholar]
- Goldberg, S.N.; Gazelle, G.S.; Halpern, E.F.; Rittman, W.J.; Mueller, P.R.; Rosenthal, D.I. Radiofrequency tissue ablation: Importance of local temperature along the electrode tip exposure in determining lesion shape and size. Acad. Radiol. 1996, 3, 212–218. [Google Scholar]
- Hammerich, D. Tissue ablation. In Wiley Encyclopedia of Medical Devices and Instrumentation; Webster, J.G., Ed.; John Wiley & Sons: Hoboken, NJ, USA, 2006; pp. 362–379. [Google Scholar]
- O’connor, S.D.; Silverman, S.G.; Cochon, L.R.; Khorasani, R.K. Renal cancer at unenhanced CT: Imaging features, detection rates, and outcomes. Abdom. Radiol. 2018, 43, 1756–1763. [Google Scholar]
- Johnson, D.B.; Nakada, S.Y. Cryosurgery and needle ablation of renal lesions. J. Endourol. 2001, 15, 361–368; discussion 375–376. [Google Scholar] [CrossRef]
- Ravaud, A.; Bay, J.O. Update on renal cell carcinoma. Bull. Cancer 2002, 89, 31–36. [Google Scholar]
- Yoon, Y.E.; Lee, H.H.; Kim, K.H.; Park, S.Y.; Moon, H.S.; Lee, S.R.; Hong, Y.K.; Park, D.S.; Kim, D.K. Focal therapy versus robot-assisted partial nephrectomy in the management of clinical T1 renal masses: A systematic review and meta-analysis. Medicine 2018, 97, e13102. [Google Scholar] [CrossRef]
- Sandbergen, L.; Guven, S.; Laguna, M.P. Can ablation win against partial nephrectomy and become first-line therapy in cT1a renal tumours? Curr. Opin. Urol. 2019, 29, 70–77. [Google Scholar] [CrossRef]
- Uhlig, J.; Strauss, A.; Rucker, G.; Seif Amir Hosseini, A.; Lotz, J.; Trojan, L.; Kim, H.S.; Uhlig, A. Partial nephrectomy versus ablative techniques for small renal masses: A systematic review and network meta-analysis. Eur. Radiol. 2019, 29, 1293–1307. [Google Scholar] [CrossRef]
- West, B.; Keheila, M.; Smith, J.C.; Erskine, A.; Abourbih, S.R.; Khater, N.; Baldwin, D.D. Efficacy of antegrade and retrograde warm saline pyeloperfusion during renal cryoablation for ureteral preservation. Turk. J. Urol. 2018, 44, 142. [Google Scholar] [CrossRef]
- Kriegmair, M.C.; Wagener, N.; Diehl, S.J.; Rathmann, N. Ablative therapy of small renal masses. Int. J. Hyperth. 2019, 24, 1–9. [Google Scholar]
- Johnson, B.A.; Cadeddu, J.A. Focal therapy of small renal lesions. Curr. Opin. Urol. 2018, 28, 166–171. [Google Scholar] [CrossRef]
- European Association of Urology. EAU Guidelines on Renal Cell Carcinoma. Edition Presented at the EAU Annual Congress, Milan 2024. Arnhem, The Netherlands: EAU Guidelines Office; 2024. Available online: https://uroweb.org/guidelines/renal-cell-carcinoma (accessed on 2 March 2025).
