Endoscopic Ultrasound-Guided Locoregional Treatments for Pancreatic Neuroendocrine Neoplasms
Abstract
1. Introduction
2. Indications for Locoregional Therapy and Patient Selection
3. Endoscopic Ultrasound-Guided Ethanol Injection Ablation (EUS-EI)
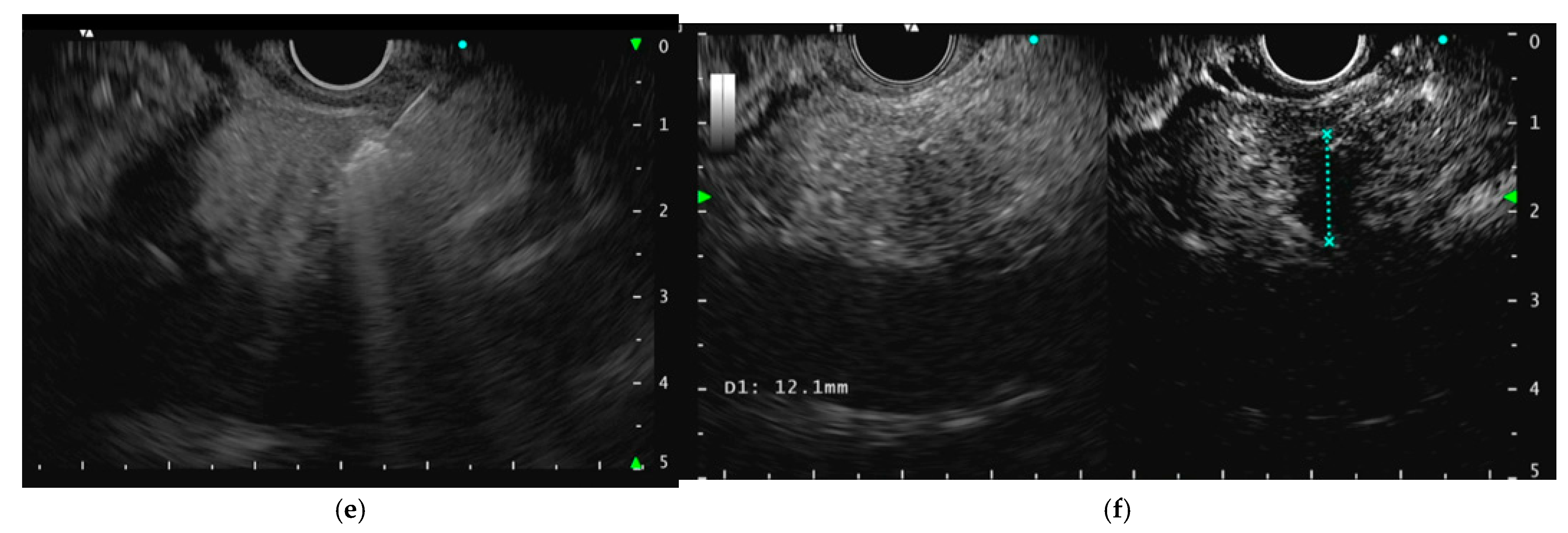
3.1. Procedure
3.2. Safety and Adverse Events
3.3. Clinical Evidence
4. Endoscopic Ultrasound-Guided Radiofrequency Ablation (EUS-RFA)
4.1. Procedure and Device
4.2. Safety and Adverse Events
4.3. Clinical Evidence
5. Endoscopic Ultrasound-Guided Microwave Ablation (EUS-MWA)
5.1. Procedure and Device
5.2. Clinical Evidence
6. Percutaneous Image-Guided Ablation Techniques for pNENs
7. Conclusions
Author Contributions
Funding
Conflicts of Interest
Abbreviations
| EUS | Endoscopic ultrasound |
| ERCP | Endoscopic retrograde cholagiopancreatography |
| NSAIDs | Non-steroidal anti-inflammatory drugs |
| EUS-EI | EUS-ethanol injection |
| EUS-RFA | EUS-radiofrequency ablation |
| F-NEN | Functioning NEN |
| FNA | Fine needle aspiration |
| NF-NEN | Non-functioning NEN |
| NEN | Neuroendocrine neoplasm |
| EUS-MWA | EUS-microwave ablation |
References
- Dasari, A.; Shen, C.; Halperin, D.; Zhao, B.; Zhou, S.; Xu, Y.; Shih, T.; Yao, J.C. Trends in the Incidence, Prevalence, and Survival Outcomes in Patients With Neuroendocrine Tumors in the United States. JAMA Oncol. 2017, 3, 1335–1342. [Google Scholar] [CrossRef] [PubMed]
- Rindi, G.; Mete, O.; Uccella, S.; Basturk, O.; La Rosa, S.; Brosens, L.A.A.; Ezzat, S.; de Herder, W.W.; Klimstra, D.S.; Papotti, M.; et al. Overview of the 2022 WHO Classification of Neuroendocrine Neoplasms. Endocr. Pathol. 2022, 33, 115–154. [Google Scholar] [CrossRef] [PubMed]
- Partelli, S.; Bartsch, D.K.; Capdevila, J.; Chen, J.; Knigge, U.; Niederle, B.; Nieveen van Dijkum, E.J.M.; Pape, U.F.; Pascher, A.; Ramage, J.; et al. ENETS Consensus Guidelines for Standard of Care in Neuroendocrine Tumours: Surgery for Small Intestinal and Pancreatic Neuroendocrine Tumours. Neuroendocrinology 2017, 105, 255–265. [Google Scholar] [CrossRef] [PubMed]
- Kuo, E.J.; Salem, R.R. Population-level analysis of pancreatic neuroendocrine tumors 2 cm or less in size. Ann. Surg. Oncol. 2013, 20, 2815–2821. [Google Scholar] [CrossRef] [PubMed]
- Zhu, J.; Fu, C.; Zhang, Y.; Zhou, X.; Xiao, W.; Li, Y. Observation Versus Resection for Small, Localized, and Nonfunctional Pancreatic Neuroendocrine Tumors: A Propensity Score Matching Study. Pancreas 2022, 51, 56–62. [Google Scholar] [CrossRef] [PubMed]
- Schuh, F.; Mihaljevic, A.L.; Probst, P.; Trudeau, M.T.; Müller, P.C.; Marchegiani, G.; Besselink, M.G.; Uzunoglu, F.; Izbicki, J.R.; Falconi, M.; et al. A Simple Classification of Pancreatic Duct Size and Texture Predicts Postoperative Pancreatic Fistula: A classification of the International Study Group of Pancreatic Surgery. Ann. Surg. 2023, 277, e597–e608. [Google Scholar] [CrossRef]
- Hofland, J.; Falconi, M.; Christ, E.; Castaño, J.P.; Faggiano, A.; Lamarca, A.; Perren, A.; Petrucci, S.; Prasad, V.; Ruszniewski, P.; et al. European Neuroendocrine Tumor Society 2023 guidance paper for functioning pancreatic neuroendocrine tumour syndromes. J. Neuroendocrinol. 2023, 35, e13318. [Google Scholar] [CrossRef] [PubMed]
- Coluccio, C.; Cappetta, S.; Romagnoli, G.; Di Giorgio, V.; Giuffrida, P.; Fabbri, S.; Fabbri, C.; Binda, C. Endoscopic-Ultrasound-Guided Radiofrequency Ablation for Pancreatic Tumors. J. Clin. Med. 2025, 14, 495. [Google Scholar] [CrossRef]
- So, H.; Ko, S.W.; Shin, S.H.; Kim, E.H.; Son, J.; Ha, S.; Song, K.B.; Kim, H.J.; Kim, M.H.; Park, D.H. Comparison of EUS-guided ablation and surgical resection for nonfunctioning small pancreatic neuroendocrine tumors: A propensity score-matching study. Gastrointest. Endosc. 2023, 97, 741–751. [Google Scholar] [CrossRef]
- Crinò, S.F.; Napoleon, B.; Facciorusso, A.; Lakhtakia, S.; Borbath, I.; Caillol, F.; Do-Cong Pham, K.; Rizzatti, G.; Forti, E.; Palazzo, L.; et al. Endoscopic Ultrasound-guided Radiofrequency Ablation Versus Surgical Resection for Treatment of Pancreatic Insulinoma. Clin. Gastroenterol. Hepatol. 2023, 21, 2834–2843. [Google Scholar] [CrossRef]
- Crinò, S.F.; Partelli, S.; Napoleon, B.; Conti Bellocchi, M.C.; Facciorusso, A.; Salvia, R.; Forti, E.; Cintolo, M.; Mazzola, M.; Ferrari, G.; et al. Study protocol for a multicenter randomized controlled trial to compare radiofrequency ablation with surgical resection for treatment of pancreatic insulinoma. Dig. Liver Dis. 2023, 55, 1187–1193. [Google Scholar] [CrossRef] [PubMed]
- Borrelli de Andreis, F.; Boškoski, I.; Mascagni, P.; Schepis, T.; Bianchi, A.; Schinzari, G.; Annicchiarico, B.E.; Quero, G.; Tortora, G.; Alfieri, S.; et al. Safety and efficacy of endoscopic ultrasound-guided radiofrequency ablation for pancreatic insulinoma: A single-center experience. Pancreatology 2023, 23, 543–549. [Google Scholar] [CrossRef]
- Jürgensen, C.; Eckart, M.; Haberbosch, L.; Tacke, F.; Sandforth, A.; Birkenfeld, A.L.; Overkamp, D.; Daniels, M.; Mogl, M.; Goretzki, P.; et al. Endoscopic ultrasound-guided ethanol ablation versus surgical resection of insulinomas. Ultraschall Med. 2024, 45, 519–527. [Google Scholar] [CrossRef] [PubMed]
- Matthes, K.; Mino-Kenudson, M.; Sahani, D.V.; Holalkere, N.; Brugge, W.R. Concentration-dependent ablation of pancreatic tissue by EUS-guided ethanol injection. Gastrointest. Endosc. 2007, 65, 272–277. [Google Scholar] [CrossRef]