- Kuusk, T.; Grivas, N.; de Bruijn, R.; Bex, A. The current management of renal cell carcinoma. Minerva Med. 2017, 108, 357–369. [Google Scholar] [CrossRef]
- Bensalah, K.; Pignot, G.; Legeais, D.; Madec, F.-X.; Lebacle, C.; Doizi, S.; Phé, V.; Mathieu, R.; Irani, J. Les complications de la néphrectomie totale et de la néphrectomie partielle: Quelles sont-elles, comment les prévenir et les prendre en charge? Progrès Urol. 2022, 32, 928–939. [Google Scholar] [CrossRef]
- Rizkala, E.R.; Khalifeh, A.; Autorino, R.; Samarasekera, D.; Laydner, H.; Kaouk, J.H. Zero ischemia robotic partial nephrectomy: Sequential preplaced suture renorrhaphy technique. Urology 2013, 82, 100–104. [Google Scholar] [CrossRef]
- Ng, C.K.; Gill, I.S.; Patil, M.B.; Hung, A.J.; Berger, A.K.; Abreu, A.L.d.C.; Nakamoto, M.; Eisenberg, M.S.; Ukimura, O.; Thangathurai, D.; et al. Anatomic renal artery branch microdissection to facilitate zero-ischemia partial nephrectomy. Eur. Urol. 2012, 61, 67–74. [Google Scholar] [CrossRef]
- Bravi, C.A.; Vertosick, E.; Benfante, N.; Tin, A.; Sjoberg, D.; Hakimi, A.A.; Touijer, K.; Montorsi, F.; Eastham, J.; Russo, P.; et al. Impact of acute kidney injury and its duration on long-term renal function after partial nephrectomy. Eur. Urol. 2019, 76, 398–403. [Google Scholar] [CrossRef]
- Rothberg, M.B.; Paulucci, D.J.; Okhawere, K.E.; Reynolds, C.R.; Badani, K.K.; Abaza, R.; Eun, D.; Bhandari, A.; Porter, J.R.; Hemal, A.K. A multi-institutional analysis of the effect of positive surgical margins following robot-assisted partial nephrectomy on oncologic outcomes. J. Endourol. 2020, 34, 304–311. [Google Scholar]
- Abdelsalam, M.E.; Awad, A.; Baiomy, A.; Irwin, D.; Karam, J.A.; Matin, S.F.; Sheth, R.A.; Habibollahi, P.; Odisio, B.C.; Lu, T.; et al. Outcomes of radiofrequency ablation for solitary T1a renal cell carcinoma: A 20-year tertiary cancer center experience. Cancers 2023, 15, 909. [Google Scholar] [CrossRef] [PubMed] [PubMed Central]
- Chung, D.J.; Hwang, H.; Sohn, D.W. Radiofrequency ablation using real-time ultrasonography-computed tomography fusion imaging improves treatment outcomes for T1a renal cell carcinoma: Comparison with laparoscopic partial nephrectomy. Investig. Clin. Urol. 2022, 63, 159–167. [Google Scholar]
- Lian, H.; Guo, H.; Zhang, G.; Yang, R.; Gan, W.; Li, X.; Ji, C.; Liu, J. Single-center comparison of complications in laparoscopic and percutaneous radiofrequency ablation with ultrasound guidance for renal tumors. Urology 2012, 80, 119–124. [Google Scholar]
- Andrews, J.R.; Atwell, T.; Schmit, G.; Lohse, C.M.; Kurup, A.N.; Weisbrod, A.; Callstrom, M.R.; Cheville, J.C.; Boorjian, S.A.; Leibovich, B.C.; et al. Oncologic outcomes following partial nephrectomy and percutaneous ablation for cT1 renal masses. Eur. Urol. 2019, 76, 244–251. [Google Scholar]
- Park, B.K.; Gong, I.H.; Kang, M.Y.; Sung, H.H.; Jeon, H.G.; Jeong, B.C.; Jeon, S.S.; Lee, H.M.; Seo, S.I. RFA versus robotic partial nephrectomy for T1a renal cell carcinoma: A propensity score-matched comparison of mid-term outcomes. Eur. Radiol. 2018, 28, 2979–2985. [Google Scholar] [CrossRef]
- Aveta, A.; Iossa, V.; Spena, G.; Conforti, P.; Pagano, G.; Dinacci, F.; Verze, P.; Manfredi, C.; Ferro, M.; Lasorsa, F.; et al. Ablative treatments for small renal masses and management of recurrences: A comprehensive review. Life 2024, 14, 450. [Google Scholar] [CrossRef]
- Jasinski, M.; Wisniewski, P.; Bielinska, M.; Siekiera, J.; Kamecki, K.; Salagierski, M. Perioperative and oncological outcomes of percutaneous radiofrequency ablation versus partial nephrectomy for cT1a renal cancers: A retrospective study on groups with similar clinical characteristics. Cancers 2024, 16, 1528. [Google Scholar] [CrossRef]
- Huang, R.S.; Chow, R.; Benour, A.; Chen, D.; Boldt, G.; Wallis, C.J.D.; Swaminath, A.; Simone, C.B., II; Lock, M.; Raman, S. Comparative efficacy and safety of ablative therapies in the management of primary localized renal cell carcinoma: A systematic review and meta-analysis. Lancet Oncol. 2025, 26, 387–398. [Google Scholar] [CrossRef] [PubMed]