- Moyer, M.T.; Maranki, J.L.; DeWitt, J.M. EUS-Guided Pancreatic Cyst Ablation: A Clinical and Technical Review. Curr. Gastroenterol. Rep. 2019, 21, 19. [Google Scholar] [CrossRef]
- Jürgensen, C.; Schuppan, D.; Neser, F.; Ernstberger, J.; Junghans, U.; Stölzel, U. EUS-guided alcohol ablation of an insulinoma. Gastrointest. Endosc. 2006, 63, 1059–1062. [Google Scholar] [CrossRef] [PubMed]
- Choi, J.H.; Park, D.H.; Kim, M.H.; Hwang, H.S.; Hong, S.M.; Song, T.J.; Lee, S.S.; Seo, D.W.; Lee, S.K. Outcomes after endoscopic ultrasound-guided ethanol-lipiodol ablation of small pancreatic neuroendocrine tumors. Dig. Endosc. 2018, 30, 652–658. [Google Scholar] [CrossRef]
- Park, D.H.; Choi, J.H.; Oh, D.; Lee, S.S.; Seo, D.W.; Lee, S.K.; Kim, M.H. Endoscopic ultrasonography-guided ethanol ablation for small pancreatic neuroendocrine tumors: Results of a pilot study. Clin. Endosc. 2015, 48, 158–164. [Google Scholar] [CrossRef]
- Napoléon, B.; Lisotti, A.; Caillol, F.; Gasmi, M.; Ah-Soune, P.; Belle, A.; Charachon, A.; Cholet, F.; Eyraud, P.Y.; Grandval, P.; et al. Risk factors for EUS-guided radiofrequency ablation adverse events in patients with pancreatic neoplasms: A large national French study (RAFPAN study). Gastrointest. Endosc. 2023, 98, 392–399. [Google Scholar] [CrossRef]
- Rizzatti, G.; De Nucci, G.; Caillol, F.; Crinò, S.; Pham, K.D.C.; Palazzo, L.; Tripodi, G.; Gasbarrini, A.; Spada, C.; Larghi, A.; et al. Safety and efficacy of Endoscopic ultrasound-guided radiofrequency ablation for the treatment of functional and non functional pancreatic neuroendocrine neoplasms: Preliminary results of a multicentre prospective study. Endoscopy 2023, 55, S50–S51. [Google Scholar]
- Marx, M.; Trosic-Ivanisevic, T.; Caillol, F.; Demartines, N.; Schoepfer, A.; Pesenti, C.; Ratone, J.P.; Robert, M.; Giovannini, M.; Godat, S. EUS-guided radiofrequency ablation for pancreatic insulinoma: Experience in 2 tertiary centers. Gastrointest. Endosc. 2022, 95, 1256–1263. [Google Scholar] [CrossRef]
- De Nucci, G.; Imperatore, N.; Mandelli, E.D.; Di Nuovo, F.; D’Urbano, C.; Manes, G. Endoscopic ultrasound-guided radiofrequency ablation of pancreatic neuroendocrine tumors: A case series. Endosc. Int. Open 2020, 8, E1754–E1758. [Google Scholar] [CrossRef]
- Oleinikov, K.; Dancour, A.; Epshtein, J.; Benson, A.; Mazeh, H.; Tal, I.; Matalon, S.; Benbassat, C.A.; Livovsky, D.M.; Goldin, E.; et al. Endoscopic Ultrasound-Guided Radiofrequency Ablation: A New Therapeutic Approach for Pancreatic Neuroendocrine Tumors. J. Clin. Endocrinol. Metab. 2019, 104, 2637–2647. [Google Scholar] [CrossRef]
- Barthet, M.; Giovannini, M.; Lesavre, N.; Boustiere, C.; Napoleon, B.; Koch, S.; Gasmi, M.; Vanbiervliet, G.; Gonzalez, J.M. Endoscopic ultrasound-guided radiofrequency ablation for pancreatic neuroendocrine tumors and pancreatic cystic neoplasms: A prospective multicenter study. Endoscopy 2019, 51, 836–842. [Google Scholar] [CrossRef]
- Sweeney, J.; Parikh, N.; El-Haddad, G.; Kis, B. Ablation of Intrahepatic Cholangiocarcinoma. Semin. Intervent. Radiol. 2019, 36, 298–302. [Google Scholar] [CrossRef] [PubMed]
- Choi, J.H.; Seo, D.W.; Song, T.J.; Park, D.H.; Lee, S.S.; Lee, S.K.; Kim, M.H. Utility of Contrast-Enhanced Harmonic Endoscopic Ultrasound for the Guidance and Monitoring of Endoscopic Radiofrequency Ablation. Gut Liver 2020, 14, 826–832. [Google Scholar] [CrossRef] [PubMed]
- Lisotti, A.; Piscaglia, F.; Fusaroli, P. Contrast-enhanced harmonic endoscopic ultrasound-guided ethanol injection for a small hepatocellular carcinoma. Endoscopy 2019, 51, E317–E318. [Google Scholar] [CrossRef]
- Khoury, T.; Sbeit, W.; Fusaroli, P.; Campana, D.; Brighi, N.; Napoleon, B.; Lisotti, A. Safety and efficacy of endoscopic ultrasound-guided radiofrequency ablation for pancreatic neuroendocrine neoplasms: Systematic review and meta-analysis. Dig. Endosc. 2024, 36, 395–405. [Google Scholar] [CrossRef]
- Armellini, E.; Facciorusso, A.; Crinò, S.F. Efficacy and Safety of Endoscopic Ultrasound-Guided Radiofrequency Ablation for Pancreatic Neuroendocrine Tumors: A Systematic Review and Metanalysis. Medicina 2023, 59, 359. [Google Scholar] [CrossRef] [PubMed]
- Barthet, M.; Giovannini, M.; Gasmi, M.; Lesavre, N.; Boustière, C.; Napoleon, B.; LaQuiere, A.; Koch, S.; Vanbiervliet, G.; Gonzalez, J.M. Long-term outcome after EUS-guided radiofrequency ablation: Prospective results in pancreatic neuroendocrine tumors and pancreatic cystic neoplasms. Endosc. Int. Open 2021, 9, E1178–E1185. [Google Scholar] [CrossRef] [PubMed]
- Robles-Medranda, C.; Arevalo-Mora, M.; Oleas, R.; Alcivar-Vasquez, J.; Del Valle, R. Novel EUS-guided microwave ablation of an unresectable pancreatic neuroendocrine tumor. VideoGIE 2022, 7, 74–76. [Google Scholar] [CrossRef] [PubMed]
- Zaver, H.B.; Alnahhal, K.I.; Ghoz, H.; Paz-Fumagalli, R.; Raimondo, M.; Lukens, F.J. Insulinoma: A Recurrent Pancreatic Tumor Amendable to Computed Tomography-Guided Ethanol-Lipiodol Injection. ACG Case Rep. J. 2021, 8, 00539. [Google Scholar] [CrossRef] [PubMed]
- Steward, M.J.; Warbey, V.S.; Malhotra, A.; Caplin, M.E.; Buscombe, J.R.; Yu, D. Neuroendocrine tumors: Role of interventional radiology in therapy. Radiographics 2008, 28, 1131–1145. [Google Scholar] [CrossRef] [PubMed]
- Halfdanarson, T.R.; Strosberg, J.R.; Tang, L.; Bellizzi, A.M.; Bergsland, E.K.; O’Dorisio, T.M.; Halperin, D.M.; Fishbein, L.; Eads, J.; Hope, T.A.; et al. The North American Neuroendocrine Tumor Society Consensus Guidelines for Surveillance and Medical Management of Pancreatic Neuroendocrine Tumors. Pancreas 2020, 49, 863–881. [Google Scholar] [CrossRef] [PubMed]