- Bertolotti, L.; Bazzocchi, M.V.; Iemma, E.; Pagnini, F.; Ziglioli, F.; Maestroni, U.; Patera, A.; Natale, M.P.; Martini, C.; De Filippo, M. Radiofrequency ablation, cryoablation, and microwave ablation for the treatment of small renal masses: Efficacy and complications. Diagnostics 2023, 13, 388. [Google Scholar] [CrossRef] [PubMed]






| Variant | Value |
|---|---|
| Median age (IQR) | 60.2 (52–70) |
| No. males (%) | 251 (70.3) |
| No. former or current smokers (%) | 169 (47.3) |
| No. asymptomatic at presentation, image finding (%) | 332 (92.9) |
| No. with hypertension (%) | 112 (31.3) |
| No. with diabetes mellitus (%) | 37 (10.3) |
| No. with solitary kidney (%) | 10 (2.8) |
| No. with prior contralateral PN (%) | 5(1.4) |
| No. right side tumors (%) | 232 (45.8) |
| No. central tumors (abuts collecting system) (%) | 15 (4.2) |
| No. interpolar tumors (%) | 92 (25.7) |
| No. of tumors: | |
| 1 | 345 (96.6) |
| 2 | 12 (3.3) |
| 3 or more | 0 |
| Risk of Intraoperative Bleeding | ||
|---|---|---|
| Variable | OR (CI 95%) | p-Value |
| Tumor size | 3.79 (0.75–19.1) | 0.1 |
| Operative time | 1.67 (0.98–2.8) | 0.05 |
| Risk of positive margins | ||
| ASA score | 1.05 (0.9–1.23) | 0.26 |
| Pre-operative eGFR | 0.99 (0.99–0.997) | <0.01 |
| Post-operative eGFR | 0.99 (0.99–1) | 0.52 |
| Risk of eGFR decrease | ||
| Pre-operative eGFR | 1.46 (1.23–1.73) | <0.01 |
| General risk of complications | ||
| Diabetes mellitus | 1.2 (0.97–1.59) | 0.09 |
| Hospital stay | 0.91 (0.84–0.99) | 0.05 |
| Pre-operative eGFR | 0.99 (0.99–1) | 0.36 |
| Post-operative eGFR | 0.99 (0.99–1) | 0.71 |
| Grade (Organ System) | Complications (No.) | Total No. |
|---|---|---|
| I: | 9 | |
| Genitourinary | Pyelonephritis (1) Hematuria (3) | 4 |
| Pulmonary | Atelectasis (1) Nosocomial pneumonia (1) | 2 |
| Gastrointestinal | Ileus (1) | 1 |
| Dermatological | Rash (1) | 1 |
| Other | Pain (1) | 1 |
| II: | 3 | |
| Cardiovascular | Hypertensive crisis (1) Blood transfusion (1) | 2 |
| Gastrointestinal | Rectus hematoma (1) | 1 |
| III: | 7 | |
| Genitourinary | Perirenal hematoma (2) Urinary leak (1) Ureteropielyc stenosis (1) | 4 |
| Other | Trocar site hernia (3) | 3 |
| IV: | 1 | |
| Cardiovascular | Acute myocardial infarction (1) | 1 |
| Total | 20 | |
Disclaimer/Publisher’s Note: The statements, opinions and data contained in all publications are solely those of the individual author(s) and contributor(s) and not of MDPI and/or the editor(s). MDPI and/or the editor(s) disclaim responsibility for any injury to people or property resulting from any ideas, methods, instructions or products referred to in the content. |
© 2025 by the authors. Licensee MDPI, Basel, Switzerland. This article is an open access article distributed under the terms and conditions of the Creative Commons Attribution (CC BY) license (https://creativecommons.org/licenses/by/4.0/).
Share and Cite
Larrañaga, M.; Ibañez, H.; Pfeifer, J.; Román, C.; Olivares, R.; Salvadó, J.A.; Cabello, J.M.; Moreno, S.; Cabello, R.; Franco, C.; et al. Use of Radiofrequency in Robot-Assisted Partial Nephrectomy for Small Tumors: A Novel Technique. Curr. Oncol. 2025, 32, 246. https://doi.org/10.3390/curroncol32050246
Larrañaga M, Ibañez H, Pfeifer J, Román C, Olivares R, Salvadó JA, Cabello JM, Moreno S, Cabello R, Franco C, et al. Use of Radiofrequency in Robot-Assisted Partial Nephrectomy for Small Tumors: A Novel Technique. Current Oncology. 2025; 32(5):246. https://doi.org/10.3390/curroncol32050246
Chicago/Turabian StyleLarrañaga, Matías, Helga Ibañez, Jessica Pfeifer, Cristobal Román, Rubén Olivares, José Antonio Salvadó, José Miguel Cabello, Sergio Moreno, Renato Cabello, Carmen Franco, and et al. 2025. "Use of Radiofrequency in Robot-Assisted Partial Nephrectomy for Small Tumors: A Novel Technique" Current Oncology 32, no. 5: 246. https://doi.org/10.3390/curroncol32050246
APA StyleLarrañaga, M., Ibañez, H., Pfeifer, J., Román, C., Olivares, R., Salvadó, J. A., Cabello, J. M., Moreno, S., Cabello, R., Franco, C., & Velasco, A. (2025). Use of Radiofrequency in Robot-Assisted Partial Nephrectomy for Small Tumors: A Novel Technique. Current Oncology, 32(5), 246. https://doi.org/10.3390/curroncol32050246