| Tumor Size | Tumor Grade | Functional Status | Recommended Treatment Approach | Comments/References |
|---|---|---|---|---|
| <15 mm | G1 | Non-functioning | Active surveillance is generally preferred. EUS-guided ablation may be considered in selected high-risk patients (e.g., elderly or those with significant comorbidities). | ENETS/NANETS guidelines favor surveillance for small, indolent lesions; see also the inclusion criteria of RAPNEN/RFANET (which focus on non-functioning pNENs ≤ 2 cm) for further evaluation in selected cases. |
| 15–20 mm | G1 | Functioning (insulinoma) | EUS-guided ablation is a viable option to control secretory symptoms, particularly in patients who are poor surgical candidates or who prefer a less invasive approach. | Studies by Jürgensen et al. and Crinò et al. [10,13] have shown promising results in F-pNENs; while surgery remains the standard, ablation may offer lower morbidity and shorter hospital stays in select cases. |
| 15–20 mm | G1 | Non-functioning | Surgical resection is typically recommended; however, EUS-guided ablation may be considered for patients unfit for surgery. Ongoing trials (RAPNEN, RFANET) are assessing efficacy in this group. | While active surveillance is an option in some cases, patient factors (e.g., age, comorbidities) and lesion location may tip the balance toward intervention. Current studies are exploring ablation outcomes in NF-pNENs. |
| >20 mm | Any (or if Ki67 is elevated) | Either functioning or non-functioning | Surgical Resection is the treatment of choice due to the higher risk of aggressive behavior, local invasion, or metastasis. | Robust evidence and current guidelines (ENETS, NANETS) support surgery for larger or higher-grade lesions; locoregional ablation is generally not indicated in these cases. |
| Authors, Reference | Study Design | Population | pNEN (F/NF) | Lesion Size (mm) | Technical Success | Clinical Success * | Adverse Events (Number) | Adverse Events |
|---|---|---|---|---|---|---|---|---|
| Ethanolinjection (EUS-EI) | ||||||||
| Jurgensen C et al. Ultraschall Med 2024 [13] | Retrospective, comparative vs. surgery | 9 vs. 24 | 9/0 vs. 24/0 | 13.9 ± 7.3 | 100% | 89% | 1 | Mild pancreatitis |
| Choi JH et al. Dig Endosc 2018 [17] | Prospective | 33 | 1/39 | 11 [7–20] | 100% | 60% | 2 | Mild and moderate pancreatitis |
| Park DH et al. Clin Endosc 2015 [18] | Retrospective | 11 | 4/10 | 12.3 ± 3.7 | 100% | 75% | 11 | Mild pancreatitis |
| Radiofrequency ablation (EUS-RFA) | ||||||||
| Crinò SF et al. Clin Gastroenterol Hepatol 2023 [10] | Retrospective, comparative vs. surgery | 89 vs. 89 | 89/0 vs. 89/0 | 13.4 ± 3.9 | 100% | 95.5% | 16 | Acute pancreatitis |
| Napoleon N et al. Gastrointest Endosc. 2023 [19] | Retrospective | 64 | 16/48 | 15.0 [5–30] | 100% | 87.5% | 21 | Epigastric pain, Acute pancreatitis, Main pancreatic duct leak |
| Borelli de Andreis F et al. Pancreatology 2023 [12] | Retrospective | 10 | 10/0 | 11.9 ± 3.3 | 100% | 100% | 2 | Abdominal pain |
| Rizzatti G et al. Endoscopy (suppl) 2023—Abstract ESGE Days [20] | Prospective | 56 | 24/32 | NR | 100% | 100% | 8 | Acute mild pancreatitis, pancreatic hematoma, bleeding, pancreatic moderate duct injury |
| Marx M et al. Gastrointest Endosc. 2022 [21] | Retrospective | 27 | 0/27 | 14.0 ± 4.6 | 100% | --- | 4 | Not reported |
| De Nucci G et al. Endosc Int Open 2020 [22] | Prospective | 10 | 0/11 | 14.5 [9–24] | 100% | --- | 2 | Abdominal pain |
| Oleinikov K et al. J Clin Endocrinol Metab 2019 [23] | Retrospective | 18 | 7/11 | 14.3 + 7.3 | 100% | Not reported | 0 | Not reported |
| Barthet M et al. Endoscopy 2019 [24] | Prospective | 12 | 0/14 | 13.1 [10–20] | 100% | --- | 3 | Pancreatitis, small bowel perforation |
Disclaimer/Publisher’s Note: The statements, opinions and data contained in all publications are solely those of the individual author(s) and contributor(s) and not of MDPI and/or the editor(s). MDPI and/or the editor(s) disclaim responsibility for any injury to people or property resulting from any ideas, methods, instructions or products referred to in the content. |
© 2025 by the authors. Licensee MDPI, Basel, Switzerland. This article is an open access article distributed under the terms and conditions of the Creative Commons Attribution (CC BY) license (https://creativecommons.org/licenses/by/4.0/).
Share and Cite
Masciangelo, G.; Campana, D.; Ricci, C.; Andrini, E.; Rakichevikj, E.; Fusaroli, P.; Lisotti, A. Endoscopic Ultrasound-Guided Locoregional Treatments for Pancreatic Neuroendocrine Neoplasms. Curr. Oncol. 2025, 32, 113. https://doi.org/10.3390/curroncol32020113
Masciangelo G, Campana D, Ricci C, Andrini E, Rakichevikj E, Fusaroli P, Lisotti A. Endoscopic Ultrasound-Guided Locoregional Treatments for Pancreatic Neuroendocrine Neoplasms. Current Oncology. 2025; 32(2):113. https://doi.org/10.3390/curroncol32020113
Chicago/Turabian StyleMasciangelo, Graziella, Davide Campana, Claudio Ricci, Elisa Andrini, Emilija Rakichevikj, Pietro Fusaroli, and Andrea Lisotti. 2025. "Endoscopic Ultrasound-Guided Locoregional Treatments for Pancreatic Neuroendocrine Neoplasms" Current Oncology 32, no. 2: 113. https://doi.org/10.3390/curroncol32020113
APA StyleMasciangelo, G., Campana, D., Ricci, C., Andrini, E., Rakichevikj, E., Fusaroli, P., & Lisotti, A. (2025). Endoscopic Ultrasound-Guided Locoregional Treatments for Pancreatic Neuroendocrine Neoplasms. Current Oncology, 32(2), 113. https://doi.org/10.3390/curroncol32020113

